Carla Hernández V.
   Odontología
       2012
Epitelio de reves. Simple
cúbico con microvellocidades
Túbulo contorneado
proximal



         Epitelio de reves.
         Simple plano.
         (Pared de cápsula
         de Bowman)



    Epitelio de reves.
    Simple cúbico sin
    microvellosidades
    (Túbulo contorneado
    distal)
Epitelio de reves.
Simple plano.
(Pared de cápsula
de Bowman)
Epitelio de reves. Simple
cúbico con microvellosidades
Túbulo contorneado
proximal
Ep. de reves. Simple cilíndrico
(Intestino delgado)
Ep. De reves. Simple cilíndrico con
células caliciformes.
Ep. de reves. Simple pseudoestratificado
 cilíndrico ciliado con células caliciformes
.
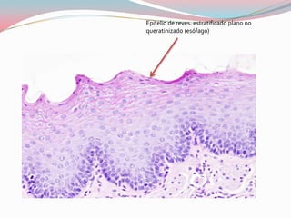
Epitelio de reves. estratificado plano no
queratinizado (esófago)
Epitelio de reves.
 Estratificado plano
 queratinizado




             Queratina




          Tejido conectivo
          laxo



Tejido conectivo denso
colágeno no modelado
Ep. de reves. estratificado
polimorfo.
Ep. de reves. estratificado polimorfo     Ep. de reves.
(de transición)                           Estratificado
                                          cilíndrico.




                                        (Uretra)
Ep. de reves. estratificado polimorfo
(de transición) (vejiga)
Piel (Dermis)
Tinción: Hematoxilina y Eosina

               Epitelio de reves.
               Estratificado plano
               queratinizado




                           Queratina




                        Tejido conectivo
                        laxo



              Tejido conectivo denso
              colágeno no modelado
Esófago. Tinción: Hematoxilina y Eosina
Aumento 40X

            Ep. de reves. estratificado plano no
            queratinizado.


                    Fibrocito



                                Fibroblasto



                                 Neutrófilo




 Tejido conectivo laxo
Tendón. Tinción: Hematoxilina y
Eosina. Aumento 40X




                Fibras colágenas




                 Tendinocito




          Tejido conectivo denso
          colágeno modelado
Dermis. Tinción : Hematoxilina   Queratina
y Eosina


                                        Ep. De reves.
                                        Estratificado plano
                                        queratinizado

                                        Tejido conectivo
                                        laxo




                                             Tejido
                                             conectivo
                                             denso colágeno
                                             no modelado
Dermis. Tinción : Hematoxilina   Fibras colágenas irregulares
y Eosina


                                                          Fibroblastos




                                                     Tejido
                                                     conectivo
                                                     denso colágeno
                                                     no modelado
Epiglotis. Tinción Weigert (Fucsina-Resorcina)
Aumento: 10x




                                Tejido conectivo denso
                                elástico no modelado
Epiglotis. Tinción Weigert (Fucsina-Resorcina)
Aumento: 40x




     Tejido conectivo denso
     elástico no modelado
Bazo. Tinción: Carbonato de plata de Río Ortega.
Aumento: 10x


                                   Fibras reticulares




                                     Fibras colágenas
Bazo. Tinción: Carbonato de plata de Río Ortega.
Aumento: 40x




                                  Fibras colágenas




                                   Fibras reticulares
Epiglotis. Tinción: Weigert/Hematoxilina-Eosina
 Aumento 5X




Tejido conectivo
Epiglotis. Tinción: Weigert/Hematoxilina-Eosina
                      Aumento 10X



                                               Epitelio de reves. Simple
                                               pseudoestratificado
                                               cilíndrico ciliado con cel.
                                               caliciformes
Pericondrio fibroso




                                   Matriz
Epiglotis. Tinción: Weigert/Hematoxilina-Eosina
Aumento 5X



                     Condrocito


                             Laguna Condrocito




                           Matriz compuesta por
                           fibras elásticas
Tráquea. Tinción: Weigert/Hematoxilina-Eosina
Aumento 10X



          Pericondrio fibroso

           Pericondrio celular   Cartílago hialino
Tráquea. Tinción: Weigert/Hematoxilina-Eosina
Aumento 40X


                                   Condroblasto

                                    Fibroblasto




                         Pericondrio fibroso




                              Condrocito
Tráquea. Tinción: Weigert/Hematoxilina-Eosina
                      Aumento 40X
                                                                  Fibroblasto

                                                            Condroblasto
Área territorial




                                                            Pericondrio fibroso



                        Grupo isógeno
                        coronario                   Pericondrio celular


                                     Grupo isógeno axial


                   Laguna cartilaginosa
Diáfisis de feto 4 ½ meses. Tinción: Hematoxilina y
Eosina. Aumento 5x

                     Periostio




                                  Trabécula ósea




                                 Conducto medular
Diáfisis de feto 4 ½ meses. Tinción: Hematoxilina y
Eosina. Aumento 10x




                        Trabécula ósea

                                     Periostio


                                   Canal medular



                               Endostio
Diáfisis de feto 4 ½ meses. Tinción: Hematoxilina y
            Eosina. Aumento 40x
Periostio
                            Trabécula ósea



                                             Osteocito



                                        Osteoblasto inactivo



                                             Osteoblasto
                                             medianamente
                                             activo



                                   Osteoblasto activo
Diáfisis. Tejido óseo maduro. Tinción: Van Gieson.
Aumento 5x.




                                 Hueso compacto




                               Médula

                              Sistema laminillar
                              externo




                         Sistema laminillar
                         interno
Diáfisis. Tejido óseo
                    maduro. Tinción: Van
                    Gieson.
                    Aumento 10x.



                                  Conducto de
                                  Volkmann



                                Conducto de Havers


                             Médula
Sistema de Havers
                            Sistema laminillar
                            externo




                       Sistema laminillar
                       interno
Diáfisis. Tejido óseo maduro. Tinción: Van
                    Gieson. Aumento 40x.


                                              Fibras de Sharpey




                                                Conducto de Havers

Sistema de Havers
Conducto de Havers




                           Sistema laminillar




                     Conducto de
                     Volkmann
Paladar blando. Tinción: Hematoxilina y
Eosina. Aumento 5x


                       Ep. de reves.
                       estratificado plano
                       no queratinizado




                  Endomisio




                    Perimisio

                       Epimisio
                  Ep. de reves.
                  Pseudoestratificado
                  cilíndrico con cél.
                  caliciformes
Paladar blando. Tinción: Hematoxilina y
Eosina. Aumento 10x




                        Endomisio



                                Glándulas
                                palatinas



                    Perimisio


                       Epimisio
Paladar blando. Tinción: Hematoxilina y
Eosina. Aumento 40x




                        Epimisio




                          Glándulas
                          palatinas




                       Ep. de reves.
                       Pseudoestratificado
                       cilíndrico con cél.
                       caliciformes
Lengua Tinción: no sé xd.
Aumento 5x


                       Fibras musculares
                       cortes longitudinales




                        Fibras musculares
                        cortes transversales
Lengua Tinción: no sé xd.
Aumento 10x



                                  Endomisio



                            Fibras musculares
                            cortes transversales

                               Fibras
                               musculares
                                cortes
                               longitudinales

                              Tejido conectivo
                              interfascicular
Lengua Tinción: no sé xd.
Aumento 40x


                     Banda A (oscura)




                            Banda I
                            (clara)
Lengua Tinción: no sé xd.
          Aumento 100x

                               Sarcómera

                                Banda A (oscura)

                                        Banda Z
                                        (oscura, den
                                        tro de la
                                        banda A)




                                        Banda I
                                        (clara)




Bandas H (claras dentro
de las A)
Miocardio. Tinción: Hematoxilina y
Eosina. Aumento 5x




                     Fibras muscular estriadas
                     cardiacas.
Miocardio. Tinción: Hematoxilina y
Eosina. Aumento 10x




                         Fibras transversales




                        Fibras longitudinales
Miocardio. Tinción: Hematoxilina y
Eosina. Aumento 40x




                           Disco intercalar




                        Núcleo muscular
Ureter. Tinción: Hematoxilina y Eosina
Aumento 10x



                            Fibras longitudinales




                                     Núcleos de
                                     cél.
                                     Musculares.

                                 Fibras lisas
                                 cortadas
                                 longitudinal-
                                 mente
Ureter. Tinción: Hematoxilina y Eosina
                 Aumento 40x




Células con
Núcleo central
Médula espinal. Tinción: Cajal (impregnación
argentínica). Aumento 5x



                       Sustancia gris.



                         Sustancia blanca




                    Neuronas
Médula espinal. Tinción: Cajal (impregnación
argentínica). Aumento 10x




                       Neurona multipolar
                       estrellada en asta anterior
Médula espinal. Tinción: Cajal (impregnación
                              argentínica). Aumento 40x
Neurona multipolar
estrellada en Asta anterior




                                                             Dentrita
Médula espinal. Tinción: Cajal (impregnación
argentínica). Aumento 40x



                          Fibras nerviosas




                                  Axones
                                  mielínicos.
Cerebro. Tinción: Cajal (impregnación
argentínica). Aumento 10x




                         Neuronas piramidales
Cerebro. Tinción: Cajal (impregnación
argentínica). Aumento 40x




                Neuronas piramidales
Cerebelo. Tinción: Cajal (impregnación
argentínica). Aumento 5x




                            Capa molecular

                             Capa de cél. de
                             Purkinje

                             Capa granulosa




                             Sustancia blanca
Cerebelo. Tinción: Cajal (impregnación
argentínica). Aumento 10x




                             Capa molecular

                             Capa de cél. de
                             Purkinje


                             Cél. Piriformes o de
                             Purkinje

                               Capa granulosa




                           Sustancia blanca
Cerebelo. Tinción: Cajal (impregnación
argentínica). Aumento 40x




                            Cél. Piriformes o de
                            Purkinje
(Atlas Di Fiore, lámina 107)
Médula espinal. Tinción: Maximow.
Aumento 40x




                          Neurona motora
                          multipolar.
Médula espinal. Tinción: Maximow.
Aumento 40x




                          Neurona motora
                          multipolar.


                       Grumos de Nissl




                            Prolongación
                            Dendrítica.



                   Axón
Nervio ciático (cortes transversales y
longitudinales). Tinción: Hematoxilina y Eosina.
Aumento 5x

                                  Epineuro




                                     Fibras nerviosas.
Nervio ciático (cortes transversales y
longitudinales). Tinción: Hematoxilinay Eosina.
Aumento 10x
                                   Epineuro

                                   Perineuro




                                    Fibras nerviosas.
Nervio ciático (cortes transversales y
longitudinales). Tinción: Hematoxilinay Eosina.
Aumento 40x




                                 Axón (corte longitudinal)


                                  Nódulo de Ranvier.

                                  Nódulo de Ranvier.

                                Neuroqueratina

                                 Axón (corte transversal)


                                   Células de Schwann
Nervio ciático (cortes transversales y
longitudinales). Tinción: Hematoxilinay Eosina.
Aumento 40x




                                      Endoneuro




                                    Axón con
                                    neuroqueratina
                                     (corte
                                    transversal)



                                      Perineuro
Gracias.

1er reparto histología