Elección terapéutica protésica en
     la rehabilitación oclusal



                    Bibliografía:
Tratamiento protético de la edentación total - P. Saizar
 Rehabilitación del desdentado parcial - C. Boucher
   Fundamentos de la Prótesis Fija - Schillinburg
La Prostodoncia estudia las
consecuencias de la pérdida de
   los órganos dentarios y su
 tratamiento mediante prótesis

 Prótesis: agregar una porción
artificial destinada a restaurar el
      órgano o parte ausente
PROSTODONCIA

     Glosario 1994 – Rama de la
    Odontología a la pertenece la
 resauración de las funciones orales,
    confort,apariencia y salud del
paciente, mediante la restauración de
    los dientes perdidos y tejidos
 contiguos con sustitutos artificiales
Introducción a la Prostodoncia


 Conocer los diversos recursos protéticos
      que dispone la odontología

Describir y manejar la oclusión protética en
       los diversos tipos de prótesis
Prótesis clínica y prótesis de
         laboratorio

  Odontólogo y laboratorista
La Prótesis en la Odontología

Su práctica y su prospectiva

Los cambios epidemiológicos

    Los cambios etarios
ANTE LOS CAMBIOS EN LA
ODONTOLOGÍA, LA PREVENCIÓN,
LOS CAMBIOS DE HÁBITOS EN LAS
     PERSONAS. LA MAYOR
 EXPECTATIVA DE VIDA DE LAS
      PIEZAS DENTARIAS.

   ¿Cuál es la prospectiva de la
         Prostodoncia?
Expectativa de vida en un siglo
aumentó de 43 a 75 años en países
industrializados. Los mayores de 60
años pasaron a ser del 5-6% al 15-18%
Las personas de 80 años van a
aumentar un 108% entre 1980 al 2020
En EEUU en 1975 el 21% usaba Prótesis y el 50 %
                con más de 60 años.
    En Europa en 1999 (Owall) hay un 20% de
desdentados, en Austria, Hungría, Suecia y Suiza,
    mientras que lo son entre un 60% y 70% en
 Dinamarca, Finlandia, Gran Bretaña y Holanda
 Se calcula que en EEUU en 1991 33.6 millones de
     personas requerían prótesis, en el 2020 lo
             requerirán 37.9 millones.
Conocer los diversos
recursos protéticos que
dispone la odontología
       Prótesis fija

Prótesis removible parcial

 Prótesis removible total

Prótesis implanto-asistida
SOPORTE es la propiedad de la
prótesis de trasmitir a los tejidos
    (mucosa-hueso y sistema
    periodontal) los esfuerzos
  funcionales sin alteraciones
   patológicas. Depende de los
propios tejidos y de la prótesis en
             si misma
RETENCIÓN es la capacidad de
 la prótesis de oponerse a las
fuerzas extrusivas que tienden a
  desvincularla de su asiento
ESTABILIDAD es la capacidad
de la prótesis de no ser desplazada
 en sentido lateral por las fuerzas
 de los tejidos de la cavidad oral
(mejillas, labios y lengua) y por la
         acción funcional
FIJACIÓN incluye las
           condiciones
     de soporte, retención y
     estabilidad y le permite
mantener un vínculo permanente
     con el terreno o volver
  inmediatamente a él frente a
 fuerzas que tienden a separarla
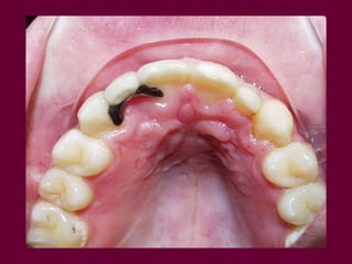
Feo
Feo
Feo
Feo
Feo
Feo
Feo
Feo

Feo

  • 1.
    Elección terapéutica protésicaen la rehabilitación oclusal Bibliografía: Tratamiento protético de la edentación total - P. Saizar Rehabilitación del desdentado parcial - C. Boucher Fundamentos de la Prótesis Fija - Schillinburg
  • 2.
    La Prostodoncia estudialas consecuencias de la pérdida de los órganos dentarios y su tratamiento mediante prótesis Prótesis: agregar una porción artificial destinada a restaurar el órgano o parte ausente
  • 3.
    PROSTODONCIA Glosario 1994 – Rama de la Odontología a la pertenece la resauración de las funciones orales, confort,apariencia y salud del paciente, mediante la restauración de los dientes perdidos y tejidos contiguos con sustitutos artificiales
  • 4.
    Introducción a laProstodoncia Conocer los diversos recursos protéticos que dispone la odontología Describir y manejar la oclusión protética en los diversos tipos de prótesis
  • 5.
    Prótesis clínica yprótesis de laboratorio Odontólogo y laboratorista
  • 6.
    La Prótesis enla Odontología Su práctica y su prospectiva Los cambios epidemiológicos Los cambios etarios
  • 7.
    ANTE LOS CAMBIOSEN LA ODONTOLOGÍA, LA PREVENCIÓN, LOS CAMBIOS DE HÁBITOS EN LAS PERSONAS. LA MAYOR EXPECTATIVA DE VIDA DE LAS PIEZAS DENTARIAS. ¿Cuál es la prospectiva de la Prostodoncia?
  • 8.
    Expectativa de vidaen un siglo aumentó de 43 a 75 años en países industrializados. Los mayores de 60 años pasaron a ser del 5-6% al 15-18% Las personas de 80 años van a aumentar un 108% entre 1980 al 2020
  • 9.
    En EEUU en1975 el 21% usaba Prótesis y el 50 % con más de 60 años. En Europa en 1999 (Owall) hay un 20% de desdentados, en Austria, Hungría, Suecia y Suiza, mientras que lo son entre un 60% y 70% en Dinamarca, Finlandia, Gran Bretaña y Holanda Se calcula que en EEUU en 1991 33.6 millones de personas requerían prótesis, en el 2020 lo requerirán 37.9 millones.
  • 10.
    Conocer los diversos recursosprotéticos que dispone la odontología Prótesis fija Prótesis removible parcial Prótesis removible total Prótesis implanto-asistida
  • 11.
    SOPORTE es lapropiedad de la prótesis de trasmitir a los tejidos (mucosa-hueso y sistema periodontal) los esfuerzos funcionales sin alteraciones patológicas. Depende de los propios tejidos y de la prótesis en si misma
  • 19.
    RETENCIÓN es lacapacidad de la prótesis de oponerse a las fuerzas extrusivas que tienden a desvincularla de su asiento
  • 20.
    ESTABILIDAD es lacapacidad de la prótesis de no ser desplazada en sentido lateral por las fuerzas de los tejidos de la cavidad oral (mejillas, labios y lengua) y por la acción funcional
  • 21.
    FIJACIÓN incluye las condiciones de soporte, retención y estabilidad y le permite mantener un vínculo permanente con el terreno o volver inmediatamente a él frente a fuerzas que tienden a separarla