UNIDAD

Estructura del sistema renal
Lo que sabemos
 En la función de nutrición colaboran los

aparatos digestivo, respiratorio, circulatorio y
excretor.
 Fruto de la respiración celular que tiene lugar
en la mitocondria (gracias a los nutrientes y
el oxígeno) se generan desechos que han de
ser expulsados.
 Se generan dos tipos de desechos, que
serán expulsados al exterior:



Dióxido de carbono: se expulsa gracias al aparato
respiratorio.
Urea: que es un constituyente de la orina y se
expulsará a través del aparato urinario.
 Concepto de excreción.
 Anatomía del aparato urinario.
 Proceso de formación de la orina.
 Principales enfermedades
 Hábitos saludables.
EXCRECIÓN.
 Se asocia excreción a aparato urinario,

pero en la excreción participan:
 Aparato

respiratorio: expulsa CO2
 Glándulas sudoríparas: eliminan
sustancias tóxicas a través del sudor.
 Hígado: elimina productos resultantes de
la destrucción de glóbulos rojos,
sustancias tóxicas (alcohol, fármacos...)
 Aparato urinario.
Órganos con función excretora

HÍGADO
Regula la concentración de
sustancias tóxicas en la sangre.
Elimina los restos de la
degradación de la hemoglobina
en forma de bilirrubina, que es
expulsada a través de las heces.

PULMONES
Eliminan el dióxido de
carbono producido en el
metabolismo celular.

GLÁNDULAS
SUDORÍPARAS
Su función es eliminar el sudor, a través del cual se
eliminan las sustancias las sustancias tóxicas de la sangre.
APARATO URINARIO.
 Participa en la excreción de sustancias

procedentes del metabolismo celular.
 Regula la cantidad de agua y sales
minerales en los tejidos y la sangre.
Anatomía del Aparato urinario

Riñones
Son los órganos
formadores de la orina.

Uréteres
Conductos excretores
por donde fluye la
orina formada.
Vejiga

Uretra
Conduce la orina desde
la vejiga al exterior.

Acumula la orina que
llega de forma continua
por los uréteres.
Riñones
 Dos órganos con forma de alubia.
 Situados en la parte dorsal posterior a ambos

lados de la columna.
 Se distinguen varias partes:





Cápsula: envoltura externa
Corteza renal: parte más externa.
Médula renal: parte interna.
Pelvis renal: cavidad que recoge la orina y la
conduce hasta los uréteres.

 Están formados por unidades denominadas

nefronas.
Riñón
Cápsula
Médula

Vena renal
Pelvis
renal

Arteria renal

Uréter
Corteza
Funciones del riñón.
 Filtrar el plasma sanguíneo y eliminar las

sustancias tóxicas, expulsándolas a
través de la orina.
 Regular la concentración de agua y sales
minerales.
Otras funciones:




Producen eritropoyetina (estimula la formación de
eritrocitos).
Producen renina (regula la presión arterial)
En la parte superior están las glándulas
suprarrenales que producen hormonas
(adrenalina, corticoides, aldosterona)
Uréteres.
 Conductos de salida de la orina.
 Parten de la pelvis renal y llegan hasta

la vejiga de la orina.
 Longitud media de 28 centímetros.
Vejiga urinaria
 Bolsa elástica con

capacidad de
almacenaje de la orina.
 Cuando la vejiga se
distiende mucho se
produce el reflejo de
micción, que provoca la
contracción de la pared
de la vejiga, impulsando
la orina hacia la uretra.
Uretra
 Conducto de salida al exterior de la

orina.
 En la uretra masculina confluyen los
conductos del aparato urinario y
reproductor.
NEFRONAS Y PROCESO DE
FORMACIÓN DE LA ORINA
 El riñón está formado por

aproximadamente 1 millón de
nefronas.
 La nefrona es la unidad básica del
riñón, donde tiene lugar el proceso de
formación de la orina.
La nefrona
Túbulo
contorneado
proximal

Cápsula de
Bowman

Túbulo
contorneado distal

Glomérulo
Red capilar
peritubular
Asa de Henle

Conducto
colector
Partes de una nefrona
 Glomérulo: conjunto de capilares sanguíneos que llevan

la sangre para que sea filtrada.
 Cápsula de Bowman: estructura en forma de copa,
donde se va a producir la filtración.
 Túbulos renales: tubos donde se va a producir la
reabsorción de los nutrientes válidos y por donde se
conduce la orina.
 Túbulo contorneado proximal
 Túbulo condorneado distal
 Asa de Henle
 Tubo colector.
 Rodeando a toda esta estructura se localizan una red de
capilares sanguíneos.
Proceso de formación de la
orina


El proceso presenta dos pasos fundamentales:
 Filtración glomerular:
 Tiene lugar en la cápsula de Bowman.
 Se produce el filtrado de sustancias desde la sangre a la
cápsula de Bowman.
 Es un filtrado inespecífico (pasan sustancias de desecho
(urea, ácido úrico) y sustancias que todavía son útiles (agua,
glucosa, vitaminas, sales minerales...)
 Reabsorción tubular:
 Tiene lugar en los túbulos (proximal, asa de Henle, distal).
 Se produce la reabsorción, es decir, el paso a la sangre de
aquellas sustancias que son útiles (agua, glucosa, vitaminas,
sales minerales...)
 Va quedando únicamente lo que son desechos y se va
concentrando la orina
Formación de la orina
Filtración
glomerular

agua
nutrientes
residuos

Reabsorción
tubular
La orina es un filtrado de la sangre que
se diferencia del plasma sanguíneo en
que es una disolución más
concentrada, carece de nutrientes útiles
y posee productos de desecho
concentrados.
ENFERMEDADES MÁS
FRECUENTES.
 Insuficiencia renal
 Nefritis
 Cistitis
 Incontinencia
 Diabetes sacarina
 Cálculos renales=litiasis renal
Hemodiálisis
El riñón artificial

Los enfermos cuyos riñones no
funcionan, deben depurar
regularmente su sangre por medio
de la hemodiálisis.
La sangre se pone en contacto con una solución similar al
plasma sanguíneo a través de una membrana
semipermeable, que deja escapar la urea y otros productos
de desecho, pero impide el paso a moléculas grandes y
células sanguíneas.
HÁBITOS SALUDABLES
Para no sobrecargar de trabajo a nuestros riñones, debemos
adquirir ciertos hábitos que ayudan a mejorar su funcionamiento.
Ingerir cantidades moderadas de
ciertos alimentos que provocan la
formación de productos tóxicos
(ácido úrico) como el marisco o
la carne de caza o las vísceras.
Ingerir como mínimo
dos litros de agua al
día.

Consumir con
moderación carnes y
pescados, ricos en
sustancias nitrogenadas
cuya eliminación puede
alterar el funcionamiento
del riñón.
Llevar una
dieta equilibrada

Realizarse
análisis periódicos

Evitar sustancias tóxicas
Alcohol, fármacos

Realizar
ejercicio físico

Aparato excretor

  • 1.
  • 2.
    Lo que sabemos En la función de nutrición colaboran los aparatos digestivo, respiratorio, circulatorio y excretor.  Fruto de la respiración celular que tiene lugar en la mitocondria (gracias a los nutrientes y el oxígeno) se generan desechos que han de ser expulsados.  Se generan dos tipos de desechos, que serán expulsados al exterior:   Dióxido de carbono: se expulsa gracias al aparato respiratorio. Urea: que es un constituyente de la orina y se expulsará a través del aparato urinario.
  • 3.
     Concepto deexcreción.  Anatomía del aparato urinario.  Proceso de formación de la orina.  Principales enfermedades  Hábitos saludables.
  • 5.
    EXCRECIÓN.  Se asociaexcreción a aparato urinario, pero en la excreción participan:  Aparato respiratorio: expulsa CO2  Glándulas sudoríparas: eliminan sustancias tóxicas a través del sudor.  Hígado: elimina productos resultantes de la destrucción de glóbulos rojos, sustancias tóxicas (alcohol, fármacos...)  Aparato urinario.
  • 6.
    Órganos con funciónexcretora HÍGADO Regula la concentración de sustancias tóxicas en la sangre. Elimina los restos de la degradación de la hemoglobina en forma de bilirrubina, que es expulsada a través de las heces. PULMONES Eliminan el dióxido de carbono producido en el metabolismo celular. GLÁNDULAS SUDORÍPARAS Su función es eliminar el sudor, a través del cual se eliminan las sustancias las sustancias tóxicas de la sangre.
  • 7.
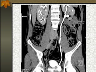
    APARATO URINARIO.  Participaen la excreción de sustancias procedentes del metabolismo celular.  Regula la cantidad de agua y sales minerales en los tejidos y la sangre.
  • 8.
    Anatomía del Aparatourinario Riñones Son los órganos formadores de la orina. Uréteres Conductos excretores por donde fluye la orina formada. Vejiga Uretra Conduce la orina desde la vejiga al exterior. Acumula la orina que llega de forma continua por los uréteres.
  • 9.
    Riñones  Dos órganoscon forma de alubia.  Situados en la parte dorsal posterior a ambos lados de la columna.  Se distinguen varias partes:     Cápsula: envoltura externa Corteza renal: parte más externa. Médula renal: parte interna. Pelvis renal: cavidad que recoge la orina y la conduce hasta los uréteres.  Están formados por unidades denominadas nefronas.
  • 10.
  • 12.
    Funciones del riñón. Filtrar el plasma sanguíneo y eliminar las sustancias tóxicas, expulsándolas a través de la orina.  Regular la concentración de agua y sales minerales. Otras funciones:    Producen eritropoyetina (estimula la formación de eritrocitos). Producen renina (regula la presión arterial) En la parte superior están las glándulas suprarrenales que producen hormonas (adrenalina, corticoides, aldosterona)
  • 15.
    Uréteres.  Conductos desalida de la orina.  Parten de la pelvis renal y llegan hasta la vejiga de la orina.  Longitud media de 28 centímetros.
  • 18.
    Vejiga urinaria  Bolsaelástica con capacidad de almacenaje de la orina.  Cuando la vejiga se distiende mucho se produce el reflejo de micción, que provoca la contracción de la pared de la vejiga, impulsando la orina hacia la uretra.
  • 20.
    Uretra  Conducto desalida al exterior de la orina.  En la uretra masculina confluyen los conductos del aparato urinario y reproductor.
  • 23.
    NEFRONAS Y PROCESODE FORMACIÓN DE LA ORINA  El riñón está formado por aproximadamente 1 millón de nefronas.  La nefrona es la unidad básica del riñón, donde tiene lugar el proceso de formación de la orina.
  • 24.
    La nefrona Túbulo contorneado proximal Cápsula de Bowman Túbulo contorneadodistal Glomérulo Red capilar peritubular Asa de Henle Conducto colector
  • 25.
    Partes de unanefrona  Glomérulo: conjunto de capilares sanguíneos que llevan la sangre para que sea filtrada.  Cápsula de Bowman: estructura en forma de copa, donde se va a producir la filtración.  Túbulos renales: tubos donde se va a producir la reabsorción de los nutrientes válidos y por donde se conduce la orina.  Túbulo contorneado proximal  Túbulo condorneado distal  Asa de Henle  Tubo colector.  Rodeando a toda esta estructura se localizan una red de capilares sanguíneos.
  • 26.
    Proceso de formaciónde la orina  El proceso presenta dos pasos fundamentales:  Filtración glomerular:  Tiene lugar en la cápsula de Bowman.  Se produce el filtrado de sustancias desde la sangre a la cápsula de Bowman.  Es un filtrado inespecífico (pasan sustancias de desecho (urea, ácido úrico) y sustancias que todavía son útiles (agua, glucosa, vitaminas, sales minerales...)  Reabsorción tubular:  Tiene lugar en los túbulos (proximal, asa de Henle, distal).  Se produce la reabsorción, es decir, el paso a la sangre de aquellas sustancias que son útiles (agua, glucosa, vitaminas, sales minerales...)  Va quedando únicamente lo que son desechos y se va concentrando la orina
  • 27.
    Formación de laorina Filtración glomerular agua nutrientes residuos Reabsorción tubular
  • 28.
    La orina esun filtrado de la sangre que se diferencia del plasma sanguíneo en que es una disolución más concentrada, carece de nutrientes útiles y posee productos de desecho concentrados.
  • 29.
    ENFERMEDADES MÁS FRECUENTES.  Insuficienciarenal  Nefritis  Cistitis  Incontinencia  Diabetes sacarina  Cálculos renales=litiasis renal
  • 30.
    Hemodiálisis El riñón artificial Losenfermos cuyos riñones no funcionan, deben depurar regularmente su sangre por medio de la hemodiálisis. La sangre se pone en contacto con una solución similar al plasma sanguíneo a través de una membrana semipermeable, que deja escapar la urea y otros productos de desecho, pero impide el paso a moléculas grandes y células sanguíneas.
  • 31.
    HÁBITOS SALUDABLES Para nosobrecargar de trabajo a nuestros riñones, debemos adquirir ciertos hábitos que ayudan a mejorar su funcionamiento. Ingerir cantidades moderadas de ciertos alimentos que provocan la formación de productos tóxicos (ácido úrico) como el marisco o la carne de caza o las vísceras. Ingerir como mínimo dos litros de agua al día. Consumir con moderación carnes y pescados, ricos en sustancias nitrogenadas cuya eliminación puede alterar el funcionamiento del riñón.
  • 32.
    Llevar una dieta equilibrada Realizarse análisisperiódicos Evitar sustancias tóxicas Alcohol, fármacos Realizar ejercicio físico