DESARROLLO DE LA
ANGIOGRAFÍA
TM Jorge Frías
ANGIOGRAFÍA CONVENCIONAL
Antes de la llegada de la era
digital, las imágenes en
radiología se obtenían con
películas radiográficas.
En el caso de la
Hemodinamia, se requería
tomar por lo menos 3 Rx por
segundo.
ANGIOGRAFÍA CONVENCIONAL
Los equipos de Rayos x
(Angiógrafo), eran y son de
gran potencia, con tiempos
cortos, capaz de tomar varias
placas por segundo
Para realizar este proceso tan
rápido, es que se necesitaba
contar con un equipo llamado
intercambiador automático de
películas de alta velocidad
(AOT)
INTERCAMBIADOR DE PELÍCULAS AOT
Básicamente es un cajón hermético a la luz, que consta de 3
compartimentos:
 El primero, que tiene capacidad para guardar películas
vírgenes, un segundo que es donde se produce la
exposición de las películas a los rayos x. Y por último, un
tercer compartimento donde se van depositando las
placas ya expuestas en un maletín llamado “Magazine”.
Este magazine es llevados cuarto oscuro para revelar las
películas expuestas en el procedimiento.
 También hay otro Magazine en el que se cargan películas
vírgenes, que se introduce en el 1er compartimento, el de
las placas vírgenes.
SUSTRACCIÓN CONVENCIONAL
Es una técnica, la cual trata de “sustraer” (quitar)
determinados elementos de una imagen, que dificultan
la visualización de detalles, como sería por ejemplo la
superposición de los huesos, dejando solamente la
imagen de los pequeños vasos con contraste.
Para tal efecto es necesaria tener gran pericia puesto que
debe hacerse en forma manual y requería mucho
tiempo.
Es necesario que las radiografías fueran tomadas en la
misma posición.
Se usa una rx. sin contraste, que se pone sobre una
película virgen y se exponen a la luz. Con esto
tendremos un negativo de la imagen anterior.
Luego esta imagen negativa se monta sobre otra imagen
en la misma posición, pero que tiene medio de contraste,
y más abajo otra película virgen. Y las 3 se exponen a la
luz
La imagen final como
vemos, se muestra sólo el
vaso contrastado, la
sombra del hueso se
elimina ya que se cubre
con la imagen negativo.
SUSTRACCIÓN DIGITAL
Es la obtención de imágenes sustraídas en tiempo
real, desde un capturador digital.
Luego de la inyección de medio de contraste, son
procesadas por un ordenador que es capaz de
digitalizarlas, reconstruirlas e intensificadas para
su manipulación clínica.
Se basa en el mismo principio de la sustracción
convencional; en este caso digitalmente se
superpone 2 campos iguales, pero opuesto en
contraste neutralizado el fondo, graficando así, el
contraste en el vaso
Tanto en la sustracción digital, como convencional, el
movimiento de la estructura afecta la imagen durante la
adquisición.
Además la densidad del campo debe ser homogéneo, es
decir, que si hay una estructura muy gruesa seguida de una
muy delgada, afecta en el contraste, para eso se usa filtros
compensadores. Que en el caso de la digital, también los
hay virtuales
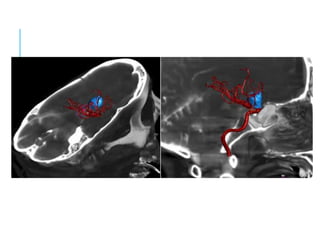
ANGIOGRAFÍA CEREBRAL
APLICACIÓN 3D
Proceso computacional mediante el cual es posible
reconstruir en forma tridemensional una imagen vascular,
a partir de la adquisición radiológica de datos durante
una angiografía, logrando mediante un software de
aplicaciones la manipulación de tales datos para el
provecho diagnóstico y terapéutico.
ANGIOGRAFÍA 3D
La información, es obtenida porque durante la
adquisición el equipo realiza un movimiento de 240º
en 4 segundos.
Formando una imagen muy similar a las entregadas
por un TAC o RNM.
A esto se le llama ANGIOGRAFÍA ROTACIONAL
TRIDIMENSIONAL.
La imagen es realizada en forma instantánea.
Tiene gran utilidad en las imágenes de Aneurismas,
MAV cerebrales, como así también de ACV.
FUNCIÓN ROADMAP 3D
Este recurso permite sincronizar la imagen con el
movimiento del angiógrafo.
Para realizarlo se inyecta un poco de medio de
contraste, se obtiene la imagen 3D del vaso a
explorar. Una vez que el medio de contraste ya se fue,
el equipo es capaz de mantener la imagen del vaso
contrastado, por el que el médico podrá introducir el
catéter, guiándose por este “camino” que quedó
dibujado, como si fuera un mapa
OTRAS APLICACIONES
QUIMIOTERAPIA SELECTIVA INTRA-ARTERIAL
Debido a que la quimioterapia se coloca
directamente en la arteria que alimenta al tumor,
los médicos pueden utilizar dosis mucho más
pequeñas de los medicamentos de quimioterapia
(menos del 10% de las dosis utilizadas para la
quimioterapia sistémica). Por lo tanto, hay menos
efectos secundarios de la quimioterapia.
See more at:
http://www.infocancer.org.mx/tratamientoquimioterapia-
con759i0.html#sthash.cgwojZqr.dpuf
RADIOTERAPIA INTERNA SELECTIVA (SIRT)
Radioterapia con microesferas.
https://www.youtube.com/watch?v=Ts-N2B4mTpU
https://www.youtube.com/watch?v=_8QAEfMOzos
LO NUEVO EN HEMODINAMIA…IVUS
La ecografía intravascular es una nueva técnica
angiografía invasiva , también a través de catéter se
introduce un diminuto transductor. Actualmente se hace
al final de una angioplastía para colocación de Stent.
La diferencia con la angioplastía con solo rayos x es
que esta no puede mostrar sus paredes. Las imágenes
de la ecografía intravascular muestran las paredes de
las arterias y pueden revelar la presencia de colesterol
y depósitos de grasa (placas). La acumulación de estos
depósitos puede aumentar el riesgo de un ataque
cardíaco.
LO NUEVO EN HEMODINAMIA…IVUS
(A) muestra una imagen de escala de grises. (B) Muestra una imagen
análisis de los componentes. Esta placa está clasificado como un
fibroateroma ya que tiene una capa fibrosa visible que cubre un
núcleo necrótico confluentes más del 10%. (C) Muestra el corte
histológico correspondiente.
LO NUEVO EN HEMODINAMIA…IVUS
LO NUEVO EN HEMODINAMIA… OCT
TOMOGRAFIA DE
COHERENCIA OPTICA, La
OCT es una técnica de
imagen tomográfica óptica,
interferométrica, que ofrece
una penetración de milímetros
(aproximadamente 2-3 mm
en el tejido) y una resolución
axial y lateral de escala
micrométrica. Es una técnica
que consiste en combinar la
luz proveniente de diferentes
receptores para obtener una
imagen de mayor resolución
LO NUEVO EN HEMODINAMIA… OCT
LO NUEVO EN HEMODINAMIA…
ANGIOGRAFIA POR OCT
En ella se usa luz cercana al espectro infrarrojo para
generar imágenes del interior de los vasos sanguíneos. A
diferencia de la ecografía, en la que se usan ondas
sonoras para producir una imagen de los vasos
sanguíneos, en la OCT se usa luz. Con la OCT los médicos
pueden obtener imágenes de los vasos sanguíneos tal
como si estuvieran examinándolos al microscopio.
La técnica produce imágenes que tienen una resolución
muy alta porque usa luz en vez de ondas sonoras. Un haz
de luz se dirige hacia la arteria; una parte de la luz se
refleja desde el interior del tejido de la arteria y otra
parte se dispersa. La luz que se dispersa causa un efecto
de «resplandor». El grado de detalle 10 veces mayor que
si estuvieran realizando una IVUS.
LO NUEVO EN HEMODINAMIA… OCT
PREGUNTAS
1. ¿Cómo se obtenía una sustracción convencional?
2. ¿Para qué sirve la técnica de sustracción?
3. Describa como era un AOT
4. ¿Para qué servía un AOT?
5. ¿Qué perjudica la realización de una sustracción?
6. ¿Qué es una angiografía rotacional 3D?
7. ¿Para que sirve un Roadmap 3D?
8. ¿Cómo se relaciona la angiografía con la quimioterapia?
9. ¿Qué ventajas presenta este tipo de quimioterapia?
10. ¿qué es IVUS, y para que sirve?
11. ¿en que se diferencia el SIRT, de la Quimioterapia intra-
arterial selectiva?
12. ¿Por qué es mejor la OCT?

Desarrollo de la angiografia

  • 1.
  • 2.
    ANGIOGRAFÍA CONVENCIONAL Antes dela llegada de la era digital, las imágenes en radiología se obtenían con películas radiográficas. En el caso de la Hemodinamia, se requería tomar por lo menos 3 Rx por segundo.
  • 3.
    ANGIOGRAFÍA CONVENCIONAL Los equiposde Rayos x (Angiógrafo), eran y son de gran potencia, con tiempos cortos, capaz de tomar varias placas por segundo Para realizar este proceso tan rápido, es que se necesitaba contar con un equipo llamado intercambiador automático de películas de alta velocidad (AOT)
  • 4.
  • 5.
    Básicamente es uncajón hermético a la luz, que consta de 3 compartimentos:  El primero, que tiene capacidad para guardar películas vírgenes, un segundo que es donde se produce la exposición de las películas a los rayos x. Y por último, un tercer compartimento donde se van depositando las placas ya expuestas en un maletín llamado “Magazine”. Este magazine es llevados cuarto oscuro para revelar las películas expuestas en el procedimiento.  También hay otro Magazine en el que se cargan películas vírgenes, que se introduce en el 1er compartimento, el de las placas vírgenes.
  • 8.
    SUSTRACCIÓN CONVENCIONAL Es unatécnica, la cual trata de “sustraer” (quitar) determinados elementos de una imagen, que dificultan la visualización de detalles, como sería por ejemplo la superposición de los huesos, dejando solamente la imagen de los pequeños vasos con contraste. Para tal efecto es necesaria tener gran pericia puesto que debe hacerse en forma manual y requería mucho tiempo. Es necesario que las radiografías fueran tomadas en la misma posición.
  • 10.
    Se usa unarx. sin contraste, que se pone sobre una película virgen y se exponen a la luz. Con esto tendremos un negativo de la imagen anterior.
  • 11.
    Luego esta imagennegativa se monta sobre otra imagen en la misma posición, pero que tiene medio de contraste, y más abajo otra película virgen. Y las 3 se exponen a la luz
  • 12.
    La imagen finalcomo vemos, se muestra sólo el vaso contrastado, la sombra del hueso se elimina ya que se cubre con la imagen negativo.
  • 13.
    SUSTRACCIÓN DIGITAL Es laobtención de imágenes sustraídas en tiempo real, desde un capturador digital. Luego de la inyección de medio de contraste, son procesadas por un ordenador que es capaz de digitalizarlas, reconstruirlas e intensificadas para su manipulación clínica. Se basa en el mismo principio de la sustracción convencional; en este caso digitalmente se superpone 2 campos iguales, pero opuesto en contraste neutralizado el fondo, graficando así, el contraste en el vaso
  • 14.
    Tanto en lasustracción digital, como convencional, el movimiento de la estructura afecta la imagen durante la adquisición. Además la densidad del campo debe ser homogéneo, es decir, que si hay una estructura muy gruesa seguida de una muy delgada, afecta en el contraste, para eso se usa filtros compensadores. Que en el caso de la digital, también los hay virtuales
  • 15.
  • 17.
    APLICACIÓN 3D Proceso computacionalmediante el cual es posible reconstruir en forma tridemensional una imagen vascular, a partir de la adquisición radiológica de datos durante una angiografía, logrando mediante un software de aplicaciones la manipulación de tales datos para el provecho diagnóstico y terapéutico.
  • 18.
    ANGIOGRAFÍA 3D La información,es obtenida porque durante la adquisición el equipo realiza un movimiento de 240º en 4 segundos. Formando una imagen muy similar a las entregadas por un TAC o RNM. A esto se le llama ANGIOGRAFÍA ROTACIONAL TRIDIMENSIONAL. La imagen es realizada en forma instantánea. Tiene gran utilidad en las imágenes de Aneurismas, MAV cerebrales, como así también de ACV.
  • 21.
    FUNCIÓN ROADMAP 3D Esterecurso permite sincronizar la imagen con el movimiento del angiógrafo. Para realizarlo se inyecta un poco de medio de contraste, se obtiene la imagen 3D del vaso a explorar. Una vez que el medio de contraste ya se fue, el equipo es capaz de mantener la imagen del vaso contrastado, por el que el médico podrá introducir el catéter, guiándose por este “camino” que quedó dibujado, como si fuera un mapa
  • 28.
  • 29.
  • 30.
    Debido a quela quimioterapia se coloca directamente en la arteria que alimenta al tumor, los médicos pueden utilizar dosis mucho más pequeñas de los medicamentos de quimioterapia (menos del 10% de las dosis utilizadas para la quimioterapia sistémica). Por lo tanto, hay menos efectos secundarios de la quimioterapia. See more at: http://www.infocancer.org.mx/tratamientoquimioterapia- con759i0.html#sthash.cgwojZqr.dpuf
  • 31.
    RADIOTERAPIA INTERNA SELECTIVA(SIRT) Radioterapia con microesferas. https://www.youtube.com/watch?v=Ts-N2B4mTpU https://www.youtube.com/watch?v=_8QAEfMOzos
  • 32.
    LO NUEVO ENHEMODINAMIA…IVUS La ecografía intravascular es una nueva técnica angiografía invasiva , también a través de catéter se introduce un diminuto transductor. Actualmente se hace al final de una angioplastía para colocación de Stent. La diferencia con la angioplastía con solo rayos x es que esta no puede mostrar sus paredes. Las imágenes de la ecografía intravascular muestran las paredes de las arterias y pueden revelar la presencia de colesterol y depósitos de grasa (placas). La acumulación de estos depósitos puede aumentar el riesgo de un ataque cardíaco.
  • 33.
    LO NUEVO ENHEMODINAMIA…IVUS
  • 34.
    (A) muestra unaimagen de escala de grises. (B) Muestra una imagen análisis de los componentes. Esta placa está clasificado como un fibroateroma ya que tiene una capa fibrosa visible que cubre un núcleo necrótico confluentes más del 10%. (C) Muestra el corte histológico correspondiente. LO NUEVO EN HEMODINAMIA…IVUS
  • 35.
    LO NUEVO ENHEMODINAMIA… OCT TOMOGRAFIA DE COHERENCIA OPTICA, La OCT es una técnica de imagen tomográfica óptica, interferométrica, que ofrece una penetración de milímetros (aproximadamente 2-3 mm en el tejido) y una resolución axial y lateral de escala micrométrica. Es una técnica que consiste en combinar la luz proveniente de diferentes receptores para obtener una imagen de mayor resolución
  • 36.
    LO NUEVO ENHEMODINAMIA… OCT
  • 37.
    LO NUEVO ENHEMODINAMIA… ANGIOGRAFIA POR OCT En ella se usa luz cercana al espectro infrarrojo para generar imágenes del interior de los vasos sanguíneos. A diferencia de la ecografía, en la que se usan ondas sonoras para producir una imagen de los vasos sanguíneos, en la OCT se usa luz. Con la OCT los médicos pueden obtener imágenes de los vasos sanguíneos tal como si estuvieran examinándolos al microscopio. La técnica produce imágenes que tienen una resolución muy alta porque usa luz en vez de ondas sonoras. Un haz de luz se dirige hacia la arteria; una parte de la luz se refleja desde el interior del tejido de la arteria y otra parte se dispersa. La luz que se dispersa causa un efecto de «resplandor». El grado de detalle 10 veces mayor que si estuvieran realizando una IVUS.
  • 38.
    LO NUEVO ENHEMODINAMIA… OCT
  • 41.
    PREGUNTAS 1. ¿Cómo seobtenía una sustracción convencional? 2. ¿Para qué sirve la técnica de sustracción? 3. Describa como era un AOT 4. ¿Para qué servía un AOT? 5. ¿Qué perjudica la realización de una sustracción? 6. ¿Qué es una angiografía rotacional 3D? 7. ¿Para que sirve un Roadmap 3D? 8. ¿Cómo se relaciona la angiografía con la quimioterapia? 9. ¿Qué ventajas presenta este tipo de quimioterapia? 10. ¿qué es IVUS, y para que sirve? 11. ¿en que se diferencia el SIRT, de la Quimioterapia intra- arterial selectiva? 12. ¿Por qué es mejor la OCT?