Nervio periférico
Mielina
MÉDULA ESPINAL
NEUROBIOLOGIA-ESFUNO
docente Carolina Chaine
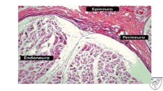
NERVIO PERIFERICO
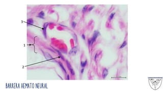
BARRERA
HEMATOENCEFÁLICA
MIELINA
NERVIO PERIFERICO
El SNP está compuesto por nervios periféricos con terminaciones nerviosas especializadas y ganglios que contienen
somas neuronales que se encuentran fuera del sistema nervioso central
Un nervio periférico es un haz de fibras nerviosas que se mantienen juntas por tejido conjuntivo
-Endoneuro: comprende el tejido conjuntivo laxo alrededor de cada fibra individual
-Perineuro: comprende el tejido conjuntivo especializado alrededor de cada fascículo
nervioso
-Epineuro: comprende el tejido conjuntivo denso irregular que rodea todo un nervio
periférico y llena los espacios entre los fascículos nerviosos
Barrera Hemato Neural
El perineuro funciona como una barrera de difusión
metabólicamente activa que contribuye a la formación de la
barrera hematoneural (hemato-nerviosa)
Esta barrera mantiene el medio iónico de las fibras nerviosas
envainadas. Las células plerineurales poseen receptores,
transportadores y enzimas que proveen el transporte activo de
sustancias.
Las células que componen esta capa son escamosas, son
contráctiles y contienen una cantidad apreciable de filamentos de
actina. También se hallan fibras de colágeno y posee uniones
estrechas
BARRERA HEMATOENCEFÁLICA
La berrera hematoencefálica protege al SNC de las concentraciones
fluctuantes de electrolitos, hormonas y metabolitos celulares que
circulan en los vasos sanguíneos.
La BHE se desarrolla temprano en el embrión a través de una
interacción entre los astrocitos de la glía y las células endoteliales
capilares. Es creada en gran parte por las intrincadas uniones
ocluyentes entre las células endoteliales que forman capilares de tipo
continuo. Estudios con el MET demuestran estrecha asociación de los
astrocitos y sus evaginaciones de pies perivasculares con la lámina
endotelial
Barrera Hemato Encefálica
Las estructuras que
forman la barrera
hemato-encefálica son:
uniones ocluyentes entre
células endoteliales,
lámina basal endotelial y
prolongaciones
terminales de los
astrocitos
Debido a que la actividad sintética de la neurona está concentrada en el soma neuronal, para
transportar material neosintetizado hacia las evaginaciones se necesita el transporte axonal.
Este transporte es un mecanismo bidireccional
El transporte axonal se describe de la siguiente manera:
Transporte anterógrado, que lleva el material desde el soma neuronal hacia la periferia.
La kinesina, una proteína motora asociada con microtubulos que utiliza ATP,
participa en este mecanismo.
Transporte retrógrado, que lleva el material desde la terminal axonal y las dendritas
hacia el soma neuronal.
Este transporte es mediado por otra proteína motora asociada con los
microtubulos, la dineina
TRANSPORTE AXONAL
TRANSPORTE AXONAL
Los sistemas de transporte también pueden distinguirse según la velocidad de
desplazamiento de sus sustancias:
Sistema de transporte lento: lleva sustancias desde el soma hacia el botón
terminal. Es solo un sistema de transporte anterógrado
Velocidad 0,2mm a 4mm por día
Sistema de transporte rápido: transporta sustancias en ambas direcciones, por
lo tanto es tanto anterógrado como retrogrado
Velocidad 20mm a 400mm por día
MIELINA
La mielina está presente en el sistema nervioso central y el sistema
nervioso periférico
La mielina del SNC es producida por células especiales llamadas
oligodendrocitos y en el SNP es producida por células de Schwann.
Los dos tipos de mielina son químicamente diferentes, pero ambos
realizan la misma función: promover la transmisión eficiente de un
impulso nervioso a lo largo del axón
La mielina aísla y protege el axón y ayuda a acelerar la transmisión
nerviosa
-Es una cubierta con alto contenido lipídico
-Formada por capas de membrana que envuelven al axón en
espiral
-Unidas entre sí por proteínas de adhesión celular especializadas
Función de la mielina
El objetivo principal de una vaina de mielina es aumentar la
velocidad a la que los impulsos se propagan a lo largo de la fibra
mielínica. A lo largo de las fibras amielínicas, los impulsos se mueven
continuamente como ondas, pero en las fibras mielinizadas, «saltan»
o se propagan por conducción saltatoria. La mielina disminuye la
capacitancia y aumenta la resistencia eléctrica a través de la
membrana celular (axolema). Por lo tanto, la mielinización evita que
la corriente eléctrica salga del axón. Se cree que la mielina permite
un mayor tamaño corporal manteniendo una comunicación ágil
entre las partes distantes del cuerpo
Las células de Schwann
se desarrollan a partir de
la cresta neural.
La vaina de mielina se
forma a partir de capas
compactadas del
mesaxón de células de
Schwann enrolladas en
forma concéntrica
alrededor del axón
Cada axón mielinizado
presenta una lamina
basal por afuera
DAÑO NEURAL
Los axones lesionados en el SNP a menudo se regeneran, mientras
que los axones en el SNC no son capaces de hacerlo. Esta diferencia
se relaciona con la incapacidad de los oligodendrocitos y las células
de la microglía para fagocitar en forma eficaz los detritos de mielina
En el SNP al principio la lesión neuronal induce a una completa
degeneración del axón distal al sitio de la lesión (degeneración
walleriana). La degeneración traumática se produce en la porción
proximal del nervio lesionado, seguido por la regeneración neuronal,
en la cual las células de Schwann se dividen y forman bandas
celulares que guían el crecimiento de los brotes axonales hacia el
sitio efector
DAÑO DEL TEJIDO NERVIOSO
DAÑO DEL TEJIDO NERVIOSO
Trastornos de la mielina o desmielinización
La desmielinización es la pérdida de la envoltura de mielina que aísla los
nervios y es lo que caracteriza algunas enfermedades autoinmunes
neurodegenerativas, como la esclerosis múltiple, la encefalomielitis diseminada
aguda, la neuromielitis incluso la esquizofrenia y el trastorno bipolar.
También existen enfermedades desmielinizantes congénitas como la
leucodistrofia y la enfermedad de Charcot-Marie-Tooth.
Los pacientes con anemia perniciosa también pueden sufrir daños neuronales
graves. La degeneración de la médula espinal secundaria a anemia perniciosa,
puede provocar daños en los nervios periféricos del sistema nervioso central,
afectando el habla, el equilibrio y la conciencia cognitiva. Cuando la mielina se
degrada, la conducción de las señales a lo largo del nervio puede verse afectada
o perderse, y el nervio eventualmente se marchita
MÉDULA ESPINAL
DESARROLLO EMBRIONARIO
1)Placa neural se forma
a partir del ectodermo
2)Se cierra el tubo
neural primero en zona
central y luego en
extremos (neuroporos)
Zona del manto va a
dar lugar a la sustancia
gris y la zona marginal a
la sustancia blanca
Estructura segmentaria:
Se describen:
● 8 cervicales
● 12 dorsales (torácicas)
● 5 lumbares
● 5 sacros
● 1 coccígeo
De estos segmentos se forman las raíces
raquídeas o nervios espinales que se
disponen segmentariamente a cada lado.
De cada segmento nacen 2 raíces anteriores
(derecha e izquierda) y dos posteriores.
Las son anteriores motoras y las posteriores
sensitivas
32
FORMA Y DIMENSIONES
● Forma: cilíndrica aplanada en sentido antero-posterior
● Longitud: 45cm
Tiene dos engrosamientos:
Cervical-Origen del plexo braquial
( 3° cervical a 3° torácica)
Lumbar-Origen del plexo lumbar
(9-10° dorsal a 2° lumbar)
● Por debajo del ensanchamiento lumbar disminuye de diámetro y da origen al cono
medular que se prolonga en el filum terminale.
33
Configuración EXTERNA
● Cara anterior: presenta un surco mediano denominado surco medio anterior. A cada lado de este se
encuentran los surcos colaterales anteriores. Los tres delimitan el cordón anterior de la medula.
34
35
35
● Cara posterior: En su parte media se encuentra el surco medio posterior
(menos profundo que el anterior). Por fuera de este se encuentran los
surcos colaterales posteriores. Entre estos se encuentra el cordón
posterior de la medula.
● Caras laterales: Están comprendidas entre ambos surcos colaterales y
delimitan el cordón lateral.
● Extremidad superior: Se continua con el bulbo raquídeo y el limite se
corresponde con la decusación de las pirámides.
● Extremidad inferior: Es el cono medular del que se desprende el filum
terminale. Se sitúa a nivel de la 1° o 2° lumbar
36
● La medula se encuentra rodeada por
meninges:
La dura madre forma un conducto fibroso
La cara interna de la dura madre esta
recubierta por la cara parietal de la
aracnoides y la hoja visceral de la
aracnoides esta en contacto con la
piamadre Entre las hojas parietal y visceral
de la aracnoides circula el LCR
La piamadre rodea directamente a la medula
37
MENINGES
Configuración INTERNA
● La medula tiene apariencia maciza excepto en el
centro en donde se encuentra el epéndimo.
● Alrededor del epéndimo se encuentra la sustancia
gris, esta tiene forma de H y se describen tres
astas: el asta anterior, este nunca alcanza a tomar
contacto con la superficie medular, el asta
posterior es mas fina y alargada y si toma
contacto con la superficie medular, el asta lateral
se encuentra presenta en la medula dorsal.
Alrededor de la sustancia gris se encuentra la
sustancia blanca que constituye los cordones
medulares.
39
La sustancia
gris se
compone de
somas
neuronales,
somas gliales y
prolongaciones
celulares
La sustancia blanca se compone fundamentalmente de fibras mielínicas y
células gliales.
Las fibras son:
-Ascendentes o sensitivas: Van de la medula hacia niveles superiores del SN y
llevan información de la periferia.
-Cordón posterior: Haces de Goll y de Burdach se forman en la parte interna y
externa del cordón posterior respectivamente, son fibras largas que no
hacen sinapsis en la medula y transmiten la sensibilidad profunda
consciente y táctil discriminativa.
El haz de Goll esta en relación con la sensibilidad de los MMII y la parte inferior
del tronco y el de Burdach con la sensibilidad de la parte superior del
tronco y los MMSS
Ambos terminan en la parte inferior del bulbo raquídeo.
43
44
45
Fibras descendentes o motoras: Las vías motoras se organizan en dos sistemas
Piramidal
Extrapiramidal
Sistema piramidal: Las fibras de las pirámides en su mayoría cruzan la línea media
(decusación piramidal) antes de penetrar en la medula donde se sitúan en el
cordón lateral. Las fibras que no se cruzan descienden por el cordón lateral
anterior
Sistema extrapiramidal: Se caracterizan por su relación indirecta con las
estructuras segmentarias.
46
Conducto ependimario
● Es un orificio situado en el
centro de la comisura gris.
● Por el circula LCR
47
NERVIOS ESPINALES
Raíces espinales
48
Raíces anteriores: Nacen de las
neuronas situadas en el asta
anterior de la medula.
Raíces posteriores: Estas raíces
tienen un engrosamiento en su
recorrido que son los ganglios
sensitivos de los nervios espinales.
49
NERVIO ESPINAL; ES UN NERVIO MIXTO
VARIACIONES ENTRE SEGMENTOS
ENSANCHAMIENTOS
LESIÓÓON DE LA MÉDULA ESPINAL
ARCOS REFLEJOS EN LA MÉDULA
ESPINAL

Tema 4 Médula espinal Mielina BHE.pptx

  • 1.
  • 2.
  • 3.
    NERVIO PERIFERICO El SNPestá compuesto por nervios periféricos con terminaciones nerviosas especializadas y ganglios que contienen somas neuronales que se encuentran fuera del sistema nervioso central Un nervio periférico es un haz de fibras nerviosas que se mantienen juntas por tejido conjuntivo -Endoneuro: comprende el tejido conjuntivo laxo alrededor de cada fibra individual -Perineuro: comprende el tejido conjuntivo especializado alrededor de cada fascículo nervioso -Epineuro: comprende el tejido conjuntivo denso irregular que rodea todo un nervio periférico y llena los espacios entre los fascículos nerviosos
  • 5.
  • 6.
    El perineuro funcionacomo una barrera de difusión metabólicamente activa que contribuye a la formación de la barrera hematoneural (hemato-nerviosa) Esta barrera mantiene el medio iónico de las fibras nerviosas envainadas. Las células plerineurales poseen receptores, transportadores y enzimas que proveen el transporte activo de sustancias. Las células que componen esta capa son escamosas, son contráctiles y contienen una cantidad apreciable de filamentos de actina. También se hallan fibras de colágeno y posee uniones estrechas
  • 7.
    BARRERA HEMATOENCEFÁLICA La berrerahematoencefálica protege al SNC de las concentraciones fluctuantes de electrolitos, hormonas y metabolitos celulares que circulan en los vasos sanguíneos. La BHE se desarrolla temprano en el embrión a través de una interacción entre los astrocitos de la glía y las células endoteliales capilares. Es creada en gran parte por las intrincadas uniones ocluyentes entre las células endoteliales que forman capilares de tipo continuo. Estudios con el MET demuestran estrecha asociación de los astrocitos y sus evaginaciones de pies perivasculares con la lámina endotelial
  • 8.
  • 9.
    Las estructuras que formanla barrera hemato-encefálica son: uniones ocluyentes entre células endoteliales, lámina basal endotelial y prolongaciones terminales de los astrocitos
  • 10.
    Debido a quela actividad sintética de la neurona está concentrada en el soma neuronal, para transportar material neosintetizado hacia las evaginaciones se necesita el transporte axonal. Este transporte es un mecanismo bidireccional El transporte axonal se describe de la siguiente manera: Transporte anterógrado, que lleva el material desde el soma neuronal hacia la periferia. La kinesina, una proteína motora asociada con microtubulos que utiliza ATP, participa en este mecanismo. Transporte retrógrado, que lleva el material desde la terminal axonal y las dendritas hacia el soma neuronal. Este transporte es mediado por otra proteína motora asociada con los microtubulos, la dineina TRANSPORTE AXONAL
  • 11.
  • 12.
    Los sistemas detransporte también pueden distinguirse según la velocidad de desplazamiento de sus sustancias: Sistema de transporte lento: lleva sustancias desde el soma hacia el botón terminal. Es solo un sistema de transporte anterógrado Velocidad 0,2mm a 4mm por día Sistema de transporte rápido: transporta sustancias en ambas direcciones, por lo tanto es tanto anterógrado como retrogrado Velocidad 20mm a 400mm por día
  • 13.
    MIELINA La mielina estápresente en el sistema nervioso central y el sistema nervioso periférico La mielina del SNC es producida por células especiales llamadas oligodendrocitos y en el SNP es producida por células de Schwann. Los dos tipos de mielina son químicamente diferentes, pero ambos realizan la misma función: promover la transmisión eficiente de un impulso nervioso a lo largo del axón La mielina aísla y protege el axón y ayuda a acelerar la transmisión nerviosa -Es una cubierta con alto contenido lipídico -Formada por capas de membrana que envuelven al axón en espiral -Unidas entre sí por proteínas de adhesión celular especializadas
  • 14.
    Función de lamielina El objetivo principal de una vaina de mielina es aumentar la velocidad a la que los impulsos se propagan a lo largo de la fibra mielínica. A lo largo de las fibras amielínicas, los impulsos se mueven continuamente como ondas, pero en las fibras mielinizadas, «saltan» o se propagan por conducción saltatoria. La mielina disminuye la capacitancia y aumenta la resistencia eléctrica a través de la membrana celular (axolema). Por lo tanto, la mielinización evita que la corriente eléctrica salga del axón. Se cree que la mielina permite un mayor tamaño corporal manteniendo una comunicación ágil entre las partes distantes del cuerpo
  • 15.
    Las células deSchwann se desarrollan a partir de la cresta neural. La vaina de mielina se forma a partir de capas compactadas del mesaxón de células de Schwann enrolladas en forma concéntrica alrededor del axón Cada axón mielinizado presenta una lamina basal por afuera
  • 24.
    DAÑO NEURAL Los axoneslesionados en el SNP a menudo se regeneran, mientras que los axones en el SNC no son capaces de hacerlo. Esta diferencia se relaciona con la incapacidad de los oligodendrocitos y las células de la microglía para fagocitar en forma eficaz los detritos de mielina En el SNP al principio la lesión neuronal induce a una completa degeneración del axón distal al sitio de la lesión (degeneración walleriana). La degeneración traumática se produce en la porción proximal del nervio lesionado, seguido por la regeneración neuronal, en la cual las células de Schwann se dividen y forman bandas celulares que guían el crecimiento de los brotes axonales hacia el sitio efector
  • 25.
  • 26.
  • 27.
    Trastornos de lamielina o desmielinización La desmielinización es la pérdida de la envoltura de mielina que aísla los nervios y es lo que caracteriza algunas enfermedades autoinmunes neurodegenerativas, como la esclerosis múltiple, la encefalomielitis diseminada aguda, la neuromielitis incluso la esquizofrenia y el trastorno bipolar. También existen enfermedades desmielinizantes congénitas como la leucodistrofia y la enfermedad de Charcot-Marie-Tooth. Los pacientes con anemia perniciosa también pueden sufrir daños neuronales graves. La degeneración de la médula espinal secundaria a anemia perniciosa, puede provocar daños en los nervios periféricos del sistema nervioso central, afectando el habla, el equilibrio y la conciencia cognitiva. Cuando la mielina se degrada, la conducción de las señales a lo largo del nervio puede verse afectada o perderse, y el nervio eventualmente se marchita
  • 28.
  • 29.
  • 31.
    1)Placa neural seforma a partir del ectodermo 2)Se cierra el tubo neural primero en zona central y luego en extremos (neuroporos) Zona del manto va a dar lugar a la sustancia gris y la zona marginal a la sustancia blanca
  • 32.
    Estructura segmentaria: Se describen: ●8 cervicales ● 12 dorsales (torácicas) ● 5 lumbares ● 5 sacros ● 1 coccígeo De estos segmentos se forman las raíces raquídeas o nervios espinales que se disponen segmentariamente a cada lado. De cada segmento nacen 2 raíces anteriores (derecha e izquierda) y dos posteriores. Las son anteriores motoras y las posteriores sensitivas 32
  • 33.
    FORMA Y DIMENSIONES ●Forma: cilíndrica aplanada en sentido antero-posterior ● Longitud: 45cm Tiene dos engrosamientos: Cervical-Origen del plexo braquial ( 3° cervical a 3° torácica) Lumbar-Origen del plexo lumbar (9-10° dorsal a 2° lumbar) ● Por debajo del ensanchamiento lumbar disminuye de diámetro y da origen al cono medular que se prolonga en el filum terminale. 33
  • 34.
    Configuración EXTERNA ● Caraanterior: presenta un surco mediano denominado surco medio anterior. A cada lado de este se encuentran los surcos colaterales anteriores. Los tres delimitan el cordón anterior de la medula. 34
  • 35.
  • 36.
    ● Cara posterior:En su parte media se encuentra el surco medio posterior (menos profundo que el anterior). Por fuera de este se encuentran los surcos colaterales posteriores. Entre estos se encuentra el cordón posterior de la medula. ● Caras laterales: Están comprendidas entre ambos surcos colaterales y delimitan el cordón lateral. ● Extremidad superior: Se continua con el bulbo raquídeo y el limite se corresponde con la decusación de las pirámides. ● Extremidad inferior: Es el cono medular del que se desprende el filum terminale. Se sitúa a nivel de la 1° o 2° lumbar 36
  • 37.
    ● La medulase encuentra rodeada por meninges: La dura madre forma un conducto fibroso La cara interna de la dura madre esta recubierta por la cara parietal de la aracnoides y la hoja visceral de la aracnoides esta en contacto con la piamadre Entre las hojas parietal y visceral de la aracnoides circula el LCR La piamadre rodea directamente a la medula 37
  • 38.
  • 39.
    Configuración INTERNA ● Lamedula tiene apariencia maciza excepto en el centro en donde se encuentra el epéndimo. ● Alrededor del epéndimo se encuentra la sustancia gris, esta tiene forma de H y se describen tres astas: el asta anterior, este nunca alcanza a tomar contacto con la superficie medular, el asta posterior es mas fina y alargada y si toma contacto con la superficie medular, el asta lateral se encuentra presenta en la medula dorsal. Alrededor de la sustancia gris se encuentra la sustancia blanca que constituye los cordones medulares. 39
  • 40.
    La sustancia gris se componede somas neuronales, somas gliales y prolongaciones celulares
  • 43.
    La sustancia blancase compone fundamentalmente de fibras mielínicas y células gliales. Las fibras son: -Ascendentes o sensitivas: Van de la medula hacia niveles superiores del SN y llevan información de la periferia. -Cordón posterior: Haces de Goll y de Burdach se forman en la parte interna y externa del cordón posterior respectivamente, son fibras largas que no hacen sinapsis en la medula y transmiten la sensibilidad profunda consciente y táctil discriminativa. El haz de Goll esta en relación con la sensibilidad de los MMII y la parte inferior del tronco y el de Burdach con la sensibilidad de la parte superior del tronco y los MMSS Ambos terminan en la parte inferior del bulbo raquídeo. 43
  • 44.
  • 45.
  • 46.
    Fibras descendentes omotoras: Las vías motoras se organizan en dos sistemas Piramidal Extrapiramidal Sistema piramidal: Las fibras de las pirámides en su mayoría cruzan la línea media (decusación piramidal) antes de penetrar en la medula donde se sitúan en el cordón lateral. Las fibras que no se cruzan descienden por el cordón lateral anterior Sistema extrapiramidal: Se caracterizan por su relación indirecta con las estructuras segmentarias. 46
  • 47.
    Conducto ependimario ● Esun orificio situado en el centro de la comisura gris. ● Por el circula LCR 47
  • 48.
    NERVIOS ESPINALES Raíces espinales 48 Raícesanteriores: Nacen de las neuronas situadas en el asta anterior de la medula. Raíces posteriores: Estas raíces tienen un engrosamiento en su recorrido que son los ganglios sensitivos de los nervios espinales.
  • 49.
    49 NERVIO ESPINAL; ESUN NERVIO MIXTO
  • 50.
  • 51.
  • 52.
    LESIÓÓON DE LAMÉDULA ESPINAL
  • 53.
    ARCOS REFLEJOS ENLA MÉDULA ESPINAL