Neoplasias en
hipofaringe
Dra Mariana Terrazas Rubio R2 ORLyCCC
Anatomía
2
HarrisonL, SessionsR, KiesM. Head and Neck CancerA MultidisciplinaryApproach.4thed. Philadelphia,PA: LippincottWilliams& Wilkins; 2014.
Bahadur S, Thakar A, Mohanti B. Carcinoma of the Larynx and Hypopharynx. Singapore: Springer Singapore; 2019.
Anatomía
▪ Subsitios
3
Seno piriforme
Pared posterior
Área postcricoidea
Anatomía
4
Bahadur S, Thakar A, Mohanti B. Carcinoma of the Larynx and Hypopharynx. Singapore: Springer Singapore; 2019.
Epidemiologia
SCC 95%
tumoraciones
hipofaringeas
3-5%
tumoraciones de
cabeza y cuello
30% † primer
año
77.3% ≥ etapa III 66 años
Nivel
socieconomico
bajo
Flint P, Cummings C. Cummings otolaryngology. 7th ed. Philadelphia, Pa: Elsevier, Saunders; 2020
Incidencia global 0.8 por cada 100 000
♂ ♀
Bradley P. Epidemiology of Hypopharyngeal Cancer. Adv Otorhinolaryngol. 2019;83:1-14.
Factores de riesgo
Sx
Plummer-
Vinson
7
Flint P, Cummings C. Cummings otolaryngology. 7th ed. Philadelphia, Pa: Elsevier, Saunders; 2020
Bradley P. Epidemiology of Hypopharyngeal Cancer. Adv Otorhinolaryngol. 2019;83:1-14
Cuadro clínico
Disfagia
Masa en
cuello
Disfonía
Otalgia
Disnea
Hemoptisis
Reflujo
gastroesofá
gico
8
Bahadur S, Thakar A, Mohanti B. Carcinoma of the Larynx and Hypopharynx. Singapore: Springer Singapore; 2019.
Examen físico
9
Bahadur S, Thakar A, Mohanti B. Carcinoma of the Larynx and Hypopharynx. Singapore: Springer Singapore; 2019.
Imagen
▪ Evaluación pretratamiento
10
TAC
• (invasión cartílago
precisión general 75%
[S, E 84%])
RM
• (invasión cartílago
precisión general 78%
[S: 89-100%, E: 62%])
Imagen
▪ Evaluación postratamiento
11
RM
• S:57%
E:92%
TAC
• S:57%
E:92%
PET
• S:86%
E:75%
12
Koch B, Hamilton B, Hudgins P, Harnsberger H. Diagnostic imaging. 3rd ed. Philadelphia: Elsevier; 2017
13
Koch B, Hamilton B, Hudgins P, Harnsberger H. Diagnostic imaging. 3rd ed. Philadelphia: Elsevier; 2017
14
Koch B, Hamilton B, Hudgins P, Harnsberger H. Diagnostic imaging. 3rd ed. Philadelphia: Elsevier; 2017
15
Flint P, Cummings C. Cummings otolaryngology. 7th ed. Philadelphia, Pa: Elsevier, Saunders; 2020
Patología
95% Epidermoide
16
CCE basaloide Linfoepiteliomas
Carcinoma
adenoescamoso
Bahadur S, Thakar A, Mohanti B. Carcinoma of the Larynx and Hypopharynx. Singapore: Springer Singapore; 2019.
Patología
5% restante
17
Linfomas Adenocarcinomas Sarcomas
Bahadur S, Thakar A, Mohanti B. Carcinoma of the Larynx and Hypopharynx. Singapore: Springer Singapore; 2019.
Localización
Seno piriforme
(65-75%)
Pared faríngea posterior
(20-25%)
Región postcricoidea
(<5%)
18
Bahadur S, Thakar A, Mohanti B. Carcinoma of the Larynx and Hypopharynx. Singapore: Springer Singapore; 2019.
Vías de diseminación
▪ Extensión submucosa (Ho et al)
19
Flint P, Cummings C. Cummings otolaryngology. 7th ed. Philadelphia, Pa: Elsevier, Saunders; 2020
• Macroscópico mucosa elevada
Tipo 1:
• Microscópico
Tipo 2:
• “Skip” lesion
Tipo 3:
Vías de diseminación
▪ Extensión submucosa
20
Flint P, Cummings C. Cummings otolaryngology. 7th ed. Philadelphia, Pa: Elsevier, Saunders; 2020
Vías de diseminación
▪ Extensión submucosa
21
• 3 cm inferior
• 2 cm lateral
• 1.5 cm superior
Márgenes de
resección:
(Pacientes sin RT
previa)
Flint P, Cummings C. Cummings otolaryngology. 7th ed. Philadelphia, Pa: Elsevier, Saunders; 2020
Vías de diseminación
▪ Extensión submucosa
22
• 4 cm inferior
• 3 cm lateral
• 2 cm superior
Márgenes de
resección:
(Pacientes con RT
previa)
Flint P, Cummings C. Cummings otolaryngology. 7th ed. Philadelphia, Pa: Elsevier, Saunders; 2020
Vías de diseminación
Seno piriforme
• Cartílago
aritenoides
• Unión
cricoaritenoidea
• Cartílago
tiroides
Región
postcricoidea
• Esófago
• Cartilago
cricoides
• Musc
cricoaritenoideo
Pared faríngea
posterior
• Orofaringe
• Región
poscricoidea
• Fascia
prevertebral
23
Bahadur S, Thakar A, Mohanti B. Carcinoma of the Larynx and Hypopharynx. Singapore: Springer Singapore; 2019.
Metástasis ganglionares
▪ II, III, IV
24
Bahadur S, Thakar A, Mohanti B. Carcinoma of the Larynx and Hypopharynx. Singapore: Springer Singapore; 2019.
Flint P, Cummings C. Cummings otolaryngology. 7th ed. Philadelphia, Pa: Elsevier, Saunders; 2020
Seno piriforme
G.
Yugulodigastrico
Apex seno
piriforme y área
postcricoidea
G. Paratraqueal
G. Paraesofagico
G, Supraclavicular
Pared posterior
G. Retrofaringeo
Metástasis ganglionares
▪ Metástasis palpables 50-75%
25
Bahadur S, Thakar A, Mohanti B. Carcinoma of the Larynx and Hypopharynx. Singapore: Springer Singapore; 2019.
Seno piriforme 60-70%
Post-cricoidea 40%
Pared posterior 40%
Metástasis ganglionares
▪ Factores de riesgo
26
Bahadur S, Thakar A, Mohanti B. Carcinoma of the Larynx and Hypopharynx. Singapore: Springer Singapore; 2019.
• <4 cm 50%
• > 4cm 85%
Tamaño
Invasion cartílago tiroides
Involucro NLR y tejido extralaringeo
Metástasis a distancia
▪ 24%
27
Bahadur S, Thakar A, Mohanti B. Carcinoma of the Larynx and Hypopharynx. Singapore: Springer Singapore; 2019.
Cáncer primario secundario
Etapa I-II: 56-
83%
10% ca
sincrónico
15.9% ca
esófago
metacrónico
½ desarrollan
en los primeros
2 años
28
Bahadur S, Thakar A, Mohanti B. Carcinoma of the Larynx and Hypopharynx. Singapore: Springer Singapore; 2019.
Harrison L, Sessions R, Kies M. Head and Neck Cancer A Multidisciplinary Approach. 4th ed. Philadelphia, PA: Lippincott Williams & Wilkins; 2014
Bradley P. Symptoms and Signs, Staging and Co-Morbidity of Hypopharyngeal Cancer. Adv Otorhinolaryngol. 2019;83:15-26.
TNM
29
Amin M. AJCC Cáncer Staging Manual. 8th ed. Chicago: SPRINGER; 2018.
T
TX Tumor primario no puede ser valorado
Tis Carcinoma in situ
T1 Tumor limitado a 1 subsitio de hipofaringe y/o ≤ 2 cm en su dimensión mas grande
T2 Tumor > 1 subsitio de hipofaringe o sitio adyacente o 2-4 cm en su dimensión mas
grande sin fijación de hemilaringe
T3 Tumor >4 cm en su dimensión mas grande o fijación de hemilaringe o extensión a
esófago
T4 A Enfermedad local moderadamente avanzada
Tumor invade cartílago tiroide / cricoide, hueso hiodes, tiroides o tejido blando de
compartimento central
B Enfermedad local muy avanzada
Tumor invade fascia prevertebral, encasillamiento carotideo o involucra estructuras
mediastino
N
NX Ganglios linfáticos regionales no valorables
N0 No metástasis a ganglios linfáticos
N1 1 ganglio linfático ipsilateral ≤3 cm, ENE (-)
N2 A 1 Ganglio linfático ipsilateral 3-6 cm, ENE (-); o 1 Ganglio linfático ipsilateral o
contralateral ≤3 cm ENE (+)
B Múltiples ganglios linfáticos ipsilaterales ninguno >6 cm, ENE (-)
C Ganglios linfáticos contra o bilaterales, ninguno >6cm ENE (-)
N3 A Ganglio linfático >6cm, ENE (-)
B 1 Ganglio linfático ipsilateral o contralateral ≥3 cm ENE (+); o multiples ganglios
ipsilateral, contralateral o bilateral
M
M0 No metástasis a distancia
M1 Metástasis a distancia
Estadio T N M
0 Tis N0 M0
I T1 N0 M0
II T2 N0 M0
III T3 N0 M0
III T1, T2, T3 N1 M0
IVA T4a N0, N1 M0
IVA T1, T2, T3, T4a N2 M0
IVB Cualquier T N3 M0
IVB T4b Cualquier N M0
IVC Cualquier T Cualquier N M1
“
30
Tratamiento
31
NCCN Clinical Practice Guidelines in Oncology Head and Neck Cancer Version 1.2020. NCCN; 2020.
32
NCCN Clinical Practice Guidelines in Oncology Head and Neck Cancer Version 1.2020. NCCN; 2020.
33
NCCN Clinical Practice Guidelines in Oncology Head and Neck Cancer Version 1.2020. NCCN; 2020.
Seguimiento
34
NCCN Clinical Practice Guidelines in Oncology Head and Neck Cancer Version 1.2020. NCCN; 2020.
• Cada 1-
3 meses
1er año
• Cada 2-
6 meses
2do año
• Cada 4-
8 meses
3er-5to año
• Cada 12
meses
>5to año
“
35
Abordajes quirúrgicos
Abordajes quirúrgicos
36
Flint P, Cummings C. Cummings otolaryngology. 7th ed. Philadelphia, Pa: Elsevier, Saunders; 2020
Abordaje transoral
37
Bahadur S, Thakar A, Mohanti B. Carcinoma of the Larynx and Hypopharynx. Singapore: Springer Singapore; 2019.
38
Bahadur S, Thakar A, Mohanti B. Carcinoma of the Larynx and Hypopharynx. Singapore: Springer Singapore; 2019.
Abordaje transoral
Abordaje transoral
39
Bahadur S, Thakar A, Mohanti B. Carcinoma of the Larynx and Hypopharynx. Singapore: Springer Singapore; 2019.
Abordaje transoral
Resección endoscópica transoral con CO2
▪ Ventajas
40
No
traqueostomia
Preservación
de músculos
suprahioideos
No
reconstrucción
↓
Hospitalización
Flint P, CummingsC. Cummingsotolaryngology.7th ed. Philadelphia,Pa: Elsevier, Saunders;2020
Abordaje transoral
Resección endoscópica transoral con CO2
▪ Martin et al
41
Supervivencia libre de recurrencias 5 años
Estadio I y II
73%
Estadio III
59%
Estadio IVa
49%
Martin A, Jackel MC, Christiansen H, et al. Organ preserving transoral laser microsurgery for cancer of the hypopharynx. Laryngoscope. 2008;118:398–402.
Abordaje transoral
TORS
42
Park Y, Byeon H, Chung H, Choi E, Kim S. Comparison study of transoral robotic surgery and radical open surgery for hypopharyngeal cancer. Acta Otolaryngol. 2013;133(6):641-648.
Abordaje transoral
TORS
43
Park Y, Byeon H, Chung H, Choi E, Kim S. Comparison study of transoral robotic surgery and radical open surgery for hypopharyngeal cancer. Acta Otolaryngol. 2013;133(6):641-648.
Abordaje transoral
TORS
44
Park Y, Byeon H, Chung H, Choi E, Kim S. Comparison study of transoral robotic surgery and radical open surgery for hypopharyngeal cancer. Acta Otolaryngol. 2013;133(6):641-648.
Abordaje transoral
TORS
45
Park Y, Byeon H, Chung H, Choi E, Kim S. Comparison study of transoral robotic surgery and radical open surgery for hypopharyngeal cancer. Acta Otolaryngol. 2013;133(6):641-648.
Faringectomia parcial
Indicaciones
• T1, T2
• Pared posterior o
lateral de seno
piriforme
Contraindicaciones
• >1 pared de seno
piriforme
• Extensión ápex
seno piriforme
• Involucro laringe
46
Flint P, Cummings C. Cummings otolaryngology. 7th ed. Philadelphia, Pa: Elsevier, Saunders; 2020
Faringectomia parcial
▪ 4 abordajes
47
Faringotomia lateral
Faringotomia lateral transtiroidea
Faringotomia anterior transhioidea
Glosectomía labiomandibular medial
Flint P, Cummings C. Cummings otolaryngology. 7th ed. Philadelphia, Pa: Elsevier, Saunders; 2020
Faringectomia parcial
▪ Faringotomia lateral
48
Flint P, CummingsC. Cummingsotolaryngology.7th ed. Philadelphia,Pa: Elsevier, Saunders;2020.
Faringectomia parcial
▪ Faringotomia lateral transtiroidea
49
Flint P, Cummings C. Cummings otolaryngology. 7th ed. Philadelphia, Pa: Elsevier, Saunders; 2020
Faringectomia parcial
▪ Faringotomia transhiodea
50
Flint P, Cummings C. Cummings otolaryngology. 7th ed. Philadelphia, Pa: Elsevier, Saunders; 2020
Laringofaringectomia parcial
• Tumor seno piriforme medial
• Tumor pliegue ariepiglotico
Indicaciones
• Involucro ápex seno piriforme
• Extensión a región postcricoidea
• Parálisis CV ipsilateral
• Invasión cricofaringeo
Contraindicaciones
51
Flint P, Cummings C. Cummings otolaryngology. 7th ed. Philadelphia, Pa: Elsevier, Saunders; 2020
Laringofaringectomia parcial
52
Flint P, Cummings C. Cummings otolaryngology. 7th ed. Philadelphia, Pa: Elsevier, Saunders; 2020
Myers E, Snyderman C. Operative otolaryngology. 3rd ed. Elsevier; 2018
Laringectomia total con
faringectomia total o parcial
T3
T4
Salvamento
40% fistula faringocutanea
53
Flint P, CummingsC. Cummingsotolaryngology.7th ed. Philadelphia,Pa: Elsevier, Saunders;2020
Faringolaringoesofagectomia
total
Extensión a esófago cervical
Falla QTRT
Morbilidad 20-60%
Mortalidad 5-20%
54
“
55
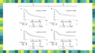
Supervivencia
56
Hochfelder C, McGinn A, Mehta V, et al. Treatment Sequence and Survival in Locoregionally Advanced Hypopharyngeal Cancer: A Surveillance, Epidemiology, and End Results–Based Study. Laryngoscope. 2019;(1(25):1-11.
57
Hochfelder C, McGinn A, Mehta V, et al. Treatment Sequence and Survival in Locoregionally Advanced Hypopharyngeal Cancer: A Surveillance, Epidemiology, and End Results–Based Study. Laryngoscope. 2019;(1(25):1-11.
58
Hochfelder C, McGinn A, Mehta V, et al. Treatment Sequence and Survival in Locoregionally Advanced Hypopharyngeal Cancer: A Surveillance, Epidemiology, and End Results–Based Study. Laryngoscope. 2019;(1(25):1-11.
59
Hochfelder C, McGinn A, Mehta V, et al. Treatment Sequence and Survival in Locoregionally Advanced Hypopharyngeal Cancer: A Surveillance, Epidemiology, and End Results–Based Study. Laryngoscope. 2019;(1(25):1-11.

Hipofaringe neoplasias malignas

  • 1.
    Neoplasias en hipofaringe Dra MarianaTerrazas Rubio R2 ORLyCCC
  • 2.
    Anatomía 2 HarrisonL, SessionsR, KiesM.Head and Neck CancerA MultidisciplinaryApproach.4thed. Philadelphia,PA: LippincottWilliams& Wilkins; 2014. Bahadur S, Thakar A, Mohanti B. Carcinoma of the Larynx and Hypopharynx. Singapore: Springer Singapore; 2019.
  • 3.
  • 4.
    Anatomía 4 Bahadur S, ThakarA, Mohanti B. Carcinoma of the Larynx and Hypopharynx. Singapore: Springer Singapore; 2019.
  • 5.
    Epidemiologia SCC 95% tumoraciones hipofaringeas 3-5% tumoraciones de cabezay cuello 30% † primer año 77.3% ≥ etapa III 66 años Nivel socieconomico bajo Flint P, Cummings C. Cummings otolaryngology. 7th ed. Philadelphia, Pa: Elsevier, Saunders; 2020
  • 6.
    Incidencia global 0.8por cada 100 000 ♂ ♀ Bradley P. Epidemiology of Hypopharyngeal Cancer. Adv Otorhinolaryngol. 2019;83:1-14.
  • 7.
    Factores de riesgo Sx Plummer- Vinson 7 FlintP, Cummings C. Cummings otolaryngology. 7th ed. Philadelphia, Pa: Elsevier, Saunders; 2020 Bradley P. Epidemiology of Hypopharyngeal Cancer. Adv Otorhinolaryngol. 2019;83:1-14
  • 8.
    Cuadro clínico Disfagia Masa en cuello Disfonía Otalgia Disnea Hemoptisis Reflujo gastroesofá gico 8 BahadurS, Thakar A, Mohanti B. Carcinoma of the Larynx and Hypopharynx. Singapore: Springer Singapore; 2019.
  • 9.
    Examen físico 9 Bahadur S,Thakar A, Mohanti B. Carcinoma of the Larynx and Hypopharynx. Singapore: Springer Singapore; 2019.
  • 10.
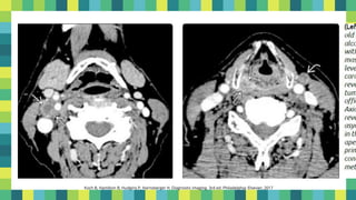
    Imagen ▪ Evaluación pretratamiento 10 TAC •(invasión cartílago precisión general 75% [S, E 84%]) RM • (invasión cartílago precisión general 78% [S: 89-100%, E: 62%])
  • 11.
    Imagen ▪ Evaluación postratamiento 11 RM •S:57% E:92% TAC • S:57% E:92% PET • S:86% E:75%
  • 12.
    12 Koch B, HamiltonB, Hudgins P, Harnsberger H. Diagnostic imaging. 3rd ed. Philadelphia: Elsevier; 2017
  • 13.
    13 Koch B, HamiltonB, Hudgins P, Harnsberger H. Diagnostic imaging. 3rd ed. Philadelphia: Elsevier; 2017
  • 14.
    14 Koch B, HamiltonB, Hudgins P, Harnsberger H. Diagnostic imaging. 3rd ed. Philadelphia: Elsevier; 2017
  • 15.
    15 Flint P, CummingsC. Cummings otolaryngology. 7th ed. Philadelphia, Pa: Elsevier, Saunders; 2020
  • 16.
    Patología 95% Epidermoide 16 CCE basaloideLinfoepiteliomas Carcinoma adenoescamoso Bahadur S, Thakar A, Mohanti B. Carcinoma of the Larynx and Hypopharynx. Singapore: Springer Singapore; 2019.
  • 17.
    Patología 5% restante 17 Linfomas AdenocarcinomasSarcomas Bahadur S, Thakar A, Mohanti B. Carcinoma of the Larynx and Hypopharynx. Singapore: Springer Singapore; 2019.
  • 18.
    Localización Seno piriforme (65-75%) Pared faríngeaposterior (20-25%) Región postcricoidea (<5%) 18 Bahadur S, Thakar A, Mohanti B. Carcinoma of the Larynx and Hypopharynx. Singapore: Springer Singapore; 2019.
  • 19.
    Vías de diseminación ▪Extensión submucosa (Ho et al) 19 Flint P, Cummings C. Cummings otolaryngology. 7th ed. Philadelphia, Pa: Elsevier, Saunders; 2020 • Macroscópico mucosa elevada Tipo 1: • Microscópico Tipo 2: • “Skip” lesion Tipo 3:
  • 20.
    Vías de diseminación ▪Extensión submucosa 20 Flint P, Cummings C. Cummings otolaryngology. 7th ed. Philadelphia, Pa: Elsevier, Saunders; 2020
  • 21.
    Vías de diseminación ▪Extensión submucosa 21 • 3 cm inferior • 2 cm lateral • 1.5 cm superior Márgenes de resección: (Pacientes sin RT previa) Flint P, Cummings C. Cummings otolaryngology. 7th ed. Philadelphia, Pa: Elsevier, Saunders; 2020
  • 22.
    Vías de diseminación ▪Extensión submucosa 22 • 4 cm inferior • 3 cm lateral • 2 cm superior Márgenes de resección: (Pacientes con RT previa) Flint P, Cummings C. Cummings otolaryngology. 7th ed. Philadelphia, Pa: Elsevier, Saunders; 2020
  • 23.
    Vías de diseminación Senopiriforme • Cartílago aritenoides • Unión cricoaritenoidea • Cartílago tiroides Región postcricoidea • Esófago • Cartilago cricoides • Musc cricoaritenoideo Pared faríngea posterior • Orofaringe • Región poscricoidea • Fascia prevertebral 23 Bahadur S, Thakar A, Mohanti B. Carcinoma of the Larynx and Hypopharynx. Singapore: Springer Singapore; 2019.
  • 24.
    Metástasis ganglionares ▪ II,III, IV 24 Bahadur S, Thakar A, Mohanti B. Carcinoma of the Larynx and Hypopharynx. Singapore: Springer Singapore; 2019. Flint P, Cummings C. Cummings otolaryngology. 7th ed. Philadelphia, Pa: Elsevier, Saunders; 2020 Seno piriforme G. Yugulodigastrico Apex seno piriforme y área postcricoidea G. Paratraqueal G. Paraesofagico G, Supraclavicular Pared posterior G. Retrofaringeo
  • 25.
    Metástasis ganglionares ▪ Metástasispalpables 50-75% 25 Bahadur S, Thakar A, Mohanti B. Carcinoma of the Larynx and Hypopharynx. Singapore: Springer Singapore; 2019. Seno piriforme 60-70% Post-cricoidea 40% Pared posterior 40%
  • 26.
    Metástasis ganglionares ▪ Factoresde riesgo 26 Bahadur S, Thakar A, Mohanti B. Carcinoma of the Larynx and Hypopharynx. Singapore: Springer Singapore; 2019. • <4 cm 50% • > 4cm 85% Tamaño Invasion cartílago tiroides Involucro NLR y tejido extralaringeo
  • 27.
    Metástasis a distancia ▪24% 27 Bahadur S, Thakar A, Mohanti B. Carcinoma of the Larynx and Hypopharynx. Singapore: Springer Singapore; 2019.
  • 28.
    Cáncer primario secundario EtapaI-II: 56- 83% 10% ca sincrónico 15.9% ca esófago metacrónico ½ desarrollan en los primeros 2 años 28 Bahadur S, Thakar A, Mohanti B. Carcinoma of the Larynx and Hypopharynx. Singapore: Springer Singapore; 2019. Harrison L, Sessions R, Kies M. Head and Neck Cancer A Multidisciplinary Approach. 4th ed. Philadelphia, PA: Lippincott Williams & Wilkins; 2014 Bradley P. Symptoms and Signs, Staging and Co-Morbidity of Hypopharyngeal Cancer. Adv Otorhinolaryngol. 2019;83:15-26.
  • 29.
    TNM 29 Amin M. AJCCCáncer Staging Manual. 8th ed. Chicago: SPRINGER; 2018. T TX Tumor primario no puede ser valorado Tis Carcinoma in situ T1 Tumor limitado a 1 subsitio de hipofaringe y/o ≤ 2 cm en su dimensión mas grande T2 Tumor > 1 subsitio de hipofaringe o sitio adyacente o 2-4 cm en su dimensión mas grande sin fijación de hemilaringe T3 Tumor >4 cm en su dimensión mas grande o fijación de hemilaringe o extensión a esófago T4 A Enfermedad local moderadamente avanzada Tumor invade cartílago tiroide / cricoide, hueso hiodes, tiroides o tejido blando de compartimento central B Enfermedad local muy avanzada Tumor invade fascia prevertebral, encasillamiento carotideo o involucra estructuras mediastino N NX Ganglios linfáticos regionales no valorables N0 No metástasis a ganglios linfáticos N1 1 ganglio linfático ipsilateral ≤3 cm, ENE (-) N2 A 1 Ganglio linfático ipsilateral 3-6 cm, ENE (-); o 1 Ganglio linfático ipsilateral o contralateral ≤3 cm ENE (+) B Múltiples ganglios linfáticos ipsilaterales ninguno >6 cm, ENE (-) C Ganglios linfáticos contra o bilaterales, ninguno >6cm ENE (-) N3 A Ganglio linfático >6cm, ENE (-) B 1 Ganglio linfático ipsilateral o contralateral ≥3 cm ENE (+); o multiples ganglios ipsilateral, contralateral o bilateral M M0 No metástasis a distancia M1 Metástasis a distancia Estadio T N M 0 Tis N0 M0 I T1 N0 M0 II T2 N0 M0 III T3 N0 M0 III T1, T2, T3 N1 M0 IVA T4a N0, N1 M0 IVA T1, T2, T3, T4a N2 M0 IVB Cualquier T N3 M0 IVB T4b Cualquier N M0 IVC Cualquier T Cualquier N M1
  • 30.
  • 31.
    31 NCCN Clinical PracticeGuidelines in Oncology Head and Neck Cancer Version 1.2020. NCCN; 2020.
  • 32.
    32 NCCN Clinical PracticeGuidelines in Oncology Head and Neck Cancer Version 1.2020. NCCN; 2020.
  • 33.
    33 NCCN Clinical PracticeGuidelines in Oncology Head and Neck Cancer Version 1.2020. NCCN; 2020.
  • 34.
    Seguimiento 34 NCCN Clinical PracticeGuidelines in Oncology Head and Neck Cancer Version 1.2020. NCCN; 2020. • Cada 1- 3 meses 1er año • Cada 2- 6 meses 2do año • Cada 4- 8 meses 3er-5to año • Cada 12 meses >5to año
  • 35.
  • 36.
    Abordajes quirúrgicos 36 Flint P,Cummings C. Cummings otolaryngology. 7th ed. Philadelphia, Pa: Elsevier, Saunders; 2020
  • 37.
    Abordaje transoral 37 Bahadur S,Thakar A, Mohanti B. Carcinoma of the Larynx and Hypopharynx. Singapore: Springer Singapore; 2019.
  • 38.
    38 Bahadur S, ThakarA, Mohanti B. Carcinoma of the Larynx and Hypopharynx. Singapore: Springer Singapore; 2019. Abordaje transoral
  • 39.
    Abordaje transoral 39 Bahadur S,Thakar A, Mohanti B. Carcinoma of the Larynx and Hypopharynx. Singapore: Springer Singapore; 2019.
  • 40.
    Abordaje transoral Resección endoscópicatransoral con CO2 ▪ Ventajas 40 No traqueostomia Preservación de músculos suprahioideos No reconstrucción ↓ Hospitalización Flint P, CummingsC. Cummingsotolaryngology.7th ed. Philadelphia,Pa: Elsevier, Saunders;2020
  • 41.
    Abordaje transoral Resección endoscópicatransoral con CO2 ▪ Martin et al 41 Supervivencia libre de recurrencias 5 años Estadio I y II 73% Estadio III 59% Estadio IVa 49% Martin A, Jackel MC, Christiansen H, et al. Organ preserving transoral laser microsurgery for cancer of the hypopharynx. Laryngoscope. 2008;118:398–402.
  • 42.
    Abordaje transoral TORS 42 Park Y,Byeon H, Chung H, Choi E, Kim S. Comparison study of transoral robotic surgery and radical open surgery for hypopharyngeal cancer. Acta Otolaryngol. 2013;133(6):641-648.
  • 43.
    Abordaje transoral TORS 43 Park Y,Byeon H, Chung H, Choi E, Kim S. Comparison study of transoral robotic surgery and radical open surgery for hypopharyngeal cancer. Acta Otolaryngol. 2013;133(6):641-648.
  • 44.
    Abordaje transoral TORS 44 Park Y,Byeon H, Chung H, Choi E, Kim S. Comparison study of transoral robotic surgery and radical open surgery for hypopharyngeal cancer. Acta Otolaryngol. 2013;133(6):641-648.
  • 45.
    Abordaje transoral TORS 45 Park Y,Byeon H, Chung H, Choi E, Kim S. Comparison study of transoral robotic surgery and radical open surgery for hypopharyngeal cancer. Acta Otolaryngol. 2013;133(6):641-648.
  • 46.
    Faringectomia parcial Indicaciones • T1,T2 • Pared posterior o lateral de seno piriforme Contraindicaciones • >1 pared de seno piriforme • Extensión ápex seno piriforme • Involucro laringe 46 Flint P, Cummings C. Cummings otolaryngology. 7th ed. Philadelphia, Pa: Elsevier, Saunders; 2020
  • 47.
    Faringectomia parcial ▪ 4abordajes 47 Faringotomia lateral Faringotomia lateral transtiroidea Faringotomia anterior transhioidea Glosectomía labiomandibular medial Flint P, Cummings C. Cummings otolaryngology. 7th ed. Philadelphia, Pa: Elsevier, Saunders; 2020
  • 48.
    Faringectomia parcial ▪ Faringotomialateral 48 Flint P, CummingsC. Cummingsotolaryngology.7th ed. Philadelphia,Pa: Elsevier, Saunders;2020.
  • 49.
    Faringectomia parcial ▪ Faringotomialateral transtiroidea 49 Flint P, Cummings C. Cummings otolaryngology. 7th ed. Philadelphia, Pa: Elsevier, Saunders; 2020
  • 50.
    Faringectomia parcial ▪ Faringotomiatranshiodea 50 Flint P, Cummings C. Cummings otolaryngology. 7th ed. Philadelphia, Pa: Elsevier, Saunders; 2020
  • 51.
    Laringofaringectomia parcial • Tumorseno piriforme medial • Tumor pliegue ariepiglotico Indicaciones • Involucro ápex seno piriforme • Extensión a región postcricoidea • Parálisis CV ipsilateral • Invasión cricofaringeo Contraindicaciones 51 Flint P, Cummings C. Cummings otolaryngology. 7th ed. Philadelphia, Pa: Elsevier, Saunders; 2020
  • 52.
    Laringofaringectomia parcial 52 Flint P,Cummings C. Cummings otolaryngology. 7th ed. Philadelphia, Pa: Elsevier, Saunders; 2020 Myers E, Snyderman C. Operative otolaryngology. 3rd ed. Elsevier; 2018
  • 53.
    Laringectomia total con faringectomiatotal o parcial T3 T4 Salvamento 40% fistula faringocutanea 53 Flint P, CummingsC. Cummingsotolaryngology.7th ed. Philadelphia,Pa: Elsevier, Saunders;2020
  • 54.
    Faringolaringoesofagectomia total Extensión a esófagocervical Falla QTRT Morbilidad 20-60% Mortalidad 5-20% 54
  • 55.
  • 56.
    56 Hochfelder C, McGinnA, Mehta V, et al. Treatment Sequence and Survival in Locoregionally Advanced Hypopharyngeal Cancer: A Surveillance, Epidemiology, and End Results–Based Study. Laryngoscope. 2019;(1(25):1-11.
  • 57.
    57 Hochfelder C, McGinnA, Mehta V, et al. Treatment Sequence and Survival in Locoregionally Advanced Hypopharyngeal Cancer: A Surveillance, Epidemiology, and End Results–Based Study. Laryngoscope. 2019;(1(25):1-11.
  • 58.
    58 Hochfelder C, McGinnA, Mehta V, et al. Treatment Sequence and Survival in Locoregionally Advanced Hypopharyngeal Cancer: A Surveillance, Epidemiology, and End Results–Based Study. Laryngoscope. 2019;(1(25):1-11.
  • 59.
    59 Hochfelder C, McGinnA, Mehta V, et al. Treatment Sequence and Survival in Locoregionally Advanced Hypopharyngeal Cancer: A Surveillance, Epidemiology, and End Results–Based Study. Laryngoscope. 2019;(1(25):1-11.