EMBRIOLOGIA Y
CRECIMIENTO PULMONAR




     Dr. Domínguez Vargas
Funciones del Sistema Respiratorio

•   Intercambio de gases
•   Balance ácido-base
•   Fonación
•   Mecanismos de defensa pulmonar
•   Metabolismo pulmonar y la entrega de
    materiales bioactivos
Crecimiento y desarrollo pulmonar:
a) Prenatal:
  • Embrionaria
  • Pseudoglandular
  • Canalicular
  • Saco terminal

a) Postnatal:
  • Formación de alvéolos
  • Maduración de las estructuras
  • Producción y secreción de sustancias
Prenatal (1)
1. Etapa embrionaria:
   • Primeras 5 semanas luego de la ovulación
   • Desarrollo pulmonar desde el divertículo ventral
     del intestino anterior
   • Brote pulmonar se ramifica partir de la 4ta
     semana

1. Etapa pseudoglandular:
   • 5-16 semanas de gestación
   • Ramificaciones del brote pulmonar: bronquios
   • Diferenciacion de cartílago, músculo, vasos
     sanguíneos, linfáticos, tejido conectivo
Prenatal (2)
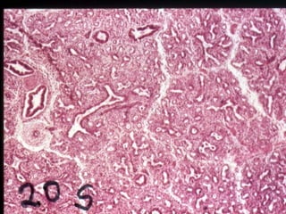
3) Etapa canalicular:
  * 16-24 semanas de gestación
  * Proliferación del mesénquima y desarrollo de
    vascularización
  *Acercamiento de epitelio respiratorio y capilares

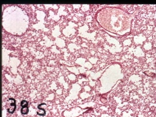
4) Etapa saco terminal:
   * 6-9 meses de gestación
   * Mayor diferenciación de la porción respiratoria
   * Formación de sacos alveolares
   * Células epiteliales tipo I y II
Canalicular

• Diferenciación celular del epitelio
• Adelgazamiento del mesénquima, red
  capilar
• Estructuras acinares
• Aumento de la producción de surfactante
• Intercambio de gases
Sacular

•   Adelgazamiento del epitelio respiratorio.
•   Desarrollo de capilares terminales.
•   Maduración de células II.
•   Capilares en relación a células I.
•   Aumento de la capa muscular.
•   Septos alveolares: superficie de
    intercambio.
1    Ciliated epithelium
2    Goblet cell
3    Gland
4    Cartilage
5    Smooth muscle cell
6    Clara cell
7    Capillary
8    Basal membrane
9    Surfactant
10   Type I pneumocyte
11   Alveolar septum
12   Type II pneumocyte
Revestimiento




Epitelio bronquial
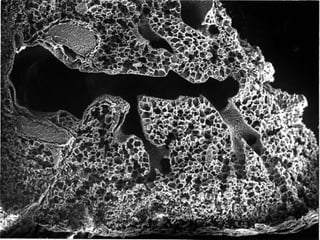
Unidad alveolo-capilar

• Lugar del intercambio
• Número de alvéolos: 300 millones (adulto)
• Número de capilares pulmonares: 280 billones
• 1.000 capilares pulmonares / alvéolo
• Amplia zona de contacto entre alvéolos y
  capilares: 50-100 m2
• Diámetro alveolar: 250 micras
Superficie alveolar

• Delgada capa de epitelio escamoso: Células alveolares
  tipo I. Entre ellas se encuentran células cubitales:
  Células alveolares tipo II
• Células tipo II / tipo I: 2:1
• Células tipo I cubren el 90-95% de la superficie
• Tercer tipo celular:
   – macrófago fagocítico alveolar (número variable)
   – Brinda protección y seguridad frente a partículas:
     bacterias
Desarrollo vascular

• La angiogénesis ocurre en el mesénquima
• Árbol vascular crece junto al árbol bronquial
• Capa muscular mas gruesa
• Post-natal:
   – Aumento significativo
   – Adelgazamiento de pared muscular
Función pulmonar prenatal:



a) Líquido pulmonar fetal
b) Surfactante
c) Movimientos respiratorios
   intrauterinos
Crecimiento Postnatal:
* Desarrollo alveolar 1 – 2 meses de vida.

* Crecimiento pulmonar activo hasta 3 años de vida

 (multiplicación celular).

* Crecimiento en tamaño hasta 8 años de vida.

* Veinte millones de sacos aéreos al nacer y 300
millones de alvéolos a los 8 años.
Crecimiento y desarrollo pulmonar

1) El árbol bronquial se ha desarrollado a las 16 semanas
   de gestación.
2) La mayoría de los alvéolos se desarrollan después del
   nacimiento, aumentando en número y tamaño hasta los 8
   años.
3) El desarrollo de los vasos sanguíneos es en forma
   paralela a la vía aérea.
El pulmón de un niño no es el de un adulto pequeño...

Desarrollo pulmonar

  • 1.
  • 2.
    Funciones del SistemaRespiratorio • Intercambio de gases • Balance ácido-base • Fonación • Mecanismos de defensa pulmonar • Metabolismo pulmonar y la entrega de materiales bioactivos
  • 3.
    Crecimiento y desarrollopulmonar: a) Prenatal: • Embrionaria • Pseudoglandular • Canalicular • Saco terminal a) Postnatal: • Formación de alvéolos • Maduración de las estructuras • Producción y secreción de sustancias
  • 4.
    Prenatal (1) 1. Etapaembrionaria: • Primeras 5 semanas luego de la ovulación • Desarrollo pulmonar desde el divertículo ventral del intestino anterior • Brote pulmonar se ramifica partir de la 4ta semana 1. Etapa pseudoglandular: • 5-16 semanas de gestación • Ramificaciones del brote pulmonar: bronquios • Diferenciacion de cartílago, músculo, vasos sanguíneos, linfáticos, tejido conectivo
  • 12.
    Prenatal (2) 3) Etapacanalicular: * 16-24 semanas de gestación * Proliferación del mesénquima y desarrollo de vascularización *Acercamiento de epitelio respiratorio y capilares 4) Etapa saco terminal: * 6-9 meses de gestación * Mayor diferenciación de la porción respiratoria * Formación de sacos alveolares * Células epiteliales tipo I y II
  • 13.
    Canalicular • Diferenciación celulardel epitelio • Adelgazamiento del mesénquima, red capilar • Estructuras acinares • Aumento de la producción de surfactante • Intercambio de gases
  • 17.
    Sacular • Adelgazamiento del epitelio respiratorio. • Desarrollo de capilares terminales. • Maduración de células II. • Capilares en relación a células I. • Aumento de la capa muscular. • Septos alveolares: superficie de intercambio.
  • 18.
    1 Ciliated epithelium 2 Goblet cell 3 Gland 4 Cartilage 5 Smooth muscle cell 6 Clara cell 7 Capillary 8 Basal membrane 9 Surfactant 10 Type I pneumocyte 11 Alveolar septum 12 Type II pneumocyte
  • 27.
  • 28.
    Unidad alveolo-capilar • Lugardel intercambio • Número de alvéolos: 300 millones (adulto) • Número de capilares pulmonares: 280 billones • 1.000 capilares pulmonares / alvéolo • Amplia zona de contacto entre alvéolos y capilares: 50-100 m2 • Diámetro alveolar: 250 micras
  • 30.
    Superficie alveolar • Delgadacapa de epitelio escamoso: Células alveolares tipo I. Entre ellas se encuentran células cubitales: Células alveolares tipo II • Células tipo II / tipo I: 2:1 • Células tipo I cubren el 90-95% de la superficie • Tercer tipo celular: – macrófago fagocítico alveolar (número variable) – Brinda protección y seguridad frente a partículas: bacterias
  • 33.
    Desarrollo vascular • Laangiogénesis ocurre en el mesénquima • Árbol vascular crece junto al árbol bronquial • Capa muscular mas gruesa • Post-natal: – Aumento significativo – Adelgazamiento de pared muscular
  • 34.
    Función pulmonar prenatal: a)Líquido pulmonar fetal b) Surfactante c) Movimientos respiratorios intrauterinos
  • 36.
    Crecimiento Postnatal: * Desarrolloalveolar 1 – 2 meses de vida. * Crecimiento pulmonar activo hasta 3 años de vida (multiplicación celular). * Crecimiento en tamaño hasta 8 años de vida. * Veinte millones de sacos aéreos al nacer y 300 millones de alvéolos a los 8 años.
  • 38.
    Crecimiento y desarrollopulmonar 1) El árbol bronquial se ha desarrollado a las 16 semanas de gestación. 2) La mayoría de los alvéolos se desarrollan después del nacimiento, aumentando en número y tamaño hasta los 8 años. 3) El desarrollo de los vasos sanguíneos es en forma paralela a la vía aérea.
  • 40.
    El pulmón deun niño no es el de un adulto pequeño...