UNIVERSIDAD CATÓLICA DE
CUENCA
FACULTAD DE MEDICINA, ENFERMERÍA Y CIENCIAS DE LA SALUD
Integrantes:
José Escandón.
Karen García.
Nicole Fajardo
Gabriela Garzón
APARATO
CIRCULATORI
O
ORGANIZACIÓN GENERAL DEL
APARATO CIRCULATORIO
ORGANIZACIÓN GENERAL DEL APARATO
CIRCULATORIO
• Consta de 2 componentes principales *Sistema Vascular sanguíneo
*Corazón
*Arterias
*Capilares
*Venas
*Sistema Vascular Linfático
ORGANIZACIÓN DEL APARATO
CIRCULATORIO
• Corazón
• Vaso sanguíneo especializado como bomba doble para la propulsión de la
sangre
• El lado izquierdo del corazón recibe la sangre de los pulmones y la distribuye
a través del cuerpo
• Forma 2 circulaciones:
• Sistémica
• Del corazón hacia los tejidos y órganos del cuerpo y de regreso
• Pulmonar
• Del corazón a los pulmones y de regreso
Corazón como bomba doble de propulsión de la
sangre
Circulación Sistémica y Pulmonar
• ARTERIAS
ORGANIZACIÓN DEL APARATO
CIRCULATORIO
• Una serie de vasos eferentes que se hacen delgados a medida que
se ramifican
• Distribuyen sustancias nutritivas, oxigeno y hormonas a todas las
partes del cuerpo
ORGANIZACIÓN DEL APARATO
CIRCULATORIO
Arteria transportando células sanguíneas Arteria transportando eritrocitos
• LOS CAPILARES
ORGANIZACIÓN DEL APARATO
CIRCULATORIO
• Una red de vasos pequeños de paredes delgadas a
través de las que se establece el intercambio entre la
sangre y los tejidos
ORGANIZACIÓN DEL APARATO
CIRCULATORIO
• VENAS
• Vasos aferentes al corazón que conducen los productos
del metabolismo celular
ORGANIZACIÓN DEL APARATO
CIRCULATORIOComparación entre arterias venas y capilares
• Sistema vascular linfático
ORGANIZACIÓN DEL APARATO
CIRCULATORIO
• Comienza como tubos ciegos
• Consta de capilares y vasos linfáticos
• Los conductos regresan un liquido incoloro llamado linfa
• A lo largo del trayecto del los vasos linfáticos encontramos ganglios que añaden
linfocitos a la linfa
ORGANIZACIÓN DEL APARATO
CIRCULATORIO
Sistema linfático
SISTEMA VASCULAR SANGUÍNEO
• Tiene un revestimiento continuo formado por una sola capa de
células endoteliales
• En los capilares , la capa de células forma el principal componente
estructural de la pared de los capilares
SISTEMA VASCULAR SANGUÍNEO
Células del endotelio de un vaso sanguíneo
CAPILA
RES
CAPILARES
• Tubos endoteliales que comunican los lados arterial y venoso de la
circulación
• Su diámetro es de 7-9 um
• Forman una red cerrada en el pulmón, hígado, riñón, glándulas y
músculo esquelético y una red abierta en tendones, nervios ,
músculo liso y membranas serosas
CAPILARES
• La pared del capilar consta de una sola capa de células
endoteliales sostenidas por una lamina basal
• Cada célula endotelial es una placa curva y delgada con núcleo
ovoide o alargado
• Presenta 2 – 3 células y veces 1 capa de células revisten la
circunferencia de un capilar
• Los capilares están envueltos por una delgada vaina de fibras
colágenas y reticulares acompañadas de células perivasculares o
pericitos
• Los pericitos son células relativamente indiferenciadas que se
pueden transformar en otros tejidos
• Las variaciones en la estructura de la pared de las células
constituye la base de la clasificación de los capilares en 3 tipos
principales
CAPILARES
CLASIFICACIÓN DE LOS CAPILARES SEGÚN
LA ESTRUCTURA DE SU PARED
• Continuos
• Fenestrados
• Sinusoidales
CLASIFICACIÓN DE LOS
CAPILARES SEGÚN LA
ESTRUCTURA DE SU PARED
• Capilares Continuos
• Presentes en muchos tejidos como la piel , el pulmón y el SNC
• Su Citoplasma es grueso cerca del núcleo
• Carecen de poros
• Contienen filamentos delgados y vesículas a lo largo de las caras luminal y basal
• Participan en el transporte de liquido en ambos sentidos a través de la pared
capilar
CLASIFICACIÓN DE LOS
CAPILARES SEGÚN LA
ESTRUCTURA DE SU PARED
Esquema de un Capilar continuo Capilar continuo
• Capilares Fenestrados
• Se encuentran en la mucosa intestinal y glomérulo renal
• Presenta poros o fenestras de 30 a 80 nm
• Cerrados por un delgado diafragma excepto en los capilares de los glomérulos
renales
CLASIFICACIÓN DE LOS
CAPILARES SEGÚN LA
ESTRUCTURA DE SU PARED
CLASIFICACIÓN DE LOS
CAPILARES SEGÚN LA
ESTRUCTURA DE SU PARED
Esquema de Capilar fenestrado con poros evidentes
Imagen histológica de capilar fenestrado del glomérulo
renal
• Tienen un diámetro luminal mayor al de los capilares normales
• Las paredes con amplias hendiduras entre las células endoteliales
• Lamina basal incompleta
• Presentes en hígado y órganos hematopoyéticos como la medula ósea y el
bazo
• Capilares Sinusoidales
CLASIFICACIÓN DE LOS
CAPILARES SEGÚN LA
ESTRUCTURA DE SU PARED
CLASIFICACIÓN DE LOS
CAPILARES SEGÚN LA
ESTRUCTURA DE SU PARED
Esquema de Capilar Sinusoide con membrana basal
incompleta
Imagen histológica de capilar sinusoide de hígado
CAPILARES
Esquema de tipos de capilares según la estructura de su
pared endotelial
Capilares continuo , fenestrado y sinusoide con sus
respectivas características
CAPILARES ARTERIALES Y VENOSOS
• Son vasos intermedios entre arterias y capilares y entre venas y capilares
Capilares Arteriales o meta capilares
• Los capilares arteriales presentan una luz mas amplia que los capilares
comunes y contienen una capa discontinua de musculo liso en sus paredes
• Rodeados de escaso tejido conectivo perivascular
• Existen esfínteres precapilares originados en las arteriolas , que por su
contracción controlan la cantidad de sangre que circula por el lecho capilar
Capilares Venosos o vénulas poscapilares
• Pueden tener hasta 30 um de diámetro o mas
• Su pared consta de revestimiento epitelial , lamina basal y una
delgada envoltura de T. conectivo con pericitos
• Funcionalmente tienen intima relación con los capilares
verdaderos permitiendo el intercambio de metabolitos y liquido
entre la sangre y el liquido intercelular
CAPILARES ARTERIALES Y VENOSOS
CAPILARES ARTERIALES Y VENOSOS
Capilares arteriales y venosos
ESTRUCTURA GENERAL DE LOS VASOS
SANGUÍNEOS
• Todos los vasos sanguíneos con luz de mayor diámetro que los capilares
presentan características comunes , presentan 3 envolturas o túnicas
concéntricas.
1. Túnica Intima
2. Túnica media
3. Túnica Adventicia
ESTRUCTURA GENERAL DE LOS VASOS
SANGUÍNEOS
1 La túnica intima
• Revestimiento endotelial interno
• Lamina basal subyacente
• Capa subendotelial de tejido fibro elástico y una banda externa de fibras elásticas
• Membrana elástica interna que falta en vasos mas pequeños
ESTRUCTURA GENERAL DE LOS VASOS
SANGUÍNEOSCorte histológico de un vaso sanguíneo , aumento en la túnica intima
2. La túnica media.
• Consta de células musculares lisas dispuestas en forma circular
• Entre las células musculares hay cantidades variables de fibras colágenas ,
elásticas y proteoglucanos
ESTRUCTURA GENERAL DE LOS VASOS
SANGUÍNEOS
ESTRUCTURA GENERAL DE LOS VASOS
SANGUÍNEOS
Esquema de arteria típica con túnica media evidente Imagen histológica de la capa media de aorta
3. La túnica adventicia.
• Esta formada por T. conectivo fibroelastico en la parte mas cercana a la túnica
media puede existir una concentración de fibras elásticas que forman la
membrana elástica externa
• Hacia afuera se mezcla con el t. conectivo que envuelve al órgano
*En los vasos sanguíneos mayores encontramos
vasos mas pequeños vasa vasorum que se halla
en la adventicia
ESTRUCTURA GENERAL DE LOS VASOS
SANGUÍNEOS
ESTRUCTURA GENERAL DE LOS VASOS
SANGUÍNEOS
ESTRUCTURA GENERAL DE LOS VASOS
SANGUÍNEOS
Túnicas Intima, media y adventicia de un vaso
sanguíneo
Túnicas Intima, media y adventicia de una arteria de grueso
calibre
• Los grandes vasos sanguíneos van junto a nervios periféricos en los llamados
haces neurovasculares que se ramifican y se hacen mas delgados y se
relacionan con las arteriolas y vénulas de menor calibre
ESTRUCTURA GENERAL DE LOS VASOS
SANGUÍNEOS
Has neurovascular
ARTERI
AS
ARTERIAS
• Arterias elásticas de gran calibre.
• Arterias musculares de calibre pequeño y
mediano.
• Arteriolas (más pequeñas)
Clasificación de las Arterias
Clasificación
ARTERIAS ELASTICAS DE GRAN CALIBRE
• Las células endoteliales tienen forma poligonal.
• La capa subendotelial es gruesa y consta de fibras colágenas y
elásticas.
ARTERIAS
Túnica Intima
Túnica Adventicia
Túnica Media
• formada por fibras elásticas y colágenas , no hay una membrana
elástica externa bien definida
• contiene vasa vasorum y vasos linfáticos
• Membranas elásticas fenestradas en forma concéntrica
• Entre las membranas , fibroblastos, sustancia amorfa y C.
musculares lisas
ARTERIAS ELASTICAS
ARTERIAS
Imagen histológica de Configuración de una arteria elástica
Esquema de arteria elástica
ARTERIAS MUSCULARES
Tiene 3 capas:
endotelio.
capa subendotelial.
membrana elástica.
ARTERIAS
• Células musculares lisas dispuestas en forma
muscular.
• Entre las capas de musculo , pequeñas cantidades de
T.conectivo, (colágenas ,reticulares y elásticas)
Túnica Intima
Túnica Media
Túnica Adventicia
• Es tan gruesa como la media
• Contiene fibras colágenas(internamente) y elásticas
ARTERIAS
ARTERIAS MUSCULARES
Imagen histológica de Sección transversal de arteria muscular Esquema de organización general de una arteria muscular
ARTERIOLAS
• Contiene solo endotelio y membrana elástica interna.
• La túnica media formada por 1 a 5 capas de células musculares
lisas y fibrillas elásticas
• La delgada adventicia es una capa de tejido conectivo laxo .
ARTERIAS
Túnica
intima
Túnica
Media
Túnica
Adventicia
Esquema general de arteriola Imagen histológica de corte longitudinal de arteriola
ARTERIOLAS
ARTERIAS ESPECIALIZADAS
• Arterias del Pulmón: -Reducción de los tejidos muscular y elástico
-Paredes delgada
• Arterias protegidas dentro del cráneo: -Paredes delgadas
-Membrana elástica interna bien desarrollada
• Arterias Umbilicales: -Capa media formada de 2 capas musculares
-longitudinal interna y una circular externa
• Arterias Penianas: -La capa intima contiene fibras musculares longitudinales
ARTERIAS
ARTERIAS
CAMBIOS DE LAS ARTERIAS CON LA
EDAD
• El tejido elástico presenta engrosamientos irregulares
• Las fibras elásticas se fragmentan
• Hay infiltración de grasa en la sustancia intersticial
• Puede haber calcificación en la túnica media
CAMBIOS CON LA EDAD
Arteria con calcificación de la media
VENAS
VENAS
• Los vasos sanguíneos venosos suelen clasificarse en tres grupos:
• Vénulas, ramas venosas mas pequeñas.
• Venas de calibre pequeño y mediano.
• Venas de gran calibre.
VENAS
• En las venas la sangre esta a una presión mucho menor que en las
arterias, las venas deben adaptarse a un mayor volumen de
sangre.
• Las venas tienen un diámetro mayor y paredes mas delgadas que
las arterias.
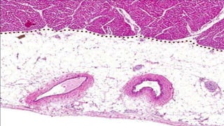
VENAS
Corte histológico de vena Esquema de Comparación entre arteria y vena
VÉNULAS
• Endotelio y una vaina externa de fibras colágenas
• Fibras elásticas
• Capa continua de fibras musculares, entre ellas espacios
con fibras colágenas y elásticas.
• La adventicia es gruesa
• Consta de fibras colágenas orientadas en forma
longitudinal y dispersos entre ellas fibras elásticas y
fibroblastos.
Túnica Intima
Túnica Media
Túnica Adventicia
VÉNULAS
Corte histológico de Vénulas musculares y colectoras Vénula y Arteriola comparación
VENAS DE CALIBRE PEQUEÑO Y MEDIANO
• La túnica íntima es delgada
• Consta de endotelio y de una capa subendotelial imprecisa y limitada
hacia afuera por una red de fibras elásticas finas.
• La túnica media esta conformada por pequeños haces de fibras
musculares dispuestos en forma circular
• La adventicia está bien desarrollada y constituye la mayor parte de la
pared
Túnica Intima
Túnica Media
Túnica Adventicia
VENAS DE CALIBRE PEQUEÑO Y MEDIANO
Imagen histológica de vena de pequeño calibre Imagen histológica de vena de mediano calibre
VENAS DE GRAN CALIBRE
• La túnica íntima tiene la misma estructura que las venas menores,
pero pueden ser un poco gruesa.
• La media está poco desarrollada, y en ella los elementos de músculo
liso son pocos o pueden faltar.
• La adventicia es la mas gruesa y contiene fibras musculares
longitudinales , separadas por colágenas
Túnica Intima
Túnica Media
Túnica Adventicia
VENAS DE GRAN CALIBRE
Corte histológico de vena de gran calibre con sus túnicas
respectivas Corte histológico de vena de gran calibre
CARACTERÍSTICAS ESPECIALES DE
ALGUNAS VENAS
• Algunas venas carecen de músculo liso y por tanto de una túnica
media bien definida.
• Este grupo incluyen las venas cerebrales y meníngeas, los senos
durales y las venas de la retina, hueso, tejido eréctil del pene y
componentes de la placenta.
CARACTERÍSTICAS ESPECIALES DE
ALGUNAS VENAS
• Las venas con abundante músculo liso incluyen las del útero grávido y de los
miembros, la vena umbilical y algunas venas mesentéricas.
• El músculo cardíaco se extiende una corta distancia dentro de las adventicias
de las venas cavas y pulmonares, cerca de su entrada al corazón.
VALVULAS VENOSAS
• Muchas venas de calibre pequeño y mediano, poseen válvulas que evitan el
regreso de la sangre en su trayecto hacia el corazón.
• Estas válvulas son pliegues semilunares dentro de la luz con sus bordes libres
dirigidos hacia el corazón.
• Ambas caras de las válvulas están cubiertas de endotelio.
• La contracción del musculo esquelético y el sistema de válvulas , favorecen
que la sangre vaya contra la gravedad
VALVULAS VENOSAS
Esquema de válvulas venosas y el sentido de
recorrido de la sangre
Esquema de válvulas venosas y su relación con el
musculo estriado esquelético (miembros inferiores)
ANASTOMOSIS ARTERIOVENOSAS
• Algunas regiones hay comunicación directa entre arterias y venas. En estas
anastomosis mas frecuentes entre arteriolas y vénulas, el endotelio descansa
directamente sobre una túnica media especializada que incluye un esfínter.
• El cortocircuito es mas abundante sobre todo en las partes descubiertas de la
piel y en tejidos con actividad metabólica intermitente , como las glándulas
• Cuando el cortocircuito se cierra la sangre pasa al lecho capilar regular
ANASTOMOSIS ARTERIOVENOSAS
CORAZON
CORAZÓN
• Es la porción muy especializada del sistema vascular que impulsa a la
sangre a través de los vasos sanguíneos.
Consta de 3 Capas:
• Capa Interna o Endocardio
• Capa Media o Miocardio
• Capa Externa o Epicardio
CORAZÓN
Imagen esquemática de las capas del corazón
CORAZÓN
Endocardio
• Es el equivalente a la túnica íntima de los vasos sanguíneos y está
revestido por endotelio.
• Bajo el endotelio consta de las siguientes capas:
• Capa subendotelial de fibras colágenas.
• Capa de tejido conectivo denso.
• Capa subendocárdica externa de tejido conectivo laxo que une el
endocardio al miocardio y contiene vasos sanguíneos, nervios y
ramas del sistema de conducción de impulsos.
Corazón-Endocardio
Imagen histológica de endocardio humano
CORAZÓN
Miocardio
• Túnica media, está formado por el músculo estriado cardíaco.
• En los ventrículos se dispone de 2 capas:
• Capa superficial sus fibras siguen un trayecto espiral.
• Capa profunda sus fibras siguen un trayecto circular
alrededor de cada ventrículo.
• Las hojas musculares de aurículas y ventrículos se insertan por
medio de tejido conectivo intersticial endomisio hacia el esqueleto
cardíaco.
Corazón-Miocardio
Imagen histológica de miocardio Fibras musculares del miocardio
CORAZÓN
Epicardio
• También llamada pericardio visceral.
• Es una membrana serosa cubierta por una sola capa de células
mesoteliales.
• Por debajo hay una capa gruesa de tejido areolar o adiposo que es la
capa subepicárdica que contiene vasos coronarios y nervios.
Corazón-Epicardio
Imagen histológica de epicardio
Corazón-Epicardio
CORAZÓN
Esqueleto Cardiaco
• Es la estructura central de sostén del corazón.
• Formada por tejido conectivo fibroso denso en el que se inserta el músculo y las
válvulas del corazón.
•Principales componentes:
• El tabique membranoso o porción fibrosa del tabique interventricular.
• Los anillos fibrosos que rodean las arterias aorta y pulmonar y los conductos
auriculoventriculares.
• Los trígonos fibrosos que son masas de tejido fibroso entre los orificios
arteriales y los auriculoventriculares.
Corazón-Esqueleto Cardiaco
CORAZÓN
Válvulas Cardíacas
1) Válvulas auriculoventriculares (tricúspide y mitral).
• Está entre las aurículas y los ventrículos.
• Unidas a los músculos papilares de los ventrículos por cordones
fibrosos, las cuerdas tendinosas (limitan el movimiento de las
válvulas y evitan eversión cuando contraen ventrículos).
2) Válvulas semilunares.
• Está entre los ventrículos y las arterias aorta y pulmonar.
• Tienen tres valvas cada una y forman un engrosamiento (nódulo de
Arancio) en su borde libre de cada valva.
CORAZÓN
Válvulas Cardíacas
Corazón-Válvulas Cardíacas
CORAZÓN
Sistema de Conducción de Impulsos del Corazón
• Fibras de Purkinje, fibras musculares cardíacas
especializadas (conduce el impulso para la contracción cardíaca
orientado en la aurícula derecha, en el nodo sinoauricular, el
marcapaso del corazón).
• Tienen un diámetro mayor que las demás fibras musculares.
CORAZÓN
Sistema de Conducción de Impulsos del Corazón
• El impulso comienza en el nodo sinoauricular (consta de una red densa
de fibras Purkinje pequeñas que hacia la periferia se continúan las fibras
musculares cardíacas auriculares).
• El impulso se propaga por medio de fibras especializadas para la
conducción al nodo auriculoventricular (masa densa de fibras localizadas
en la pared media de la aurícula derecha).
CORAZÓN
Sistema de Conducción de Impulsos del Corazón
• El nodo se continúa con el haz auriculoventricular (haz de His)
• Se divide en dos ramas situadas por debajo del endocardio, éstas terminan
en un sistema de fibras Purkinje que se unen a las fibras ordinarias de ambos
ventrículos.
Corazón-Sistema de Conducción de Impulsos del
Corazón
SISTEMA VASCULAR
LINFÁTICO
SISTEMA VASCULAR LINFÁTICO
• Es unidireccional.
• Tiene como función drenar el exceso de líquido tisular o linfa, filtrarlo a
su paso por los ganglios linfáticos y regresarlo al torrente sanguíneo.
• Componentes:
• Capilares linfáticos
• Vasos linfáticos
• Troncos linfáticos principales
SISTEMA VASCULAR LINFÁTICO
Capilares linfáticos
• Son los vasos linfáticos más pequeños, semejantes a los capilares
sanguíneos.
• Túbulos simples revestidos de endotelio, gruesos y de calibre irregular.
• Carecen de lámina basal completa, rodeados por una capa de fibras
colágenas y reticulares que se extienden como filamentos de anclaje hacia los
tejidos conectivos.
Sistema Vascular Linfático-
Capilares Linfáticos
SISTEMA VASCULAR LINFÁTICO
Vasos Linfáticos
• Son vasos mayores que reciben la linfa de los capilares.
• Contiene válvulas.
•Semejantes a las venas en estructura pero en paredes más delgadas.
• El endotelio está rodeado por fibras colágenas y elásticas y de algunas células
musculares lisas.
• Se distingue 3 envolturas: íntima, media y adventicia.
Sistema Vascular Linfático-Vasos
Linfáticos
SISTEMA VASCULAR LINFÁTICO
Troncos Linfáticos Principales
• Estos son el conducto torácico y el conducto linfático derecho.
• Semejante a una vena de igual calibre pero de mayor concentración de
fibras musculares lisas en la media.
• Íntima: Consta de un revestimiento endotelial, una capa subendotelial y
una membrana elástica delgada.
• Media: Contiene haces musculares longitudinales y circulares.
• Adventicia: Contiene fibras colágenas gruesas y algunas musculares
longitudinales.
Sistema Vascular Linfático-
Troncos Linfáticos Principales
A,E
Histología Vascular (leeson)
Histología Vascular (leeson)
Histología Vascular (leeson)
Histología Vascular (leeson)
Histología Vascular (leeson)
Histología Vascular (leeson)
Histología Vascular (leeson)

Histología Vascular (leeson)

  • 1.
    UNIVERSIDAD CATÓLICA DE CUENCA FACULTADDE MEDICINA, ENFERMERÍA Y CIENCIAS DE LA SALUD Integrantes: José Escandón. Karen García. Nicole Fajardo Gabriela Garzón
  • 2.
  • 3.
  • 4.
    ORGANIZACIÓN GENERAL DELAPARATO CIRCULATORIO • Consta de 2 componentes principales *Sistema Vascular sanguíneo *Corazón *Arterias *Capilares *Venas *Sistema Vascular Linfático
  • 5.
    ORGANIZACIÓN DEL APARATO CIRCULATORIO •Corazón • Vaso sanguíneo especializado como bomba doble para la propulsión de la sangre • El lado izquierdo del corazón recibe la sangre de los pulmones y la distribuye a través del cuerpo • Forma 2 circulaciones: • Sistémica • Del corazón hacia los tejidos y órganos del cuerpo y de regreso • Pulmonar • Del corazón a los pulmones y de regreso
  • 6.
    Corazón como bombadoble de propulsión de la sangre Circulación Sistémica y Pulmonar
  • 7.
    • ARTERIAS ORGANIZACIÓN DELAPARATO CIRCULATORIO • Una serie de vasos eferentes que se hacen delgados a medida que se ramifican • Distribuyen sustancias nutritivas, oxigeno y hormonas a todas las partes del cuerpo
  • 8.
    ORGANIZACIÓN DEL APARATO CIRCULATORIO Arteriatransportando células sanguíneas Arteria transportando eritrocitos
  • 9.
    • LOS CAPILARES ORGANIZACIÓNDEL APARATO CIRCULATORIO • Una red de vasos pequeños de paredes delgadas a través de las que se establece el intercambio entre la sangre y los tejidos
  • 10.
    ORGANIZACIÓN DEL APARATO CIRCULATORIO •VENAS • Vasos aferentes al corazón que conducen los productos del metabolismo celular
  • 11.
  • 12.
    • Sistema vascularlinfático ORGANIZACIÓN DEL APARATO CIRCULATORIO • Comienza como tubos ciegos • Consta de capilares y vasos linfáticos • Los conductos regresan un liquido incoloro llamado linfa • A lo largo del trayecto del los vasos linfáticos encontramos ganglios que añaden linfocitos a la linfa
  • 13.
  • 14.
    SISTEMA VASCULAR SANGUÍNEO •Tiene un revestimiento continuo formado por una sola capa de células endoteliales • En los capilares , la capa de células forma el principal componente estructural de la pared de los capilares
  • 15.
    SISTEMA VASCULAR SANGUÍNEO Célulasdel endotelio de un vaso sanguíneo
  • 16.
  • 17.
    CAPILARES • Tubos endotelialesque comunican los lados arterial y venoso de la circulación • Su diámetro es de 7-9 um • Forman una red cerrada en el pulmón, hígado, riñón, glándulas y músculo esquelético y una red abierta en tendones, nervios , músculo liso y membranas serosas
  • 18.
    CAPILARES • La pareddel capilar consta de una sola capa de células endoteliales sostenidas por una lamina basal • Cada célula endotelial es una placa curva y delgada con núcleo ovoide o alargado • Presenta 2 – 3 células y veces 1 capa de células revisten la circunferencia de un capilar
  • 19.
    • Los capilaresestán envueltos por una delgada vaina de fibras colágenas y reticulares acompañadas de células perivasculares o pericitos • Los pericitos son células relativamente indiferenciadas que se pueden transformar en otros tejidos • Las variaciones en la estructura de la pared de las células constituye la base de la clasificación de los capilares en 3 tipos principales CAPILARES
  • 20.
    CLASIFICACIÓN DE LOSCAPILARES SEGÚN LA ESTRUCTURA DE SU PARED • Continuos • Fenestrados • Sinusoidales
  • 21.
    CLASIFICACIÓN DE LOS CAPILARESSEGÚN LA ESTRUCTURA DE SU PARED • Capilares Continuos • Presentes en muchos tejidos como la piel , el pulmón y el SNC • Su Citoplasma es grueso cerca del núcleo • Carecen de poros • Contienen filamentos delgados y vesículas a lo largo de las caras luminal y basal • Participan en el transporte de liquido en ambos sentidos a través de la pared capilar
  • 22.
    CLASIFICACIÓN DE LOS CAPILARESSEGÚN LA ESTRUCTURA DE SU PARED Esquema de un Capilar continuo Capilar continuo
  • 23.
    • Capilares Fenestrados •Se encuentran en la mucosa intestinal y glomérulo renal • Presenta poros o fenestras de 30 a 80 nm • Cerrados por un delgado diafragma excepto en los capilares de los glomérulos renales CLASIFICACIÓN DE LOS CAPILARES SEGÚN LA ESTRUCTURA DE SU PARED
  • 24.
    CLASIFICACIÓN DE LOS CAPILARESSEGÚN LA ESTRUCTURA DE SU PARED Esquema de Capilar fenestrado con poros evidentes Imagen histológica de capilar fenestrado del glomérulo renal
  • 25.
    • Tienen undiámetro luminal mayor al de los capilares normales • Las paredes con amplias hendiduras entre las células endoteliales • Lamina basal incompleta • Presentes en hígado y órganos hematopoyéticos como la medula ósea y el bazo • Capilares Sinusoidales CLASIFICACIÓN DE LOS CAPILARES SEGÚN LA ESTRUCTURA DE SU PARED
  • 26.
    CLASIFICACIÓN DE LOS CAPILARESSEGÚN LA ESTRUCTURA DE SU PARED Esquema de Capilar Sinusoide con membrana basal incompleta Imagen histológica de capilar sinusoide de hígado
  • 27.
    CAPILARES Esquema de tiposde capilares según la estructura de su pared endotelial Capilares continuo , fenestrado y sinusoide con sus respectivas características
  • 28.
    CAPILARES ARTERIALES YVENOSOS • Son vasos intermedios entre arterias y capilares y entre venas y capilares Capilares Arteriales o meta capilares • Los capilares arteriales presentan una luz mas amplia que los capilares comunes y contienen una capa discontinua de musculo liso en sus paredes • Rodeados de escaso tejido conectivo perivascular • Existen esfínteres precapilares originados en las arteriolas , que por su contracción controlan la cantidad de sangre que circula por el lecho capilar
  • 29.
    Capilares Venosos ovénulas poscapilares • Pueden tener hasta 30 um de diámetro o mas • Su pared consta de revestimiento epitelial , lamina basal y una delgada envoltura de T. conectivo con pericitos • Funcionalmente tienen intima relación con los capilares verdaderos permitiendo el intercambio de metabolitos y liquido entre la sangre y el liquido intercelular CAPILARES ARTERIALES Y VENOSOS
  • 30.
    CAPILARES ARTERIALES YVENOSOS Capilares arteriales y venosos
  • 31.
    ESTRUCTURA GENERAL DELOS VASOS SANGUÍNEOS • Todos los vasos sanguíneos con luz de mayor diámetro que los capilares presentan características comunes , presentan 3 envolturas o túnicas concéntricas. 1. Túnica Intima 2. Túnica media 3. Túnica Adventicia
  • 32.
    ESTRUCTURA GENERAL DELOS VASOS SANGUÍNEOS 1 La túnica intima • Revestimiento endotelial interno • Lamina basal subyacente • Capa subendotelial de tejido fibro elástico y una banda externa de fibras elásticas • Membrana elástica interna que falta en vasos mas pequeños
  • 33.
    ESTRUCTURA GENERAL DELOS VASOS SANGUÍNEOSCorte histológico de un vaso sanguíneo , aumento en la túnica intima
  • 34.
    2. La túnicamedia. • Consta de células musculares lisas dispuestas en forma circular • Entre las células musculares hay cantidades variables de fibras colágenas , elásticas y proteoglucanos ESTRUCTURA GENERAL DE LOS VASOS SANGUÍNEOS
  • 35.
    ESTRUCTURA GENERAL DELOS VASOS SANGUÍNEOS Esquema de arteria típica con túnica media evidente Imagen histológica de la capa media de aorta
  • 36.
    3. La túnicaadventicia. • Esta formada por T. conectivo fibroelastico en la parte mas cercana a la túnica media puede existir una concentración de fibras elásticas que forman la membrana elástica externa • Hacia afuera se mezcla con el t. conectivo que envuelve al órgano *En los vasos sanguíneos mayores encontramos vasos mas pequeños vasa vasorum que se halla en la adventicia ESTRUCTURA GENERAL DE LOS VASOS SANGUÍNEOS
  • 37.
    ESTRUCTURA GENERAL DELOS VASOS SANGUÍNEOS
  • 38.
    ESTRUCTURA GENERAL DELOS VASOS SANGUÍNEOS Túnicas Intima, media y adventicia de un vaso sanguíneo Túnicas Intima, media y adventicia de una arteria de grueso calibre
  • 39.
    • Los grandesvasos sanguíneos van junto a nervios periféricos en los llamados haces neurovasculares que se ramifican y se hacen mas delgados y se relacionan con las arteriolas y vénulas de menor calibre ESTRUCTURA GENERAL DE LOS VASOS SANGUÍNEOS Has neurovascular
  • 40.
  • 41.
    ARTERIAS • Arterias elásticasde gran calibre. • Arterias musculares de calibre pequeño y mediano. • Arteriolas (más pequeñas) Clasificación de las Arterias Clasificación
  • 42.
    ARTERIAS ELASTICAS DEGRAN CALIBRE • Las células endoteliales tienen forma poligonal. • La capa subendotelial es gruesa y consta de fibras colágenas y elásticas. ARTERIAS Túnica Intima Túnica Adventicia Túnica Media • formada por fibras elásticas y colágenas , no hay una membrana elástica externa bien definida • contiene vasa vasorum y vasos linfáticos • Membranas elásticas fenestradas en forma concéntrica • Entre las membranas , fibroblastos, sustancia amorfa y C. musculares lisas
  • 43.
    ARTERIAS ELASTICAS ARTERIAS Imagen histológicade Configuración de una arteria elástica Esquema de arteria elástica
  • 44.
    ARTERIAS MUSCULARES Tiene 3capas: endotelio. capa subendotelial. membrana elástica. ARTERIAS • Células musculares lisas dispuestas en forma muscular. • Entre las capas de musculo , pequeñas cantidades de T.conectivo, (colágenas ,reticulares y elásticas) Túnica Intima Túnica Media Túnica Adventicia • Es tan gruesa como la media • Contiene fibras colágenas(internamente) y elásticas
  • 45.
    ARTERIAS ARTERIAS MUSCULARES Imagen histológicade Sección transversal de arteria muscular Esquema de organización general de una arteria muscular
  • 46.
    ARTERIOLAS • Contiene soloendotelio y membrana elástica interna. • La túnica media formada por 1 a 5 capas de células musculares lisas y fibrillas elásticas • La delgada adventicia es una capa de tejido conectivo laxo . ARTERIAS Túnica intima Túnica Media Túnica Adventicia
  • 47.
    Esquema general dearteriola Imagen histológica de corte longitudinal de arteriola ARTERIOLAS
  • 48.
    ARTERIAS ESPECIALIZADAS • Arteriasdel Pulmón: -Reducción de los tejidos muscular y elástico -Paredes delgada • Arterias protegidas dentro del cráneo: -Paredes delgadas -Membrana elástica interna bien desarrollada • Arterias Umbilicales: -Capa media formada de 2 capas musculares -longitudinal interna y una circular externa • Arterias Penianas: -La capa intima contiene fibras musculares longitudinales ARTERIAS
  • 49.
    ARTERIAS CAMBIOS DE LASARTERIAS CON LA EDAD • El tejido elástico presenta engrosamientos irregulares • Las fibras elásticas se fragmentan • Hay infiltración de grasa en la sustancia intersticial • Puede haber calcificación en la túnica media
  • 50.
    CAMBIOS CON LAEDAD Arteria con calcificación de la media
  • 51.
  • 52.
    VENAS • Los vasossanguíneos venosos suelen clasificarse en tres grupos: • Vénulas, ramas venosas mas pequeñas. • Venas de calibre pequeño y mediano. • Venas de gran calibre.
  • 53.
    VENAS • En lasvenas la sangre esta a una presión mucho menor que en las arterias, las venas deben adaptarse a un mayor volumen de sangre. • Las venas tienen un diámetro mayor y paredes mas delgadas que las arterias.
  • 54.
    VENAS Corte histológico devena Esquema de Comparación entre arteria y vena
  • 55.
    VÉNULAS • Endotelio yuna vaina externa de fibras colágenas • Fibras elásticas • Capa continua de fibras musculares, entre ellas espacios con fibras colágenas y elásticas. • La adventicia es gruesa • Consta de fibras colágenas orientadas en forma longitudinal y dispersos entre ellas fibras elásticas y fibroblastos. Túnica Intima Túnica Media Túnica Adventicia
  • 56.
    VÉNULAS Corte histológico deVénulas musculares y colectoras Vénula y Arteriola comparación
  • 57.
    VENAS DE CALIBREPEQUEÑO Y MEDIANO • La túnica íntima es delgada • Consta de endotelio y de una capa subendotelial imprecisa y limitada hacia afuera por una red de fibras elásticas finas. • La túnica media esta conformada por pequeños haces de fibras musculares dispuestos en forma circular • La adventicia está bien desarrollada y constituye la mayor parte de la pared Túnica Intima Túnica Media Túnica Adventicia
  • 58.
    VENAS DE CALIBREPEQUEÑO Y MEDIANO Imagen histológica de vena de pequeño calibre Imagen histológica de vena de mediano calibre
  • 59.
    VENAS DE GRANCALIBRE • La túnica íntima tiene la misma estructura que las venas menores, pero pueden ser un poco gruesa. • La media está poco desarrollada, y en ella los elementos de músculo liso son pocos o pueden faltar. • La adventicia es la mas gruesa y contiene fibras musculares longitudinales , separadas por colágenas Túnica Intima Túnica Media Túnica Adventicia
  • 60.
    VENAS DE GRANCALIBRE Corte histológico de vena de gran calibre con sus túnicas respectivas Corte histológico de vena de gran calibre
  • 61.
    CARACTERÍSTICAS ESPECIALES DE ALGUNASVENAS • Algunas venas carecen de músculo liso y por tanto de una túnica media bien definida. • Este grupo incluyen las venas cerebrales y meníngeas, los senos durales y las venas de la retina, hueso, tejido eréctil del pene y componentes de la placenta.
  • 62.
    CARACTERÍSTICAS ESPECIALES DE ALGUNASVENAS • Las venas con abundante músculo liso incluyen las del útero grávido y de los miembros, la vena umbilical y algunas venas mesentéricas. • El músculo cardíaco se extiende una corta distancia dentro de las adventicias de las venas cavas y pulmonares, cerca de su entrada al corazón.
  • 63.
    VALVULAS VENOSAS • Muchasvenas de calibre pequeño y mediano, poseen válvulas que evitan el regreso de la sangre en su trayecto hacia el corazón. • Estas válvulas son pliegues semilunares dentro de la luz con sus bordes libres dirigidos hacia el corazón. • Ambas caras de las válvulas están cubiertas de endotelio. • La contracción del musculo esquelético y el sistema de válvulas , favorecen que la sangre vaya contra la gravedad
  • 64.
    VALVULAS VENOSAS Esquema deválvulas venosas y el sentido de recorrido de la sangre Esquema de válvulas venosas y su relación con el musculo estriado esquelético (miembros inferiores)
  • 65.
    ANASTOMOSIS ARTERIOVENOSAS • Algunasregiones hay comunicación directa entre arterias y venas. En estas anastomosis mas frecuentes entre arteriolas y vénulas, el endotelio descansa directamente sobre una túnica media especializada que incluye un esfínter. • El cortocircuito es mas abundante sobre todo en las partes descubiertas de la piel y en tejidos con actividad metabólica intermitente , como las glándulas • Cuando el cortocircuito se cierra la sangre pasa al lecho capilar regular
  • 66.
  • 67.
  • 68.
    CORAZÓN • Es laporción muy especializada del sistema vascular que impulsa a la sangre a través de los vasos sanguíneos. Consta de 3 Capas: • Capa Interna o Endocardio • Capa Media o Miocardio • Capa Externa o Epicardio
  • 69.
    CORAZÓN Imagen esquemática delas capas del corazón
  • 70.
    CORAZÓN Endocardio • Es elequivalente a la túnica íntima de los vasos sanguíneos y está revestido por endotelio. • Bajo el endotelio consta de las siguientes capas: • Capa subendotelial de fibras colágenas. • Capa de tejido conectivo denso. • Capa subendocárdica externa de tejido conectivo laxo que une el endocardio al miocardio y contiene vasos sanguíneos, nervios y ramas del sistema de conducción de impulsos.
  • 71.
  • 72.
    CORAZÓN Miocardio • Túnica media,está formado por el músculo estriado cardíaco. • En los ventrículos se dispone de 2 capas: • Capa superficial sus fibras siguen un trayecto espiral. • Capa profunda sus fibras siguen un trayecto circular alrededor de cada ventrículo. • Las hojas musculares de aurículas y ventrículos se insertan por medio de tejido conectivo intersticial endomisio hacia el esqueleto cardíaco.
  • 73.
    Corazón-Miocardio Imagen histológica demiocardio Fibras musculares del miocardio
  • 74.
    CORAZÓN Epicardio • También llamadapericardio visceral. • Es una membrana serosa cubierta por una sola capa de células mesoteliales. • Por debajo hay una capa gruesa de tejido areolar o adiposo que es la capa subepicárdica que contiene vasos coronarios y nervios.
  • 75.
  • 76.
  • 77.
    CORAZÓN Esqueleto Cardiaco • Esla estructura central de sostén del corazón. • Formada por tejido conectivo fibroso denso en el que se inserta el músculo y las válvulas del corazón. •Principales componentes: • El tabique membranoso o porción fibrosa del tabique interventricular. • Los anillos fibrosos que rodean las arterias aorta y pulmonar y los conductos auriculoventriculares. • Los trígonos fibrosos que son masas de tejido fibroso entre los orificios arteriales y los auriculoventriculares.
  • 78.
  • 79.
    CORAZÓN Válvulas Cardíacas 1) Válvulasauriculoventriculares (tricúspide y mitral). • Está entre las aurículas y los ventrículos. • Unidas a los músculos papilares de los ventrículos por cordones fibrosos, las cuerdas tendinosas (limitan el movimiento de las válvulas y evitan eversión cuando contraen ventrículos).
  • 80.
    2) Válvulas semilunares. •Está entre los ventrículos y las arterias aorta y pulmonar. • Tienen tres valvas cada una y forman un engrosamiento (nódulo de Arancio) en su borde libre de cada valva. CORAZÓN Válvulas Cardíacas
  • 81.
  • 82.
    CORAZÓN Sistema de Conducciónde Impulsos del Corazón • Fibras de Purkinje, fibras musculares cardíacas especializadas (conduce el impulso para la contracción cardíaca orientado en la aurícula derecha, en el nodo sinoauricular, el marcapaso del corazón). • Tienen un diámetro mayor que las demás fibras musculares.
  • 83.
    CORAZÓN Sistema de Conducciónde Impulsos del Corazón • El impulso comienza en el nodo sinoauricular (consta de una red densa de fibras Purkinje pequeñas que hacia la periferia se continúan las fibras musculares cardíacas auriculares). • El impulso se propaga por medio de fibras especializadas para la conducción al nodo auriculoventricular (masa densa de fibras localizadas en la pared media de la aurícula derecha).
  • 84.
    CORAZÓN Sistema de Conducciónde Impulsos del Corazón • El nodo se continúa con el haz auriculoventricular (haz de His) • Se divide en dos ramas situadas por debajo del endocardio, éstas terminan en un sistema de fibras Purkinje que se unen a las fibras ordinarias de ambos ventrículos.
  • 85.
    Corazón-Sistema de Conducciónde Impulsos del Corazón
  • 86.
  • 87.
    SISTEMA VASCULAR LINFÁTICO •Es unidireccional. • Tiene como función drenar el exceso de líquido tisular o linfa, filtrarlo a su paso por los ganglios linfáticos y regresarlo al torrente sanguíneo. • Componentes: • Capilares linfáticos • Vasos linfáticos • Troncos linfáticos principales
  • 88.
    SISTEMA VASCULAR LINFÁTICO Capilareslinfáticos • Son los vasos linfáticos más pequeños, semejantes a los capilares sanguíneos. • Túbulos simples revestidos de endotelio, gruesos y de calibre irregular. • Carecen de lámina basal completa, rodeados por una capa de fibras colágenas y reticulares que se extienden como filamentos de anclaje hacia los tejidos conectivos.
  • 89.
  • 90.
    SISTEMA VASCULAR LINFÁTICO VasosLinfáticos • Son vasos mayores que reciben la linfa de los capilares. • Contiene válvulas. •Semejantes a las venas en estructura pero en paredes más delgadas. • El endotelio está rodeado por fibras colágenas y elásticas y de algunas células musculares lisas. • Se distingue 3 envolturas: íntima, media y adventicia.
  • 91.
  • 92.
    SISTEMA VASCULAR LINFÁTICO TroncosLinfáticos Principales • Estos son el conducto torácico y el conducto linfático derecho. • Semejante a una vena de igual calibre pero de mayor concentración de fibras musculares lisas en la media. • Íntima: Consta de un revestimiento endotelial, una capa subendotelial y una membrana elástica delgada. • Media: Contiene haces musculares longitudinales y circulares. • Adventicia: Contiene fibras colágenas gruesas y algunas musculares longitudinales.
  • 93.
    Sistema Vascular Linfático- TroncosLinfáticos Principales
  • 99.