TEJIDO
EPITELIAL
    Edición: Renato Soares de Melo
           By: casimedi.com
DEFINICIÓN
La estructura básica de los tejidos

epiteliales corresponde a una lámina

continua de células estrechamente

asociadas entre sí, la que se adhiere a

la matriz extracelular subyacente a

ella.
El epitelio es una capa celular que

tapiza una superficie externa o

interna.
Existe, sin embargo, una variedad de

formas               de            tejido

epitelial, especializada cada una de

ellas    en    una   o    más   funciones

específicas.
Los vasos sanguíneos no penetran

en el epitelio por lo que éstos

dependen       de   la   difusión   para

alimentarse.
Puede    generarse   a   partir   de

cualquiera de las capas embrionarias

ya que su función principal es la de

protección.
Ejemplos:

 Epidermis  Ectodermo

 Epitelio intestinal  Endodermo

 Epitelio pleural  Mesodermo

Existen     epitelios   glandulares   y

sensoriales
CLASIFICACIÓN
   DE LOS
  EPITELIOS
en la CÁPSULA GLOMERULAR
 SIMPLES                    (corteza del riñón)
 PLANOS




  ENDOTELIO
(vasos sanguíneos)
SIMPLE   FOLÍCULOS TIROÍDEOS
CÚBICO     (glándula Tiroides)
SIMPLE
 CILÍNDRICO



SUPERFICIE
   DEL
ESTÓMAGO
ESTRATIFICADOS
           PLANOS
1


      SUPERFICIE
       DE LA PIEL
     (PIEL GRUESA)
 2

1. CAPA CÓRNEA
2. EPITELIO
   ESTRATIFICADO
   PLANO
ESTRATIFICADOS
                       PLANOS

  SUPERFICIE
DE LA PIEL (PIEL          Capa
  DELGADA)               córnea

                         Epitelio
                       estratificado
                           plano
ESTRATIFICADO
                     PLANO SIN CAPA
                        CÓRNEA

  SUPERFICIE
DE LA AMÍGDALA
   PALATINA

                 2
ESTRATIFICADO   CONDUCTO EXCRETOR DE
   CÚBICO        GLÁNDULA SUDORÍPARA
ESTRATIFICADO
             CILÍNDRICO




 ES UN TEJIDO RARO, PRESENTE EN
ALGUNAS PORCIONES DE CONDUCTOS
  EXCRETORES, por ej. GLÁNDULAS
           MAMARIAS
ESTRATIFICADO
  CILÍNDRICO
PSEUDOESTRATIFICADO
TRÁQUEA

   Células      EPITELIO PSEUDOESTRATIFICADO
 caliciformes             CON CILIOS
PSEUDOESTRATIFICADO
EPIDÍDIMO
            CON MICROVELLOSIDADES
                   LARGAS
ESTRATIFICADO
     DE
 TRANSICIÓN



      VEJIGA
     URINARIA
CELULAS CALICIFORMES




INTESTINO DELGADO
GLÁNDULA SUBLINGUAL (1) CON
     ACINOS MUCOSOS
GLÁNDULA PARÓTIDA CON
   ACINOS SEROSOS
GLÁNDULA SUBMAXILAR CON ACINOS
   MUCOSOS (m) y SEROSOS (↓).
GLÁNDULA ALVEOLAR




Folículo piloso




                  GLÁNDULA SEBÁCEA
Las funciones del tejido epitelial son:

 Protección

 Permeabilidad

 Sensorial

 Secreciones
Su función característica es formar

barreras selectivas capaces de cubrir

las    superficies    externas     del

organismo, y delimitar las diferentes

superficies internas existentes en los

distintos órganos.
Son   así   capaces   de   modular   la

relación entre el tejido subyacente al

epitelio y el medio que baña su

superficie libre.
A este gran grupo pertenecen los

epitelios de revestimiento.
Contienen células especializadas en

sintetizar   moléculas   específicas   y

secretarlas hacia la superficie que

revisten.
Se   organizan    en   glándulas,   que

corresponden a estructuras complejas

cuyas   células    están    destinadas

fundamentalmente a la secreción. A

este grupo pertenecen los epitelios

glandulares.
En diversas superficies las células se

modifican   para   formar   glándulas

productoras de mucus, hormonas o

enzimas.
En los tejidos epiteliales, las células

están estrechamente unidas entre sí

formando láminas.
La matriz extracelular es escasa y se

ubica     por   debajo   de   las   células

epiteliales. Forma una delgada capa

llamada

Lámina Basal.
Las células soportan las tensiones

mecánicas, por medio de resistentes

filamentos       proteicos   que   se

entrecruzan, en el citoplasma de cada

célula   epitelial,     formando   el

citoesqueleto.
Para transmitir la tensión mecánica

de una célula a las siguientes, estos

filamentos están unidos a proteínas

transmembrana ubicadas en sitios

especializados   de   la   membrana

celular.
Estas proteínas se asocian, en el

espacio   intercelular,   ya   sea   con

proteínas similares de la membrana

de las células adyacentes, o con

proteínas propias de la lámina basal

subyacente.
Los tejidos epiteliales limitan tanto

las cavidades internas como las

superficies libres del cuerpo.
La         presencia        de     uniones

especializadas      entre    sus   células

permite a los epitelios formar barreras

para el movimiento de agua, solutos o

células,    desde      un   compartimiento

corporal a otro.
Un epitelio separa lumen intestinal de

tejidos subyacentes; y un epitelio separa

a la pared intestinal de la cavidad

abdominal.
FUNCIONES

1.- BARRERA DE PROTECCIÓN

Estos epitelios están formados por

varios estratos de células, de las

cuales sólo la primera capa está en

contacto con la lámina basal.
En este primer estrato se ubican

las células troncales y a partir de

ellas se forman continuamente

nuevas células.
Las nuevas células se diferencian

mientras migran hacia los estratos más

superficiales para reemplazar a las

células que enfrentan la superficie

libre, las que se desprenden finalmente

del epitelio.
La   estructura    del   epitelio    se

mantiene estable gracias a una

dinámica bien regulada entre los

procesos                            de

proliferación,    diferenciación      y

descamación      que   enfrentan    sus
Epidermis, epitelio plano pluriestratificado

cornificado   sirve   de   protección   ante

traumatismos mecánicos y forma una

barrera impermeable al agua, capaz de

proteger a los organismos terrestres de la

desecación.
FUNCIONES
Las   células    de     los   estratos    más

superficiales   están    rodeadas    de    un

material rico en glicolípidos, sintetizado y

secretado por ellas, el cual impide el

paso de agua a través de estos espacios

intercelulares de este epitelio.
Las capas superficiales de células

aparecen    además     como    escamas

córneas con su citoplasma lleno de

manojos de filamentos de queratina

asociados a la proteína filagrina.
Estos manojos engloban a los

organelos que ya no son visibles.
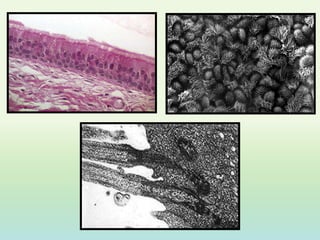
2.- TRANSPORTE DE SUPERFICIE

La superficie de los epitelios que

realizan esta función está bañada

por un líquido y en la cara luminal

de las células presenta numerosos

cilios.
Superficie del epitelio del
oviducto, cara luminal de células
             ciliadas
Tráquea            microorganismos            y

partículas       presentes   en     el       aire

inhalado son atrapados en el mucus

que       baña    su   superficie        y     el

desplazamiento de ellos es realizado

por el movimiento coordinado de sus

cilios.
Corte perpendicular por el epitelio
 de revestimiento de la tráquea
El batido de los cilios consiste en un

desplazamiento                  hacia

adelante, (golpe de látigo), termina

con     el    cilio   completamente

extendido,    perpendicular    a    la

superficie celular, y con su extremo

en la capa de mucus (movimiento
Este movimiento es seguido de una
ondulación    hacia   abajo   y   atrás
(movimiento de preparación) durante
la cual el extremo del cilio se
aproxima a la superficie celular y el
cilio se desplaza cerca de la célula en
la capa acuosa de menor resistencia.
Para   que    se   genere   una   onda
organizada    de    movimiento     que
permita desplazar a la capa de líquido
con las partículas que contenga, el
movimiento de los cilios debe estar
perfectamente coordinado, tanto en
cada célula como entre las células
adyacentes.
3.-   SÍNTESIS     Y    SECRECIÓN       DE
GLICOPROTEÍNAS

Entre las células epiteliales especializadas
en la secreción de glicoproteínas están
las células caliciformes, ubicadas en el
epitelio de revestimiento del intestino y la
tráquea.
CÉLULAS CALICIFORMES EN ID.
Estas   células      funcionan     como

glándulas         unicelulares,        se

caracterizan   por     tener      en   su

citoplasma RER y Aparato de Golgi

bastante desarrollados.
ABUNDANTE RER y APARATO DE GOLGI
Se organizan de manera que la

secreción    de   las   glicoproteínas

ocurre sólo hacia el polo luminal de

la célula, donde al hidratarse forman

el mucus que baña a la superficie

epitelial.
Gránulos de secreción acumulados en el polo
       apical de la célula caliciforme
Estructura de una célula secretora de
   glicoproteínas de tipo mucoso
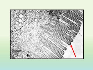
4.- ABSORCIÓN DE MOLÉCULAS

 La superficie luminal de las células

        presenta abundantes

         microvellosidades.
Microvellosidades en la cara apical de células del
               intestino delgado
Un   caso   típico   es   el   epitelio   de

revestimiento del intestino delgado, en

el cual ellas forman la chapa estriada.
Epitelio de revestimiento intestinal en el que
          destaca la chapa estriada
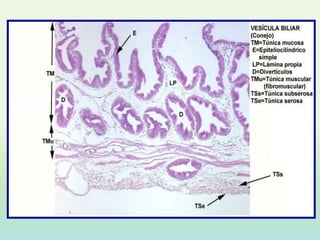
5.- ABSORCIÓN DE AGUA E IONES

El epitelio de revestimiento de la

vesícula    biliar,   responsable   de   la

concentración de la bilis, es un buen

ejemplo, absorbe Na+, Cl- y H20 desde

la bilis.
El   epitelio   libera   hacia   el   tejido

subyacente una solución de cloruro de

sodio que es isotónica con la solución

que baña su superficie luminal.
a: Estructura del epitelio de la vesícula biliar. Muestra espacios
intercelulares y la ubicación de la Na/K APTasa.

b: Esquema del arrastre osmótico de agua              generado   por   el
microambiente hipertónico del espacio intercelular.
Vesícula Biliar con epitelio cúbico simple
EPIT. SIMPLE O MONOESTRATIFICADO

En el epitelio de revestimiento del

intestino    delgado,     destacan   los

siguientes hechos:

1.- Está formado por una sola capa de

células, todas ellas cilíndricas
1.- Está formado por una sola capa

de células, todas ellas cilíndricas
2.- Existen al menos 2 tipos de células

formando está única lámina epitelial:

 células glandulares secretoras de

glicoproteinas.
 células especializadas en la absorción

de componentes específicos desde el

lumen   intestinal   hacia   el   estroma

subyacente al epitelio.
Presentan notable polaridad, tanto en

la organización intracelular de sus

organelos, como en la estructura de

su membrana plasmática y en las

especializaciones de las distintas

superficies celulares
Células especializadas en la absorción, cuyas caras
basales, laterales y apicales se muestran al M.E.B.
Diferencia en la estructura de las caras luminales y
laterales de las células de absorción en el epitelio de
revestimiento intestinal (M.E.B.)
EPIT. ESTRATIFICADO

Formados por número variable de capas

celulares.

Las células de capa tienen formas

diferentes.
El nombre específico se define según la

forma de las células vecinas a la

superficie
 Estratificados   planos:   sus   células

más superficiales son planas, mientras

que las adyacentes a la lámina basal

son cilíndricas y las células de los

estratos   intermedios   son   más   bien

hexaédricas.
Este tipo de epitelio reviste superficie

tales como el lumen del esófago
 Estratificados Cúbico: cuyas células

superficiales son poliedros con un alto

parecido a su ancho.

Revisten los conductos interlobulillares

de las glándulas salivales.
 Estratificados de Transición: propios

de vías renales, aparecen estratificados

pero su forma cambia según el estado

de distensión del lumen del órgano.
Aparecen estratificados planos cuando

la lámina epitelial está tensa y como

estratificados cuboidales cuando el

epitelio está distendido.
Corte perpendicular por el
epitelio de transición de la vejiga
Parecen corresponder a un tipo especial

de   epitelio   seudoestratificado,   que

puede modificar la forma de sus células.
EPIT. PSEUDOESTRATIFICADO

Parecen estar formados por dos o más

capas de células.

Todas sus células está en contacto con

la lámina basal.
Sólo algunas células llegan hasta el

borde luminal.

Por ello presentan dos o más filas de

núcleos, ubicados a alturas sucesivas

en la lámina epitelial.
Revisten el lumen de la tráquea (Fig. 1) o

de conductos como el epididimo (Fig. 2).

     Fig. 1




                              Fig. 2
La superficie de las células que llegan

al lumen presenta diferenciaciones

tales   como      cilios   o    largas

microvellosidades (estereocilios).
Estructura del borde luminal de
       epitelios ciliados
Estructura del borde luminal de
  epitelios con estereocilios
POLARIDAD DE LOS EPITELIOS

La organización POLARIZADA de las

células que forman la lámina epitelial

es una característica fundamental de

los epitelios.
La      mantención         de             esta

propiedad,      depende         de         las

interacciones     que   establecen         las

células epiteliales tanto entre sí, como

con   la matríz    extracelular      de    su

membrana basal.
En   las   células   de     los   epitelios

simples, la polaridad se manifiesta en:

 Diferencias en la estructura y en las

propiedades     de    las     superficies

apical, laterales y basal de cada célula.
Micrografía electrónica de un corte
transversal a través de un conducto biliar
 Distribución   vectorial     de   los

organelos celulares en el interior del

citoplasma, para facilitar mecanismos

tales como absorción de iones o la

secreción de glicoproteínas.
Estructura de una célula calciforme, mostrando la
 distribución de sus organelos en su citoplasma.
Composición        molecular    de    la

membrana plasmática que reviste la

superficie     luminal      de        las

células, diferente a la de la membrana

que cubre la superficie lateral y la

superficie basal.
Localización histoquímica de la enzima Mg- ATPasa en la
 membrana basolateral de células epiteliales gástricas.
SUPERFICIE BASAL

Descansa sobre una especialización

de la matriz extracelular, denominada

Lámina Basal.
Esta estructura se une a la membrana

plasmática basal a través de proteínas

receptoras específicas, que forman

parte de las uniones adherentes de la

base.
La   base   de   la   mayoría   de      los

epitelios, presenta un contorno liso.

Sin embargo, epitelios especializados

en el transporte de electrolitos y

agua,   suelen   presentar   profundos

pliegues basales que permiten la

amplificación de la superficie basal.
LÁMINA BASAL

Es una especialización de la matriz

extracelular, que se ubica entre el

epitelio   y   el   tejido   conjuntivo

subyacente.
Las moléculas que la forman son

sintetizadas, en forma conjunta, por

las células epiteliales y las células

conjuntivas subyacente.
Al M.E.T. aparece formada por la

LÁMINA DENSA, delgada capa amorfa

que sigue estrechamente el contorno

basal de la célula y que aparece

separada de la superficie celular por la

LÁMINA LÚCIDA.
Por debajo de la lámina basal, existe

una capa de grosor variable llamada

LÁMINA    RETICULAR,     formada   de

fibrillas reticulares sintetizadas por

células conjuntivas.
La asociación de la lámina basal con

estas fibrillas colágenas se denomina

MEMBRANA BASAL la que es visible

al microscopio de luz
En   órganos     en   que    los    vasos

sanguíneos se adosan estrechamente

al epitelio, glomérulo renal y en

alvéolos   pulmonares,      las    láminas

basales producidas por el endotelio y

el epitelio se fusionan.
Por convención, la LÁMINA LÚCIDA

vecina al endotelio se le denomina

LÁMINA     LÚCIDA   INTERNA   y   la

cercana al epitelio LÁMINA LÚCIDA

EXTERNA.
Funciones de la lámina basal

 Sirve de elemento de anclaje para

las células epiteliales

 Participa en la determinación de la

polaridad celular
Funciones de la lámina basal

 Induce diferenciación celular

 En glomérulo renal actúa como

barrera de filtración selectiva
PLIEGUES BASALES

El aumento de la superficie basal, es

una característica de las células que

realizan absorción activa de Na+, con

arrastre osmótico de agua.
Las células del túbulo proximal del

riñón   y    las    de   los    conductos

excretores         de    las    glándulas

salivales,          presentan        esta

diferenciación basal.
El ATP necesario, para la actividad de

la bomba de Na+, es producido por

mitocondrias que se ubican en el

citoplasma de los pliegues basales.
La disposición paralela de estos

organelos, le da un aspecto estriado

a la región basal celular.
En la membrana plasmática, que

reviste las profundas invaginaciones

del citoplasma basal, se localiza la

(Na-K)-ATPasa, enzima encargada del

transporte activo del Na+ hacia el

exterior de la célula.
Se crea así una alta concentración de

NaCl entre los pliegues basales, lo

que genera salida de agua por

arrastre osmótico.
SUPERFICIE LUMINAL

Presenta     especializaciones      del

citoplasma   y   de      la   superficie

celular, de acuerdo a la función que

desempeña el epitelio.
Entre ellas destacan la existencia de

prolongaciones     digitiformes   del

citoplasma de la superficie libre, las

cuales pueden ser de dos tipos:

 Microvellosidades

 Cilios.
MICROVELLOSIDADES

Son particularmente numerosas en

aquellos    epitelios   simples   que

cumplen funciones de absorción y

transporte transepitelial.
Los túbulos proximales del riñón

(ribete en cepillo) y el epitelio de

revestimiento     intestinal    (chapa

estriada)   presentan   este   tipo   de

diferenciación.
Estructura de las microvellosidades

Estas estructuras digitiformes miden

0,080 mm de ancho y 1.0 mm de

longitud y producen un aumento en la

superficie de absorción de alrededor

de 20 veces.
Al centro de cada microvellosidad se

localiza un manojo de 20 a 30

microfilamentos de actina que le sirve

de soporte.
CILIOS

Son diferenciaciones de la superficie

apical      de    células       presentes   en

epitelios        que     participan    en   el

transporte de sustancias a lo largo de

la superficie epitelial.
Así, los epitelios que tapizan el tracto

respiratorio, útero y oviducto poseen

     numerosas células ciliadas.
Cada una de estas prolongaciones del

citoplasma   luminal   mide   8   mm

longitud y 0.25 mm de diámetro, y

contienen un eje de microtúbulos que

forma parte del axonema.
SUPERFICIE LATERAL

En la zona vecina a la superficie del

epitelio, la superficie lateral de las

células    presenta   un   sistema   de

uniones      intercelulares    llamado

complejo de unión.
Este sistema une a las células entre

sí y define las caras luminal y

basolateral de cada célula.

El complejo de unión está formado

por la asociación de tres tipos de

uniones intercelulares:
 Zónula   Ocluyente   o   Banda   de

Oclusión

 Zónula   Adherente   o   Banda   de

Adhesión

 Desmosomas o Mácula de Adhesión.
ZÓNULA OCLUYENTE

Componente común de los complejos

de unión.

Las láminas externas densas de las

membranas celulares contiguas, se

funden      con   pérdida   del   espacio

intercelular.
ZÓNULA ADHERENTE

Se caracteriza por la yuxtaposición de

membranas celulares adyacentes.

Están separadas por espacios de 20 a

90 nm, llenos de una sustancia mucosa

que sirve de material adherente.
DESMOSOMAS

No rodea a la célula.

Están diseminadas a lo largo del

margen celular.

Son puntos de adhesión entre células.
Se   extienden   alrededor   de   las

porciones apicolaterales de la célula

a manera de cinturón.

Histologia

  • 1.
    TEJIDO EPITELIAL Edición: Renato Soares de Melo By: casimedi.com
  • 2.
    DEFINICIÓN La estructura básicade los tejidos epiteliales corresponde a una lámina continua de células estrechamente asociadas entre sí, la que se adhiere a la matriz extracelular subyacente a ella.
  • 3.
    El epitelio esuna capa celular que tapiza una superficie externa o interna.
  • 4.
    Existe, sin embargo,una variedad de formas de tejido epitelial, especializada cada una de ellas en una o más funciones específicas.
  • 5.
    Los vasos sanguíneosno penetran en el epitelio por lo que éstos dependen de la difusión para alimentarse.
  • 6.
    Puede generarse a partir de cualquiera de las capas embrionarias ya que su función principal es la de protección.
  • 7.
    Ejemplos:  Epidermis Ectodermo  Epitelio intestinal  Endodermo  Epitelio pleural  Mesodermo Existen epitelios glandulares y sensoriales
  • 8.
    CLASIFICACIÓN DE LOS EPITELIOS
  • 10.
    en la CÁPSULAGLOMERULAR SIMPLES (corteza del riñón) PLANOS ENDOTELIO (vasos sanguíneos)
  • 11.
    SIMPLE FOLÍCULOS TIROÍDEOS CÚBICO (glándula Tiroides)
  • 12.
  • 14.
    ESTRATIFICADOS PLANOS 1 SUPERFICIE DE LA PIEL (PIEL GRUESA) 2 1. CAPA CÓRNEA 2. EPITELIO ESTRATIFICADO PLANO
  • 15.
    ESTRATIFICADOS PLANOS SUPERFICIE DE LA PIEL (PIEL Capa DELGADA) córnea Epitelio estratificado plano
  • 16.
    ESTRATIFICADO PLANO SIN CAPA CÓRNEA SUPERFICIE DE LA AMÍGDALA PALATINA 2
  • 17.
    ESTRATIFICADO CONDUCTO EXCRETOR DE CÚBICO GLÁNDULA SUDORÍPARA
  • 18.
    ESTRATIFICADO CILÍNDRICO ES UN TEJIDO RARO, PRESENTE EN ALGUNAS PORCIONES DE CONDUCTOS EXCRETORES, por ej. GLÁNDULAS MAMARIAS
  • 19.
  • 21.
  • 22.
    TRÁQUEA Células EPITELIO PSEUDOESTRATIFICADO caliciformes CON CILIOS
  • 23.
    PSEUDOESTRATIFICADO EPIDÍDIMO CON MICROVELLOSIDADES LARGAS
  • 24.
    ESTRATIFICADO DE TRANSICIÓN VEJIGA URINARIA
  • 26.
  • 27.
    GLÁNDULA SUBLINGUAL (1)CON ACINOS MUCOSOS
  • 28.
  • 29.
    GLÁNDULA SUBMAXILAR CONACINOS MUCOSOS (m) y SEROSOS (↓).
  • 30.
  • 31.
    Las funciones deltejido epitelial son:  Protección  Permeabilidad  Sensorial  Secreciones
  • 32.
    Su función característicaes formar barreras selectivas capaces de cubrir las superficies externas del organismo, y delimitar las diferentes superficies internas existentes en los distintos órganos.
  • 33.
    Son así capaces de modular la relación entre el tejido subyacente al epitelio y el medio que baña su superficie libre.
  • 34.
    A este grangrupo pertenecen los epitelios de revestimiento.
  • 35.
    Contienen células especializadasen sintetizar moléculas específicas y secretarlas hacia la superficie que revisten.
  • 36.
    Se organizan en glándulas, que corresponden a estructuras complejas cuyas células están destinadas fundamentalmente a la secreción. A este grupo pertenecen los epitelios glandulares.
  • 38.
    En diversas superficieslas células se modifican para formar glándulas productoras de mucus, hormonas o enzimas.
  • 39.
    En los tejidosepiteliales, las células están estrechamente unidas entre sí formando láminas.
  • 40.
    La matriz extracelulares escasa y se ubica por debajo de las células epiteliales. Forma una delgada capa llamada Lámina Basal.
  • 41.
    Las células soportanlas tensiones mecánicas, por medio de resistentes filamentos proteicos que se entrecruzan, en el citoplasma de cada célula epitelial, formando el citoesqueleto.
  • 42.
    Para transmitir latensión mecánica de una célula a las siguientes, estos filamentos están unidos a proteínas transmembrana ubicadas en sitios especializados de la membrana celular.
  • 43.
    Estas proteínas seasocian, en el espacio intercelular, ya sea con proteínas similares de la membrana de las células adyacentes, o con proteínas propias de la lámina basal subyacente.
  • 45.
    Los tejidos epitelialeslimitan tanto las cavidades internas como las superficies libres del cuerpo.
  • 46.
    La presencia de uniones especializadas entre sus células permite a los epitelios formar barreras para el movimiento de agua, solutos o células, desde un compartimiento corporal a otro.
  • 47.
    Un epitelio separalumen intestinal de tejidos subyacentes; y un epitelio separa a la pared intestinal de la cavidad abdominal.
  • 48.
    FUNCIONES 1.- BARRERA DEPROTECCIÓN Estos epitelios están formados por varios estratos de células, de las cuales sólo la primera capa está en contacto con la lámina basal.
  • 49.
    En este primerestrato se ubican las células troncales y a partir de ellas se forman continuamente nuevas células.
  • 50.
    Las nuevas célulasse diferencian mientras migran hacia los estratos más superficiales para reemplazar a las células que enfrentan la superficie libre, las que se desprenden finalmente del epitelio.
  • 51.
    La estructura del epitelio se mantiene estable gracias a una dinámica bien regulada entre los procesos de proliferación, diferenciación y descamación que enfrentan sus
  • 52.
    Epidermis, epitelio planopluriestratificado cornificado sirve de protección ante traumatismos mecánicos y forma una barrera impermeable al agua, capaz de proteger a los organismos terrestres de la desecación.
  • 53.
  • 54.
    Las células de los estratos más superficiales están rodeadas de un material rico en glicolípidos, sintetizado y secretado por ellas, el cual impide el paso de agua a través de estos espacios intercelulares de este epitelio.
  • 56.
    Las capas superficialesde células aparecen además como escamas córneas con su citoplasma lleno de manojos de filamentos de queratina asociados a la proteína filagrina.
  • 57.
    Estos manojos englobana los organelos que ya no son visibles.
  • 59.
    2.- TRANSPORTE DESUPERFICIE La superficie de los epitelios que realizan esta función está bañada por un líquido y en la cara luminal de las células presenta numerosos cilios.
  • 60.
    Superficie del epiteliodel oviducto, cara luminal de células ciliadas
  • 61.
    Tráquea  microorganismos y partículas presentes en el aire inhalado son atrapados en el mucus que baña su superficie y el desplazamiento de ellos es realizado por el movimiento coordinado de sus cilios.
  • 62.
    Corte perpendicular porel epitelio de revestimiento de la tráquea
  • 63.
    El batido delos cilios consiste en un desplazamiento hacia adelante, (golpe de látigo), termina con el cilio completamente extendido, perpendicular a la superficie celular, y con su extremo en la capa de mucus (movimiento
  • 64.
    Este movimiento esseguido de una ondulación hacia abajo y atrás (movimiento de preparación) durante la cual el extremo del cilio se aproxima a la superficie celular y el cilio se desplaza cerca de la célula en la capa acuosa de menor resistencia.
  • 66.
    Para que se genere una onda organizada de movimiento que permita desplazar a la capa de líquido con las partículas que contenga, el movimiento de los cilios debe estar perfectamente coordinado, tanto en cada célula como entre las células adyacentes.
  • 67.
    3.- SÍNTESIS Y SECRECIÓN DE GLICOPROTEÍNAS Entre las células epiteliales especializadas en la secreción de glicoproteínas están las células caliciformes, ubicadas en el epitelio de revestimiento del intestino y la tráquea.
  • 68.
  • 69.
    Estas células funcionan como glándulas unicelulares, se caracterizan por tener en su citoplasma RER y Aparato de Golgi bastante desarrollados.
  • 70.
    ABUNDANTE RER yAPARATO DE GOLGI
  • 71.
    Se organizan demanera que la secreción de las glicoproteínas ocurre sólo hacia el polo luminal de la célula, donde al hidratarse forman el mucus que baña a la superficie epitelial.
  • 72.
    Gránulos de secreciónacumulados en el polo apical de la célula caliciforme
  • 73.
    Estructura de unacélula secretora de glicoproteínas de tipo mucoso
  • 74.
    4.- ABSORCIÓN DEMOLÉCULAS La superficie luminal de las células presenta abundantes microvellosidades.
  • 75.
    Microvellosidades en lacara apical de células del intestino delgado
  • 76.
    Un caso típico es el epitelio de revestimiento del intestino delgado, en el cual ellas forman la chapa estriada.
  • 77.
    Epitelio de revestimientointestinal en el que destaca la chapa estriada
  • 78.
    5.- ABSORCIÓN DEAGUA E IONES El epitelio de revestimiento de la vesícula biliar, responsable de la concentración de la bilis, es un buen ejemplo, absorbe Na+, Cl- y H20 desde la bilis.
  • 79.
    El epitelio libera hacia el tejido subyacente una solución de cloruro de sodio que es isotónica con la solución que baña su superficie luminal.
  • 80.
    a: Estructura delepitelio de la vesícula biliar. Muestra espacios intercelulares y la ubicación de la Na/K APTasa. b: Esquema del arrastre osmótico de agua generado por el microambiente hipertónico del espacio intercelular.
  • 81.
    Vesícula Biliar conepitelio cúbico simple
  • 83.
    EPIT. SIMPLE OMONOESTRATIFICADO En el epitelio de revestimiento del intestino delgado, destacan los siguientes hechos: 1.- Está formado por una sola capa de células, todas ellas cilíndricas
  • 84.
    1.- Está formadopor una sola capa de células, todas ellas cilíndricas
  • 85.
    2.- Existen almenos 2 tipos de células formando está única lámina epitelial:  células glandulares secretoras de glicoproteinas.
  • 86.
     células especializadasen la absorción de componentes específicos desde el lumen intestinal hacia el estroma subyacente al epitelio.
  • 87.
    Presentan notable polaridad,tanto en la organización intracelular de sus organelos, como en la estructura de su membrana plasmática y en las especializaciones de las distintas superficies celulares
  • 88.
    Células especializadas enla absorción, cuyas caras basales, laterales y apicales se muestran al M.E.B.
  • 89.
    Diferencia en laestructura de las caras luminales y laterales de las células de absorción en el epitelio de revestimiento intestinal (M.E.B.)
  • 90.
    EPIT. ESTRATIFICADO Formados pornúmero variable de capas celulares. Las células de capa tienen formas diferentes.
  • 91.
    El nombre específicose define según la forma de las células vecinas a la superficie
  • 92.
     Estratificados planos: sus células más superficiales son planas, mientras que las adyacentes a la lámina basal son cilíndricas y las células de los estratos intermedios son más bien hexaédricas.
  • 93.
    Este tipo deepitelio reviste superficie tales como el lumen del esófago
  • 94.
     Estratificados Cúbico:cuyas células superficiales son poliedros con un alto parecido a su ancho. Revisten los conductos interlobulillares de las glándulas salivales.
  • 95.
     Estratificados deTransición: propios de vías renales, aparecen estratificados pero su forma cambia según el estado de distensión del lumen del órgano.
  • 96.
    Aparecen estratificados planoscuando la lámina epitelial está tensa y como estratificados cuboidales cuando el epitelio está distendido.
  • 97.
    Corte perpendicular porel epitelio de transición de la vejiga
  • 98.
    Parecen corresponder aun tipo especial de epitelio seudoestratificado, que puede modificar la forma de sus células.
  • 99.
    EPIT. PSEUDOESTRATIFICADO Parecen estarformados por dos o más capas de células. Todas sus células está en contacto con la lámina basal.
  • 100.
    Sólo algunas célulasllegan hasta el borde luminal. Por ello presentan dos o más filas de núcleos, ubicados a alturas sucesivas en la lámina epitelial.
  • 102.
    Revisten el lumende la tráquea (Fig. 1) o de conductos como el epididimo (Fig. 2). Fig. 1 Fig. 2
  • 103.
    La superficie delas células que llegan al lumen presenta diferenciaciones tales como cilios o largas microvellosidades (estereocilios).
  • 104.
    Estructura del bordeluminal de epitelios ciliados
  • 105.
    Estructura del bordeluminal de epitelios con estereocilios
  • 106.
    POLARIDAD DE LOSEPITELIOS La organización POLARIZADA de las células que forman la lámina epitelial es una característica fundamental de los epitelios.
  • 107.
    La mantención de esta propiedad, depende de las interacciones que establecen las células epiteliales tanto entre sí, como con la matríz extracelular de su membrana basal.
  • 108.
    En las células de los epitelios simples, la polaridad se manifiesta en:  Diferencias en la estructura y en las propiedades de las superficies apical, laterales y basal de cada célula.
  • 109.
    Micrografía electrónica deun corte transversal a través de un conducto biliar
  • 110.
     Distribución vectorial de los organelos celulares en el interior del citoplasma, para facilitar mecanismos tales como absorción de iones o la secreción de glicoproteínas.
  • 111.
    Estructura de unacélula calciforme, mostrando la distribución de sus organelos en su citoplasma.
  • 112.
    Composición molecular de la membrana plasmática que reviste la superficie luminal de las células, diferente a la de la membrana que cubre la superficie lateral y la superficie basal.
  • 113.
    Localización histoquímica dela enzima Mg- ATPasa en la membrana basolateral de células epiteliales gástricas.
  • 114.
    SUPERFICIE BASAL Descansa sobreuna especialización de la matriz extracelular, denominada Lámina Basal.
  • 115.
    Esta estructura seune a la membrana plasmática basal a través de proteínas receptoras específicas, que forman parte de las uniones adherentes de la base.
  • 116.
    La base de la mayoría de los epitelios, presenta un contorno liso. Sin embargo, epitelios especializados en el transporte de electrolitos y agua, suelen presentar profundos pliegues basales que permiten la amplificación de la superficie basal.
  • 117.
    LÁMINA BASAL Es unaespecialización de la matriz extracelular, que se ubica entre el epitelio y el tejido conjuntivo subyacente.
  • 118.
    Las moléculas quela forman son sintetizadas, en forma conjunta, por las células epiteliales y las células conjuntivas subyacente.
  • 120.
    Al M.E.T. apareceformada por la LÁMINA DENSA, delgada capa amorfa que sigue estrechamente el contorno basal de la célula y que aparece separada de la superficie celular por la LÁMINA LÚCIDA.
  • 121.
    Por debajo dela lámina basal, existe una capa de grosor variable llamada LÁMINA RETICULAR, formada de fibrillas reticulares sintetizadas por células conjuntivas.
  • 123.
    La asociación dela lámina basal con estas fibrillas colágenas se denomina MEMBRANA BASAL la que es visible al microscopio de luz
  • 124.
    En órganos en que los vasos sanguíneos se adosan estrechamente al epitelio, glomérulo renal y en alvéolos pulmonares, las láminas basales producidas por el endotelio y el epitelio se fusionan.
  • 126.
    Por convención, laLÁMINA LÚCIDA vecina al endotelio se le denomina LÁMINA LÚCIDA INTERNA y la cercana al epitelio LÁMINA LÚCIDA EXTERNA.
  • 127.
    Funciones de lalámina basal  Sirve de elemento de anclaje para las células epiteliales  Participa en la determinación de la polaridad celular
  • 128.
    Funciones de lalámina basal  Induce diferenciación celular  En glomérulo renal actúa como barrera de filtración selectiva
  • 129.
    PLIEGUES BASALES El aumentode la superficie basal, es una característica de las células que realizan absorción activa de Na+, con arrastre osmótico de agua.
  • 130.
    Las células deltúbulo proximal del riñón y las de los conductos excretores de las glándulas salivales, presentan esta diferenciación basal.
  • 132.
    El ATP necesario,para la actividad de la bomba de Na+, es producido por mitocondrias que se ubican en el citoplasma de los pliegues basales.
  • 133.
    La disposición paralelade estos organelos, le da un aspecto estriado a la región basal celular.
  • 134.
    En la membranaplasmática, que reviste las profundas invaginaciones del citoplasma basal, se localiza la (Na-K)-ATPasa, enzima encargada del transporte activo del Na+ hacia el exterior de la célula.
  • 135.
    Se crea asíuna alta concentración de NaCl entre los pliegues basales, lo que genera salida de agua por arrastre osmótico.
  • 137.
    SUPERFICIE LUMINAL Presenta especializaciones del citoplasma y de la superficie celular, de acuerdo a la función que desempeña el epitelio.
  • 138.
    Entre ellas destacanla existencia de prolongaciones digitiformes del citoplasma de la superficie libre, las cuales pueden ser de dos tipos:  Microvellosidades  Cilios.
  • 139.
    MICROVELLOSIDADES Son particularmente numerosasen aquellos epitelios simples que cumplen funciones de absorción y transporte transepitelial.
  • 140.
    Los túbulos proximalesdel riñón (ribete en cepillo) y el epitelio de revestimiento intestinal (chapa estriada) presentan este tipo de diferenciación.
  • 142.
    Estructura de lasmicrovellosidades Estas estructuras digitiformes miden 0,080 mm de ancho y 1.0 mm de longitud y producen un aumento en la superficie de absorción de alrededor de 20 veces.
  • 144.
    Al centro decada microvellosidad se localiza un manojo de 20 a 30 microfilamentos de actina que le sirve de soporte.
  • 145.
    CILIOS Son diferenciaciones dela superficie apical de células presentes en epitelios que participan en el transporte de sustancias a lo largo de la superficie epitelial.
  • 146.
    Así, los epiteliosque tapizan el tracto respiratorio, útero y oviducto poseen numerosas células ciliadas.
  • 148.
    Cada una deestas prolongaciones del citoplasma luminal mide 8 mm longitud y 0.25 mm de diámetro, y contienen un eje de microtúbulos que forma parte del axonema.
  • 149.
    SUPERFICIE LATERAL En lazona vecina a la superficie del epitelio, la superficie lateral de las células presenta un sistema de uniones intercelulares llamado complejo de unión.
  • 150.
    Este sistema unea las células entre sí y define las caras luminal y basolateral de cada célula. El complejo de unión está formado por la asociación de tres tipos de uniones intercelulares:
  • 151.
     Zónula Ocluyente o Banda de Oclusión  Zónula Adherente o Banda de Adhesión  Desmosomas o Mácula de Adhesión.
  • 152.
    ZÓNULA OCLUYENTE Componente comúnde los complejos de unión. Las láminas externas densas de las membranas celulares contiguas, se funden con pérdida del espacio intercelular.
  • 153.
    ZÓNULA ADHERENTE Se caracterizapor la yuxtaposición de membranas celulares adyacentes. Están separadas por espacios de 20 a 90 nm, llenos de una sustancia mucosa que sirve de material adherente.
  • 154.
    DESMOSOMAS No rodea ala célula. Están diseminadas a lo largo del margen celular. Son puntos de adhesión entre células.
  • 155.
    Se extienden alrededor de las porciones apicolaterales de la célula a manera de cinturón.