Hígado
• Glándula mayor
• Viscera de mayor volumen
• 1500 gr
• Hipocondrio derecho y parte del
hipocondrio Izquierdo
• Revestido por la capsula de
Glisson.
• Peritoneo (epiplón menor)
Generalidades
División:
• Lobulos:
• Izquierdo y derecho
• Cuadrado y caudado
• Segmentos:
• Irrigacion y drenaje
linfatico.
Fisiologia.
• Proteinas plasmáticas:
• Albumina, lipoproteínas, glucoporteinas, globulinas,
protombina y fibrinógeno
• Vitaminas A, D, K.
• Almacenamiento y metabolismo de Fe.
• Degradacion de fármacos y toxinas. (Fase 1 oxidación. Fase 2
conjugación.
• Metabolismo de carbohidratos: glucogenesis y glucogenolosis.
• Metabolismo de colesterol, lípidos.
• Función Exocrina:
• Bilis y sales biliares
• Conversiones metabólicas
• Absorcion intestinal
• Función endocrina:
• Conversion de vit. D, tiroxina, GH,
insulina y glucagón.
Irrigacion
Arteria
hepatica
25%
Vena porta
75%
• Vena porta hepatica: Sust. Nutritivas
• Arteria hepatica: sangre arterial
• Sinusioides. Triada portal.
Organización estructural
• Parénquima: cordones de hepatocitos.
• Estroma de Tejido Conjuntivo: Capsula
de Glisson, vasos, nervios
• Sinusoides. (células de Kupffer)
• Espacios perisinusoidales (Disse).
(células de ito= esteres de retinol,
miofibroblastos)
El lobulillo clásico manera tradicional de describri el parénquima hepático y es el mas fácil de visualizar.
Lobulillo
hepático clásico.
• Forma mas o menos hexagonal
• Cordones de Hepatocitos. (teñidos)
• Sinusoides excéntricos (espacios de
Kiernan)
• Venula hepatica terminal
• Espacio de Mall (entre los
hepatocitos y el espacio portal.
ZONA 1. Triada
portal y eje
menor.
ZONA 2. 1 - 3
ZONA 3. lejana.
Y cercana a la
vena central
La división en zonas es importante en la descripción de patrones de degeneracion,
regeneración y efectos toxicos en los hepatocitos en relación con el grado o calidad de
perfusión vascular.
Vasos sanguíneos del parénquima.
Sinusoides
• Fenestraciones grandes.
• Brechas amplias
• Celulas de Kupffer
• Espacios de Disse.
Vasos linfáticos.
• Tienen su origen en el espacio
persinusoidal.
• Drena al espacio periportal (espacio de
Mall)
• A capilares linfaticos en la triada portal
• 80 % drena al conducto toracico.
Hepatocitos.
• Celulas poligonales fomrando 80 % de la
población celular.
• Nucleos grandes, esfericos y centrales.
• Tetrapoides. (doble del material genético)
• Vida media de 5 meses.
• Capacidad de regeneración considerable.
• Forma poliédrica. (6 superficies)
• Golgi, REL, peroxisomas y lisosomas,
mitocondrias
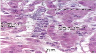
VIAS BILIARES
• Conductos transportadores de bilis
• De menor a mayor
• Canaliculos biliares: alrededor de los
hepatocitos
• conductos de Hering
• Confluencia en conductillos biliares
Drenaje centrifugo al espacio portal.
• Conductos interlobulillares
• Conductos hepatitos derecho e
izquierdo
• Hepatico común: 3 cms longitud.
• Union al conducto cístico: colédoco.
• Nosotros producimos 1 lt de
Bilis por dia
• Glucoronido de bilirrubina (Hg)
• Ictericia
• Ampula de váter /esfínter de
oddi.
• Sales biliares reabsorbidas 90%
• Colesterol, electrolitos.
• Estimulada por CCK, gastrina y
motilina.
VESICULA BILIAR
• Saco distendible
• 50 ml
• Concentra y almacena bilis
• Cuerpo, cuello, cístico.
• Mucosa: pliegues.
• Ep. Simple cilindrico.
• Microvellosidades,
• Complejos de unión
• Similares a los enterocitos
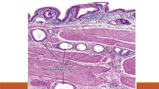
• senos de Rokitansky-Aschoff,
• Muscular externa
• Tejido conjuntivo denso
• Adventicia y serosa.
Higado.pptx
Higado.pptx

Higado.pptx

  • 1.
  • 2.
    • Glándula mayor •Viscera de mayor volumen • 1500 gr • Hipocondrio derecho y parte del hipocondrio Izquierdo • Revestido por la capsula de Glisson. • Peritoneo (epiplón menor) Generalidades
  • 3.
    División: • Lobulos: • Izquierdoy derecho • Cuadrado y caudado • Segmentos: • Irrigacion y drenaje linfatico.
  • 4.
    Fisiologia. • Proteinas plasmáticas: •Albumina, lipoproteínas, glucoporteinas, globulinas, protombina y fibrinógeno • Vitaminas A, D, K. • Almacenamiento y metabolismo de Fe. • Degradacion de fármacos y toxinas. (Fase 1 oxidación. Fase 2 conjugación. • Metabolismo de carbohidratos: glucogenesis y glucogenolosis. • Metabolismo de colesterol, lípidos.
  • 5.
    • Función Exocrina: •Bilis y sales biliares • Conversiones metabólicas • Absorcion intestinal • Función endocrina: • Conversion de vit. D, tiroxina, GH, insulina y glucagón.
  • 6.
    Irrigacion Arteria hepatica 25% Vena porta 75% • Venaporta hepatica: Sust. Nutritivas • Arteria hepatica: sangre arterial • Sinusioides. Triada portal.
  • 7.
    Organización estructural • Parénquima:cordones de hepatocitos. • Estroma de Tejido Conjuntivo: Capsula de Glisson, vasos, nervios • Sinusoides. (células de Kupffer) • Espacios perisinusoidales (Disse). (células de ito= esteres de retinol, miofibroblastos)
  • 9.
    El lobulillo clásicomanera tradicional de describri el parénquima hepático y es el mas fácil de visualizar.
  • 10.
    Lobulillo hepático clásico. • Formamas o menos hexagonal • Cordones de Hepatocitos. (teñidos) • Sinusoides excéntricos (espacios de Kiernan) • Venula hepatica terminal • Espacio de Mall (entre los hepatocitos y el espacio portal.
  • 11.
    ZONA 1. Triada portaly eje menor. ZONA 2. 1 - 3 ZONA 3. lejana. Y cercana a la vena central La división en zonas es importante en la descripción de patrones de degeneracion, regeneración y efectos toxicos en los hepatocitos en relación con el grado o calidad de perfusión vascular.
  • 12.
  • 13.
    Sinusoides • Fenestraciones grandes. •Brechas amplias • Celulas de Kupffer • Espacios de Disse.
  • 15.
    Vasos linfáticos. • Tienensu origen en el espacio persinusoidal. • Drena al espacio periportal (espacio de Mall) • A capilares linfaticos en la triada portal • 80 % drena al conducto toracico.
  • 16.
    Hepatocitos. • Celulas poligonalesfomrando 80 % de la población celular. • Nucleos grandes, esfericos y centrales. • Tetrapoides. (doble del material genético) • Vida media de 5 meses. • Capacidad de regeneración considerable. • Forma poliédrica. (6 superficies) • Golgi, REL, peroxisomas y lisosomas, mitocondrias
  • 19.
  • 20.
    • Conductos transportadoresde bilis • De menor a mayor • Canaliculos biliares: alrededor de los hepatocitos • conductos de Hering • Confluencia en conductillos biliares Drenaje centrifugo al espacio portal. • Conductos interlobulillares • Conductos hepatitos derecho e izquierdo • Hepatico común: 3 cms longitud. • Union al conducto cístico: colédoco.
  • 23.
    • Nosotros producimos1 lt de Bilis por dia • Glucoronido de bilirrubina (Hg) • Ictericia • Ampula de váter /esfínter de oddi. • Sales biliares reabsorbidas 90% • Colesterol, electrolitos. • Estimulada por CCK, gastrina y motilina.
  • 24.
    VESICULA BILIAR • Sacodistendible • 50 ml • Concentra y almacena bilis • Cuerpo, cuello, cístico. • Mucosa: pliegues. • Ep. Simple cilindrico. • Microvellosidades, • Complejos de unión • Similares a los enterocitos • senos de Rokitansky-Aschoff, • Muscular externa • Tejido conjuntivo denso • Adventicia y serosa.

Notas del editor

  • #8 Celulas de kupfer devirna de los monocitos por lo anto son mononucleares. Espacio de disse. Espacio de intercambio de materiales entre la sanfre y los hepatocitos. Celulas de ito almacen de vit. A donde la la inflamación cronico o cirrosis nos puede causar perdida del almacenamiento
  • #10 Agregare aquí el lobulillo portal el cual enfatiza la funcion exocrina del hígado es decir, la secreción de bilis. Su eje morfologico constituye el conducto biliar de la triada portal. Sus bordes se trazan por desde tres venas centrales. Foramando mas o menos un triangulo.
  • #11 S. excencentricos, a cada angulo encontraremos los espacios de kiernan donde se encontrara la triada portal.
  • #12 Acino hepático. Forma de rombo. Unidad funcional mas pequeña del parénquima hepático. El eje mayor del acino entre las 2 venas centrales.
  • #17 200 y 300 peroxisomas 50 unidades del Golgi (dictiosomas) 800 o 1000 mitocondrias
  • #21 Estan formadas por una serie de condictos. Bilis o sales biliares froamdos por los heaptocitos Conducto de Hering revestido por hepatocitos y colangiocitos Conductos biliares: revestidos de colangiocitos
  • #25 senos de Rokitansky-Aschoff, puede ser por alteraciones patológicas como hiperplasia. Los haces musculares lisos están orientados de algún modo aleatorio, a diferencia de la organización en capas el intestino. El tejido conjuntivo denso:contiene vasos sanguíneos de gran calibre, una red linfática extensa y nervios autónomos que inervan la muscular externa
  • #27 En la mucosa y se puede extender en la capa muscular externa. Como presagio de alteraciones patológicas. Como resultado de hiperplasia. Se puede acumular bacterias en ellos