Utilidad de AngioTomografía
en la patología neurológica.
ANGIO TOMOGRAFÍA
EVOLUCIÓN DE LA TOMOGRAFÍA
2004
TC MULTISLICE (40)
0.33 seg. de
rotación
120 imágenes x
seg.
2005
TC MULTISLICE (64)
0.33 seg. de
rotación
180 imágenes x
seg.
 Adquisición volumétrica sin contraste
 Adquisición volumétrica con inyección de
contraste por medio de bomba inyectora.
 Reconstrucciones multiplanares, sustracción ósea
y volumétricas en Workstation.
Ventajas y Desventajas
• Requerimiento de equipos
multipistas.
• Bomba de inyección.
• Contraste Iodado.
• Artificios en regiones
cercanas al hueso.
 Rápida
 No claustrofobia
 Estudio intra y extracraneal
en una adquisición de 6’’.
 Reconstrucciomes
multiplanares, volumétricas
y “dinámicas”.
 Mejor definición para
estructuras vasculares
distales.
Patología Estenótica
NASCET= (B-A)/B x 100% estenosis
ECST= (C-A)/C x 100 % estenosis
Stroke, 2004; 35: 1 a 6
FORMAS DE CUANTIFICACIÓN
AJ Fox. How to measure carotid stenosis. Radiology 1993; 186: 316.
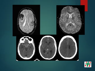
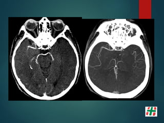
Paciente mujer 56 años, fumadora.
Episodios repetidos de déficit
transitorios en ambos hemicuerpo,
mayormente del lado derecho.
MOYA MOYA
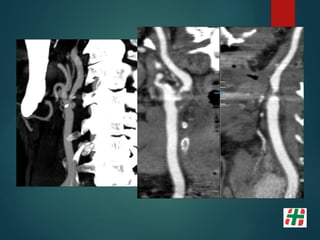
Disección Vascular
 Causa frecuente de Stroke isquémico en adultos jóvenes.
 Desgarro de la pared con formación de hematoma mural.
 Multifactorial, Trauma, infecciones, etc.
 Determinar extensión.

Mayor indicación de la secuencia TOF. Valor del crudo.
Flap de Disección
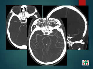
Patología Aneurismática
 Dilatación vascular que afecta solo una porción del
perímetro vascular.
 Carece de lámina elástica y ± túnica media.
 Se los clasifica básicamente en:
 Sacular;
 Ampollar;
 Fusiforme.
Pericallosa 4%
Comunicante Anterior 30%
Bifurcación ACI 7.5%
ACM 20%
Comunicante
Posterior 25%
Tope Basilar 7%
PICA 3%
Otras 3,5%
Brisman, et al. N Engl J Med 2006;355:928-39.
Métodos diagnósticos
 Angiografía Digital (3D DSA);
Sensibilidad del 96% lesiones del 0.5 a 4 mm.
 TC, Angio TC (Multidetector);
Sensibilidad del 40% al 97%.
 Angio RM (T.O.F.)
Sensibilidad 38% lesiones al 94%
ARTIFICIOS POR MATERIAL DE EMBOLIZACIÓN
Malformaciones Vasculares
 Las MAV son aglomeraciones anormales focales de arterias y
venas dilatadas en el parénquima cerebral.
 Pérdida de organización vascular a nivel subarteriolar y la
falta de un lecho capilar resulta en un shunt arteriovenoso.
 El nido, está conectado por una o varias fístulas.
Friedlander, et al. N Engl J Med 2007;356:2704-12.
Trombosis Venosa
 Representa un 0.5%.
 Seno Longitudinal Superior y Trasverso.
 ANGIORM mayor sensibilidad respecto del ANGIOTC…
GLOMUS CAROTIDEO
STROKE ISQUÉMICO AGUDO
Isquemia Cerebral
 Alteración en el aporte de oxígeno y nutrientes al
parénquima encefálico.
 80% de los Stroke en general.
 3er causa de muerte general.
 1er causa de morbilidad.
Isquemia Cerebral
 Mecanismos:
 Trombótico --- aterotrombótico: obstrucción local in situ, en
general por enfermedad de la pared arterial. Arterioesclerosis,
disección, displasia fibromuscular.
 Embólico: partículas/restos provenientes de fuente alejada que
bloquean el acceso a una región cerebral.
 Hipoperfusión sistémica (Hemodinámico): déficit circulatorio generalizado, no hay
obstrucción vascular sino hipoflujo
Estenosis
carotidea
Enfermedad de
pequeños vasos
Fibrilación
auricular
Enfermedad valvular
Trombo ventricular
Embolo cardiogénico
Placa aortica
Placa carotidea con
embolos potenciales
Ateroesclerosis
intracraneal
Clasificación de TOAST
Irrigación arterial cerebral
http://rapidshare.com/files/51743960/Territorios_vasculares.ppt
Estadíos de Isquemia Cerebral
Agudo Subagudo Cronico
Volumen Expansivo Disminución Retracción
Densidad Sutil Hipodenso Hipodenso Hipodenso +++
Señal (FLAIR-
DWI)
Hiperintenso-
Restricción
Hiperintenso-
Efecto T2
Hipointenso
Facilitación
Contraste Nada o leve
realce
Realce giral Sin cambios de
señal
Tomografía Computada
 Signos Tempranos de Stroke:
◦ Signo de la cuerda.
◦ Borramiento del ribete insular.
◦ Borramiento - Asimetría de surcos.
◦ Falta de diferenciación de las sustancias gris-blanca a nivel de los
ganglios basales.
SIGNO DE LA CUERDA
BORRAMIENTO DEL RIBETE INSULAR
Asimetría de Surcos
HIPODENSIDAD DE LOS GANGLIOS DE LA BASE
http://www.aspectsinstroke.com
Tomografía Computada Resonancia Magnética
MULTIMODAL
Infarto Agudo – RM
 Inmediatos ---Vasos
• Ausencia del vacio de flujo
• Estasis en FLAIR. Refuerzo con Gd
• AngioRM : obstrucción / estenosis
 Perfusión:
Infarto Agudo - RM
Minutos – horas --- Parénquima
 DWI: brillante
 T2 / FLAIR: edema citotóxico
• Tumefacción: máxima a los 7 días
• Ruptura BHE / hemorragia
• Gliosis: a partir del mes.
Ausencia del vacio de flujo
Muestra de tejido
A
Muestra de tejido
B: edema
intracelular
Difusión Restringida = Brillante
Difusión: principios
Imágenes en Stroke Agudo
¿Para qué?
 Hemorragia vs Isquemia vs Simuladores.
 Etiologías de Isquemia.
 Core infartado y área de penumbra.
Pacientes en plan de trombolisis sistémica:
 TC de cerebro sin contraste.
evidencia I A
RM (FLAIR-DWI-GRE-RMA IC) IA
Pacientes en plan de trombolisis
endovascular:
 TC mas AngioTC intra y extracraneal +/- Perfusión.
 RM con DWI mas AngioRM IC y EC
+/- Perfusión.
 ¿Cual es el mejor estudio para descartar
hemorragia?
 TC IA
 RM con GRE IB
 * GRE gran sensibilidad para detectar
microhemorragias invisibles para la TC.
 Menos de 5 no cambian la evolución.
 Mas de 5 NO hay evidencia que empeore el
pronóstico (mayor tasa de sangrados)
Hematoma
Hipertensivo
 ¿Cuándo son necesarias otras técnicas? (CTA-CTP, RMA-
PWI).
 Cuando se sospecha oclusión de gran vaso.
 Cuando existe falla en el tratamiento inicial (rTPA IV).
 ¿Cuándo realizarlas?
 Durante la infusión de la medicación.
 Durante el estudio de inicio. IIB.
 ¿Qué evidencia existe para detectar las lesiones
de la isquemia aguda?
 TC: S 39% E 100%. IA.
La sensibilidad mejora con ojos expetos y utilizando
ASPECTS. Valores tomados con 6 hs de inicio.
 RMI con DWI: S 99% E 82% IA.
(fosa posterior menor S y E)
 ¿Qué protocolo de estudio para pacientes en plan de
trombolisis IV?
 TC de inicio posterior AD.
 TC con CTA de inicio S 98% E 99% IA (tiempo de adquisición 2 a
10´).
 RMI con RMA y DWI/PWI (tiempo de adquisición 10’).
El mejor esquema es el que mayor experiencia maneje el centro y
tenga disponibilidad mas rápida.
CT Protocol for Acute Stroke: Tips and Tricks for General Radiologists Enrique
Marco de Lucas, 2008, Vol.28: 1673-1687
 Determinar presencia de colaterales.
 Mayor presencia de colaterales distales, menor core y
crecimiento de la lesión.
 Menor taza transformación hemorrágica post tratamiento. III.
 Los tres estudios vasculares muestran aceptables valores de S
y E.
 Se los clasifica en 3 grados según la expresión de colaterales
presentes.
Grado I escasas colaterales.
Grado II:
Moderadas
colaterales
Grado III:
Buenas
colaterales
Nuestro Protocolo
Ventana de 3 a
4,5 hs
TC mas CTA
RMI (DWI,
FLAIR, GRE)
con MRA IC
Ventana
extendida
(6hs anterior –
12 hs
posterior)
RMI con RMA IC Y
VC. DWI-PWI.
PERFUSIÓN CEREBRAL
- CBV (volúmen sanguíneo cerebral).
- CBF (flujo sanguíneo cerebral)
- TTP (tiempo al pico).
- TTM ó MTT ( Tiempo promedio de tránsito vascular o tiempo
de tránsito medio).
MISMATCH +
DWI
TTP
MAPAS DE PERFUSION (PWI)
MISMATCH (-)
Conclusiones
 Stroke en ventana de 3 a 4,5hs:
 TC o RM según disponibilidad IA.
 Estudios multimodales:
 Pacientes con plan de trombolisis IV IA.
 Particularmente estudios de vasos IA.
 TC y CTA adquiridos en el estudio de ingreso.
 Estudios de perfusión para “pacientes con tiempos
indeterminados o ventanas extendidas, sin otra
contraindicación” III.
NO PERDER TIEMPO
TIME IS BRAIN
 Se debe hacer el mejor estudio que se tenga disponible y
se sepa interpretar.
GRACIAS POR
SU ATENCIÓN
diego.minarro@hospitalitaliano.org.ar
tomogrfia computada multicorteUtilidad de AngioTomografía.pptx

tomogrfia computada multicorteUtilidad de AngioTomografía.pptx

  • 1.
    Utilidad de AngioTomografía enla patología neurológica.
  • 2.
  • 3.
    EVOLUCIÓN DE LATOMOGRAFÍA 2004 TC MULTISLICE (40) 0.33 seg. de rotación 120 imágenes x seg. 2005 TC MULTISLICE (64) 0.33 seg. de rotación 180 imágenes x seg.
  • 4.
     Adquisición volumétricasin contraste  Adquisición volumétrica con inyección de contraste por medio de bomba inyectora.  Reconstrucciones multiplanares, sustracción ósea y volumétricas en Workstation.
  • 5.
    Ventajas y Desventajas •Requerimiento de equipos multipistas. • Bomba de inyección. • Contraste Iodado. • Artificios en regiones cercanas al hueso.  Rápida  No claustrofobia  Estudio intra y extracraneal en una adquisición de 6’’.  Reconstrucciomes multiplanares, volumétricas y “dinámicas”.  Mejor definición para estructuras vasculares distales.
  • 7.
  • 8.
    NASCET= (B-A)/B x100% estenosis ECST= (C-A)/C x 100 % estenosis Stroke, 2004; 35: 1 a 6
  • 9.
    FORMAS DE CUANTIFICACIÓN AJFox. How to measure carotid stenosis. Radiology 1993; 186: 316.
  • 14.
    Paciente mujer 56años, fumadora. Episodios repetidos de déficit transitorios en ambos hemicuerpo, mayormente del lado derecho.
  • 15.
  • 16.
    Disección Vascular  Causafrecuente de Stroke isquémico en adultos jóvenes.  Desgarro de la pared con formación de hematoma mural.  Multifactorial, Trauma, infecciones, etc.  Determinar extensión.  Mayor indicación de la secuencia TOF. Valor del crudo.
  • 21.
  • 22.
    Patología Aneurismática  Dilataciónvascular que afecta solo una porción del perímetro vascular.  Carece de lámina elástica y ± túnica media.  Se los clasifica básicamente en:  Sacular;  Ampollar;  Fusiforme.
  • 23.
    Pericallosa 4% Comunicante Anterior30% Bifurcación ACI 7.5% ACM 20% Comunicante Posterior 25% Tope Basilar 7% PICA 3% Otras 3,5% Brisman, et al. N Engl J Med 2006;355:928-39.
  • 24.
    Métodos diagnósticos  AngiografíaDigital (3D DSA); Sensibilidad del 96% lesiones del 0.5 a 4 mm.  TC, Angio TC (Multidetector); Sensibilidad del 40% al 97%.  Angio RM (T.O.F.) Sensibilidad 38% lesiones al 94%
  • 33.
    ARTIFICIOS POR MATERIALDE EMBOLIZACIÓN
  • 34.
    Malformaciones Vasculares  LasMAV son aglomeraciones anormales focales de arterias y venas dilatadas en el parénquima cerebral.  Pérdida de organización vascular a nivel subarteriolar y la falta de un lecho capilar resulta en un shunt arteriovenoso.  El nido, está conectado por una o varias fístulas.
  • 35.
    Friedlander, et al.N Engl J Med 2007;356:2704-12.
  • 38.
    Trombosis Venosa  Representaun 0.5%.  Seno Longitudinal Superior y Trasverso.  ANGIORM mayor sensibilidad respecto del ANGIOTC…
  • 40.
  • 42.
  • 43.
    Isquemia Cerebral  Alteraciónen el aporte de oxígeno y nutrientes al parénquima encefálico.  80% de los Stroke en general.  3er causa de muerte general.  1er causa de morbilidad.
  • 44.
    Isquemia Cerebral  Mecanismos: Trombótico --- aterotrombótico: obstrucción local in situ, en general por enfermedad de la pared arterial. Arterioesclerosis, disección, displasia fibromuscular.  Embólico: partículas/restos provenientes de fuente alejada que bloquean el acceso a una región cerebral.  Hipoperfusión sistémica (Hemodinámico): déficit circulatorio generalizado, no hay obstrucción vascular sino hipoflujo
  • 45.
    Estenosis carotidea Enfermedad de pequeños vasos Fibrilación auricular Enfermedadvalvular Trombo ventricular Embolo cardiogénico Placa aortica Placa carotidea con embolos potenciales Ateroesclerosis intracraneal Clasificación de TOAST
  • 46.
  • 47.
  • 48.
    Estadíos de IsquemiaCerebral Agudo Subagudo Cronico Volumen Expansivo Disminución Retracción Densidad Sutil Hipodenso Hipodenso Hipodenso +++ Señal (FLAIR- DWI) Hiperintenso- Restricción Hiperintenso- Efecto T2 Hipointenso Facilitación Contraste Nada o leve realce Realce giral Sin cambios de señal
  • 49.
    Tomografía Computada  SignosTempranos de Stroke: ◦ Signo de la cuerda. ◦ Borramiento del ribete insular. ◦ Borramiento - Asimetría de surcos. ◦ Falta de diferenciación de las sustancias gris-blanca a nivel de los ganglios basales.
  • 50.
  • 51.
  • 52.
  • 53.
    HIPODENSIDAD DE LOSGANGLIOS DE LA BASE
  • 55.
  • 57.
    Tomografía Computada ResonanciaMagnética MULTIMODAL
  • 59.
    Infarto Agudo –RM  Inmediatos ---Vasos • Ausencia del vacio de flujo • Estasis en FLAIR. Refuerzo con Gd • AngioRM : obstrucción / estenosis  Perfusión:
  • 60.
    Infarto Agudo -RM Minutos – horas --- Parénquima  DWI: brillante  T2 / FLAIR: edema citotóxico • Tumefacción: máxima a los 7 días • Ruptura BHE / hemorragia • Gliosis: a partir del mes.
  • 61.
  • 62.
    Muestra de tejido A Muestrade tejido B: edema intracelular Difusión Restringida = Brillante Difusión: principios
  • 63.
    Imágenes en StrokeAgudo ¿Para qué?  Hemorragia vs Isquemia vs Simuladores.  Etiologías de Isquemia.  Core infartado y área de penumbra.
  • 64.
    Pacientes en plande trombolisis sistémica:  TC de cerebro sin contraste. evidencia I A RM (FLAIR-DWI-GRE-RMA IC) IA Pacientes en plan de trombolisis endovascular:  TC mas AngioTC intra y extracraneal +/- Perfusión.  RM con DWI mas AngioRM IC y EC +/- Perfusión.
  • 65.
     ¿Cual esel mejor estudio para descartar hemorragia?  TC IA  RM con GRE IB  * GRE gran sensibilidad para detectar microhemorragias invisibles para la TC.  Menos de 5 no cambian la evolución.  Mas de 5 NO hay evidencia que empeore el pronóstico (mayor tasa de sangrados)
  • 66.
  • 68.
     ¿Cuándo sonnecesarias otras técnicas? (CTA-CTP, RMA- PWI).  Cuando se sospecha oclusión de gran vaso.  Cuando existe falla en el tratamiento inicial (rTPA IV).  ¿Cuándo realizarlas?  Durante la infusión de la medicación.  Durante el estudio de inicio. IIB.
  • 69.
     ¿Qué evidenciaexiste para detectar las lesiones de la isquemia aguda?  TC: S 39% E 100%. IA. La sensibilidad mejora con ojos expetos y utilizando ASPECTS. Valores tomados con 6 hs de inicio.  RMI con DWI: S 99% E 82% IA. (fosa posterior menor S y E)
  • 70.
     ¿Qué protocolode estudio para pacientes en plan de trombolisis IV?  TC de inicio posterior AD.  TC con CTA de inicio S 98% E 99% IA (tiempo de adquisición 2 a 10´).  RMI con RMA y DWI/PWI (tiempo de adquisición 10’). El mejor esquema es el que mayor experiencia maneje el centro y tenga disponibilidad mas rápida.
  • 71.
    CT Protocol forAcute Stroke: Tips and Tricks for General Radiologists Enrique Marco de Lucas, 2008, Vol.28: 1673-1687
  • 73.
     Determinar presenciade colaterales.  Mayor presencia de colaterales distales, menor core y crecimiento de la lesión.  Menor taza transformación hemorrágica post tratamiento. III.  Los tres estudios vasculares muestran aceptables valores de S y E.  Se los clasifica en 3 grados según la expresión de colaterales presentes.
  • 74.
    Grado I escasascolaterales.
  • 75.
  • 76.
  • 77.
    Nuestro Protocolo Ventana de3 a 4,5 hs TC mas CTA RMI (DWI, FLAIR, GRE) con MRA IC Ventana extendida (6hs anterior – 12 hs posterior) RMI con RMA IC Y VC. DWI-PWI.
  • 78.
    PERFUSIÓN CEREBRAL - CBV(volúmen sanguíneo cerebral). - CBF (flujo sanguíneo cerebral) - TTP (tiempo al pico). - TTM ó MTT ( Tiempo promedio de tránsito vascular o tiempo de tránsito medio).
  • 79.
  • 80.
    MAPAS DE PERFUSION(PWI) MISMATCH (-)
  • 82.
    Conclusiones  Stroke enventana de 3 a 4,5hs:  TC o RM según disponibilidad IA.  Estudios multimodales:  Pacientes con plan de trombolisis IV IA.  Particularmente estudios de vasos IA.  TC y CTA adquiridos en el estudio de ingreso.  Estudios de perfusión para “pacientes con tiempos indeterminados o ventanas extendidas, sin otra contraindicación” III.
  • 83.
    NO PERDER TIEMPO TIMEIS BRAIN  Se debe hacer el mejor estudio que se tenga disponible y se sepa interpretar.
  • 84.