Enfermedades de la Aorta
María Camila Arango Granados 08201079
Universidad ICESI – Fundación Valle del Lili
Introducción
 3cm diámetro en origen y
porción ascendente
 2.5cm en porción descendente
y tórax
 1.8-2cm en abdomen
Anormalidades Congénitas
 Usualmente en arco aórtico y ramas
principales
 Doble arco aórtico
 Origen de la subclavia derecha distal a la
izquierda
 Arco aórtico derecho on subclavia izquierda
aberrante
 Divertículo de Kommerell
 La mayoría asintomáticos (hallazgos
incidentales)
 Si síntomas: disfagia, estridor, tos
 Diagnóstico: TAC/RMN
 Tratamiento: quirúrgico si hay síntomas
Coartación Aórtica
 Más común distal al
origen de la subclavia
izquierda, cerca a la
inserción del ligamento
arterioso
 Ocurre en el 7% de las
personas con
anormalidades
cardíacas congénitas
(75% aorta bivalva)
 Más común en
hombres que en
mujeres
 Asociado a disgenesia
gonadal (Ej: Síndrome
de Turner)
 La mayoría asintomáticos
 Si síntomas: cefalea, epistaxis,
extremidades frías, claudicación con
ejercicio
 Signos: soplos valvulares asociados,
diferencia de presiones entre miembros
superiores e inferiores (hipertensión en
MMSS), vasculatura colateral en espacios
 EKG: hipertrofia de
ventrículo izquierdo
 Rx tórax: signo del “3”,
patognomónico. Erosión de
costillas 3-9.
 Ecocardiograma/TAC/RMN
: tamaño y severidad de la
obstrucción, arterias
colaterales asociadas
 Cateterismo cardíaco:
indicado en adultos para la
evaluación de las
coronarias, o para
intervención endovascular
de la coartación
 Predisposición para:
 ruptura de aneurisma cerebral
 disección aórtica
 ateroesclerosis coronaria prematura
 falla del ventrículo izquierdo
 endarteritis infecciosa
 endocarditis
 Tratamiento:
 Quirúrgico
 Angioplastia con balón y stent
 Seguimiento de HTA
 Control con TAC/RMN
Aneurisma Aórtico
 Dilatación patológica de un segmento de la arteria
 Fusiforme vs sacular
 Abdominal vs torácico
 Toracoabdominal
 Fisiopatología: degradación o producción anormal de elastina y
colágeno
 Linfocitos B y T, macrófagos
 Citoquinas inflamatorias
 Metaloproteinasas
Aneurismas de la Aorta Torácica
 Manifestacione
s clínicas y
evolución
natural
dependen de la
ubicación
 Necrosis
quística de la
media: aorta
ascendente
 Ateroesclerosis
: aorta
descendente
 Crecimiento
promedio de 0.1-
0.2 cm por año
 Riesgo de
ruptura:
 2-3% por año si <
4 cm
 7% por año si > 6
cm
 La mayoría
asintomáticos
 Si síntomas: dolor
torácico, disnea,
tos, disfonía,
disfagia
 Falla cardíaca
congestiva si
insuficiencia aórtica
asociada
 Congestión de
cabeza, cuello y
extremidades
superiores si
síndrome de vena
cava asociado
 Radiografía de tórax: aumento del
diámetro mediastinal,
desplazamiento o compresión de la
tráquea y bronquios prinipales
 Ecocardiografía (TE): útil en aorta
ascendente y descendente, no en
arco aórtico
 TAC/RMN: sensibles y específicas
 En pacientes con aneurismas pequeños
y asintomáticos se debe hacer
seguimiento cada 6-12 meses para
monitorizar el crecimiento
 Tratamiento:
 β-bloqueadores
 Tratamiento médico adicional para el
control de la hipertensión
 IECAs/ARAII en Síndrome de Marfán:
bloqueo de señalización por TGF- β
 Cirugía:
 En pacientes sintomáticos
 En aneurismas ascendentes > 5.5-6cm
(Marfán y aorta bivalva: > 5cm)
 En aneurismas descendentes > 5.6-7cm
 En aneurismas con crecimiento de 1cm
por año
 Reparación endovascular: opción en
aneurismas descendentes
Aneurismas de la Aorta Abdominal
 Más frecuente en hombres que
en mujeres
 Incidencia aumenta con la edad
 1-2% de hombres > 50 años
 90% de los aneurismas > 4cm
relacionados con
ateroesclerosis
 La mayoría debajo de origen de
arterias renales
 Riesgo de ruptura:
 1-2% a 5 años si < 5cm
 20-40% a 5 años si > 5cm
 Usualmente asintomáticos
 Detectados al examen
físico como masa pulsátil
 Hallazgo incidental en
radiografía o ecografía
abdominal
 Pueden volverse
dolorosos a medida que
se expanden
 Pulsaciones abdominales,
dolor torácico, lumbar o
escrotal
 Dolor es inminencia de
ruptura
 Ruptura: dolor agudo e
hipotensión (emergencia
médica)
 Radiografía: calcificación del
aneurisma (25% no calcificados)
 Ecografía: dimensiones
transversales y longitudinales,
trombos murales
 Tamización:
 en pacientes de 65-75 años que
alguna vez hayan fumado
 Hermanos e hijos de pacientes con
aneurisma de aorta abdominal,
torácica o periférica
 TAC/RMN: determinan ubicación y
tamaño. Previo a cirugía.
 Aortograma con contraste:
puede subestimar el tamaño del
aneurisma si hay presencia de
trombos murales
 Tratamiento:
 Injerto aórtico / Prótesis endovascular
 Aneurismas aórticos abdominales de
cualquier tamaño, que se expandan
rápido o que sean sintomáticos
 Seguimiento seriado en < 5cm es
alternativa para corrección inmediata
 Cuidados preoperatorios
 β-bloqueadores
 TAC/RMN/Aortograma a largo plazo
en quienes han sido sometidos a
cirugía
 Correcto cuidado pre y post
operatorio: mortalidad 1-2%
 Ruptura aguda: mortalidad 45-50%
Síndromes Aórticos
Agudos
 Ruptura de
aneurisma
 Disección aórtica
 Hematoma
intramural
 Úlcera
ateroesclerótica
penetrante
Disección Aórtica
 Ruptura
circunferencial o
transversal de la
íntima
 Pared lateral
derecha de la aorta
ascendente
 Aorta descendente,
después del
ligamento arterioso
 Usualmente
propagación distal
 Limitada por placa
ateroesclerótica
 Reentrada a lumen
verdadero
 Variantes
radiológicas y
patológicas:
 Hematoma
intramural
 Úlcera
 Clasificación
 DeBakey vs Stanford
 Factores predisponentes:
 HTA: 70% de los casos
 Necrosis quística de la media
 Síndrome de Marfán
 Síndrome de Ehlers-Danlos
 Aortitis
 Malformaciones congénitas
 Historia de traumatismo aórtico
 Tercer trimestre del embarazo
 Epidemiología:
 Hombres 2:1, entre sexta y séptima
década
 Manifestaciones clínicas:
 Dolor agudo, desgarrante,
frecuentemente interescapular, que
migra en dirección de la disección
 Diaforesis, sínope, disnea,
debilidad
 Examen físico:
 Hiper/hipotensión
 Pérdida de pulsos
 Insuficiencia aórtica (50% de las
proximales)
 Edema pulmonar
 Hemiplejía, hemianestesia,
paraplejia
 Isquemia mesentérica, hematuria,
isquemia miocárdica
 Compresión de estructuras
adyacentes
 Hemopericardio/taponamiento
cardiaco
 Radiografía de tórax:
 Ensanchamiento mediastinal
 Derrame pleural (usualmente izquierdo)
 Electrocardiograma:
 En raras ocasiones hay disección de ostium coronarios,
causando isquemia miocárdica
 Ecocardiografía/TAC/RMN: sensibilidad del 60-85%
para disección aórtica
 Eco TE: útil para disecciones de aorta ascendente o
descendente (S 98%, E 90%)
 TAC/RMN: útiles para identificar hemorragias intramurales y
úlceras penetrantes (S y E > 90%)
Tratamiento
 Diagnóstico considerado: iniciar tratamiento médico y
admisión a UCI
 En ausencia de contraindicación:
 β-bloqueadores IV (FC 60 lpm)
 Nitroprusiato de sodio (PAS < 120 mmHg)
 Si contraindicación:
 Calcioantagonistas
 IECAs
 Hidralazina contraindicado: propaga disección
 Corrección quirúrgica:
 Tipo A
 Tipo B complicados
 Mortalidad: 15-25% (IAM, paraplejia, falla renal, taponamiento
cardíaco, hemorragia sepsis)
Enfermedad Ateroesclerótica Crónica
 Afecta aorta torácica y
abdominal
 Usualmente compromete aorta
distal, desde antes de
emergencia de arterias renales
 Manifestaciones clínicas:
severidad depende de
circulación colateral
 Claudicación intermitente
 Impotencia
 Examen físico:
 Ausencia bilateral de pulsos
femorales y distales
 Soplo abdominal
 Piel atrófica, sin tejidos
accesorios, fría
 Diagnóstico:
 Examen físico
 Ecografía Doppler
 TAC/RMN/Aortograma
convencional
 En quienes se considera
revascularización
 Tratamiento:
 Endovascular/quirúrgico en
pacientes con síntomas graves de
claudicación o con isquemia
crítica de miembros inferiores
Oclusión Aguda de la Aorta
 Emergencia médica
 Usualmente por trombo de
origen cardíaco
 Oclusión en silla de montar
 Manifestaciones Clínicas: dolor
severo y agudo en reposo,
extremidades pálidas y frías,
ausencia de pulsos distales
 Diagnóstico:
TAC/RMN/Aortograma
 Tratamiento: trombectomía o
revascularización de emergencia
Aortitis
 Enfermedad inflamatoria de la aorta
 Arteritis de Takayasu
 Arteritis de células gigantes
 Aortitis reumática
 Aortitis idopática
 Aortitis infecciosa
BIBLIOGRAFÍA
Harrison, Tinsley R., and Anthony S. Fauci. Harrison's principles of internal medicine. 18. ed. New York [u.a.:
McGraw-Hill, 2011. Print.
Hiratzka, Loren, Eric Isselbacher, Luke Hermann, Kim Eagle, Donald Casey, Vincent Carr, Robert Bersin, Joshua
Beckman, George Bakris, and Ella Kazerooni. "2010 ACCF/AHA/AATS/ACR/ASA/SCA/SCAI/SIR/STS/SVM
Guidelines for the Diagnosis and Management of Patients With Thoracic Aortic Disease." Journal of the American
College of Cardiology 55.14 (2010): e27-e129. Print.
" MDCT Angiography Images at scan man’s notes." Scan Man. N.p., n.d. Web. 14 Oct. 2012.
<http://www.catscanman.net/blog/2009/01/mdct-angiography-images/>.
Ranasinghe, Aaron M, and Et al .. "Acute aortic dissection." BMJ 10 (2011): 1-5. Print.
"Thoracic Aortic Aneurysm — UVA Health." UVA Health: University of Virginia's World-class Care. N.p., n.d. Web.
14 Oct. 2012. <http://uvahealth.com/services/vascular-center/treatment/thoracic-aortic-aneurysm>.

Enfermedades de la aorta

  • 1.
    Enfermedades de laAorta María Camila Arango Granados 08201079 Universidad ICESI – Fundación Valle del Lili
  • 2.
    Introducción  3cm diámetroen origen y porción ascendente  2.5cm en porción descendente y tórax  1.8-2cm en abdomen
  • 3.
    Anormalidades Congénitas  Usualmenteen arco aórtico y ramas principales  Doble arco aórtico  Origen de la subclavia derecha distal a la izquierda  Arco aórtico derecho on subclavia izquierda aberrante  Divertículo de Kommerell  La mayoría asintomáticos (hallazgos incidentales)  Si síntomas: disfagia, estridor, tos  Diagnóstico: TAC/RMN  Tratamiento: quirúrgico si hay síntomas
  • 4.
    Coartación Aórtica  Máscomún distal al origen de la subclavia izquierda, cerca a la inserción del ligamento arterioso  Ocurre en el 7% de las personas con anormalidades cardíacas congénitas (75% aorta bivalva)  Más común en hombres que en mujeres  Asociado a disgenesia gonadal (Ej: Síndrome de Turner)
  • 5.
     La mayoríaasintomáticos  Si síntomas: cefalea, epistaxis, extremidades frías, claudicación con ejercicio  Signos: soplos valvulares asociados, diferencia de presiones entre miembros superiores e inferiores (hipertensión en MMSS), vasculatura colateral en espacios
  • 6.
     EKG: hipertrofiade ventrículo izquierdo  Rx tórax: signo del “3”, patognomónico. Erosión de costillas 3-9.  Ecocardiograma/TAC/RMN : tamaño y severidad de la obstrucción, arterias colaterales asociadas  Cateterismo cardíaco: indicado en adultos para la evaluación de las coronarias, o para intervención endovascular de la coartación
  • 7.
     Predisposición para: ruptura de aneurisma cerebral  disección aórtica  ateroesclerosis coronaria prematura  falla del ventrículo izquierdo  endarteritis infecciosa  endocarditis  Tratamiento:  Quirúrgico  Angioplastia con balón y stent  Seguimiento de HTA  Control con TAC/RMN
  • 8.
    Aneurisma Aórtico  Dilataciónpatológica de un segmento de la arteria  Fusiforme vs sacular  Abdominal vs torácico  Toracoabdominal  Fisiopatología: degradación o producción anormal de elastina y colágeno  Linfocitos B y T, macrófagos  Citoquinas inflamatorias  Metaloproteinasas
  • 11.
    Aneurismas de laAorta Torácica  Manifestacione s clínicas y evolución natural dependen de la ubicación  Necrosis quística de la media: aorta ascendente  Ateroesclerosis : aorta descendente
  • 12.
     Crecimiento promedio de0.1- 0.2 cm por año  Riesgo de ruptura:  2-3% por año si < 4 cm  7% por año si > 6 cm  La mayoría asintomáticos  Si síntomas: dolor torácico, disnea, tos, disfonía, disfagia  Falla cardíaca congestiva si insuficiencia aórtica asociada  Congestión de cabeza, cuello y extremidades superiores si síndrome de vena cava asociado
  • 13.
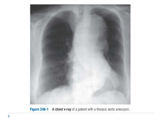
     Radiografía detórax: aumento del diámetro mediastinal, desplazamiento o compresión de la tráquea y bronquios prinipales  Ecocardiografía (TE): útil en aorta ascendente y descendente, no en arco aórtico  TAC/RMN: sensibles y específicas  En pacientes con aneurismas pequeños y asintomáticos se debe hacer seguimiento cada 6-12 meses para monitorizar el crecimiento
  • 15.
     Tratamiento:  β-bloqueadores Tratamiento médico adicional para el control de la hipertensión  IECAs/ARAII en Síndrome de Marfán: bloqueo de señalización por TGF- β  Cirugía:  En pacientes sintomáticos  En aneurismas ascendentes > 5.5-6cm (Marfán y aorta bivalva: > 5cm)  En aneurismas descendentes > 5.6-7cm  En aneurismas con crecimiento de 1cm por año  Reparación endovascular: opción en aneurismas descendentes
  • 16.
    Aneurismas de laAorta Abdominal  Más frecuente en hombres que en mujeres  Incidencia aumenta con la edad  1-2% de hombres > 50 años  90% de los aneurismas > 4cm relacionados con ateroesclerosis  La mayoría debajo de origen de arterias renales  Riesgo de ruptura:  1-2% a 5 años si < 5cm  20-40% a 5 años si > 5cm
  • 17.
     Usualmente asintomáticos Detectados al examen físico como masa pulsátil  Hallazgo incidental en radiografía o ecografía abdominal  Pueden volverse dolorosos a medida que se expanden  Pulsaciones abdominales, dolor torácico, lumbar o escrotal  Dolor es inminencia de ruptura  Ruptura: dolor agudo e hipotensión (emergencia médica)
  • 18.
     Radiografía: calcificacióndel aneurisma (25% no calcificados)  Ecografía: dimensiones transversales y longitudinales, trombos murales  Tamización:  en pacientes de 65-75 años que alguna vez hayan fumado  Hermanos e hijos de pacientes con aneurisma de aorta abdominal, torácica o periférica  TAC/RMN: determinan ubicación y tamaño. Previo a cirugía.  Aortograma con contraste: puede subestimar el tamaño del aneurisma si hay presencia de trombos murales
  • 19.
     Tratamiento:  Injertoaórtico / Prótesis endovascular  Aneurismas aórticos abdominales de cualquier tamaño, que se expandan rápido o que sean sintomáticos  Seguimiento seriado en < 5cm es alternativa para corrección inmediata  Cuidados preoperatorios  β-bloqueadores  TAC/RMN/Aortograma a largo plazo en quienes han sido sometidos a cirugía  Correcto cuidado pre y post operatorio: mortalidad 1-2%  Ruptura aguda: mortalidad 45-50%
  • 20.
    Síndromes Aórticos Agudos  Rupturade aneurisma  Disección aórtica  Hematoma intramural  Úlcera ateroesclerótica penetrante
  • 21.
    Disección Aórtica  Ruptura circunferencialo transversal de la íntima  Pared lateral derecha de la aorta ascendente  Aorta descendente, después del ligamento arterioso  Usualmente propagación distal  Limitada por placa ateroesclerótica  Reentrada a lumen verdadero  Variantes radiológicas y patológicas:  Hematoma intramural  Úlcera
  • 22.
  • 24.
     Factores predisponentes: HTA: 70% de los casos  Necrosis quística de la media  Síndrome de Marfán  Síndrome de Ehlers-Danlos  Aortitis  Malformaciones congénitas  Historia de traumatismo aórtico  Tercer trimestre del embarazo  Epidemiología:  Hombres 2:1, entre sexta y séptima década
  • 25.
     Manifestaciones clínicas: Dolor agudo, desgarrante, frecuentemente interescapular, que migra en dirección de la disección  Diaforesis, sínope, disnea, debilidad  Examen físico:  Hiper/hipotensión  Pérdida de pulsos  Insuficiencia aórtica (50% de las proximales)  Edema pulmonar  Hemiplejía, hemianestesia, paraplejia  Isquemia mesentérica, hematuria, isquemia miocárdica  Compresión de estructuras adyacentes  Hemopericardio/taponamiento cardiaco
  • 26.
     Radiografía detórax:  Ensanchamiento mediastinal  Derrame pleural (usualmente izquierdo)  Electrocardiograma:  En raras ocasiones hay disección de ostium coronarios, causando isquemia miocárdica  Ecocardiografía/TAC/RMN: sensibilidad del 60-85% para disección aórtica  Eco TE: útil para disecciones de aorta ascendente o descendente (S 98%, E 90%)  TAC/RMN: útiles para identificar hemorragias intramurales y úlceras penetrantes (S y E > 90%)
  • 28.
    Tratamiento  Diagnóstico considerado:iniciar tratamiento médico y admisión a UCI  En ausencia de contraindicación:  β-bloqueadores IV (FC 60 lpm)  Nitroprusiato de sodio (PAS < 120 mmHg)  Si contraindicación:  Calcioantagonistas  IECAs  Hidralazina contraindicado: propaga disección  Corrección quirúrgica:  Tipo A  Tipo B complicados  Mortalidad: 15-25% (IAM, paraplejia, falla renal, taponamiento cardíaco, hemorragia sepsis)
  • 32.
    Enfermedad Ateroesclerótica Crónica Afecta aorta torácica y abdominal  Usualmente compromete aorta distal, desde antes de emergencia de arterias renales  Manifestaciones clínicas: severidad depende de circulación colateral  Claudicación intermitente  Impotencia  Examen físico:  Ausencia bilateral de pulsos femorales y distales  Soplo abdominal  Piel atrófica, sin tejidos accesorios, fría
  • 33.
     Diagnóstico:  Examenfísico  Ecografía Doppler  TAC/RMN/Aortograma convencional  En quienes se considera revascularización  Tratamiento:  Endovascular/quirúrgico en pacientes con síntomas graves de claudicación o con isquemia crítica de miembros inferiores
  • 34.
    Oclusión Aguda dela Aorta  Emergencia médica  Usualmente por trombo de origen cardíaco  Oclusión en silla de montar  Manifestaciones Clínicas: dolor severo y agudo en reposo, extremidades pálidas y frías, ausencia de pulsos distales  Diagnóstico: TAC/RMN/Aortograma  Tratamiento: trombectomía o revascularización de emergencia
  • 35.
    Aortitis  Enfermedad inflamatoriade la aorta  Arteritis de Takayasu  Arteritis de células gigantes  Aortitis reumática  Aortitis idopática  Aortitis infecciosa
  • 37.
    BIBLIOGRAFÍA Harrison, Tinsley R.,and Anthony S. Fauci. Harrison's principles of internal medicine. 18. ed. New York [u.a.: McGraw-Hill, 2011. Print. Hiratzka, Loren, Eric Isselbacher, Luke Hermann, Kim Eagle, Donald Casey, Vincent Carr, Robert Bersin, Joshua Beckman, George Bakris, and Ella Kazerooni. "2010 ACCF/AHA/AATS/ACR/ASA/SCA/SCAI/SIR/STS/SVM Guidelines for the Diagnosis and Management of Patients With Thoracic Aortic Disease." Journal of the American College of Cardiology 55.14 (2010): e27-e129. Print. " MDCT Angiography Images at scan man’s notes." Scan Man. N.p., n.d. Web. 14 Oct. 2012. <http://www.catscanman.net/blog/2009/01/mdct-angiography-images/>. Ranasinghe, Aaron M, and Et al .. "Acute aortic dissection." BMJ 10 (2011): 1-5. Print. "Thoracic Aortic Aneurysm — UVA Health." UVA Health: University of Virginia's World-class Care. N.p., n.d. Web. 14 Oct. 2012. <http://uvahealth.com/services/vascular-center/treatment/thoracic-aortic-aneurysm>.