TUMORES ÓSEOS
LESIONES ESCLERÓTICAS


        H.I.G.A. EVA PERON
    DIAGNÓSTICO POR IMÁGENES
        DR. JUAN JOSÉ DÍAZ
       DRA. MERCEDES OÑA
TUMORES
MÁS
COMUNES
DE HUESO
ESCLERÓTICO
INFARTO ÓSEO
• TAMBIÉN CONOCIDO COMO OSTEONECROSIS ,LA
  PRESENTACIÓN TÍPICA ES UNA LESIÓN CENTRAL
  EN LA METÁFISIS O DIÁFISIS CON UN BORDE BIEN
  DEFINIDO SERPENTIGINOSO.
• SE ASEMEJAN A LOS TUMORES CARTILAGINOSOS.
• SI LA OSTEONECROSIS SE ENCUENTRA EN LA
  EPÍFISIS SE UTILIZA EL TÉRMINO DE AVASCULAR.
MÚLTIPLES INFARTOS ÓSEOS
SIGNO DEL GRAFFITI
SIGNO DEL GRAFFITI
ISLA ÓSEA

• TAMBIÉN CONOCIDO COMO ENOSTOSIS, ES UNA
  LESIÓN BENIGNA QUE CONSISTE EN TEJIDO ÓSEO
  MADURO BIEN DIFERENCIADO DENTRO DE LA
  CAVIDAD MEDULAR.
• CON FRECUENCIA ES UN HALLAZGO CASUAL,
  PUDIENDO ENCONTRARSE EN CUALQUIER HUESO.
CONDROSARCOMA
CONDROSARCOMA
ENCONDROMA
• LESIÓN BENIGNA CARTILAGINOSA BASTANTE
  COMÚN DE HALLAZGO CASUAL MÁS FRECUENTE
  EN ADULTOS.
• PUEDE PRESENTARSE COMO :
• LESIÓN TOTALMENTE LÍTICA SIN NINGUNA
  CALCIFICACIÓN.
• LESIÓN DURA CALCIFICADA.
• LESIÓN DE ASPECTO MIXTO LÍTICO CON ANILLOS,
  ARCOS    DE    CALCIFICACIONES   Y   COMO
  CALCIFICACIONES EN FORMA DE PALOMITAS DE
  MAÍZ.
GRANULOMA
  EOSINOFÍLICO

PACIENTE DE 20 AÑOS
     CON LESIÓN
    ESCLERÓTICA
  EXPANSIVA EN LA
   CLAVÍCULA CON
 PEQUEÑAS ZONAS DE
   OSTEÓLISIS MAL
     DEFINIDAS.
   ES IMPORTANTE
DIFERENCIARLO DE LA
   OSTEOMIELITIS.
DISPLASIA
    FIBROSA

  • LA DISPLASIA
FIBROSA PUEDE SER
PURAMENTE LÍTICA,
  AUNQUE PUEDE
     PRESENTAR
      ALGUNAS
 OSIFICACIONES O
 CALCIFICACIONES
 DE LA MATRÍZ EN
    CANTIDADES
     VARIABLES.
LESIÓN
 ESCLERÓTICA
 LÍTICA MIXTA
BIEN DEFINIDA
  DEL HUESO
    ILÍACO
  IZQUIERDO
 COMPATIBLE
  CON Dx.DF.
METÁSTASIS
• OSTEOBLÁSTICAS O METÁSTASIS ESCLERÓTICAS
  DEBEN   INCLUIRSE   EN  EL   DIAGNÓSTICO
  DIFERENCIAL DE CUALQUIER LESIÓN ÓSEA
  ESCLERÓTICA EN PACIENTES MAYORES DE 40
  AÑOS.
• ESTE TIPO DE METÁSTASIS COMUNMENTE SE
  ORIGINAN EN CA. DE PRÓSTATA, MAMA Y CON
  MENOR FRECUENCIA EN CA. DE PULMÓN,
  LINFOMA O CARCINOIDE.
PACIENTE CON CA.DE
   PRÓSTATA CON
    NUMEROSAS
    METÁSTASIS
PREDOMINANTEMEN
TE OSTEOBLÁSTICAS.
PACIENTE CON CA.
  DE MAMA CON
   METÁSTASIS
 OSTEOBLÁSTICA
 QUE PRESENTA
     LESIÓN
  ESCLERÓTICA
   SUTÍL EN LA
 METÁFISIS DEL
    HÚMERO.
M.O. EN Rx. PELVIS
APENAS VISIBLE EN
  HUESO ILÍACO
   IZQUIERDO.


EN TC. SE OBSERVAN
 LAS LESIONES CON
MEJOR DEFINICIÓN.
METÁSTASIS
 VISTAS EN
 TC.DE UN
 PACIENTE
CON CA. DE
 PRÓSTATA
OSTEOCONDROMA
• El osteocondroma es una protuberancia ósea cubierta
  por una capa cartilaginosa.
• El crecimiento de la osteocondroma tiene lugar en la
  capa condroide, que corresponde con el crecimiento
  normal endocondral en las placas de crecimiento. En
  consecuencia, el crecimiento de los osteocondromas se
  produce hasta que el paciente llega a la edad adulta.
• El crecimiento de los osteocondromas en edades adultas
  (caracterizada por una gruesa capa cartilaginosa
  observado como SI alta ponderado en T2 de RM); debe
  plantear la sospecha de progresión a un condrosarcoma.
• El osteocondroma suele presentarse como un hallazgo
  incidental, o en la forma de un síndrome con múltiples
  osteocondromas.
OSTEOMA OSTEOIDE
• Osteoma osteoide es una lesión ósea benigna con
  un nido pequeño rodeado por una zona de
  esclerosis reactiva.
• TC es muy útil para detectar y diferenciar el nido
  del osteoma osteoide de otras lesiones
  escleróticas como osteoblastoma, osteomielitis,
  artritis, fractura de estrés y enostosis.
• Osteoma osteoide es una pequeña lesión (hasta 1,5
  cm) osteolítica, con o sin calcificación central.
• La ubicación es generalmente cortical / excéntrico,
  subperióstico a veces o incluso, intra - articular.
• Los sitios más comunes de origen incluyen el
  fémur, la tibia, la espina dorsal (posterior), las
  manos y los pies.
• La lesión se caracteriza por una extensa esclerosis
  reactiva con engrosamiento cortical.
• TC es óptima para apreciar el nido.
• RMI también puede detectar el nido, combinado
  con abundante edema de médula ósea y / o del
  tejido blando. En los huesos largos, el diagnóstico
  diferencial puede incluir procesos reactivos, como
  fractura por estrés o absceso cortical.
• En la mayoría de los casos de osteoma osteoide,
  el aspecto radiográfico se determina por la
  esclerosis reactiva.
• En algunos casos, sin embargo el nido osteolítico
  puede ser visible en la radiografía.
OSTEOMA
• El Osteoma consiste en tejido óseo densamente
  compacto. Estas lesiones ocurren
  predominantemente en la tabla externa del
  neurocráneo o en un seno paranasal.
• A veces, un osteoma está presente a lo largo de la
  superficie de un hueso plano o tubular. Osteoma
  puede simular una displasia fibrosa fuertemente
  osificada.
OSTEOMIELITIS

• Centralmente hay un área osteolítica mal
  definida.
• La mayor parte de la lesión consiste en esclerosis
  reactiva.
OSTEOSARCOMA
 Hechos y cifras

• Tumor óseo maligno primario mas común.
• Segundo tumor óseo primario más común y es
  altamente maligno. Es más común entre las personas
  de 10 a 25 años, aunque puede ocurrir a cualquier
  edad.
• 50% alrededor de la rodilla (fémur distal con más
  frecuencia que la tibia proximal) o en otros huesos
  largos (como el húmero proximal), en particular en
  la zona metafiso diafisaria, y puede metastatizar, por
  lo general a los pulmones o en otros huesos.
• Presentación: dolor, masa, fractura patológica.
• La esclerosis está presente, ya sea en la formación de
  tumores de hueso nuevo o esclerosis reactiva.
• Las radiografías simples típicamente revelan
  lesiones con patrón apolillado o permeativo de la
  zona de transición con destrucción cortical
  irregular y una reacción perióstica interrumpida
  con extensión de tejidos blandos.
• Una reacción perióstica conocida como “triángulo
  de Codman” aparece cuando el tumor eleva el
  periostio del hueso subyacente.
• La extensión cortical de tejido blando puede
  producir espículas radiadas de hueso llamado
  apariencia en “rayo de sol”.
• El osteosarcoma maligno produce osteoide (hueso
  inmaduro) de las células óseas tumorales.
• La formación de hueso explica las imágenes
  radiográficas.
• Cuando la matriz tumoral ósea es deficiente, el
  osteosarcoma puede ser del subtipo telangiectasico
  (que algunas veces puede imitar un quiste óseo
  aneurismático), o el diagnóstico diferencial incluye
  el sarcoma de Ewing o linfoma, especialmente
  cuando una gran masa de tejido blando está
  presente.
• En pacientes de edad avanzada, el diagnóstico
  diferencial también puede ser condrosarcoma.
• Generalmente se desarrolla alrededor de la rodilla
• El dolor y la hinchazón son los síntomas habituales.
• Los hallazgos en los estudios de imagen varían y
  pueden incluir características escleróticas y / o
  líticas.
• El diagnóstico requiere una biopsia.
• Se necesitan radiografías de tórax y TC para
  detectar metástasis pulmonares y una gammagrafía
  ósea para detectar metástasis óseas.
• La RM óptima para la estadificación locorregional.
• Un protocolo de obtención de imágenes debe
  incluir por lo menos una serie T1 para la
  evaluación de la extensión intraósea y relación con
  las articulaciones, y axial T2 fat sat, para la
  evaluación de la extensión de los tejidos blandos y
  la relación con importantes estructuras
  neurovasculares.
• Una imagen longitudinal del hueso largo completo
  se necesita para descartar metástasis no continuas
  (saltarinas).
• El papel de las imágenes durante y después de la
  quimioterapia neo adyuvante sirve para evaluar la
  tasa de respuesta al tratamiento.
• En particular, la reducción significativa de la
  vascularización tumoral es un fuerte indicador de
  buena respuesta. Aumento de volumen del tumor
  sugiere fuertemente respuesta pobre, sin embargo,
  la disminución de volumen no indica
  necesariamente una respuesta favorable.
• El osteosarcoma intraóseo de bajo grado es una
  variante muy rara de osteosarcoma, que sin
  embargo puede tener un aspecto radiológico
  benigno y por lo tanto puede ser confundido con
  otras lesiones, por ejemplo, la displasia fibrosa.
• Osteosarcomas superficiales tienen su origen en
  la superficie del hueso y crecen principalmente en
  los tejidos blandos circundantes, pero también
  puede infiltrarse en la médula ósea. Entre estos, el
  osteosarcoma parostal (o yuxtacorticales) es la
  variante más frecuente, más comúnmente en el
  lado posterior de la unión metafiso diafisaria distal
  del fémur.
FRACTURAS POR ESTRÉS
• Las fracturas por estrés se producen en huesos
  normales (fracturas por fatiga), o
  metabólicamente debilitados (fracturas por
  insuficiencia).
• Por lo general, las fracturas por estrés son fáciles
  de reconocer. Con poca frecuencia puede ser
  difícil de diferenciar una fractura por estrés de
  una fractura patológica, que se produce en el
  sitio de un tumor óseo.
Tu.oseos
Tu.oseos
Tu.oseos
Tu.oseos
Tu.oseos

Tu.oseos

  • 1.
    TUMORES ÓSEOS LESIONES ESCLERÓTICAS H.I.G.A. EVA PERON DIAGNÓSTICO POR IMÁGENES DR. JUAN JOSÉ DÍAZ DRA. MERCEDES OÑA
  • 2.
  • 5.
    INFARTO ÓSEO • TAMBIÉNCONOCIDO COMO OSTEONECROSIS ,LA PRESENTACIÓN TÍPICA ES UNA LESIÓN CENTRAL EN LA METÁFISIS O DIÁFISIS CON UN BORDE BIEN DEFINIDO SERPENTIGINOSO. • SE ASEMEJAN A LOS TUMORES CARTILAGINOSOS. • SI LA OSTEONECROSIS SE ENCUENTRA EN LA EPÍFISIS SE UTILIZA EL TÉRMINO DE AVASCULAR.
  • 6.
  • 7.
  • 8.
  • 9.
    ISLA ÓSEA • TAMBIÉNCONOCIDO COMO ENOSTOSIS, ES UNA LESIÓN BENIGNA QUE CONSISTE EN TEJIDO ÓSEO MADURO BIEN DIFERENCIADO DENTRO DE LA CAVIDAD MEDULAR. • CON FRECUENCIA ES UN HALLAZGO CASUAL, PUDIENDO ENCONTRARSE EN CUALQUIER HUESO.
  • 11.
  • 12.
  • 13.
    ENCONDROMA • LESIÓN BENIGNACARTILAGINOSA BASTANTE COMÚN DE HALLAZGO CASUAL MÁS FRECUENTE EN ADULTOS. • PUEDE PRESENTARSE COMO : • LESIÓN TOTALMENTE LÍTICA SIN NINGUNA CALCIFICACIÓN. • LESIÓN DURA CALCIFICADA. • LESIÓN DE ASPECTO MIXTO LÍTICO CON ANILLOS, ARCOS DE CALCIFICACIONES Y COMO CALCIFICACIONES EN FORMA DE PALOMITAS DE MAÍZ.
  • 15.
    GRANULOMA EOSINOFÍLICO PACIENTEDE 20 AÑOS CON LESIÓN ESCLERÓTICA EXPANSIVA EN LA CLAVÍCULA CON PEQUEÑAS ZONAS DE OSTEÓLISIS MAL DEFINIDAS. ES IMPORTANTE DIFERENCIARLO DE LA OSTEOMIELITIS.
  • 16.
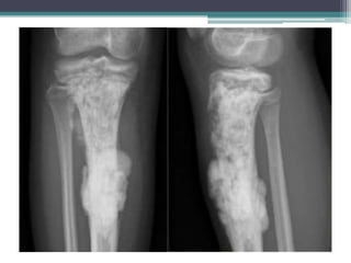
    DISPLASIA FIBROSA • LA DISPLASIA FIBROSA PUEDE SER PURAMENTE LÍTICA, AUNQUE PUEDE PRESENTAR ALGUNAS OSIFICACIONES O CALCIFICACIONES DE LA MATRÍZ EN CANTIDADES VARIABLES.
  • 17.
    LESIÓN ESCLERÓTICA LÍTICAMIXTA BIEN DEFINIDA DEL HUESO ILÍACO IZQUIERDO COMPATIBLE CON Dx.DF.
  • 18.
    METÁSTASIS • OSTEOBLÁSTICAS OMETÁSTASIS ESCLERÓTICAS DEBEN INCLUIRSE EN EL DIAGNÓSTICO DIFERENCIAL DE CUALQUIER LESIÓN ÓSEA ESCLERÓTICA EN PACIENTES MAYORES DE 40 AÑOS. • ESTE TIPO DE METÁSTASIS COMUNMENTE SE ORIGINAN EN CA. DE PRÓSTATA, MAMA Y CON MENOR FRECUENCIA EN CA. DE PULMÓN, LINFOMA O CARCINOIDE.
  • 19.
    PACIENTE CON CA.DE PRÓSTATA CON NUMEROSAS METÁSTASIS PREDOMINANTEMEN TE OSTEOBLÁSTICAS.
  • 20.
    PACIENTE CON CA. DE MAMA CON METÁSTASIS OSTEOBLÁSTICA QUE PRESENTA LESIÓN ESCLERÓTICA SUTÍL EN LA METÁFISIS DEL HÚMERO.
  • 21.
    M.O. EN Rx.PELVIS APENAS VISIBLE EN HUESO ILÍACO IZQUIERDO. EN TC. SE OBSERVAN LAS LESIONES CON MEJOR DEFINICIÓN.
  • 22.
    METÁSTASIS VISTAS EN TC.DE UN PACIENTE CON CA. DE PRÓSTATA
  • 23.
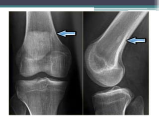
    OSTEOCONDROMA • El osteocondromaes una protuberancia ósea cubierta por una capa cartilaginosa. • El crecimiento de la osteocondroma tiene lugar en la capa condroide, que corresponde con el crecimiento normal endocondral en las placas de crecimiento. En consecuencia, el crecimiento de los osteocondromas se produce hasta que el paciente llega a la edad adulta. • El crecimiento de los osteocondromas en edades adultas (caracterizada por una gruesa capa cartilaginosa observado como SI alta ponderado en T2 de RM); debe plantear la sospecha de progresión a un condrosarcoma. • El osteocondroma suele presentarse como un hallazgo incidental, o en la forma de un síndrome con múltiples osteocondromas.
  • 27.
    OSTEOMA OSTEOIDE • Osteomaosteoide es una lesión ósea benigna con un nido pequeño rodeado por una zona de esclerosis reactiva. • TC es muy útil para detectar y diferenciar el nido del osteoma osteoide de otras lesiones escleróticas como osteoblastoma, osteomielitis, artritis, fractura de estrés y enostosis.
  • 28.
    • Osteoma osteoidees una pequeña lesión (hasta 1,5 cm) osteolítica, con o sin calcificación central. • La ubicación es generalmente cortical / excéntrico, subperióstico a veces o incluso, intra - articular. • Los sitios más comunes de origen incluyen el fémur, la tibia, la espina dorsal (posterior), las manos y los pies. • La lesión se caracteriza por una extensa esclerosis reactiva con engrosamiento cortical. • TC es óptima para apreciar el nido. • RMI también puede detectar el nido, combinado con abundante edema de médula ósea y / o del tejido blando. En los huesos largos, el diagnóstico diferencial puede incluir procesos reactivos, como fractura por estrés o absceso cortical.
  • 29.
    • En lamayoría de los casos de osteoma osteoide, el aspecto radiográfico se determina por la esclerosis reactiva. • En algunos casos, sin embargo el nido osteolítico puede ser visible en la radiografía.
  • 34.
    OSTEOMA • El Osteomaconsiste en tejido óseo densamente compacto. Estas lesiones ocurren predominantemente en la tabla externa del neurocráneo o en un seno paranasal. • A veces, un osteoma está presente a lo largo de la superficie de un hueso plano o tubular. Osteoma puede simular una displasia fibrosa fuertemente osificada.
  • 37.
    OSTEOMIELITIS • Centralmente hayun área osteolítica mal definida. • La mayor parte de la lesión consiste en esclerosis reactiva.
  • 41.
    OSTEOSARCOMA Hechos ycifras • Tumor óseo maligno primario mas común. • Segundo tumor óseo primario más común y es altamente maligno. Es más común entre las personas de 10 a 25 años, aunque puede ocurrir a cualquier edad. • 50% alrededor de la rodilla (fémur distal con más frecuencia que la tibia proximal) o en otros huesos largos (como el húmero proximal), en particular en la zona metafiso diafisaria, y puede metastatizar, por lo general a los pulmones o en otros huesos. • Presentación: dolor, masa, fractura patológica. • La esclerosis está presente, ya sea en la formación de tumores de hueso nuevo o esclerosis reactiva.
  • 42.
    • Las radiografíassimples típicamente revelan lesiones con patrón apolillado o permeativo de la zona de transición con destrucción cortical irregular y una reacción perióstica interrumpida con extensión de tejidos blandos. • Una reacción perióstica conocida como “triángulo de Codman” aparece cuando el tumor eleva el periostio del hueso subyacente. • La extensión cortical de tejido blando puede producir espículas radiadas de hueso llamado apariencia en “rayo de sol”.
  • 45.
    • El osteosarcomamaligno produce osteoide (hueso inmaduro) de las células óseas tumorales. • La formación de hueso explica las imágenes radiográficas. • Cuando la matriz tumoral ósea es deficiente, el osteosarcoma puede ser del subtipo telangiectasico (que algunas veces puede imitar un quiste óseo aneurismático), o el diagnóstico diferencial incluye el sarcoma de Ewing o linfoma, especialmente cuando una gran masa de tejido blando está presente. • En pacientes de edad avanzada, el diagnóstico diferencial también puede ser condrosarcoma.
  • 46.
    • Generalmente sedesarrolla alrededor de la rodilla • El dolor y la hinchazón son los síntomas habituales. • Los hallazgos en los estudios de imagen varían y pueden incluir características escleróticas y / o líticas. • El diagnóstico requiere una biopsia. • Se necesitan radiografías de tórax y TC para detectar metástasis pulmonares y una gammagrafía ósea para detectar metástasis óseas.
  • 47.
    • La RMóptima para la estadificación locorregional. • Un protocolo de obtención de imágenes debe incluir por lo menos una serie T1 para la evaluación de la extensión intraósea y relación con las articulaciones, y axial T2 fat sat, para la evaluación de la extensión de los tejidos blandos y la relación con importantes estructuras neurovasculares. • Una imagen longitudinal del hueso largo completo se necesita para descartar metástasis no continuas (saltarinas).
  • 48.
    • El papelde las imágenes durante y después de la quimioterapia neo adyuvante sirve para evaluar la tasa de respuesta al tratamiento. • En particular, la reducción significativa de la vascularización tumoral es un fuerte indicador de buena respuesta. Aumento de volumen del tumor sugiere fuertemente respuesta pobre, sin embargo, la disminución de volumen no indica necesariamente una respuesta favorable.
  • 49.
    • El osteosarcomaintraóseo de bajo grado es una variante muy rara de osteosarcoma, que sin embargo puede tener un aspecto radiológico benigno y por lo tanto puede ser confundido con otras lesiones, por ejemplo, la displasia fibrosa. • Osteosarcomas superficiales tienen su origen en la superficie del hueso y crecen principalmente en los tejidos blandos circundantes, pero también puede infiltrarse en la médula ósea. Entre estos, el osteosarcoma parostal (o yuxtacorticales) es la variante más frecuente, más comúnmente en el lado posterior de la unión metafiso diafisaria distal del fémur.
  • 58.
    FRACTURAS POR ESTRÉS •Las fracturas por estrés se producen en huesos normales (fracturas por fatiga), o metabólicamente debilitados (fracturas por insuficiencia). • Por lo general, las fracturas por estrés son fáciles de reconocer. Con poca frecuencia puede ser difícil de diferenciar una fractura por estrés de una fractura patológica, que se produce en el sitio de un tumor óseo.