Incrustar presentación
Descargado 210 veces
































































































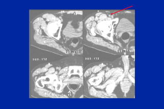
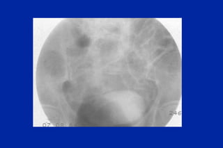
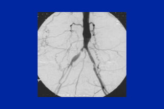
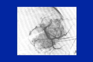
Este documento resume los principales tipos y técnicas de angiografía. Describe brevemente la angiografía, arteriografía, flebografía y linfografía, así como las técnicas de contraste y materiales utilizados. También explica los principales accesos vasculares, la técnica de Seldinger, la angiografía por sustracción digital y algunas técnicas endovasculares comunes.































































































