MEDIDAS PREVENTIVAS EN
ODONTOLOGIA
POR QUE LA IMPORTANCIA
La capacidad de masticar y deglutir
la comida es esencial para obtener
los nutrientes necesarios que
permiten disfrutar de un buen estado
de salud.
Capacidad de
comunicación
Autoestima
Aparte de las consecuencias
sobre el estado nutricional
afectan:
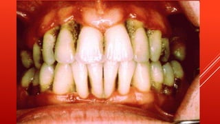
 Las enfermedades dentales provocan problemas.
Económicos
Sociales
Se basa en prevenir o evitar la aparición de diferentes
enfermedades, o disminuir el grado de malignidad o
destrucción de las estructuras bucodentales en el caso de
que aparezcan.
LA ODONTOLOGÍA
PREVENTIVA
El mejor modo de prevenirlas es con una buena higiene
bucodental y con revisiones periódicas al odontólogo
 También es relevante el control de la ingesta de determinados alimentos,
especialmente aquellos que tienen un alto potencial cariogénico: Productos
pegajosos, como chicles con azúcar o caramelos azucarados.
Una buena higiene comienza por un
correcto cepillado, que conviene realizar
justo después de cada comida
Las encías sanas, no sangran con el cepillado. (G)
 Iniciar pronto el cuidado de los dientes, cepillar los dientes de los niños con una
pasta de dientes con flúor en cuanto aparezcan.
 Cepillarse los dientes tres veces al día con pasta de dientes fluorada y limpiar
entre los dientes con hilo dental una vez al día.
 Visitar al dentista cada 6 meses para hacer una revisión.
HIGIENE BUCAL
Elementos a considerar:
 Prevenir enfermedades en las encías
 Evitará en gran medida la caries.
 Con las herramientas adecuadas.
 Dedicar el debido tiempo para que
sea efectiva
ELIMINACIÓN DE PLACA BACTERIANA
 La eliminación diaria de la placa debe de hacerse siguiendo
una serie de pasos:
No exista cerdas desgastadas ya que dañan la
encía y puede existir una retracción a nivel de
encía
Uso de hilo dental
para extraer la placa
que se adhiere a las
caras de los dientes
tanto anteriores como
posteriores.
TÉCNICAS DE CEPILLADO
Una boca sana refleja armonía y nos proyecta como
personas que cuidamos nuestra salud y nuestra apariencia.
RECOMENDACIONES
 Cepillar dientes apenas te despiertes.
 Utilizar un cepillo suave.
 Limpiar también lengua & carrillos.
 Renueva tu cepillo cada 3 meses.
TÉCNICA DE STILLMAN MODIFICADO
1: Se debe poner el cepillo a un Angulo de 45 grados.
2: Se realiza un movimiento vertical en el diente haciendo a la vez
rotación al cepillo.
3: Se limpian dos piezas en cada movimiento, empezando de la
arcada superior de derecha a izquierda.
4: Para los dientes posteriores se debe realizar un movimiento de
atrás hacia delante.
TÉCNICA DE FONES
Es la técnica recomendada en niños más pequeños, dada la
menor destreza a la hora de realizar el cepillado dental.
1: Con la boca cerrada, hacer movimientos circulares con el piso.
 Abarcar dientes superiores e inferiores.
2: Con la boca abierta hacer movimientos circulares en la cara interna
de los dientes inferiores.
3: En los dientes anteriores, colocar el cepillo en sentido vertical.
4: & Movimientos circulares en las caras Oclusales.
TÉCNICA DE BASS MODIFICADA
Considerada la técnica mas eficiente en la Odontologia.
1: Se coloca el cepillo sobre la encia & el diente en un Angulo de 45º en dirección
al ápice del diente.
2: Se produce movimientos rotatorios en el sentido de un movimiento horizontal.
GRACIAS

Medidas preventivas en odontologia

  • 1.
  • 2.
    POR QUE LAIMPORTANCIA La capacidad de masticar y deglutir la comida es esencial para obtener los nutrientes necesarios que permiten disfrutar de un buen estado de salud. Capacidad de comunicación Autoestima Aparte de las consecuencias sobre el estado nutricional afectan:
  • 3.
     Las enfermedadesdentales provocan problemas. Económicos Sociales Se basa en prevenir o evitar la aparición de diferentes enfermedades, o disminuir el grado de malignidad o destrucción de las estructuras bucodentales en el caso de que aparezcan. LA ODONTOLOGÍA PREVENTIVA
  • 4.
    El mejor modode prevenirlas es con una buena higiene bucodental y con revisiones periódicas al odontólogo
  • 5.
     También esrelevante el control de la ingesta de determinados alimentos, especialmente aquellos que tienen un alto potencial cariogénico: Productos pegajosos, como chicles con azúcar o caramelos azucarados. Una buena higiene comienza por un correcto cepillado, que conviene realizar justo después de cada comida Las encías sanas, no sangran con el cepillado. (G)
  • 6.
     Iniciar prontoel cuidado de los dientes, cepillar los dientes de los niños con una pasta de dientes con flúor en cuanto aparezcan.  Cepillarse los dientes tres veces al día con pasta de dientes fluorada y limpiar entre los dientes con hilo dental una vez al día.  Visitar al dentista cada 6 meses para hacer una revisión.
  • 7.
  • 8.
    Elementos a considerar: Prevenir enfermedades en las encías  Evitará en gran medida la caries.  Con las herramientas adecuadas.  Dedicar el debido tiempo para que sea efectiva
  • 10.
    ELIMINACIÓN DE PLACABACTERIANA  La eliminación diaria de la placa debe de hacerse siguiendo una serie de pasos:
  • 11.
    No exista cerdasdesgastadas ya que dañan la encía y puede existir una retracción a nivel de encía
  • 13.
    Uso de hilodental para extraer la placa que se adhiere a las caras de los dientes tanto anteriores como posteriores.
  • 14.
  • 15.
    Una boca sanarefleja armonía y nos proyecta como personas que cuidamos nuestra salud y nuestra apariencia.
  • 16.
    RECOMENDACIONES  Cepillar dientesapenas te despiertes.  Utilizar un cepillo suave.  Limpiar también lengua & carrillos.  Renueva tu cepillo cada 3 meses.
  • 17.
    TÉCNICA DE STILLMANMODIFICADO 1: Se debe poner el cepillo a un Angulo de 45 grados. 2: Se realiza un movimiento vertical en el diente haciendo a la vez rotación al cepillo. 3: Se limpian dos piezas en cada movimiento, empezando de la arcada superior de derecha a izquierda. 4: Para los dientes posteriores se debe realizar un movimiento de atrás hacia delante.
  • 19.
    TÉCNICA DE FONES Esla técnica recomendada en niños más pequeños, dada la menor destreza a la hora de realizar el cepillado dental. 1: Con la boca cerrada, hacer movimientos circulares con el piso.  Abarcar dientes superiores e inferiores. 2: Con la boca abierta hacer movimientos circulares en la cara interna de los dientes inferiores. 3: En los dientes anteriores, colocar el cepillo en sentido vertical. 4: & Movimientos circulares en las caras Oclusales.
  • 21.
    TÉCNICA DE BASSMODIFICADA Considerada la técnica mas eficiente en la Odontologia. 1: Se coloca el cepillo sobre la encia & el diente en un Angulo de 45º en dirección al ápice del diente. 2: Se produce movimientos rotatorios en el sentido de un movimiento horizontal.
  • 23.