Aneurisma
Aneurismas aórticos
• Los aneurismas se definen como una
dilatación anormal localizada en un vaso.
• Mayor del 50% del diámetro
• Menor se denomina ECTASIA
•La causa más frecuente del aneurisma aórtico es la
aterosclerosis
•En aorta ascendente: la necrosis quística de la
media, las vasculitis, las infecciones bacterianas y el
aneurisma sifilítico.
•La localización más frecuente:
- Aorta abdominal infrarrenal (75%), donde suele ser
fusiforme y de causa aterosclerótica.
- Aorta torácica descendente, arteria poplítea (aneurisma
periférico), aorta ascendente y cayado aórtico.
ANEURISMA DE AORTA TORÁCICA
•Destrucción de fibras elásticas
•Desaparición de células musculares → metaloproteasas
•Infiltrado linfocitico y necrosis en la media
•Aorta ascendente (60%)
•Aorta descendente torácica (30%)
•El cayado aórtico (10%)
Clínica
• Asintomáticos
• Fiebre y dolor inespecífico en los micóticos
• Dolor anginoso que irradia a espalda o epigastrio
• Insuficiencia aortica
• Disfonia, disnea o estridor
• Disfagia y hematemesis
• Tromboembolia
Pronostico
• La evolución espontánea de los aneurismas torácicos es
hacia la disección o rotura.
• El 80% de los aneurismas de más de 6 cm de diámetro se
rompen después de 5 años desde el diagnóstico.
• La rotura suele conducir a la muerte por shock
hipovolémico
ANEURISMA DE AORTA ABDOMINAL
• Estos aneurismas son los de mayor incidencia.
• Su etiología es degenerativa, relacionada generalmente con la
aterosclerosis.
• Asintomáticos
• Diagnóstico casual en el transcurso de exploraciones de
imagen por otros motivos (digestivos, urológicos, ortopédicos
o ginecológicos, entre otros)
•El paciente típico va a ser un varón de más de 50
años, fumador, hipertenso y dislipidémico.
•Hipercolesterolemia y EPOC también son
factores de riesgo
Su crecimiento y expansión pueden producir síntomas debidos a:
•• Rápido crecimiento: dolor constante e intenso en la espalda (aneurismas aorta
torácica) o en la zona lumbar, abdomen o ingles (aneurismasaorta abdominal).
•• Rotura (parcial o total): dolor súbito, intenso y pulsátil asociado a hipotensión
arterial y shock.
•• Compresión de estructuras adyacentes (típicamente los de aorta ascendente):
disfonía (afectación del nervio recurrente laríngeo), ronquera o disnea
(compresión de la tráquea), disfagia (compresión esofágica)
•• Embolia periférica desde un trombo mural: isquemia arterial aguda
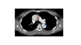
Diagnóstico
• La ecografía abdominal: confirmar
el diagnóstico, rastreo y seguimiento.
- No evalua ruptura
• La angio-TC con contraste y la angio-
RM son las técnicas de imagen de
elección para la planificación del
tratamiento.
- Permite delimitar el diámetro
- Calcificaciones y trombos
•La arteriografía no es de
elección por poder
infraestimar el diámetro en
los aneurismas abdominales
con trombo mural, ya que
únicamente da información
de la luz arterial
Disección de aorta
• Desgarro súbito de la capa íntima,
separando la media, hasta llegar a la
lámina elástica externa
• La disección suele propagarse en sentido
distal
• La disección aórtica es una urgencia
médica que requiere un diagnóstico rápido
y preciso para aplicar el tratamiento
adecuado a esta grave, y en ocasiones
letal, enfermedad
Etiopatogenia
• Necrosis quística de la media (el principal)
• HTA (80%), tabaquismo
• Envejecimiento de la aorta
• Alteraciones del colágeno (síndromes de Marfan).
• Yatrógena
• Varones mayores de 60 años
Clasificación:
DeBakey
Stanford
Crawford
Clínica
• Dolor torácico (síntoma más frecuente y precoz),
brusco y muy intenso desde el inicio
• Irradia a espalda
• Isquemia de los territorios afectados (ictus, síndrome
coronario agudo con o sin elevación del ST, infarto
renal, isquemia intestinal…)
• Asimetría de pulsos en la exploración física
• Insuficiencia aórtica aguda
• Rotura externa de la aorta por afectación de la adventicia:
- Muerte súbita
- Shock
- Síncope
- taponamiento cardíaco por hemopericardio
- derrame pleural (generalmente izquierdo)
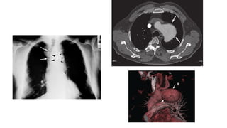
Diagnóstico
• Radiografía de tórax.
Es la primera prueba que se debe
realizar ante la sospecha clínica.
Típicamente se objetivará un
ensanchamiento mediastínico (60%)
• ECG: disección se extiende hacia
las arterias coronarias puede
aparecer elevación del ST.
• Angio-TC toracoabdominal: la técnica diagnóstica de elección para
diagnostico y planificar una eventual cirugía
- No se puede realizar en pacientes hemodinámicamente inestables con
hipotensión grave y mala perfusión periférica
• Angio-RM toracoabdominal. Es la
técnica diagnóstica de referencia
para el diagnóstico y la planificación
de la cirugía; reserva para pacientes
estables con dudas diagnósticas
• Ecocardiografía: insuficiencia
aórtica y la presencia de derrame
pericárdico, de elección en
pacientes hemodinámicamente
inestables.
Sospechar disección en:
- Varón de 60-70 años
- Hipertenso
- Con dolor torácico desgarrador irradiado al área
interescapular
- Con asimetría de pulsos
- Soplo diastólico a la exploración física
- Ensanchamiento mediastínico en la radiografía de tórax.
Aneurisma y.     Disección de aorta.pptx

Aneurisma y. Disección de aorta.pptx

  • 1.
  • 3.
    Aneurismas aórticos • Losaneurismas se definen como una dilatación anormal localizada en un vaso. • Mayor del 50% del diámetro • Menor se denomina ECTASIA
  • 6.
    •La causa másfrecuente del aneurisma aórtico es la aterosclerosis •En aorta ascendente: la necrosis quística de la media, las vasculitis, las infecciones bacterianas y el aneurisma sifilítico.
  • 8.
    •La localización másfrecuente: - Aorta abdominal infrarrenal (75%), donde suele ser fusiforme y de causa aterosclerótica. - Aorta torácica descendente, arteria poplítea (aneurisma periférico), aorta ascendente y cayado aórtico.
  • 9.
    ANEURISMA DE AORTATORÁCICA •Destrucción de fibras elásticas •Desaparición de células musculares → metaloproteasas •Infiltrado linfocitico y necrosis en la media
  • 10.
    •Aorta ascendente (60%) •Aortadescendente torácica (30%) •El cayado aórtico (10%)
  • 11.
    Clínica • Asintomáticos • Fiebrey dolor inespecífico en los micóticos • Dolor anginoso que irradia a espalda o epigastrio • Insuficiencia aortica • Disfonia, disnea o estridor • Disfagia y hematemesis • Tromboembolia
  • 13.
    Pronostico • La evoluciónespontánea de los aneurismas torácicos es hacia la disección o rotura. • El 80% de los aneurismas de más de 6 cm de diámetro se rompen después de 5 años desde el diagnóstico. • La rotura suele conducir a la muerte por shock hipovolémico
  • 14.
    ANEURISMA DE AORTAABDOMINAL • Estos aneurismas son los de mayor incidencia. • Su etiología es degenerativa, relacionada generalmente con la aterosclerosis. • Asintomáticos • Diagnóstico casual en el transcurso de exploraciones de imagen por otros motivos (digestivos, urológicos, ortopédicos o ginecológicos, entre otros)
  • 15.
    •El paciente típicova a ser un varón de más de 50 años, fumador, hipertenso y dislipidémico. •Hipercolesterolemia y EPOC también son factores de riesgo
  • 16.
    Su crecimiento yexpansión pueden producir síntomas debidos a: •• Rápido crecimiento: dolor constante e intenso en la espalda (aneurismas aorta torácica) o en la zona lumbar, abdomen o ingles (aneurismasaorta abdominal). •• Rotura (parcial o total): dolor súbito, intenso y pulsátil asociado a hipotensión arterial y shock. •• Compresión de estructuras adyacentes (típicamente los de aorta ascendente): disfonía (afectación del nervio recurrente laríngeo), ronquera o disnea (compresión de la tráquea), disfagia (compresión esofágica) •• Embolia periférica desde un trombo mural: isquemia arterial aguda
  • 17.
    Diagnóstico • La ecografíaabdominal: confirmar el diagnóstico, rastreo y seguimiento. - No evalua ruptura • La angio-TC con contraste y la angio- RM son las técnicas de imagen de elección para la planificación del tratamiento. - Permite delimitar el diámetro - Calcificaciones y trombos
  • 18.
    •La arteriografía noes de elección por poder infraestimar el diámetro en los aneurismas abdominales con trombo mural, ya que únicamente da información de la luz arterial
  • 19.
  • 20.
    • Desgarro súbitode la capa íntima, separando la media, hasta llegar a la lámina elástica externa • La disección suele propagarse en sentido distal • La disección aórtica es una urgencia médica que requiere un diagnóstico rápido y preciso para aplicar el tratamiento adecuado a esta grave, y en ocasiones letal, enfermedad
  • 21.
    Etiopatogenia • Necrosis quísticade la media (el principal) • HTA (80%), tabaquismo • Envejecimiento de la aorta • Alteraciones del colágeno (síndromes de Marfan). • Yatrógena • Varones mayores de 60 años
  • 22.
  • 23.
  • 24.
    Clínica • Dolor torácico(síntoma más frecuente y precoz), brusco y muy intenso desde el inicio • Irradia a espalda • Isquemia de los territorios afectados (ictus, síndrome coronario agudo con o sin elevación del ST, infarto renal, isquemia intestinal…) • Asimetría de pulsos en la exploración física • Insuficiencia aórtica aguda
  • 25.
    • Rotura externade la aorta por afectación de la adventicia: - Muerte súbita - Shock - Síncope - taponamiento cardíaco por hemopericardio - derrame pleural (generalmente izquierdo)
  • 26.
    Diagnóstico • Radiografía detórax. Es la primera prueba que se debe realizar ante la sospecha clínica. Típicamente se objetivará un ensanchamiento mediastínico (60%) • ECG: disección se extiende hacia las arterias coronarias puede aparecer elevación del ST.
  • 27.
    • Angio-TC toracoabdominal:la técnica diagnóstica de elección para diagnostico y planificar una eventual cirugía - No se puede realizar en pacientes hemodinámicamente inestables con hipotensión grave y mala perfusión periférica
  • 29.
    • Angio-RM toracoabdominal.Es la técnica diagnóstica de referencia para el diagnóstico y la planificación de la cirugía; reserva para pacientes estables con dudas diagnósticas • Ecocardiografía: insuficiencia aórtica y la presencia de derrame pericárdico, de elección en pacientes hemodinámicamente inestables.
  • 30.
    Sospechar disección en: -Varón de 60-70 años - Hipertenso - Con dolor torácico desgarrador irradiado al área interescapular - Con asimetría de pulsos - Soplo diastólico a la exploración física - Ensanchamiento mediastínico en la radiografía de tórax.