SISTEMA
CARDIOVASCULAR
VASOS SANGUÍNEOS
Dra. Anahí Chavarría Krauser
Medicina Experimental
Facultad de Medicina, UNAM
VASOS SANGUÍNEOS

DISTRIBUCIÓN DE LA SANGRE
ESTRUCTURA GENERAL
CAPAS DE LA PARED VASCULAR
CAPAS DE LA PARED VASCULAR
Túnica íntima
•

Capa endotelial

•

Lámina basal

Capa Subendotelial (Tejido
Conectivo laxo) con algunas células
musculares lisas dispersas
•

Lamina elástica interna fenestrada
que separa la túnica íntima de la
túnica media
•
ENDOTELIO
Proporciona una
superficie lisa orientada
según la circulación
sanguínea
•

Secreta colágena II,IV y
V, lámina, endotelina,
óxido nítrico, factor von
Willenbrand (factor de
coagulación VIII)
•
ENDOTELIO
Presenta estructuras electróndensas (Cuerpos de WeibelPalade) que contienen factor
von Willenbrand
•

Posee varias enzimas
(convertidora de angiotensina,
inactivadoras de bradiquininas,
serotonina, prostaglandinas,
trombina, NA)
•
Propiedades
Mantener barrera
de permeabilidad
selectiva

Funciones asociadas
• Difusión simple
• Transporte activo
• Pinocitosis
Endocitosis mediada
por receptores
•

Mantener barrera
no trombogénica

Secreción de
anticoagulantes
• Secreción de
antitrombogénicos
•

Secreción de
protrombogénicos
•

Moléculas involucradas
• O2, CO2
Glucosa, amino ácidos, electrolitos
• H20, pequeñas moléculas, proteínas
solubles
• LDL, colesterol, transferrina,
factores de creciùmiento, complejos
Anticuerpo-MHC
•

•

Trombomodulina

Prostaciclina, activador de
plasminógeno tisular, antitrombina
III, heparina
•Tromboplastina tisular, factor von
Willenbrand, activador inhibidor de
plasminógeno
•
Propiedades

Funciones asociadas

Moléculas involucradas

Modulación del flujo
sanguíneo y resistencia
vascular

•

Secreción de
vasoconstrictores
• Secreción de
vasodilatadores

•

Regulación del
crecimiento celular

•

Secreción de factores de
crecimiento
• Secreción de factores
inhibidores de crecimiento

•

Regulación de la
respuesta inmunológica

•

Regulación de la
migración leucocitaria por
moléculas de adhesión
• Regulación de funciones
inmunológicas

•

Endotelina, ECA

ON, prostaciclina, factor de
relajación derivado del endotelio
•

Factor de crecimiento derivado de
plaquetas, GM-CSF, G-CSF, M-CSF
• Heparina, TGFβ
Selectinas, integrinas, marcadores
CD
•

Mantener la matriz
extracelular

•

Síntesis de lámina basal
• Síntesis de glucocáliz

•

Metabolismo de
lipoproteinas

•

Producción de radicales
libres

•

IL1, IL6, IL8, moléculas de MHC

Colágena IV, laminina
• Proteoglicanos
LDL, colesterol, VLDL
CAPAS DE LA PARED VASCULAR
Túnica media
Capas circunferenciales de células
musculares lisas
•

Elastina, fibras reticulares y
proteoglicanos
•

Lámina elástica externa fenestrada
que separa la túnica media de la
túnica adventicia
•
LÁMINAS ELÁSTICAS
CAPAS DE LA PARED VASCULAR
Túnica adventicia
Capas longitudinales de tejido
conectivo laxo
•

•

Colágena y pocas fibras elásticas

•

Vasa vasorum

•

Nervi vascularis
CLASIFICACIÓN DE ARTERIAS


Grandes o elásticas
Aorta
 Braquiocefálica
 Carótida común
 Subclávica
 Iliacas comunes
 Arterias pulmonares




Medianas o musculares




Mayoría de las arterias corporales

Pequeñas y arteriolas
ARTERIAS GRANDES O
ELÁSTICAS
•

Conducción

Facilitan el movimiento
uniforme y continuo de
la sangre
•

Durante la sístole se
distiende recibiendo el
volumen sanguíneo
•

Durante la diástole al
regresar a su forma
impulsando la sangre
•
ARTERIAS ELÁSTICAS
Túnica íntima
Túnica media

Túnica adventicia
Túnica íntima
•

Muy gruesa

•

Células endoteliales

Capa subendotelial de tejido conectivo
(colágena, fibras elásticas y macrófagos)
•

•

Lámina elástica interna
ARTERIAS ELÁSTICAS
Túnica media
Láminas elásticas concéntricas
(Aorta 40-70 láminas)
•

Fenestraciones entre láminas que
permiten la difusión de sustancias
•

Células musculares lisas en capas
espirales que producen la matriz
extracelular y pueden migrar a la T.
íntima
•

Fibras de colágena y matriz
extracelular, sin fibroblastos
•
ARTERIAS ELÁSTICAS
ARTERIAS ELÁSTICAS
Túnica íntima

Túnica media

Túnica adventicia
•

Es delgada

Colágena y fibras elásticas sin
formar láminas
•

•

Fibroblastos y macrófagos

•

Vasa vasorum y nervi vascularis
AORTA
ARTERIAS MEDIANAS O
MUSCULARES
Algunas arterias
presentan tanto
características de arterias
elásticas como de
arterias musculares
•

Se distinguen por tener
una T. media de células
musculares lisas
prominente y una
lámina elástica interna
prominente
•
ARTERIAS MUSCULARES
Túnica íntima
+ delgada que en arterias
elasticas
•

•

Células endoteliales

Capa subendotelial de tejido
conectivo escasa
•

Lámina elástica interna
prominente
•
ARTERIAS MUSCULARES
Túnica media
Capas espirales
de células
musculares lisas
•

Mantienen la
presión arterial
•

Fibras de
colágena y escasas
fibras elásticas,
sin fibroblastos
•

•Lámina

externa

elástica
ARTERIAS MUSCULARES

Túnica adventicia
•

+ gruesa que en arterias elásticas, = gruesa que la T. media

Fibroblastos, fibras de colágena, fibras elásticas y algunos
adipocitos
•

•

Nervi vascularis y vasa vasorum
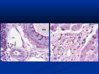
PEQUEÑAS ARTERIAS Y
ARTERIOLAS
•

Túnica íntima
Endotelio con uniones
tipo nexo con células del
músculo liso de la T. media
•

•

Túnica media
Capas de células de
musculo liso
•

•

Túnica adventicia
•

Tejido conectivo
PEQUEÑAS ARTERIAS Y
ARTERIOLAS
Las diferencias entre una
pequeña arteria y una
arteriola son:
•

Arteriola:
1-2 capas de células
musculares lisas
•

•

Arteria pequeña:
•

hasta 8 capas

•

Lámina elástica interna
ARTERIOLAS
Regulan el flujo sanguíneo hacia los lechos capilares
Metarteriola: sus capas de células musculares no son continuas y una de
ellas rodea el endotelio del capilar que surge funcionando como esfínter
Contracción
→

↑ resistencia

→

↓ flujo capilar

Dilatación
→

↓ resistencia

→

↑flujo capilar
CAPILARES
Forman una red vascular que
permite el intercambio de gases,
metabolitos y desechos a través de sus
paredes
•

En el cuerpo humano hay 50,000
capilares
•

Tienen una capa endotelial orientada
longitudinal y su lámina basal
•

Las células endoteliales presentan
uniones estrechas y adherentes
•

•

Tienen un diámetro de 8-10 µm
CAPILARES

Pericitos:
•

Abrazan capilares y vénulas

Prolongaciones primarias
siguen el eje largo del capilar
•

Prolongaciones secundarias
envuelven el capilar y tienen
uniones tipo nexo con las células
endoteliales
•

Comparten la lámina basal con
las células endoteliales
•

Se pueden diferenciar en células
de músculo liso o endoteliales
•
CAPILARES
CLASIFICACIÓN DE CAPILARES
CAPILARES CONTINUOS
Músculo, pulmones, tejido
conectivo y SNC
• Uniones estrechas
• Abundantes vesículas
pinocíticas debajo de la
superficie membranal luminal
y basal (diámetro de 70 nm)
•

•Transportadores

(glucosa,
aminoácidos, nucleósidos y
purinas)
Pueden ser modificados
como en el caso de la barrera
hematoencefálica
•
CAPILARES CONTINUOS
CAPILARES FENESTRADOS
Glándulas endocrinas, páncreas,
vesícula biliar y tubo digestivo
• Fenestraciones que forman
canales (80-100 nm de diámetro)
• Fenestras con un diafragma no
membranoso con posibles
remanentes de glucocáliz
• Algunas vesículas pinocíticas
• La formación de las vesículas
pinocíticas contribuye a la
formación de fenestraciones
• El número de fenestraciones y el
grosor de la pared capilar cambian
durante la absorción en tubo
digestivo
•
CAPILAR FENESTRADO
CAPILARES DISCONTINUOS O
SINUSOIDALES
Hígado, bazo y médula ósea
• Diámetro irregular de 30-40 µm
• Fenestras grandes sin
diafragmas
• Pared endotelial y lámina basal
discontinuas
• Carecen de vesículas pinocíticas
• Tienen células especializadas
(Células de Kupffer
(macrófagos), Células de Ito
(células estrelladas hepáticas))
•
CAPILARES
•

Agentes vasodilatadores (↓O2, ON, etc)

→

Vasodilatación arteriolar

→

↑ presion capilar

→

Pinocitosis

plasma fluye al tejido

•

SNP, NA de la glándula suprarrenal

→

Vasoconstricción arteriolar

→

↓ presión capilar

→

Vesículas clatrina

↑ absorción de fluidos tisulares

↑ Redes capilares en sitios activos
metabolicamente (hígado, SNC, músculo
cardiaco y esquelético)
•

Fenestras temporales
ANASTOMOSIS ARTERIOVENOSAS











Rutas directas entre arterias y venas
Piel de las puntas de los dedos, nariz, labios y tejido eréctil del
pene y clítoris
Posee una capa muscular gruesa, una cápsula de tejido
conectivo, y está altamente inervado
Contracción del músculo de la arteriola AV lleva la sangre al
lecho capilar, mientras que la relajación a la vénula
Regula temperatura corporal (apertura de AAV ↓ flujo capilar
conservando la temperatura, el cierre de AAV ↑ flujo capilar
perdiendo temperatura)
Cierre de AAV en los cuerpos cavernosos inicia la erección del
pene
CLASIFICACIÓN DE VENAS


Pequeñas o vénulas





Medianas




Mayoría de las venas corporales

Grandes









Postcapilares
Musculares

Subclávicas
Yugulares
Pulmonares
Venas cavas
Porta
Renales

Atípicas


Seno venoso o dural
VÉNULA POSTCAPILAR
•

Diámetro < 0.2 mm

Endotelio cúbico con núcleos
ovoides,
•

•

Sin túnica media

•

Lámina basal y pericitos

Responden a histamina y
serotonina → extravasación de
fluidos y migración leucocitaria
•

En los nódulos linfáticos se
llaman vénulas endoteliales altas
•
VÉNULA MUSCULAR

•

Diámetro hasta 1 mm

Túnica media compuesta
por 1-2 capas de células
musculares lisas
•

•

Túnica adventicia delgada
VENA DE CALIBRE MEDIANO
•

Túnica íntima
Endotelio con
lámina basal
•

Capa subendotelial
delgada con algunas
células musculares
lisas
•

En algunos casos
una lámina elástica
interna delgada
•

•

Túnica media
VENA DE CALIBRE MEDIANO
•

Túnica íntima

•

Túnica media
•+

delgada que en arterias medianas

Capas circulares de células
musculares lisas con fibras de colágena
y algunas fibras elásticas
•

Células organizadas longitudinal
cerca de la T. adventicia
•

•

Túnica adventicia
•

+ gruesa que la túnica media

•

Fibras de colágena y una red de
VENA DE CALIBRE MEDIANO

•

Endotelio
• Células musculares lisas (SM)
• Algunas fibras elásticas (E)
VENA DE CALIBRE MEDIANO
Diámetro hasta 10 mm
• Válvulas más numerosas en la
parte inferior del cuerpo para
prevenir el movimiento retrogrado
de la sangre por la gravedad
• Válvulas son 1-3 pliegues de la
túnica íntima
•
VENA DE GRAN CALIBRE
•

Túnica íntima
Endotelio con
lámina basal
•

Capa subendotelial
delgada con algunas
células musculares
lisas
•
VENA DE GRAN CALIBRE
•

Túnica media
•

muy delgada

Células musculares lisas
circunferenciales
•

Colágena y algunos
fibroblastos
•
VENA DE GRAN CALIBRE
•

Túnica adventicia
•

Capa + gruesa

Colágena, fibras
elásticas y fibroblastos
•

Células musculares lisas
longitudinales
•
Vasos

Diámetro

T. íntima

T. media

A. elástica

>1 cm

•

Endotelio
• T. conectivo
• M. liso

•

M. liso
• Láminas elásticas

•

A. mediana
(muscular)

2-10 mm

•

Endotelio
• T. conectivo
• M. liso
• Lámina elástica
interna prominente

•

M. liso
• Fibras de
colágena
• Pocas láminas
elásticas

•

A. pequeña

0.1-2 mm

•Endotelio

•

M. liso (8-10
capas de células)
• Fibras de
colágena

•

M. liso (1-2 capas
de células)

•

T. conectivo
• M. liso
• Lámina elástica
interna
•

Arteriola

10-100 µm

•Endotelio

T. conectivo
• M. liso
•

Capilar

4-10 µm

•

Endotelio

•

•

No tiene

T. adventicia
T. conectivo
• Fibras elásticas
• + delgada que T. media
T. conectivo
• Algunas fibras elásticas
• + delgada que T. media

T. conectivo
• Algunas fibras elásticas
• + delgada que T. media

Delgada sólo una capa
de T. conectivo
•

No tiene
Vasos

Diámetro

T. íntima

T. media

Venúla
postcapilar

10-50 µm

•

Endotelio
• Pericitos

•

Venúla
muscular

50-100µm

•

Endotelio
• Pericitos

•

M. liso (1-2 capas de
células)

•

V. pequeña

0.1-1 mm

•Endotelio

•M. liso (2-3 capas

•

No tiene

T. conectivo
• M. liso (2-3
capas de células)

continuas con la T.
íntima)

•

T. adventicia
•

No tiene

T. conectivo
• Algunas fibras elásticas
• + gruesa que T. media
T. conectivo
• Algunas fibras elásticas
• + gruesa que T. media

V. mediana

1-10 mm

•

Endotelio
• T. conectivo
• M. liso
• Lámina elástica
interna a veces

•

M. liso
• Fibras de colágena

•

T. conectivo
• Algunas fibras elásticas
• + gruesa que T. media

V. grande

>1 cm

•

Endotelio
• T. conectivo
• M. liso

•

M. liso (2-15 capas)
• Fibras de colágena
• M. cardiaca cerca del
corazón

•

T. conectivo
• Algunas fibras elásticas
• M. liso longitudinal
• ++ gruesa que T. media
INERVACIÓN DE LOS VASOS


Sistema nervioso simpático
Nervios vasomotores
 Noradrenalina
 Liberación en la túnica adventicia
 células musculares de la túnica media
 Vasoconstricción
 Arterias > Venas




Sistema nervioso parasimpático




Arterias de músculo esquelético
Acetilcolina
Vasodilatación
ESTRUCTURAS SENSORIALES
ARTERIALES
Baroreceptores
 Detección de la presión arterial elevada
 Senos carotídeos y arco áortico
 Túnica adventicia gruesa con terminaciones
nerviosas del nervio craneal IX (glosofaríngeo)
 Túnica media delgada que se distiende fácilmente
al ↑ la presion arterial estimulando las terminaciones
nerviosas
 Control de la presión en el centro vasomotor
encefálico
ESTRUCTURAS SENSORIALES
ARTERIALES
Quimioreceptores
 Detección de las alteraciones de O , CO y pH
2
2
 Cuerpos carotídeo (bifurcación de la carótida
común) y aórtico (arco aórtico)
 Presentan cordones y grupos irregulares de células
epiteloides con gran cantidad de fibras nerviosas
aferentes y eferentes
 Tienen terminaciones aferentes del nervio
glosofaríngeo y el vago
 Ajustan la frecuencia cardiaca y respiratoria
ÓXIDO NÍTRICO
MICROCIRCULACION
VASOS LINFÁTICOS
•

Circula linfa

Su flujo es únicamente de
los tejidos a la sangre
pasando por nódulos
linfáticos
•

Drenan a al conducto
torácico, al tronco linfático
derecho, y a las uniones de
las venas yugular interna y
subclávica,
•
VASOS LINFÁTICOS
Son muy abundantes en el tejido
conectivo subepitelial de la piel y
mucosas
•
CAPILARES LINFÁTICOS
“Tubos ciegos” que convergen hasta
formar vasos linfáticos
•

•

Presentan endotelio

Carecen de una lámina basal
continua por lo que son más
permeables
•

Presentan filamentos de anclaje que
van de la lámina basal a la colágena
perivascular y sirven para mantener la
forma del vaso linfático durante el
incremento de la presión tisular en la
inflamación
•
VASOS LINFÁTICOS

Paredes más
gruesas por tener
tejido conectivo y
algunas fibras de
músculo liso
•

•

Presentan válvulas

El flujo es por la
compresión de los
vasos linfáticos por
los músculos
esqueléticos
adyacentes
•
ATEROMA
ATEROMA
AORTA

Histología de vasos sanguineos

  • 1.
    SISTEMA CARDIOVASCULAR VASOS SANGUÍNEOS Dra. AnahíChavarría Krauser Medicina Experimental Facultad de Medicina, UNAM
  • 2.
  • 3.
  • 4.
    CAPAS DE LAPARED VASCULAR
  • 5.
    CAPAS DE LAPARED VASCULAR Túnica íntima • Capa endotelial • Lámina basal Capa Subendotelial (Tejido Conectivo laxo) con algunas células musculares lisas dispersas • Lamina elástica interna fenestrada que separa la túnica íntima de la túnica media •
  • 6.
    ENDOTELIO Proporciona una superficie lisaorientada según la circulación sanguínea • Secreta colágena II,IV y V, lámina, endotelina, óxido nítrico, factor von Willenbrand (factor de coagulación VIII) •
  • 7.
    ENDOTELIO Presenta estructuras electróndensas(Cuerpos de WeibelPalade) que contienen factor von Willenbrand • Posee varias enzimas (convertidora de angiotensina, inactivadoras de bradiquininas, serotonina, prostaglandinas, trombina, NA) •
  • 8.
    Propiedades Mantener barrera de permeabilidad selectiva Funcionesasociadas • Difusión simple • Transporte activo • Pinocitosis Endocitosis mediada por receptores • Mantener barrera no trombogénica Secreción de anticoagulantes • Secreción de antitrombogénicos • Secreción de protrombogénicos • Moléculas involucradas • O2, CO2 Glucosa, amino ácidos, electrolitos • H20, pequeñas moléculas, proteínas solubles • LDL, colesterol, transferrina, factores de creciùmiento, complejos Anticuerpo-MHC • • Trombomodulina Prostaciclina, activador de plasminógeno tisular, antitrombina III, heparina •Tromboplastina tisular, factor von Willenbrand, activador inhibidor de plasminógeno •
  • 9.
    Propiedades Funciones asociadas Moléculas involucradas Modulacióndel flujo sanguíneo y resistencia vascular • Secreción de vasoconstrictores • Secreción de vasodilatadores • Regulación del crecimiento celular • Secreción de factores de crecimiento • Secreción de factores inhibidores de crecimiento • Regulación de la respuesta inmunológica • Regulación de la migración leucocitaria por moléculas de adhesión • Regulación de funciones inmunológicas • Endotelina, ECA ON, prostaciclina, factor de relajación derivado del endotelio • Factor de crecimiento derivado de plaquetas, GM-CSF, G-CSF, M-CSF • Heparina, TGFβ Selectinas, integrinas, marcadores CD • Mantener la matriz extracelular • Síntesis de lámina basal • Síntesis de glucocáliz • Metabolismo de lipoproteinas • Producción de radicales libres • IL1, IL6, IL8, moléculas de MHC Colágena IV, laminina • Proteoglicanos LDL, colesterol, VLDL
  • 10.
    CAPAS DE LAPARED VASCULAR Túnica media Capas circunferenciales de células musculares lisas • Elastina, fibras reticulares y proteoglicanos • Lámina elástica externa fenestrada que separa la túnica media de la túnica adventicia •
  • 11.
  • 12.
    CAPAS DE LAPARED VASCULAR Túnica adventicia Capas longitudinales de tejido conectivo laxo • • Colágena y pocas fibras elásticas • Vasa vasorum • Nervi vascularis
  • 13.
    CLASIFICACIÓN DE ARTERIAS  Grandeso elásticas Aorta  Braquiocefálica  Carótida común  Subclávica  Iliacas comunes  Arterias pulmonares   Medianas o musculares   Mayoría de las arterias corporales Pequeñas y arteriolas
  • 14.
    ARTERIAS GRANDES O ELÁSTICAS • Conducción Facilitanel movimiento uniforme y continuo de la sangre • Durante la sístole se distiende recibiendo el volumen sanguíneo • Durante la diástole al regresar a su forma impulsando la sangre •
  • 15.
    ARTERIAS ELÁSTICAS Túnica íntima Túnicamedia Túnica adventicia Túnica íntima • Muy gruesa • Células endoteliales Capa subendotelial de tejido conectivo (colágena, fibras elásticas y macrófagos) • • Lámina elástica interna
  • 16.
    ARTERIAS ELÁSTICAS Túnica media Láminaselásticas concéntricas (Aorta 40-70 láminas) • Fenestraciones entre láminas que permiten la difusión de sustancias • Células musculares lisas en capas espirales que producen la matriz extracelular y pueden migrar a la T. íntima • Fibras de colágena y matriz extracelular, sin fibroblastos •
  • 17.
  • 18.
    ARTERIAS ELÁSTICAS Túnica íntima Túnicamedia Túnica adventicia • Es delgada Colágena y fibras elásticas sin formar láminas • • Fibroblastos y macrófagos • Vasa vasorum y nervi vascularis
  • 19.
  • 20.
    ARTERIAS MEDIANAS O MUSCULARES Algunasarterias presentan tanto características de arterias elásticas como de arterias musculares • Se distinguen por tener una T. media de células musculares lisas prominente y una lámina elástica interna prominente •
  • 21.
    ARTERIAS MUSCULARES Túnica íntima +delgada que en arterias elasticas • • Células endoteliales Capa subendotelial de tejido conectivo escasa • Lámina elástica interna prominente •
  • 22.
    ARTERIAS MUSCULARES Túnica media Capasespirales de células musculares lisas • Mantienen la presión arterial • Fibras de colágena y escasas fibras elásticas, sin fibroblastos • •Lámina externa elástica
  • 23.
    ARTERIAS MUSCULARES Túnica adventicia • +gruesa que en arterias elásticas, = gruesa que la T. media Fibroblastos, fibras de colágena, fibras elásticas y algunos adipocitos • • Nervi vascularis y vasa vasorum
  • 24.
    PEQUEÑAS ARTERIAS Y ARTERIOLAS • Túnicaíntima Endotelio con uniones tipo nexo con células del músculo liso de la T. media • • Túnica media Capas de células de musculo liso • • Túnica adventicia • Tejido conectivo
  • 25.
    PEQUEÑAS ARTERIAS Y ARTERIOLAS Lasdiferencias entre una pequeña arteria y una arteriola son: • Arteriola: 1-2 capas de células musculares lisas • • Arteria pequeña: • hasta 8 capas • Lámina elástica interna
  • 26.
    ARTERIOLAS Regulan el flujosanguíneo hacia los lechos capilares Metarteriola: sus capas de células musculares no son continuas y una de ellas rodea el endotelio del capilar que surge funcionando como esfínter Contracción → ↑ resistencia → ↓ flujo capilar Dilatación → ↓ resistencia → ↑flujo capilar
  • 27.
    CAPILARES Forman una redvascular que permite el intercambio de gases, metabolitos y desechos a través de sus paredes • En el cuerpo humano hay 50,000 capilares • Tienen una capa endotelial orientada longitudinal y su lámina basal • Las células endoteliales presentan uniones estrechas y adherentes • • Tienen un diámetro de 8-10 µm
  • 28.
    CAPILARES Pericitos: • Abrazan capilares yvénulas Prolongaciones primarias siguen el eje largo del capilar • Prolongaciones secundarias envuelven el capilar y tienen uniones tipo nexo con las células endoteliales • Comparten la lámina basal con las células endoteliales • Se pueden diferenciar en células de músculo liso o endoteliales •
  • 29.
  • 30.
  • 31.
    CAPILARES CONTINUOS Músculo, pulmones,tejido conectivo y SNC • Uniones estrechas • Abundantes vesículas pinocíticas debajo de la superficie membranal luminal y basal (diámetro de 70 nm) • •Transportadores (glucosa, aminoácidos, nucleósidos y purinas) Pueden ser modificados como en el caso de la barrera hematoencefálica •
  • 32.
  • 33.
    CAPILARES FENESTRADOS Glándulas endocrinas,páncreas, vesícula biliar y tubo digestivo • Fenestraciones que forman canales (80-100 nm de diámetro) • Fenestras con un diafragma no membranoso con posibles remanentes de glucocáliz • Algunas vesículas pinocíticas • La formación de las vesículas pinocíticas contribuye a la formación de fenestraciones • El número de fenestraciones y el grosor de la pared capilar cambian durante la absorción en tubo digestivo •
  • 34.
  • 35.
    CAPILARES DISCONTINUOS O SINUSOIDALES Hígado,bazo y médula ósea • Diámetro irregular de 30-40 µm • Fenestras grandes sin diafragmas • Pared endotelial y lámina basal discontinuas • Carecen de vesículas pinocíticas • Tienen células especializadas (Células de Kupffer (macrófagos), Células de Ito (células estrelladas hepáticas)) •
  • 36.
    CAPILARES • Agentes vasodilatadores (↓O2,ON, etc) → Vasodilatación arteriolar → ↑ presion capilar → Pinocitosis plasma fluye al tejido • SNP, NA de la glándula suprarrenal → Vasoconstricción arteriolar → ↓ presión capilar → Vesículas clatrina ↑ absorción de fluidos tisulares ↑ Redes capilares en sitios activos metabolicamente (hígado, SNC, músculo cardiaco y esquelético) • Fenestras temporales
  • 37.
    ANASTOMOSIS ARTERIOVENOSAS       Rutas directasentre arterias y venas Piel de las puntas de los dedos, nariz, labios y tejido eréctil del pene y clítoris Posee una capa muscular gruesa, una cápsula de tejido conectivo, y está altamente inervado Contracción del músculo de la arteriola AV lleva la sangre al lecho capilar, mientras que la relajación a la vénula Regula temperatura corporal (apertura de AAV ↓ flujo capilar conservando la temperatura, el cierre de AAV ↑ flujo capilar perdiendo temperatura) Cierre de AAV en los cuerpos cavernosos inicia la erección del pene
  • 38.
    CLASIFICACIÓN DE VENAS  Pequeñaso vénulas    Medianas   Mayoría de las venas corporales Grandes        Postcapilares Musculares Subclávicas Yugulares Pulmonares Venas cavas Porta Renales Atípicas  Seno venoso o dural
  • 39.
    VÉNULA POSTCAPILAR • Diámetro <0.2 mm Endotelio cúbico con núcleos ovoides, • • Sin túnica media • Lámina basal y pericitos Responden a histamina y serotonina → extravasación de fluidos y migración leucocitaria • En los nódulos linfáticos se llaman vénulas endoteliales altas •
  • 40.
    VÉNULA MUSCULAR • Diámetro hasta1 mm Túnica media compuesta por 1-2 capas de células musculares lisas • • Túnica adventicia delgada
  • 41.
    VENA DE CALIBREMEDIANO • Túnica íntima Endotelio con lámina basal • Capa subendotelial delgada con algunas células musculares lisas • En algunos casos una lámina elástica interna delgada • • Túnica media
  • 42.
    VENA DE CALIBREMEDIANO • Túnica íntima • Túnica media •+ delgada que en arterias medianas Capas circulares de células musculares lisas con fibras de colágena y algunas fibras elásticas • Células organizadas longitudinal cerca de la T. adventicia • • Túnica adventicia • + gruesa que la túnica media • Fibras de colágena y una red de
  • 43.
    VENA DE CALIBREMEDIANO • Endotelio • Células musculares lisas (SM) • Algunas fibras elásticas (E)
  • 44.
    VENA DE CALIBREMEDIANO Diámetro hasta 10 mm • Válvulas más numerosas en la parte inferior del cuerpo para prevenir el movimiento retrogrado de la sangre por la gravedad • Válvulas son 1-3 pliegues de la túnica íntima •
  • 45.
    VENA DE GRANCALIBRE • Túnica íntima Endotelio con lámina basal • Capa subendotelial delgada con algunas células musculares lisas •
  • 46.
    VENA DE GRANCALIBRE • Túnica media • muy delgada Células musculares lisas circunferenciales • Colágena y algunos fibroblastos •
  • 47.
    VENA DE GRANCALIBRE • Túnica adventicia • Capa + gruesa Colágena, fibras elásticas y fibroblastos • Células musculares lisas longitudinales •
  • 48.
    Vasos Diámetro T. íntima T. media A.elástica >1 cm • Endotelio • T. conectivo • M. liso • M. liso • Láminas elásticas • A. mediana (muscular) 2-10 mm • Endotelio • T. conectivo • M. liso • Lámina elástica interna prominente • M. liso • Fibras de colágena • Pocas láminas elásticas • A. pequeña 0.1-2 mm •Endotelio • M. liso (8-10 capas de células) • Fibras de colágena • M. liso (1-2 capas de células) • T. conectivo • M. liso • Lámina elástica interna • Arteriola 10-100 µm •Endotelio T. conectivo • M. liso • Capilar 4-10 µm • Endotelio • • No tiene T. adventicia T. conectivo • Fibras elásticas • + delgada que T. media T. conectivo • Algunas fibras elásticas • + delgada que T. media T. conectivo • Algunas fibras elásticas • + delgada que T. media Delgada sólo una capa de T. conectivo • No tiene
  • 49.
    Vasos Diámetro T. íntima T. media Venúla postcapilar 10-50µm • Endotelio • Pericitos • Venúla muscular 50-100µm • Endotelio • Pericitos • M. liso (1-2 capas de células) • V. pequeña 0.1-1 mm •Endotelio •M. liso (2-3 capas • No tiene T. conectivo • M. liso (2-3 capas de células) continuas con la T. íntima) • T. adventicia • No tiene T. conectivo • Algunas fibras elásticas • + gruesa que T. media T. conectivo • Algunas fibras elásticas • + gruesa que T. media V. mediana 1-10 mm • Endotelio • T. conectivo • M. liso • Lámina elástica interna a veces • M. liso • Fibras de colágena • T. conectivo • Algunas fibras elásticas • + gruesa que T. media V. grande >1 cm • Endotelio • T. conectivo • M. liso • M. liso (2-15 capas) • Fibras de colágena • M. cardiaca cerca del corazón • T. conectivo • Algunas fibras elásticas • M. liso longitudinal • ++ gruesa que T. media
  • 53.
    INERVACIÓN DE LOSVASOS  Sistema nervioso simpático Nervios vasomotores  Noradrenalina  Liberación en la túnica adventicia  células musculares de la túnica media  Vasoconstricción  Arterias > Venas   Sistema nervioso parasimpático    Arterias de músculo esquelético Acetilcolina Vasodilatación
  • 54.
    ESTRUCTURAS SENSORIALES ARTERIALES Baroreceptores  Detecciónde la presión arterial elevada  Senos carotídeos y arco áortico  Túnica adventicia gruesa con terminaciones nerviosas del nervio craneal IX (glosofaríngeo)  Túnica media delgada que se distiende fácilmente al ↑ la presion arterial estimulando las terminaciones nerviosas  Control de la presión en el centro vasomotor encefálico
  • 55.
    ESTRUCTURAS SENSORIALES ARTERIALES Quimioreceptores  Detecciónde las alteraciones de O , CO y pH 2 2  Cuerpos carotídeo (bifurcación de la carótida común) y aórtico (arco aórtico)  Presentan cordones y grupos irregulares de células epiteloides con gran cantidad de fibras nerviosas aferentes y eferentes  Tienen terminaciones aferentes del nervio glosofaríngeo y el vago  Ajustan la frecuencia cardiaca y respiratoria
  • 56.
  • 57.
  • 58.
    VASOS LINFÁTICOS • Circula linfa Suflujo es únicamente de los tejidos a la sangre pasando por nódulos linfáticos • Drenan a al conducto torácico, al tronco linfático derecho, y a las uniones de las venas yugular interna y subclávica, •
  • 59.
    VASOS LINFÁTICOS Son muyabundantes en el tejido conectivo subepitelial de la piel y mucosas •
  • 60.
    CAPILARES LINFÁTICOS “Tubos ciegos”que convergen hasta formar vasos linfáticos • • Presentan endotelio Carecen de una lámina basal continua por lo que son más permeables • Presentan filamentos de anclaje que van de la lámina basal a la colágena perivascular y sirven para mantener la forma del vaso linfático durante el incremento de la presión tisular en la inflamación •
  • 61.
    VASOS LINFÁTICOS Paredes más gruesaspor tener tejido conectivo y algunas fibras de músculo liso • • Presentan válvulas El flujo es por la compresión de los vasos linfáticos por los músculos esqueléticos adyacentes •
  • 63.
  • 64.
  • 65.

Notas del editor

  • #5 AORTA
  • #6 AORTA
  • #9 ECA enzima convertidora de angiotensina ON oxido nitrico
  • #10 ECA enzima convertidora de angiotensina ON oxido nitrico
  • #11 AORTA
  • #12 Lamina elastica art muscular, izq impregnacion metalica der Reyes
  • #13 AORTA
  • #19 Aorta Reyes, derecha nervio y vaso vasorum
  • #23 Aorta Reyes, derecha nervio y vaso vasorum
  • #25 Arteriola arteria mausuclar de peqeuno calibre
  • #26 Arteriola arteria mausuclar de peqeuno calibre
  • #27 Arteriola arteria mausuclar de peqeuno calibre
  • #28 capilar
  • #40 1 cel plasmatica 2 linfocito 3 fibroblasto
  • #41 Vena pequeño calibre
  • #48 VW pared del vaso
  • #49 Vena pequeño calibre
  • #50 Vena pequeño calibre
  • #60 FB fibroblasto mph macrofago PC cel plasmatica