!




Estética Facial

              AAML
Principios de
          Estética
• La odontología estética se basa en
  leyes y técnicas, utilizando además
  el enfoque intuitivo.

• 1. Crear dientes agradables entre sí
  y los demás dientes, biológicamente
  integrados y en armonía con los
  tejidos gingivales

• 2. Producir una disposición dental
  armoniosa y agradable con los

    Kina, Brugera. Invisible - restauraciones estéticas cerámicas. Dental Press. 2008.
El concepto estético es muy personal, ya
que es un concepto cultural y como tal
variará   substancialmente   según    la
personalidad y educación de cada
individuo




           Brugera. Sobras, un mundo de color. Puesta al día. 2002.
• Existe una proporción, unidad y
  orden en las caras que se
  consideran agradables.

• Si la belleza es realmente el
  promedio, dentro de un modelo
  impuesto a nuestra mente por un
  mecanismo innato y universal que
  almacena y saca el promedio de las
  caras, debemos por lo tanto
  comprender ese “modelo promedio”
Proporción Aurea
 Leonardo de Pisa “Fibonacci”
           S. XIII

   0, 1, 1, 2, 3, 5, 8, 13, 21,
               54...




        φ    1. 618
Partenón 432 a. C.   Notre Dame 1163
S. Dalí
S. Dalí   Cartier Bresson
Máscara de Marquardt
1


1. 618
Factores de la
        Sonrisa
 • Estructuras de referencia
 • Proporción
 • Simetría
 • Perspectiva
Con base en sus patrones promedios
 podemos enfocar una imagen que
sirva de guía para nuestros trabajos
               clínicos

      Chiche, Pinault. Prótesis fija estética en dientes anteriores. Masson. 1998.
Análisis Facial
Antes de centrar la atención en los dientes,
 es necesario evaluar los elementos que
       forman la composición facial

  El examen frontal y lateral del paciente,
análisis de posición de ojos, nariz, barbilla
  y labios; permite la identificación de los
 puntos y de las líneas imprescindibles en
          la rehabilitación estética

         Fradeani. Rehabilitación estética en prostodoncia fija. Quintessence. 2006.
Visión frontal
         Líneas de referencia

 Ophriac o
interorbital
                                                                                            Interpupilar


Comisural


                                                                    Media



               Fradeani. Rehabilitación estética en prostodoncia fija. Quintessence. 2006.
Simetría y
               diversidad


                                         Límite para que sea
                                            evidente: 3 %




Fradeani. Rehabilitación estética en prostodoncia fija. Quintessence. 2006.
Fradeani. Rehabilitación estética en prostodoncia fija. Quintessence. 2006.
Fradeani. Rehabilitación estética en prostodoncia fija. Quintessence. 2006.
Fradeani. Rehabilitación estética en prostodoncia fija. Quintessence. 2006.
Disarmonía
     horizontal




Fradeani. Rehabilitación estética en prostodoncia fija. Quintessence. 2006.
Fradeani. Rehabilitación estética en prostodoncia fija. Quintessence. 2006.
Fradeani. Rehabilitación estética en prostodoncia fija. Quintessence. 2006.
Fradeani. Rehabilitación estética en prostodoncia fija. Quintessence. 2006.
Fradeani. Rehabilitación estética en prostodoncia fija. Quintessence. 2006.
Fradeani. Rehabilitación estética en prostodoncia fija. Quintessence. 2006.
Fradeani. Rehabilitación estética en prostodoncia fija. Quintessence. 2006.
Fradeani. Rehabilitación estética en prostodoncia fija. Quintessence. 2006.
Disarmonía vertical




  Fradeani. Rehabilitación estética en prostodoncia fija. Quintessence. 2006.
Nacimiento del cabello


        Interorbital


         Interalar


Extremo de la barbilla




               Fradeani. Rehabilitación estética en prostodoncia fija. Quintessence. 2006.
Fradeani. Rehabilitación estética en prostodoncia fija. Quintessence. 2006.
Fradeani. Rehabilitación estética en prostodoncia fija. Quintessence. 2006.
Fradeani. Rehabilitación estética en prostodoncia fija. Quintessence. 2006.
Situación
Situación inicial
                                                              final

   Fradeani. Rehabilitación estética en prostodoncia fija. Quintessence. 2006.
Fradeani. Rehabilitación estética en prostodoncia fija. Quintessence. 2006.
Visión Lateral




Fradeani. Rehabilitación estética en prostodoncia fija. Quintessence. 2006.
Perfil




Fradeani. Rehabilitación estética en prostodoncia fija. Quintessence. 2006.
Línea E




Fradeani. Rehabilitación estética en prostodoncia fija. Quintessence. 2006.
Ángulo nasolabial




                                          Mayor en mujeres
  Fradeani. Rehabilitación estética en prostodoncia fija. Quintessence. 2006.
Labios




Fradeani. Rehabilitación estética en prostodoncia fija. Quintessence. 2006.
Componentes de la Sonrisa
1.   Línea del labio
2.   Línea de la sonrisa
3.   Morfología dental
4.   Proporción dental
5.   Puntos de contacto
6.   Ángulos interincisales
7.   Troneras gingivales
8.   Contorno y morfología gingival
9.   Inclinación axial


      Kina, Brugera. Invisible - restauraciones estéticas cerámicas. Dental Press. 2008.
Línea del labio




Kina, Brugera. Invisible - restauraciones estéticas cerámicas. Dental Press. 2008.
Línea de la sonrisa




  Kina, Brugera. Invisible - restauraciones estéticas cerámicas. Dental Press. 2008.
Línea incisal
        superior




Kina, Brugera. Invisible - restauraciones estéticas cerámicas. Dental Press. 2008.
Paralela                                                     Invertida




 Kina, Brugera. Invisible - restauraciones estéticas cerámicas. Dental Press. 2008.
Magne, Belser. Restauraciones de porcelana adherida. Quintessence. 2004
Kina, Brugera. Invisible - restauraciones estéticas cerámicas. Dental Press. 2008.
Kina, Brugera. Invisible - restauraciones estéticas cerámicas. Dental Press. 2008.
Kina, Brugera. Invisible - restauraciones estéticas cerámicas. Dental Press. 2008.
Kina, Brugera. Invisible - restauraciones estéticas cerámicas. Dental Press. 2008.
Kina, Brugera. Invisible - restauraciones estéticas cerámicas. Dental Press. 2008.
Kina, Brugera. Invisible - restauraciones estéticas cerámicas. Dental Press. 2008.
Kina, Brugera. Invisible - restauraciones estéticas cerámicas. Dental Press. 2008.
Kina, Brugera. Invisible - restauraciones estéticas cerámicas. Dental Press. 2008.
Morfología dental




 Kina, Brugera. Invisible - restauraciones estéticas cerámicas. Dental Press. 2008.
Líneas de transición
      angular




   Magne, Belser. Restauraciones de porcelana adherida. Quintessence. 2004
Magne, Belser. Restauraciones de porcelana adherida. Quintessence. 2004
Proporción dental
Magne, Belser. Restauraciones de porcelana adherida. Quintessence. 2004
Altura :
                   X




Anchura : 80%
     X
Magne, Belser. Restauraciones de porcelana adherida. Quintessence. 2004
Magne, Belser. Restauraciones de porcelana adherida. Quintessence. 2004
Puntos de contacto




  Kina, Brugera. Invisible - restauraciones estéticas cerámicas. Dental Press. 2008.
Ángulos
  interincisales




Kina, Brugera. Invisible - restauraciones estéticas cerámicas. Dental Press. 2008.
Regla de la “V” invertida

Magne, Belser. Restauraciones de porcelana adherida. Quintessence. 2004
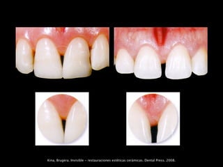
Troneras gingivales




  Kina, Brugera. Invisible - restauraciones estéticas cerámicas. Dental Press. 2008.
Kina, Brugera. Invisible - restauraciones estéticas cerámicas. Dental Press. 2008.
Distancia de la cresta
                                                       Presencia de papilas
   ósea al punto de
       contacto
igual o menor a 5 mm                                                     100%

               6 mm                                                       56%

igual o mayor a 7 mm                                                      27%




   Tarnow D., Magner A., Fletcher P. The effect of the distance from the contact point to the crest
   of bone on the presence or absence of the interproximal dental papilla. J Periodontol. 1992 Dec;
   63(12):995-6
Kina, Brugera. Invisible - restauraciones estéticas cerámicas. Dental Press. 2008.
Contorno y morfología
      gingival




               Salud Gingival

Magne, Belser. Restauraciones de porcelana adherida. Quintessence. 2004
Sinuoso                              Recto                                  Invertido



    Kina, Brugera. Invisible - restauraciones estéticas cerámicas. Dental Press. 2008.
Inclinación axial




Magne, Belser. Restauraciones de porcelana adherida. Quintessence. 2004
1.   Salud gingival                     8. Forma de los dientes
2.   Troneras gingivales                9. Caracterización del diente
3.   Ejes dentales                      10. Textura superficial
4.   Cenit del contorno gingival        11. Color
5.   Equilibrio entre los márgenes gingivales
                                        12. Configuración del borde incisal
6.   Nivel de contacto interdental      6. Línea del labio inferior
7.   Dimensiones relativas al diente    7. Simetría de la sonrisa

             Magne, Belser. Restauraciones de porcelana adherida. Quintessence. 2004
Bibliografía
• Fradeani. Rehabilitación estética en
  prostodoncia fija. Quintessence.
  2006.

• Kina, Brugera. Invisible -
  restauraciones estéticas cerámicas.
  Dental Press. 2008.

• Brugera. Sobras, un mundo de
  color. Puesta al día. 2002.

• Chiche, Pinault. Prótesis fija estética
  en dientes anteriores. Masson.

Estética facial