SISTEMA GASTRO
   INTESTINAL




     PARTE IV
HISTOLOGÍA DEL
HÍGADO Y VESÍCULA
     BILIAR



           DRA. CARMEN DE VÁZQUEZ
                       Y
         DRA. SYLVIA GONZÁLEZ ORTIZ
HÍGADO
Glándula
accesoria del
sistema
gastrointestinal
La mayor
glándula – 1500
gramos
Posee una
cápsula de tejido
conjuntivo:
Cápsula de
Glisson.
RESUMEN DE SUS
  FUNCIONES
 PRODUCCIÓN DE BILIS
 (FUNCIÓN EXÓCRINA)
 SÍNTESIS: PROTEÍNAS
 PLASMÁTICAS Y OTRAS
 (FUNCIÓN ENDOCRINA)
 ALMACENAMIENTO DE
 CARBOHIDRATOS
 DEGRADACIÓN DE
 FÁRMACOS Y
 SUSTANCIAS TÓXICAS.
ELEMENTOS
   HISTOLÓGICOS Y
CELULARES DEL HÍGADO
ORGANIZACIÓN DEL HÍGADO
Muestra muy poco tejido
conjuntivo en su interior
Es posible observar un
patrón repetido de áreas
más o menos
hexagonales, en las que
las trabéculas de Remack
compuestas por células
parenquimatosas se
disponen radialmente
alrededor de una vena
central.
LOBULILLO
CLÁSICO



LOBULILLO
PORTA



ACINO
HEPÁTICO
LOBULILLO CLÁSICO
POLIGONAL (HEXAGONAL)
0.7 a 1.0 m m DE DIÁMETRO,
LONGITUD 2 m m

EN SU PARTE CENTRAL:
   VENA CENTRAL (VÉNULA
   HEPÁTICA TERMINAL O
   CENTRO-
   CENTRO-LOBULILLAR).

Y EN LA PERIFERIE, LOS
ESPACIOS PORTALES:
(TRIADAS PORTALES)

   ARTERIA HEPÁTICA (rama)
   VENA PORTA (rama)
   CONDUCTILLO BILIAR
   CAPILAR LINFÁTICO
   Y TEJIDO CONJUNTIVO
   INTERLOBULILLAR.
   INTERLOBULILLAR.
LOBULILLO
 CLÁSICO
LOBULILLO PORTA
FORMA
TRIANGULAR
PARÉNQUIMA
HEPÁTICO QUE
RODEA A CADA
ESPACIO PORTA
INCLUYE
SECTORES DE TRES
LOBULILLOS
CLÁSICOS
ADYACENTES
ACINO HEPÁTICO
UNIDAD
ESTRUCTURAL Y
FUNCIONAL DEL
HÍGADO
MASA MAS O MENOS
OVOIDE DE CÉLULAS
PARENQUIMATOSAS
QUE RODEAN A
CADA ARTERIOLA,
VÉNULA Y
CONDUCTILLO
BILIAR RAMIFICADO
LATERALMENTE DEL
ESPACIO PORTA.
ACINO HEPÁTICO
SINUSOIDES HEPÁTICOS

Más anchos que los
capilares
Revestidos por
células endoteliales
con zonas de
solución de
continuidad y
perforaciones
transcelulares.
LOBULILLO CLÁSICO
EN HÍGADO DE CERDO
SINUSOIDES
CÉLULAS DE KUPFFER
Situadas en la
superficie de las
células endoteliales
Emiten prolongaciones
hacia la luz y entre las
células endoteliales
subyacentes,
pseudópodos y
cuerpos vermiformes
Proceden de monocitos
Fagocita hematíes
envejecidos o
lesionados y elimina
bacilos colónicos de la
sangre
ESPACIO PERISINUSOIDAL (DE DISSE)
 Espacio situado entre los
 sinusoides y las células
 parenquimatosas
 En el existen delgados
 haces de fibras de
 reticulina y ocasionales
 axones nerviosos
 amielínicos.
 Se observan células
 almacenadoras de Grasa,
                  Grasa,
 con prolongaciones que
 hacen contacto con
 células endoteliales.
 ♣ Muestran múltiples gotas
   de grasa en su citoplasma
Tipo III



O almacenadora de
      grasa
OTROS NOMBRE PARA LAS CÉLULAS
  ALMACENADORAS DE GRASA EN EL
ESPACIO PERISINUSOIDAL DEL HÍGADO:



Células estrelladas
Células
intersticiales
Lipocitos
Células de Ito
Perisinusoidales.
Perisinusoidales.
HEPATOCITOS

80% de la celularidad del hígado
Forma poligonal
Disposición trabecular
“Lados de los hepatocitos”:
  Región sinusoidal: escasas microvellosidades
  Región lateral, Hepatocitos adyacentes: lisas
  Región canalicular biliar: escasas
  microvellosidades.
  microvellosidades.
TRABÉCULAS DE
 HEPATOCITOS
Hepatocitos
Núcleo redondo
con 1 o 2 nucleolos
prominentes
25% binucleados
Citoplasma con
cuerpos basófilos:
ergastoplasma RER
(Ribosomas)
Pequeñas gotas de
lípidos
HEPATOCITOS
ORGANIZACIÓN DE LOS
 HEPATOCITOS EN UN
    LOBULILLO
Triada portal o espacio
          porta
Pequeña área
triangular formada
por tejido conjuntivo
denso, en cuyo seno
se advierte:
  Un conductillo biliar,
  Una rama de la arteria
  hepática
  Una rama de la vena
  porta,
  Y también capilares
  linfáticos.
Las ramificaciones
laterales de las ramas
de la arteria hepática y
vena porta confluyen
en los sinusoides
hepáticos que drenan
en la vena central.
La bilis es secretada
hacia los: canalículos
biliares
    Situados en el
    interior de las
    trabéculas de
    células hepáticas.
Y luego al sistema de
conductillos.
CONDUCTOS HEPÁTICOS
Canalículo biliar:
  Localizado a medio
  camino en la interfaz de
  los hepatocitos
  adyacentes
  0.5 a 1.5 micrómetros
  de diámetro
  Forman una red en el
  interior de las
  trabéculas de
  hepatocitos
  Su pared es una
  especialización de las
  superficies de las
  células hepáticas, NO
  están revestidos por
  epitelio propio.
DE HERRING

Conductillos terminales
(canales de Herring):
  Revestidos inicialmente por
  células planas
  Luego éstas se transforman
  en cuboideas
Conductos biliares
interlobulillares:
  Asociadas a ramas de A.
  Hepática y V. Porta en los
  espacios porta
  Epitelio cuboideo o cilíndrico
  bajo, ocasionales células
  productoras de Moco.
Conductos hepáticos
derecho e izquierdo
conducto biliar común
y císt ico    forman el
   colédoco.
   Epitelio cilíndrico
   Pared gruesa:
   Submucosa,
   Submucosa,
   muscular y
   adventicia.
   Glándulas tubulares
   en la Submucosa.
          Submucosa.
ESTROMA DE TEJIDO
          CONJUNTIVO

Escaso tejido conjuntivo
  Cápsula de Glisson: más gruesa en el hilio
               Glisson:
  En los espacios porta.
  Fibras reticulares: Entre los sinusoides y
  trabéculas de células parenquimatosas.
                        parenquimatosas.
  Haces de fibras colágenas:
                   colágenas:
    Delgados: Espacio perisinusoidal (Disse)
                                      Disse)
    Toscos: Zonas portales
CÁPSULA DE GLISSON




HILIO
Células que producen el tejido conjuntivo
en el Hígado:
  Ausencia de Fibroblastos
  Células probablemente implicadas:
    Células almacenadoras de la grasa (Células de Ito)
    Células endoteliales
    Hepatocitos
IRRIGACIÓN SANGÚINEA HEPÁTICA
CONTINUACIÓN …
VESÍCULA Y VÍAS BILIARES
VESÍCULA BILIAR
REGIONES:
  Fondo,
  Cuerpo
  Y cuello.
FUNCIONES:
  Almacenamiento
  Concentración
  Liberación de la bilis
  hacia el Duodeno
PARED:
  Mucosa
  Muscular
  Subserosa
  Serosa y/o Adventicia
VESÍCULA BILIAR
MUCOSA:
 Epitelio: Unica capa de
 células cilíndricas altas,
 núcleo oval, citoplasma
 débilmente eosinófilo
 Borde estriado
 (microvellosidades)
 (microvellosidades)          O SENO DE ROKITANSKY
                                     ASCHOFF
 Lámina propia: Con laxa
 organización de fibras
 colágenas y elásticas muy
 vascularizada.
 Pliegues mucosos
 Glándulas tubuloalveolares
 simples en la lámina
 propia del CUELLO
 VESICAL.
 Invaginación de Mucosa:
 Senos de Rokitansky-
           Rokitansky-
 Aschoff.
VESÍCULA BILIAR
MUSCULAR:
Longitudinal,
transversal y oblícua.
SUBSEROSA:
SUBSEROSA: En la
parte que está en
relación con la
cavidad peritoneal, y
en la parte que se adosa
al hígado esta capa se
denomina
PERIMUSCULAR.
SEROSA:
SEROSA:
Es la capa más
externa, revestida por
células mesoteliales,
        mesoteliales,
se encuentra en la
parte que está en
relación con la
cavidad peritoneal, y
en la que está
adosada al hígado a
la última capa se le
llama
ADVENTICIA.
CONDUCTO CÍSTICO
 Cuello de la vesícula biliar-
3-4 cms.

 Conducto Biliar Común ó
  Conducto Colédoco
atraviesan la capa muscular
del duodeno

       atravesando la
submucosa forman la
ampolla de Vater:
(ampolla hepatopancreática)
C. HEPÁTICO IZQ.

 C. HEPÁTICO DER.

C. HEPÁTICO COMÚN




 C. CÍSTICO



  C. COLÉDOCO
Hígado

Hígado

  • 2.
    SISTEMA GASTRO INTESTINAL PARTE IV
  • 3.
    HISTOLOGÍA DEL HÍGADO YVESÍCULA BILIAR DRA. CARMEN DE VÁZQUEZ Y DRA. SYLVIA GONZÁLEZ ORTIZ
  • 4.
    HÍGADO Glándula accesoria del sistema gastrointestinal La mayor glándula– 1500 gramos Posee una cápsula de tejido conjuntivo: Cápsula de Glisson.
  • 5.
    RESUMEN DE SUS FUNCIONES PRODUCCIÓN DE BILIS (FUNCIÓN EXÓCRINA) SÍNTESIS: PROTEÍNAS PLASMÁTICAS Y OTRAS (FUNCIÓN ENDOCRINA) ALMACENAMIENTO DE CARBOHIDRATOS DEGRADACIÓN DE FÁRMACOS Y SUSTANCIAS TÓXICAS.
  • 6.
    ELEMENTOS HISTOLÓGICOS Y CELULARES DEL HÍGADO
  • 7.
    ORGANIZACIÓN DEL HÍGADO Muestramuy poco tejido conjuntivo en su interior Es posible observar un patrón repetido de áreas más o menos hexagonales, en las que las trabéculas de Remack compuestas por células parenquimatosas se disponen radialmente alrededor de una vena central.
  • 8.
  • 10.
    LOBULILLO CLÁSICO POLIGONAL (HEXAGONAL) 0.7a 1.0 m m DE DIÁMETRO, LONGITUD 2 m m EN SU PARTE CENTRAL: VENA CENTRAL (VÉNULA HEPÁTICA TERMINAL O CENTRO- CENTRO-LOBULILLAR). Y EN LA PERIFERIE, LOS ESPACIOS PORTALES: (TRIADAS PORTALES) ARTERIA HEPÁTICA (rama) VENA PORTA (rama) CONDUCTILLO BILIAR CAPILAR LINFÁTICO Y TEJIDO CONJUNTIVO INTERLOBULILLAR. INTERLOBULILLAR.
  • 11.
  • 12.
    LOBULILLO PORTA FORMA TRIANGULAR PARÉNQUIMA HEPÁTICO QUE RODEAA CADA ESPACIO PORTA INCLUYE SECTORES DE TRES LOBULILLOS CLÁSICOS ADYACENTES
  • 13.
    ACINO HEPÁTICO UNIDAD ESTRUCTURAL Y FUNCIONALDEL HÍGADO MASA MAS O MENOS OVOIDE DE CÉLULAS PARENQUIMATOSAS QUE RODEAN A CADA ARTERIOLA, VÉNULA Y CONDUCTILLO BILIAR RAMIFICADO LATERALMENTE DEL ESPACIO PORTA.
  • 14.
  • 16.
    SINUSOIDES HEPÁTICOS Más anchosque los capilares Revestidos por células endoteliales con zonas de solución de continuidad y perforaciones transcelulares.
  • 17.
  • 18.
  • 19.
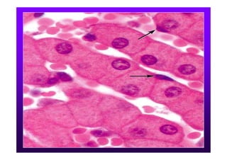
    CÉLULAS DE KUPFFER Situadasen la superficie de las células endoteliales Emiten prolongaciones hacia la luz y entre las células endoteliales subyacentes, pseudópodos y cuerpos vermiformes Proceden de monocitos Fagocita hematíes envejecidos o lesionados y elimina bacilos colónicos de la sangre
  • 21.
    ESPACIO PERISINUSOIDAL (DEDISSE) Espacio situado entre los sinusoides y las células parenquimatosas En el existen delgados haces de fibras de reticulina y ocasionales axones nerviosos amielínicos. Se observan células almacenadoras de Grasa, Grasa, con prolongaciones que hacen contacto con células endoteliales. ♣ Muestran múltiples gotas de grasa en su citoplasma
  • 22.
  • 23.
    OTROS NOMBRE PARALAS CÉLULAS ALMACENADORAS DE GRASA EN EL ESPACIO PERISINUSOIDAL DEL HÍGADO: Células estrelladas Células intersticiales Lipocitos Células de Ito Perisinusoidales. Perisinusoidales.
  • 24.
    HEPATOCITOS 80% de lacelularidad del hígado Forma poligonal Disposición trabecular “Lados de los hepatocitos”: Región sinusoidal: escasas microvellosidades Región lateral, Hepatocitos adyacentes: lisas Región canalicular biliar: escasas microvellosidades. microvellosidades.
  • 25.
  • 26.
    Hepatocitos Núcleo redondo con 1o 2 nucleolos prominentes 25% binucleados Citoplasma con cuerpos basófilos: ergastoplasma RER (Ribosomas) Pequeñas gotas de lípidos
  • 27.
  • 28.
    ORGANIZACIÓN DE LOS HEPATOCITOS EN UN LOBULILLO
  • 29.
    Triada portal oespacio porta Pequeña área triangular formada por tejido conjuntivo denso, en cuyo seno se advierte: Un conductillo biliar, Una rama de la arteria hepática Una rama de la vena porta, Y también capilares linfáticos.
  • 30.
    Las ramificaciones laterales delas ramas de la arteria hepática y vena porta confluyen en los sinusoides hepáticos que drenan en la vena central. La bilis es secretada hacia los: canalículos biliares Situados en el interior de las trabéculas de células hepáticas. Y luego al sistema de conductillos.
  • 31.
    CONDUCTOS HEPÁTICOS Canalículo biliar: Localizado a medio camino en la interfaz de los hepatocitos adyacentes 0.5 a 1.5 micrómetros de diámetro Forman una red en el interior de las trabéculas de hepatocitos Su pared es una especialización de las superficies de las células hepáticas, NO están revestidos por epitelio propio.
  • 32.
    DE HERRING Conductillos terminales (canalesde Herring): Revestidos inicialmente por células planas Luego éstas se transforman en cuboideas Conductos biliares interlobulillares: Asociadas a ramas de A. Hepática y V. Porta en los espacios porta Epitelio cuboideo o cilíndrico bajo, ocasionales células productoras de Moco.
  • 33.
    Conductos hepáticos derecho eizquierdo conducto biliar común y císt ico forman el colédoco. Epitelio cilíndrico Pared gruesa: Submucosa, Submucosa, muscular y adventicia. Glándulas tubulares en la Submucosa. Submucosa.
  • 34.
    ESTROMA DE TEJIDO CONJUNTIVO Escaso tejido conjuntivo Cápsula de Glisson: más gruesa en el hilio Glisson: En los espacios porta. Fibras reticulares: Entre los sinusoides y trabéculas de células parenquimatosas. parenquimatosas. Haces de fibras colágenas: colágenas: Delgados: Espacio perisinusoidal (Disse) Disse) Toscos: Zonas portales
  • 35.
  • 36.
    Células que producenel tejido conjuntivo en el Hígado: Ausencia de Fibroblastos Células probablemente implicadas: Células almacenadoras de la grasa (Células de Ito) Células endoteliales Hepatocitos
  • 37.
  • 39.
  • 43.
  • 44.
    VESÍCULA BILIAR REGIONES: Fondo, Cuerpo Y cuello. FUNCIONES: Almacenamiento Concentración Liberación de la bilis hacia el Duodeno PARED: Mucosa Muscular Subserosa Serosa y/o Adventicia
  • 45.
    VESÍCULA BILIAR MUCOSA: Epitelio:Unica capa de células cilíndricas altas, núcleo oval, citoplasma débilmente eosinófilo Borde estriado (microvellosidades) (microvellosidades) O SENO DE ROKITANSKY ASCHOFF Lámina propia: Con laxa organización de fibras colágenas y elásticas muy vascularizada. Pliegues mucosos Glándulas tubuloalveolares simples en la lámina propia del CUELLO VESICAL. Invaginación de Mucosa: Senos de Rokitansky- Rokitansky- Aschoff.
  • 46.
    VESÍCULA BILIAR MUSCULAR: Longitudinal, transversal yoblícua. SUBSEROSA: SUBSEROSA: En la parte que está en relación con la cavidad peritoneal, y en la parte que se adosa al hígado esta capa se denomina PERIMUSCULAR.
  • 47.
    SEROSA: SEROSA: Es la capamás externa, revestida por células mesoteliales, mesoteliales, se encuentra en la parte que está en relación con la cavidad peritoneal, y en la que está adosada al hígado a la última capa se le llama ADVENTICIA.
  • 48.
    CONDUCTO CÍSTICO Cuellode la vesícula biliar- 3-4 cms. Conducto Biliar Común ó Conducto Colédoco atraviesan la capa muscular del duodeno atravesando la submucosa forman la ampolla de Vater: (ampolla hepatopancreática)
  • 49.
    C. HEPÁTICO IZQ. C. HEPÁTICO DER. C. HEPÁTICO COMÚN C. CÍSTICO C. COLÉDOCO