M. en C. Ernesto Armienta Aldana
TEJIDO NERVIOSO
                            Comprende tal vez hasta trillones de neuronas con
                            multitud de interconexiones , forma el complejo
                            sistema de comunicación neuronal dentro del cuerpo.



Las neuronas tienen receptores, elaborados en sus terminales, especializados
para recibir diferentes tipos de estímulos (p. ej., mecánicos, químicos, térmicos)
y traducirlos en impulsos nerviosos que finalmente puedan conducirse a centros
nerviosos.

Estos impulsos se transfieren a otras neuronas para su procesamiento y
transmisión a otros centros a fin de percibir sensaciones o iniciar reacciones
motoras.
ORGANIZACIÓN


           * SNC ( encéfalo y medula espinal )

Sistema
Nervioso
           * SNP ( nervios craneales, nervios raquídeos y sus ganglios
                   relacionados)
* Componente sensorial “ aferente ”
        ( recibe y transmite impulsos al SNC para su procesamiento )

SNP
      * Componente motor “ eferente ”
        ( se origina en el SNC y transmite impulsos a órganos efectores
          en la totalidad del cuerpo )
COMPONENTE MOTOR

* Sistema somático: los impulsos que se originan en el SNC se transmiten
 directamente a través de una neurona a músculos esqueléticos.


* Sistema autónomo: los impulsos provienen del SNC se transmiten primero
 a un ganglio autónomo a través de una neurona; una segunda neurona
 que se origina en el ganglio autónomo lleva a continuación el impulso a
 músculos lisos y músculo cardiaco o glándulas.
 Se subdivide en sistema nervioso simpático y parasimpático.
DESARROLLO DEL
TEJIDO NERVIOSO




Se desarrolla a partir del ectodermo del embrión en respuesta a moléculas
de señalamiento provenientes del notocordio (células que definen el eje
primitivo del embrión ).
CÉLULAS DEL SISTEMA NERVIOSO




* Neuronas: tienen a su cargo las funciones de recepción, integración y
            motora del sistema nervioso.

* Células neurogliales: se encargan de apoyar y proteger a las neuronas
                      ( astrocitos, oligodendrocitos, células de Schwann,
                       microglia y células ependimarias ).
ESTRUCTURA DE LAS NEURONA


        Dendritas
                                    Terminales del axón




                             Axón
         Cuerpo celular,
         soma o pericarion




              Inclusiones
CLASIFICACIÓN DE NEURONAS

            Se clasifican por su morfología ( forma
            y disposición de sus prolongaciones ):

               1.- Neuronas bipolares.
               2.- Neuronas unipolares o pseudo-
                   unipolares.
               3.- Neuronas multipolares.

            Por su función:

               1.- Neuronas sensoriales (aferentes).
               2.- Neuronas motoras (eferentes).
               3.- Interneuronas.
Bipolar
Multipolar
Células de Purkinje
Interneuronas
CÉLULAS DE SOSTÉN Ó NEUROGLIALES

Son las células que tienen por función el apoyo metabólico, mecánico y
la protección de las neuronas. En el sistema nervioso por cada neurona
hay entre 10 a 50 células de neuroglia, y que a diferencia de las neuronas
estas células tienen la capacidad de proliferar. Derivan embriológicamente
del tubo neural.

Las células neurogliales son:
         * Astrocitos
         * Oligodendrocitos
         * Microgliales
         * Ependimarias
         * Schwann
ASTROCITOS

             Proporcionan apoyo estructural y
             metabólico a las neuronas y actúan
             como    eliminadores      de iones y
             neurotransmisores       liberadores al
             espacio extracelular.

             Existen dos tipos:
                * Protoplásmicos.
                * Fibrosos.
OLIGODENDROCITO




                  Actúan en el aislamiento eléctrico y la
                  producción de mielina en el sistema
                  nervioso central.
Esquema de
mielinización en
     el SNC
MICROGLIA


            Son miembros del sistema fagocítico
            mononuclear ( médula ósea ).
            Funcionan como fagocitos para eliminar
            desechos y estructuras dañadas del
            SNC.
            Actúan como células presentadoras de
            antígeno y secretan citocinas.
CÉLULAS EPENDIMARIAS   Son células epiteliales bajas, cilíndricas a
                       cúbicas, que recubren los ventrículos del
                       cerebro y el conducto central de la médula
                       espinal.
                       Participa   en   la   formación del plexo
                       coroideo.
                       Facilita el movimiento del LCR.
                       Forman una membrana limitante interna
                       que recubre el ventrículo y una membrana
                       limitante externa debajo de la pía.
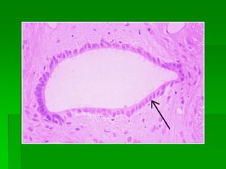
CÉLULAS DE SCHWANN


                     Forman recubrimientos mielinizados y
                     no mielinizados en los axones del
                     sistema nervioso periférico.
                     A diferencia de otras células de la glía,
                     las células de Schwann se localizan en
                     el SNP, en donde envuelven axones.
GENERACIÓN Y CONDUCCIÓN DE IMPULSOS NERVIOSOS

Son señales eléctricas que se generan en la zona desencadenante de espigas
de una neurona como resultado de la despolarización de la membrana y se
conduce a lo largo del axón hasta su terminal.
SINAPSIS Y TRANSMISIÓN
DEL IMPULSO NERVIOSO

                         Son los puntos en que se transmiten los impulsos
                         nerviosos de una célula presináptica (neurona) a
                         una postsináptica ( neurona, célula muscular o
                         glándula ).
                         Permite que las neuronas se comuniquen unas
                         con otras y con células efectoras ( músculos y
                         glándulas ).
                         El impulso en la sinapsis puede transmitirse en
                         forma eléctrica o química.
CONTACTOS SINÁPTICOS
PROTEÍNAS - SINAPSIS
                                     Sinapsina I : forma     un   complejo en la
                                     superficie   de   la vesícula que favorece
                                     aparentemente el agrupamiento de vesículas
                                     sinápticas (neurotransmisores).

                                     Sinapsina II y rab3a : controlan la vinculación
                                     de las vesículas con microfilamentos de
                                     actina.

                                     Sinaptotagmina y Sinaptofisina : controlan la
                                     tracción de las vesículas sinápticas con la
                                     membrana presináptica.

Proteínas SNARE / receptor SNAP (sinaptobrevina, sintaxina y SNAP 25) : estas
proteínas a la entrada de Ca2+ propicia la fusión de la vesícula sináptica con la
membrana presináptica, con lo cual se descarga el neurotransmisor a la
hendidura sináptica mediante exocitosis.
NEUROTRANSMISORES
Son moléculas de señalamiento que se
liberan en las membranas presinápticas y
activan receptores en membranas
postsinápticas.

Los neurotransmisores actúan en dos tipos
de receptores:
a) Los vinculados directamente con canales
   de iones.
b) Los relacionados con proteínas G o
   cinasas de receptor , que activan un
   segundo mensajero.

Los moléculas de señalamiento se clasifican en neurotransmisores y
neuromoduladores o neurohormonas.
Los neurotransmisores y/o neuromoduladores se agrupan en:

a) Transmisores de moléculas pequeñas : acetilcolina; aminoácidos glutamato,
   aspartato, glicina y GABA; las aminas biogénicas serotonina y las tres
   catecolaminas dopamina, noradrenalina y adrenalina.

b) Neuropéptidos : péptidos opioides encefalinas y endorfinas; péptidos
   gastrointestinales sustancia P, neurotensina y péptido intestinal vasoactivo
   (VIP); hormona liberadora de tirotropina y la somatostatina.

c) Gases : óxido nítrico (ON) y monóxido de carbono (CO).




                                      S
NERVIOS PERIFÉRICOS
Son haces de fibras nerviosas (axones)
rodeados por varios revestimientos de
hojas de tejido conjuntivo.
Cada    haz   por   lo   general tiene
componentes sensoriales y motores.
Los revestimientos de tejido conectivo
de los nervios periféricos incluyen
epineurio, perineurio y endoneurio.
Fibra nerviosa mielinizada

                             Fibra nerviosa no mielinizada
SISTEMA NERVIOSO MOTOR :




 SOMÁTICO Y AUTÓNOMO
SISTEMA NERVIOSO SOMATICO




Proporciona impulsos motores a los músculos esqueléticos (nervios craneales:
III,IV,VI y XII y nervios raquídeos).
Posee una neurona, que se origina en el SNC que actúa directamente en el
órgano efector.
Estas neuronas son multipolares y sus axones salen del encéfalo o la medula
espinal y viajan al M.E. a través de nervios craneales y raquídeos y hacen
sinapsis en la placa terminal motora.
SISTEMA NERVIOSO AUTÓNOMO




Suministra impulsos motores a los músculos lisos de las vísceras, el músculo
cardiaco y las células secretoras de las glándulas endocrinas y exocrinas.
Posee dos neuronas entre el SNC y el órgano efector.
Los efectos son más prolongados y diseminados.
Se subdivide en sistema nervioso simpático y parasimpático.
Las primeras neuronas del SNA se localizan en el SNC y sus axones
siempre están mielinizados, en tanto que las segundas neuronas están
situadas en ganglios autónomos, que se hallan fuera del SNC y sus axones
casi nunca están mielinizados, aunque siempre están envueltos por células
de Schwann.
SISTEMA NERVIOSO SIMPÁTICO
Prepara al cuerpo para que incremente la
respiración , presión arterial, frecuencia
cardiaca y flujo sanguíneo a músculos
esqueléticos, dilata las pupilas oculares y
con frecuencia desacelere la función
visceral. Se origina en la médula espinal
de segmentos torácicos y lumbares altos
( T1 a L2 “ vía de salida toracolumbar ” ).

 SISTEMA NERVIOSO PARASIMPÁTICO
Disminuye la respiración, preparación arterial y frecuencia cardiaca y el
flujo sanguíneo a músculos esqueléticos, contrae las pupilas e incrementa
las acciones y funciones del sistema visceral (homeostasis). Se origina en
el encéfalo y los segmentos sacros de la médula espinal ( S2 a S4 “ vía de
salida craneosacra ” ).
GANGLIOS
Son agregados de cuerpos celulares de
neuronas localizados fuera del SNC.
Hay dos tipos de ganglios: sensoriales y
autónomos.

Ganglios sensoriales : alojan cuerpos
celulares de neuronas sensoriales ; se
vinculan con los nervios craneales V, VII,
IX y X y con cada uno de los nervios
raquídeos que proceden de la médula
espinal.

Ganglios autónomos : alojan cuerpos celulares de nervios autónomos
posganglionares. Son de función motora porque causan contracción de músculo
liso o cardiaco o secreción glandular.
SISTEMA NERVIOSO CENTRAL




Comprende al encéfalo y medula espinal; se integra con sustancia blanca
y sustancia gris, sin elementos de tejido conectivo intermedios; por
consiguiente, el SNC tiene la consistencia de un gel semiduro.
La sustancia blanca está compuesta principalmente por fibras nerviosas
mielinizadas junto con algunas fibras no mielinizadas y células gliales.

La sustancia gris se conforma de agregados de cuerpos de células
neuronales, dendritas y porciones no mielinizadas de axones y también de
células neurogliales.

La sustancia gris del encéfalo está localizada en la periferia (corteza) del
cerebro y cerebelo y forma los ganglios basales más profundos.

La sustancia blanca se encuentra a nivel profundo respecto de la
corteza y rodea los ganglios basales.
MENINGES
Son los tres recubrimientos de
tejido conectivo del encéfalo y la
médula    espinal   ( duramadre ,
aracnoides y piamadre ).

Duramadre: es la capa densa más
externa, es un tejido conectivo
denso colagenoso compuesto de
dos capas la perióstica ( células
osteoprogenitoras, fibroblastos y fibras de colágena ) y meníngea ( fibroblastos,
fibras de colágena y vasos sanguíneos pequeños ).

Aracnoides: es la capa intermedia de las meninges, es avascular. Consiste en
fibroblastos, colágena y fibras elásticas. Se compone de dos regiones una
membrana plana y una región formada por células trabeculares aracnoideas
(fibroblastos modificados).
Los   vasos    sanguíneos de la dura madre
perforan la aracnoides a su paso por la piamadre
vascular.
Las vellosidades aracnoides transportan el LCR
del espacio subaracnoideo al sistema venoso.
Es difícil distinguir el interfaz entra la aracnoides
y la piamadre, por lo que suelen denominarse
las dos capas piaaracnoides.


Piamadre : es la capa más interna altamente
vascular y está en contacto estrecho con el
encéfalo. Se compone de una capa delgada de
fibroblastos modificados, sus vasos sanguíneos se encuentran rodeados por
macrófagos, células cebadas y linfocitos.
BARRERA HEMATOENCEFÁLICA

Las células endoteliales de los capilares
del SNC impiden el paso libre de
sustancias de origen sanguíneo al tejido
neural.
El transporte es mediado casi por
completo por medio de receptores.
Sustancias tales como el O2, H2O y CO2 y
otros materiales liposolubles pequeños y ciertos fármacos penetran con facilidad.
La glucosa, aminoácidos, algunas vitaminas y nucleósidos, se transfieren a
través de la barrera por proteínas portadoras específicas mediante difusión
facilitada.
Los iones también se transfieren a través de canales de iones mediante
transporte activo.
PLEXO COROIDEO

Se encuentra compuesto de pliegues de
piamadre dentro de los ventrículos del
cerebro; el cual produce el LCR. El LCR
baña el SNC a medida que circula a
través del espacio subaracnoideo.
Los pliegues de la piamadre alojan
abundantes capilares y epitelio cuboidal
simple (ependimario).
LÍQUIDO CEFALORRAQUÍDEO

Es importante para la actividad metabólica,
y como amortiguador líquido para proteger
al SNC ( médula espinal y encéfalo ).
Se constituye con un 90 % de H2O, iones
de Na+, K+ y Cl -, proteínas y unas cuantas
células descamadas y linfocitos.
Lo elabora el plexo coroideo a un ritmo de
unos 14 a 36 ml/h y se reemplaza su
volumen total alrededor de cuatro a cinco veces al día.
Circula a través de los ventrículos del cerebro, espacio subaracnoideo, espacio
perivascular y conducto central de la médula ósea a través de difusión de donde
regresa al torrente sanguíneo.
CORTEZA CEREBRAL

Se encarga del aprendizaje, memoria, integración
sensorial , análisis de información e inicio de
reacciones motoras.

La corteza cerebral se divide en seis capas
compuestas de neuronas, que presentan una
morfología única para la capa particular. Las seis
capas y sus componentes son los siguientes :

                      1.   Capa molecular
                      2.   Capa granulosa externa
                      3.   Capa piramidal externa
                      4.   Capa granulosa interna
                      5.   Capa piramidal interna
                      6.   Capa multiforme
CORTEZA CEREBRAL




         Sustancia gris




                          Sustancia blanca
Capa Molecular




Capa Granular Externa




   Células Piramidales




        Capa Multiforme
CORTEZA CEREBELOSA
Se encarga de conservar el equilibrio, el tono
muscular y la coordinación de músculos
esqueléticos. A nivel histológico, la corteza
cerebelosa se divide en tres capas:

            1. Capa molecular

            2. Capa de células de Purkinje

            3. Capa granulosa
Capa Molecular



Célula de Purkinje




                     Capa Granulosa
REGENERACIÓN NERVIOSA:
REACCIÓN AXONAL

Las reacciones a los traumatismos tienen lugar de
manera característica en tres regiones de la neurona:

1.- Sitio lesivo ó reacción local. Incluye la reparación
y remoción de desechos por células neurogliales.

2.- Puntos   distales al sitio dañado ó reacción
anterógrado. La porción del axón distal a una lesión
se degenera y fagocita.

3.- Puntos proximales al sitio lesivo ó reacción retrógrados. La porción proximal
del axón lesionado sufre degeneración seguida por el brote de un nuevo axón
cuyo crecimiento lo dirigen las células de Schwann.
Tejido nervioso

Tejido nervioso

  • 1.
    M. en C.Ernesto Armienta Aldana
  • 2.
    TEJIDO NERVIOSO Comprende tal vez hasta trillones de neuronas con multitud de interconexiones , forma el complejo sistema de comunicación neuronal dentro del cuerpo. Las neuronas tienen receptores, elaborados en sus terminales, especializados para recibir diferentes tipos de estímulos (p. ej., mecánicos, químicos, térmicos) y traducirlos en impulsos nerviosos que finalmente puedan conducirse a centros nerviosos. Estos impulsos se transfieren a otras neuronas para su procesamiento y transmisión a otros centros a fin de percibir sensaciones o iniciar reacciones motoras.
  • 3.
    ORGANIZACIÓN * SNC ( encéfalo y medula espinal ) Sistema Nervioso * SNP ( nervios craneales, nervios raquídeos y sus ganglios relacionados)
  • 4.
    * Componente sensorial“ aferente ” ( recibe y transmite impulsos al SNC para su procesamiento ) SNP * Componente motor “ eferente ” ( se origina en el SNC y transmite impulsos a órganos efectores en la totalidad del cuerpo )
  • 5.
    COMPONENTE MOTOR * Sistemasomático: los impulsos que se originan en el SNC se transmiten directamente a través de una neurona a músculos esqueléticos. * Sistema autónomo: los impulsos provienen del SNC se transmiten primero a un ganglio autónomo a través de una neurona; una segunda neurona que se origina en el ganglio autónomo lleva a continuación el impulso a músculos lisos y músculo cardiaco o glándulas. Se subdivide en sistema nervioso simpático y parasimpático.
  • 6.
    DESARROLLO DEL TEJIDO NERVIOSO Sedesarrolla a partir del ectodermo del embrión en respuesta a moléculas de señalamiento provenientes del notocordio (células que definen el eje primitivo del embrión ).
  • 7.
    CÉLULAS DEL SISTEMANERVIOSO * Neuronas: tienen a su cargo las funciones de recepción, integración y motora del sistema nervioso. * Células neurogliales: se encargan de apoyar y proteger a las neuronas ( astrocitos, oligodendrocitos, células de Schwann, microglia y células ependimarias ).
  • 8.
    ESTRUCTURA DE LASNEURONA Dendritas Terminales del axón Axón Cuerpo celular, soma o pericarion Inclusiones
  • 12.
    CLASIFICACIÓN DE NEURONAS Se clasifican por su morfología ( forma y disposición de sus prolongaciones ): 1.- Neuronas bipolares. 2.- Neuronas unipolares o pseudo- unipolares. 3.- Neuronas multipolares. Por su función: 1.- Neuronas sensoriales (aferentes). 2.- Neuronas motoras (eferentes). 3.- Interneuronas.
  • 14.
  • 15.
  • 16.
  • 18.
  • 20.
    CÉLULAS DE SOSTÉNÓ NEUROGLIALES Son las células que tienen por función el apoyo metabólico, mecánico y la protección de las neuronas. En el sistema nervioso por cada neurona hay entre 10 a 50 células de neuroglia, y que a diferencia de las neuronas estas células tienen la capacidad de proliferar. Derivan embriológicamente del tubo neural. Las células neurogliales son: * Astrocitos * Oligodendrocitos * Microgliales * Ependimarias * Schwann
  • 23.
    ASTROCITOS Proporcionan apoyo estructural y metabólico a las neuronas y actúan como eliminadores de iones y neurotransmisores liberadores al espacio extracelular. Existen dos tipos: * Protoplásmicos. * Fibrosos.
  • 26.
    OLIGODENDROCITO Actúan en el aislamiento eléctrico y la producción de mielina en el sistema nervioso central.
  • 27.
  • 30.
    MICROGLIA Son miembros del sistema fagocítico mononuclear ( médula ósea ). Funcionan como fagocitos para eliminar desechos y estructuras dañadas del SNC. Actúan como células presentadoras de antígeno y secretan citocinas.
  • 32.
    CÉLULAS EPENDIMARIAS Son células epiteliales bajas, cilíndricas a cúbicas, que recubren los ventrículos del cerebro y el conducto central de la médula espinal. Participa en la formación del plexo coroideo. Facilita el movimiento del LCR. Forman una membrana limitante interna que recubre el ventrículo y una membrana limitante externa debajo de la pía.
  • 34.
    CÉLULAS DE SCHWANN Forman recubrimientos mielinizados y no mielinizados en los axones del sistema nervioso periférico. A diferencia de otras células de la glía, las células de Schwann se localizan en el SNP, en donde envuelven axones.
  • 38.
    GENERACIÓN Y CONDUCCIÓNDE IMPULSOS NERVIOSOS Son señales eléctricas que se generan en la zona desencadenante de espigas de una neurona como resultado de la despolarización de la membrana y se conduce a lo largo del axón hasta su terminal.
  • 41.
    SINAPSIS Y TRANSMISIÓN DELIMPULSO NERVIOSO Son los puntos en que se transmiten los impulsos nerviosos de una célula presináptica (neurona) a una postsináptica ( neurona, célula muscular o glándula ). Permite que las neuronas se comuniquen unas con otras y con células efectoras ( músculos y glándulas ). El impulso en la sinapsis puede transmitirse en forma eléctrica o química.
  • 42.
  • 43.
    PROTEÍNAS - SINAPSIS Sinapsina I : forma un complejo en la superficie de la vesícula que favorece aparentemente el agrupamiento de vesículas sinápticas (neurotransmisores). Sinapsina II y rab3a : controlan la vinculación de las vesículas con microfilamentos de actina. Sinaptotagmina y Sinaptofisina : controlan la tracción de las vesículas sinápticas con la membrana presináptica. Proteínas SNARE / receptor SNAP (sinaptobrevina, sintaxina y SNAP 25) : estas proteínas a la entrada de Ca2+ propicia la fusión de la vesícula sináptica con la membrana presináptica, con lo cual se descarga el neurotransmisor a la hendidura sináptica mediante exocitosis.
  • 44.
    NEUROTRANSMISORES Son moléculas deseñalamiento que se liberan en las membranas presinápticas y activan receptores en membranas postsinápticas. Los neurotransmisores actúan en dos tipos de receptores: a) Los vinculados directamente con canales de iones. b) Los relacionados con proteínas G o cinasas de receptor , que activan un segundo mensajero. Los moléculas de señalamiento se clasifican en neurotransmisores y neuromoduladores o neurohormonas.
  • 45.
    Los neurotransmisores y/oneuromoduladores se agrupan en: a) Transmisores de moléculas pequeñas : acetilcolina; aminoácidos glutamato, aspartato, glicina y GABA; las aminas biogénicas serotonina y las tres catecolaminas dopamina, noradrenalina y adrenalina. b) Neuropéptidos : péptidos opioides encefalinas y endorfinas; péptidos gastrointestinales sustancia P, neurotensina y péptido intestinal vasoactivo (VIP); hormona liberadora de tirotropina y la somatostatina. c) Gases : óxido nítrico (ON) y monóxido de carbono (CO). S
  • 47.
    NERVIOS PERIFÉRICOS Son hacesde fibras nerviosas (axones) rodeados por varios revestimientos de hojas de tejido conjuntivo. Cada haz por lo general tiene componentes sensoriales y motores. Los revestimientos de tejido conectivo de los nervios periféricos incluyen epineurio, perineurio y endoneurio.
  • 50.
    Fibra nerviosa mielinizada Fibra nerviosa no mielinizada
  • 51.
    SISTEMA NERVIOSO MOTOR: SOMÁTICO Y AUTÓNOMO
  • 52.
    SISTEMA NERVIOSO SOMATICO Proporcionaimpulsos motores a los músculos esqueléticos (nervios craneales: III,IV,VI y XII y nervios raquídeos). Posee una neurona, que se origina en el SNC que actúa directamente en el órgano efector. Estas neuronas son multipolares y sus axones salen del encéfalo o la medula espinal y viajan al M.E. a través de nervios craneales y raquídeos y hacen sinapsis en la placa terminal motora.
  • 53.
    SISTEMA NERVIOSO AUTÓNOMO Suministraimpulsos motores a los músculos lisos de las vísceras, el músculo cardiaco y las células secretoras de las glándulas endocrinas y exocrinas. Posee dos neuronas entre el SNC y el órgano efector. Los efectos son más prolongados y diseminados. Se subdivide en sistema nervioso simpático y parasimpático.
  • 54.
    Las primeras neuronasdel SNA se localizan en el SNC y sus axones siempre están mielinizados, en tanto que las segundas neuronas están situadas en ganglios autónomos, que se hallan fuera del SNC y sus axones casi nunca están mielinizados, aunque siempre están envueltos por células de Schwann.
  • 55.
    SISTEMA NERVIOSO SIMPÁTICO Preparaal cuerpo para que incremente la respiración , presión arterial, frecuencia cardiaca y flujo sanguíneo a músculos esqueléticos, dilata las pupilas oculares y con frecuencia desacelere la función visceral. Se origina en la médula espinal de segmentos torácicos y lumbares altos ( T1 a L2 “ vía de salida toracolumbar ” ). SISTEMA NERVIOSO PARASIMPÁTICO Disminuye la respiración, preparación arterial y frecuencia cardiaca y el flujo sanguíneo a músculos esqueléticos, contrae las pupilas e incrementa las acciones y funciones del sistema visceral (homeostasis). Se origina en el encéfalo y los segmentos sacros de la médula espinal ( S2 a S4 “ vía de salida craneosacra ” ).
  • 57.
    GANGLIOS Son agregados decuerpos celulares de neuronas localizados fuera del SNC. Hay dos tipos de ganglios: sensoriales y autónomos. Ganglios sensoriales : alojan cuerpos celulares de neuronas sensoriales ; se vinculan con los nervios craneales V, VII, IX y X y con cada uno de los nervios raquídeos que proceden de la médula espinal. Ganglios autónomos : alojan cuerpos celulares de nervios autónomos posganglionares. Son de función motora porque causan contracción de músculo liso o cardiaco o secreción glandular.
  • 58.
    SISTEMA NERVIOSO CENTRAL Comprendeal encéfalo y medula espinal; se integra con sustancia blanca y sustancia gris, sin elementos de tejido conectivo intermedios; por consiguiente, el SNC tiene la consistencia de un gel semiduro.
  • 59.
    La sustancia blancaestá compuesta principalmente por fibras nerviosas mielinizadas junto con algunas fibras no mielinizadas y células gliales. La sustancia gris se conforma de agregados de cuerpos de células neuronales, dendritas y porciones no mielinizadas de axones y también de células neurogliales. La sustancia gris del encéfalo está localizada en la periferia (corteza) del cerebro y cerebelo y forma los ganglios basales más profundos. La sustancia blanca se encuentra a nivel profundo respecto de la corteza y rodea los ganglios basales.
  • 60.
    MENINGES Son los tresrecubrimientos de tejido conectivo del encéfalo y la médula espinal ( duramadre , aracnoides y piamadre ). Duramadre: es la capa densa más externa, es un tejido conectivo denso colagenoso compuesto de dos capas la perióstica ( células osteoprogenitoras, fibroblastos y fibras de colágena ) y meníngea ( fibroblastos, fibras de colágena y vasos sanguíneos pequeños ). Aracnoides: es la capa intermedia de las meninges, es avascular. Consiste en fibroblastos, colágena y fibras elásticas. Se compone de dos regiones una membrana plana y una región formada por células trabeculares aracnoideas (fibroblastos modificados).
  • 61.
    Los vasos sanguíneos de la dura madre perforan la aracnoides a su paso por la piamadre vascular. Las vellosidades aracnoides transportan el LCR del espacio subaracnoideo al sistema venoso. Es difícil distinguir el interfaz entra la aracnoides y la piamadre, por lo que suelen denominarse las dos capas piaaracnoides. Piamadre : es la capa más interna altamente vascular y está en contacto estrecho con el encéfalo. Se compone de una capa delgada de fibroblastos modificados, sus vasos sanguíneos se encuentran rodeados por macrófagos, células cebadas y linfocitos.
  • 62.
    BARRERA HEMATOENCEFÁLICA Las célulasendoteliales de los capilares del SNC impiden el paso libre de sustancias de origen sanguíneo al tejido neural. El transporte es mediado casi por completo por medio de receptores. Sustancias tales como el O2, H2O y CO2 y otros materiales liposolubles pequeños y ciertos fármacos penetran con facilidad. La glucosa, aminoácidos, algunas vitaminas y nucleósidos, se transfieren a través de la barrera por proteínas portadoras específicas mediante difusión facilitada. Los iones también se transfieren a través de canales de iones mediante transporte activo.
  • 63.
    PLEXO COROIDEO Se encuentracompuesto de pliegues de piamadre dentro de los ventrículos del cerebro; el cual produce el LCR. El LCR baña el SNC a medida que circula a través del espacio subaracnoideo. Los pliegues de la piamadre alojan abundantes capilares y epitelio cuboidal simple (ependimario).
  • 64.
    LÍQUIDO CEFALORRAQUÍDEO Es importantepara la actividad metabólica, y como amortiguador líquido para proteger al SNC ( médula espinal y encéfalo ). Se constituye con un 90 % de H2O, iones de Na+, K+ y Cl -, proteínas y unas cuantas células descamadas y linfocitos. Lo elabora el plexo coroideo a un ritmo de unos 14 a 36 ml/h y se reemplaza su volumen total alrededor de cuatro a cinco veces al día. Circula a través de los ventrículos del cerebro, espacio subaracnoideo, espacio perivascular y conducto central de la médula ósea a través de difusión de donde regresa al torrente sanguíneo.
  • 65.
    CORTEZA CEREBRAL Se encargadel aprendizaje, memoria, integración sensorial , análisis de información e inicio de reacciones motoras. La corteza cerebral se divide en seis capas compuestas de neuronas, que presentan una morfología única para la capa particular. Las seis capas y sus componentes son los siguientes : 1. Capa molecular 2. Capa granulosa externa 3. Capa piramidal externa 4. Capa granulosa interna 5. Capa piramidal interna 6. Capa multiforme
  • 66.
    CORTEZA CEREBRAL Sustancia gris Sustancia blanca
  • 67.
    Capa Molecular Capa GranularExterna Células Piramidales Capa Multiforme
  • 68.
    CORTEZA CEREBELOSA Se encargade conservar el equilibrio, el tono muscular y la coordinación de músculos esqueléticos. A nivel histológico, la corteza cerebelosa se divide en tres capas: 1. Capa molecular 2. Capa de células de Purkinje 3. Capa granulosa
  • 69.
    Capa Molecular Célula dePurkinje Capa Granulosa
  • 70.
    REGENERACIÓN NERVIOSA: REACCIÓN AXONAL Lasreacciones a los traumatismos tienen lugar de manera característica en tres regiones de la neurona: 1.- Sitio lesivo ó reacción local. Incluye la reparación y remoción de desechos por células neurogliales. 2.- Puntos distales al sitio dañado ó reacción anterógrado. La porción del axón distal a una lesión se degenera y fagocita. 3.- Puntos proximales al sitio lesivo ó reacción retrógrados. La porción proximal del axón lesionado sufre degeneración seguida por el brote de un nuevo axón cuyo crecimiento lo dirigen las células de Schwann.