C.D. LUIS ALBERTO SARMIENTO VILLABA
CEFALOMETRIA
CEFALOMETRIA
Cefalometría
es el nombre que se da a las medidas que
se obtienen del cráneo humano, por lo
general realizadas por radiografías
La cefalometría radiológica surgió en 1934 por
Hofrath en Alemania y Broadbent en Estados
Unidos.
En un principio, la cefalometría tenía como
objetivo el estudio de los patrones de
crecimiento craneofacial.
La cefalometría también se emplea para
valorar las proporciones dentofaciales, estudio
de las maloclusiones y las discrepancias
esqueléticas.
Aplicaciones de la cefalometría
• Estudio del crecimiento facial: repetición y
reproducción de las estructuras del paciente.
Superposición de trazados para estudiar su
crecimiento.
• Tiene aplicación médica para la evaluación de las vías
aéreas superiores, así como para hacer seguimiento
de la maduración fetal por obstetricia.
• La cefalometría también tiene utilidad en la
elaboración de diagnósticos y las evaluaciones de
control y pos tratamiento en odontología.
Dolicocéfalo Braquicéfalo
Deformaciones Artificiales
Aplicaciones de la Cefalometría
• Diagnóstico de anomalías cráneo-faciales
(clase II, clase III…)
MALOCLUSION DE ANGLE
CEFALOMETRIA
• A través de los estudios cefalométricos, el ortodoncista logrará un
conocimiento más profundo de las estructuras involucradas,
medirlas, describirlas y estudiar sus interrelaciones.
• La cefalometría no es una ciencia exacta, por las dificultades
de localización de los puntos y la inexactitud de los exploradores
a la hora de encontrarlos; no obstante es, junto a los modelos
dentales, una de las principales herramientas diagnóstica en
ortodoncia.
• La cefalometría se realiza sobre un trazado obtenido del calco
de líneas fundamentales de una radiografía lateral de cráneo,
obtenida del paciente, según unas normas determinadas que nos
permiten estandarizar los resultados y compararlos con patrones
normales.
El cráneo y la
base craneal
El maxilar óseo
la mandíbula
ósea
la dentición
y los procesos
alveolares
Es el estudio de las
relaciones horizontales
y verticales de los cinco
componentes
funcionales más
importantes de la cara
Todo análisis cefalométrico es un procedimiento ideado para obtener una descripción de las
relaciones que existen entre estas unidades funcionales.
Cefalometría
• Utilizando un criterio meramente
clínico, a la hora de llevar a cabo una
cefalometría, el profesional debería
conocer los siguientes aspectos:
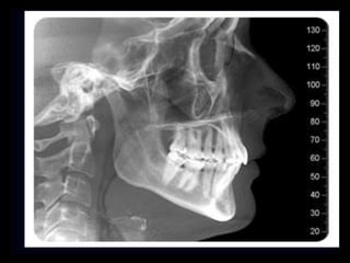
Telerradiografía
• Es una Radiografía extra bucal, se trata de una
radiografía tomada desde fuera de la boca y a
una distancia determinada.
Telerradiografía
• Las arcadas dentales están en el
intercuspidazion máximo
Telerradiografía
• Los labios tienen que ser guardados en la
posición natural
PUNTOS CRANEOMÉTRICOS:
PUNTOS CEFALOMÉTRICOS:
• S:Sella: centro geométrico de la silla turca en al punto medio de su concavidad.
• A:punto mas profundo de la concavidad anterior del hueso maxilar.
• N: Nasion: punto de unión entre las suturas Internasal y frontonasal Sutura
Frontonasal
• B:punto más posterior de la concavidad anterior del hueso mandibular
• O: Oregón, punto inferior de la orbita
• SNA: la espina nasal anterior
PUNTOS CRANEALES ANATÓMICOS
UNILATERALES:
• Silla (S)
• Basión (Ba)
• Nasión (N)
• Silla: (s) Silla Turca
• Basión: (Ba) Punto medio en el borde
anterior del forámen magno
• Nasion: (N) Punto de encuentro de las
suturas internasal y nasofrontal
PUNTOS CRANEALES ANATÓMICOS
BILATERALES:
• Porión (Po)
• Bolton (Bo)
• Articulare (Ar)
• Bolton (Bo): es el punto más alto de los promedios
de los contornos de las incisuras retrocondilar del
hueso occipital. El aproximado del centro antero-
posterior del foramen magno.
• Porión (Po): Punto más superior y externo del
conducto auditivo externo.
• Articulare (Ar): Es la intersección del borde
posterior del cuello del condilo mandibular con el
contorno de la base esfenoidal
• Yugular: cara inferior de la base del cráneo,
corresponde al vértice de la apófisis yugular del
occipital.
PUNTOS FACIALES ANATÓMICOS
UNILATERALES:
 Punto A
 Espina nasal anterior (ENA)
 Espina nasal posterior (ENP)
 Prostión (Pr)
 Infradental (Id)
 Pogonión (Pog)
 Gnatión (Gn)
 Mentoniano (Me)
 Punto B
• Punto A : punto de mayor conceavidad entre la espina nasal y
prostion
• Punto B: Punto de mayor concavidad entre el infradental y el
pogonion
• ENA, ENP
• Pogonión (Pog) Punto más anterior de la protuberancia
mentoniana
• Prostión (Pr): punto distal de la sutura intermaxilar o entre las
aposifisis alveolares de los incisivos
• Infradental (Id): Punto medio entre los incisivos centrales
inferiores
• Gnation (Gn): Punto medio más bajo del borde inferior del
cuerpo de la mandíbula
• Pogonion (Pg): es el punto mas anterior de la curvatura
anterior de la sínfisis del mentón.
• Gnation (Gn): Punto medio y anterior del borde inferior
del cuerpo de la mandíbula
• Mentoneano (Me): Punto medio mas anterior e inferior
o bajo
PUNTOS CEFALOMETRICOS
• PUNTO A O SUBESPINAL : punto mas
posterior de la concavidad anterior en el perfil
óseo del maxilar , ubicado entre la espina
nasal anterior y el reborde alveolar .
• PUNTO B O SUPRAMENTAL : punto mas
posterior de la concavidad anterior del perfil
óseo dela mandíbula ubicado entre el
Pogonion y el reborde alveolar .
PUNTOS FACIALES ANATÓMICOS
BILATERALES:
• Orbitario (O)
• Ormafrom(Omr)
• Condileón (Co)
• Eje condilar (Dc)
• Gonión (Go)
• Gonion ( Go): es el ángulo de la mandíbula.
• Condileo( Co ): punto mas postero superior del
cóndilo mandibular.
• Orbitario o suborbitario: punto de mayor
declive del reborde inferior de la órbita.
• Ormafron ( Om): ubicado en el borde externo
del reborde orbitario, a la altura de la sutura
fronto malar.
• Malar (m): mayor convexidad o punto más
saliente de la cara externa del malar.
PUNTOS DENTARIOS
ANATÓMICOS:
• Incisivo central superior
izquierdo
• Incisivo central inferior
derecho
• Primer molar superior e
inferior izquierdos
PUNTOS CEFALOMÉTRICOS EN
TEJIDOS SUAVES:
 Punto Cervical (C). Punto entre el área submental
y el cuello en el plano submental.
 Surco Labial Inferior (IIs). Punto encontrado en la
concavidad en el contorno del labio inferior entre
este último y el mentón.
 (Li) :Punto denotado entre el borde del bermellón
del labio inferior.
 (Ls) :Punto denotado entre el borde del bermellón
del labio superior.
 Pronasal (Pn) :Punto más prominente de la nariz
en el plano medio sagital.
c
ISL
Li
Ls
Pn
Sn
Tr
PUNTOS CEFALOMÉTRICOS EN
TEJIDOS SUAVES:
 Glabella Blando (G’). Punto más prominente en
el tejido suave en la frente.
 Menton Blando (Me’). Punto más inferior en el
tejido suave de la barbilla.
 Nasion Blando (Na’). Punto más profundo en la
concavidad entre la frente y los tejidos suaves del
contorno de la nariz.
 Pogonion Blando (Pg’). Punto más prominente
en el tejido suave del contorno de la barbilla.
PUNTOS CEFALOMÉTRICOS EN
TEJIDOS SUAVES:
 Stomion (St). Punto más anterior del contacto entre el
labio superior y el labio inferior.
 Stomion Inferior (Sti). Punto medio más alto del labio
inferior.
 Stomion Superior (Sts). Punto medio más inferior del
labio superior.
 Subnasal (Sn) Punto en el plano medio sagital donde la
base de la nariz encuentra al labio superior.
 Surco labial Superior (Sls). Punto que se encuentra en
la concavidad en el contorno del labio superior entre
subnasal y el labio superior.
 Triquium (Tr). Punto de la línea del cabello en la frente.
Si no hay cabello se calcula el lugar donde estuvo.
LINEAS Y PLANOS
 LINEA S-N
 PLANO BOLTON
 PLANO FRANKFORT HORIZONTAL (FH).
 PLANO FACIAL.
 PLANO PALATINO
 PLANO OCLUSAL .
 EJE CONDILEO.
 PLANO MANDIBULAR.
 PLANO TANGENTE AL CLIVUS
 PLANO T
 EJES INCISALES.
PLANOS CEFALOMÉTRICOS BÁSICOS
 Plano Silla – Nasión:
 Representa la parte
anterior de la base del
cráneo.
 Plano de Frankfort (Po-O)
 Plano de referencia facial.
 Plano Palatino (ENA-ENP) o
biespinal
 Representa la base ósea
del maxilar sup.
LINEA S-N
Representa la base anterior del craneo.
S: Silla Turca.
N: Sutura Frontonasal.
PLANOS CEFALOMÉTRICOS BÁSICOS
Plano Mandibular (Go-Me)
 Representa la base ósea del
maxilar inferior.
PLANO MANDIBULAR
Go:
Gonion
Gn:
Gnation
Pg
EL PLANO MANDIBULAR ES:
 SEGUN STEINER : Go - Gn
 SEGÚN MC NAMARA ES : GO- Me
PLANO BOLTON
PLANO BA- N
Condilos
del
occipital
N:
Nasion
Bo: Bolton
Ba: Basion
PLANO FRANKFORT HORIZONTAL
P:
PORION
MEATO
AUDITIVO EXT
O:
ORBITAL
PUNTO INFERIOR
DE LA ORBITA
PLANO PALATINO
ENP
ENA
Espina nasal posterior
Espina nasal anterior
PLANO OCLUSAL
OCLUSION POSTEROR
DE LOS MOLARES Y PREMOLARES
PERMANENTES
O MOLARES TEMPORALES
LINEAS Y PLANOS MAS COMUNES
S
N
P
O
Bo. E N AENP
Go
Gn
PLANO
TANGENTE AL
CLIVUS
PLANO T
PUNTOS Y PLANOS
ALTERNATIVOS
PLANOS CEFALOMÉTRICOS
AUXILIARES:
Plano Facial (N-Pog)
– Representa el
contorno facial.
Plano del eje Y (S-Gn)
– Representa el patrón
de crecimiento de un
individuo y muestra la
dirección en la cual
está rotando la
mandíbula.
PLANOS CEFALOMÉTRICOS
AUXILIARES:
 Plano AB
 Representa la localización
del hueso alveolar del
maxilar superior e inferior
en sentido anteroposterior.
Muy útil para tomar la
decisión de extraer dientes
o no.
PLANOS CEFALOMÉTRICOS
AUXILIARES:
 Plano NA y NB.
 Representa la
localización de las
maxilas en relación con
la base del cráneo
LINEA A PO
Linea maxilo
mandibularA
Po
LINEA E
Punta del tejido
blando de la nariz
Punta del tejido
blando del menton
PLANOS DENTARIOS:
 Plano oclusal
 Pasa por las cúspides de los
M y PM, y por los bordes
incisales de los I S .
 Eje del incisivo
superior
 Eje del incisivo inferior
 Eje del primer molar
maxilar
 Eje del primer molar
mandibular
EJES INCISALES
Ejes largos de los
incisivos centrales sup
e inf.
FIN
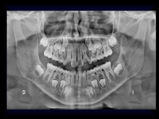
RADIOGRAFIAS MAS COMUNES
EN DX ODONTOLOGIA
RADIOGRAFIAS DX ODONTOLOGICO
• ANTERO POSTERIOR
• A.P DE TOWNE
• A.P. DE WATERS
• PROYECCIONES LATERALES
• PROYECCION A. DE CADWELL
• PANORAMICA
• PERIAPICAL
• R.BITE WING
FIN
Cefalometria

Cefalometria

  • 1.
    C.D. LUIS ALBERTOSARMIENTO VILLABA CEFALOMETRIA
  • 2.
  • 6.
    Cefalometría es el nombreque se da a las medidas que se obtienen del cráneo humano, por lo general realizadas por radiografías
  • 7.
    La cefalometría radiológicasurgió en 1934 por Hofrath en Alemania y Broadbent en Estados Unidos. En un principio, la cefalometría tenía como objetivo el estudio de los patrones de crecimiento craneofacial. La cefalometría también se emplea para valorar las proporciones dentofaciales, estudio de las maloclusiones y las discrepancias esqueléticas.
  • 8.
    Aplicaciones de lacefalometría • Estudio del crecimiento facial: repetición y reproducción de las estructuras del paciente. Superposición de trazados para estudiar su crecimiento.
  • 10.
    • Tiene aplicaciónmédica para la evaluación de las vías aéreas superiores, así como para hacer seguimiento de la maduración fetal por obstetricia. • La cefalometría también tiene utilidad en la elaboración de diagnósticos y las evaluaciones de control y pos tratamiento en odontología.
  • 11.
  • 12.
  • 13.
    Aplicaciones de laCefalometría • Diagnóstico de anomalías cráneo-faciales (clase II, clase III…)
  • 14.
  • 15.
    CEFALOMETRIA • A travésde los estudios cefalométricos, el ortodoncista logrará un conocimiento más profundo de las estructuras involucradas, medirlas, describirlas y estudiar sus interrelaciones. • La cefalometría no es una ciencia exacta, por las dificultades de localización de los puntos y la inexactitud de los exploradores a la hora de encontrarlos; no obstante es, junto a los modelos dentales, una de las principales herramientas diagnóstica en ortodoncia. • La cefalometría se realiza sobre un trazado obtenido del calco de líneas fundamentales de una radiografía lateral de cráneo, obtenida del paciente, según unas normas determinadas que nos permiten estandarizar los resultados y compararlos con patrones normales.
  • 16.
    El cráneo yla base craneal El maxilar óseo la mandíbula ósea la dentición y los procesos alveolares Es el estudio de las relaciones horizontales y verticales de los cinco componentes funcionales más importantes de la cara Todo análisis cefalométrico es un procedimiento ideado para obtener una descripción de las relaciones que existen entre estas unidades funcionales.
  • 17.
    Cefalometría • Utilizando uncriterio meramente clínico, a la hora de llevar a cabo una cefalometría, el profesional debería conocer los siguientes aspectos:
  • 18.
    Telerradiografía • Es unaRadiografía extra bucal, se trata de una radiografía tomada desde fuera de la boca y a una distancia determinada.
  • 19.
    Telerradiografía • Las arcadasdentales están en el intercuspidazion máximo
  • 20.
    Telerradiografía • Los labiostienen que ser guardados en la posición natural
  • 21.
  • 22.
  • 23.
    • S:Sella: centrogeométrico de la silla turca en al punto medio de su concavidad. • A:punto mas profundo de la concavidad anterior del hueso maxilar. • N: Nasion: punto de unión entre las suturas Internasal y frontonasal Sutura Frontonasal • B:punto más posterior de la concavidad anterior del hueso mandibular • O: Oregón, punto inferior de la orbita • SNA: la espina nasal anterior
  • 25.
    PUNTOS CRANEALES ANATÓMICOS UNILATERALES: •Silla (S) • Basión (Ba) • Nasión (N)
  • 26.
    • Silla: (s)Silla Turca • Basión: (Ba) Punto medio en el borde anterior del forámen magno • Nasion: (N) Punto de encuentro de las suturas internasal y nasofrontal
  • 27.
    PUNTOS CRANEALES ANATÓMICOS BILATERALES: •Porión (Po) • Bolton (Bo) • Articulare (Ar)
  • 28.
    • Bolton (Bo):es el punto más alto de los promedios de los contornos de las incisuras retrocondilar del hueso occipital. El aproximado del centro antero- posterior del foramen magno. • Porión (Po): Punto más superior y externo del conducto auditivo externo. • Articulare (Ar): Es la intersección del borde posterior del cuello del condilo mandibular con el contorno de la base esfenoidal • Yugular: cara inferior de la base del cráneo, corresponde al vértice de la apófisis yugular del occipital.
  • 29.
    PUNTOS FACIALES ANATÓMICOS UNILATERALES: Punto A  Espina nasal anterior (ENA)  Espina nasal posterior (ENP)  Prostión (Pr)  Infradental (Id)  Pogonión (Pog)  Gnatión (Gn)  Mentoniano (Me)  Punto B
  • 30.
    • Punto A: punto de mayor conceavidad entre la espina nasal y prostion • Punto B: Punto de mayor concavidad entre el infradental y el pogonion • ENA, ENP • Pogonión (Pog) Punto más anterior de la protuberancia mentoniana • Prostión (Pr): punto distal de la sutura intermaxilar o entre las aposifisis alveolares de los incisivos • Infradental (Id): Punto medio entre los incisivos centrales inferiores • Gnation (Gn): Punto medio más bajo del borde inferior del cuerpo de la mandíbula
  • 31.
    • Pogonion (Pg):es el punto mas anterior de la curvatura anterior de la sínfisis del mentón. • Gnation (Gn): Punto medio y anterior del borde inferior del cuerpo de la mandíbula • Mentoneano (Me): Punto medio mas anterior e inferior o bajo
  • 32.
    PUNTOS CEFALOMETRICOS • PUNTOA O SUBESPINAL : punto mas posterior de la concavidad anterior en el perfil óseo del maxilar , ubicado entre la espina nasal anterior y el reborde alveolar . • PUNTO B O SUPRAMENTAL : punto mas posterior de la concavidad anterior del perfil óseo dela mandíbula ubicado entre el Pogonion y el reborde alveolar .
  • 33.
    PUNTOS FACIALES ANATÓMICOS BILATERALES: •Orbitario (O) • Ormafrom(Omr) • Condileón (Co) • Eje condilar (Dc) • Gonión (Go)
  • 34.
    • Gonion (Go): es el ángulo de la mandíbula. • Condileo( Co ): punto mas postero superior del cóndilo mandibular. • Orbitario o suborbitario: punto de mayor declive del reborde inferior de la órbita. • Ormafron ( Om): ubicado en el borde externo del reborde orbitario, a la altura de la sutura fronto malar. • Malar (m): mayor convexidad o punto más saliente de la cara externa del malar.
  • 35.
    PUNTOS DENTARIOS ANATÓMICOS: • Incisivocentral superior izquierdo • Incisivo central inferior derecho • Primer molar superior e inferior izquierdos
  • 36.
    PUNTOS CEFALOMÉTRICOS EN TEJIDOSSUAVES:  Punto Cervical (C). Punto entre el área submental y el cuello en el plano submental.  Surco Labial Inferior (IIs). Punto encontrado en la concavidad en el contorno del labio inferior entre este último y el mentón.  (Li) :Punto denotado entre el borde del bermellón del labio inferior.  (Ls) :Punto denotado entre el borde del bermellón del labio superior.  Pronasal (Pn) :Punto más prominente de la nariz en el plano medio sagital.
  • 38.
  • 39.
    PUNTOS CEFALOMÉTRICOS EN TEJIDOSSUAVES:  Glabella Blando (G’). Punto más prominente en el tejido suave en la frente.  Menton Blando (Me’). Punto más inferior en el tejido suave de la barbilla.  Nasion Blando (Na’). Punto más profundo en la concavidad entre la frente y los tejidos suaves del contorno de la nariz.  Pogonion Blando (Pg’). Punto más prominente en el tejido suave del contorno de la barbilla.
  • 40.
    PUNTOS CEFALOMÉTRICOS EN TEJIDOSSUAVES:  Stomion (St). Punto más anterior del contacto entre el labio superior y el labio inferior.  Stomion Inferior (Sti). Punto medio más alto del labio inferior.  Stomion Superior (Sts). Punto medio más inferior del labio superior.  Subnasal (Sn) Punto en el plano medio sagital donde la base de la nariz encuentra al labio superior.  Surco labial Superior (Sls). Punto que se encuentra en la concavidad en el contorno del labio superior entre subnasal y el labio superior.  Triquium (Tr). Punto de la línea del cabello en la frente. Si no hay cabello se calcula el lugar donde estuvo.
  • 42.
    LINEAS Y PLANOS LINEA S-N  PLANO BOLTON  PLANO FRANKFORT HORIZONTAL (FH).  PLANO FACIAL.  PLANO PALATINO  PLANO OCLUSAL .  EJE CONDILEO.  PLANO MANDIBULAR.  PLANO TANGENTE AL CLIVUS  PLANO T  EJES INCISALES.
  • 43.
    PLANOS CEFALOMÉTRICOS BÁSICOS Plano Silla – Nasión:  Representa la parte anterior de la base del cráneo.  Plano de Frankfort (Po-O)  Plano de referencia facial.  Plano Palatino (ENA-ENP) o biespinal  Representa la base ósea del maxilar sup.
  • 44.
    LINEA S-N Representa labase anterior del craneo. S: Silla Turca. N: Sutura Frontonasal.
  • 45.
    PLANOS CEFALOMÉTRICOS BÁSICOS PlanoMandibular (Go-Me)  Representa la base ósea del maxilar inferior.
  • 46.
  • 47.
    Pg EL PLANO MANDIBULARES:  SEGUN STEINER : Go - Gn  SEGÚN MC NAMARA ES : GO- Me
  • 48.
    PLANO BOLTON PLANO BA-N Condilos del occipital N: Nasion Bo: Bolton Ba: Basion
  • 49.
    PLANO FRANKFORT HORIZONTAL P: PORION MEATO AUDITIVOEXT O: ORBITAL PUNTO INFERIOR DE LA ORBITA
  • 50.
    PLANO PALATINO ENP ENA Espina nasalposterior Espina nasal anterior
  • 51.
    PLANO OCLUSAL OCLUSION POSTEROR DELOS MOLARES Y PREMOLARES PERMANENTES O MOLARES TEMPORALES
  • 52.
    LINEAS Y PLANOSMAS COMUNES S N P O Bo. E N AENP Go Gn PLANO TANGENTE AL CLIVUS
  • 53.
  • 54.
  • 55.
    PLANOS CEFALOMÉTRICOS AUXILIARES: Plano Facial(N-Pog) – Representa el contorno facial. Plano del eje Y (S-Gn) – Representa el patrón de crecimiento de un individuo y muestra la dirección en la cual está rotando la mandíbula.
  • 56.
    PLANOS CEFALOMÉTRICOS AUXILIARES:  PlanoAB  Representa la localización del hueso alveolar del maxilar superior e inferior en sentido anteroposterior. Muy útil para tomar la decisión de extraer dientes o no.
  • 57.
    PLANOS CEFALOMÉTRICOS AUXILIARES:  PlanoNA y NB.  Representa la localización de las maxilas en relación con la base del cráneo
  • 58.
    LINEA A PO Lineamaxilo mandibularA Po
  • 59.
    LINEA E Punta deltejido blando de la nariz Punta del tejido blando del menton
  • 60.
    PLANOS DENTARIOS:  Planooclusal  Pasa por las cúspides de los M y PM, y por los bordes incisales de los I S .  Eje del incisivo superior  Eje del incisivo inferior  Eje del primer molar maxilar  Eje del primer molar mandibular
  • 61.
    EJES INCISALES Ejes largosde los incisivos centrales sup e inf.
  • 64.
  • 76.
  • 85.
    RADIOGRAFIAS DX ODONTOLOGICO •ANTERO POSTERIOR • A.P DE TOWNE • A.P. DE WATERS • PROYECCIONES LATERALES • PROYECCION A. DE CADWELL • PANORAMICA • PERIAPICAL • R.BITE WING
  • 86.