TEJIDO NERVIOSO
HISTOLOGIA
UTI NEUROBIOLOGIA-EUTM
FUNCIONES
CARACTERISTICAS
TÉCNICAS DE ESTUDIO
El sistema nervioso controla e integra las actividades funcionales de los órganos y los sistemas
Desde el punto de vista anatómico se divide en:
Sistema Nervioso Central compuesto por el encéfalo y la médula espinal
Sistema Nervioso Periférico compuesto por Ganglios y Nervios (craneales, espinales y
periféricos)
Desde el punto de vista funcional el sistema nervioso se divide en:
Sistema Nervioso Somático Consiste en las partes somáticas del SNC y SNP
Controla funciones que están bajo el control voluntario
consciente, con excepción de los arcos reflejos. Proporciona
inervación sensitiva y motora; excepto vísceras, musculo liso y
cardiaco y las glándulas
Sistema Nervioso Autónomo Provee inervación motora involuntaria eferente al músculo liso,
al sistema de conducción cardiaca y a las glándulas. Inervación
sensitiva aferente desde las vísceras
Se subclasifica -Simpático
-Parasimpático
-Entérico (inerva el tubo digestivo)
TEJIDO NERVIOSO
El tejido nervioso es el conjunto de células especializadas que forman el sistema nervioso.
Las funciones más importantes del tejido nervioso son recibir, analizar, generar, transmitir y
almacenar información proveniente tanto del interior del organismo como fuera de éste.
ORIGEN EMBRIONARIO: Las neurona y las células de sostén derivan del neuroectodermo,
que forma el tubo neural del embrión. A excepción de la microglia que su origen es
Mesodermico
El tejido esta compuesto por 2 tipos principales de células; las neuronas y las células de sostén (glia)
-Posee escasa Matriz Extracelular (MEC) y sus células están estrechamente relacionadas
Las células nerviosas poseen abundantes prolongaciones y
diversas morfologías, es por esto que para su estudio es
necesario utilizar diferentes técnicas
-PARA MICROSCOPIA OPTICA-
1) Metodos de coloración general de los tejidos (citoarquitecturales)
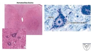
a) HEMATOXILINA-EOSINA: Componentes tisulares ácidos se unen al
colorante básico Hematoxilina de color violeta
Componentes tisulares básicos se unen al colorante ácido Eosina de
color rosado
Permite identificar la distribución espacial de las células en un órgano.
No se aprecian las prolongaciones celulares. No se observa el soma de
las células gliales (solo sus núcleos)
b) Técnica de Nissl: Se basa en la unión electroestática de anilinas básicas
con componentes ácidos del tejido
Permite identificar la distribución espacial de las células en un órgano.
No se aprecian las prolongaciones celulares. No se observa el soma de
las células gliales (solo sus núcleos). Se puede observar el RER de
algunas neuronas
2) Métodos de coloración de la mielina
a) Técnica de Klüver-barrera
Componentes ácidos del tejido azul-violetas.
Mielina en celeste-turquesa. Los axones no se colorean. Permite identificar la
distribución espacial de las células en un órgano pero aportando información
sobre la disposición de las fibras mielínicas. No se aprecian las prolongaciones
celulares, ni se observa el soma de las células gliales (solo núcleos)
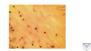
3) Impregnaciones Argénticas
a) Impregnación argentica de Golgi: La coloración con esta técnica se basa en la
impregnación de algunos componentes tisulares con nitrato de plata.
Siluetas celulares en negro sobre fondo amarillo-dorado. Se impregna un 2-5% de
neuronas, astrocitos y oligodendrocitos (no se impregna la microglia) Pueden
observarse también los vasos sanguíneos. Las células que se impregnan lo hacen en
su totalidad, lo cual permite analizar en detalle la distribución y morfología de
dendritas y axones. No puede observarse ningún detalle citológico
b) Impregnación argéntica de Cajal del nitrato de plata para terminaciones
nerviosas
El tejido se impregna con nitrato de plata
Se observa filamentos intermedios neuronales (neurofilamentos) y mocrotúbulos
(neurotúbulos) se asocian y forman un artificio denominado clásicamente
neurofibrillas, las cuales se observan en marrón oscuro o negro sobre fondo dorado.
Permite analizar el trayecto de axones, y en muchos casos las terminaciones
axónicas presinápticas. Algunos vasos aparecen impregnados de color marrón
*observo citoesqueleto neuronal, neurofibrillas*
4) Métodos histoquimicos:
Identificación de grupos químicos
específicos en las
preparaciones histológicas
a) Lectina de tomate: Se observan
células microgliales en marrón sobre
fondo claro
b) NADHPD diaforasa: Permite
reconocer la silueta de los elementos
celulares que
expresan la NADPH diaforasa
5) Métodos inmunocitoquimicos: Los
métodos inmunohistoquimicos permiten
la
detección de complejos antígeno-
anticuerpo en las preparaciones
histológicas
Los astrocitos se observan en marrón
sobre fondo claro
TIPOS CELULARES
NEURONa
La neurona es la unidad estructural y funcional del sistema nervioso
Se puede dividir en 3 categorías según su función:
-Neuronas Sensitivas: Transmiten impulsos desde los receptores hacia el SNC
(seudounipolar)
-Neuronas Motoras: Transmiten impulsos desde el SNC o ganglios hasta células efectoras
-Interneuronas: Forman una red de comunicación y de integración.
(célula piramidal, interneuronas, células de Purkinje)
Dependiendo de las evaginaciones que se extienden desde el soma se pueden clasificar en:
-Multipolares: Tienen un axón y dos o más dendritas
(neuronas motoras e interneuronas)
-Bipolares: Son las que tienen un axón y una dendrita. Están asociadas con los receptores de los
sentidos especiales.
(retina del ojo, nervio craneal VIII)
-Seudounipolares (unipolares) Tienen una sola prolongación, el axón, que se divide cerca del
soma en dos ramas axónicas largas
(neuronas sensitivas)
NEURONA
En cuanto a su estructura esta formada por un cuerpo
neuronal llamado Soma y prolongaciones; Dendritas y
Axón
SOMA NEURONAL: El soma celular de una neurona
tiene las características de las células sintetizadoras
de proteínas.
*Contiene núcleo eucromático grande y citoplasma
perinuclear (pericarion)
*Con el MET se observa Retículo endoplasmatico
Rugoso y Ribosomas libres
Si miramos con el MO el contenido ribosómico aparece
como granulaciones denominadas Corpúsculos de
Nissl
---Cada Corpúsculo de Nissl corresponde a un rimero
de RER---
CITOESQUELETO
En el citoplasma también
encontraremos Mitocondrias (células
metabólicamente activas), Aparato de
Golgi, Lisosomas,
Y quienes van a mantener la forma y
se van a encargar del transporte
intracelular son los microtúbulos
(neurotubulos) neurofilamentos
(filamentos intermedios)
IMPORTANTE!! Los corpúsculos de
Nissl, los ribosomas y
ocasionalmente Ap.Golgi se
extienden dentro de las dendritas
pero NO dentro del Axón
AXÓN
Los axones son evaginaciones efectoras que transmiten estímulos a otras neuronas o a célula
efectoras.
***Cada neurona tiene un solo axón***
Se origina en el cono axonal sin deformar al soma
En el segmento inicial es el sitio en el cual se genera un Potencial de acción
Libre o con vaina de mielina, sus ramificaciones son en ángulo recto y diámetro constante
No presentan espinas
Finaliza en el telodendron que acaban en los botones sinápticos
Posee neurofilamentos y neurotubulos (responsables del transporte axoplasmico)
Mitocondrias y REL
***Carece de RER y Golgi**
DENDRITAS
Las dendritas son evaginaciones que reciben estímulos desde otras neuronas o desde el medio
externo
Se ubican en la cercanía del soma neuronal, no están mielinizadas
Por lo general poseen el contenido citoplasmático similar al soma neuronal
***Pueden poseer espinas***
Son prolongaciones cortas que deforman al soma prolongándose en ángulo agudo
Células de sostén del sistema nervioso: La Glía
En el Sistema Nervioso Central vamos a tener 4 tipos de glía
-Astrocitos: proporcionan sostén físico y metabólico
-Oligodendrocitos, activas en la formación y mantenimiento de la
mielina
-Células Ependimarias: revisten ventrículos y el conducto central de
la medula espinal
-Microglía: posee propiedades fagociticas
En el Sistema Nervioso Periférico vamos a tener solamente a:
-Células de Schwann, producen la vaina de mielina
-Células Satélite
Las funciones de los diferentes tipos de células glíales
comprenden:
-Sostén físico
-Aislamiento para los somas y las evaginaciones neuronales
-Reparación de la lesión neural
-Regulación del medio liquido interno del SNC
-Eliminan células muertas
-Intercambio metabólico entre el sistema vascular y las
neuronas del sistema nervioso
ASTROCITOS
Los astrocitos son las células gliales más grandes.
Se han identificado 2 tipos de astrocitos:
-Astrocitos protoplasmáticos: Se encuentran en la sustancia gris.
Tienen abundantes evaginaciones cortas y ramificadas
-Astrocitos fibrosos: Se encuentran en la sustancia blanca.
Poseen menos evaginaciones y son relativamente rectas
Los astrocitos cumplen funciones importantes en el movimiento de metabolitos y
desechos desde las neuronas y hacia ellas
Secretan metabolitos como el lactato, piruvato y glutamina
Cumplen función de protección ya que contribuyen a mantener las uniones estrechas
de los capilares que forman la barrera hematoencefalica
Poseen prolongaciones llamadas pies terminales (pies astrocitarios perivasculares) que
rodean los vasos sanguíneos y recubren nodos de ranvier
OLIGODENDROCITOS
Los oligodendrocitos producen y mantienen la vaina de mielina en el SNC
La vaina de mielina en el SCN esta formada por capas concéntricas de
membrana plasmática oligodendrocítica.
Se observan como pequeñas células con escasas evaginaciones
Se observa en la sustancia gris o en la sustancia blanca
***Un solo oligodendrocito forma la mielina de varios axones***
Descripción a recordar!
Astrocito: Célula pequeña de morfología estrellada que
posee numerosas prolongaciones que se disponen en
todas direcciones. Algunas de sus prolongaciones
(podocitos o pies terminales) envuelven los vasos
sanguíneos, otro rodean a las sinapsis
****Asociadas a estructuras vasculares en el SNC
podemos encontrar Pies terminales astrocitarios******
Oligodendrocito: Célula pequeñas, poco ramificadas con
escaso citoplasma perinuclear que se puede encontrar
tanto en la sustancia gris como en la sustancia blanca
y cuyas prolongaciones se bifurcan siguiendo el
transcurso de las fibras axónicas
CÉLULAS EPENDIMARIAS
Las células ependimarias forman el revestimiento epitelial de los
ventrículos del encéfalo y del conducto espinal
-Forman una sola capa de células entre cúbicas y cilíndricas que poseen
características morfológicas y fisiológicas de las células transportadoras
de liquido.
Están estrechamente unidas y carecen de una lamina externa.
La superficie apical posee cilios y microvellosidades que participan en la
absorción del LCR
Aíslan el parénquima nervioso del LCR
Transporte activo de sustancias desde el LCR hacia el parénquima
nervioso
MICROGLÍA
La microglia posee propiedades fagociticas y tiene función de secreción
de mediadores inflamatorios
Son consideradas parte del sistema fagocitico mononuclear y se originan a
partir de células progenitoras de granulocitos/monocitos
**Circula de forma inactiva hasta que se tornan activamente fagociticas**
Células pequeñas con núcleo alargado
Evaginaciones delgadas y con espinas
En MET se observa en su citoplasma abundancia de lisosomas, inclusiones y
vesículas
Escaso RER y escasos microtubulos
CÉLULAS DE SCHWANN
En el SNP las células de Schwann producen la vaina de mielina que rodean los axones. Su
presencia asegura la conducción rápida de los impulsos nerviosos.
La fibras amielinicas también están envueltas y nutridas por células de Schwann
Estas células colaboran en la limpieza de los detritos del SNP y guían la proliferación de axones del
SNP
CORTE DE NERVIO
PERIFERICO
CÉLULAS SATÉLITE
Los somas neuronales de los ganglios están rodeados por una capa de pequeñas células
cúbicas
Su función es el intercambio metabólico de las neuronas
NEUROPILO
Es la región comprendida entre los somas neuronales y los vasos sanguíneos.
Esta región se ubica exclusivamente en la sustancia gris
Se caracteriza por la presencia de prolongaciones dendríticas, axónicas, gliales
y abundantes contactos sinápticos
(el soma no pertenece a la región del neuropilo)
Tema 1. Tejido Nervioso.pptx

Tema 1. Tejido Nervioso.pptx

  • 1.
  • 2.
  • 3.
    El sistema nerviosocontrola e integra las actividades funcionales de los órganos y los sistemas Desde el punto de vista anatómico se divide en: Sistema Nervioso Central compuesto por el encéfalo y la médula espinal Sistema Nervioso Periférico compuesto por Ganglios y Nervios (craneales, espinales y periféricos) Desde el punto de vista funcional el sistema nervioso se divide en: Sistema Nervioso Somático Consiste en las partes somáticas del SNC y SNP Controla funciones que están bajo el control voluntario consciente, con excepción de los arcos reflejos. Proporciona inervación sensitiva y motora; excepto vísceras, musculo liso y cardiaco y las glándulas Sistema Nervioso Autónomo Provee inervación motora involuntaria eferente al músculo liso, al sistema de conducción cardiaca y a las glándulas. Inervación sensitiva aferente desde las vísceras Se subclasifica -Simpático -Parasimpático -Entérico (inerva el tubo digestivo)
  • 4.
    TEJIDO NERVIOSO El tejidonervioso es el conjunto de células especializadas que forman el sistema nervioso. Las funciones más importantes del tejido nervioso son recibir, analizar, generar, transmitir y almacenar información proveniente tanto del interior del organismo como fuera de éste. ORIGEN EMBRIONARIO: Las neurona y las células de sostén derivan del neuroectodermo, que forma el tubo neural del embrión. A excepción de la microglia que su origen es Mesodermico El tejido esta compuesto por 2 tipos principales de células; las neuronas y las células de sostén (glia) -Posee escasa Matriz Extracelular (MEC) y sus células están estrechamente relacionadas
  • 5.
    Las células nerviosasposeen abundantes prolongaciones y diversas morfologías, es por esto que para su estudio es necesario utilizar diferentes técnicas -PARA MICROSCOPIA OPTICA- 1) Metodos de coloración general de los tejidos (citoarquitecturales) a) HEMATOXILINA-EOSINA: Componentes tisulares ácidos se unen al colorante básico Hematoxilina de color violeta Componentes tisulares básicos se unen al colorante ácido Eosina de color rosado Permite identificar la distribución espacial de las células en un órgano. No se aprecian las prolongaciones celulares. No se observa el soma de las células gliales (solo sus núcleos) b) Técnica de Nissl: Se basa en la unión electroestática de anilinas básicas con componentes ácidos del tejido Permite identificar la distribución espacial de las células en un órgano. No se aprecian las prolongaciones celulares. No se observa el soma de las células gliales (solo sus núcleos). Se puede observar el RER de algunas neuronas
  • 7.
    2) Métodos decoloración de la mielina a) Técnica de Klüver-barrera Componentes ácidos del tejido azul-violetas. Mielina en celeste-turquesa. Los axones no se colorean. Permite identificar la distribución espacial de las células en un órgano pero aportando información sobre la disposición de las fibras mielínicas. No se aprecian las prolongaciones celulares, ni se observa el soma de las células gliales (solo núcleos)
  • 8.
    3) Impregnaciones Argénticas a)Impregnación argentica de Golgi: La coloración con esta técnica se basa en la impregnación de algunos componentes tisulares con nitrato de plata. Siluetas celulares en negro sobre fondo amarillo-dorado. Se impregna un 2-5% de neuronas, astrocitos y oligodendrocitos (no se impregna la microglia) Pueden observarse también los vasos sanguíneos. Las células que se impregnan lo hacen en su totalidad, lo cual permite analizar en detalle la distribución y morfología de dendritas y axones. No puede observarse ningún detalle citológico b) Impregnación argéntica de Cajal del nitrato de plata para terminaciones nerviosas El tejido se impregna con nitrato de plata Se observa filamentos intermedios neuronales (neurofilamentos) y mocrotúbulos (neurotúbulos) se asocian y forman un artificio denominado clásicamente neurofibrillas, las cuales se observan en marrón oscuro o negro sobre fondo dorado. Permite analizar el trayecto de axones, y en muchos casos las terminaciones axónicas presinápticas. Algunos vasos aparecen impregnados de color marrón *observo citoesqueleto neuronal, neurofibrillas*
  • 10.
    4) Métodos histoquimicos: Identificaciónde grupos químicos específicos en las preparaciones histológicas a) Lectina de tomate: Se observan células microgliales en marrón sobre fondo claro b) NADHPD diaforasa: Permite reconocer la silueta de los elementos celulares que expresan la NADPH diaforasa 5) Métodos inmunocitoquimicos: Los métodos inmunohistoquimicos permiten la detección de complejos antígeno- anticuerpo en las preparaciones histológicas Los astrocitos se observan en marrón sobre fondo claro
  • 11.
  • 12.
    NEURONa La neurona esla unidad estructural y funcional del sistema nervioso Se puede dividir en 3 categorías según su función: -Neuronas Sensitivas: Transmiten impulsos desde los receptores hacia el SNC (seudounipolar) -Neuronas Motoras: Transmiten impulsos desde el SNC o ganglios hasta células efectoras -Interneuronas: Forman una red de comunicación y de integración. (célula piramidal, interneuronas, células de Purkinje) Dependiendo de las evaginaciones que se extienden desde el soma se pueden clasificar en: -Multipolares: Tienen un axón y dos o más dendritas (neuronas motoras e interneuronas) -Bipolares: Son las que tienen un axón y una dendrita. Están asociadas con los receptores de los sentidos especiales. (retina del ojo, nervio craneal VIII) -Seudounipolares (unipolares) Tienen una sola prolongación, el axón, que se divide cerca del soma en dos ramas axónicas largas (neuronas sensitivas)
  • 16.
    NEURONA En cuanto asu estructura esta formada por un cuerpo neuronal llamado Soma y prolongaciones; Dendritas y Axón SOMA NEURONAL: El soma celular de una neurona tiene las características de las células sintetizadoras de proteínas. *Contiene núcleo eucromático grande y citoplasma perinuclear (pericarion) *Con el MET se observa Retículo endoplasmatico Rugoso y Ribosomas libres Si miramos con el MO el contenido ribosómico aparece como granulaciones denominadas Corpúsculos de Nissl ---Cada Corpúsculo de Nissl corresponde a un rimero de RER---
  • 17.
    CITOESQUELETO En el citoplasmatambién encontraremos Mitocondrias (células metabólicamente activas), Aparato de Golgi, Lisosomas, Y quienes van a mantener la forma y se van a encargar del transporte intracelular son los microtúbulos (neurotubulos) neurofilamentos (filamentos intermedios) IMPORTANTE!! Los corpúsculos de Nissl, los ribosomas y ocasionalmente Ap.Golgi se extienden dentro de las dendritas pero NO dentro del Axón
  • 18.
    AXÓN Los axones sonevaginaciones efectoras que transmiten estímulos a otras neuronas o a célula efectoras. ***Cada neurona tiene un solo axón*** Se origina en el cono axonal sin deformar al soma En el segmento inicial es el sitio en el cual se genera un Potencial de acción Libre o con vaina de mielina, sus ramificaciones son en ángulo recto y diámetro constante No presentan espinas Finaliza en el telodendron que acaban en los botones sinápticos Posee neurofilamentos y neurotubulos (responsables del transporte axoplasmico) Mitocondrias y REL ***Carece de RER y Golgi** DENDRITAS Las dendritas son evaginaciones que reciben estímulos desde otras neuronas o desde el medio externo Se ubican en la cercanía del soma neuronal, no están mielinizadas Por lo general poseen el contenido citoplasmático similar al soma neuronal ***Pueden poseer espinas*** Son prolongaciones cortas que deforman al soma prolongándose en ángulo agudo
  • 19.
    Células de sosténdel sistema nervioso: La Glía En el Sistema Nervioso Central vamos a tener 4 tipos de glía -Astrocitos: proporcionan sostén físico y metabólico -Oligodendrocitos, activas en la formación y mantenimiento de la mielina -Células Ependimarias: revisten ventrículos y el conducto central de la medula espinal -Microglía: posee propiedades fagociticas En el Sistema Nervioso Periférico vamos a tener solamente a: -Células de Schwann, producen la vaina de mielina -Células Satélite
  • 20.
    Las funciones delos diferentes tipos de células glíales comprenden: -Sostén físico -Aislamiento para los somas y las evaginaciones neuronales -Reparación de la lesión neural -Regulación del medio liquido interno del SNC -Eliminan células muertas -Intercambio metabólico entre el sistema vascular y las neuronas del sistema nervioso
  • 21.
    ASTROCITOS Los astrocitos sonlas células gliales más grandes. Se han identificado 2 tipos de astrocitos: -Astrocitos protoplasmáticos: Se encuentran en la sustancia gris. Tienen abundantes evaginaciones cortas y ramificadas -Astrocitos fibrosos: Se encuentran en la sustancia blanca. Poseen menos evaginaciones y son relativamente rectas Los astrocitos cumplen funciones importantes en el movimiento de metabolitos y desechos desde las neuronas y hacia ellas Secretan metabolitos como el lactato, piruvato y glutamina Cumplen función de protección ya que contribuyen a mantener las uniones estrechas de los capilares que forman la barrera hematoencefalica Poseen prolongaciones llamadas pies terminales (pies astrocitarios perivasculares) que rodean los vasos sanguíneos y recubren nodos de ranvier
  • 25.
    OLIGODENDROCITOS Los oligodendrocitos produceny mantienen la vaina de mielina en el SNC La vaina de mielina en el SCN esta formada por capas concéntricas de membrana plasmática oligodendrocítica. Se observan como pequeñas células con escasas evaginaciones Se observa en la sustancia gris o en la sustancia blanca ***Un solo oligodendrocito forma la mielina de varios axones***
  • 28.
    Descripción a recordar! Astrocito:Célula pequeña de morfología estrellada que posee numerosas prolongaciones que se disponen en todas direcciones. Algunas de sus prolongaciones (podocitos o pies terminales) envuelven los vasos sanguíneos, otro rodean a las sinapsis ****Asociadas a estructuras vasculares en el SNC podemos encontrar Pies terminales astrocitarios****** Oligodendrocito: Célula pequeñas, poco ramificadas con escaso citoplasma perinuclear que se puede encontrar tanto en la sustancia gris como en la sustancia blanca y cuyas prolongaciones se bifurcan siguiendo el transcurso de las fibras axónicas
  • 29.
    CÉLULAS EPENDIMARIAS Las célulasependimarias forman el revestimiento epitelial de los ventrículos del encéfalo y del conducto espinal -Forman una sola capa de células entre cúbicas y cilíndricas que poseen características morfológicas y fisiológicas de las células transportadoras de liquido. Están estrechamente unidas y carecen de una lamina externa. La superficie apical posee cilios y microvellosidades que participan en la absorción del LCR Aíslan el parénquima nervioso del LCR Transporte activo de sustancias desde el LCR hacia el parénquima nervioso
  • 31.
    MICROGLÍA La microglia poseepropiedades fagociticas y tiene función de secreción de mediadores inflamatorios Son consideradas parte del sistema fagocitico mononuclear y se originan a partir de células progenitoras de granulocitos/monocitos **Circula de forma inactiva hasta que se tornan activamente fagociticas** Células pequeñas con núcleo alargado Evaginaciones delgadas y con espinas En MET se observa en su citoplasma abundancia de lisosomas, inclusiones y vesículas Escaso RER y escasos microtubulos
  • 35.
    CÉLULAS DE SCHWANN Enel SNP las células de Schwann producen la vaina de mielina que rodean los axones. Su presencia asegura la conducción rápida de los impulsos nerviosos. La fibras amielinicas también están envueltas y nutridas por células de Schwann Estas células colaboran en la limpieza de los detritos del SNP y guían la proliferación de axones del SNP
  • 36.
  • 38.
    CÉLULAS SATÉLITE Los somasneuronales de los ganglios están rodeados por una capa de pequeñas células cúbicas Su función es el intercambio metabólico de las neuronas NEUROPILO Es la región comprendida entre los somas neuronales y los vasos sanguíneos. Esta región se ubica exclusivamente en la sustancia gris Se caracteriza por la presencia de prolongaciones dendríticas, axónicas, gliales y abundantes contactos sinápticos (el soma no pertenece a la región del neuropilo)