ENOSTOSIS
Torus y Exostosis
• Protuberancias óseas de crecimiento lento y
  limitado. La mucosa oral que lo recubre se
  mantiene intacta.
• Torus palatino: en la línea media del paladar
  duro.
• Torus mandibular: en la superficie lingual de la
  región de premolar inferior, es bilateral en el
  80% de los casos
• Exostosis: en la superficie vestibular (tabla osea
  vestibular de ambos maxilares) de la región de
  premolares y molares
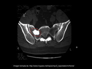
Enostosis
• Definición: Crecimiento localizado de hueso
  compacto que se extienden desde la superficie
  interna de las corticales hacia el hueso medular.
• Es la contraparte interna de la exostosis
Enostosis
• Se consideran variantes anatómicas
• El origen es desconocido
• Las enostosis no es única de los maxilares
  puede ocurrir en cualquier parte del esqueleto
  como:
  – Vértebras
  – Huesos ilíaco
  – Fémur
  – Huesos de la mano, etc
Imágenes tomadas de: http://sprojects.mmi.mcgill.ca/icmcradiology/radimg/32-01D.jpg y
http://emedicine.medscape.com/article/387758-overview
Imagen tomada de: http://www.mypacs.net/repos/mpv3_repo/static/m/Home/
Enostosis - Sinonimos
• Cuando se produce en el proceso alveolar
  puede recibir muchos sinonimos como:
  – Isla de hueso denso.
  – Osteoesclerosis idiopática
  – Osteoesclerosis focal
  – Osteopetrosis periapical focal
  – Eburnación ósea
  – Hueso esclerótico
  – Cicatriz ósea, etc
Enostosis
• El origen es de índole desconocido aunque
  algunos refieren que puede asociarse a un
  exceso de estrés oclusal.


• Generalmente el termino idiopático es usado
  cuando se desconoce el origen, de allí que el
  sinónimo mas usado es “Osteoesclerosis
  Idiopática”
Exostosis


      Características Clínicas
• No predilección por genero
• La mucosa que las recubre lisa y brillante
  y de un color igual al resto de la boca o
  ligeramente más pálidas.
• Son asintomáticos.
• Se descubren en las radiografías cuando
  fueron tomadas por cualquier otra razón
  (hallazgo radiográfico).
• El tratamiento no es necesario
Enostosis


  Características Radiograficas
• Densidad: radiopaca uniforme o de vidrio
  esmerilado
• Limites y Bordes: definidos y no corticalizados,
  no existen areas radiolucidas circundantes
• Tamaño: variable (usualmente de 0,5 a 2 cm)
• Forma: redondeada, ovalada o irregular
• Localizacion: Generalmente en zona de
  pirmeras molares inferiores (80% aprox.)
• Puede estar asociado a la raiz de los dientes o
  estar totalmente separada.
Densidad: radiopaca
                                                                 uniforme




Imágenes tomadas de: http://www.medcyclopaedia.com y http://www.library.vcu.edu/pdfgif/tml/oralpathology/55-
osteosclerosis.jpg
Localización
   interradicular




Imágenes tomadas de: http://pacificdds2009.com/index.html
Localizado en
                                          área edéntula




Imágenes tomadas de: http://pacificdds2009.com/index.html
Tamaño
                                                    variable




Imágenes tomadas de: http://student.ahc.umn.edu/dental/
Enostosis


 Características Radiográficas
• El 80% se encuentra asociado a la lamina
dura o a las tablas óseas.
• No reabsorbe raíces, salvo raros casos
reportados
• No produce expansión de tablas óseas ni
desplazamiento del conducto dentario
inferior
Asociado a la
lamina dura.




            Imagen tomada de: http://student.ahc.umn.edu/dental/
Asociado a la
lamina dura.




    Imagen tomada de: http://books.google.com.pe/books?id=O8BHQTIFSY8C&pg=PA384&dq=enostosis&ei=1p-
    MSvjJBKr8ygSOjOmfBw#v=onepage&q=enostosis&f=true
Puede estar
asociado a la raiz
de los dientes
              Imagen tomada de: http://student.ahc.umn.edu/dental/
No produce expansión de tablas
                                 óseas ni desplazamiento del
                                 conducto dentario inferior
Imagen tomada de:
http://www.kaomfr.org/eng/upload/Nega_bd_case_case1_62.jpg
Enostosis


    Características Histológicas
•   Histológicamente hay hueso laminar denso
•   No hay infiltración de células inflamatorias
•   No existen espacios medulares.
•   Debido a que histologicamente presenta las
    mismas caracteristicas del osteoma algunos
    autores la consideran como la misma entidad
Enostosis

    Diagnósticos Diferenciales
• Es importante distinguirla de otras
  entidades como:
  – Displasia cementaria periapical
  – Sialolitos submandibulares (superposición)
  – Torus
  – Exostosis
  – Osteomas
  – Odontomas
  – Osteitis condensante (origen inflamatorio)
Enostosis

Enostosis

  • 1.
  • 2.
    Torus y Exostosis •Protuberancias óseas de crecimiento lento y limitado. La mucosa oral que lo recubre se mantiene intacta. • Torus palatino: en la línea media del paladar duro. • Torus mandibular: en la superficie lingual de la región de premolar inferior, es bilateral en el 80% de los casos • Exostosis: en la superficie vestibular (tabla osea vestibular de ambos maxilares) de la región de premolares y molares
  • 3.
    Enostosis • Definición: Crecimientolocalizado de hueso compacto que se extienden desde la superficie interna de las corticales hacia el hueso medular. • Es la contraparte interna de la exostosis
  • 4.
    Enostosis • Se consideranvariantes anatómicas • El origen es desconocido • Las enostosis no es única de los maxilares puede ocurrir en cualquier parte del esqueleto como: – Vértebras – Huesos ilíaco – Fémur – Huesos de la mano, etc
  • 5.
    Imágenes tomadas de:http://sprojects.mmi.mcgill.ca/icmcradiology/radimg/32-01D.jpg y http://emedicine.medscape.com/article/387758-overview
  • 6.
    Imagen tomada de:http://www.mypacs.net/repos/mpv3_repo/static/m/Home/
  • 7.
    Enostosis - Sinonimos •Cuando se produce en el proceso alveolar puede recibir muchos sinonimos como: – Isla de hueso denso. – Osteoesclerosis idiopática – Osteoesclerosis focal – Osteopetrosis periapical focal – Eburnación ósea – Hueso esclerótico – Cicatriz ósea, etc
  • 8.
    Enostosis • El origenes de índole desconocido aunque algunos refieren que puede asociarse a un exceso de estrés oclusal. • Generalmente el termino idiopático es usado cuando se desconoce el origen, de allí que el sinónimo mas usado es “Osteoesclerosis Idiopática”
  • 9.
    Exostosis Características Clínicas • No predilección por genero • La mucosa que las recubre lisa y brillante y de un color igual al resto de la boca o ligeramente más pálidas. • Son asintomáticos. • Se descubren en las radiografías cuando fueron tomadas por cualquier otra razón (hallazgo radiográfico). • El tratamiento no es necesario
  • 10.
    Enostosis CaracterísticasRadiograficas • Densidad: radiopaca uniforme o de vidrio esmerilado • Limites y Bordes: definidos y no corticalizados, no existen areas radiolucidas circundantes • Tamaño: variable (usualmente de 0,5 a 2 cm) • Forma: redondeada, ovalada o irregular • Localizacion: Generalmente en zona de pirmeras molares inferiores (80% aprox.) • Puede estar asociado a la raiz de los dientes o estar totalmente separada.
  • 11.
    Densidad: radiopaca uniforme Imágenes tomadas de: http://www.medcyclopaedia.com y http://www.library.vcu.edu/pdfgif/tml/oralpathology/55- osteosclerosis.jpg
  • 12.
    Localización interradicular Imágenes tomadas de: http://pacificdds2009.com/index.html
  • 13.
    Localizado en área edéntula Imágenes tomadas de: http://pacificdds2009.com/index.html
  • 14.
    Tamaño variable Imágenes tomadas de: http://student.ahc.umn.edu/dental/
  • 15.
    Enostosis Características Radiográficas •El 80% se encuentra asociado a la lamina dura o a las tablas óseas. • No reabsorbe raíces, salvo raros casos reportados • No produce expansión de tablas óseas ni desplazamiento del conducto dentario inferior
  • 16.
    Asociado a la laminadura. Imagen tomada de: http://student.ahc.umn.edu/dental/
  • 17.
    Asociado a la laminadura. Imagen tomada de: http://books.google.com.pe/books?id=O8BHQTIFSY8C&pg=PA384&dq=enostosis&ei=1p- MSvjJBKr8ygSOjOmfBw#v=onepage&q=enostosis&f=true
  • 18.
    Puede estar asociado ala raiz de los dientes Imagen tomada de: http://student.ahc.umn.edu/dental/
  • 19.
    No produce expansiónde tablas óseas ni desplazamiento del conducto dentario inferior Imagen tomada de: http://www.kaomfr.org/eng/upload/Nega_bd_case_case1_62.jpg
  • 20.
    Enostosis Características Histológicas • Histológicamente hay hueso laminar denso • No hay infiltración de células inflamatorias • No existen espacios medulares. • Debido a que histologicamente presenta las mismas caracteristicas del osteoma algunos autores la consideran como la misma entidad
  • 21.
    Enostosis Diagnósticos Diferenciales • Es importante distinguirla de otras entidades como: – Displasia cementaria periapical – Sialolitos submandibulares (superposición) – Torus – Exostosis – Osteomas – Odontomas – Osteitis condensante (origen inflamatorio)