CONFERENCIATEJIDO NERVIOSO
Sumario: C. NEUROGLIAS. TIPOS. CARACTERÍSTICAS MORFOFUNCIONALESA. CÉLULAS DEL SISTEMAA NERVIOSO : CARACTERÍSTICAS GENERALES.B. NEURONAS. CLASIFICACIÓN. ESTRUCTURA AL M/O  Y AL  M/E. D. FIBRAS NERVIOSAS. TIPOS. CARACTERÍSTICAS MORFOFUNCIONALES.E. SINAPSIS. CARACTERÍSTICAS GENERALES.
OBJETIVOS: 1. MENCIONAR LAS CARACTERÍSTICAS MORFOFUNCIONALES GENERALES DEL TEJIDO NERVIOSO.2. DESCRIBIR LAS CARACTERÍSTICAS HISTOLÓGICAS GENERALES DE LAS NEURONAS Y DE LAS NEUROGLIAS.3. DESCRIBIR LAS CARACTERÍSTICAS HISTOLÓGICAS GENERALES DE LAS FIBRAS NERVIOSAS Y DE LAS SINAPSIS.
CARACTERÍSTICAS GENERALES DEL TEJIDO NERVIOSOEs un tejido básico o primario.Está formado por dos tipos celulares: las neuronas y las neuroglias.Las neuronas presentan alto grado de especialización en las propiedades de irritabilidad y conductividad.
Donde las neuronas están asociadas a las neuroglias con muy escaso tejido conectivo.SNC:Donde las neuronas están relacionadas y sostenidas por abundante tejido conectivo.SNP:Desde el punto de vista anatómico        se divide en:
Organización del tejido nervioso en el SNCAllí se localizan los cuerpos de las neuronas, neurogliasy fibras nerviosas, principalmente amielínicas.Sustancia grisPredominan las fibras nerviosas mielínicas, responsables del color blanco y neuroglias.Sustancia blanca
Constituyen la unidad básica integradora del Sistema Nervioso.Son altamente especializadas y permanecen en la etapa G del ciclo celular.Conducen y transmiten impulsos nerviosos, almacenan información.NEURONAS
CLASIFICACIÓN DE LAS NEURONASPor el número de prolongaciones.Por la forma del cuerpo.Según la longitud del axón.Desde el punto de vista funcional.
Por el número de prolongaciones:I.UNIPOLARESSEUDOUNIPOLARESBIPOLARESMULTIPOLARESCLASIFICACIÓN DE LAS NEURONAS
 Por la forma del cuerpo:II. PIRIFORMES PIRAMIDALES FUSIFORMESGLOBULOSAS ESTRELLADAS CLASIFICACIÓN DE LAS NEURONAS
Según la longitud del axón:III. GOLGI TIPO I LAS DE AXÓN LARGO. GOLGI TIPO II LAS DE AXÓN CORTO. Desde el punto de vista funcional:IV. SENSITIVAS O AFERENTES. MOTORAS O EFERENTES. INTERNEURONAS O DE ASOCIACIÓN.
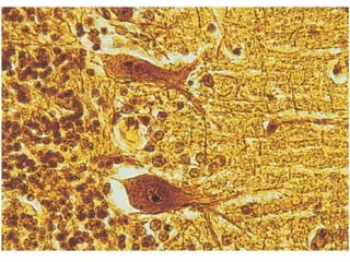
Partes de la neuronaAXÓN O CILINDROEJEPROLONGACIONESCUERPO  O SOMADENDRITAS
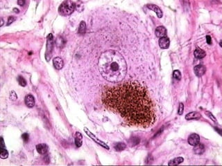
Sustancia cromófila o Cuerpos de Nissl (RER)MitocondriasAparato de GolgiInclusiones: Lipofuscina, glucógeno, melaninaNeurofibrillas (Neurofilamentos y neurotúbulos)Cuerpo o somaContiene al núcleo, que generalmente es esférico, central, de cromatina muy laxa y nucléolo prominente.La zona del citoplasma que rodea al núcleo es el  pericariony contiene los organitos e inclusiones citoplasmáticos observables al M/O y al M/E:
DendritasSon cortas, múltiples y muy ramificadas.Van disminuyendo su grosor al ramificarse. Poseen la mayoría de los organitos típicos del pericarion. Presentan pequeñas protrusiones en su superficie denominadas espinas dendríticas. Reciben impulsos nerviosos de otras neuronas.
Axón Es único y más largo que las dendritas. No contiene Cuerpos de Nissl. Puede estar rodeado por mielina. Presenta microtúbulos, microfilamentosy escasas mitocondrias. Nace del cuerpo de la neurona de una zona denominada cono axónico.Termina en una arborización denominada  telodendrón. Conduce los impulsos nerviosos.
NEUROGLIAS También llamadas células de soporte, son mucho más numerosas, pequeñas y no generan impulsos nerviosos. A diferencia de las neuronas, sus prolongaciones son similares. Cumplen con diferentes funciones:
FUNCIONES DE LAS NEUROGLIAS:Soporte y sosténFormación de mielinaDefensa mediante fagocitosis Intercambio metabólicoParticipación en la barrera hematoencefálicaGuía de la migración celular durante el desarrollo embrionario
Clasificación de las neurogliasOligodendrogliasMacrogliasProtoplasmáticosSNCAstrocitosFibrososMicrogliasCélulas del epéndimoCélulas satélites o anficitos: Se localizan en los ganglios nerviosos.SNPCélulas de Schwann: Responsables de la formación de mielina en el SNP.Células de Müller: En la retina
Sinapsis Contactos membranosos especializados que se establecen entre una neurona y otra célula, que puede ser: nerviosa, muscular o epitelial, y en este sentido se clasifican en:NEURONEURONALNEUROMUSCULARNEUROEPITELIAL
Región presinápticaHendidura sinápticaRegión postsináptica
GANGLIO ESPINAL
FIBRAS NERVIOSAS.Son estructuras largas y delgadas, especializadas en la conducción de los impulsos nerviosos.Están constituidas por un axón y sus vainas envolventes.
SNCSNP
FORMACIÓN DE MIELINA EN EL SNC
MESAXÓN INTERNO Y EXTERNO

Conferencia de Tejido Nervioso

  • 1.
  • 2.
    Sumario: C. NEUROGLIAS.TIPOS. CARACTERÍSTICAS MORFOFUNCIONALESA. CÉLULAS DEL SISTEMAA NERVIOSO : CARACTERÍSTICAS GENERALES.B. NEURONAS. CLASIFICACIÓN. ESTRUCTURA AL M/O Y AL M/E. D. FIBRAS NERVIOSAS. TIPOS. CARACTERÍSTICAS MORFOFUNCIONALES.E. SINAPSIS. CARACTERÍSTICAS GENERALES.
  • 3.
    OBJETIVOS: 1. MENCIONARLAS CARACTERÍSTICAS MORFOFUNCIONALES GENERALES DEL TEJIDO NERVIOSO.2. DESCRIBIR LAS CARACTERÍSTICAS HISTOLÓGICAS GENERALES DE LAS NEURONAS Y DE LAS NEUROGLIAS.3. DESCRIBIR LAS CARACTERÍSTICAS HISTOLÓGICAS GENERALES DE LAS FIBRAS NERVIOSAS Y DE LAS SINAPSIS.
  • 4.
    CARACTERÍSTICAS GENERALES DELTEJIDO NERVIOSOEs un tejido básico o primario.Está formado por dos tipos celulares: las neuronas y las neuroglias.Las neuronas presentan alto grado de especialización en las propiedades de irritabilidad y conductividad.
  • 5.
    Donde las neuronasestán asociadas a las neuroglias con muy escaso tejido conectivo.SNC:Donde las neuronas están relacionadas y sostenidas por abundante tejido conectivo.SNP:Desde el punto de vista anatómico se divide en:
  • 6.
    Organización del tejidonervioso en el SNCAllí se localizan los cuerpos de las neuronas, neurogliasy fibras nerviosas, principalmente amielínicas.Sustancia grisPredominan las fibras nerviosas mielínicas, responsables del color blanco y neuroglias.Sustancia blanca
  • 8.
    Constituyen la unidadbásica integradora del Sistema Nervioso.Son altamente especializadas y permanecen en la etapa G del ciclo celular.Conducen y transmiten impulsos nerviosos, almacenan información.NEURONAS
  • 9.
    CLASIFICACIÓN DE LASNEURONASPor el número de prolongaciones.Por la forma del cuerpo.Según la longitud del axón.Desde el punto de vista funcional.
  • 10.
    Por el númerode prolongaciones:I.UNIPOLARESSEUDOUNIPOLARESBIPOLARESMULTIPOLARESCLASIFICACIÓN DE LAS NEURONAS
  • 12.
    Por laforma del cuerpo:II. PIRIFORMES PIRAMIDALES FUSIFORMESGLOBULOSAS ESTRELLADAS CLASIFICACIÓN DE LAS NEURONAS
  • 14.
    Según la longituddel axón:III. GOLGI TIPO I LAS DE AXÓN LARGO. GOLGI TIPO II LAS DE AXÓN CORTO. Desde el punto de vista funcional:IV. SENSITIVAS O AFERENTES. MOTORAS O EFERENTES. INTERNEURONAS O DE ASOCIACIÓN.
  • 15.
    Partes de laneuronaAXÓN O CILINDROEJEPROLONGACIONESCUERPO O SOMADENDRITAS
  • 16.
    Sustancia cromófila oCuerpos de Nissl (RER)MitocondriasAparato de GolgiInclusiones: Lipofuscina, glucógeno, melaninaNeurofibrillas (Neurofilamentos y neurotúbulos)Cuerpo o somaContiene al núcleo, que generalmente es esférico, central, de cromatina muy laxa y nucléolo prominente.La zona del citoplasma que rodea al núcleo es el pericariony contiene los organitos e inclusiones citoplasmáticos observables al M/O y al M/E:
  • 21.
    DendritasSon cortas, múltiplesy muy ramificadas.Van disminuyendo su grosor al ramificarse. Poseen la mayoría de los organitos típicos del pericarion. Presentan pequeñas protrusiones en su superficie denominadas espinas dendríticas. Reciben impulsos nerviosos de otras neuronas.
  • 22.
    Axón Es únicoy más largo que las dendritas. No contiene Cuerpos de Nissl. Puede estar rodeado por mielina. Presenta microtúbulos, microfilamentosy escasas mitocondrias. Nace del cuerpo de la neurona de una zona denominada cono axónico.Termina en una arborización denominada telodendrón. Conduce los impulsos nerviosos.
  • 24.
    NEUROGLIAS También llamadascélulas de soporte, son mucho más numerosas, pequeñas y no generan impulsos nerviosos. A diferencia de las neuronas, sus prolongaciones son similares. Cumplen con diferentes funciones:
  • 25.
    FUNCIONES DE LASNEUROGLIAS:Soporte y sosténFormación de mielinaDefensa mediante fagocitosis Intercambio metabólicoParticipación en la barrera hematoencefálicaGuía de la migración celular durante el desarrollo embrionario
  • 26.
    Clasificación de lasneurogliasOligodendrogliasMacrogliasProtoplasmáticosSNCAstrocitosFibrososMicrogliasCélulas del epéndimoCélulas satélites o anficitos: Se localizan en los ganglios nerviosos.SNPCélulas de Schwann: Responsables de la formación de mielina en el SNP.Células de Müller: En la retina
  • 28.
    Sinapsis Contactos membranososespecializados que se establecen entre una neurona y otra célula, que puede ser: nerviosa, muscular o epitelial, y en este sentido se clasifican en:NEURONEURONALNEUROMUSCULARNEUROEPITELIAL
  • 29.
  • 36.
  • 38.
    FIBRAS NERVIOSAS.Son estructuraslargas y delgadas, especializadas en la conducción de los impulsos nerviosos.Están constituidas por un axón y sus vainas envolventes.
  • 39.
  • 40.
  • 41.