Instituto Tecnológico de Sonora
Departamento de Ciencias Agronómicas y Veterinarias

Tejido Epitelial
Histología y Biología del Desarrollo
Medicina Veterinaria y Zootecnia
Agosto de 2007
Características generales
• Los
epitelios
son
agregados celulares que
cubren o revisten el
cuerpo y las superficies
de los órganos y forma
glándulas.
• Están constituidos
células relacionadas
manera muy cercana
su estructura, por
función o por ambas.

por
de
por
su

Esquema general de un epitelio
Características generales
• La sustancia intercelular es escasa entre ellas, y por
tanto, la densidad celular es elevada.
• El estrecho contacto y los complejos de unión entre
células forman una barrera eficaz entre el tejido
conjuntivo subyacente y el ambiente de la superficie
apical.
Características generales
Características generales
Extremo apical o luminal.
Margen celular libre, en contacto
con el entorno.
Superficie lateral. En contacto
con células adyacentes.

Extremo basal. En contacto con
el tejido conjuntivo.
Características generales
•

Los epitelios están separados del
tejido
conjuntivo
por
una
membrana basal.

•

La membrana basal es una capa
acelular, rica en proteínas y
polisacáridos.

•

Es el sitio de anclaje de las células
epiteliales.

•

Filtración, compartimentalización y
armazón.
Características generales
• Tejidos epiteloides. Las células carecen de superficie
libre, debido a que se encuentran agrupadas en
estrecha aposición unas con otras.
Células de Leydig
Características generales

• Son
avasculares,
dependen
del
tejido
conjuntivo para su apoyo
metabólico.
Funciones del Epitelio
• Las células epiteliales están modificadas para servir
en múltiples funciones esenciales.
– Protección:
contra
erosiones
mecánicas,
microbianas, desecativas y por radiación ultravioleta.
Ej. Piel
– Transporte: moviliza partículas y moco, por medio de
cilios móviles en la superficie. Ej. tráquea y
bronquios.
Funciones del Epitelio
– Secreción: es una función indispensable, lubrican,
humedecen, termorregulan, etc. por medio de
distintas secreciones. Ej. Glándulas sudoríparas.
– Absorción: Son muy selectivas y específicas, dicha
absorción se puede llevar a cabo en los epitelios del
intestino, túbulos renales, etc.
– Sensitivas: pueden recibir estímulos sensoriales,
como las papilas gustativas de la lengua o la retina
del ojo.
Funciones del Epitelio

Secreción

Absorción

Transporte
Clasificación de los Epitelios
• El epitelio se clasifica según la
disposición y la forma de las
células, no de acuerdo a su
función.
• La nomenclatura de los tejidos
epiteliales se basa en el número
de
capas
celulares
sobrepuestas y en la forma
predominante o superficial de
las células que los constituyen.
Clasificación según su forma
Planas o escamosas, cuando el ancho de la célula
es mayor que su altura.
Clasificación según su forma
• Cúbica o cuboide: cuando el ancho, el largo y la
altura de la célula son casi iguales.
Clasificación según su forma
Cilíndrica o columnar: cuando la altura de la
célula excede en mucho al ancho.
Clasificación según sus capas
Simples: Formado por una sola capa de células
Clasificación según sus capas
Estratificado: Cuando tiene dos o más capas
Clasificaciones especiales
Seudoestratificado: una sola capa celular que parece estar
constituida por varias.
Transición: capas sometidas a cambio.

Seudoestratificado

Transición
Epitelio Simple Plano
•

Es un tejido formado por células
delgadas cuyo citoplasma es
difícil de apreciar con el
microscopio de luz.

•

El núcleo a menudo es
prominente y sobresale de la
superficie.

•

El citoplasma se expande y los
núcleos
de
las
células
adyacentes están separados
por
grandes
procesos
citoplasmáticos.
Epitelio Simple Plano
• Vistas desde la superficie, las células tienen forma poligonal,
pero en el corte perpendicular a la superficie libre o al borde
basal, son fusiformes.
• La morfología de las células escamosas es la adecuada para
transportar materiales a través de una masa citoplasmática
reducida. Ej. intercambio gaseoso en pulmones y en
endotelio capilar.
• Localización: Revestimiento de vasos sanguíneos y
linfáticos (endotelio); revestimiento de espacios celómicos
(mesotelio); revestimiento pulmonar funcional; pequeños
conductos de varias glándulas; porciones específicas de
túbulos renales y cápsula de bowman; laberinto membranoso
del oído interno.
Endotelio, Vaso Saguíneo. 40x.
Mesotelio, Membrana Serosa, Intestino. 40x.
Mesotelio, Membrana Serosa, Intestino. 20x.
Epitelio, Alvéolos pulmonares. 10x.
Cápsula de Bowman, Glomérulo, Riñón. 40x.
Lente, Ojo, Rata. 40x.
Mesotelio, Membrana Serosa, Intestino.
Vista superficie, Plata.
Epitelio Simple Cúbico
• Aparecen como cuadros en
los cortes perpendiculares al
borde apical.
• A partir de perspectivas
superficiales pueden aparecer
como cuadros o hexágonos.
• El núcleo se localiza en una
posición central o paracentral.
• Tal vez se distingan o no los
bordes laterales.
Epitelio Simple Cúbico
• Se relaciona por lo general con secreción y absorción.
• Localización: Las porciones secretorias y conductos de
muchas glándulas; ciertos túbulos del riñón; porciones
específicas de vías respiratorias; superficies del cristalino y
del iris; epitelio de la superficie del ovario; túbulos específicos
de los testículos; epitelio pigmentado de la retina.
Túbulos renales. 40x.
Túbulos renales, HE y PAS. 40x.
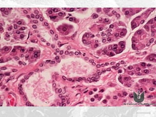
Folículos, Glándula Tiroides. 40x.
Folículos, Glándula Tiroides. PAS. 40x.
Epitelio Simple Cilíndrico
• Sus núcleos son alargados
y con frecuencia se hallan
desplazados hacia el borde
basal.
• Por lo común, los núcleos
se aprecian en una sola
hilera,
aunque
pueden
formar
varias
por
acumulación celular.
Epitelio Simple Cilíndrico
• Es típico que se relacionen con procesos secretores y de
absorción. Diversas modificaciones del borde apical les
permiten dicho funcionamiento.
• Localización: Revestimiento del estómago glandular y del
intestino; porción media de las vías respiratorias; integumento
del útero; revestimiento de porciones secretoras y tubular de
muchas glándulas.
Bronquiolo, Humano. 40x.
Vesícula biliar. 40x.
Vesícula biliar, humano. 40x.
Conducto biliar. 40x.
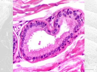
Enterocitos, Intestino. 40x.
Enterocitos, Intestino. 20x - 40x.
Enterocitos, Intestino. 20x.
Enterocitos, Intestino. 20x.
Conductos glándulas uterinas, Útero. 40x.
Epitelio Seudoestratificado
• Todas las células descansan
sobre la membrana basal,
pero solo las cilíndricas
alcanzan
la
superficie
luminal.
• Este epitelio se aprecia
sobrepoblado de células.
• Las porciones basal y media
se observan congestionadas
por
células
basales,
fusiformes y cilíndricas.
Epitelio Seudoestratificado
• En las superficies luminales de las células cilíndricas, es
frecuente encontrar cilios.
• Se le conoce como epitelio seudoestratificado cilíndrico
ciliado o sólo seudoestratificado cilíndrico.
• Es un epitelio de revestimiento de algunos órganos tubulares,
en el que los cilios extienden su función al transporte
superficial.
• Localización: revestimiento de las vías respiratorias
superiores; revestimiento de porciones específicas de las vías
urogenitales y conductos de glándulas en zonas de transición
de simple a seudoestratificado.
Tráquea, Aparato Respiratorio. 20x.
Tráquea, Aparato Respiratorio, Gato. Tri. 40x.
Tráquea, Aparato Respiratorio. 40x.
Epidídimo, Aparato Reproductor. 20x.
Epidídimo, Aparato Reproductor. 40x.
Epidídimo, Aparato Reproductor. 40x.
Epidídimo, Aparato Reproductor, Mono. 40x.
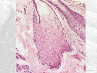
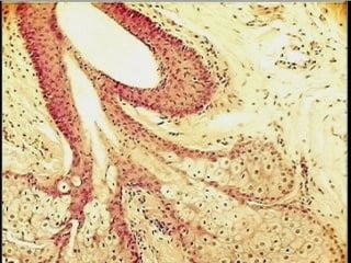
Epitelio Estratificado Plano
• Este epitelio tiene varias
capas
celulares
de
queratinocitos derivados de
una capa basal única.
• Es un epitelio engrosado
que se encuentra en
dondequiera
que
sea
necesaria la protección de
los tejidos subyacentes.
• Puede ser delgado con
pocas capas celulares o
grueso con muchas de
ellas.
Epitelio Estratificado Plano
• Estrato basal: está constituida por una sola cubierta de
células piramidales, cúbicas o cilíndricas. Es la población
celular progenitora que descansa sobre la membrana basal.
• Estrato espinoso: está constituido por varias capas de
células (espinosas). Tienden a aplanarse conforme se
acercan
a
la
superficie.
Presentan
abundantes
prolongaciones citoplasmáticas o “espinas”, que es lo que le
confiere el nombre. También son “progenitoras”.
• Estrato granuloso: puede estar formado por varias capas de
células o puede ser que no exista. Las células granulosas
fusiformes contienen gránulos de queratohialina basófilos
(precursores de la queratina). Núcleos picnóticos por cambio
degenerativos.
Epitelio Estratificado Plano
• Estrato lúcido: las células son aplanadas, se tiñen con
palidez o resultan ligeramente acidófilas. Son células muertas
o a punto de morir con núcleos imperceptibles o inexistentes.
Puede haber varias capas de células. No constituye una
característica típica
de la epidermis de los animales
domésticos. Existe en cojinete digital, epidermis nasal,
pezuña y glándula mamaria.
• Estrato córneo: está constituido por células muertas
“empacadas” estrechamente, se encuentra bien desarrollado
en regiones que se considera tienen alto grado de
cornificación (cojinetes, pezuñas). El resto de la piel está
menos cornificada pero aún se halla este estrato. Las células
de esta capa se descaman.
Epitelio Estratificado Plano
• El grado de cornificación depende de la presión y de la
abrasión a la que se somete el epitelio.
• No todas las capas características de este tejido se
encuentran en todas las localizaciones. El estrato basal es
una capa constante y visible.
• La interfase entre el estrato basal y el tejido conjuntivo
subyacente, a menudo es lisa pero puede tener numerosas
interdigitaciones.
• Protege contra desecación y daño mecánico. También tiene
funciones de absorción.
Epitelio Estratificado Plano
• Localización:
– Cornificado: superficie corporal total, cavidad bucal,
región anal y parte superior del conducto alimentario de
los rumiantes.
– No Cornificado: región vestibular del aparato respiratorio;
porción bucal, esofágica y anal del conducto alimentario;
córnea ocular; conjuntiva, y porciones de las vías
urogenitales de hembras y machos.
Piel gruesa queratinizada, 40x
Piel gruesa queratinizada, 10x
Piel delgada queratinizada, 40x
Piel gruesa queratinizada, boca, perro. Tri, 10x
Esófago cornificado, 40x
Esófago no cornificado, gato, 40x
Esófago no cornificado, gato. Tri. 20x
Esófago no cornificado, Humano. 40x
Esófago no cornificado, Humano. 40x
Córnea, Ojo, Rata. 20x
Piel delgada queratinizada, labios, aparato
reproductor. 40x
No queratinizado, Vagina, aparato
reproductor. 40x
No queratinizado, Vagina, aparato
reproductor. 10x
Epitelio Estratificado Cúbico
• Este epitelio
celulares.

tiene

dos

capas

• La capa basal consiste en elementos
poligonales germinales, cubiertos por
una capa de células cúbicas.
• Localización: porciones específicas
del aparato genital, conductos de
varias glándulas, y zonas de
transición entre epitelios.
Conductos, glándula sudorípara. 20x
Conducto, glándula sudorípara.
Conducto, glándula sudorípara. 40x
Conducto, glándula sudorípara. 40x
Epitelio Estratificado Cilíndrico
• Este tejido puede constar de
dos, tres o más capas celulares.
• Los elementos de las capas
basal y luminal pueden estar
separados entre sí por células
de tipo intermedio.
• Las células basales son cúbicas;
las intermedias son poligonales,
y las apicales, cilíndricas.
Epitelio Estratificado Cilíndrico
• Este tejido, en ciertos casos, es difícil de distinguir del
seudoestratificado.
• Localización: Zonas de transición entre epitelios
cilíndrico o seudoestratificado y estratificado; porciones
de las vías respiratorias superiores y conductos de
algunas glándulas.
Conducto, glándula parótida, Humano. 40x
Pezón, glándula mamaria. 40x
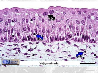
Epitelio de Transición
•

El tejido cambia de forma en
respuesta presiones que se aplican
sobre su superficie luminal.

•

En estado de relajación puede tener
un espesor de 6 o 7 capas con
células luminales cúbicas, cuyos
bordes apicales se abultan hacia la
luz.

•

Durante la distensión, se reduce
hasta quedar con dos o tres estratos
celulares, puede confundirse con
epitelio estratificado plano.
Epitelio de Transición
• Puesto que se relaciona con el aparato urogenital se
denomina urotelio.
• El tejido se adapta al estiramiento causado por su
aumento de volumen intraluminal, en consecuencia se
evita el paso del agua desde los espacios del tejido
conjuntivo hacia la luz del órgano ocupado por orina
hipertónica.
• Localización: Vías urinarias.
Vejiga urinaria.
Uréter, Mono. 40x
Vejiga urinaria.
Vejiga urinaria.
Vejiga urinaria. Primate. 10x
Vejiga urinaria. Primate. 40x
Vejiga urinaria. Conejo. 40x
Epitelio Glandular
• Las células solas o en
poblaciones
secretan
muchos productos.
• Las cubiertas superficiales
efectúan diversas funciones
secretoras.
• Las glándulas son células
epiteliales
especializadas
para sintetizar y secretar un
producto específico.
Epitelio Glandular
•

Las glándulas pueden clasificarse según:
a)
b)
c)
d)

Distribución de sus productos.
El número de células.
La estructura de las glándulas multicelulares.
El tipo de secreción y de producto secretado.
Epitelio Glandular
Merocrina
Mecanismo
Unicelulares

Exócrina

Número de
Células

Holocrina
Apocrina

Tipo de
secreción
Serosas o mucosas

Forma de
distribución

Multicelulares

Simples

Endocrina

Alveolar
Tubular

Estructura
Compuestas
Forma de distribución
• Glándulas exocrinas:
– Secretan sus productos hacia una superficie a través de
conductos o túbulos. Éstos también están formados por
células epiteliales y pueden transportar el material
secretado sin alteraciones o modificar la secreción.

• Glándulas endocrinas:
– Carecen de sistema de conductos, y por lo tanto con la
superficie epitelial. Secretan sus productos al tejido
conectivo adyacente, del cual pasan al torrente sanguíneo
para alcanzar sus células blanco. Estos productos se
denominan hormonas.
Glándulas unicelulares
• Tienen
simple.

la

estructura

más

• El
componente
secretor
consiste
de células únicas
distribuidas entre otras que no
son secretoras.
• Son células especializadas
dispersas a lo largo y ancho
del revestimiento epitelial.
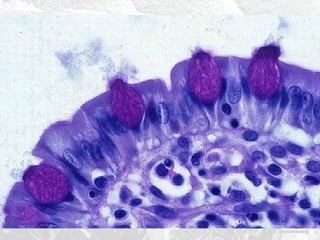
Glándulas Unicelulares
• La glándula unicelular más
común es la célula caliciforme,
una
célula
secretora
de
mucina.
• Pueden encontrarse en los
aparatos respiratorio, digestivo
y urinario.
• Las células caliciformes no se
distinguen de las otras células
hasta que se encuentran
activas.
Glándulas Unicelulares
• Su actividad se manifiesta con
la aparición de gránulos en su
citoplasma (mucina).
• Esto le confiere un aspecto
espumoso y basófilo al
citoplasma.
• El núcleo y el resto del
citoplasma son desplazados
hacia la porción angosta y
basal de la célula.
• La secreción puede
explosiva o gradual.

ser
Glándulas Multicelulares
• Se componen de más de una
célula, es decir son unidades
secretoras múltiples.
• Presentan grados variables de
complejidad.
• La organización de su estructura
permite
subclasificarlas
de
acuerdo con su disposición de
las células secretoras y la
presencia
o
ausencia
de
ramificaciones de los conductos.
Glándulas Multicelulares
• La forma más sencilla de
organización
de
una
glándula multicelular es la
superficie secretora, en la
cual todas las células del
epitelio
tienen
función
secretora.
• Ejemplo:
epitelio
de
revestimiento del estómago
glandular.
Organización estructural.
• Entre las glándulas que se
localizan
“fuera”
de
los
revestimientos
epiteliales,
puede hallarse gran variedad de
formas y funciones.
• La porción terminal o secretora
es conocida como adenómero.
• La parte de la glándula que
conecta las células secretoras
con la superficie se conoce
como conducto excretor.
Organización estructural
• Los adenómeros pueden ser:
- Tubulares: forma de tubo o
cilindro hueco.
- Acinares o Alveolares: forma
globulares o piriformes.
- Tubuloalveolares: combinación
de ambos, el tubo termina con
una dilatación sacular.
Glándulas simples
El adenómero vierte su secreción en un conducto no
ramificado. Sin embargo la porción secretora SI puede
ser ramificada y aún así verter su secreción en un solo
conducto, también puede ser recta (simple) o enrollada.

Acinar
simple
Tubular
simple.
Ej. Gland.
intestinales

Tubular
simple
enrollada.
Ej. Gland.
sudoríparas

Tubular simple
ramificada
Ej. Gland. Brunner
(duodeno)

Acinar simple
ramificada
Ej. Gland.
Sebáceas.
Glándulas Compuestas
Se dan numerosas ramificaciones tanto de los conducto
como de los adenómeros.

Tubuloalveolar compuesta
Ej. Gland. mamaria

Tubular
compuesta
Ej. Gland.
salivares

Alveolar compuesta
Ej. Páncreas
Glándulas compuestas
Conducto excretor

Conducto lobular

Lobulillo

Lóbulo
Glándulas compuestas
Conducto Lobular
Conducto Lobular

Lobulillo
Tipos de Secreción
Existen dos tipos de células secretorias.
• Células serosas: en general muestra un citoplasma
acidófilo en su parte apical finamente granuloso y a
menudo el citoplasma pericnuclear se tiñe basófilo. El
núcleo esférico tiene posición central o paracentral.
Secretan un líquido acuoso claro con contenido proteico.
• Células mucosas: tienen citoplasma espumoso y su
núcleo es aplanado e hipercrómico, con una posición
basal. Son PAS positivas pero con HE aparecen vacías.
Las secreciones mucosas son viscosas ricas en
glicoproteínas.
Tipos de Secreción
• Las glándulas mixtas tienen ambas células.
• Una glándula completa puede estar constituida por
adenómeros serosos y mucosos separados o bien
entremezcladas.
• Pueden encontrarse semilunas serosas adheridas a
adenómeros mucosos, en estos casos las células
serosas se conectan con el conducto por medio de
pequeños
canales
intercelulares
denominados
canalículos.
Tipos de Secreción
• No todas las células secretoras se
pueden incluir en este esquema,
pero si corresponde a las
glándulas digestivas, respiratorias
y genitourinarias.
• Ejemplos:
– Serosas: parótidas y páncreas
– Mucosas: sublingual y estómago
– Mixtas: submaxilar
Mecanismos de Secreción
• Hay 3 mecanismos de
secreción:
– Merocrina
– Apocrina
– Holocrina
Secreción Merocrina
• La célula sólo contribuye con el
producto
mismo
de
la
secreción.
• La membrana del gránulo de
secreción se funde con la
membrana citoplasmática, esta
fusión hacer salir al producto al
espacio extracelular (Exocitosis).
• Es característica de la mayoría
de las glándulas.
Secreción Apocrina
• Se secreta el producto y parte
del citoplasma apical.
• A lo largo de la superficie
apical
se
encuentran
pequeñas vesículas durante el
proceso.
• Es característica de la mayoría
de las glándulas sudoríparas
de animales domésticos y del
ser humano. Así como de la
glándula mamaria.
Secreción Holocrina
• La célula misma compone la
secreción.
• En virtud de la continua pérdida
celular que ocurre por medio
de este mecanismo existen
células germinales.
• Característica
sebáceas.

de

glándulas

• Pueden
considerarse
las
gónadas
y
órganos
hematopoyéticos.
Secreción Holocrina
Glándulas sebáceas.
• Las células progenitoras se
encuentran en la periferia
alveolar a lo largo de la
membrana basal.
• La actividad mitótica de estas
células las impulsa hacia la luz,
donde acumulan lípidos.
• Entonces sufren necrobiosis y
pasan a constituir el producto de
secreción.
Regeneración y reparación
• La mayoría de los epitelios tiene una vida media finita,
más corta que la del organismo.
• Los tejidos epiteliales están sometidos a las difíciles
condiciones del medio, lo que determina daño o pérdida
de sus células.
• La mayoría de los epitelios pertenecen a la categoría de
poblaciones celulares temporales, por lo tanto requieren
renovación y reemplazo constante.
Regeneración y reparación
• El índice de reemplazo celular es característico de cada
epitelio específico.
• Epitelios no suficientemente especializados, retienen su
potencial mitótico de alto rendimiento y sirven como
elementos germinales. (Ej. Epitelios de revestimiento).
• En
aquellos
caracterizados
por
elementos
especializados para funciones de absorción o secreción,
la especialización implica una reducción del potencial
mitótico, por lo tanto dependen de células germinales
para ser reemplazadas. (Ej. Intestino, Estómago)
Regeneración y reparación
• En los epitelios estratificados las células basales
constituyen también los elementos germinales.
• En otros epitelios, sobre todo en las glándulas más
complejas, cada una de las células puede tener una vida
prolongada y las divisiones celulares son raras, una vez
alcanzado el estado adulto.
• Pertenecen a las poblaciones celulares estables o
lábiles. Pero algún daño o pérdida significativa de tejido
activa una considerable proliferación. (Ej. Hígado)
..Clase 3MCB0101N.MOV
Órganos epiteliales
• Están constituidos en su mayoría por tejido epitelial.
Son “masas tridimensionales de células”.
• Ejemplos:
– Hígado.
– Algunas glándulas, como el Páncreas.
– Riñón.
Tejido epitelial

Tejido epitelial

  • 1.
    Instituto Tecnológico deSonora Departamento de Ciencias Agronómicas y Veterinarias Tejido Epitelial Histología y Biología del Desarrollo Medicina Veterinaria y Zootecnia Agosto de 2007
  • 2.
    Características generales • Los epitelios son agregadoscelulares que cubren o revisten el cuerpo y las superficies de los órganos y forma glándulas. • Están constituidos células relacionadas manera muy cercana su estructura, por función o por ambas. por de por su Esquema general de un epitelio
  • 3.
    Características generales • Lasustancia intercelular es escasa entre ellas, y por tanto, la densidad celular es elevada. • El estrecho contacto y los complejos de unión entre células forman una barrera eficaz entre el tejido conjuntivo subyacente y el ambiente de la superficie apical.
  • 4.
  • 5.
    Características generales Extremo apicalo luminal. Margen celular libre, en contacto con el entorno. Superficie lateral. En contacto con células adyacentes. Extremo basal. En contacto con el tejido conjuntivo.
  • 6.
    Características generales • Los epiteliosestán separados del tejido conjuntivo por una membrana basal. • La membrana basal es una capa acelular, rica en proteínas y polisacáridos. • Es el sitio de anclaje de las células epiteliales. • Filtración, compartimentalización y armazón.
  • 7.
    Características generales • Tejidosepiteloides. Las células carecen de superficie libre, debido a que se encuentran agrupadas en estrecha aposición unas con otras. Células de Leydig
  • 8.
  • 9.
    Funciones del Epitelio •Las células epiteliales están modificadas para servir en múltiples funciones esenciales. – Protección: contra erosiones mecánicas, microbianas, desecativas y por radiación ultravioleta. Ej. Piel – Transporte: moviliza partículas y moco, por medio de cilios móviles en la superficie. Ej. tráquea y bronquios.
  • 10.
    Funciones del Epitelio –Secreción: es una función indispensable, lubrican, humedecen, termorregulan, etc. por medio de distintas secreciones. Ej. Glándulas sudoríparas. – Absorción: Son muy selectivas y específicas, dicha absorción se puede llevar a cabo en los epitelios del intestino, túbulos renales, etc. – Sensitivas: pueden recibir estímulos sensoriales, como las papilas gustativas de la lengua o la retina del ojo.
  • 11.
  • 12.
    Clasificación de losEpitelios • El epitelio se clasifica según la disposición y la forma de las células, no de acuerdo a su función. • La nomenclatura de los tejidos epiteliales se basa en el número de capas celulares sobrepuestas y en la forma predominante o superficial de las células que los constituyen.
  • 13.
    Clasificación según suforma Planas o escamosas, cuando el ancho de la célula es mayor que su altura.
  • 14.
    Clasificación según suforma • Cúbica o cuboide: cuando el ancho, el largo y la altura de la célula son casi iguales.
  • 15.
    Clasificación según suforma Cilíndrica o columnar: cuando la altura de la célula excede en mucho al ancho.
  • 16.
    Clasificación según suscapas Simples: Formado por una sola capa de células
  • 17.
    Clasificación según suscapas Estratificado: Cuando tiene dos o más capas
  • 18.
    Clasificaciones especiales Seudoestratificado: unasola capa celular que parece estar constituida por varias. Transición: capas sometidas a cambio. Seudoestratificado Transición
  • 19.
    Epitelio Simple Plano • Esun tejido formado por células delgadas cuyo citoplasma es difícil de apreciar con el microscopio de luz. • El núcleo a menudo es prominente y sobresale de la superficie. • El citoplasma se expande y los núcleos de las células adyacentes están separados por grandes procesos citoplasmáticos.
  • 20.
    Epitelio Simple Plano •Vistas desde la superficie, las células tienen forma poligonal, pero en el corte perpendicular a la superficie libre o al borde basal, son fusiformes. • La morfología de las células escamosas es la adecuada para transportar materiales a través de una masa citoplasmática reducida. Ej. intercambio gaseoso en pulmones y en endotelio capilar. • Localización: Revestimiento de vasos sanguíneos y linfáticos (endotelio); revestimiento de espacios celómicos (mesotelio); revestimiento pulmonar funcional; pequeños conductos de varias glándulas; porciones específicas de túbulos renales y cápsula de bowman; laberinto membranoso del oído interno.
  • 21.
  • 22.
  • 23.
  • 24.
  • 25.
    Cápsula de Bowman,Glomérulo, Riñón. 40x.
  • 26.
  • 27.
    Mesotelio, Membrana Serosa,Intestino. Vista superficie, Plata.
  • 28.
    Epitelio Simple Cúbico •Aparecen como cuadros en los cortes perpendiculares al borde apical. • A partir de perspectivas superficiales pueden aparecer como cuadros o hexágonos. • El núcleo se localiza en una posición central o paracentral. • Tal vez se distingan o no los bordes laterales.
  • 29.
    Epitelio Simple Cúbico •Se relaciona por lo general con secreción y absorción. • Localización: Las porciones secretorias y conductos de muchas glándulas; ciertos túbulos del riñón; porciones específicas de vías respiratorias; superficies del cristalino y del iris; epitelio de la superficie del ovario; túbulos específicos de los testículos; epitelio pigmentado de la retina.
  • 30.
  • 31.
  • 32.
  • 33.
  • 34.
    Epitelio Simple Cilíndrico •Sus núcleos son alargados y con frecuencia se hallan desplazados hacia el borde basal. • Por lo común, los núcleos se aprecian en una sola hilera, aunque pueden formar varias por acumulación celular.
  • 35.
    Epitelio Simple Cilíndrico •Es típico que se relacionen con procesos secretores y de absorción. Diversas modificaciones del borde apical les permiten dicho funcionamiento. • Localización: Revestimiento del estómago glandular y del intestino; porción media de las vías respiratorias; integumento del útero; revestimiento de porciones secretoras y tubular de muchas glándulas.
  • 36.
  • 37.
  • 38.
  • 39.
  • 40.
  • 41.
  • 42.
  • 43.
  • 44.
  • 45.
    Epitelio Seudoestratificado • Todaslas células descansan sobre la membrana basal, pero solo las cilíndricas alcanzan la superficie luminal. • Este epitelio se aprecia sobrepoblado de células. • Las porciones basal y media se observan congestionadas por células basales, fusiformes y cilíndricas.
  • 46.
    Epitelio Seudoestratificado • Enlas superficies luminales de las células cilíndricas, es frecuente encontrar cilios. • Se le conoce como epitelio seudoestratificado cilíndrico ciliado o sólo seudoestratificado cilíndrico. • Es un epitelio de revestimiento de algunos órganos tubulares, en el que los cilios extienden su función al transporte superficial. • Localización: revestimiento de las vías respiratorias superiores; revestimiento de porciones específicas de las vías urogenitales y conductos de glándulas en zonas de transición de simple a seudoestratificado.
  • 47.
  • 48.
  • 49.
  • 50.
  • 51.
  • 52.
  • 53.
  • 54.
    Epitelio Estratificado Plano •Este epitelio tiene varias capas celulares de queratinocitos derivados de una capa basal única. • Es un epitelio engrosado que se encuentra en dondequiera que sea necesaria la protección de los tejidos subyacentes. • Puede ser delgado con pocas capas celulares o grueso con muchas de ellas.
  • 55.
    Epitelio Estratificado Plano •Estrato basal: está constituida por una sola cubierta de células piramidales, cúbicas o cilíndricas. Es la población celular progenitora que descansa sobre la membrana basal. • Estrato espinoso: está constituido por varias capas de células (espinosas). Tienden a aplanarse conforme se acercan a la superficie. Presentan abundantes prolongaciones citoplasmáticas o “espinas”, que es lo que le confiere el nombre. También son “progenitoras”. • Estrato granuloso: puede estar formado por varias capas de células o puede ser que no exista. Las células granulosas fusiformes contienen gránulos de queratohialina basófilos (precursores de la queratina). Núcleos picnóticos por cambio degenerativos.
  • 56.
    Epitelio Estratificado Plano •Estrato lúcido: las células son aplanadas, se tiñen con palidez o resultan ligeramente acidófilas. Son células muertas o a punto de morir con núcleos imperceptibles o inexistentes. Puede haber varias capas de células. No constituye una característica típica de la epidermis de los animales domésticos. Existe en cojinete digital, epidermis nasal, pezuña y glándula mamaria. • Estrato córneo: está constituido por células muertas “empacadas” estrechamente, se encuentra bien desarrollado en regiones que se considera tienen alto grado de cornificación (cojinetes, pezuñas). El resto de la piel está menos cornificada pero aún se halla este estrato. Las células de esta capa se descaman.
  • 57.
    Epitelio Estratificado Plano •El grado de cornificación depende de la presión y de la abrasión a la que se somete el epitelio. • No todas las capas características de este tejido se encuentran en todas las localizaciones. El estrato basal es una capa constante y visible. • La interfase entre el estrato basal y el tejido conjuntivo subyacente, a menudo es lisa pero puede tener numerosas interdigitaciones. • Protege contra desecación y daño mecánico. También tiene funciones de absorción.
  • 58.
    Epitelio Estratificado Plano •Localización: – Cornificado: superficie corporal total, cavidad bucal, región anal y parte superior del conducto alimentario de los rumiantes. – No Cornificado: región vestibular del aparato respiratorio; porción bucal, esofágica y anal del conducto alimentario; córnea ocular; conjuntiva, y porciones de las vías urogenitales de hembras y machos.
  • 60.
  • 61.
  • 62.
  • 63.
    Piel gruesa queratinizada,boca, perro. Tri, 10x
  • 64.
  • 65.
  • 66.
  • 67.
  • 68.
  • 69.
  • 70.
    Piel delgada queratinizada,labios, aparato reproductor. 40x
  • 71.
    No queratinizado, Vagina,aparato reproductor. 40x
  • 72.
    No queratinizado, Vagina,aparato reproductor. 10x
  • 73.
    Epitelio Estratificado Cúbico •Este epitelio celulares. tiene dos capas • La capa basal consiste en elementos poligonales germinales, cubiertos por una capa de células cúbicas. • Localización: porciones específicas del aparato genital, conductos de varias glándulas, y zonas de transición entre epitelios.
  • 74.
  • 75.
  • 76.
  • 77.
  • 78.
    Epitelio Estratificado Cilíndrico •Este tejido puede constar de dos, tres o más capas celulares. • Los elementos de las capas basal y luminal pueden estar separados entre sí por células de tipo intermedio. • Las células basales son cúbicas; las intermedias son poligonales, y las apicales, cilíndricas.
  • 79.
    Epitelio Estratificado Cilíndrico •Este tejido, en ciertos casos, es difícil de distinguir del seudoestratificado. • Localización: Zonas de transición entre epitelios cilíndrico o seudoestratificado y estratificado; porciones de las vías respiratorias superiores y conductos de algunas glándulas.
  • 80.
  • 81.
  • 82.
    Epitelio de Transición • Eltejido cambia de forma en respuesta presiones que se aplican sobre su superficie luminal. • En estado de relajación puede tener un espesor de 6 o 7 capas con células luminales cúbicas, cuyos bordes apicales se abultan hacia la luz. • Durante la distensión, se reduce hasta quedar con dos o tres estratos celulares, puede confundirse con epitelio estratificado plano.
  • 83.
    Epitelio de Transición •Puesto que se relaciona con el aparato urogenital se denomina urotelio. • El tejido se adapta al estiramiento causado por su aumento de volumen intraluminal, en consecuencia se evita el paso del agua desde los espacios del tejido conjuntivo hacia la luz del órgano ocupado por orina hipertónica. • Localización: Vías urinarias.
  • 84.
  • 85.
  • 86.
  • 87.
  • 88.
  • 89.
  • 90.
  • 91.
    Epitelio Glandular • Lascélulas solas o en poblaciones secretan muchos productos. • Las cubiertas superficiales efectúan diversas funciones secretoras. • Las glándulas son células epiteliales especializadas para sintetizar y secretar un producto específico.
  • 92.
    Epitelio Glandular • Las glándulaspueden clasificarse según: a) b) c) d) Distribución de sus productos. El número de células. La estructura de las glándulas multicelulares. El tipo de secreción y de producto secretado.
  • 93.
    Epitelio Glandular Merocrina Mecanismo Unicelulares Exócrina Número de Células Holocrina Apocrina Tipode secreción Serosas o mucosas Forma de distribución Multicelulares Simples Endocrina Alveolar Tubular Estructura Compuestas
  • 94.
    Forma de distribución •Glándulas exocrinas: – Secretan sus productos hacia una superficie a través de conductos o túbulos. Éstos también están formados por células epiteliales y pueden transportar el material secretado sin alteraciones o modificar la secreción. • Glándulas endocrinas: – Carecen de sistema de conductos, y por lo tanto con la superficie epitelial. Secretan sus productos al tejido conectivo adyacente, del cual pasan al torrente sanguíneo para alcanzar sus células blanco. Estos productos se denominan hormonas.
  • 96.
    Glándulas unicelulares • Tienen simple. la estructura más •El componente secretor consiste de células únicas distribuidas entre otras que no son secretoras. • Son células especializadas dispersas a lo largo y ancho del revestimiento epitelial.
  • 97.
    Glándulas Unicelulares • Laglándula unicelular más común es la célula caliciforme, una célula secretora de mucina. • Pueden encontrarse en los aparatos respiratorio, digestivo y urinario. • Las células caliciformes no se distinguen de las otras células hasta que se encuentran activas.
  • 98.
    Glándulas Unicelulares • Suactividad se manifiesta con la aparición de gránulos en su citoplasma (mucina). • Esto le confiere un aspecto espumoso y basófilo al citoplasma. • El núcleo y el resto del citoplasma son desplazados hacia la porción angosta y basal de la célula. • La secreción puede explosiva o gradual. ser
  • 103.
    Glándulas Multicelulares • Secomponen de más de una célula, es decir son unidades secretoras múltiples. • Presentan grados variables de complejidad. • La organización de su estructura permite subclasificarlas de acuerdo con su disposición de las células secretoras y la presencia o ausencia de ramificaciones de los conductos.
  • 104.
    Glándulas Multicelulares • Laforma más sencilla de organización de una glándula multicelular es la superficie secretora, en la cual todas las células del epitelio tienen función secretora. • Ejemplo: epitelio de revestimiento del estómago glandular.
  • 105.
    Organización estructural. • Entrelas glándulas que se localizan “fuera” de los revestimientos epiteliales, puede hallarse gran variedad de formas y funciones. • La porción terminal o secretora es conocida como adenómero. • La parte de la glándula que conecta las células secretoras con la superficie se conoce como conducto excretor.
  • 106.
    Organización estructural • Losadenómeros pueden ser: - Tubulares: forma de tubo o cilindro hueco. - Acinares o Alveolares: forma globulares o piriformes. - Tubuloalveolares: combinación de ambos, el tubo termina con una dilatación sacular.
  • 107.
    Glándulas simples El adenómerovierte su secreción en un conducto no ramificado. Sin embargo la porción secretora SI puede ser ramificada y aún así verter su secreción en un solo conducto, también puede ser recta (simple) o enrollada. Acinar simple Tubular simple. Ej. Gland. intestinales Tubular simple enrollada. Ej. Gland. sudoríparas Tubular simple ramificada Ej. Gland. Brunner (duodeno) Acinar simple ramificada Ej. Gland. Sebáceas.
  • 110.
    Glándulas Compuestas Se dannumerosas ramificaciones tanto de los conducto como de los adenómeros. Tubuloalveolar compuesta Ej. Gland. mamaria Tubular compuesta Ej. Gland. salivares Alveolar compuesta Ej. Páncreas
  • 113.
  • 114.
  • 115.
    Tipos de Secreción Existendos tipos de células secretorias. • Células serosas: en general muestra un citoplasma acidófilo en su parte apical finamente granuloso y a menudo el citoplasma pericnuclear se tiñe basófilo. El núcleo esférico tiene posición central o paracentral. Secretan un líquido acuoso claro con contenido proteico. • Células mucosas: tienen citoplasma espumoso y su núcleo es aplanado e hipercrómico, con una posición basal. Son PAS positivas pero con HE aparecen vacías. Las secreciones mucosas son viscosas ricas en glicoproteínas.
  • 116.
    Tipos de Secreción •Las glándulas mixtas tienen ambas células. • Una glándula completa puede estar constituida por adenómeros serosos y mucosos separados o bien entremezcladas. • Pueden encontrarse semilunas serosas adheridas a adenómeros mucosos, en estos casos las células serosas se conectan con el conducto por medio de pequeños canales intercelulares denominados canalículos.
  • 117.
    Tipos de Secreción •No todas las células secretoras se pueden incluir en este esquema, pero si corresponde a las glándulas digestivas, respiratorias y genitourinarias. • Ejemplos: – Serosas: parótidas y páncreas – Mucosas: sublingual y estómago – Mixtas: submaxilar
  • 123.
    Mecanismos de Secreción •Hay 3 mecanismos de secreción: – Merocrina – Apocrina – Holocrina
  • 124.
    Secreción Merocrina • Lacélula sólo contribuye con el producto mismo de la secreción. • La membrana del gránulo de secreción se funde con la membrana citoplasmática, esta fusión hacer salir al producto al espacio extracelular (Exocitosis). • Es característica de la mayoría de las glándulas.
  • 126.
    Secreción Apocrina • Sesecreta el producto y parte del citoplasma apical. • A lo largo de la superficie apical se encuentran pequeñas vesículas durante el proceso. • Es característica de la mayoría de las glándulas sudoríparas de animales domésticos y del ser humano. Así como de la glándula mamaria.
  • 128.
    Secreción Holocrina • Lacélula misma compone la secreción. • En virtud de la continua pérdida celular que ocurre por medio de este mecanismo existen células germinales. • Característica sebáceas. de glándulas • Pueden considerarse las gónadas y órganos hematopoyéticos.
  • 129.
    Secreción Holocrina Glándulas sebáceas. •Las células progenitoras se encuentran en la periferia alveolar a lo largo de la membrana basal. • La actividad mitótica de estas células las impulsa hacia la luz, donde acumulan lípidos. • Entonces sufren necrobiosis y pasan a constituir el producto de secreción.
  • 131.
    Regeneración y reparación •La mayoría de los epitelios tiene una vida media finita, más corta que la del organismo. • Los tejidos epiteliales están sometidos a las difíciles condiciones del medio, lo que determina daño o pérdida de sus células. • La mayoría de los epitelios pertenecen a la categoría de poblaciones celulares temporales, por lo tanto requieren renovación y reemplazo constante.
  • 132.
    Regeneración y reparación •El índice de reemplazo celular es característico de cada epitelio específico. • Epitelios no suficientemente especializados, retienen su potencial mitótico de alto rendimiento y sirven como elementos germinales. (Ej. Epitelios de revestimiento). • En aquellos caracterizados por elementos especializados para funciones de absorción o secreción, la especialización implica una reducción del potencial mitótico, por lo tanto dependen de células germinales para ser reemplazadas. (Ej. Intestino, Estómago)
  • 133.
    Regeneración y reparación •En los epitelios estratificados las células basales constituyen también los elementos germinales. • En otros epitelios, sobre todo en las glándulas más complejas, cada una de las células puede tener una vida prolongada y las divisiones celulares son raras, una vez alcanzado el estado adulto. • Pertenecen a las poblaciones celulares estables o lábiles. Pero algún daño o pérdida significativa de tejido activa una considerable proliferación. (Ej. Hígado) ..Clase 3MCB0101N.MOV
  • 134.
    Órganos epiteliales • Estánconstituidos en su mayoría por tejido epitelial. Son “masas tridimensionales de células”. • Ejemplos: – Hígado. – Algunas glándulas, como el Páncreas. – Riñón.