ERRORES DIAGNÓSTICOS
   EN RADIOLOGÍA


   FALSAS IMÁGENES


                        MARLEN DEL CARMEN PEÑA
              MEDICINA FAMILIAR Y COMUNITARIA R1
                         NAVALMORAL DE LA MATA
 HISTORIA CLINICA URGENCIAS

Datos Personales: Mujer de 43 años de edad, magrebí. Barrera
  idiomática, informante familiar.

Antecedentes personales patológicos:
• No RAM conocidas.
• No hábitos tóxicos.
• Síndrome Ansioso-depresivo.
• Resto antecedentes clínicos y quirúrgicos negados.

Motivo de consulta: Infección respiratoria sin mejoría tras
  tratamiento

Enfermedad actual: Hace10 días con tos sin expectoración,
   autoescucha sibilancias. Además fiebre, cefalea y dolor
   costal bilateral; que tras tratamiento con levofloxacino
   500mg no ha presentado mejoría.
Exploración física:

TA: 130/80mmHg          SatO2:98%        Temp:37.4ºC
BEG, consciente, buen color de piel y mucosas, bien
   hidratada y perfundida, eupneica en reposo. Rash
   cutáneo en tórax.

CYC: no palpo adenopatias, ni adenomegalias, no IY, no
  adenopatías.
AC:Ruidos cardíacos regulares, sin precisar soplos.
AP: mvc con roncus respiratorios y sibilancias dispersas en
  campos medios pulmonares.
Abdomen: RHA +, blando depresible, no masas, no megalias
  claras, aunque a nivel de flanco izquierdo se palpa
  ocupación con pérdida de timpanismo a ese nivel, no
  signos de irritación peritoneal.
MMII: no edemas, ni signos de TVP, pulsos pedios
  conservados y simétricos.
Tratamiento en Urgencias

• Actocortina

• Omeprazol

• Paracetamol

• Nebulizaciones con Ventolín, Atrovent,
  Pulmicort y Mucosán.
Analíticas en Urgencias

• Hematología: serie roja, blanca y
  megacariocítica normal

• Coagulación: normal

• Bioquímica: normal

• GAB: pH: 7.53; pCO2: 22; pO2: 93.8; HCO3 18.1;
  SatO2: 98%
Evolución y Comentarios:

Se comenta con Medicina Interna y tras valoración se
   decide ingreso programado.




Diagnóstico: Masa       mediastínica a
  estudio.

Medicación:
• Codeína comprimido 28.7mg
• Lactulosa un sobre diario.
Ingreso en planta

• Se obtiene la misma historia de urgencias dada por
  un familiar.

• Examen Físico: Auscultación normal. No hallazgos
  clínicos objetivos.

• Y se decide realizar Analíticas Completas: Perfil
  hematológico,renal, lipídico, hepático; calcio,
  fósforo, TSH, T4 libre, B2 microglobulina, Antígenos
  cancerígenos, inmunoglobulinas, proteinograma.

• TAC toraco-abdomino-pélvico.
Y mientras tanto…
                    4T
 TAC de Tórax/Abdomen/pelvis:

Barrera idiomática. Se informa a la paciente a través de un familiar.


Signos de densidad en vidrio deslustrado en parénquima
   pulmonar, lóbulos superiores, sin infiltrados consolidativos
   demostrables en el momento actual.
Importante déficit de inspiración que puede provocar
  artefacto de Imagen.
Adenopatías mediastínicas de 11mm, en espacio prevascular,
  consideradas inespecíficas. Mediastino en el estudio actual, se
  representa de configuración anatómica radiológica con cierta
   elongación de troncos, sin otros hallazgos actuales
   destacables. Aumento del índice cardiotorácico. En
   abdomen, se aprecia duplicidad de la vena cava
   inferior. Resto de estructuras anatómicas evaluables
   radiológicamente sin hallazgos destacables.
Rx de tórax en planta:
Se comenta el caso al Radiólogo, quien informa
  que se trata de una falsa imagen
  provocada por pelo largo recogido en moño
  o coleta, por lo que es dada de alta con
  seguimiento en consulta externa de Medicina
  Interna con Rx de Tórax y analíticas; por la
  presencia de imagen de vidrio deslustrado en
  el TAC poco valorable por la escasa
  inspiración de la paciente.
Seguimiento en consulta:
PCR Y VSG AUMENTADOS, INESPECIFICOS.
• MÉDICOS DE FAMILIA


• ERRORES DIAGNÓSTICOS EN
        RADIOLOGIA


    • FALSAS IMÁGENES
En los servicios de Urgencias se descuidan
  cuestiones esenciales en la preparación
  del enfermo que pueden ocultar datos
  clínicos o provocar errores diagnósticos:

• No desnudar por completo a los pacientes
• No despojarlos de adornos que puedan
  ocasionar artefactos (horquillas, relojes,
  cadenas, ropa interior, etc.).
• Inmediatez con la que se demandan las
  pruebas y el exceso de presión asistencial
Inmigrantes:
• Cultura e Idioma.
•   Hábitos peculiares.
•   Enfermedades endémicas.


En este caso : Tenía pañuelo que ocultaba el
  pelo duro, denso y espeso.


Al realizar la radiografía de tórax:
• Cuello en hiperextensión.
• Densidad del «moño»
El error en Medicina ha existido siempre, ya que es
   una actividad humana.



•  ¿Cuánto error es aceptable?
•  ¿ Qué podemos hacer para prevenir, disminuir
  o impedir que sigan aumentando?
• ¿Cuánto sabemos y cuánto terminamos
  sabiendo los residentes de Med. Familiar de
  Radiología?
• En general, los artefactos radiológicos son
  fácilmente reconocibles cuando se trata de
  ornamentos, ortopedia o material quirúrgico
  permanente, pero pueden dar lugar a errores
  diagnósticos.
• Entre el 2% al 30% de los informes radiológicos
  pueden tener errores.

• Muchos de estos errores son simples o
  excusables y no constituyen mala praxis ni
  generan responsabilidad profesional.

• Estudios: alta variabilidad en interpretación(20%)
• Otros errores son negligentes o inexcusables.

•   La mala praxis no se configura por la sola
    presencia del error. La presencia del mismo es
    una condición necesaria, pero no definitiva.

• El error es cuando a juicio de peritos expertos
  hay evidencia:
a) Falta médica.
b) Daño al paciente.
c) Nexo causal entre la falta y el daño.
¿Cuáles son esos errores radiológicos?

• Errores de la percepción.

• Errores de razonamiento.

• Errores aliterativos.

• Errores por falta de conocimiento.

• Errores por mala técnica.
Errores en la percepción

• No se aprecian características que están
  presentes en la imagen.

• Esta forma de Falsos negativos: Error más
  frecuente en Radiología(60-80%).Son 5 veces
  (+) frec. que falsos positivos. El (+)frustante para
  nosotros.


• ¿Cómo no vi esto?
Signo de la almohadilla grasa” (signo indirecto de que existe una
fractura supracondílea de codo, y que se forma por despegamiento del
                  periostio por el hematoma fracturario)
Factores que inducen a este error

• Fatiga.

• Las interrupciones y distracciones repetidas.

• Malas condiciones de visualización.

• Lesiones múltiples. Fenómeno psicológico
  conocido como “satisfacción en la
  búsqueda.” Informar sólo un hallazgo y no
  todos; Omitir el signo radiológico o no darle
  la importancia que tiene.
• Desde el punto de vista médico-legal: los (+)
  difíciles de defender.

• 90% Ca de pulmón con Rx de tórax normal se
  estudiaron de forma retrospectiva tenían una
  lesión.

• Ejemplo :F.M.P
Errores del razonamiento

• Identifica hallazgos, pero lo mal interpreta
  (10%)

• Funcionamiento mental: Ante lo
  característico, no piensan en otras
  probabilidades.

• “Se pierden más diagnósticos por no pensar
  en ellos que por desconocerlos”.


• Excesiva influencia de la experiencia
  propia
¿Como prevenirlo?

• Información clínica

• Consultar los estudios e informes previos

• Evitar los diagnósticos instantáneos o
  rápidos. Limita así sus posibilidades
  diagnósticas.

• Poder consultar con colegas antes de
  realizar el informe final.
Errores aliterativos


• El fenómeno se daría cuando el error
  cometido por un radiólogo en la primera
  interpretación se vuelve a repetir en
  controles posteriores realizados por él
  mismo o por otros colegas. Error de cortar y
  pegar.

• Primero ver la radiografía actual, luego
  comparar con anterior.
Errores por falta de conocimiento


• Conocimiento inadecuado de la anatomía
  normal.

• Desconocimiento de las variantes normales

• Desconocimiento de las variables de
  desarrollo y crecimiento. (error en Pediatría)
•
Errores por inadecuada técnica radiológica


• La precisión diagnóstica de un médico nunca será
  mayor que la calidad de las radiografías que se le
  entregan para su interpretación.

• Los técnicos obtienen las imágenes, pero los
  médicos son los responsables de determinar la
  calidad del estudio.

• Valorar la técnica radiológica.
• Lo recomendable es no realizar
  diagnósticos a partir de una imagen de
  mala calidad técnica.



• Si el médico decide que el estudio es
  legible, debería aclarar en su informe que si
  bien la imagen no es óptima permite
  realizar el diagnóstico.
Conclusiones

• Saber reconocer cuando no se entiende lo que se
  ve. Veo, veo, ¿qué veo?

• Ser minuciosos. Diagnósticos apresurados.
  Componente psicológico inmediato.

• Recordar siempre que se está ejecutando un acto
  jurídico que puede tener consecuencias legales.

• Que todo lo que se haga deberá ser probado. Que
  todo lo que se diga puede ser mal interpretado.
  Que lo que no se escribe no se hizo o no se
  observó.
• Los médicos somos muchas veces verdaderos
  optimistas y creemos que a nosotros no nos va a
  pasar nada hasta   que nos pasa.
GRACIAS!!!

Errores Rx

  • 1.
    ERRORES DIAGNÓSTICOS EN RADIOLOGÍA FALSAS IMÁGENES MARLEN DEL CARMEN PEÑA MEDICINA FAMILIAR Y COMUNITARIA R1 NAVALMORAL DE LA MATA
  • 2.
     HISTORIA CLINICAURGENCIAS Datos Personales: Mujer de 43 años de edad, magrebí. Barrera idiomática, informante familiar. Antecedentes personales patológicos: • No RAM conocidas. • No hábitos tóxicos. • Síndrome Ansioso-depresivo. • Resto antecedentes clínicos y quirúrgicos negados. Motivo de consulta: Infección respiratoria sin mejoría tras tratamiento Enfermedad actual: Hace10 días con tos sin expectoración, autoescucha sibilancias. Además fiebre, cefalea y dolor costal bilateral; que tras tratamiento con levofloxacino 500mg no ha presentado mejoría.
  • 3.
    Exploración física: TA: 130/80mmHg SatO2:98% Temp:37.4ºC BEG, consciente, buen color de piel y mucosas, bien hidratada y perfundida, eupneica en reposo. Rash cutáneo en tórax. CYC: no palpo adenopatias, ni adenomegalias, no IY, no adenopatías. AC:Ruidos cardíacos regulares, sin precisar soplos. AP: mvc con roncus respiratorios y sibilancias dispersas en campos medios pulmonares. Abdomen: RHA +, blando depresible, no masas, no megalias claras, aunque a nivel de flanco izquierdo se palpa ocupación con pérdida de timpanismo a ese nivel, no signos de irritación peritoneal. MMII: no edemas, ni signos de TVP, pulsos pedios conservados y simétricos.
  • 4.
    Tratamiento en Urgencias •Actocortina • Omeprazol • Paracetamol • Nebulizaciones con Ventolín, Atrovent, Pulmicort y Mucosán.
  • 5.
    Analíticas en Urgencias •Hematología: serie roja, blanca y megacariocítica normal • Coagulación: normal • Bioquímica: normal • GAB: pH: 7.53; pCO2: 22; pO2: 93.8; HCO3 18.1; SatO2: 98%
  • 7.
    Evolución y Comentarios: Secomenta con Medicina Interna y tras valoración se decide ingreso programado. Diagnóstico: Masa mediastínica a estudio. Medicación: • Codeína comprimido 28.7mg • Lactulosa un sobre diario.
  • 8.
    Ingreso en planta •Se obtiene la misma historia de urgencias dada por un familiar. • Examen Físico: Auscultación normal. No hallazgos clínicos objetivos. • Y se decide realizar Analíticas Completas: Perfil hematológico,renal, lipídico, hepático; calcio, fósforo, TSH, T4 libre, B2 microglobulina, Antígenos cancerígenos, inmunoglobulinas, proteinograma. • TAC toraco-abdomino-pélvico.
  • 9.
  • 10.
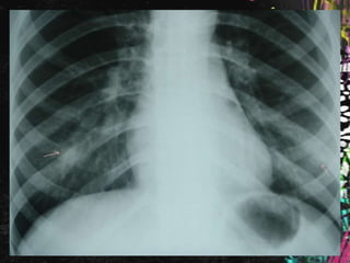
     TAC deTórax/Abdomen/pelvis: Barrera idiomática. Se informa a la paciente a través de un familiar. Signos de densidad en vidrio deslustrado en parénquima pulmonar, lóbulos superiores, sin infiltrados consolidativos demostrables en el momento actual. Importante déficit de inspiración que puede provocar artefacto de Imagen. Adenopatías mediastínicas de 11mm, en espacio prevascular, consideradas inespecíficas. Mediastino en el estudio actual, se representa de configuración anatómica radiológica con cierta elongación de troncos, sin otros hallazgos actuales destacables. Aumento del índice cardiotorácico. En abdomen, se aprecia duplicidad de la vena cava inferior. Resto de estructuras anatómicas evaluables radiológicamente sin hallazgos destacables.
  • 11.
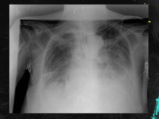
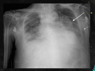
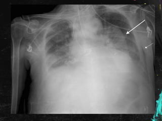
    Rx de tóraxen planta:
  • 12.
    Se comenta elcaso al Radiólogo, quien informa que se trata de una falsa imagen provocada por pelo largo recogido en moño o coleta, por lo que es dada de alta con seguimiento en consulta externa de Medicina Interna con Rx de Tórax y analíticas; por la presencia de imagen de vidrio deslustrado en el TAC poco valorable por la escasa inspiración de la paciente.
  • 13.
    Seguimiento en consulta: PCRY VSG AUMENTADOS, INESPECIFICOS.
  • 14.
    • MÉDICOS DEFAMILIA • ERRORES DIAGNÓSTICOS EN RADIOLOGIA • FALSAS IMÁGENES
  • 15.
    En los serviciosde Urgencias se descuidan cuestiones esenciales en la preparación del enfermo que pueden ocultar datos clínicos o provocar errores diagnósticos: • No desnudar por completo a los pacientes • No despojarlos de adornos que puedan ocasionar artefactos (horquillas, relojes, cadenas, ropa interior, etc.). • Inmediatez con la que se demandan las pruebas y el exceso de presión asistencial
  • 16.
    Inmigrantes: • Cultura eIdioma. • Hábitos peculiares. • Enfermedades endémicas. En este caso : Tenía pañuelo que ocultaba el pelo duro, denso y espeso. Al realizar la radiografía de tórax: • Cuello en hiperextensión. • Densidad del «moño»
  • 17.
    El error enMedicina ha existido siempre, ya que es una actividad humana. • ¿Cuánto error es aceptable? • ¿ Qué podemos hacer para prevenir, disminuir o impedir que sigan aumentando? • ¿Cuánto sabemos y cuánto terminamos sabiendo los residentes de Med. Familiar de Radiología?
  • 18.
    • En general,los artefactos radiológicos son fácilmente reconocibles cuando se trata de ornamentos, ortopedia o material quirúrgico permanente, pero pueden dar lugar a errores diagnósticos.
  • 19.
    • Entre el2% al 30% de los informes radiológicos pueden tener errores. • Muchos de estos errores son simples o excusables y no constituyen mala praxis ni generan responsabilidad profesional. • Estudios: alta variabilidad en interpretación(20%)
  • 20.
    • Otros erroresson negligentes o inexcusables. • La mala praxis no se configura por la sola presencia del error. La presencia del mismo es una condición necesaria, pero no definitiva. • El error es cuando a juicio de peritos expertos hay evidencia: a) Falta médica. b) Daño al paciente. c) Nexo causal entre la falta y el daño.
  • 21.
    ¿Cuáles son esoserrores radiológicos? • Errores de la percepción. • Errores de razonamiento. • Errores aliterativos. • Errores por falta de conocimiento. • Errores por mala técnica.
  • 22.
    Errores en lapercepción • No se aprecian características que están presentes en la imagen. • Esta forma de Falsos negativos: Error más frecuente en Radiología(60-80%).Son 5 veces (+) frec. que falsos positivos. El (+)frustante para nosotros. • ¿Cómo no vi esto?
  • 23.
    Signo de laalmohadilla grasa” (signo indirecto de que existe una fractura supracondílea de codo, y que se forma por despegamiento del periostio por el hematoma fracturario)
  • 27.
    Factores que inducena este error • Fatiga. • Las interrupciones y distracciones repetidas. • Malas condiciones de visualización. • Lesiones múltiples. Fenómeno psicológico conocido como “satisfacción en la búsqueda.” Informar sólo un hallazgo y no todos; Omitir el signo radiológico o no darle la importancia que tiene.
  • 30.
    • Desde elpunto de vista médico-legal: los (+) difíciles de defender. • 90% Ca de pulmón con Rx de tórax normal se estudiaron de forma retrospectiva tenían una lesión. • Ejemplo :F.M.P
  • 31.
    Errores del razonamiento •Identifica hallazgos, pero lo mal interpreta (10%) • Funcionamiento mental: Ante lo característico, no piensan en otras probabilidades. • “Se pierden más diagnósticos por no pensar en ellos que por desconocerlos”. • Excesiva influencia de la experiencia propia
  • 37.
    ¿Como prevenirlo? • Informaciónclínica • Consultar los estudios e informes previos • Evitar los diagnósticos instantáneos o rápidos. Limita así sus posibilidades diagnósticas. • Poder consultar con colegas antes de realizar el informe final.
  • 38.
    Errores aliterativos • Elfenómeno se daría cuando el error cometido por un radiólogo en la primera interpretación se vuelve a repetir en controles posteriores realizados por él mismo o por otros colegas. Error de cortar y pegar. • Primero ver la radiografía actual, luego comparar con anterior.
  • 39.
    Errores por faltade conocimiento • Conocimiento inadecuado de la anatomía normal. • Desconocimiento de las variantes normales • Desconocimiento de las variables de desarrollo y crecimiento. (error en Pediatría)
  • 40.
  • 41.
    Errores por inadecuadatécnica radiológica • La precisión diagnóstica de un médico nunca será mayor que la calidad de las radiografías que se le entregan para su interpretación. • Los técnicos obtienen las imágenes, pero los médicos son los responsables de determinar la calidad del estudio. • Valorar la técnica radiológica.
  • 44.
    • Lo recomendablees no realizar diagnósticos a partir de una imagen de mala calidad técnica. • Si el médico decide que el estudio es legible, debería aclarar en su informe que si bien la imagen no es óptima permite realizar el diagnóstico.
  • 45.
    Conclusiones • Saber reconocercuando no se entiende lo que se ve. Veo, veo, ¿qué veo? • Ser minuciosos. Diagnósticos apresurados. Componente psicológico inmediato. • Recordar siempre que se está ejecutando un acto jurídico que puede tener consecuencias legales. • Que todo lo que se haga deberá ser probado. Que todo lo que se diga puede ser mal interpretado. Que lo que no se escribe no se hizo o no se observó.
  • 46.
    • Los médicossomos muchas veces verdaderos optimistas y creemos que a nosotros no nos va a pasar nada hasta que nos pasa.
  • 47.