Page  2
bb
Page  3
Page  4
Page  5 The McGraw-Hill Companies
Técnicas de ayuda odontológica y estomatológica / J.M. Morillo
¿Cómo se realiza
una historia clínica
en Odontología?
Page  6 The McGraw-Hill Companies
Técnicas de ayuda odontológica y estomatológica / J.M. Morillo
La Historia Clínica es un documento donde se
recoge toda la información relativa al paciente, que
incluiría datos derivados de su interrogatorio, de la
exploración clínica y complementaria, del
tratamiento instaurado y del seguimiento realizado
Page  7 The McGraw-Hill Companies
Técnicas de ayuda odontológica y estomatológica / J.M. Morillo
El primer paso en la
Historia Clínica es realizar
un interrogatorio o
ANAMNESIS
Page  8 The McGraw-Hill Companies
Técnicas de ayuda odontológica y estomatológica / J.M. Morillo
¿Qué datos se recogen en la anamnesis?
Datos de filiación
Nombre
Fecha nacimiento
Lugar nacimiento
Profesión
Dirección
Teléfono
Motivo de consulta
¿Qué le ocurre?
¿Desde cuándo?
¿A qué lo atribuye?
Antecedentes
personales
Cualquier
enfermedad actual
o pasada
(diabetes,
hipertensión,
úlcera, etc)
Alergias a
medicamentos
Fármacos que
toma actualmente
Antecedentes
familiares
Page  9 The McGraw-Hill Companies
Técnicas de ayuda odontológica y estomatológica / J.M. Morillo
¿Qué es la exploración clínica?
Es la recogida de información directamente del
paciente mediante nuestros sentidos y/o
ayudados de instrumentos manuales. Nos vamos
a apoyar en la vista (inspección), el tacto
(palpación) y el oído (auscultación)
Page  10 The McGraw-Hill Companies
Técnicas de ayuda odontológica y estomatológica / J.M. Morillo
Exploración
clínica
Exploración
intraoral
Exploración
extraoral
De frente
De perfil
Inspección
Palpación
Tejidos
blandos
Tejidos
periodontales
Dientes
•Asimetrías
•Cambios de
color
•Abultamientos
•ATM: ruidos
articulares
•Adenopatías
cervicales
(ganglios linfáticos
del cuello)
Page  11 The McGraw-Hill Companies
Técnicas de ayuda odontológica y estomatológica / J.M. Morillo
Page  12
Primera Dentición
 Consta de 20 pequeños dientes.
 Cuya forma y tamaño satisfacen las necesidades fisiológicas requeridas
para el niño.
 La dentadura infantil o algunas unidades de ella, alcanzan hasta diez
años de vida en funciones.
 Su color blanco lechoso ligeramente azulado los define a todos.
Dientes Fundamentales o Dientes Infantiles
Page  13
Page  14
Primera Dentición
Dientes Fundamentales o Dientes Infantiles
Page  15
Segunda Dentición
 32 dientes forman la dentadura del adulto.
 Los dientes de la segunda dentición son de volumen mayor que los de la
primera, y sus diámetros son más grandes en todos sentidos.
 Son de color marfil, blanco-amarillento, la superficie del esmalte es
menos lisa y brillante que los dientes infantiles.
Dientes de Adulto o Dientes de la Segunda Dentición
Page  16
Segunda Dentición
Dientes de Adulto o Dientes de la Segunda Dentición
Notación dentaria
Page  18
Notación Sistema de signos
convencionales que se adopta para
expresar ciertos conceptos
matemáticos, químicos, musicales, etc.
Page  19
Notación dentaria o Diagramas dentarios
Page  20
Page  21
Page  22
Page  23
Notación dentaria
Sistema de signos y abreviaturas
convencionales que se emplean
para representar piezas dentarias.
La notación dentaria la utilizamos
con el fin de poder identificar un
diente sin necesidad de nombrarlo
por completo.
Existen distintos sistemas de
identificación mediante letras,
números y símbolos.
INCISIVO CENTRAL
SUPERIOR DERECHO
PERMANENTE =
SEGUNDO MOLAR
SUPERIOR IZQUIERDO
PRIMARIO =
Page  24
Sistemas de
Notación dentaria
Sistema crucial o diagrama de cuadrantes
Zsigmondy-Palmer.
Sistema de dos dígitos aprobado por la
Federación Dental Internacional FDI
Sistema de la Asociación Dental Americana
ADA o Sistema Universal.
Diagrama de signos.
Page  25
Notación dentaria
DER IZQ
SUP
INF
Page  26 11.11.2023 - © KaVo Dental GmbH
Seite
Maxilar (Maxilar Sup.)
Mandibula (Maxilar Inf.)
Palantino –
Directo a palatino
Lingual –
Directo a la lengua
Mesial – a la línea media
Distal – distante a la línea
media
Vestibular – al vestibulo
Labial – al labio
Bucal – a la mejilla
Punto de contacto
Interproximal / Interdental
Page  27 11.11.2023 - © KaVo Dental GmbH
Seite
Raíz:
Apical
Cervical
Corona:
Mesial
Distal
Incisal
Oclusal
Palatino/Lingual
Bucal/Labial
Nomenclatura de dientes
Anteriores
Caninos
Premolares
Molares
Page  28
Notación dentaria
Page  29
Todo registro odontológico se sustenta en la nomenclatura,
la notación y en su correspondiente graficación.
L
i
n
g
u
a
l
Distal Mesial
V
e
s
t
i
b
u
l
a
r
Page  30
Page  31
Page  32
Fosa Central
Fosa Distal
Fosa Mesial
Fosa Vestibular
Page  33
Superficies Abreviatura
Oclusal y Mesial (O) (M)
Oclusodistal (OD)
Mesioclusodistal (MOD)
Mesioclusodistal y palatino (MOD) (P)
Oclusopalatino (OP)
Oclusal y vestibular (O) (V)
Oclusovestibular (OV)
Page  34
La numeración de las piezas permanentes es del 1 al 32 empezando por la
tercera molar superior derecha y termina en la tercera molar inferior
derecha.
Para las piezas temporales es de la A hasta la T empezando de la 2da
molar superior derecha y terminando en la 2da molar inferior derecha. No
se usan las letras “Ch”, “Ñ” ni “Ll”.
Page  35
Los dientes permanentes se enumeran del 1 al 8 empezando por el incisivo
central y terminando en la tercera molar haciendo un diagrama para
diferenciarlo de las diferentes arcadas.
Para el caso de los dientes deciduos se utilizan las letras que van desde la A
hasta la E, empezando del incisivo central y terminando en la segunda molar y
realizando el mismo diagrama para diferenciarlo de las diferentes arcadas
7
Page  36
SISTEMA HADERUB
Page  37
Se enumeran las hemiarcadas del 1 al 4 comenzando por la superior derecha
y terminando en la inferior derecho, y luego se enumeran las piezas dentarias
del 1 al 8 siendo el incisivo central 1 y la tercera molar 8
Page  38
Es un complemento del Odontograma de la Interpol considerando las piezas
deciduas siendo números del 5 al 8 para las hemiarcadas y del 1 al 5 para las
piezas dentarias
Page  39
ODONTOGRAMA MINSA
Page  40
Page  41
Page  42
Page  43
Page  44
Page  45
DISPOSICIONES
ESPECÍFICAS
Azul: En buen estado
Rojo: En mal estado
Page  46
Page  47
Page  48
DES
Page  49
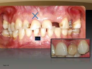
DIS
Page  50
E
Page  51
Page  52
IMP
Page  53
MIC
Page  54
MAC
Page  55
Page  56
RR
Page  57
S
Page  58
Page  59

sistemasderegist.pptx

  • 2.
  • 3.
  • 4.
  • 5.
    Page  5The McGraw-Hill Companies Técnicas de ayuda odontológica y estomatológica / J.M. Morillo ¿Cómo se realiza una historia clínica en Odontología?
  • 6.
    Page  6The McGraw-Hill Companies Técnicas de ayuda odontológica y estomatológica / J.M. Morillo La Historia Clínica es un documento donde se recoge toda la información relativa al paciente, que incluiría datos derivados de su interrogatorio, de la exploración clínica y complementaria, del tratamiento instaurado y del seguimiento realizado
  • 7.
    Page  7The McGraw-Hill Companies Técnicas de ayuda odontológica y estomatológica / J.M. Morillo El primer paso en la Historia Clínica es realizar un interrogatorio o ANAMNESIS
  • 8.
    Page  8The McGraw-Hill Companies Técnicas de ayuda odontológica y estomatológica / J.M. Morillo ¿Qué datos se recogen en la anamnesis? Datos de filiación Nombre Fecha nacimiento Lugar nacimiento Profesión Dirección Teléfono Motivo de consulta ¿Qué le ocurre? ¿Desde cuándo? ¿A qué lo atribuye? Antecedentes personales Cualquier enfermedad actual o pasada (diabetes, hipertensión, úlcera, etc) Alergias a medicamentos Fármacos que toma actualmente Antecedentes familiares
  • 9.
    Page  9The McGraw-Hill Companies Técnicas de ayuda odontológica y estomatológica / J.M. Morillo ¿Qué es la exploración clínica? Es la recogida de información directamente del paciente mediante nuestros sentidos y/o ayudados de instrumentos manuales. Nos vamos a apoyar en la vista (inspección), el tacto (palpación) y el oído (auscultación)
  • 10.
    Page  10The McGraw-Hill Companies Técnicas de ayuda odontológica y estomatológica / J.M. Morillo Exploración clínica Exploración intraoral Exploración extraoral De frente De perfil Inspección Palpación Tejidos blandos Tejidos periodontales Dientes •Asimetrías •Cambios de color •Abultamientos •ATM: ruidos articulares •Adenopatías cervicales (ganglios linfáticos del cuello)
  • 11.
    Page  11The McGraw-Hill Companies Técnicas de ayuda odontológica y estomatológica / J.M. Morillo
  • 12.
    Page  12 PrimeraDentición  Consta de 20 pequeños dientes.  Cuya forma y tamaño satisfacen las necesidades fisiológicas requeridas para el niño.  La dentadura infantil o algunas unidades de ella, alcanzan hasta diez años de vida en funciones.  Su color blanco lechoso ligeramente azulado los define a todos. Dientes Fundamentales o Dientes Infantiles
  • 13.
  • 14.
    Page  14 PrimeraDentición Dientes Fundamentales o Dientes Infantiles
  • 15.
    Page  15 SegundaDentición  32 dientes forman la dentadura del adulto.  Los dientes de la segunda dentición son de volumen mayor que los de la primera, y sus diámetros son más grandes en todos sentidos.  Son de color marfil, blanco-amarillento, la superficie del esmalte es menos lisa y brillante que los dientes infantiles. Dientes de Adulto o Dientes de la Segunda Dentición
  • 16.
    Page  16 SegundaDentición Dientes de Adulto o Dientes de la Segunda Dentición
  • 17.
  • 18.
    Page  18 NotaciónSistema de signos convencionales que se adopta para expresar ciertos conceptos matemáticos, químicos, musicales, etc.
  • 19.
    Page  19 Notacióndentaria o Diagramas dentarios
  • 20.
  • 21.
  • 22.
  • 23.
    Page  23 Notacióndentaria Sistema de signos y abreviaturas convencionales que se emplean para representar piezas dentarias. La notación dentaria la utilizamos con el fin de poder identificar un diente sin necesidad de nombrarlo por completo. Existen distintos sistemas de identificación mediante letras, números y símbolos. INCISIVO CENTRAL SUPERIOR DERECHO PERMANENTE = SEGUNDO MOLAR SUPERIOR IZQUIERDO PRIMARIO =
  • 24.
    Page  24 Sistemasde Notación dentaria Sistema crucial o diagrama de cuadrantes Zsigmondy-Palmer. Sistema de dos dígitos aprobado por la Federación Dental Internacional FDI Sistema de la Asociación Dental Americana ADA o Sistema Universal. Diagrama de signos.
  • 25.
    Page  25 Notacióndentaria DER IZQ SUP INF
  • 26.
    Page  2611.11.2023 - © KaVo Dental GmbH Seite Maxilar (Maxilar Sup.) Mandibula (Maxilar Inf.) Palantino – Directo a palatino Lingual – Directo a la lengua Mesial – a la línea media Distal – distante a la línea media Vestibular – al vestibulo Labial – al labio Bucal – a la mejilla Punto de contacto Interproximal / Interdental
  • 27.
    Page  2711.11.2023 - © KaVo Dental GmbH Seite Raíz: Apical Cervical Corona: Mesial Distal Incisal Oclusal Palatino/Lingual Bucal/Labial Nomenclatura de dientes Anteriores Caninos Premolares Molares
  • 28.
  • 29.
    Page  29 Todoregistro odontológico se sustenta en la nomenclatura, la notación y en su correspondiente graficación. L i n g u a l Distal Mesial V e s t i b u l a r
  • 30.
  • 31.
  • 32.
    Page  32 FosaCentral Fosa Distal Fosa Mesial Fosa Vestibular
  • 33.
    Page  33 SuperficiesAbreviatura Oclusal y Mesial (O) (M) Oclusodistal (OD) Mesioclusodistal (MOD) Mesioclusodistal y palatino (MOD) (P) Oclusopalatino (OP) Oclusal y vestibular (O) (V) Oclusovestibular (OV)
  • 34.
    Page  34 Lanumeración de las piezas permanentes es del 1 al 32 empezando por la tercera molar superior derecha y termina en la tercera molar inferior derecha. Para las piezas temporales es de la A hasta la T empezando de la 2da molar superior derecha y terminando en la 2da molar inferior derecha. No se usan las letras “Ch”, “Ñ” ni “Ll”.
  • 35.
    Page  35 Losdientes permanentes se enumeran del 1 al 8 empezando por el incisivo central y terminando en la tercera molar haciendo un diagrama para diferenciarlo de las diferentes arcadas. Para el caso de los dientes deciduos se utilizan las letras que van desde la A hasta la E, empezando del incisivo central y terminando en la segunda molar y realizando el mismo diagrama para diferenciarlo de las diferentes arcadas 7
  • 36.
  • 37.
    Page  37 Seenumeran las hemiarcadas del 1 al 4 comenzando por la superior derecha y terminando en la inferior derecho, y luego se enumeran las piezas dentarias del 1 al 8 siendo el incisivo central 1 y la tercera molar 8
  • 38.
    Page  38 Esun complemento del Odontograma de la Interpol considerando las piezas deciduas siendo números del 5 al 8 para las hemiarcadas y del 1 al 5 para las piezas dentarias
  • 39.
  • 40.
  • 41.
  • 42.
  • 43.
  • 44.
  • 45.
    Page  45 DISPOSICIONES ESPECÍFICAS Azul:En buen estado Rojo: En mal estado
  • 46.
  • 47.
  • 48.
  • 49.
  • 50.
  • 51.
  • 52.
  • 53.
  • 54.
  • 55.
  • 56.
  • 57.
  • 58.
  • 59.