RECUERDA:
  “ACTÚA POR
CONVICCIÓN Y NO
 POR PRESIÓN”
           DRA. SYLVIA GONZÁLEZ ORTIZ.
 “ACTÚA POR CONVICCIÓN Y NO
         POR PRESIÓN”

      DRA. SYLVIA GONZÁLEZ ORTIZ
APARATO
                                  REPRODUCTOR
                                FEMENINO (PARTE II)




DRA. SYLVIA GONZÁLEZ ORTIZ
             Y
 DRA. CARMEN DE VÁZQUEZ




                             UNIVERSIDAD DE SAN CARLOS DE GUATEMALA
                             FACULTAD DE CIENCIAS MÉDICAS
                             U. D. HISTOLOGÍA Y EMBRIOLOGÍA
GLÁNDULA
MAMARIA

 PLACENTA Y

 CITOLOGÍA
EXFOLIATIVA
GLÁNDULA MAMARIA
GENERALIDADES

Glándula par cuya función
es la producción de leche.
Localizada en la parte
anterior del torax o región
pectoral.
Se extiende de la 2° a la 6°
costillas y de la región axilar
hacia el borde esternal.
Sobre la fascia pectoral.
Se considera un anexo
cutáneo.
Rudimentaria en el varón
GENERALIDADES…
  Su forma es semi esférica,
  en el centro se encuentra
  un área circular más
  obscura (areola) en cuyo
  centro hay una elevación
  como papila (pezón).
  Debajo de la areola se
  encuentra el círculo venoso
  de Haller.
  Para su exploración, se
  divide en 5 segmentos, 4
  cuadrantes y una cola.
GLÁNDULA MAMARIA
CUERPO
GLANDULAR PAR,
UBICADO ENTRE
ABUNDANTE GRASA
Y TEJIDO CONECTIVO
ESTRUCTURA
PARECIDA A LAS
GLÁNDULAS
SUDORÍPARAS.
SUDORÍPARAS
DESARROLLO
MAXIMO: 20 AÑOS
CAMBIOS
ATRÓFICOS A LOS
40 AÑOS
DESARROLLO EMBRIOLÓGICO

La glándula mamaria se
desarrolla como un anexo
cutáneo (glándula sudorípara
modificada y especializada).
La epidermis se origina del
ectodermo superficial así
como sus anexos (glándulas
etc.)
Y la dermis, del mesénquima
(capa somática del
mesodermo lateral)
DESARROLLO EMBRIOLÓGICO
El primer indicio de la formación de las mamas, es el aparecimiento
de unos pliegues o cordones engrosados del ectodermo, desde la
región axilar hasta la ingle “crestas mamarias”
Luego se inicia la formación de yemas mamarias (proyecciones
sólidas de la epidermis hacia el mesénquiima) , en la 6° semana de
                                                      6°
gestación.
DESARROLLO…

   Cada yema da varias ramas “conductos galactóforos”, 15 a 20.
   Estos a su vez dan varias ramificaciones (conductitos y alveolos)
   En el punto de emergencia de las yemas mamarias, la
   epidermis se deprime “fosa mamaria” y poco después del
   nacimiento, surgen los pezones.
PEZON Y ARÉOLA
PEZONES (PAPILAS):
Constituidos de piel delgada
  EPIDERMIS    EPITELIO
  PLANO ESTRATIFICADO
  QUERATINIZADO.
  DERMIS      PAPILAS
  DÉRMICAS, POR SU
  ALTURA SE TRASLUCE
  LA HEMOGLOBINA DE LA
  SANGRE CAPILAR.
  PUBERTAD: CAMBIOS DE
  PIGMENTACIÓN-
  PIGMENTACIÓN-
  HORMONAS OVARICAS
  (ESTRÓGENOS)
ESTRUCTURA HISTOLÓGICA
                                  (Pezón y areóla)
PRESENCIA DE CANTIDADES
GRANDES DE MUSCULATURA
LISA. CIRCUNFERENCIAL Y
LONGITUDINAL.
15-20 CONDUCTOS
15-
GALACTÓFOROS
CONDUCTOS EXCRETORES
PRESENCIA DE GLÁNDULAS
SEBÁCEAS.
TEJIDO CONECTIVO DENSO,
ABUNDATES FIBRAS
ELÁSTICAS QUE SE UNEN A
LA PIEL DE LOS LADOS DEL
PEZÓN.
Glándulas de Montgomery
(en la periferie de la areola).
Receptores sensoriales y
nervios.
GLANDULA MAMARIA EN REPOSO
     (estructura histológica
                 histológica)
 GLÁNDULA ALVEOLAR
 COMPUESTA.
15-20 LOBULOS, DE 2-4.5 mm
15-               2-
 SEPARADOS POR TEJIDO
 CONECTIVO INTERLOBULILLAR
 Y GRASA

C/LÓBULO O GLÁNDULA, ES
INDEPENDIENTE CON UN
CONDUCTO EXCRETOR
(CONDUCTO GALÁCTOFORO) Y
GRUPOS DE ALVEOLOS.

SEPARADOS ENTRE SI POR T.C.
DENSO (Ligamentos Suspensorios
de Cooper) y t. adiposo.

ENTRE C/RAMA CON LOS
GRUPOS DE ALVEOLOS HAY
TEJIDO CONECTIVO LAXO SIN
TEJIDO ADIPOSO
SENO LACTIFERO:
DILATACIÓN DE
LOS CONDUCTOS
GALACTOFOROS.

SISTEMA DE
CONDUCTOS:
EPITELIO
CILINDRICO BAJO
DE DOS CAPAS DE
ESPESOR.
ESTADIOS
FUNCIONALES DE LA
GLÁNDULA MAMARIA
GLANDULA
 MAMARIA
EN REPOSO
Y LACTANTE
GLANDULA
MAMARIA
 ACTIVA
PROGESTERONA Y ESTRÓGENOS
CIRCULANTES-
CIRCULANTES- EMBARAZO

RAPIDO CRECIMIENTO EN LA
LONGITUD Y EN GRADO DE
RAMIFICACIÓN DEL SISTEMA DE
CONDUCTOS.

INFILTRACIÓN DEL ESTROMA:
LINFOCITOS, CÉLULAS
PLÁSMATICAS Y EOSINOFILOS.
ESTRUCTURA HISTOLOGICA DE
       LOS CONDUCTOS

CONDUCTOS MAYORES: EPITELIO CILÍNDRICO
BAJO EN 2 CAPAS

CONDUCTOS MENORES: EPITELIO CILÍNDRICO
SIMPLE

ALVEOLOS: EN LA GLÁNDULA EN REPOSO,
EPITELIO PLANO O CÚBICO BAJO QUE CRECE
EN ALTURA EN GL. ACTIVA
Mecanismo de secreción de la
        glándula mamaria.

GRÁNULOS SECRETORES :

 MATERIAL PROTEÍNICO:
 MECANISMO DE SECRESIÓN
 MEROCRINA

 MATERIAL GRASO (GOTAS
 DE LÍPIDOS):
 MECANISMO DE SECRESIÓN
 APOCRINA
CÉLULAS
MIOEPITELIALES


  CELULAS
  MIOEPITELIALES,
  PROLONGACIONES
  RAMIFICADAS
  OCUPAN LOS
  HUECOS ENTRE Y
  BAJO LAS CELULAS
  SECRETORAS.
  REPLETAS DE
  FILAMENTOS DE
  ACTINA.
REGRESIÓN DE LA
  GLÁNDULA MAMARIA
MECANISMO NEUROHORMONAL
SECRESIÓN DE PROLACTINA
RETENCIÓN DE LECHE     COMPRESIÓN DE
LOS VASOS SANGUÍNEOS, DISMINUYE EL
APORTE DE OXITOCINA A LAS CELULAS
MIOEPITELIALES.
GLÁNDULA NO VUELVE A SU ESTADO
ORIGINAL      ALVEOLOS QUE SE
FORMARON EN EL PERÍODO GESTACIONAL
NO DESAPARECEN POR COMPLETO.
                   COMPLETO.
INVOLUCIÓN DE LA
GLÁNDULA MAMARIA
MUJERES DE EDAD AVANZADA,
INVOLUCIÓN GRADUAL CON ATROFIA
DE LOS ALVEOLOS SÓLIDOS
PORCIONES DISTALES DEL SISTEMA DE
CONDUCTOS.

TEJIDO CONJUNTIVO PIERDE DENSIDAD
CELULAR. HAY MENOS COLÁGENO Y
CÉLULAS ADIPOSAS.
ÓRGANO FETO MATERNO, TEMPORARIO, SOLO SE
  DESARROLLA EN MAMÍFEROS, FORMADO POR CÉLULAS
DERIVADAS DE DOS INDIVIDUOS DISTINTOS CON 2 GENOTIPOS
                      DISTINTOS.
DEFINICION
 SITIO PRINCIPAL DE INTERCAMBIO
 DE NUTRIENTES, DESECHOS Y GASES
 ENTRE LA MADRE Y EL FETO. TIENE
 DOS PORCIONES:

   FETAL:       CORION VELLOSO

   MATERNA:        DECIDUA BASAL
DESARROLLO DE
 LA PLACENTA


 A principios de la
 segunda semana el
 blastocisto consta de
 dos partes:
  EL TROFOBLASTO
            Y
EL EMBRIOBLASTO
   EMBRIOBLASTO.
DESARROLLO DE
 LA PLACENTA


 EL EMBRIOBLASTO: Dará
 origen al embrión.

 EL TROFOBLASTO: dará
 origen a la placenta y se
 divide en dos capas:

    CITOTROFOBLASTO Y
    SINCITIOTROFOBLASTO
DESARROLLO DE LA
    PLACENTA


  El sincitiotrofoblasto
  penetra en la decidua
  formando redes
  lacunares,
  lacunares, con sangre
  materna y secreciones
  glandulares
  (embriotrofo).
   embriotrofo).
CORION
En la octava semana las vellosidades
coriónicas cubren todo el saco
coriónico, al crecer, las vellosidades en
relación a la decidua capsular se
comprimen y degeneran:

            CORION LISO
DECIDUA VERA


                     DECIDUA CAPSULAR


                     CORION FRONDOSO




CORION LISO O LEVE

                      DECIDUA BASAL
DECIDUA

 ES LA CAPA FUNCIONAL
DEL ENDOMETRIO, EN
UNA MUJER
EMBARAZADA. ESTE SE
DESPRENDE DURANTE EL
PARTO, COMPRENDE 3
PORCIONES:
           BASAL
DECIDUA    CAPSULAR
           PARIETAL
DESARROLLO DE LA
PLACENTA

Al final de la
segunda semana del
desarrollo se forman
las vellosidades
coriónicas primarias:
Citotrofoblasto y
sincitiotrofoblasto
Formación del Corion y vellosidades
            primarias
DESARROLLO DE LA PLACENTA

Al inicio de la
tercera semana
crece mesénquima
hacia las
vellosidades
primarias, además
se ramifican:
vellosidades
secundarias.
secundarias.
DESARROLLO DE LA
         PLACENTA

Cuando aparecen
vasos sanguíneos
en las
vellosidades
secundarias se
convierten en
vellosidades
terciarias.
terciarias.
Concha citotrofoblástica



Células del
citotrofoblasto que
atraviesan el
sincitiotrofoblasto
y que unen las
vellosidades al
endometrio.
VELLOSIDADES
       TERCIARIAS

DE TALLO: las que unen las
     TALLO:
vellosidades por medio de la concha
citotrofoblastica al endometrio.
DE ANCLAJE: las que se unen al corion.
     ANCLAJE:
TERMINALES:
TERMINALES: o en rama crecen a los
lados y se piensa que aquí se lleva a cabo
el intercambio entre sangre materna y
fetal.
TIPOS DE VELLOSIDADES
    PLACENTARIAS.
CORION VELLOSO
Vellosidades en relaciòn a la decidua basal
que crecen y se ramifican, también llamado
“corion frondoso”



   PORCION FETAL DE
     LA PLACENTA
Embrión y sus
membranas, se observa
   el corion liso y
      frondoso.
      frondoso.


           5°SEMANA
3 SEMANAS                   10 SEMANAS




            4 SEMANAS
                        20 SEMANAS
ESPACIO INTERVELLOSO

Deriva de las lagunas que se desarrollaron
del sincitiotrofoblasto en la 2a semana.

Se divide en compartimientos por los
tabiques placentarios: tejido decidual en
forma de cuña que dividen la parte fetal de
la placenta en 15 a 20 COTILEDONES.
CIRCULACIÓN PLACENTARIA
BARRERA
        PLACENTARIA
 TEJIDOS EXTRAFETALES QUE
 SEPARAN LA SANGRE MATERNA Y
 FETAL:

SINCITIOTROFOBLASTO   CITOTROFOBLASTO




 TEJIDO CONECTIVO      ENDOTELIO CAPILAR
MEMBRANA PLACENTARIA
     (BARRERA)
Barrera o membrana
placentaria
(vellosidad en rama)
a las 10 semanas.

La misma membrana
placentaria en un
embarazo a término.
FUNCIONES DE LA
        PLACENTA

TIENE 3 FUNCIONES PRINCIPALES.

 Metabólicas

 Transporte de gases y nutrientes

 Secreción endocrina.
ALUMBRAMIENTO
(Expulsión de la placenta)
CARA MATERNA




CARA FETAL
CITOLOGÍA EXFOLIATIVA

 Consiste en el examen microscópico de las
células descamadas de los tejidos.

 Puede realizarse un frotis con dichas células y
teñirlas con la técnica de Papanicolau o
similares, para facilitar su observación
microscópica. Previo a la tinción, deben fijarse
en alcohol isopropílico al 95%.
PORCIÓN DE LA QUE PUEDE TOMARSE UN FROTIS
EL CONDUCTO ENDOCERVICAL
ESTA TAPIZADO POR UN EPITELIO
CILINDRICO ALTO SIMPLE
(COLUMNAR) MUCOSECRETOR.

 LA UNIÓN ESCAMOCILÍNDRICA
(ESCAMOCOLUMNAR) ES AFECTADA
CON FRECUENCIA POR NEOPLASIAS.
CELULAS NORMALES DEL
TRACTO GENITAL FEMENINO

CELULAS MÁS PROFUNDAS: BASALES
C. PARABASALES
C. INTERMEDIAS
C. SUPERFICIALES.

CARACTERISTICAS MORFOLÓGICAS
PROPIAS, HAY QUE OBSERVAR SU NÚCLEO
Y SU CITOPLASMA.
     CITOPLASMA.
CÉLULAS
 SUPERFICIALES

MÁS COMUNES EN LA FASE
PREOVULATORIA DE LAS
MUJERES EN EDAD FERTIL


FORMA POLIEDRICA, REACCIÓN
TINTORIAL; NARANJÓFILA O
EOSINÓFILA, NUCLEO PEQUEÑO
CÉLULAS
  INTERMEDIAS

MAS COMUNES EN LA FASE
POSOVULATORIA O
PROGESTÁGENA.




REACCIÓN TINTOREAL
VERDE AZULADA PÁLIDA,
NÚCLEO REDONDO U OVAL.
CÉLULAS PARABASALES
  INFRECUENTE EN
  MUJERES NORMALES EN
  EDAD FERTIL.


 CELULAS PARABASALES EXTERNAS:
 ADQUIREN UN COLOR VERDE
 AZULADO CLARO CON LA
 COLORACIÓN DE PAPANICOLAU,
 POLIÉDRICAS


CELULAS PARABASALES INTERNAS:
ELIPTICAS, DENSAS VERDE AZULADO
INTENSO NUCLEO OVAL 8-12
MICROMETROS
CÉLULAS
     BASALES

NO APARECEN EN LOS RASPADOS
ORDINARIOS, NUCLEO GRANDE Y
CITOPLASMA ES ESCASO MUY
BASÓFILO
CELULAS PROVENIENTES
   DEL ENDOCERVIX


 DOS TIPOS DE CELULAS:
              CELULAS:
       CILIADAS
       Y SECRETORAS


TRANSICIÓN DE LOS EPITELIOS
 UNIÓN ESCAMO-CILÍNDRICA
        ESCAMO-
TOMA DE LA MUESTRA
EXITOS EN EL FUTURO

Repfem2 08

  • 1.
    RECUERDA: “ACTÚAPOR CONVICCIÓN Y NO POR PRESIÓN” DRA. SYLVIA GONZÁLEZ ORTIZ. “ACTÚA POR CONVICCIÓN Y NO POR PRESIÓN” DRA. SYLVIA GONZÁLEZ ORTIZ
  • 2.
    APARATO REPRODUCTOR FEMENINO (PARTE II) DRA. SYLVIA GONZÁLEZ ORTIZ Y DRA. CARMEN DE VÁZQUEZ UNIVERSIDAD DE SAN CARLOS DE GUATEMALA FACULTAD DE CIENCIAS MÉDICAS U. D. HISTOLOGÍA Y EMBRIOLOGÍA
  • 3.
    GLÁNDULA MAMARIA PLACENTA Y CITOLOGÍA EXFOLIATIVA
  • 4.
  • 5.
    GENERALIDADES Glándula par cuyafunción es la producción de leche. Localizada en la parte anterior del torax o región pectoral. Se extiende de la 2° a la 6° costillas y de la región axilar hacia el borde esternal. Sobre la fascia pectoral. Se considera un anexo cutáneo. Rudimentaria en el varón
  • 6.
    GENERALIDADES… Suforma es semi esférica, en el centro se encuentra un área circular más obscura (areola) en cuyo centro hay una elevación como papila (pezón). Debajo de la areola se encuentra el círculo venoso de Haller. Para su exploración, se divide en 5 segmentos, 4 cuadrantes y una cola.
  • 7.
    GLÁNDULA MAMARIA CUERPO GLANDULAR PAR, UBICADOENTRE ABUNDANTE GRASA Y TEJIDO CONECTIVO ESTRUCTURA PARECIDA A LAS GLÁNDULAS SUDORÍPARAS. SUDORÍPARAS DESARROLLO MAXIMO: 20 AÑOS CAMBIOS ATRÓFICOS A LOS 40 AÑOS
  • 8.
    DESARROLLO EMBRIOLÓGICO La glándulamamaria se desarrolla como un anexo cutáneo (glándula sudorípara modificada y especializada). La epidermis se origina del ectodermo superficial así como sus anexos (glándulas etc.) Y la dermis, del mesénquima (capa somática del mesodermo lateral)
  • 9.
    DESARROLLO EMBRIOLÓGICO El primerindicio de la formación de las mamas, es el aparecimiento de unos pliegues o cordones engrosados del ectodermo, desde la región axilar hasta la ingle “crestas mamarias” Luego se inicia la formación de yemas mamarias (proyecciones sólidas de la epidermis hacia el mesénquiima) , en la 6° semana de 6° gestación.
  • 10.
    DESARROLLO… Cada yema da varias ramas “conductos galactóforos”, 15 a 20. Estos a su vez dan varias ramificaciones (conductitos y alveolos) En el punto de emergencia de las yemas mamarias, la epidermis se deprime “fosa mamaria” y poco después del nacimiento, surgen los pezones.
  • 11.
    PEZON Y ARÉOLA PEZONES(PAPILAS): Constituidos de piel delgada EPIDERMIS EPITELIO PLANO ESTRATIFICADO QUERATINIZADO. DERMIS PAPILAS DÉRMICAS, POR SU ALTURA SE TRASLUCE LA HEMOGLOBINA DE LA SANGRE CAPILAR. PUBERTAD: CAMBIOS DE PIGMENTACIÓN- PIGMENTACIÓN- HORMONAS OVARICAS (ESTRÓGENOS)
  • 12.
    ESTRUCTURA HISTOLÓGICA (Pezón y areóla) PRESENCIA DE CANTIDADES GRANDES DE MUSCULATURA LISA. CIRCUNFERENCIAL Y LONGITUDINAL. 15-20 CONDUCTOS 15- GALACTÓFOROS CONDUCTOS EXCRETORES PRESENCIA DE GLÁNDULAS SEBÁCEAS. TEJIDO CONECTIVO DENSO, ABUNDATES FIBRAS ELÁSTICAS QUE SE UNEN A LA PIEL DE LOS LADOS DEL PEZÓN. Glándulas de Montgomery (en la periferie de la areola). Receptores sensoriales y nervios.
  • 13.
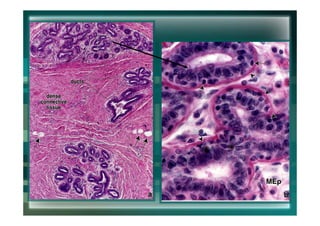
    GLANDULA MAMARIA ENREPOSO (estructura histológica histológica) GLÁNDULA ALVEOLAR COMPUESTA. 15-20 LOBULOS, DE 2-4.5 mm 15- 2- SEPARADOS POR TEJIDO CONECTIVO INTERLOBULILLAR Y GRASA C/LÓBULO O GLÁNDULA, ES INDEPENDIENTE CON UN CONDUCTO EXCRETOR (CONDUCTO GALÁCTOFORO) Y GRUPOS DE ALVEOLOS. SEPARADOS ENTRE SI POR T.C. DENSO (Ligamentos Suspensorios de Cooper) y t. adiposo. ENTRE C/RAMA CON LOS GRUPOS DE ALVEOLOS HAY TEJIDO CONECTIVO LAXO SIN TEJIDO ADIPOSO
  • 15.
    SENO LACTIFERO: DILATACIÓN DE LOSCONDUCTOS GALACTOFOROS. SISTEMA DE CONDUCTOS: EPITELIO CILINDRICO BAJO DE DOS CAPAS DE ESPESOR.
  • 16.
  • 17.
  • 19.
    GLANDULA MAMARIA ACTIVA PROGESTERONA YESTRÓGENOS CIRCULANTES- CIRCULANTES- EMBARAZO RAPIDO CRECIMIENTO EN LA LONGITUD Y EN GRADO DE RAMIFICACIÓN DEL SISTEMA DE CONDUCTOS. INFILTRACIÓN DEL ESTROMA: LINFOCITOS, CÉLULAS PLÁSMATICAS Y EOSINOFILOS.
  • 20.
    ESTRUCTURA HISTOLOGICA DE LOS CONDUCTOS CONDUCTOS MAYORES: EPITELIO CILÍNDRICO BAJO EN 2 CAPAS CONDUCTOS MENORES: EPITELIO CILÍNDRICO SIMPLE ALVEOLOS: EN LA GLÁNDULA EN REPOSO, EPITELIO PLANO O CÚBICO BAJO QUE CRECE EN ALTURA EN GL. ACTIVA
  • 21.
    Mecanismo de secreciónde la glándula mamaria. GRÁNULOS SECRETORES : MATERIAL PROTEÍNICO: MECANISMO DE SECRESIÓN MEROCRINA MATERIAL GRASO (GOTAS DE LÍPIDOS): MECANISMO DE SECRESIÓN APOCRINA
  • 22.
    CÉLULAS MIOEPITELIALES CELULAS MIOEPITELIALES, PROLONGACIONES RAMIFICADAS OCUPAN LOS HUECOS ENTRE Y BAJO LAS CELULAS SECRETORAS. REPLETAS DE FILAMENTOS DE ACTINA.
  • 24.
    REGRESIÓN DE LA GLÁNDULA MAMARIA MECANISMO NEUROHORMONAL SECRESIÓN DE PROLACTINA RETENCIÓN DE LECHE COMPRESIÓN DE LOS VASOS SANGUÍNEOS, DISMINUYE EL APORTE DE OXITOCINA A LAS CELULAS MIOEPITELIALES. GLÁNDULA NO VUELVE A SU ESTADO ORIGINAL ALVEOLOS QUE SE FORMARON EN EL PERÍODO GESTACIONAL NO DESAPARECEN POR COMPLETO. COMPLETO.
  • 25.
    INVOLUCIÓN DE LA GLÁNDULAMAMARIA MUJERES DE EDAD AVANZADA, INVOLUCIÓN GRADUAL CON ATROFIA DE LOS ALVEOLOS SÓLIDOS PORCIONES DISTALES DEL SISTEMA DE CONDUCTOS. TEJIDO CONJUNTIVO PIERDE DENSIDAD CELULAR. HAY MENOS COLÁGENO Y CÉLULAS ADIPOSAS.
  • 27.
    ÓRGANO FETO MATERNO,TEMPORARIO, SOLO SE DESARROLLA EN MAMÍFEROS, FORMADO POR CÉLULAS DERIVADAS DE DOS INDIVIDUOS DISTINTOS CON 2 GENOTIPOS DISTINTOS.
  • 28.
    DEFINICION SITIO PRINCIPALDE INTERCAMBIO DE NUTRIENTES, DESECHOS Y GASES ENTRE LA MADRE Y EL FETO. TIENE DOS PORCIONES: FETAL: CORION VELLOSO MATERNA: DECIDUA BASAL
  • 29.
    DESARROLLO DE LAPLACENTA A principios de la segunda semana el blastocisto consta de dos partes: EL TROFOBLASTO Y EL EMBRIOBLASTO EMBRIOBLASTO.
  • 30.
    DESARROLLO DE LAPLACENTA EL EMBRIOBLASTO: Dará origen al embrión. EL TROFOBLASTO: dará origen a la placenta y se divide en dos capas: CITOTROFOBLASTO Y SINCITIOTROFOBLASTO
  • 31.
    DESARROLLO DE LA PLACENTA El sincitiotrofoblasto penetra en la decidua formando redes lacunares, lacunares, con sangre materna y secreciones glandulares (embriotrofo). embriotrofo).
  • 32.
    CORION En la octavasemana las vellosidades coriónicas cubren todo el saco coriónico, al crecer, las vellosidades en relación a la decidua capsular se comprimen y degeneran: CORION LISO
  • 33.
    DECIDUA VERA DECIDUA CAPSULAR CORION FRONDOSO CORION LISO O LEVE DECIDUA BASAL
  • 34.
    DECIDUA ES LACAPA FUNCIONAL DEL ENDOMETRIO, EN UNA MUJER EMBARAZADA. ESTE SE DESPRENDE DURANTE EL PARTO, COMPRENDE 3 PORCIONES: BASAL DECIDUA CAPSULAR PARIETAL
  • 35.
    DESARROLLO DE LA PLACENTA Alfinal de la segunda semana del desarrollo se forman las vellosidades coriónicas primarias: Citotrofoblasto y sincitiotrofoblasto
  • 36.
    Formación del Coriony vellosidades primarias
  • 37.
    DESARROLLO DE LAPLACENTA Al inicio de la tercera semana crece mesénquima hacia las vellosidades primarias, además se ramifican: vellosidades secundarias. secundarias.
  • 38.
    DESARROLLO DE LA PLACENTA Cuando aparecen vasos sanguíneos en las vellosidades secundarias se convierten en vellosidades terciarias. terciarias.
  • 39.
    Concha citotrofoblástica Células del citotrofoblastoque atraviesan el sincitiotrofoblasto y que unen las vellosidades al endometrio.
  • 40.
    VELLOSIDADES TERCIARIAS DE TALLO: las que unen las TALLO: vellosidades por medio de la concha citotrofoblastica al endometrio. DE ANCLAJE: las que se unen al corion. ANCLAJE: TERMINALES: TERMINALES: o en rama crecen a los lados y se piensa que aquí se lleva a cabo el intercambio entre sangre materna y fetal.
  • 41.
  • 42.
    CORION VELLOSO Vellosidades enrelaciòn a la decidua basal que crecen y se ramifican, también llamado “corion frondoso” PORCION FETAL DE LA PLACENTA
  • 43.
    Embrión y sus membranas,se observa el corion liso y frondoso. frondoso. 5°SEMANA
  • 45.
    3 SEMANAS 10 SEMANAS 4 SEMANAS 20 SEMANAS
  • 47.
    ESPACIO INTERVELLOSO Deriva delas lagunas que se desarrollaron del sincitiotrofoblasto en la 2a semana. Se divide en compartimientos por los tabiques placentarios: tejido decidual en forma de cuña que dividen la parte fetal de la placenta en 15 a 20 COTILEDONES.
  • 48.
  • 50.
    BARRERA PLACENTARIA TEJIDOS EXTRAFETALES QUE SEPARAN LA SANGRE MATERNA Y FETAL: SINCITIOTROFOBLASTO CITOTROFOBLASTO TEJIDO CONECTIVO ENDOTELIO CAPILAR
  • 51.
  • 52.
    Barrera o membrana placentaria (vellosidaden rama) a las 10 semanas. La misma membrana placentaria en un embarazo a término.
  • 53.
    FUNCIONES DE LA PLACENTA TIENE 3 FUNCIONES PRINCIPALES. Metabólicas Transporte de gases y nutrientes Secreción endocrina.
  • 55.
  • 56.
  • 59.
    CITOLOGÍA EXFOLIATIVA Consisteen el examen microscópico de las células descamadas de los tejidos. Puede realizarse un frotis con dichas células y teñirlas con la técnica de Papanicolau o similares, para facilitar su observación microscópica. Previo a la tinción, deben fijarse en alcohol isopropílico al 95%.
  • 60.
    PORCIÓN DE LAQUE PUEDE TOMARSE UN FROTIS
  • 65.
    EL CONDUCTO ENDOCERVICAL ESTATAPIZADO POR UN EPITELIO CILINDRICO ALTO SIMPLE (COLUMNAR) MUCOSECRETOR. LA UNIÓN ESCAMOCILÍNDRICA (ESCAMOCOLUMNAR) ES AFECTADA CON FRECUENCIA POR NEOPLASIAS.
  • 69.
    CELULAS NORMALES DEL TRACTOGENITAL FEMENINO CELULAS MÁS PROFUNDAS: BASALES C. PARABASALES C. INTERMEDIAS C. SUPERFICIALES. CARACTERISTICAS MORFOLÓGICAS PROPIAS, HAY QUE OBSERVAR SU NÚCLEO Y SU CITOPLASMA. CITOPLASMA.
  • 73.
    CÉLULAS SUPERFICIALES MÁS COMUNESEN LA FASE PREOVULATORIA DE LAS MUJERES EN EDAD FERTIL FORMA POLIEDRICA, REACCIÓN TINTORIAL; NARANJÓFILA O EOSINÓFILA, NUCLEO PEQUEÑO
  • 74.
    CÉLULAS INTERMEDIAS MASCOMUNES EN LA FASE POSOVULATORIA O PROGESTÁGENA. REACCIÓN TINTOREAL VERDE AZULADA PÁLIDA, NÚCLEO REDONDO U OVAL.
  • 75.
    CÉLULAS PARABASALES INFRECUENTE EN MUJERES NORMALES EN EDAD FERTIL. CELULAS PARABASALES EXTERNAS: ADQUIREN UN COLOR VERDE AZULADO CLARO CON LA COLORACIÓN DE PAPANICOLAU, POLIÉDRICAS CELULAS PARABASALES INTERNAS: ELIPTICAS, DENSAS VERDE AZULADO INTENSO NUCLEO OVAL 8-12 MICROMETROS
  • 76.
    CÉLULAS BASALES NO APARECEN EN LOS RASPADOS ORDINARIOS, NUCLEO GRANDE Y CITOPLASMA ES ESCASO MUY BASÓFILO
  • 77.
    CELULAS PROVENIENTES DEL ENDOCERVIX DOS TIPOS DE CELULAS: CELULAS: CILIADAS Y SECRETORAS TRANSICIÓN DE LOS EPITELIOS UNIÓN ESCAMO-CILÍNDRICA ESCAMO-
  • 83.
    TOMA DE LAMUESTRA
  • 89.