Disciplina de la odontología relacionada con la rehabilitación de la función oral, con la comodidad, apariencia y salud, por medio de la restauración de los dientes naturales y el reemplazo de los dientes faltantes y de los tejidos orales y maxilofaciales contiguos por sustitutos artificiales
Rehabilitación oralTécnicas Restaurativas IDr. David Martínez Quintero
Introducción a la prótesisEl uso de dientes  artificiales como medio para restablecer la estética y la función fue durante mucho tiempo, una osadía con poco éxitoOdontología estética  y prótesis fija dentogingival. DarcymarMartins Da rosa
Prácticamente 700 años a.C., los dientes ya eran sustituidos, como demuestran hallazgos en tumbas etruscas. Los griegos y los fenicios fijaban dientes artificiales con alambre de oro en los dientes remanentes
PROSTODONCIAPrótesis Fija					 Prótesis Total yCoronas de Recubrimiento Parcial	 SobredentadurasCoronas de Recubrimiento TotalCarillasIncrustaciones Inlay  - OnlayRetenedores IntraradicularesPrótesis Parcial Removible			Prótesis MaxilofacialPrótesis Parcial Totalmente AcrílicoPrótesis Parcial Metal-AcrílicaIMPLANTES DE OSEOINTEGRACIÓN
La  PPR es conocida como “la prótesis que echa a perder los dientes” o “la que me tumbó los dientes”. Algunos estudios comprueban que cerca del 50% de las PPR realizadas no son utilizadas por los pacientes, porque ellos no se acostumbran con ellas.Esto resulta de la falta de planificación biomecánica correcta, de la falta de preparación de la boca para recibir la prótesis, y de la calidad técnica insuficiente. La planificación es obtenida por principios biológicos y mecánicos y muy buen criterio.
Disciplina de la odontología relacionada con la rehabilitación de la función oral, con la comodidad, apariencia y salud, por medio de la restauración de los dientes naturales y el reemplazo de los dientes faltantes y de los tejidos orales y maxilofaciales contiguos por sustitutos artificiales
Planificación del TratamientoEl éxito de los tratamientos de rehabilitación está directamente asociado a una planificación correcta y con criterio, que debe ser individualizada y ejecutada con el objeto de atender las necesidades de cada pacientePrótesis Fija. Luiz Fernando Pegoraro
Diagnóstico y Planificación MultidisciplinariaEl examen clínico y la historia clínica nos darán información sobre los factores locales y sistémicos que pueden tener gran influencia en la obtención de un pronóstico para el tratamiento propuesto
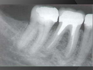
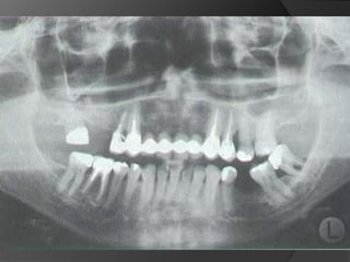
Diagnóstico y Planificación MultidisciplinariaHistoria ClínicaAnamnesisFotografía clínica Montaje modelos de estudioEncerados DiagnósticosEvaluación Radiográfica Radiografías PeriapicalesRadiografía PanorámicaEvaluación DentalEvaluación PeriodontalEvaluación EndodónticaEvaluación OclusalEvaluación Articular?
Prótesis FijaPrótesis FijaPrótesisFijaPrótesis FijaPrótesis FijaPrótesis FijaPrótesis FijaPrótesisFijaPrótesisFija
Es el arte y la ciencia de restaurar con metal, porcelana, metal-porcelana u otros materiales los dientes dañados y de reemplazar los que faltan mediante prótesis fijas o cementadas.El campo de la prótesis fija abarca desde la restauración de un único diente hasta la rehabilitación de toda la oclusión.
Un poquito de historiaEn 1710, en Sajonia, Buttger descubrió la porcelana, que en 1774 fue utilizada por primera vez.A partir de 1900, empieza su producción industrialDespués de la Segunda Guerra Mundial, se inició la era de la METALCERÁMICA
Inicio de los 80s, técnicas de porcelana puraCerestores y DicorHi-ceramOptec HSPMirage II, Empress IInceram
En 1993, surgió el sistema Procera (Tecnología Computarizada -  CADCAM)
fundamentos de oclusión en rehabilitación Conocimiento de las posiciones y movimientos mandibularesSelección de esquema oclusal que distribuya fuerzasDominio del articulador
POSICIONES MANDIBULARES:Relación céntricaMáxima Intercuspidación (MIC)Oclusión céntrica
MOVIMIENTOS:LateralidadFunción de GrupoGuía CaninaProtrusivaAcople AnteriorGuía AnteriorApertura
dimensión verticalDimensión vertical de reposoDimensión vertical de oclusión
oclusión mutuamente protegidaGuía anteriorGuía caninaSobremordida Horizontal y Vertical Coincidencia de la RC y la MICContactos parejos bilaterales posterioresAcople de dientes anterioresRelación oclusal del tipo cúspide/fosaSociedad Americana de Gnatología
fundamentos de periodoncia en prótesis fijaEl éxito de una prótesis no es medida solamente en el acto de la cementación, sino también a lo largo del tiempo, por estar integrada y en armonía con la estética, tejidos pulpares, tejidos periodontales, músculos y articulación temporomandibular.1
fundamentos de periodoncia en rehabilitaciónEs incuestionable que la salud del periodonto deba ser restablecida antes de cualquier tratamiento restauradorEl paciente es responsable en gran medida del mantenimiento de su salud bucal
fundamentos de periodoncia en prótesis fijaLímite cervical de las preparacionesTerminación supragingivalTerminación a nivel del margenTerminación intrasulcular o intracrevicularTerminación subgingival2
espesor biológico
espesor biológico
fundamentos de periodoncia en prótesis fijaAún en condiciones fisiológicas hay mecanismos de defensa activosSi hay una superficie de asentamiento diente – prótesis ……..?Límite aceptable clínicamente 80 micras (Streptococus = 0,5 micras)Error humano, inadecuado uso de materiales, preparaciones deficientes, malas impresiones, porosidad de los agentes cementantes, etc.
fundamentos de periodoncia en prótesis fijaCuando, por la evolución de lesiones de caries, fracturas, o necesidad de ganancia de retención mecánica en pilares muy cortos, el espacio biológico es violado, existe la necesidad de restablecer sus dimensiones, como una forma de recuperar la salud del periodonto y de facilitar los procedimientos protésicos
fundamentos de periodoncia en prótesis fijaCirugía de Alargamiento CoronalExtrusión OrtodónticaTécnica Combinada
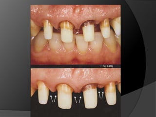
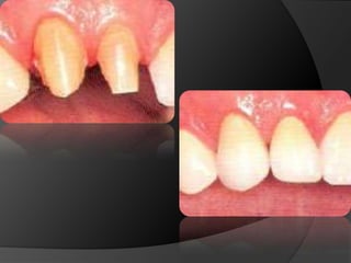
fundamentos de periodoncia en prótesis fijaContornos y Texturas de las RestauracionesEn cualquier restauración protésica, temporal o definitiva, el subcontorno y, principalmente, el sobrecontorno, deben ser evitados.3
El sobrecontorno, es un factor retentivo de placa. Las fibras circunferenciales de la encía marginal se desgarran y los tejidos gingivales buscan la migración apical
El subcontorno desencadena una hiperplasia gingival e induce a la impactación de alimentos en el surco gingival
furcas
punto de contacto interproximal
nichos interproximales
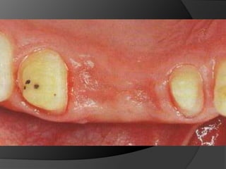
fundamentos de periodoncia en prótesis fijaFácil limpiezaEstéticoCómodoRestablezca la funciónPónticosA tener en cuenta:Grado de presión ejercida sobre el rebordeContorno proximalMorfología cervical4
TIPOS DE PÓNTICOSHIGIENICOSILLA DE MONTARMODIFICACIÓNFORMA DE BALA U OVALPICO DE FLAUTA PARA ANTERIORES
CONCLUSIONES SOBRE PÓNTICOSSuperficie gingival convexa
Espacios necesarios para control de placa
Contacto mínimo o nulo sobre el reborde
Superficies lisas y pulidas
Superficie oclusal restablecida igual a la que sustituyeFundamentos de Biomecánica en Prótesis Fija¿ Cómo la prótesis puede presentar longevidad satisfactoria si el diente preparado no presenta condiciones mecánicas para mantenerla en posición, si el desgaste fue exagerado y alteró la biología pulpar, si la terminación cervical fue llevada muy subgingivalmente y si la estética fue perjudicada debido a un desgaste inadecuado ?
PRINCIPIOS MECÁNICOSRetenciónResistencia o EstabilidadRigidez EstructuralIntegridad Marginal
Características que impidan el dislocamiento axial de la restauración cuando es sometida a fuerzas de tracciónRetención Friccional (Paralelismo)vs.Agente CementanteUbicación de Surcos de Retención
PRINCIPIOS MECÁNICOSRetenciónResistencia o EstabilidadRigidez EstructuralIntegridad Marginal
Para prevenir el dislocamiento de la restauración cuando es sometida a fuerzas oblicuas, que pueden provocar la rotación de la restauración
Magnitud y Dirección de la FuerzaRelación altura/ancho de la preparación
PRINCIPIOS MECÁNICOSRetenciónResistencia o EstabilidadRigidez EstructuralIntegridad Marginal
La preparación debe ser ejecutada de tal forma que la restauración presente un espesor suficiente para resistir las fuerzas masticatorias y no comprometer la estética y el tejido periodontal
PRINCIPIOS MECÁNICOSRetenciónResistencia o EstabilidadRigidez EstructuralIntegridad Marginal
El objetivo básico de toda restauración cementada es estar bien adaptada y con una línea mínima de cementoTipos de Terminación cervical
HOMBRO O ESCALÓN: Es un tipo de terminación donde la pared axial de la preparación forma un ángulo de aproximadamente 90º con la pared cervical	Indicación: Coronas de porcelana pura o M/P con terminación V en porcelana	Contra:  Exige mayor desgasteDificulta el escurrimiento del cemento
HOMBRO O ESCALON BISELADO: Es un tipo de terminación en la que se da la formación de un ángulo de aprox. 90º entre las paredes axial y cervical, con biselado de la arista cavo-superficial. Biselado de 45ºIndicación: Coronas M/P en aleación semi o preciosa	Se disminuye el desajuste marginalFresa: Troncocónica de punta plana
CHAFLÁN:  Es un tipo de terminación donde la unión entre la pared axial y la gingival es hecha por un segmento de círculo, que deberá presentar un espesor suficiente para acomodar el metal y la porcelana. 	Considerada como la idealIndicaciones:  Coronas M/P en aleaciones básicas Fresa: Troncocónica de punta redondeada
CHANFERETE: Es un tipo de terminación en que la unión entre la pared axial y la gingival son hechas por un segmento de círculo de pequeña dimensión, debiendo presentar espesor suficiente para el metalIndicación: Caras palatinas, linguales y linguoproximales. Coronas parcialesFresa: Troncocónica de punta redondeada
FILO DE CUCHILLO: Es un tipo de terminación en la cual se desgasta la mínima cantidad de tejido posible aprox. 0,5 a 1 mm.	Indicación: Coronas solo metálicasFresa: Interproximal o de punta aguda
PRINCIPIOS BIOLÓGICOSPulparesPeriodontales
La literatura ha demostrado que los dientes restaurados con coronas pueden sufrir daños pulpares, pues aproximadamente 1 a 2 millones de túbulos dentinales (30.000 a 40.000 túbulos por mm2 de dentina) son expuestos durante una preparación dental
Técnicas anestésicasCalor generadoCalidad de las fresas y de la turbinaCantidad de dentina remanenteProcedimientos de impresión y materialesGrado de Filtración Marginal
PRINCIPIOS BIOLÓGICOSPulparesPeriodontales
El análisis para seleccionar la ubicación de la línea de terminación se enfoca en 2 componentes:Estética vs HigieneExtensión mínima dentro del surco gingivalDisimular la zona de asentamientoFacilitar la higiene del pacienteNecesidad de aumentar la retención y estabilidadLínea de Sonrisa
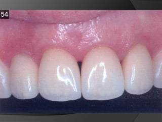
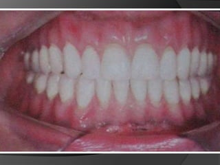
PRINCIPIOS ESTÉTICOSRestauraciones con forma, contorno y color adecuados
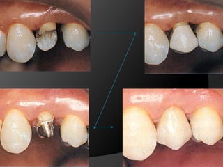
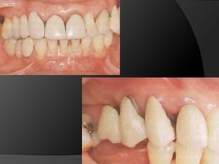
Planificación Del Tratamiento En Restauraciones UnitariasRestauraciones Intracoronarias
Cuando se cuenta con la suficiente estructura dentaria coronaria para retener y proteger una restauración bajo las fuerzas previstas de la masticaciónINTEGRIDAD ESTRUCTURAL
INLAY DE METAL: Restauraciones pequeñas o medianas con pocos requerimientos estéticos. El material de elección	 es el oro.  (OP – OMD)INLAY DE CERÁMICA: Estética y Adhesión a la estructura dentaria. (OP – OMD)
ONLAY MOD: Lesiones  moderadamente grandes en premolares y molares con superficie s vestibularesintactas. 	Si hay un reborde marginal comprometido es necesario el recubrimiento cuspídeo. No debe ser utilizado como retenedor de P.P.F.
Planificación Del Tratamiento En Restauraciones UnitariasRestauraciones Extracoronarias
Estructura coronaria insuficiente para retener la restauración dentro de la corona del dienteEstructura dentaria defectuosa o socavadaModificar los contornos para mejorar la oclusión o la estética
CORONA DE RECUBRIMIENTO PARCIAL: Corona de deja una o más superficies axiales sin cubrir. Proporciona retención moderada.
CORONA COMPLETA EN METAL: 	En dientes con múltiples superficies axiales defectuosas o destruidas. Proporciona la máxima retención.	La superficie oclusal	favorece  el chequeo oclusal
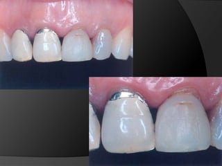
CORONA COMPLETA METAL-CERÁMICA: Iguales indicaciones que la metálica pero  estética
CORONA TOTALMENTE CERÁMICA: Combinación de recubrimiento completo y máxima estética. La eliminación de estructura dentaria es mayor.
CARILLAS EN CERÁMICA: Alternativa menos agresiva cuando lo que se busca es el cambio de color o de forma en la superficie vestibular
Corona de Recubrimiento Completo Restauraciones Intracoronales Metálicas (A) o cerámicas (B)Corona de Recubrimiento Parcial
ONLAYCARILLA
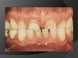
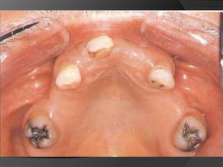
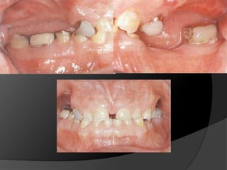
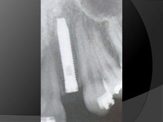
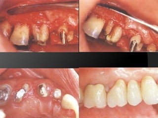
Planificación Del Tratamiento Para La Sustitución de Dientes Ausentes
Planificación Del Tratamiento Para La Sustitución de Dientes Ausentes
Planificación Del Tratamiento Para La Sustitución de Dientes Ausentes
Planificación Del Tratamiento Para La Sustitución de Dientes Ausentes
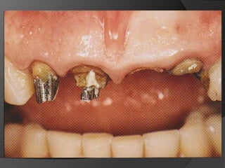
EVALUACIÓN DE PILARESProporción corona-raizConfiguración de la raízZona del Ligamento Periodontal (Ley de Ante)
Tylman: afirmó que dos dientes pilares son capaces de soportar dos póntIcos.Johnston y col.: LEY DE ANTELa superficie radicular de los dientes pilares, con soporte óseo periodontal, debe ser mayor o igual a la de los dientes a sustituir con pónticos
Los fracasos por fuerzas anormales se han imputado al efecto palanca y al torque, más que a la sobrecarga
CONSIDERACIONES BIOMECÁNICAS DE LAS PRÓTESIS FIJASCimbreo o Deflexión
CONSIDERACIONES BIOMECÁNICAS DE LAS PRÓTESIS FIJASCimbreo o Deflexión
Las fuerzas de desalojo  en una restauración simple actuarán en dirección vestíbulolingualLas fuerzas de desalojo sobre un P.P.Fija tienden a actuar  con una dirección mesiodistalv.s.Debido a las fuerzas aplicadas a los dientes pilares a través del póntico, las fuerzas sobre los colados que sirven como retenedores para P.P.F.  son diferentes en magnitud y dirección de las que se aplican a restauraciones simples
CONSIDERACIONES BIOMECÁNICAS DE LAS PRÓTESIS FIJASPilar Secundario
CONSIDERACIONES BIOMECÁNICAS DE LAS PRÓTESIS FIJASPónticos fuera del eje entre pilares
CONSIDERACIONES BIOMECÁNICAS DE LAS PRÓTESIS FIJASPilares intermedios
CONSIDERACIONES BIOMECÁNICAS DE LAS PRÓTESIS FIJASMolares inclinados
CONSIDERACIONES BIOMECÁNICAS DE LAS PRÓTESIS FIJASPrótesis Parciales Fijas en Cantilever
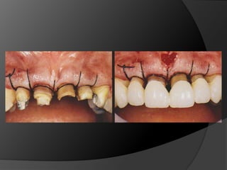
Preparaciones dentales en prótesis fija
EXISTEN TRES ASPECTOS DE PREPARACIÓN DENTAL FUNDAMENTALES EN EL ÉXITO DE LA  RESTAURACIÓN DEFINITIVA O FINALReducción OclusalReducción AxialReducción Interproximal
Reducción OclusalDebe tallarse suficiente tejido dental de la 	superficie oclusal de la preparación de tal 	manera que cuando la restauración se 	construya según la oclusión ideal,  tenga 	el grosor suficiente que prevenga su 	desgaste o su distorsión.
Reducción OclusalCorona en oro:     1,5 mm cúspide funcional				       1,0 mm cúspide no funcionalCorona en metales duros: 			       1,3 mm cúspìde funcionalCorona cerámica: 2,0 mm cúspide funcional				        1,5 mm cúspide no funcional
Si la superficie oclusal se hace plana, el metal en el área del surco de desarrollo será demasiado fino, con riesgo de perforación
Reducción AxialCuando la reducción axial es suficiente, las 	paredes de la restauración pueden tener 	un grosor satisfactorio sin sobrecontornos
Reducción InterproximalTodas las paredes del diente deben ser reducidas para asegurar el espesor adecuado del materialPor la anatomía dental, donde el punto de contacto  es en la zona más ancha, el desgaste proximal es más extenso.Especial cuidado con el diente contiguo durante la prepraración
Al preparar dientes se debe tener altísima precaución con la velocidad y torque de las piezas de alta y con la refrigeración  utilizada.El sobrecalentamiento puede producir inflamación pulparllegando hasta necrosis.En dientes desvitalizados, el tallado en seco debe evitarse, pues el estrés térmico causarámicrofracturasen esmalte
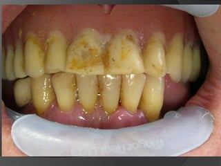
CORONAS DE RECUBRIMIENTO  COMPLETOEstá indicada cuando se necesita máxima protección dental y máxima retención
CORONAS DE RECUBRIMIENTO COMPLETOMetal Cerámica: Son una combinación de 	un material cerámico de recubrimiento y 	una subestructura metálicaEn los años 50s se desarrolló la primera aleación oro-porcelana comercialmente exitosa
CORONAS DE RECUBRIMIENTO COMPLETOMetal Cerámica: Capa delgada de porcelana opacaPorcelana de CuerpoPorcelana Translúcida
CORONAS DE RECUBRIMIENTO COMPLETOMetal Cerámica: Metal: Grosor de 0,3 mm a 0,5 mmCerámica: Grosor 1mm aprox.
CORONAS DE RECUBRIMIENTO COMPLETOCerámica:Coronas jacket de porcelana: Cerámica feldespáticaIncisal: 2mm de desgasteAxial Vestibular : 1 mm de desgasteLingual: 0,5 mm a 1 mm de desgaste
CORONAS DE RECUBRIMIENTO COMPLETOCerámica:Coronas coladas y/o inyectadas: Desgastes generalizados de 2 mm por todas las superficies
CORONAS DE RECUBRIMIENTO PARCIAL - ¾ SUPERIORESRestauración conservadoraPermiten evaluar con exactitud asentamiento de márgenesFácil escape del material cementanteLa pared no tallada sirve como guía de fabricación de contornosPermite pruebas de vitalidad pulparEstética en veremos
CORONAS DE RECUBRIMIENTO PARCIAL - ¾ SUPERIORESIndicaciones:Superficie vestibular intacta (Esmalte-Dentina)Porcentaje de caries mínimoDiente de longitud suficienteBuena higieneNecesidad estética baja o moderada
¾ INFERIOR
¾ ANTERIORESRequieren más  tiempo y destreza que para coronas completas y no son para todos los dientes ni para todos los pacientesIndicación: En puentes cortos con pilares relativamente libres de restauraciones y de caries. Contraindicado en sobremordidas profundas
¾ ANTERIORES
CORONAS DE RECUBRIMIENTO PARCIAL – 7/8Indicaciones:Dientes con cúspide MV intacta pero con restauracionesPrimeros molares superiores, con restauración extensa distal o distovestibularRetención y resistencia significativamente mayor que la corona 3/4
La reducción es de 1 mm en las cúspides no funcionales y en las funcionales de 1,5 mm
CORONAS DE RECUBRIMIENTO PARCIAL – Media Corona ProximalUn problema especialmente complejo es el de un molar inferior inclinado que va a ser pilar de prótesis fijaCuando el diente en perspectiva de ser pilar está inclinado hacia el espacio edéntulo, ya no es posible que su trayectoria de inserción sea a la vez paralela al eje longitudinal del diente y perpendicular al plano de oclusión
INCRUSTACIONES
INCRUSTACIONES INLAYCLASEI
INCRUSTACIONES INLAYCLASEII
INCRUSTACIONES INLAYCLASEIII
INCRUSTACIONES INLAYCLASEV
INCRUSTACIONES ONLAY
INCRUSTACIONES ONLAY
Introducción a la Prótesis Fija
Introducción a la Prótesis Fija

Introducción a la Prótesis Fija

  • 2.
    Disciplina de laodontología relacionada con la rehabilitación de la función oral, con la comodidad, apariencia y salud, por medio de la restauración de los dientes naturales y el reemplazo de los dientes faltantes y de los tejidos orales y maxilofaciales contiguos por sustitutos artificiales
  • 3.
    Rehabilitación oralTécnicas RestaurativasIDr. David Martínez Quintero
  • 4.
    Introducción a laprótesisEl uso de dientes artificiales como medio para restablecer la estética y la función fue durante mucho tiempo, una osadía con poco éxitoOdontología estética y prótesis fija dentogingival. DarcymarMartins Da rosa
  • 5.
    Prácticamente 700 añosa.C., los dientes ya eran sustituidos, como demuestran hallazgos en tumbas etruscas. Los griegos y los fenicios fijaban dientes artificiales con alambre de oro en los dientes remanentes
  • 6.
    PROSTODONCIAPrótesis Fija PrótesisTotal yCoronas de Recubrimiento Parcial SobredentadurasCoronas de Recubrimiento TotalCarillasIncrustaciones Inlay - OnlayRetenedores IntraradicularesPrótesis Parcial Removible Prótesis MaxilofacialPrótesis Parcial Totalmente AcrílicoPrótesis Parcial Metal-AcrílicaIMPLANTES DE OSEOINTEGRACIÓN
  • 14.
    La PPRes conocida como “la prótesis que echa a perder los dientes” o “la que me tumbó los dientes”. Algunos estudios comprueban que cerca del 50% de las PPR realizadas no son utilizadas por los pacientes, porque ellos no se acostumbran con ellas.Esto resulta de la falta de planificación biomecánica correcta, de la falta de preparación de la boca para recibir la prótesis, y de la calidad técnica insuficiente. La planificación es obtenida por principios biológicos y mecánicos y muy buen criterio.
  • 20.
    Disciplina de laodontología relacionada con la rehabilitación de la función oral, con la comodidad, apariencia y salud, por medio de la restauración de los dientes naturales y el reemplazo de los dientes faltantes y de los tejidos orales y maxilofaciales contiguos por sustitutos artificiales
  • 21.
    Planificación del TratamientoEléxito de los tratamientos de rehabilitación está directamente asociado a una planificación correcta y con criterio, que debe ser individualizada y ejecutada con el objeto de atender las necesidades de cada pacientePrótesis Fija. Luiz Fernando Pegoraro
  • 24.
    Diagnóstico y PlanificaciónMultidisciplinariaEl examen clínico y la historia clínica nos darán información sobre los factores locales y sistémicos que pueden tener gran influencia en la obtención de un pronóstico para el tratamiento propuesto
  • 25.
    Diagnóstico y PlanificaciónMultidisciplinariaHistoria ClínicaAnamnesisFotografía clínica Montaje modelos de estudioEncerados DiagnósticosEvaluación Radiográfica Radiografías PeriapicalesRadiografía PanorámicaEvaluación DentalEvaluación PeriodontalEvaluación EndodónticaEvaluación OclusalEvaluación Articular?
  • 35.
    Prótesis FijaPrótesis FijaPrótesisFijaPrótesisFijaPrótesis FijaPrótesis FijaPrótesis FijaPrótesisFijaPrótesisFija
  • 36.
    Es el artey la ciencia de restaurar con metal, porcelana, metal-porcelana u otros materiales los dientes dañados y de reemplazar los que faltan mediante prótesis fijas o cementadas.El campo de la prótesis fija abarca desde la restauración de un único diente hasta la rehabilitación de toda la oclusión.
  • 42.
    Un poquito dehistoriaEn 1710, en Sajonia, Buttger descubrió la porcelana, que en 1774 fue utilizada por primera vez.A partir de 1900, empieza su producción industrialDespués de la Segunda Guerra Mundial, se inició la era de la METALCERÁMICA
  • 43.
    Inicio de los80s, técnicas de porcelana puraCerestores y DicorHi-ceramOptec HSPMirage II, Empress IInceram
  • 44.
    En 1993, surgióel sistema Procera (Tecnología Computarizada - CADCAM)
  • 45.
    fundamentos de oclusiónen rehabilitación Conocimiento de las posiciones y movimientos mandibularesSelección de esquema oclusal que distribuya fuerzasDominio del articulador
  • 46.
    POSICIONES MANDIBULARES:Relación céntricaMáximaIntercuspidación (MIC)Oclusión céntrica
  • 48.
    MOVIMIENTOS:LateralidadFunción de GrupoGuíaCaninaProtrusivaAcople AnteriorGuía AnteriorApertura
  • 49.
    dimensión verticalDimensión verticalde reposoDimensión vertical de oclusión
  • 50.
    oclusión mutuamente protegidaGuíaanteriorGuía caninaSobremordida Horizontal y Vertical Coincidencia de la RC y la MICContactos parejos bilaterales posterioresAcople de dientes anterioresRelación oclusal del tipo cúspide/fosaSociedad Americana de Gnatología
  • 51.
    fundamentos de periodonciaen prótesis fijaEl éxito de una prótesis no es medida solamente en el acto de la cementación, sino también a lo largo del tiempo, por estar integrada y en armonía con la estética, tejidos pulpares, tejidos periodontales, músculos y articulación temporomandibular.1
  • 52.
    fundamentos de periodonciaen rehabilitaciónEs incuestionable que la salud del periodonto deba ser restablecida antes de cualquier tratamiento restauradorEl paciente es responsable en gran medida del mantenimiento de su salud bucal
  • 53.
    fundamentos de periodonciaen prótesis fijaLímite cervical de las preparacionesTerminación supragingivalTerminación a nivel del margenTerminación intrasulcular o intracrevicularTerminación subgingival2
  • 54.
  • 55.
  • 56.
    fundamentos de periodonciaen prótesis fijaAún en condiciones fisiológicas hay mecanismos de defensa activosSi hay una superficie de asentamiento diente – prótesis ……..?Límite aceptable clínicamente 80 micras (Streptococus = 0,5 micras)Error humano, inadecuado uso de materiales, preparaciones deficientes, malas impresiones, porosidad de los agentes cementantes, etc.
  • 61.
    fundamentos de periodonciaen prótesis fijaCuando, por la evolución de lesiones de caries, fracturas, o necesidad de ganancia de retención mecánica en pilares muy cortos, el espacio biológico es violado, existe la necesidad de restablecer sus dimensiones, como una forma de recuperar la salud del periodonto y de facilitar los procedimientos protésicos
  • 62.
    fundamentos de periodonciaen prótesis fijaCirugía de Alargamiento CoronalExtrusión OrtodónticaTécnica Combinada
  • 67.
    fundamentos de periodonciaen prótesis fijaContornos y Texturas de las RestauracionesEn cualquier restauración protésica, temporal o definitiva, el subcontorno y, principalmente, el sobrecontorno, deben ser evitados.3
  • 68.
    El sobrecontorno, esun factor retentivo de placa. Las fibras circunferenciales de la encía marginal se desgarran y los tejidos gingivales buscan la migración apical
  • 69.
    El subcontorno desencadenauna hiperplasia gingival e induce a la impactación de alimentos en el surco gingival
  • 71.
  • 72.
    punto de contactointerproximal
  • 73.
  • 75.
    fundamentos de periodonciaen prótesis fijaFácil limpiezaEstéticoCómodoRestablezca la funciónPónticosA tener en cuenta:Grado de presión ejercida sobre el rebordeContorno proximalMorfología cervical4
  • 77.
    TIPOS DE PÓNTICOSHIGIENICOSILLADE MONTARMODIFICACIÓNFORMA DE BALA U OVALPICO DE FLAUTA PARA ANTERIORES
  • 78.
  • 79.
    Espacios necesarios paracontrol de placa
  • 80.
    Contacto mínimo onulo sobre el reborde
  • 81.
  • 82.
    Superficie oclusal restablecidaigual a la que sustituyeFundamentos de Biomecánica en Prótesis Fija¿ Cómo la prótesis puede presentar longevidad satisfactoria si el diente preparado no presenta condiciones mecánicas para mantenerla en posición, si el desgaste fue exagerado y alteró la biología pulpar, si la terminación cervical fue llevada muy subgingivalmente y si la estética fue perjudicada debido a un desgaste inadecuado ?
  • 83.
    PRINCIPIOS MECÁNICOSRetenciónResistencia oEstabilidadRigidez EstructuralIntegridad Marginal
  • 84.
    Características que impidanel dislocamiento axial de la restauración cuando es sometida a fuerzas de tracciónRetención Friccional (Paralelismo)vs.Agente CementanteUbicación de Surcos de Retención
  • 88.
    PRINCIPIOS MECÁNICOSRetenciónResistencia oEstabilidadRigidez EstructuralIntegridad Marginal
  • 89.
    Para prevenir eldislocamiento de la restauración cuando es sometida a fuerzas oblicuas, que pueden provocar la rotación de la restauración
  • 90.
    Magnitud y Direcciónde la FuerzaRelación altura/ancho de la preparación
  • 92.
    PRINCIPIOS MECÁNICOSRetenciónResistencia oEstabilidadRigidez EstructuralIntegridad Marginal
  • 93.
    La preparación debeser ejecutada de tal forma que la restauración presente un espesor suficiente para resistir las fuerzas masticatorias y no comprometer la estética y el tejido periodontal
  • 94.
    PRINCIPIOS MECÁNICOSRetenciónResistencia oEstabilidadRigidez EstructuralIntegridad Marginal
  • 95.
    El objetivo básicode toda restauración cementada es estar bien adaptada y con una línea mínima de cementoTipos de Terminación cervical
  • 96.
    HOMBRO O ESCALÓN:Es un tipo de terminación donde la pared axial de la preparación forma un ángulo de aproximadamente 90º con la pared cervical Indicación: Coronas de porcelana pura o M/P con terminación V en porcelana Contra: Exige mayor desgasteDificulta el escurrimiento del cemento
  • 98.
    HOMBRO O ESCALONBISELADO: Es un tipo de terminación en la que se da la formación de un ángulo de aprox. 90º entre las paredes axial y cervical, con biselado de la arista cavo-superficial. Biselado de 45ºIndicación: Coronas M/P en aleación semi o preciosa Se disminuye el desajuste marginalFresa: Troncocónica de punta plana
  • 100.
    CHAFLÁN: Esun tipo de terminación donde la unión entre la pared axial y la gingival es hecha por un segmento de círculo, que deberá presentar un espesor suficiente para acomodar el metal y la porcelana. Considerada como la idealIndicaciones: Coronas M/P en aleaciones básicas Fresa: Troncocónica de punta redondeada
  • 103.
    CHANFERETE: Es untipo de terminación en que la unión entre la pared axial y la gingival son hechas por un segmento de círculo de pequeña dimensión, debiendo presentar espesor suficiente para el metalIndicación: Caras palatinas, linguales y linguoproximales. Coronas parcialesFresa: Troncocónica de punta redondeada
  • 105.
    FILO DE CUCHILLO:Es un tipo de terminación en la cual se desgasta la mínima cantidad de tejido posible aprox. 0,5 a 1 mm. Indicación: Coronas solo metálicasFresa: Interproximal o de punta aguda
  • 106.
  • 107.
    La literatura hademostrado que los dientes restaurados con coronas pueden sufrir daños pulpares, pues aproximadamente 1 a 2 millones de túbulos dentinales (30.000 a 40.000 túbulos por mm2 de dentina) son expuestos durante una preparación dental
  • 108.
    Técnicas anestésicasCalor generadoCalidadde las fresas y de la turbinaCantidad de dentina remanenteProcedimientos de impresión y materialesGrado de Filtración Marginal
  • 109.
  • 110.
    El análisis paraseleccionar la ubicación de la línea de terminación se enfoca en 2 componentes:Estética vs HigieneExtensión mínima dentro del surco gingivalDisimular la zona de asentamientoFacilitar la higiene del pacienteNecesidad de aumentar la retención y estabilidadLínea de Sonrisa
  • 111.
    PRINCIPIOS ESTÉTICOSRestauraciones conforma, contorno y color adecuados
  • 113.
    Planificación Del TratamientoEn Restauraciones UnitariasRestauraciones Intracoronarias
  • 114.
    Cuando se cuentacon la suficiente estructura dentaria coronaria para retener y proteger una restauración bajo las fuerzas previstas de la masticaciónINTEGRIDAD ESTRUCTURAL
  • 115.
    INLAY DE METAL:Restauraciones pequeñas o medianas con pocos requerimientos estéticos. El material de elección es el oro. (OP – OMD)INLAY DE CERÁMICA: Estética y Adhesión a la estructura dentaria. (OP – OMD)
  • 116.
    ONLAY MOD: Lesiones moderadamente grandes en premolares y molares con superficie s vestibularesintactas. Si hay un reborde marginal comprometido es necesario el recubrimiento cuspídeo. No debe ser utilizado como retenedor de P.P.F.
  • 117.
    Planificación Del TratamientoEn Restauraciones UnitariasRestauraciones Extracoronarias
  • 118.
    Estructura coronaria insuficientepara retener la restauración dentro de la corona del dienteEstructura dentaria defectuosa o socavadaModificar los contornos para mejorar la oclusión o la estética
  • 119.
    CORONA DE RECUBRIMIENTOPARCIAL: Corona de deja una o más superficies axiales sin cubrir. Proporciona retención moderada.
  • 120.
    CORONA COMPLETA ENMETAL: En dientes con múltiples superficies axiales defectuosas o destruidas. Proporciona la máxima retención. La superficie oclusal favorece el chequeo oclusal
  • 121.
    CORONA COMPLETA METAL-CERÁMICA:Iguales indicaciones que la metálica pero estética
  • 122.
    CORONA TOTALMENTE CERÁMICA:Combinación de recubrimiento completo y máxima estética. La eliminación de estructura dentaria es mayor.
  • 123.
    CARILLAS EN CERÁMICA:Alternativa menos agresiva cuando lo que se busca es el cambio de color o de forma en la superficie vestibular
  • 124.
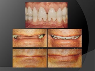
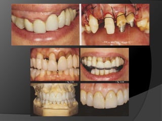
    Corona de RecubrimientoCompleto Restauraciones Intracoronales Metálicas (A) o cerámicas (B)Corona de Recubrimiento Parcial
  • 125.
  • 126.
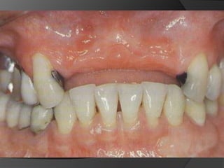
    Planificación Del TratamientoPara La Sustitución de Dientes Ausentes
  • 127.
    Planificación Del TratamientoPara La Sustitución de Dientes Ausentes
  • 128.
    Planificación Del TratamientoPara La Sustitución de Dientes Ausentes
  • 129.
    Planificación Del TratamientoPara La Sustitución de Dientes Ausentes
  • 130.
    EVALUACIÓN DE PILARESProporcióncorona-raizConfiguración de la raízZona del Ligamento Periodontal (Ley de Ante)
  • 135.
    Tylman: afirmó quedos dientes pilares son capaces de soportar dos póntIcos.Johnston y col.: LEY DE ANTELa superficie radicular de los dientes pilares, con soporte óseo periodontal, debe ser mayor o igual a la de los dientes a sustituir con pónticos
  • 139.
    Los fracasos porfuerzas anormales se han imputado al efecto palanca y al torque, más que a la sobrecarga
  • 140.
    CONSIDERACIONES BIOMECÁNICAS DELAS PRÓTESIS FIJASCimbreo o Deflexión
  • 141.
    CONSIDERACIONES BIOMECÁNICAS DELAS PRÓTESIS FIJASCimbreo o Deflexión
  • 142.
    Las fuerzas dedesalojo en una restauración simple actuarán en dirección vestíbulolingualLas fuerzas de desalojo sobre un P.P.Fija tienden a actuar con una dirección mesiodistalv.s.Debido a las fuerzas aplicadas a los dientes pilares a través del póntico, las fuerzas sobre los colados que sirven como retenedores para P.P.F. son diferentes en magnitud y dirección de las que se aplican a restauraciones simples
  • 143.
    CONSIDERACIONES BIOMECÁNICAS DELAS PRÓTESIS FIJASPilar Secundario
  • 144.
    CONSIDERACIONES BIOMECÁNICAS DELAS PRÓTESIS FIJASPónticos fuera del eje entre pilares
  • 145.
    CONSIDERACIONES BIOMECÁNICAS DELAS PRÓTESIS FIJASPilares intermedios
  • 148.
    CONSIDERACIONES BIOMECÁNICAS DELAS PRÓTESIS FIJASMolares inclinados
  • 149.
    CONSIDERACIONES BIOMECÁNICAS DELAS PRÓTESIS FIJASPrótesis Parciales Fijas en Cantilever
  • 182.
  • 183.
    EXISTEN TRES ASPECTOSDE PREPARACIÓN DENTAL FUNDAMENTALES EN EL ÉXITO DE LA RESTAURACIÓN DEFINITIVA O FINALReducción OclusalReducción AxialReducción Interproximal
  • 186.
    Reducción OclusalDebe tallarsesuficiente tejido dental de la superficie oclusal de la preparación de tal manera que cuando la restauración se construya según la oclusión ideal, tenga el grosor suficiente que prevenga su desgaste o su distorsión.
  • 187.
    Reducción OclusalCorona enoro: 1,5 mm cúspide funcional 1,0 mm cúspide no funcionalCorona en metales duros: 1,3 mm cúspìde funcionalCorona cerámica: 2,0 mm cúspide funcional 1,5 mm cúspide no funcional
  • 189.
    Si la superficieoclusal se hace plana, el metal en el área del surco de desarrollo será demasiado fino, con riesgo de perforación
  • 192.
    Reducción AxialCuando lareducción axial es suficiente, las paredes de la restauración pueden tener un grosor satisfactorio sin sobrecontornos
  • 194.
    Reducción InterproximalTodas lasparedes del diente deben ser reducidas para asegurar el espesor adecuado del materialPor la anatomía dental, donde el punto de contacto es en la zona más ancha, el desgaste proximal es más extenso.Especial cuidado con el diente contiguo durante la prepraración
  • 195.
    Al preparar dientesse debe tener altísima precaución con la velocidad y torque de las piezas de alta y con la refrigeración utilizada.El sobrecalentamiento puede producir inflamación pulparllegando hasta necrosis.En dientes desvitalizados, el tallado en seco debe evitarse, pues el estrés térmico causarámicrofracturasen esmalte
  • 198.
    CORONAS DE RECUBRIMIENTO COMPLETOEstá indicada cuando se necesita máxima protección dental y máxima retención
  • 219.
    CORONAS DE RECUBRIMIENTOCOMPLETOMetal Cerámica: Son una combinación de un material cerámico de recubrimiento y una subestructura metálicaEn los años 50s se desarrolló la primera aleación oro-porcelana comercialmente exitosa
  • 220.
    CORONAS DE RECUBRIMIENTOCOMPLETOMetal Cerámica: Capa delgada de porcelana opacaPorcelana de CuerpoPorcelana Translúcida
  • 221.
    CORONAS DE RECUBRIMIENTOCOMPLETOMetal Cerámica: Metal: Grosor de 0,3 mm a 0,5 mmCerámica: Grosor 1mm aprox.
  • 231.
    CORONAS DE RECUBRIMIENTOCOMPLETOCerámica:Coronas jacket de porcelana: Cerámica feldespáticaIncisal: 2mm de desgasteAxial Vestibular : 1 mm de desgasteLingual: 0,5 mm a 1 mm de desgaste
  • 233.
    CORONAS DE RECUBRIMIENTOCOMPLETOCerámica:Coronas coladas y/o inyectadas: Desgastes generalizados de 2 mm por todas las superficies
  • 236.
    CORONAS DE RECUBRIMIENTOPARCIAL - ¾ SUPERIORESRestauración conservadoraPermiten evaluar con exactitud asentamiento de márgenesFácil escape del material cementanteLa pared no tallada sirve como guía de fabricación de contornosPermite pruebas de vitalidad pulparEstética en veremos
  • 237.
    CORONAS DE RECUBRIMIENTOPARCIAL - ¾ SUPERIORESIndicaciones:Superficie vestibular intacta (Esmalte-Dentina)Porcentaje de caries mínimoDiente de longitud suficienteBuena higieneNecesidad estética baja o moderada
  • 247.
  • 253.
    ¾ ANTERIORESRequieren más tiempo y destreza que para coronas completas y no son para todos los dientes ni para todos los pacientesIndicación: En puentes cortos con pilares relativamente libres de restauraciones y de caries. Contraindicado en sobremordidas profundas
  • 254.
  • 255.
    CORONAS DE RECUBRIMIENTOPARCIAL – 7/8Indicaciones:Dientes con cúspide MV intacta pero con restauracionesPrimeros molares superiores, con restauración extensa distal o distovestibularRetención y resistencia significativamente mayor que la corona 3/4
  • 256.
    La reducción esde 1 mm en las cúspides no funcionales y en las funcionales de 1,5 mm
  • 262.
    CORONAS DE RECUBRIMIENTOPARCIAL – Media Corona ProximalUn problema especialmente complejo es el de un molar inferior inclinado que va a ser pilar de prótesis fijaCuando el diente en perspectiva de ser pilar está inclinado hacia el espacio edéntulo, ya no es posible que su trayectoria de inserción sea a la vez paralela al eje longitudinal del diente y perpendicular al plano de oclusión
  • 266.
  • 268.
  • 270.
  • 272.
  • 273.
  • 274.
  • 275.