Enfermedad
Cerebrovascular
Isquémico
Diego Abid Martinez Montoya
Lorena Judith López castañeda
Paola López Carrillo
Daniel Alberto Robledo Urista
Cristian Daniel Ibarra Marmolejo
CONTENIDO
01 Introducción
02 Cuadro Clínico
03 Anatomía Patológica
04 Zona de Penumbra y la
Hora de oro
05 Imagen en TC
Introducción
01
- La enfermedad tromboembólica secundaria a
aterosclerosis es la causa más frecuente del accidente
cerebrovascular isquémico.
- La reducción del flujo sanguíneo por cualquier causa afecta
con mayor intensidad, a los territorios límites: áreas
arteriales distales, representan la unión entre zonas
irrigadas por vasos intracerebrales de calibre grande.
Beltrán, A. E. C. ACV isquémico.
- Primera causa de discapacidad adquirirda.
- Representa el 80% de los casos
- Presenta un déficit neurológico de inicio brusco: el territorio vascular afectado determinará
los síntomas exactos y el comportamiento de la lesión.
- La aplicación de las medidas diagnósticas y terapéuticas protocolizadas: 3-4.5 hrs (hasta
6hrs), del inicio de los síntomas, para tener una reducción de la mortalidad y la
discapacidad.
- Según la evolución en las primeras horas:
1. Ataque Isquémico Transitorio
(AIT):
Déficit neurológico, de menos de una
hora de duración y que no se asocia con
infarto cerebral en la neuroimagen,
2. Infarto Cerebral:
Si el déficit isquémico no se
revierte antes de 24hrs. Hay una
lesión definitiva del parénquima
afectado.
Irrigacion
Herring, W. (2020). Radiologia Basica: Aspectos Fundamentales (4a ed.). Elsevier.
Beltrán, A. E. C. ACV isquémico.
Barber PA, Demchuck AM, Zhang J, Buchan AM. Validity and reliability of a quantitative computed tomography score in predicting outcome of hyperacutes stroke befores thrombolytic therapy. ASPECTS Study Group.
Alberta Stroke Programme Early CT Score. LAncet. 2017; 355:1670-1674
Territorio vascular ACM. A) El territorio de la ACM (rojo) irriga las
caras laterales de los lóbulos frontal y temporal. B) DWI
(secuencia en T2) axial muestra restricción en el territorio de la ACM
izquierda con preservación de los ganglios basales. El territorio de la
ACM es la ubicación más común del ACV isquémico
Territorios vasculares ACA. A) La ACA (verde) irriga los 2/3 anteriores de
la superficie del hemisferio medial, el lóbulo frontal anteroinferior medial
y parte de la convexidad cerebral. El cuerpo calloso suele estar irrigado
por ramas de la ACÁ. B) DWI axial muestra restricción de la difusión en el
territorio de la ACÁ izquierda dentro del lóbulo fronta
Territorio vascular de la ACP. A) La ACP (purpura) irriga los lóbulos
occipitales y los lóbulos temporales inferiores y 1/3 posterior medial
del cerebro interhemisférico. Los pacientes con isquemia a la ACP
presentan con mayor frecuencia molestias visuales. B) DWI axial muestra
una restricción de la difusión en el lóbulo occipital.
Arteria coroidea anterior
Arterias lenticuloestriadas (AMC)
Arterias lenticuloestriadas (ACA)
Arterias talamoperforantes (ACP)
Arterias de Huebner (ACA)
Territorios irrigados por las
arterias cerebrales perforantes
Infarto lacunar central secundario a ateromatosis de la ACM.
Imágenes realizadas 3 días posteriores al evento. A) T2FLAIR. B)
Difusión. C) AngioRM.
Zona de Penumbra y
Hora de Oro .
04
Zona de penumbra.
Cuando se produce lesión aguda en parénquima encefálico, se pueden diferenciar dos áreas:
1- Primer zona es el tejido infartado (necrótico) o que se va a infartar a pesar de la reperfusión
2- Segunda zona es tejido isquémico que está en riesgo de progresar a infarto.
Pacientes con tejido salvable después de 24 hrs de ictus: 80% a las 6 hrs y 40% en 24 hrs
El objetivo del tratamiento trombolítico es lograr la restitución precoz de la perfusión arterial y preservar el
tejido neuronal dañado de manera reversible en la zona de penumbra.
García, A. M. [@alfredomanzanogarcia2774]. (2022, septiembre 17). Enfermedad vascular cerebral. Parte 1. Youtube.
https://www.youtube.com/watch?v=ozdTj01ON70
Hora de oro
En el año 2003 el NINDS (National Institute of Neurological Disease and Stroke)
introduce el concepto HORA DE ORO, se establecio un tiempo puerta-aguja de menos
de 60 minutos para el inicio de la infusion rTPA
Imágenes de Ictus Isquémico en
la RM.
05
ación de una RM consume más tiempo y está menos disponible que la TC, pero tiene una sensibilidad y
cidad significativamente mayores en el diagnóstico del ictus isquémico agudo.
multimodal permite una valoración fisiopatológica del ictus en fase hiperaguda
colo de estudio de una RM Multimodal incluye las siguientes secuencias:
Secuencias de difusión (RM-DWI)
Secuencias de Perfusión (RM-PWI) con contraste
Secuencias angiográficas, con o sin contraste.
Secuencias de susceptibilidad magnética (gradiente de eco o T2*)
Hiperagudo Temprano
En el ictus isquémico agudo, las imágenes de difusión presentan mayor sensibilidad que la TC para detectar
el área isquémica. Puede ser evidente a los 35 minutos del inicio de los síntomas.
Se manifiesta en la imagen de difusión con un aumento de la señal y valores reducidos del coeficiente de
difusión aparente. Se correlacionan bien con el núcleo del infarto, indicando edema citotóxico.
En la RM perfusión el núcleo del infarto se define como el área del cerebro con:
● Aumento del tiempo medio de tránsito (TMT)
● Disminución notable del flujo sanguíneo cerebral relativo (FSCr) : <30% normal
● Disminución del volumen sanguíneo cerebral (VSC): <40% normal
La zona penumbra tendrá un flujo sanguíneo cerebral moderadamente disminuido y un volumen sanguíneo
cerebral normal o incluso mayor debido a la autorregulación.
En esta etapa el parénquima afectado parece normal en las secuencias convencionales.
Ictus Hiperagudo Tardio
Generalmente, después de 6 horas se detecta una hiperintensidad de señal, inicialmente más fácil de
ver en FLAIR que en la secuencia T2 convencional y continuará aumentando durante las próximas 24
– 48 hs.
La hipointensidad en la secuencia T1 se observa después de 16 horas y persiste.
FLAIR: secuencia potenciada en T2, en la que se anula la señal proveniente del líquido
cefalorraquídeo. La sustancia blanca se observa de menor intensidad de señal en relación con la
sustancia gris (típico de la potenciación en T2) y el líquido cefalorraquídeo se observa hipointenso
ICTUS AGUDO
● Durante la primera semana, el parénquima infartado continúa mostrando una señal alta
en DWI y baja en el ADC. Al final de la primera semana los valores de ADC comienzan a
aumentar.
● Se mantiene la señal hiperintensa en T2 y FLAIR en el infarto. Los primeros 4 días la señal
de T2 aumenta progresivamente.
● La intensidad de señal T1 sigue siendo baja. Puede observarse hiperintensidad cortical
T1 tan pronto como 3 días después del infarto.
● Después del día 5, la corteza generalmente muestra un refuerzo con el contraste . Es
menos frecuente el refuerzo arterial, que se hace evidente después de 3 días, en
aproximadamente la mitad de los casos. El refuerzo meníngeo, tampoco es común y se
observa entre el 2° y 6° días.
● La hemorragia se ve con mayor facilidad en las imágenes de susceptibilidad magnética
(SWI), pero no es un buen indicador de la edad. Se observa con mayor frecuencia después
de 12 horas y dentro de los primeros días, pero puede ocurrir antes o tan tarde como 5
días.
En las secuencias T1 se observa hipodensidad de la corteza frontoinsular y refuerzo
persistente de las arterias de la región. En la secuencia T2 la hiperintesidad en la corteza y la
sustancia blanca subcortical representa edema.
ICTUS SUBAGUDO
Entre los 10 y 15 días, a medida que los valores de ADC continúan aumentando, el tejido
infartado progresivamente se vuelve más brillante que el parénquima normal.
Por el contrario, la señal en la DWI permanece elevada debido al efecto T2 (alta intensidad de la
señal en T2 / FLAIR), a menos que se produzca hemorragia o encefalomalacia quística .
El fenómeno de niebla T2 también se observa típicamente entre 1 y 5 semanas, con más
frecuencia en la 2a semana.
Las secuencias ponderadas en T1 continúan mostrando hipointensidad con hiperintensidad
cortical sí hay necrosis laminar cortical.
El refuerzo cortical con contraste suele estar presente durante todo el período subagudo.
ICTUS CRONICO
La señal T1 permanece baja, con hiperintensidad cortical si hay necrosis laminar cortical. La
señal T2 es alta.
El refuerzo cortical con contraste persiste durante 2 a 4 meses. Es importante destacar que si
el refuerzo del parénquima persiste durante más de 12 semanas, se debe sospechar la
presencia de una lesión subyacente.
Los valores del CDA son altos, lo que se manifiesta cómo una señal alta. La señal en DWI es
variable, pero a medida que pasa el tiempo disminuye progresivamente.
Hallazgos principales y
limitaciones
La TC sin contraste hasta
el dia de hoy se considera
el pilar de las imágenes
con sospecha de ictus
isquémico agudo debido a
su costo tiempo y mayor
disponibilidad
Aporta información acerca de la
presencia o no de tejido
isquémico, la localización y
tamaño de la isquemia, su
distribución vascular y la
presencia o no de sangrado asi
como la extension de la lesion y
causas no vasculares
La principal limitación de la TC
de cerebro es la baja
sensibilidad en el período agudo.
En estos casos, la detección
depende del territorio vascular
comprometido, la experiencia del
radiólogo y el tiempo de
evolución desde el inicio de los
síntomas.
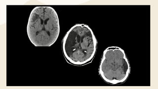
Signos Inmediatos
El primer signo visible en la TC es la hiperdensidad en un segmento de un
vaso. Representa la visualización directa del trombo / émbolo
intravascular y, como tal, es visible de inmediato
se observa con mayor frecuencia en la arteria cerebral media (ACM).
Cuando se observa hiperdensidad sobre el segmento M1 de la ACM se
conoce como el signo de la ACM hiperdensa o signo de la cuerda. Si se
encuentra en un ramo de la arteria, en la fisura silviana, se denomina signo
del punto.
Ictus Hiperagudo Temprano
se pueden observar signos tempranos de isquemia en
aproximadamente el 60% de los casos dentro de las 2 horas del
inicio de los síntomas y más del 80% de los casos dentro de las
6 horas.
Los signos visibles dependen del sitio de la oclusión y la
presencia de flujo colateral.
Los primeros hallazgos incluyen:
Pérdida de la diferenciación entre sustancia gris y blanca.
Hipodensidad de los núcleos basales
Hipodensidad cortical con borramiento giral
Ictus agudo 2 / 48 horas
Ictus Subagudo
A medida que pasa el tiempo, la
tumefacción comienza a disminuir y
pequeñas cantidades de
hemorragias petequiales corticales
provocan un aumento de la densidad
de la corteza. Esto se conoce como
el fenómeno de niebla (fogging). La
región del infarto cortical recupera
una apariencia casi normal.
Ictus Crónico
Área hipodensa en forma de cuña claramente
delineada que involucra tanto la SG como la SB y
se ajusta al.territorio vascular de una arteria
cerebral.
-Los surcos adyacentes y el ventrículo ipsilateral
se agrandan como consecuencia de la pérdida de
volumen en el hemisferio afectado -Puede verse
calcificación distrofica.
-La degeneración walleriana con un pequeño
pedúnculo cerebral ipsilateral, a menudo está
presente con infartos de la ACM grandes
-Mas allá de los 2-3 meses no mostrarán realce con
el contraste
Referencias
● Ciardullo, D. (2020, febrero 5). Imágenes del Ictus Isquémico en TC y RM. Radiologia 2.0.
https://radiologia2cero.com/imagenes-del-ictus-isquemico/
● García, A. M. [@alfredomanzanogarcia2774]. (2022, septiembre 17). Enfermedad vascular cerebral. Parte 1. Youtube.
https://www.youtube.com/watch?v=ozdTj01ON70
● Porras, D. A. J. (2023). Facultad de Ciencias Médicas Carrera de Imagenología (Doctoral dissertation, Universidad de
Cuenca)
● Herring, W. (2020). Radiologia Basica: Aspectos Fundamentales (4a ed.). Elsevier.
CREDITS: This presentation template was created by Slidesgo, and
includes icons by Flaticon, and infographics & images by Freepik
GRACIAS!

EVC ISQUEMICO.pdf

  • 1.
    Enfermedad Cerebrovascular Isquémico Diego Abid MartinezMontoya Lorena Judith López castañeda Paola López Carrillo Daniel Alberto Robledo Urista Cristian Daniel Ibarra Marmolejo
  • 2.
    CONTENIDO 01 Introducción 02 CuadroClínico 03 Anatomía Patológica 04 Zona de Penumbra y la Hora de oro 05 Imagen en TC
  • 3.
  • 4.
    - La enfermedadtromboembólica secundaria a aterosclerosis es la causa más frecuente del accidente cerebrovascular isquémico. - La reducción del flujo sanguíneo por cualquier causa afecta con mayor intensidad, a los territorios límites: áreas arteriales distales, representan la unión entre zonas irrigadas por vasos intracerebrales de calibre grande. Beltrán, A. E. C. ACV isquémico.
  • 5.
    - Primera causade discapacidad adquirirda. - Representa el 80% de los casos - Presenta un déficit neurológico de inicio brusco: el territorio vascular afectado determinará los síntomas exactos y el comportamiento de la lesión. - La aplicación de las medidas diagnósticas y terapéuticas protocolizadas: 3-4.5 hrs (hasta 6hrs), del inicio de los síntomas, para tener una reducción de la mortalidad y la discapacidad. - Según la evolución en las primeras horas: 1. Ataque Isquémico Transitorio (AIT): Déficit neurológico, de menos de una hora de duración y que no se asocia con infarto cerebral en la neuroimagen, 2. Infarto Cerebral: Si el déficit isquémico no se revierte antes de 24hrs. Hay una lesión definitiva del parénquima afectado.
  • 6.
  • 7.
    Herring, W. (2020).Radiologia Basica: Aspectos Fundamentales (4a ed.). Elsevier.
  • 8.
    Beltrán, A. E.C. ACV isquémico.
  • 9.
    Barber PA, DemchuckAM, Zhang J, Buchan AM. Validity and reliability of a quantitative computed tomography score in predicting outcome of hyperacutes stroke befores thrombolytic therapy. ASPECTS Study Group. Alberta Stroke Programme Early CT Score. LAncet. 2017; 355:1670-1674
  • 10.
    Territorio vascular ACM.A) El territorio de la ACM (rojo) irriga las caras laterales de los lóbulos frontal y temporal. B) DWI (secuencia en T2) axial muestra restricción en el territorio de la ACM izquierda con preservación de los ganglios basales. El territorio de la ACM es la ubicación más común del ACV isquémico
  • 11.
    Territorios vasculares ACA.A) La ACA (verde) irriga los 2/3 anteriores de la superficie del hemisferio medial, el lóbulo frontal anteroinferior medial y parte de la convexidad cerebral. El cuerpo calloso suele estar irrigado por ramas de la ACÁ. B) DWI axial muestra restricción de la difusión en el territorio de la ACÁ izquierda dentro del lóbulo fronta
  • 12.
    Territorio vascular dela ACP. A) La ACP (purpura) irriga los lóbulos occipitales y los lóbulos temporales inferiores y 1/3 posterior medial del cerebro interhemisférico. Los pacientes con isquemia a la ACP presentan con mayor frecuencia molestias visuales. B) DWI axial muestra una restricción de la difusión en el lóbulo occipital.
  • 13.
    Arteria coroidea anterior Arteriaslenticuloestriadas (AMC) Arterias lenticuloestriadas (ACA) Arterias talamoperforantes (ACP) Arterias de Huebner (ACA) Territorios irrigados por las arterias cerebrales perforantes
  • 14.
    Infarto lacunar centralsecundario a ateromatosis de la ACM. Imágenes realizadas 3 días posteriores al evento. A) T2FLAIR. B) Difusión. C) AngioRM.
  • 15.
    Zona de Penumbray Hora de Oro . 04
  • 16.
    Zona de penumbra. Cuandose produce lesión aguda en parénquima encefálico, se pueden diferenciar dos áreas: 1- Primer zona es el tejido infartado (necrótico) o que se va a infartar a pesar de la reperfusión 2- Segunda zona es tejido isquémico que está en riesgo de progresar a infarto. Pacientes con tejido salvable después de 24 hrs de ictus: 80% a las 6 hrs y 40% en 24 hrs El objetivo del tratamiento trombolítico es lograr la restitución precoz de la perfusión arterial y preservar el tejido neuronal dañado de manera reversible en la zona de penumbra.
  • 17.
    García, A. M.[@alfredomanzanogarcia2774]. (2022, septiembre 17). Enfermedad vascular cerebral. Parte 1. Youtube. https://www.youtube.com/watch?v=ozdTj01ON70
  • 18.
    Hora de oro Enel año 2003 el NINDS (National Institute of Neurological Disease and Stroke) introduce el concepto HORA DE ORO, se establecio un tiempo puerta-aguja de menos de 60 minutos para el inicio de la infusion rTPA
  • 19.
    Imágenes de IctusIsquémico en la RM. 05
  • 20.
    ación de unaRM consume más tiempo y está menos disponible que la TC, pero tiene una sensibilidad y cidad significativamente mayores en el diagnóstico del ictus isquémico agudo. multimodal permite una valoración fisiopatológica del ictus en fase hiperaguda colo de estudio de una RM Multimodal incluye las siguientes secuencias: Secuencias de difusión (RM-DWI) Secuencias de Perfusión (RM-PWI) con contraste Secuencias angiográficas, con o sin contraste. Secuencias de susceptibilidad magnética (gradiente de eco o T2*)
  • 21.
    Hiperagudo Temprano En elictus isquémico agudo, las imágenes de difusión presentan mayor sensibilidad que la TC para detectar el área isquémica. Puede ser evidente a los 35 minutos del inicio de los síntomas. Se manifiesta en la imagen de difusión con un aumento de la señal y valores reducidos del coeficiente de difusión aparente. Se correlacionan bien con el núcleo del infarto, indicando edema citotóxico. En la RM perfusión el núcleo del infarto se define como el área del cerebro con: ● Aumento del tiempo medio de tránsito (TMT) ● Disminución notable del flujo sanguíneo cerebral relativo (FSCr) : <30% normal ● Disminución del volumen sanguíneo cerebral (VSC): <40% normal La zona penumbra tendrá un flujo sanguíneo cerebral moderadamente disminuido y un volumen sanguíneo cerebral normal o incluso mayor debido a la autorregulación. En esta etapa el parénquima afectado parece normal en las secuencias convencionales.
  • 22.
    Ictus Hiperagudo Tardio Generalmente,después de 6 horas se detecta una hiperintensidad de señal, inicialmente más fácil de ver en FLAIR que en la secuencia T2 convencional y continuará aumentando durante las próximas 24 – 48 hs. La hipointensidad en la secuencia T1 se observa después de 16 horas y persiste. FLAIR: secuencia potenciada en T2, en la que se anula la señal proveniente del líquido cefalorraquídeo. La sustancia blanca se observa de menor intensidad de señal en relación con la sustancia gris (típico de la potenciación en T2) y el líquido cefalorraquídeo se observa hipointenso
  • 23.
    ICTUS AGUDO ● Durantela primera semana, el parénquima infartado continúa mostrando una señal alta en DWI y baja en el ADC. Al final de la primera semana los valores de ADC comienzan a aumentar. ● Se mantiene la señal hiperintensa en T2 y FLAIR en el infarto. Los primeros 4 días la señal de T2 aumenta progresivamente. ● La intensidad de señal T1 sigue siendo baja. Puede observarse hiperintensidad cortical T1 tan pronto como 3 días después del infarto. ● Después del día 5, la corteza generalmente muestra un refuerzo con el contraste . Es menos frecuente el refuerzo arterial, que se hace evidente después de 3 días, en aproximadamente la mitad de los casos. El refuerzo meníngeo, tampoco es común y se observa entre el 2° y 6° días. ● La hemorragia se ve con mayor facilidad en las imágenes de susceptibilidad magnética (SWI), pero no es un buen indicador de la edad. Se observa con mayor frecuencia después de 12 horas y dentro de los primeros días, pero puede ocurrir antes o tan tarde como 5 días.
  • 24.
    En las secuenciasT1 se observa hipodensidad de la corteza frontoinsular y refuerzo persistente de las arterias de la región. En la secuencia T2 la hiperintesidad en la corteza y la sustancia blanca subcortical representa edema.
  • 25.
    ICTUS SUBAGUDO Entre los10 y 15 días, a medida que los valores de ADC continúan aumentando, el tejido infartado progresivamente se vuelve más brillante que el parénquima normal. Por el contrario, la señal en la DWI permanece elevada debido al efecto T2 (alta intensidad de la señal en T2 / FLAIR), a menos que se produzca hemorragia o encefalomalacia quística . El fenómeno de niebla T2 también se observa típicamente entre 1 y 5 semanas, con más frecuencia en la 2a semana. Las secuencias ponderadas en T1 continúan mostrando hipointensidad con hiperintensidad cortical sí hay necrosis laminar cortical. El refuerzo cortical con contraste suele estar presente durante todo el período subagudo.
  • 26.
    ICTUS CRONICO La señalT1 permanece baja, con hiperintensidad cortical si hay necrosis laminar cortical. La señal T2 es alta. El refuerzo cortical con contraste persiste durante 2 a 4 meses. Es importante destacar que si el refuerzo del parénquima persiste durante más de 12 semanas, se debe sospechar la presencia de una lesión subyacente. Los valores del CDA son altos, lo que se manifiesta cómo una señal alta. La señal en DWI es variable, pero a medida que pasa el tiempo disminuye progresivamente.
  • 28.
    Hallazgos principales y limitaciones LaTC sin contraste hasta el dia de hoy se considera el pilar de las imágenes con sospecha de ictus isquémico agudo debido a su costo tiempo y mayor disponibilidad Aporta información acerca de la presencia o no de tejido isquémico, la localización y tamaño de la isquemia, su distribución vascular y la presencia o no de sangrado asi como la extension de la lesion y causas no vasculares La principal limitación de la TC de cerebro es la baja sensibilidad en el período agudo. En estos casos, la detección depende del territorio vascular comprometido, la experiencia del radiólogo y el tiempo de evolución desde el inicio de los síntomas.
  • 30.
    Signos Inmediatos El primersigno visible en la TC es la hiperdensidad en un segmento de un vaso. Representa la visualización directa del trombo / émbolo intravascular y, como tal, es visible de inmediato se observa con mayor frecuencia en la arteria cerebral media (ACM). Cuando se observa hiperdensidad sobre el segmento M1 de la ACM se conoce como el signo de la ACM hiperdensa o signo de la cuerda. Si se encuentra en un ramo de la arteria, en la fisura silviana, se denomina signo del punto.
  • 31.
    Ictus Hiperagudo Temprano sepueden observar signos tempranos de isquemia en aproximadamente el 60% de los casos dentro de las 2 horas del inicio de los síntomas y más del 80% de los casos dentro de las 6 horas. Los signos visibles dependen del sitio de la oclusión y la presencia de flujo colateral. Los primeros hallazgos incluyen: Pérdida de la diferenciación entre sustancia gris y blanca. Hipodensidad de los núcleos basales Hipodensidad cortical con borramiento giral
  • 32.
    Ictus agudo 2/ 48 horas
  • 33.
    Ictus Subagudo A medidaque pasa el tiempo, la tumefacción comienza a disminuir y pequeñas cantidades de hemorragias petequiales corticales provocan un aumento de la densidad de la corteza. Esto se conoce como el fenómeno de niebla (fogging). La región del infarto cortical recupera una apariencia casi normal.
  • 34.
    Ictus Crónico Área hipodensaen forma de cuña claramente delineada que involucra tanto la SG como la SB y se ajusta al.territorio vascular de una arteria cerebral. -Los surcos adyacentes y el ventrículo ipsilateral se agrandan como consecuencia de la pérdida de volumen en el hemisferio afectado -Puede verse calcificación distrofica. -La degeneración walleriana con un pequeño pedúnculo cerebral ipsilateral, a menudo está presente con infartos de la ACM grandes -Mas allá de los 2-3 meses no mostrarán realce con el contraste
  • 36.
    Referencias ● Ciardullo, D.(2020, febrero 5). Imágenes del Ictus Isquémico en TC y RM. Radiologia 2.0. https://radiologia2cero.com/imagenes-del-ictus-isquemico/ ● García, A. M. [@alfredomanzanogarcia2774]. (2022, septiembre 17). Enfermedad vascular cerebral. Parte 1. Youtube. https://www.youtube.com/watch?v=ozdTj01ON70 ● Porras, D. A. J. (2023). Facultad de Ciencias Médicas Carrera de Imagenología (Doctoral dissertation, Universidad de Cuenca) ● Herring, W. (2020). Radiologia Basica: Aspectos Fundamentales (4a ed.). Elsevier.
  • 37.
    CREDITS: This presentationtemplate was created by Slidesgo, and includes icons by Flaticon, and infographics & images by Freepik GRACIAS!