ALTERACIONES DEL
CRECIMIENTO CELULAR
Glendys Lorduy Rodríguez
Médico Veterinario Zootecnista. Universidad de
Córdoba Colombia
Especialista en Anatomopatología Veterinaria.
Universidad Nacional de Colombia
Proliferación y ciclo celular
➢ Es fundamental para el desarrollo, mantenimiento
de la homeostasis tisular y remplazo de células
muertas o dañadas
➢ Elementos claves de la proliferación son la
replicación exacta del ADN y síntesis coordinada
de los demás componentes celulares
➢ Reparto equitativo del ADN y otros elementos
celulares
COMPORTAMIENTO DE LAS
CÉLULAS NORMALES
G0
Células
estables
Células
perennes
M
S
G2
Células
lábiles
CICLO CELULAR
➢ Fase G1 (Growth 1): La célula dobla su tamaño (6 y 12 horas)
➢ Fase S (Synthesis): Se produce la replicación de ADN. (6-8 horas).
➢ Fase G2 (Growth 2): segunda fase de crecimiento antes de la mitosis, aumenta la
síntesis de proteína (3 y 4 horas)
➢ Fase M (Mitosis) Es la división celular (30 minutos).
G1
CDK ciclinas Quiescencia
Punto de control
Células estables
Células permanentes
Punto de control
Células lábiles
CDKs ciclinas
CDK ciclinas
CDKs ciclinas
Tejidos lábiles:
Están en división continúan, tienen una activa
regeneración aún en condiciones normales
Nunca abandona el ciclo celular
➢ Epitelio pavimentoso estratificado
➢ Epitelio digestivo
➢ Epitelio respiratorio
➢ Epitelio urinario
➢ Epitelio glandular exocrino
➢ Tejido hematopoyético
➢ Tejido óseo
➢ Tejido cartilaginoso.
Tejidos estables:
Capaces de regenerar en condiciones patológicas
Algunos de ellos tienen una lenta regeneración en
condiciones normales
Conservan su capacidad latente de regenerarse toda la vida
➢ Epitelio hepático
➢ Epitelio pancreático exocrino
➢ Epitelio de la corteza suprarrenal
➢ Epitelio tiroideo
➢ Epitelio tubular renal
Tejidos perennes .
➢ No se regeneran ni se
replica
➢ Tejido nervioso
➢ Cuerpos neuronales
➢ Tejido muscular (musculo
cardiaco)
Célula normal
(Homeostasis)
Adaptación Lesión celular
Estrés Estimulo lesivo
Incapacidad de adaptarse
Lesión
reversible
Leve,
transitoria
Grave,
progresiva
Lesión
irreversible
Necrosis Apoptosis
Trastornos del
crecimiento
Exceso de
crecimiento
Crecimientos
deficientes
Anormalidades del
crecimiento en un
tejido o órgano
# de células
Tamaño celular
Combinación
(tamaño+#)
Cambio en la
proporción de la
célula
Diferenciación
célula
Disturbios del
crecimiento
• Vida embrionaria
• Durante la
organogénesis
• Individuo adulto
Alteraciones congénitas
• Indices de proliferación
• Diferenciación celular
• Muerte celular
(Adquiridos) Adaptación celular al
estrés o lesión
• Fisiológico o patológico
• Regulación de receptores
celulares, traducción de
señales, transporte o
exportación de proteínas
Adaptación
Cambios
reversibles
• Tamaño
• Numero
• Fenotipo
• Act. Metabólica
• Función celular
• Morfología
Estimulo fisiológico
o patológico
ALTERACIONES DEL
CRECIMIENTO
Congénitos.
⚫ Agenesia.
⚫ Aplasia.
⚫ Hipoplasia.
⚫ Atresia.
⚫ Otros.
Adquiridos.
⚫ Atrofia.
⚫ Hipertrofia.
⚫ Hiperplasia.
⚫ Metaplasia.
⚫ Anaplasia
APLASIA O AGENESIA
DEFINICION
⚫ Aplicable a la no formación de
tejidos adultos
⚫ Desarrollo incompleto o
defectuoso de tejidos adultos
➢ CAUSAS
⚫ Defectos genéticos
⚫ Agentes tóxicos (talidomida
vs. focomelia)
⚫ Radiaciones (rayos X)
APLASIA
➢ Aplasia: desarrollo defectuoso de un órgano o tejido.
➢ Causas: hereditarios, teratogenicos por fumigaciones
insecticidas y por toxinas de plantas como Veretum
californicum (ciclopia).
Aplasia
Evolución en el desarrollo de un
órgano
Agenesia o Aplasia
Esbozo
embrionario
Normal
Nada
FOCOMELIA POR TALIDOMIDA
AGENESIA
➢ Agenesia: usencia completa en el desarrollo de
un órgano (por falta de información genética).
➢ Causas:
➢ Etiología genética y embriológica de este
conjunto de malformaciones
Tetramelia
Amelia
Agenesia
Agenesia
Agenesia
Agnatia y aglosia
HIPOPLASIA
DEFINICION
Desarrollo incompleto de un órgano o tejido.
CAUSAS
➢ Defectos genéticos
➢ Deficiencias hormonales
➢ Agentes infecciosos
⚫ Diarrea viral bovina
⚫ Panleucopenia felina
➢ Agentes tóxicos
Hipoplasia
Evolución en el desarrollo de un
órgano
Agenesia o Aplasia
Esbozo
embrionario
Normal
Nada
• Órgano o tejido que no alcanzaran su tamaño normal.
Causas:
1. Genéticas: Free Martins.
2. Virales: Paleucopenia felina (hipoplasia cerebelosa).
3. Hormonales: deficiencia de estrógeno o testosterona (hipoplasia ovárica o
testicular)
• La atrofia es una condición adquirida a diferencia del empequeñecimiento de
un órgano por una alteración en su desarrollo como es la hipoplasia
HIPOPLASIA
HIPOPLASIA CEREBELAR
➢ DVB
➢ LENGUA AZUL
➢ PANLEUCOPENIA
FELINA
Imperforación u oclusión de un orificio o conducto
normal del cuerpo
Ausencia o cierre congénito de una abertura
corporal normal o de una estructura tubular.
ATRESIA
ATRESIA
ADQUIRIDOS
ATROFIA
➢ Definición:
⚫ Disminución del tamaño de un órgano o tejido
normalmente desarrollado por la disminución del # de
células
⚫ Disminución en el tamaño y/o número, de uno o varios
tejidos que conforman un órgano, con la consiguiente
disminución del volumen, peso y actividad funcional, a
causa de escasez o retardo en el proceso nutritivo.
➢ Causas:
• Reducción en la demanda funcional
• Aporte insuficiente de O2
• Nutrientes insuficientes→ caquexia
• Puede ser fisiológica o patológica
ATROFIA
Fisiológica:
• Disminución del tamaño del útero post
parto
• Desarrollo notocordio-conducto tirogloso
• Atrofia senil
Patológica:
• Falta de actividad (por desuso): fracturas
• Perdida de inervación: afectación de un nervio
• Disminución del flujo sanguíneo: isquemia
• Nutrición inadecuada: desnutrición proteica-
calórica
• Perdida de estimulación endocrina: perdida de
estimulación estrogénica, Ej. menopausia
• Presión: masa al expandirse
Mecanismos de la atrofia
Disminución en la
síntesis de proteína
Aumento de su
degradación en la célula
Actividad
metabólica reducida
Cadena
Poliubicuitínica
HIPERTROFIA
DEFINICIÓN:
➢ Aumento de tamaño de un órgano debido a aumento de la
masa protoplasmática
➢ Es el aumento cuantitativo de los constituyentes y de las
funciones celulares, resultando en aumento volumétrico
de las células y de los órganos afectados
➢ Aumento excesivo del volumen de un órgano.
“Aumento del tamaño de las célula y por consiguiente del órgano”
Causas: Aumento de la carga
Efecto: Aumento en la síntesis proteica
Mecanismos: Desencadenantes mecánicos
HIPERTROFIA
HIPERTROFIA
DEPENDE DE:
➢ Aporte adecuado de O2 y nutrientes
➢ Integridad de las organelas y sistemas
enzimáticos de las células.
HIPERTROFIA
Es siempre una forma de adaptación de las células y
de los órganos frente a mayor exigencia de trabajo,
pudiendo ser fisiológica o patológica.
➢ TIPOS DE HIPERTOFIA:
➢ 1. Fisiológicas: temporalmente en cierto tejidos como
glándula mamaria y endometrio.
➢ 2. Adaptación: interferencia en la función de un órgano
como hipertrofia ventrículo izquierdo, por la estenosis de
la válvula mitral
➢ 3. Compensación: extirpación de un órgano riñón o
testículo
HIPERTROFIA
FORMAS DE HIPERTROFIA
➢ Hipertrofia del músculo esquelético o cardiaco
⚫ Caballos de carrera
⚫ Atletas por mayor esfuerzo físico.
➢ Compensadora
⚫ Hipertrofia por nefrectomia
➢ Útero grávido (controlada por mecanismos
hormonales)
FORMAS DE HIPERTROFIA
PATOLÓGICA: incremento de la cargas hemodinamicas
➢ Hipertrofia de trabajo
⚫ Hipertrofia del miocárdio por estenosis valvular
➢ Hipertrofia compensadora
⚫ Hipertrofia cardíaca consecutiva a infarto del
miocardio
Mecanismo de la Hipertrofia
Cardiaca
H. fisiológica:
PI3K/AKT
• H.Patológica:
Señalización
anterógrada de
receptores
acoplados a
proteína G
• Factores de
crecimiento
• Agentes
vasoactivos
FOSFATIDILINOSITOL 3
CINASA
SEÑALIZACIÓN
ANTERÓGRADA
R.P.G
GATA4,NFAT,NEF2
SÍNTESIS DE
PROTEÍNAS
Fisiológica Patológica
Útero en embarazo
HIPERTROFIA CARDÍACA
Hipertrofia vesical
Hiperplasia prostática
HIPERPLASIA
DEFINICIÓN:
➢ Aumento del número de células de un órgano o tejido en
respuesta a un estimulo
➢ Representa respuesta a mayor demanda
➢ Células capaces de sufrir mitosis
➢ Acompañada de hipertofia en sentido estricto
HIPERPLASIA
Al igual que la hipertrofia, es una forma
de adaptación de las células a una
sobrecarga de trabajo, pudiendo ser
fisiológica o patológica.
HIPERPLASIA
FISIOLOGICA.
⚫ Útero grávido
⚫ Nefrectomia
⚫ Hepatectomia parcial
⚫ Hiperplasia epitelial (callos)
⚫ Hiperplasia linfoide (infecciones)
PATOLOGICA
➢ Compensadora o adaptativa
⚫ Cirrosis hepatica (regeneración hiperplasica de hepatocitos)
➢ Endocrina u hormonal
⚫ Sindrome de Cushing
⚫ Hiperplasia endometrial por aumento de estrógenos
⚫ Hiperplasia de tiróides por aumento de TSH
“Aumento del número de células de un tejido”
La hiperplasia puede ser fisiológica o patológica.
Causas: fisiológica: hormonal o compensadora
patológica: hormonal o por factores de crecimiento
Efecto: aumento en las tasas de replicación
Mecanismo: activación de genes de replicación
HIPERPLASIA
➢ La hiperplasia puede ser fisiológica o patológica.
➢ Una hiperplasia fisiológica ocurre en respuesta a un aumento
elevado de un estímulo normal como una hormona, una
regeneración o una respuesta compensatoria:
1. La glándula mamaria por estímulos hormonales durante la preñez y
la lactancia.
2. La corteza adrenal sufre una hiperplasia cuando aumentan los
niveles de ACTH.
3. El riñón aumenta de tamaño con hiperplasia y con hipertrofia
cuando falta o está muy alterado su órgano par.
4. El hígado cuando ha perdido una gran cantidad de hepatocitos
sufre una importante hiperplasia regenerativa.
HIPERPLASIA
➢ La hiperplasia patológica ocurre cuando hay una estimulación
crónica o excesiva
1. La hiperplasia del endometrio por una secreción
prolongada de progesterona
2. En las bronquitis crónicas hay una hiperplasia del
epitelio bronquial.
HIPERPLASIA
▪ Estimulación hormonal excesiva
▪ Exceso de factores de crecimiento
Enfermedad de Cushing
Hipertrofia e hiperplasia prostática quística en perros
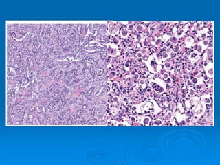
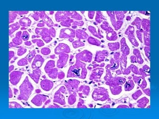
ANAPLASIA
➢ Definición: Estado caracterizado por disminución o
pérdida de la diferenciación de un tejido.
➢ Modificación de los caracteres celulares que adoptan un
aspecto semejante a las células embrionarias, poco
diferenciadas.
ANAPLASIA
➢ Estado caracterizado por disminución o pérdida de la
diferenciación de un tejido
✓ Proceso en el que las células pierden sus características
de especialización, adoptando características similares a
las de las células embrionarias
✓ Neoplasias malignas
CARACTERÍSTICAS MORFOLÓGICAS DE
LA ANAPLASIA
➢ Disminución o pérdida de la estratificación en los epitelios
estratificados
➢ Disminución o pérdida de la polaridad celular en los epitelios
cilíndricos
➢ Caracteres celulares más propios de células que se están
dividiendo y no de células diferenciadas
➢ Núcleo grande, central, Nucléolo prominente
➢ Aspecto histológico similar al de los tejidos del embrión.
Anaplasia
Núcleos aumentados de tamaño y nucleolos prominentes.
Vejiga Urinaria.
METAPLASIA
DEFINICIÓN:
➢
Es un cambio reversible en el que una célula
diferenciada (epitelial o mesenquimal) se sustituye
por otro tipo celular
➢ CAUSAS
• Lesiones crónicas
⚫ Sustancias químicas. metaplasia bronquial en los fumadores
⚫ Deficiencia de vitamina A: produce metaplasia pavimentosa en
epitelios de la nariz, bronquios, epitelios secretores de glándulas
lagrimales y salivales
⚫ Traumatismos
⚫ Infecciones
METAPLASIA
Mecanismo de la metaplasia
Reprogramación de las
células madre
Señales de citocinas
Factores de
crecimientos
Matriz extracelular
Expresión de genes que
se dirigen a la célula
Vía de diferenciación
especifica
Factores de
transcripción que
regulan la diferenciación
Rev Med Inst Mex Seguro Soc. 2018;56(1):46-52
Esófago con metaplasia columnar en un paciente con
reflujo gastroesofágico crónico.
Metaplasia de epitelio laringeal en fumadores
DISPLASIA
Crecimiento y maduración
desordenada
➢ Lesión preneoplásica
➢ Cambios en la morfología celular
ÓRGANOS
ATROFIA Disminución del número
y volumen celular
Disminución de la actividad
HIPERTROFIA Aumento del volumen
celular
Aumento de la actividad
HIPERPLASIA Aumento del número
celular
-Aumento de la actividad
-Estímulo patológico
CÉLULAS
METAPLASIA Cambio de un tejido por
otro maduro
Estímulo anómalo
ANAPLASIA Alteración total Viral, químicos, etc.
GRACIAS

ALTERACIONES DEL CRECIMIENTO CELULAR.pdf

  • 1.
    ALTERACIONES DEL CRECIMIENTO CELULAR GlendysLorduy Rodríguez Médico Veterinario Zootecnista. Universidad de Córdoba Colombia Especialista en Anatomopatología Veterinaria. Universidad Nacional de Colombia
  • 2.
    Proliferación y ciclocelular ➢ Es fundamental para el desarrollo, mantenimiento de la homeostasis tisular y remplazo de células muertas o dañadas ➢ Elementos claves de la proliferación son la replicación exacta del ADN y síntesis coordinada de los demás componentes celulares ➢ Reparto equitativo del ADN y otros elementos celulares
  • 3.
    COMPORTAMIENTO DE LAS CÉLULASNORMALES G0 Células estables Células perennes M S G2 Células lábiles CICLO CELULAR ➢ Fase G1 (Growth 1): La célula dobla su tamaño (6 y 12 horas) ➢ Fase S (Synthesis): Se produce la replicación de ADN. (6-8 horas). ➢ Fase G2 (Growth 2): segunda fase de crecimiento antes de la mitosis, aumenta la síntesis de proteína (3 y 4 horas) ➢ Fase M (Mitosis) Es la división celular (30 minutos). G1 CDK ciclinas Quiescencia
  • 4.
    Punto de control Célulasestables Células permanentes Punto de control Células lábiles CDKs ciclinas CDK ciclinas CDKs ciclinas
  • 5.
    Tejidos lábiles: Están endivisión continúan, tienen una activa regeneración aún en condiciones normales Nunca abandona el ciclo celular ➢ Epitelio pavimentoso estratificado ➢ Epitelio digestivo ➢ Epitelio respiratorio ➢ Epitelio urinario ➢ Epitelio glandular exocrino ➢ Tejido hematopoyético ➢ Tejido óseo ➢ Tejido cartilaginoso.
  • 8.
    Tejidos estables: Capaces deregenerar en condiciones patológicas Algunos de ellos tienen una lenta regeneración en condiciones normales Conservan su capacidad latente de regenerarse toda la vida ➢ Epitelio hepático ➢ Epitelio pancreático exocrino ➢ Epitelio de la corteza suprarrenal ➢ Epitelio tiroideo ➢ Epitelio tubular renal
  • 10.
    Tejidos perennes . ➢No se regeneran ni se replica ➢ Tejido nervioso ➢ Cuerpos neuronales ➢ Tejido muscular (musculo cardiaco)
  • 11.
    Célula normal (Homeostasis) Adaptación Lesióncelular Estrés Estimulo lesivo Incapacidad de adaptarse Lesión reversible Leve, transitoria Grave, progresiva Lesión irreversible Necrosis Apoptosis
  • 12.
    Trastornos del crecimiento Exceso de crecimiento Crecimientos deficientes Anormalidadesdel crecimiento en un tejido o órgano # de células Tamaño celular Combinación (tamaño+#) Cambio en la proporción de la célula Diferenciación célula Disturbios del crecimiento • Vida embrionaria • Durante la organogénesis • Individuo adulto Alteraciones congénitas • Indices de proliferación • Diferenciación celular • Muerte celular
  • 13.
    (Adquiridos) Adaptación celularal estrés o lesión • Fisiológico o patológico • Regulación de receptores celulares, traducción de señales, transporte o exportación de proteínas Adaptación Cambios reversibles • Tamaño • Numero • Fenotipo • Act. Metabólica • Función celular • Morfología Estimulo fisiológico o patológico
  • 14.
    ALTERACIONES DEL CRECIMIENTO Congénitos. ⚫ Agenesia. ⚫Aplasia. ⚫ Hipoplasia. ⚫ Atresia. ⚫ Otros. Adquiridos. ⚫ Atrofia. ⚫ Hipertrofia. ⚫ Hiperplasia. ⚫ Metaplasia. ⚫ Anaplasia
  • 15.
    APLASIA O AGENESIA DEFINICION ⚫Aplicable a la no formación de tejidos adultos ⚫ Desarrollo incompleto o defectuoso de tejidos adultos ➢ CAUSAS ⚫ Defectos genéticos ⚫ Agentes tóxicos (talidomida vs. focomelia) ⚫ Radiaciones (rayos X)
  • 16.
    APLASIA ➢ Aplasia: desarrollodefectuoso de un órgano o tejido. ➢ Causas: hereditarios, teratogenicos por fumigaciones insecticidas y por toxinas de plantas como Veretum californicum (ciclopia).
  • 17.
  • 18.
    Evolución en eldesarrollo de un órgano Agenesia o Aplasia Esbozo embrionario Normal Nada
  • 21.
  • 22.
    AGENESIA ➢ Agenesia: usenciacompleta en el desarrollo de un órgano (por falta de información genética). ➢ Causas: ➢ Etiología genética y embriológica de este conjunto de malformaciones
  • 23.
  • 24.
  • 25.
  • 26.
  • 28.
    HIPOPLASIA DEFINICION Desarrollo incompleto deun órgano o tejido. CAUSAS ➢ Defectos genéticos ➢ Deficiencias hormonales ➢ Agentes infecciosos ⚫ Diarrea viral bovina ⚫ Panleucopenia felina ➢ Agentes tóxicos
  • 29.
    Hipoplasia Evolución en eldesarrollo de un órgano Agenesia o Aplasia Esbozo embrionario Normal Nada
  • 30.
    • Órgano otejido que no alcanzaran su tamaño normal. Causas: 1. Genéticas: Free Martins. 2. Virales: Paleucopenia felina (hipoplasia cerebelosa). 3. Hormonales: deficiencia de estrógeno o testosterona (hipoplasia ovárica o testicular) • La atrofia es una condición adquirida a diferencia del empequeñecimiento de un órgano por una alteración en su desarrollo como es la hipoplasia HIPOPLASIA
  • 31.
    HIPOPLASIA CEREBELAR ➢ DVB ➢LENGUA AZUL ➢ PANLEUCOPENIA FELINA
  • 36.
    Imperforación u oclusiónde un orificio o conducto normal del cuerpo Ausencia o cierre congénito de una abertura corporal normal o de una estructura tubular. ATRESIA
  • 37.
  • 38.
  • 39.
    ATROFIA ➢ Definición: ⚫ Disminucióndel tamaño de un órgano o tejido normalmente desarrollado por la disminución del # de células ⚫ Disminución en el tamaño y/o número, de uno o varios tejidos que conforman un órgano, con la consiguiente disminución del volumen, peso y actividad funcional, a causa de escasez o retardo en el proceso nutritivo.
  • 40.
    ➢ Causas: • Reducciónen la demanda funcional • Aporte insuficiente de O2 • Nutrientes insuficientes→ caquexia • Puede ser fisiológica o patológica ATROFIA
  • 41.
    Fisiológica: • Disminución deltamaño del útero post parto • Desarrollo notocordio-conducto tirogloso • Atrofia senil
  • 42.
    Patológica: • Falta deactividad (por desuso): fracturas • Perdida de inervación: afectación de un nervio • Disminución del flujo sanguíneo: isquemia • Nutrición inadecuada: desnutrición proteica- calórica • Perdida de estimulación endocrina: perdida de estimulación estrogénica, Ej. menopausia • Presión: masa al expandirse
  • 47.
    Mecanismos de laatrofia Disminución en la síntesis de proteína Aumento de su degradación en la célula Actividad metabólica reducida Cadena Poliubicuitínica
  • 48.
    HIPERTROFIA DEFINICIÓN: ➢ Aumento detamaño de un órgano debido a aumento de la masa protoplasmática ➢ Es el aumento cuantitativo de los constituyentes y de las funciones celulares, resultando en aumento volumétrico de las células y de los órganos afectados ➢ Aumento excesivo del volumen de un órgano.
  • 49.
    “Aumento del tamañode las célula y por consiguiente del órgano” Causas: Aumento de la carga Efecto: Aumento en la síntesis proteica Mecanismos: Desencadenantes mecánicos HIPERTROFIA
  • 50.
    HIPERTROFIA DEPENDE DE: ➢ Aporteadecuado de O2 y nutrientes ➢ Integridad de las organelas y sistemas enzimáticos de las células.
  • 51.
    HIPERTROFIA Es siempre unaforma de adaptación de las células y de los órganos frente a mayor exigencia de trabajo, pudiendo ser fisiológica o patológica.
  • 52.
    ➢ TIPOS DEHIPERTOFIA: ➢ 1. Fisiológicas: temporalmente en cierto tejidos como glándula mamaria y endometrio. ➢ 2. Adaptación: interferencia en la función de un órgano como hipertrofia ventrículo izquierdo, por la estenosis de la válvula mitral ➢ 3. Compensación: extirpación de un órgano riñón o testículo HIPERTROFIA
  • 53.
    FORMAS DE HIPERTROFIA ➢Hipertrofia del músculo esquelético o cardiaco ⚫ Caballos de carrera ⚫ Atletas por mayor esfuerzo físico. ➢ Compensadora ⚫ Hipertrofia por nefrectomia ➢ Útero grávido (controlada por mecanismos hormonales)
  • 54.
    FORMAS DE HIPERTROFIA PATOLÓGICA:incremento de la cargas hemodinamicas ➢ Hipertrofia de trabajo ⚫ Hipertrofia del miocárdio por estenosis valvular ➢ Hipertrofia compensadora ⚫ Hipertrofia cardíaca consecutiva a infarto del miocardio
  • 57.
    Mecanismo de laHipertrofia Cardiaca H. fisiológica: PI3K/AKT • H.Patológica: Señalización anterógrada de receptores acoplados a proteína G • Factores de crecimiento • Agentes vasoactivos FOSFATIDILINOSITOL 3 CINASA SEÑALIZACIÓN ANTERÓGRADA R.P.G GATA4,NFAT,NEF2 SÍNTESIS DE PROTEÍNAS Fisiológica Patológica
  • 58.
  • 59.
  • 64.
  • 65.
    HIPERPLASIA DEFINICIÓN: ➢ Aumento delnúmero de células de un órgano o tejido en respuesta a un estimulo ➢ Representa respuesta a mayor demanda ➢ Células capaces de sufrir mitosis ➢ Acompañada de hipertofia en sentido estricto
  • 66.
    HIPERPLASIA Al igual quela hipertrofia, es una forma de adaptación de las células a una sobrecarga de trabajo, pudiendo ser fisiológica o patológica.
  • 67.
    HIPERPLASIA FISIOLOGICA. ⚫ Útero grávido ⚫Nefrectomia ⚫ Hepatectomia parcial ⚫ Hiperplasia epitelial (callos) ⚫ Hiperplasia linfoide (infecciones) PATOLOGICA ➢ Compensadora o adaptativa ⚫ Cirrosis hepatica (regeneración hiperplasica de hepatocitos) ➢ Endocrina u hormonal ⚫ Sindrome de Cushing ⚫ Hiperplasia endometrial por aumento de estrógenos ⚫ Hiperplasia de tiróides por aumento de TSH
  • 68.
    “Aumento del númerode células de un tejido” La hiperplasia puede ser fisiológica o patológica. Causas: fisiológica: hormonal o compensadora patológica: hormonal o por factores de crecimiento Efecto: aumento en las tasas de replicación Mecanismo: activación de genes de replicación HIPERPLASIA
  • 69.
    ➢ La hiperplasiapuede ser fisiológica o patológica. ➢ Una hiperplasia fisiológica ocurre en respuesta a un aumento elevado de un estímulo normal como una hormona, una regeneración o una respuesta compensatoria: 1. La glándula mamaria por estímulos hormonales durante la preñez y la lactancia. 2. La corteza adrenal sufre una hiperplasia cuando aumentan los niveles de ACTH. 3. El riñón aumenta de tamaño con hiperplasia y con hipertrofia cuando falta o está muy alterado su órgano par. 4. El hígado cuando ha perdido una gran cantidad de hepatocitos sufre una importante hiperplasia regenerativa. HIPERPLASIA
  • 70.
    ➢ La hiperplasiapatológica ocurre cuando hay una estimulación crónica o excesiva 1. La hiperplasia del endometrio por una secreción prolongada de progesterona 2. En las bronquitis crónicas hay una hiperplasia del epitelio bronquial. HIPERPLASIA ▪ Estimulación hormonal excesiva ▪ Exceso de factores de crecimiento
  • 74.
  • 75.
    Hipertrofia e hiperplasiaprostática quística en perros
  • 76.
    ANAPLASIA ➢ Definición: Estadocaracterizado por disminución o pérdida de la diferenciación de un tejido. ➢ Modificación de los caracteres celulares que adoptan un aspecto semejante a las células embrionarias, poco diferenciadas.
  • 77.
    ANAPLASIA ➢ Estado caracterizadopor disminución o pérdida de la diferenciación de un tejido ✓ Proceso en el que las células pierden sus características de especialización, adoptando características similares a las de las células embrionarias ✓ Neoplasias malignas
  • 78.
    CARACTERÍSTICAS MORFOLÓGICAS DE LAANAPLASIA ➢ Disminución o pérdida de la estratificación en los epitelios estratificados ➢ Disminución o pérdida de la polaridad celular en los epitelios cilíndricos ➢ Caracteres celulares más propios de células que se están dividiendo y no de células diferenciadas ➢ Núcleo grande, central, Nucléolo prominente ➢ Aspecto histológico similar al de los tejidos del embrión.
  • 79.
  • 81.
    Núcleos aumentados detamaño y nucleolos prominentes. Vejiga Urinaria.
  • 82.
    METAPLASIA DEFINICIÓN: ➢ Es un cambioreversible en el que una célula diferenciada (epitelial o mesenquimal) se sustituye por otro tipo celular
  • 83.
    ➢ CAUSAS • Lesionescrónicas ⚫ Sustancias químicas. metaplasia bronquial en los fumadores ⚫ Deficiencia de vitamina A: produce metaplasia pavimentosa en epitelios de la nariz, bronquios, epitelios secretores de glándulas lagrimales y salivales ⚫ Traumatismos ⚫ Infecciones METAPLASIA
  • 84.
    Mecanismo de lametaplasia Reprogramación de las células madre Señales de citocinas Factores de crecimientos Matriz extracelular Expresión de genes que se dirigen a la célula Vía de diferenciación especifica Factores de transcripción que regulan la diferenciación Rev Med Inst Mex Seguro Soc. 2018;56(1):46-52
  • 86.
    Esófago con metaplasiacolumnar en un paciente con reflujo gastroesofágico crónico.
  • 87.
    Metaplasia de epiteliolaringeal en fumadores
  • 88.
    DISPLASIA Crecimiento y maduración desordenada ➢Lesión preneoplásica ➢ Cambios en la morfología celular
  • 89.
    ÓRGANOS ATROFIA Disminución delnúmero y volumen celular Disminución de la actividad HIPERTROFIA Aumento del volumen celular Aumento de la actividad HIPERPLASIA Aumento del número celular -Aumento de la actividad -Estímulo patológico CÉLULAS METAPLASIA Cambio de un tejido por otro maduro Estímulo anómalo ANAPLASIA Alteración total Viral, químicos, etc.
  • 90.