MIEMBRO
INFERIOR
CATEDRA DE RADIOLOGIA I 2010
 Se denomina
“miembro inferior”
al conglomerado
óseo compuesto
por cuatro
segmentos: el
cingulo (cintura),
muslo, pierna, y
pie.
Anatomía del pie
Formado por 26 huesos:
 Calcáneo
 Astrágalo
 Cuboides
 Escafoides
 Cuneiformes(1ª,2ª y 3ª)
 Metatarsianos(5)
 Falanges(14)
Pie
 El pie es una estructura biológica utilizada para
la locomoción.
 Es una bóveda mas elevada medialmente, que
desciende en sentido lateral apoyándose en el
talón y en las cabezas de los metatarsianos
adelante.
 Presenta dos caras: el dorso y la planta.
 El pie está dividido en tres partes:
 Tarso 7 huesos.
 Metatarso 5 huesos.
 Falanges 14 huesos.
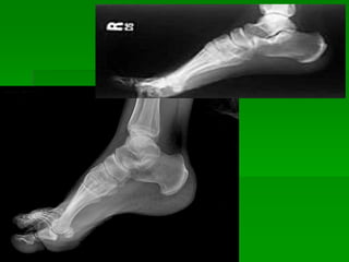
REPASO ANATÓMICO
Vista Dorsal
Dedos de pie Frente AP.
DEDOS DEL PIE en particular
RX. DEDOS DEL PIE
Falanges distales
Falanges proximales
Sesamoideos
Cabezas de los metatarsianos
Diáfisis de los metatarsianos
Falanges intermedias
Dedos de los pies (AP.) Dorso plantar
Pie de Frente Posición del paciente
Apoyo dorso plantar
Proyección dorso plantar (pie de frente)
Proyección dorso plantar
 4: NAVICULAR
 5: CUNEIFORME
 6: BASE DEL PRIMER
MEATARSIANO
 7: CUERPO DEL 1º
METATARSIANO
 8: CABEZA DEL 1º
METATARSIANO
 9: HUESO SESAMOIDEO
 10: FALANGE PROXIMAL
 11: FALANGE MEDIA
 12: FALANGE DISTAL
1. Falange proximal 1 dedo
2. Base primer metatarsiano
3. Diáfisis primer metatarsiano
4. Cabeza primer metatarsiano
5. Huesos sesamoideos
6. Cuneiforme medial
7. Cuneiforme intermedio
8. Cuneiforme lateral
9. Escafoides
10. Tuberosidad del escafoides
11. Cabeza del talo
12. Maléolo lateral
13. Cuboides
14. Calcáneo
Pie AP (dorso plantar)
1 2
3
4
6
7
8
9
10
11
1213
14
5
5
Pie de frente AP
 Posición del paciente: sentado
sobre la mesa radiográfica, la
pierna flexionada, apoyando la
planta del pie sobre el chasis.
 Rayo director: incide:
1-perpendicular al plano de apoyo
sobre la base del tercer
metatarsiano.
2-con angulación de 5º a 10º hacia
el tobillo, para visualizar antepié.
 Recomendaciones:
 DFP: 1mts.
 Película: 24x30 longitudinal.
 Diafragmar.
 Marcar el lado derecho.
Lesión ósea
Lesiones de pie
Cuerpo insertado
Base de los
metatarsianos
Huesos
cuneiformes
Escafoides
Cabeza del
astrágalo
Cuboides
Calcáneo
Hueso supratalar (pie izq.)
Polidactilea Sindactilea
Control post-quirúrgico
Fractura 1ª falange de quinto dedo izquierdo
Fractura de primera falange
de quinto dedo
Pie de perfil
Latero medialMedio lateral
Anatomía del pie de perfil
Perfil en vista
Medial
Perfil en vista
Lateral
Pie de perfil
 Posición del paciente: decúbito
lateral, el lado externo del pie
apoyado sobre el chasis.
 Rayo director: incide en forma
perpendicular al plano de apoyo y
sobre el primer metatarsiano,
escafoides, cuneiforme.
 Recomendaciones:
 DFP: 1 Mts.
 Película: 24 X 30, longitudinal.
 Diafragmar.
Pie de perfil
Pie Lateral
1
2
34
5
6
7
8
9
10
11
12
13
14
15
1. Cabeza del astrágalo
2. Escafoides
3. Cuneiforme medial
4. Art. Tarsometatarsiana I
5. Art. Tarsometatarsiana II y III
6. Falange distal del primer dedo
7. Falange proximal del primer dedo
8. Sesamoideos
9. Sustentaculum tali
10. Articulación subtalar
11. Cuboides
12. Art. calcáneocuboidea
13. Tuberosidad del quinto metatarsiano
14. Tuberosidad del calcáneo
15. Almohadilla plantar
Identificar:
Paciente y radiografía
Pie lateral
 1: ASTRÁGALO
 2: CALCANEO
 3: CUBOIDE
 4: NAVICULAR
 5: CUNEIFORME
 9: HUESO SESAMOIDEO
14: TRIANGULO DE
KAGER FAT
Pie Oblicuo (interna, medial)
Pie Oblicuo
interno
 Posición del paciente:
1) Decúbito abdominal, MI
extendido y con rotación interna
apoyando la cara anterior del pie
sobre el chasis.
2) Sentado, pierna flexionada, rota
el pie hacia el lado interno. Se
forma un ángulo de 30º con el
plano de apoyo.
3) Sentado, pierna flexionada, rota
el pie hacia el lado externos forma
un ángulo de 30º con el plano de
apoyo.
 Rayo director:
Incide perpendicular al plano de
apoyo, sobre el 3º hueso del tarso.
 Recomendaciones:
 DFP: 1 mts
 Película: 24 X
30,Longitudinal.
 Diafragmar.
Radiografía pie oblicuo
Pie Oblicua
Identificar: 1. Falange distal 1 dedo
2. Falange proximal 1 dedo
3. Primer metatarsiano
4. Sesamoideos
5.Cuneiforme medial
6. Cabeza del talo
7. Escafoides
8. Cuneiforme intermedio
9. Cuneiforme lateral
10. Cuboides
11. Calcáneo
12. Art. Calcáneocuboidea
13. Art. Astrágalo-escafoidea
14. Art. Tarsometatarsiana
15. Art. Metatarsofalángica
16. Art. Interfalángica
1
2
3
5
8
9
7
12
6
11
10
15
4
4
13
14
16
Radiografía obtenida
Pie oblicuo
Oblicua interna
Oblicua externa
PIE – OBLICUA EXTERNA
Visualización
Oblicua externa (lateral)
Proyección Oblicua PA
Rotación medial o lateral (Métodos de
Grashey)
Medial Lateral
Posicionamiento del paciente
FRACTURA DE 1° FALANGE DE
PRIMER DEDO
ARTRITIS REUMATOIDEA
AMPUTACION FALANGES 2° DEDO
ENFERMEDADES METABÓLICAS
(paciente diabético)
Amputación:
Parcial de primer dedo
y total del cuarto
Calcificación
de pared vascular
Amputación parcial
de 1° 2° y 4° metatarsiano
y dedos correspondientes
al 1° y 4°
(paciente diabético)
Lesiones óseas
SESAMOIDEOS - AXIAL
Met. de Holly AP.
Met. de Lewis PA.
TECNICA DE HOLLY
 PACIENTE SENTADO
SOBRE LA MESA, SE
AJUSTA EL PIE DE TAL
FORMA QUE EL
BORDE MEDIAL
QUEDE VERTICAL Y
LA SUPERFICIE
PLANTAR CON UN
ÁNGULO DE 75º CON
EL PLANO DE APOYO
 EL PACIENTE MANTIENE
LOS DEDOS
FLEXIONADOS CON UNA
VENDA DE GASA
 EL RAYO CENTRAL SE
DIRIGE
PERPENDICULARMENTE A
LA CABEZA DEL PRIMER
HUESO METATARSIANO
SESAMOIDEO CON FRACTURA
PROYECCION TANGENCIAL DE
SESAMOIDEOS
TECNICA DE LEWIS
PROYECCION TANGENCIAL
 PACIENTE DE CUBITO
PRONO
 TOBILLO ELEVADO DEL
LADO AFECTADO
 APOYAR EL PRIMER
DEDO SOBRE LA MESA
EN FLEXION DORSAL,
COLOCANDO LA BOLA
DEL PIE PERPENDICULAR
AL PLANO HORIZONTAL
 CENTRAR EL CHASIS CON
EL SEGUNDO
METATARSIANO
 RAYO PERPENDICULAR Y
TANGENCIAL A LA
PRIMERA ARTICULACION
METATARSO FALANGICA
 SE VISUALIZA LA CABEZA
DE LOS METATARSIANOS
DE PERFIL Y LOS
SESAMOIDEOS
 PIE EN POSICIÓN
LATERAL CON LA
PRIMERA ARTICULACIÓN
METATARSOFALÁNGICA
PERPENDICULAR A LA
HORIZONTAL
 RAYO HACIA LA
PROMINENCIA DE LA
PRIMERA ARTICULACIÓN
METATARSOFALÁNGICA
CON UN ÁNGULO DE 40º
HACIA EL TALÓN
 VISUALIZAR LOS
HUESOS SESAMOIDEOS
PROYECTADOS EN
DIRECCIÓN
AXIOLATERAL CON UN
LIGERO SOLAPAMIENTO.
TECNICA DE CAUSTON
TÈCNICA DE PIE EN CARGA
Los extremos de los
miembros inferiores
sirven para sostener
el cuerpo y andar.
Imágenes que
muestran la
distribución de la
carga en los pies
-----------------------►
PIE CON CARGA
DORSO-PLANTAR
 El paciente de pie sobre el chasis, o sobre
la mesa de apoyo.
 Se hace unilateralmente, para que la
carga del pie quede demostrada
radiologicamente.
RAYO CENTRAL
 Incide perpendicular en la zona de las
articulaciones metatarso falángicas.
RECOMENDACIONES
 El paciente no se moverá y mantendrá quieto
en el momento del disparo.
 Usar antidifusor cuando el paciente por su
peso ponga en peligro el chasis.
 Se puede hacer sin antidifusor.
 DFP: 1 mts.
 Diafragmar zona de estudio.
 CHASIS: 24 x 30, longitudinal.
VISUALIZACION
 Alineación
metatarso
falángica.
 Se hacen ambos
pies a efecto
comparativo.
PIE CON CARGA frente-dorso-plantar-
erecta
 Posición del paciente:
De pie y todo el peso corporal distribuido
uniformemente en ambos pies, deben
estar rectos y paralelos entre si
 Rayo director:
Incide perpendicular al apoyo, en la zona
de las articulaciones metatarso
falángicas.
 Recomendaciones:
 Antidifusor.
 DFP 1mts.
 Película radiográfica 24x30,
longitudinal.
 Diafragmar zona de estudio.
 Marcar lado derecho.
Pie plano
Visualización
PIE CON CARGA LATERAL
 Paciente de pie.
Distribución uniforme del
peso corporal.
 Colocar el paciente de pie
sobre bloques de madera
sobre el plano de apoyo.
 Sostener el chasis entre los
pies.
 El plano sagital del pie
paralelo al chasis.
 Reemplazar el chasis y
girar el paciente para
obtener la Rx del otro pie
(comparativo).
VIZUALIZACION
 Debe observar todo
pie.
 2,5 cm. del extremo
distal de la tibia y el
peroné.
 Las superficies
plantares de las
cabezas de los
metatarsianos deben
estar directamente
superpuestas.
Pie con carga lateral-erecta
 Posición del paciente:
Vertical erecta, colocando el pie sobre una
tarima de madera de 5cm de alto. El chasis
perpendicular al apoyo al lado de la madera
que pisa el paciente, el lado interno del pie
paralelo al chasis. Pisar firmemente con el pie
en estudio y el otro dejarlo como apoyo y
equilibrio.
 Rayo director:
El tubo horizontal, incide en el 5to metatarsiano.
 Recomendaciones:
 No moverse.
 DFP 1 mts.
 Película 24x30, la mitad, apaisada.
 Diafragmar.
 Marcar lado derecho
Pie zambo
AMBOS PIES C/APOYO
(reparos normales)
Línea de Schade
Ángulo del
arco externo
Der.
Izq.
Derecho
Izquierdo
Ambos pies planos (en mecedora)
Línea de Schade alterada
(hundida a nivel escafoideo-cuneiforme)
Ángulo del arco externo, aumentado
Pies planos bilateral
Pies planos bilateral
Der.
Izq.
Pies planos bilateral
Hallux valgus bilateral
Pié cavo bilateral
Der.
Izq.
Pies cavo bilateral
Der
Izq
138°
HALLUX VALGUS BILATERAL
45°
VALOR NORMAL
Menor a 20°
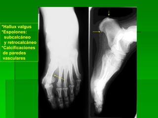
*Hallux valgus
*Espolones:
subcalcáneo
y retrocalcáneo
*Calcificaciones
de paredes
vasculares
Hallux valgus bilateral
Línea de Schade alterada
(hundida a nivel escafoideo-cuneiforme)
Ángulo del arco externo, aumentado
Pies planos bilateral
Calcáneo lateral
Colocación del paciente
Calcáneo axial
 MOSTRARÁ UNA
PROYECCIÓN
AXIAL DEL
CUERPO DEL
CALCÁNEO DESDE
LA TUBEROSIDAD
HASTA LA
APÓFISIS MENOR
DEL CALCÁNEO Y
EL PROCESO
TROCLEAR
TROCLEA
APOFISIS MENOR DEL
CALCANEO
APOFISIS LATERAL
TUBEROSIDAD
Calcáneo axial
CALCANEO - AXIAL
Lateral de
calcáneo
Axial de calcáneo
Tomografía lineal
de calcáneo (perfil)
Fractura doble de calcáneo
Par radiográfico
PIE – DOBLE DISPARO
Proyección de frente
 Incidencia del rayo: para
utilizar el efecto de
enmascaramiento de la
pierna dirigir el rayo central
paralelo al plano de
alineamiento del pie en
ambas exposiciones.
Con el tubo delante del
paciente y ajustado con
una angulaciòn de 15º,
céntrelo con la base del
tercer metatarsiano para la
primera exposición.
Proyección de frente
Luego pedir al paciente que
tenga cuidado de mantener
el pie afectado en posición y
pedirle que adelante un paso
el pie opuesto para la
segunda exposición.
Colocar el tubo detrás del
paciente, y ajustarlo para
una angulacion anterior de
25º y dirigir el rayo central
hacia la superficie posterior
del tobillo.
El rayo central emerge por la
superficie plantar a nivel del
malèolo lateral.
Lesión de pie
Fractura de Lisfranch
Proyecciones:
 Proyección antero-posterior (AP)
 Proyección AP con rotación medial
de 15 a 20 grados
 Proyección oblicua
 Proyección lateral
ARTICULACION DE TOBILLO
Posición del paciente:
 Coloque al paciente en posición
supina con el miembro afectado
completamente extendido.
 Colocar almohada debajo de cada
rodilla para aliviar la tensión.
Posición de la región a explorar:
 Flexionar el tobillo y el pie lo
suficiente para situar el eje
longitudinal del pie en posición
vertical.
 Mortaja del tobillo no se
alterará apreciablemente con una
flexión plantar o una flexión
dorsal moderada.
Rayo central:
 Ajustar el rayo central
perpendicular a la articulación
del tobillo.
 Ubicar un punto medio entre
ambos maléolos
Tobillo de frente
Estructuras mostradas:
 Extremos proximales de los
metatarsianos.
 Extremos distales de la tibia y el peroné.
 La porción proximal del astrágalo.
 El maléolo interno.
 El hueso cuboides
Proyección:
Posición de la región a explorar:
Agregar a la posición de la
técnica anterior
Rotar toda la pierna y el pie
hacia adentro unos 15 o 20
grados
Controlar que la línea ínter
maleolar se encuentre paralela
al plano de apoyo
Estructuras mostradas:
 Tercios distales de la tibia y del peroné.
 El plafónd tibial de la epífisis.
 El maléolo lateral y medial.
 El astrágalo.
 La mitad proximal de los metatarsianos.
 La mortaja del tobillo debe estar abierto y
claro.
Tobillo de frente
Posición del paciente:
 Obtener la radiografía en
posición supina.
 Colocar, para una mayor
comodidad, una almohada en la
cabeza.
 Posicionar la pierna
completamente extendida.
Posición de la región a explorar:
 Rote la pierna y pie en todas las
proyecciones oblicuas del tobillo.
 Centre el chasis con la articulación del
tobillo.
 Coloque el pie en flexión dorsal.
 Rotar medial la pierna y el pie entre
15º y 25º, o 45º.
45º
TOBILLO OBLICUO
Estructuras mostradas:
 La proyección medial oblicua de
15º a 20º muestra la mortaja
del tobillo de perfil .
 Proyección oblicua de 45º que
permite observar los maléolos
extremos distales de la tibia y el
peroné.
Tobillo de perfil (medio lateral)
Posición del paciente:
 El paciente debe ubicarse en
decúbito lateral para poder
obtener la perpendicularidad de
la línea ínter maleolar con
respecto al plano de apoyo
 El miembro inferior en estudio
debe estar totalmente extendido
formando el pie un ángulo de 90º
con respecto a la pierna.
 Pasara el miembro opuesto por encima
 del miembro a estudiar para conseguir
 una posición cómoda para el paciente y
 un equilibrio anatómico natural
El rayo central va a incidir sobre el
maléolo interno, tibial y va a emerger
en el maléolo opuesto, es decir,
maléolo externo, peroné.
Articulación tibioperoneoastragalina
Extremo distal de la tibia y peroné,
huesos del tarso, astrágalo y calcáneo.
Visualización:
Fractura de 1/3 distal de peroné
Fractura en 1/3 distal de peroné y tibia
Subluxación tibio astragalina
Par radiográfico
TOBILLO FRENTE C/STRESS
Inversión
La mortaja y el tendón
Maniobra de BOSTEZO
ROTURA LIGAMENTO EXTERNO
Maniobra de CAJON ANTERIOR
Tipos de Fracturas
Unimaleolar Bi maleolar Tri maleolar
¿Quiénes están en riesgo?
 Los atletas que participan en deportes de alto
impacto, como carreras de campo y pista,
baloncesto, gimnasia, ballet o tenis.
 Los adolescentes cuyos huesos aún no se han
fortalecido por completo.
 Mujeres, particularmente atletas, que tienen
ciclos menstruales anómalos o la ausencia de
éstos, lo que puede provocar la disminución de
la masa ósea.
 Los reclutas militares que repentinamente
deben cambiar una vida de civil sedentaria por
un régimen de entrenamiento mas activo.
PIERNA – REV. ANATÓMICA
POYECCION AP DE PIERNA
 EL PACIENTE se coloca en posición supina,
con la pierna completamente extendida.
 LA PELICULA 35 X 43.
 EL CHASIS: longitudinal o diagonal.
 Colocar protección gonadal.
 EL RAYO: es perpendicular al plano, dirigido a
un punto medio de la pierna.
 ESTRUCTURAS MOSTRADAS: toda la tibia,
peroné, y las articulaciones de la rodilla y el
tobillo.
POYECCION AP DE
PIERNA
PIERNA DE FRENTE
Pierna de frente
Pierna de frente
Lesiones de pierna
Pierna lateral
PROYECCION LATERAL – MEDIOLATERAL DE
PIERNA
 EL PACIENTE de cubito lateral, con el lado
afectado hacia abajo, la pierna contra lateral va
detrás del miembro afectado.
 LA PELICULA 35 X 43.
 EL CHASIS: longitudinal o diagonal.
 Colocar protección gonadal.
 EL RAYO: es perpendicular al plano, dirigido a
un punto medio de la pierna.
 ESTRUCTURAS MOSTRADAS: toda la tibia,
peroné, y las articulaciones de la rodilla y el
tobillo.
PROYECCION LATERAL – MEDIOLATERAL DE
PIERNA
PIERNA DE PERFIL
PROYECCIONES OBLICUAS AP DE PIERNA
ROTACION MEDIAL Y LATERAL
 EL PACIENTE de cubito supino. Las proyecciones
oblicuas de pierna se obtienen rotando alternativamente
la extremidad 45º en dirección medial o lateral.
 LA PELICULA 30 x 40.
 EL CHASIS: longitudinal.
 Colocar protección gonadal.
 EL RAYO: es perpendicular al plano, dirigido a un punto
medio de la pierna.
 ESTRUCTURAS MOSTRADAS: toda la tibia, peroné, y
las articulaciones de la rodilla y el tobillo. Se mostrara
una proyección oblicua de 45º de los huesos y tejidos
blandos de la pierna.
Pierna de perfil
Pierna de frente
Par radiográfico de pierna
Lesión de pierna
Rodilla frente (AP)
 Posición del paciente: Decúbito dorsal o
sentado sobre la mesa, la pierna extendida
sobre el chasis y rotación interna del pie.
 Rayo director: Puede incidir en forma
perpendicular sobre el vértice inferior de la
rotula o con angulación cefálica de 5 a 7
grados.
Posición del paciente Rodilla
de Frente A.P.
PROYECCION AP DE RODILLA
 EL PACIENTE se coloca en posición supina, con
la pierna completamente extendida.
 LA PELICULA 18 x 24. 24 x 30
 EL CHASIS: longitudinal.
 Colocar protección gonadal.
 EL RAYO: es perpendicular al plano, dirigido a
un punto medio de la rotula.(también 5º cefálico).
 ESTRUCTURAS MOSTRADAS: extremo distal
del fémur, el extremo proximal de la tibia y el
peroné. El espacio articular femorotibial, y las
carillas articulares de la tibia se observan en sus
extremos con una minima parte de su superficie.
PROYECCION AP DE RODILLA
PROYECCION AP OBLICUA ROTACION
MEDIA (INTERNA) DE RODILLA
 EL PACIENTE se coloca en posición semi supina, con
rotación parcial del cuerpo con la pierna en dirección
contraria a la región de interés.
 LA PELICULA 18 x 24.
 EL CHASIS: longitudinal.
 Colocar protección gonadal.
 EL RAYO: es perpendicular al plano. Incidiendo en el
centro de la rotula. (también con angulación 5º cefálica).
 ESTRUCTURAS MOSTRADAS: extremo distal del fémur,
el extremo proximal de la tibia y el peroné. Con
superposición de la rotula con el condilo medio femoral.
Los espacios interarticulares de la parte media lateral de
la rodilla deben ser desiguales.
Posicionamiento del paciente
PROYECCION AP OBLICUA ROTACION
MEDIA (EXTERNA) DE RODILLA
 EL PACIENTE se coloca en posición semi supina, con
rotación parcial del cuerpo con la pierna en dirección
contraria a la región de interés.
 LA PELICULA 18 x 24.
 EL CHASIS: longitudinal.
 Colocar protección gonadal.
 EL RAYO: es perpendicular al plano. Incidiendo en el
centro de la rotula.
 ESTRUCTURAS MOSTRADAS: extremo distal del
fémur, el extremo proximal de la tibia y el peroné. Con
superposición de la rotula con el condilo medio femoral.
Los condilos mediales del fémur y la tibia, de perfil.
PROYECCION AP OBLICUA ROTACION
MEDIA (EXTERNA) DE RODILLA
Rodilla (AP)
Rodilla oblicua
Proyección postero anterior
Rotación lateral
 Posición del paciente: Sobre la mesa en
decúbito prono. Elevar la cadera del lado
afectado y rotar lateralmente los dedos del pie
y la rodilla para formar un ángulo de 45º
grados.
 Rayo director: Perpendicular 1,5 cm. por
debajo del vértice rotuliano.
PROYECCON LATERAL
MEDIOLATERAL DE RODILLA
 EL PACIENTE: en decúbito lateral externo. Pierna y
muslo en flexión de 20 a 30º. Colocar bolsa de arena
debajo del tobillo, para evitar la rotación del miembro. La
rótula queda perpendicular al plan de apoyo. La pierna
opuesta la coloca hacia atrás o hacia delante.
 LA PELICULA 18 x 24, longitudinal o 24 x30 apaisada
(mitad)
 Colocar protección gonadal.
 EL RAYO: tiene una angulación de 5º a 7º en dirección
cefálica. Incide en forma perpendicular sobre la
articulación.
 ESTRUCTURAS MOSTRADAS: extremo distal del fémur,
el extremo proximal de la tibia y el peroné. la rotula de
perfil. Articulación de la rodilla. Demuestra lesiones que
de frente y perfil no se alcanzan a ver.
Posicionamiento del paciente
Posicionamiento del paciente
RADIOGRAFIAS DE RODILLA
 RODILLA DE PERFIL•RODILLA A-P
PROYECCIONES PA DE LA ROTULA
 EL PACIENTE: en la posición de cubito ventral,
con las piernas extendidas. Con una rotación
interna de 5º.
 LA PELICULA: 18 x 24.
 EL CHASIS: longitudinal
 Colocar protección gonadal.
 EL RAYO: perpendicular al área media de la
rotula.
 ESTRUCTURAS MOSTRADAS: la rodilla y la
rótula con optima definición.
PROYECCIONES PA DE LA ROTULA
Colocación del paciente:
Posición prona, y con las
piernas extendidas; colocar una
almohadilla para evitar presión
directa sobre rótula.
Rayo Director: Perpendicular al
receptor de imagen; dirigido al
área media de la rótula (en
hueco poplíteo).
Recomendaciones: No se
moverá al momento del disparo;
DFP 1 mts; película a utilizar 18
x 24 cm.; diafragmar zona en
estudio; marcar lado derecho.
de frente
ROTULA DE FRENTE
Visualización de la rótula
RODILLA: PROYECCIÓN
MEDIOLATERAL DE RÓTULA
 Colocación del Paciente:
Obtener la RX, en decúbito
lateral, con el lado afectado
hacia abajo.
 Rayo Director: Perpendicular
al receptor de imágenes;
dirigir a la mitad de la
articulación femororrotuliana.
 Recomendaciones: No se
moverá al momento del
disparo; DFP 1 mts; película
a utilizar 18 x 24 cm.;
diafragmar zona en estudio;
marcar el lado derecho.
PROYECCION LATERAL-
MEDIO LATERAL: ROTULA
 EL PACIENTE: en la posición de cubito lateral,
con el lado afectado hacia abajo, con la otra
rodilla detrás.
 LA PELICULA: 18 x 24.
 EL CHASIS: longitudinal
 Colocar protección gonadal.
 EL RAYO: perpendicular al área media de la
articulación femoro-rotuliana.
 ESTRUCTURAS MOSTRADAS: imagen de
perfil de la rotula, articulación femoro-rotuliana y
la articulación tibio-femoral.
PROYECCION LATERAL-
MEDIO LATERAL: ROTULA
Luxación de Rótula
Fractura de rótula
Paciente accidentado
Perfil con rayo horizontal
Lesión de partes blandas
AXIAL DE ROTULA
(SOL NACIENTE)
PROYECCIONES TANGENCIALES
DE ROTULA. Fémoro patelar
 EL PACIENTE: en la posición supina, con la rodilla
flexionadas 40º en el extremo de la mesa, sobre un
soporte.
 Es importante que el paciente este cómodo para que los
músculos cuadriceps femorales estén totalmente
relajados.
 LA PELICULA: 24 x 30.
 EL CHASIS: transversal
 Colocar protección gonadal.
 EL RAYO: en dirección caudal a 30º de la horizontal,
dirigido a un punto medio entre ambas rotulas.
 ESTRUCTURAS MOSTRADAS: escotadura
intercondilea (garganta troclear) y la rotula de ambos
fémures, con el espacio de la articulación femoro
rotuliana abierta.
RODILLA: PROYECCIÓN
TANGENCIAL DE RÓTULA
 Colocación del Paciente:
Obtener la RX, en posición
supina, con las rodillas
flexionadas a 40º, en el
extremo de a mesa.
 Rayo Director: En dirección
caudal, a 30º de la horizontal
(con respecto a los fémures);
dirigido a un punto medio
entre las rótulas.
 Recomendaciones: No se
moverá al momento del
disparo; DFP 1 mts; película
a utilizar 24 x 30 cm.;
diafragmar zona de estudio;
marcar el lado derecho.
Método de Merchant
 Soporte para piernas
y películas de tipo
ajustable.
Rotula tangencial (Met. de Merchant)
PROYECCIONES
TANGENCIALES DE ROTULA
( Met. de Merchant)
Rotula axial (tangencial)
Proyección Ínfero-superior
PROYECCIONES TANGENCIALES
PRYECCION INFERO SUPERIOR
Posición supina, pierna juntas, rodillas flexionadas
de 40º a 45º
CHASIS: de canto apoyado en la parte media de
los muslos en inclinado para que este
perpendicular al rayo central.
RAYO: en dirección ínfero superior de 10º a 15º,
tangencial a la articulación femoro-rotuliana.
Ingresa en el espacio articular Infra rotuliano.
Visualización
RODILLA: PROYECCIONES ESPECIALES
DE RÓTULA HAROSCHY
60
90
120
El rayo
perpendicular
Con más
angulacion que
el eje de la
pierna
PROYECCIONES TANGENCIALES
METODO DE HUGHSTON
 POSICION : prono, chasis debajo de la rodilla
flexionada a 45º, el paciente sostiene el pie con
una cinta de gasa.
 RAYO: de 15º a 20º con el eje longitudinal de la
pierna, ingresa en la parte media de la
articulación fémoro – rotuliana.
PROYECCIONES TANGENCIALES
METODO DE SETTEGAST
 POSICION: prona con el chasis debajo de
la rodilla flexionadas con un mínimo de
90º, el paciente sostiene la pierna con una
cinta de gasa.
 RAYO: de 15º a 20º con la pierna
tangencial al espacio articular femoro-
rotuliana.
Método de Settegast
Rotula axial (alternativas de trabajo)
Proyección AP Lateral
Axial de rótulas 45°
Rótula bipartita
RÓTULA TRIPARTITA
REPAROS ANATOMICOS
LIGAMENTOS
La estabilidad de la articulación de la rodilla se halla bajo la
dependencia de los ligamentos cruzados y los ligamentos
laterales.
 Ligamentos laterales: Refuerzan la cápsula articular por sus
lados interno y externo.
Ligamento lateral interno: Se extiende desde la cara
cutánea del cóndilo interno hasta el extremo superior de la
tibia.
Ligamento lateral externo: Se extiende desde la cara
cutánea del cóndilo externo hasta la cabeza del peroné.
 Ligamentos cruzados: Son dos, el ligamento cruzado
anterior interno, y el ligamento cruzado posterior interno.
Ligamento cruzado anterior: Se inserta inferiormente en le
área intercondilea anterior de la tibia entre el tubérculo
intercondileo medial posterior, la inserción anterior del
menisco lateral lateroposteriormente y la inserción anterior
del menisco medial anteriormente. Se fija en una zona de
inserción vertical sobre la mitad posterior de la cara
intercondilea del cóndilo lateral del fémur.
Ligamento cruzado posterior: Nace del área intercondilea
posterior de la tibia, posteriormente a las inserciones de los
meniscos lateral y medial.
Técnica de Bostezo
Permite la apertura anormal de la cara
lateral de la articulación de la rodilla
por la angulación, interna o externa,
forzada de la misma. Se utiliza para
diagnosticar ruptura,
desprendimiento o laxitud de
ligamentos laterales.
Colocación del paciente
Se encuentra en decúbito dorsal, con
el miembro inferior en estudio
totalmente estirado y coincidente con
la línea media de la mesa. El médico
será el encargado de realizar las
maniobras laterales sobre la
articulación para demostrar una
posible ruptura de ligamentos.
Maniobras- de bostezo
externo e interno
Rayo director
incide uno o dos centímetros debajo del vértice de la rótula, paralelo a
las cavidades glenoideas.
Cuando el espesor de zona es entre 19-24 cm. (muslo y nalgas
promedio) no se requiere angulación del rayo. En el caso de que el
espesor de zona sea menor a 19 cm. (muslos y nalgas delgadas) el
rayo se angula en forma caudal 5º grados; y si es mayor a 24 cm.
(muslos y nalgas voluminosas) se angula en forma cefálica 5º grados.
Película Radiográfica 18x24 (longitudinal)
Distancia Foco. Película 1metro
Recomendaciones
El paciente no se moverá en el momento del disparo
Diafragmar la zona de estudio
Marcar el lado derecho del paciente
Visualización
Desplazamiento de las estructuras óseas, produciendo aumento del
espacio articular, en el caso de que exista una ruptura de alguno de los
ligamentos laterales de la rodilla.
Rodilla Con técnica de estrés
(bostezo)
Técnica de cajón
Permite diagnosticar la ruptura,
desprendimiento o laxitud de
ligamentos cruzados (anterior y
posterior), que frena el deslizamiento
antero-posterior de los extremos
articulares de la articulación.
Colocación del paciente
Se encuentra en decúbito dorsal con el miembro
inferior flexionado 120º con respecto al plano de
apoyo, y pisando sobre la mesa. Alinear y centrar la
articulación de la rodilla (dos centímetros debajo del
vértice de la rótula) en la mitad del plano de apoyo.
El médico será el encargado de realizar las
maniobras de stress, en donde tomará la pierna y
ejercerá presión sobre ella y luego la traccionará,
demostrando de esa manera una posible lesión
ligamentosa.
El chasis se colocara al lado de la rodilla y será
sostenido por el paciente, o un soporte.
Cajón anterior
El médico traumatólogo se sienta sobre el pie del
paciente para lograr mantener la pierna en un
ángulo de 80º grados, trata de forzar la epífisis
superior de la tibia hacia delante, con ambas
manos. Ratifica la ruptura de ligamento anterior.
Cajón posterior
el médico traumatólogo se sienta sobre el pie del
paciente y trata de forzar la epífisis superior de la
tibia hacia atrás, abrazando la pantorrilla con las
manos.
Maniobras- de bostezo
externo e interno
Test de Lachman o cajón anterior en extensión. El
cajón anterior de la tibia en 15º de flexión
confirma definitivamente la presencia de una
rotura de LCA. Habitualmente bien tolerado por
el paciente incluso en traumatismos muy
recientes.
Resalte en Rotación interna. Destinada a
confirmar el diagnóstico siendo esencial para
determinar el grado de inestabilidad anterior y
decidir el tratamiento.
Cajón posterior
Cajón anterior
Rayo central
Perpendicular al punto de apoyo incidiendo dos centímetros debajo del
vértice de la rotula.
Película radiográfica 18x24 (longitudinal)
Distancia Foco-Película 1 metro
Recomendaciones
El paciente no se moverá en el momento del disparo
Diafragmar la zona de estudio
Marcar el lado derecho del paciente
Visualización
Desplazamiento anterior o posterior de las estructuras óseas en el
caso de que exista una ruptura de alguno de los ligamentos
cruzados en la rodilla.
Técnica de Cajón RX (lateral)
Esquema de cajón
(anterior y posterior)
Rodilla - Fosa intercondilea
 Posición del paciente:
* Decúbito ventral, rodilla apoyada sobre el
chasis y en ángulo de 120º grados.
* Rodillas apoyada sobre el chasis en ángulo de
70º grados con el plano de la mesa. Los pies
colgando en el borde de la mesa.
 Rayo director: Incide con angulación caudal de
35 a 40 grados en el hueco poplíteo o con
angulación hacia el fémur de 5 a 10 grados
sobre el hueco poplíteo.
Fosa Intercondílea axial
(PA) (Met. Camp-Coventry)
40
Posición Axial Pa. ( Met. de Camp-
Coventry)
PROYECCION AXIAL AP-
IMAGEN DEL TUNEL
 EL PACIENTE: se obtiene en pronación o con el
paciente arrodillado sobre la mesa.
 LA PELICULA 18 x 24.
 EL CHASIS: longitudinal.
 Colocar protección gonadal.
 EL RAYO: en pronación es perpendicular a la
pierna con angulacion de 40º a 50º en dirección
caudal. Y cuando el paciente esta arrodillado es
perpendicular dirigido al medio del hueco
poplíteo.
 ESTRUCTURAS MOSTRADAS: escotadura
intercondilea, condilos femorales, mesetas
tibiales, y la espina tibial.
PROYECCION AXIAL - DEL TUNEL
FOSA INTERCONDILEA
Fosa Intercondílea. PA.
Met. De Holmblad
Fosa Intercondílea ( Met. de Holmblad)
Posición Axial AP. ( Met. de Bécleré)
PROYECCION AXIAL AP DE RODILLA-
ESCOTADURA INTERCONDILEA
 EL PACIENTE: en posición supina. Se coloca un
soporte debajo de las rodillas que van a estar
parcialmente flexionadas
 LA PELICULA 18 x 24.
 EL CHASIS: transversal
 Colocar protección gonadal.
 EL RAYO: Con angulacion de 40º a 45º en dirección
cefálica.
 ESTRUCTURAS MOSTRADAS: escotadura
intercondilea, condilos femorales, mesetas tibiales, y la
espina tibial.
 Sirve para buscar signos de proceso patológicos óseos
o cartilaginosos.
PROYECCION AXIAL AP DE RODILLA-
ESCOTADURA INTERCONDILEA
Rodillas con carga PA.
FOSA INTERCONDILEA DE PIE
Rodilla en proyección antero
posterior con carga
 Posición del paciente: En bipedestación,
con la espalda apoyada, rodillas
completamente extendidas,
distribuyendo el peso por igual en ambos
pies.
 Rayo director: Incide horizontal en el
punto medio entre las rodillas, a nivel de
los vértices de las rotulas.
RODILLA CON CARGA
POYECCION AP BILATERAL DE LA RODILLA
CON SOPORTE DEL PESO CORPORAL
 EL PACIENTE: en posición de pie, sobre una plataforma
a fin de que el paciente este a la altura suficiente para
que el tubo este horizontal.
 La punta de los pies juntas con una angulacion interna
de 20º y el peso corporal distribuido uniformemente.
 LA PELICULA 30 x 35 y 35x 43
 EL CHASIS: transversal.
 Colocar protección gonadal.
 EL RAYO: es perpendicular, dirigido a un punto medio
entre ambas articulaciones de la rodilla.
 ESTRUCTURAS MOSTRADAS: extremo distal del
fémur, el extremo proximal de la tibia y el peroné. Y los
espacios articulares tibiofemorales bilaterales.
POYECCION AP BILATERAL DE LA
RODILLA CON SOPORTE DEL PESO
CORPORAL
RODILLA CON CARGA
PROTESIS DE RODILLA
FRACTURA DEL EXTREMO
DISTAL DEL FEMUR
LUXACION DE RODILLA
PACIENTE PEDIATRICO
ANQUILOSIS DE RODILLA
Fémur de Frente AP.
Fémur de Frente : AP
Película: 35x43 Longitudinal
Parilla Antidifusora: Si
Posición del paciente: Decúbito
Dorsal-Supino.
Piernas extendidas en ligera
rotación interna, el trocánter externo.
Pierna contra lateral algo
separada.
El fémur coincidente con la línea
media de la mesa.
Fémur de Frente : AP
Rayo director: Incide en forma
perpendicular al plano de apoyo
haz central sobre
el centro del chasis.
justar el diafragma, identificación de los
lados.
Realizar el disparo con apnea.
Visualización:
El Fémur e toda su extensión. En la
Proyección de frente, se observan
las articulaciones de cadera y de
rodilla.
Si el paciente tiene miembros largos,
una articularon tiene que incluirse.
El trocánter menor no se visualiza.
En caso de Traumatismo: Colocar un soporte debajo de la pierna afectada y la
rodilla, y mantener el pie y el tobillo en una posición AP. Colocar el chasis de
canto contra
la parte interna del muslo para incluir la rodilla, con el haz de rayos en
dirección horizontal desde la parte lateral.
Fractura de fémur
Fémur de perfil
Fémur de Perfil:
Tamaño de Película: 35x43 Longitudinal
Parilla antidifusora: Si
Posición del paciente: Decúbito lateral. La extremidad
a explorar
se apoya lateralmente sobre la mesa flexionando cadera
Flexionar a rodilla aproximadamente 45º con
el paciente sobre el lado afectado y alinear el fémur
con la línea media
de la mesa. Colocar la pierna no afectada detrás de la
pierna lesionada para evitar la sobre superposición.
Fémur de Perfil
Rayo director: Incide en forma perpendicular al
plano de apoyo y
e el tercio medio del fémur.
FEMUR DE PERFIL/REGIÓN DISTAL
Paciente accidentado
FEMUR DE PERFIL /REGIÓN PROXIMAL
Control de Lesiones
Lesión de partes blandas
Lesiones de fémur
Lesiones Traumáticas
Técnica de cuello de
fémur Quirúrgica
Tamaño de película:
24x30 Longitudinal D.F.P: 1 m
Posición del paciente: El paciente se encuentra
en decúbito dorsal,
supino, el miembro en estudio extendido y rotando
internamente.
El miembro opuesto tiene que ser sacado
de la zona para evitar
suma de imágenes.
La extremidad sana, levantada, cadera en
abducción y flexión de
rodilla, la planta del pie apoya sobre la mesa.
Verificar que la pelvis no este rotada
Rayo Director: Incide
horizontalmente centrado en la
mitad del fémur, (que esta en posición lateral)
entre el trocánter mayor y el pulso femoral.
Axiolateral de cadera
Método de Lorenz
Visualización: Cuello del fémur de perfil
Proyección unilateral en patas de
ranas y región proximal del fémur.
Tamaño de la película:
24x30 Trasversal
D.F.P: 1 m
Posición del paciente: Posición supina
colocar la cadera
afectada para que este alineada con el rayo central y
la línea media de la mesa.
Para que este alineada con el rayo central,
flexionar la rodilla, si es posible colocar
el muslo en abducción unos 45º con
la vertical, lo que ubica
el cuello femoral casi paralelo al rayo
incidente. Estudio unilateral.
Rayo director: Perpendicular dirigido a la parte
media del cuello femoral.(unilateral)
(Método de Lauenstein)
Visualización:
Proyección axiolateral
modificada: Fémur Proximal
Tamaño de película:
24x30 Transversal
D.F.P: 1 mPosición del paciente: Posición supina colocar el lado
afectado
cerca del borde de la mesa, con ambas piernas
en extensión completa.
Colocar una almohada debajo
de la cabeza y los brazos flexionados sobre del tórax.
Mantener las piernas en posición neutra
abajo colocar el chasis sobre una bandeja bucky
a unos 5 cm mas debajo de la mesa, inclinar
el chasis 15º y alinearlo para que la
parte anterior este perpendicular al rayo central
del chasis con el rayo central proyectado.
Rayo Director: Angulo medio lateral perpendicular al
cuello femoral y centrado con el. Debe
tener un ángulo posterior de 15º a 20 º con respecto
a la horizontal
Método de C. y Nakayama
Visualización: Imágenes oblicua lateral del acetábulo y
la cabeza y el cuello femoral y el área trocantérica.
Proyección Oblicua AP.
Tamaño De Película:
35x43 Trasversal
D.F.P: 1 m
Posición del paciente: Paciente en decúbito supino,
ajusta los hombros para que queden en el mismo
plano horizontal, flexiona los codos y apoye las manos
en la parte superior del tórax .
El paciente flexiona la rodillas y caderas y
aproxime los pies al tronco lo mas posible.
Separe los muslos por igual y haga que el paciente
gire los pies hacia adentro para que las plantas queden
enfrentadas entre si apoyándose una a la otra.
Rayo director: Perpendicular l plano sagital medio del paciente,
a unos 2,5 cm
por enzima de la sínfisis púbica.
Visualización: Deben ser claramente visibles:
el acetábulo, la cabeza femoral, el cuello del fémur lateral.
RADIOLOGÍA PEDIÁTRICA
 Miembro Inferior
 Pie Plano: frente y perfil con carga.
 Ortoradiografía de Farrill: frente de las 3
articulaciones con regla de N° plomados.
 Método de Helgenmark: todo el miembro
de frente.
 Pie equino varo o pie bot: frente y perfil.
•*Genu valgum (x)
MEDICION DE
LONGITUDES
TECNICAS
Colocación del paciente
 El paciente se encuentra en decúbito
dorsal.
 El plano medio sagital perpendicular al
plano de apoyo. Coincidente con línea
media.
 Una regla con números de plomo desde
la pelvis hasta los pies.
 Los miembros con rotación interna.
Exposición Focalizada
Colocación del paciente
Incidencias del rayo director
 1- Sobre las caderas.
 2- Sobre las rodillas.
 3- Sobre los tobillos.
 Con cada incidencia se traslada el
chasis. El chasis se los divide en tras
partes, colocado en forma vertical.
Radiografía obtenida
Técnicas de Medición de
Longitudes
 Exposición única
 Exposición focalizada
 Escanografía
Chasis Telemétrico
Medida: 30 X 90
Contiene dos pantallas
intensificadoras rápidas que
desde el punto medio hacia
arriba poseen mayor
intensificación y desde el punto
medio hacia abajo menor
intensificación.
Chasis denominados Mas-
Menos
Exposición única
ESCANOGRAFIA

Miemb inferior alumnos

  • 1.
  • 2.
     Se denomina “miembroinferior” al conglomerado óseo compuesto por cuatro segmentos: el cingulo (cintura), muslo, pierna, y pie.
  • 3.
    Anatomía del pie Formadopor 26 huesos:  Calcáneo  Astrágalo  Cuboides  Escafoides  Cuneiformes(1ª,2ª y 3ª)  Metatarsianos(5)  Falanges(14)
  • 4.
    Pie  El piees una estructura biológica utilizada para la locomoción.  Es una bóveda mas elevada medialmente, que desciende en sentido lateral apoyándose en el talón y en las cabezas de los metatarsianos adelante.  Presenta dos caras: el dorso y la planta.  El pie está dividido en tres partes:  Tarso 7 huesos.  Metatarso 5 huesos.  Falanges 14 huesos.
  • 5.
  • 6.
    Dedos de pieFrente AP.
  • 7.
    DEDOS DEL PIEen particular
  • 8.
  • 9.
    Falanges distales Falanges proximales Sesamoideos Cabezasde los metatarsianos Diáfisis de los metatarsianos Falanges intermedias Dedos de los pies (AP.) Dorso plantar
  • 10.
    Pie de FrentePosición del paciente Apoyo dorso plantar
  • 11.
  • 12.
    Proyección dorso plantar 4: NAVICULAR  5: CUNEIFORME  6: BASE DEL PRIMER MEATARSIANO  7: CUERPO DEL 1º METATARSIANO  8: CABEZA DEL 1º METATARSIANO  9: HUESO SESAMOIDEO  10: FALANGE PROXIMAL  11: FALANGE MEDIA  12: FALANGE DISTAL
  • 13.
    1. Falange proximal1 dedo 2. Base primer metatarsiano 3. Diáfisis primer metatarsiano 4. Cabeza primer metatarsiano 5. Huesos sesamoideos 6. Cuneiforme medial 7. Cuneiforme intermedio 8. Cuneiforme lateral 9. Escafoides 10. Tuberosidad del escafoides 11. Cabeza del talo 12. Maléolo lateral 13. Cuboides 14. Calcáneo Pie AP (dorso plantar) 1 2 3 4 6 7 8 9 10 11 1213 14 5 5
  • 14.
    Pie de frenteAP  Posición del paciente: sentado sobre la mesa radiográfica, la pierna flexionada, apoyando la planta del pie sobre el chasis.  Rayo director: incide: 1-perpendicular al plano de apoyo sobre la base del tercer metatarsiano. 2-con angulación de 5º a 10º hacia el tobillo, para visualizar antepié.  Recomendaciones:  DFP: 1mts.  Película: 24x30 longitudinal.  Diafragmar.  Marcar el lado derecho.
  • 15.
  • 16.
  • 17.
  • 18.
  • 19.
  • 20.
  • 21.
    Fractura 1ª falangede quinto dedo izquierdo
  • 22.
    Fractura de primerafalange de quinto dedo
  • 23.
    Pie de perfil LateromedialMedio lateral
  • 24.
  • 25.
  • 26.
    Pie de perfil Posición del paciente: decúbito lateral, el lado externo del pie apoyado sobre el chasis.  Rayo director: incide en forma perpendicular al plano de apoyo y sobre el primer metatarsiano, escafoides, cuneiforme.  Recomendaciones:  DFP: 1 Mts.  Película: 24 X 30, longitudinal.  Diafragmar.
  • 27.
  • 28.
    Pie Lateral 1 2 34 5 6 7 8 9 10 11 12 13 14 15 1. Cabezadel astrágalo 2. Escafoides 3. Cuneiforme medial 4. Art. Tarsometatarsiana I 5. Art. Tarsometatarsiana II y III 6. Falange distal del primer dedo 7. Falange proximal del primer dedo 8. Sesamoideos 9. Sustentaculum tali 10. Articulación subtalar 11. Cuboides 12. Art. calcáneocuboidea 13. Tuberosidad del quinto metatarsiano 14. Tuberosidad del calcáneo 15. Almohadilla plantar Identificar:
  • 29.
  • 31.
    Pie lateral  1:ASTRÁGALO  2: CALCANEO  3: CUBOIDE  4: NAVICULAR  5: CUNEIFORME  9: HUESO SESAMOIDEO 14: TRIANGULO DE KAGER FAT
  • 32.
  • 33.
    Pie Oblicuo interno  Posicióndel paciente: 1) Decúbito abdominal, MI extendido y con rotación interna apoyando la cara anterior del pie sobre el chasis. 2) Sentado, pierna flexionada, rota el pie hacia el lado interno. Se forma un ángulo de 30º con el plano de apoyo. 3) Sentado, pierna flexionada, rota el pie hacia el lado externos forma un ángulo de 30º con el plano de apoyo.  Rayo director: Incide perpendicular al plano de apoyo, sobre el 3º hueso del tarso.  Recomendaciones:  DFP: 1 mts  Película: 24 X 30,Longitudinal.  Diafragmar.
  • 34.
  • 35.
    Pie Oblicua Identificar: 1.Falange distal 1 dedo 2. Falange proximal 1 dedo 3. Primer metatarsiano 4. Sesamoideos 5.Cuneiforme medial 6. Cabeza del talo 7. Escafoides 8. Cuneiforme intermedio 9. Cuneiforme lateral 10. Cuboides 11. Calcáneo 12. Art. Calcáneocuboidea 13. Art. Astrágalo-escafoidea 14. Art. Tarsometatarsiana 15. Art. Metatarsofalángica 16. Art. Interfalángica 1 2 3 5 8 9 7 12 6 11 10 15 4 4 13 14 16
  • 36.
  • 37.
  • 38.
  • 39.
  • 40.
  • 41.
    Proyección Oblicua PA Rotaciónmedial o lateral (Métodos de Grashey) Medial Lateral Posicionamiento del paciente
  • 42.
    FRACTURA DE 1°FALANGE DE PRIMER DEDO
  • 43.
  • 44.
    ENFERMEDADES METABÓLICAS (paciente diabético) Amputación: Parcialde primer dedo y total del cuarto Calcificación de pared vascular
  • 45.
    Amputación parcial de 1°2° y 4° metatarsiano y dedos correspondientes al 1° y 4° (paciente diabético)
  • 46.
  • 47.
    SESAMOIDEOS - AXIAL Met.de Holly AP. Met. de Lewis PA.
  • 48.
    TECNICA DE HOLLY PACIENTE SENTADO SOBRE LA MESA, SE AJUSTA EL PIE DE TAL FORMA QUE EL BORDE MEDIAL QUEDE VERTICAL Y LA SUPERFICIE PLANTAR CON UN ÁNGULO DE 75º CON EL PLANO DE APOYO
  • 49.
     EL PACIENTEMANTIENE LOS DEDOS FLEXIONADOS CON UNA VENDA DE GASA  EL RAYO CENTRAL SE DIRIGE PERPENDICULARMENTE A LA CABEZA DEL PRIMER HUESO METATARSIANO SESAMOIDEO CON FRACTURA PROYECCION TANGENCIAL DE SESAMOIDEOS
  • 50.
    TECNICA DE LEWIS PROYECCIONTANGENCIAL  PACIENTE DE CUBITO PRONO  TOBILLO ELEVADO DEL LADO AFECTADO  APOYAR EL PRIMER DEDO SOBRE LA MESA EN FLEXION DORSAL, COLOCANDO LA BOLA DEL PIE PERPENDICULAR AL PLANO HORIZONTAL
  • 51.
     CENTRAR ELCHASIS CON EL SEGUNDO METATARSIANO  RAYO PERPENDICULAR Y TANGENCIAL A LA PRIMERA ARTICULACION METATARSO FALANGICA  SE VISUALIZA LA CABEZA DE LOS METATARSIANOS DE PERFIL Y LOS SESAMOIDEOS
  • 52.
     PIE ENPOSICIÓN LATERAL CON LA PRIMERA ARTICULACIÓN METATARSOFALÁNGICA PERPENDICULAR A LA HORIZONTAL  RAYO HACIA LA PROMINENCIA DE LA PRIMERA ARTICULACIÓN METATARSOFALÁNGICA CON UN ÁNGULO DE 40º HACIA EL TALÓN  VISUALIZAR LOS HUESOS SESAMOIDEOS PROYECTADOS EN DIRECCIÓN AXIOLATERAL CON UN LIGERO SOLAPAMIENTO. TECNICA DE CAUSTON
  • 53.
    TÈCNICA DE PIEEN CARGA Los extremos de los miembros inferiores sirven para sostener el cuerpo y andar. Imágenes que muestran la distribución de la carga en los pies -----------------------►
  • 54.
    PIE CON CARGA DORSO-PLANTAR El paciente de pie sobre el chasis, o sobre la mesa de apoyo.  Se hace unilateralmente, para que la carga del pie quede demostrada radiologicamente.
  • 55.
    RAYO CENTRAL  Incideperpendicular en la zona de las articulaciones metatarso falángicas. RECOMENDACIONES  El paciente no se moverá y mantendrá quieto en el momento del disparo.  Usar antidifusor cuando el paciente por su peso ponga en peligro el chasis.  Se puede hacer sin antidifusor.  DFP: 1 mts.  Diafragmar zona de estudio.  CHASIS: 24 x 30, longitudinal.
  • 56.
    VISUALIZACION  Alineación metatarso falángica.  Sehacen ambos pies a efecto comparativo.
  • 57.
    PIE CON CARGAfrente-dorso-plantar- erecta  Posición del paciente: De pie y todo el peso corporal distribuido uniformemente en ambos pies, deben estar rectos y paralelos entre si  Rayo director: Incide perpendicular al apoyo, en la zona de las articulaciones metatarso falángicas.  Recomendaciones:  Antidifusor.  DFP 1mts.  Película radiográfica 24x30, longitudinal.  Diafragmar zona de estudio.  Marcar lado derecho.
  • 58.
  • 59.
  • 60.
    PIE CON CARGALATERAL  Paciente de pie. Distribución uniforme del peso corporal.  Colocar el paciente de pie sobre bloques de madera sobre el plano de apoyo.  Sostener el chasis entre los pies.  El plano sagital del pie paralelo al chasis.  Reemplazar el chasis y girar el paciente para obtener la Rx del otro pie (comparativo).
  • 61.
    VIZUALIZACION  Debe observartodo pie.  2,5 cm. del extremo distal de la tibia y el peroné.  Las superficies plantares de las cabezas de los metatarsianos deben estar directamente superpuestas.
  • 62.
    Pie con cargalateral-erecta  Posición del paciente: Vertical erecta, colocando el pie sobre una tarima de madera de 5cm de alto. El chasis perpendicular al apoyo al lado de la madera que pisa el paciente, el lado interno del pie paralelo al chasis. Pisar firmemente con el pie en estudio y el otro dejarlo como apoyo y equilibrio.  Rayo director: El tubo horizontal, incide en el 5to metatarsiano.  Recomendaciones:  No moverse.  DFP 1 mts.  Película 24x30, la mitad, apaisada.  Diafragmar.  Marcar lado derecho
  • 63.
  • 64.
    AMBOS PIES C/APOYO (reparosnormales) Línea de Schade Ángulo del arco externo Der. Izq.
  • 65.
  • 66.
    Línea de Schadealterada (hundida a nivel escafoideo-cuneiforme) Ángulo del arco externo, aumentado Pies planos bilateral
  • 67.
  • 68.
  • 69.
  • 70.
  • 71.
  • 72.
  • 73.
  • 74.
    Línea de Schadealterada (hundida a nivel escafoideo-cuneiforme) Ángulo del arco externo, aumentado Pies planos bilateral
  • 75.
  • 76.
  • 77.
     MOSTRARÁ UNA PROYECCIÓN AXIALDEL CUERPO DEL CALCÁNEO DESDE LA TUBEROSIDAD HASTA LA APÓFISIS MENOR DEL CALCÁNEO Y EL PROCESO TROCLEAR TROCLEA APOFISIS MENOR DEL CALCANEO APOFISIS LATERAL TUBEROSIDAD
  • 78.
  • 79.
  • 80.
    Lateral de calcáneo Axial decalcáneo Tomografía lineal de calcáneo (perfil) Fractura doble de calcáneo
  • 81.
  • 82.
  • 83.
    Proyección de frente Incidencia del rayo: para utilizar el efecto de enmascaramiento de la pierna dirigir el rayo central paralelo al plano de alineamiento del pie en ambas exposiciones. Con el tubo delante del paciente y ajustado con una angulaciòn de 15º, céntrelo con la base del tercer metatarsiano para la primera exposición.
  • 84.
    Proyección de frente Luegopedir al paciente que tenga cuidado de mantener el pie afectado en posición y pedirle que adelante un paso el pie opuesto para la segunda exposición. Colocar el tubo detrás del paciente, y ajustarlo para una angulacion anterior de 25º y dirigir el rayo central hacia la superficie posterior del tobillo. El rayo central emerge por la superficie plantar a nivel del malèolo lateral.
  • 85.
  • 86.
  • 90.
    Proyecciones:  Proyección antero-posterior(AP)  Proyección AP con rotación medial de 15 a 20 grados  Proyección oblicua  Proyección lateral ARTICULACION DE TOBILLO
  • 91.
    Posición del paciente: Coloque al paciente en posición supina con el miembro afectado completamente extendido.  Colocar almohada debajo de cada rodilla para aliviar la tensión.
  • 92.
    Posición de laregión a explorar:  Flexionar el tobillo y el pie lo suficiente para situar el eje longitudinal del pie en posición vertical.  Mortaja del tobillo no se alterará apreciablemente con una flexión plantar o una flexión dorsal moderada.
  • 93.
    Rayo central:  Ajustarel rayo central perpendicular a la articulación del tobillo.  Ubicar un punto medio entre ambos maléolos
  • 94.
  • 96.
    Estructuras mostradas:  Extremosproximales de los metatarsianos.  Extremos distales de la tibia y el peroné.  La porción proximal del astrágalo.  El maléolo interno.  El hueso cuboides
  • 97.
  • 98.
    Posición de laregión a explorar: Agregar a la posición de la técnica anterior Rotar toda la pierna y el pie hacia adentro unos 15 o 20 grados Controlar que la línea ínter maleolar se encuentre paralela al plano de apoyo
  • 100.
    Estructuras mostradas:  Terciosdistales de la tibia y del peroné.  El plafónd tibial de la epífisis.  El maléolo lateral y medial.  El astrágalo.  La mitad proximal de los metatarsianos.  La mortaja del tobillo debe estar abierto y claro.
  • 101.
  • 103.
    Posición del paciente: Obtener la radiografía en posición supina.  Colocar, para una mayor comodidad, una almohada en la cabeza.  Posicionar la pierna completamente extendida.
  • 104.
    Posición de laregión a explorar:  Rote la pierna y pie en todas las proyecciones oblicuas del tobillo.  Centre el chasis con la articulación del tobillo.  Coloque el pie en flexión dorsal.  Rotar medial la pierna y el pie entre 15º y 25º, o 45º.
  • 105.
  • 106.
    Estructuras mostradas:  Laproyección medial oblicua de 15º a 20º muestra la mortaja del tobillo de perfil .  Proyección oblicua de 45º que permite observar los maléolos extremos distales de la tibia y el peroné.
  • 108.
    Tobillo de perfil(medio lateral)
  • 109.
    Posición del paciente: El paciente debe ubicarse en decúbito lateral para poder obtener la perpendicularidad de la línea ínter maleolar con respecto al plano de apoyo  El miembro inferior en estudio debe estar totalmente extendido formando el pie un ángulo de 90º con respecto a la pierna.
  • 110.
     Pasara elmiembro opuesto por encima  del miembro a estudiar para conseguir  una posición cómoda para el paciente y  un equilibrio anatómico natural El rayo central va a incidir sobre el maléolo interno, tibial y va a emerger en el maléolo opuesto, es decir, maléolo externo, peroné. Articulación tibioperoneoastragalina Extremo distal de la tibia y peroné, huesos del tarso, astrágalo y calcáneo. Visualización:
  • 112.
    Fractura de 1/3distal de peroné
  • 113.
    Fractura en 1/3distal de peroné y tibia Subluxación tibio astragalina
  • 114.
  • 116.
  • 117.
    La mortaja yel tendón
  • 118.
    Maniobra de BOSTEZO ROTURALIGAMENTO EXTERNO
  • 120.
  • 121.
    Tipos de Fracturas UnimaleolarBi maleolar Tri maleolar
  • 122.
    ¿Quiénes están enriesgo?  Los atletas que participan en deportes de alto impacto, como carreras de campo y pista, baloncesto, gimnasia, ballet o tenis.  Los adolescentes cuyos huesos aún no se han fortalecido por completo.  Mujeres, particularmente atletas, que tienen ciclos menstruales anómalos o la ausencia de éstos, lo que puede provocar la disminución de la masa ósea.  Los reclutas militares que repentinamente deben cambiar una vida de civil sedentaria por un régimen de entrenamiento mas activo.
  • 123.
    PIERNA – REV.ANATÓMICA
  • 124.
    POYECCION AP DEPIERNA  EL PACIENTE se coloca en posición supina, con la pierna completamente extendida.  LA PELICULA 35 X 43.  EL CHASIS: longitudinal o diagonal.  Colocar protección gonadal.  EL RAYO: es perpendicular al plano, dirigido a un punto medio de la pierna.  ESTRUCTURAS MOSTRADAS: toda la tibia, peroné, y las articulaciones de la rodilla y el tobillo.
  • 125.
  • 126.
  • 127.
  • 128.
  • 129.
  • 130.
  • 131.
    PROYECCION LATERAL –MEDIOLATERAL DE PIERNA  EL PACIENTE de cubito lateral, con el lado afectado hacia abajo, la pierna contra lateral va detrás del miembro afectado.  LA PELICULA 35 X 43.  EL CHASIS: longitudinal o diagonal.  Colocar protección gonadal.  EL RAYO: es perpendicular al plano, dirigido a un punto medio de la pierna.  ESTRUCTURAS MOSTRADAS: toda la tibia, peroné, y las articulaciones de la rodilla y el tobillo.
  • 132.
    PROYECCION LATERAL –MEDIOLATERAL DE PIERNA
  • 133.
  • 134.
    PROYECCIONES OBLICUAS APDE PIERNA ROTACION MEDIAL Y LATERAL  EL PACIENTE de cubito supino. Las proyecciones oblicuas de pierna se obtienen rotando alternativamente la extremidad 45º en dirección medial o lateral.  LA PELICULA 30 x 40.  EL CHASIS: longitudinal.  Colocar protección gonadal.  EL RAYO: es perpendicular al plano, dirigido a un punto medio de la pierna.  ESTRUCTURAS MOSTRADAS: toda la tibia, peroné, y las articulaciones de la rodilla y el tobillo. Se mostrara una proyección oblicua de 45º de los huesos y tejidos blandos de la pierna.
  • 135.
  • 137.
  • 138.
  • 139.
  • 141.
    Rodilla frente (AP) Posición del paciente: Decúbito dorsal o sentado sobre la mesa, la pierna extendida sobre el chasis y rotación interna del pie.  Rayo director: Puede incidir en forma perpendicular sobre el vértice inferior de la rotula o con angulación cefálica de 5 a 7 grados.
  • 142.
    Posición del pacienteRodilla de Frente A.P.
  • 143.
    PROYECCION AP DERODILLA  EL PACIENTE se coloca en posición supina, con la pierna completamente extendida.  LA PELICULA 18 x 24. 24 x 30  EL CHASIS: longitudinal.  Colocar protección gonadal.  EL RAYO: es perpendicular al plano, dirigido a un punto medio de la rotula.(también 5º cefálico).  ESTRUCTURAS MOSTRADAS: extremo distal del fémur, el extremo proximal de la tibia y el peroné. El espacio articular femorotibial, y las carillas articulares de la tibia se observan en sus extremos con una minima parte de su superficie.
  • 144.
  • 145.
    PROYECCION AP OBLICUAROTACION MEDIA (INTERNA) DE RODILLA  EL PACIENTE se coloca en posición semi supina, con rotación parcial del cuerpo con la pierna en dirección contraria a la región de interés.  LA PELICULA 18 x 24.  EL CHASIS: longitudinal.  Colocar protección gonadal.  EL RAYO: es perpendicular al plano. Incidiendo en el centro de la rotula. (también con angulación 5º cefálica).  ESTRUCTURAS MOSTRADAS: extremo distal del fémur, el extremo proximal de la tibia y el peroné. Con superposición de la rotula con el condilo medio femoral. Los espacios interarticulares de la parte media lateral de la rodilla deben ser desiguales.
  • 146.
  • 147.
    PROYECCION AP OBLICUAROTACION MEDIA (EXTERNA) DE RODILLA  EL PACIENTE se coloca en posición semi supina, con rotación parcial del cuerpo con la pierna en dirección contraria a la región de interés.  LA PELICULA 18 x 24.  EL CHASIS: longitudinal.  Colocar protección gonadal.  EL RAYO: es perpendicular al plano. Incidiendo en el centro de la rotula.  ESTRUCTURAS MOSTRADAS: extremo distal del fémur, el extremo proximal de la tibia y el peroné. Con superposición de la rotula con el condilo medio femoral. Los condilos mediales del fémur y la tibia, de perfil.
  • 148.
    PROYECCION AP OBLICUAROTACION MEDIA (EXTERNA) DE RODILLA
  • 149.
  • 150.
    Rodilla oblicua Proyección posteroanterior Rotación lateral  Posición del paciente: Sobre la mesa en decúbito prono. Elevar la cadera del lado afectado y rotar lateralmente los dedos del pie y la rodilla para formar un ángulo de 45º grados.  Rayo director: Perpendicular 1,5 cm. por debajo del vértice rotuliano.
  • 151.
    PROYECCON LATERAL MEDIOLATERAL DERODILLA  EL PACIENTE: en decúbito lateral externo. Pierna y muslo en flexión de 20 a 30º. Colocar bolsa de arena debajo del tobillo, para evitar la rotación del miembro. La rótula queda perpendicular al plan de apoyo. La pierna opuesta la coloca hacia atrás o hacia delante.  LA PELICULA 18 x 24, longitudinal o 24 x30 apaisada (mitad)  Colocar protección gonadal.  EL RAYO: tiene una angulación de 5º a 7º en dirección cefálica. Incide en forma perpendicular sobre la articulación.  ESTRUCTURAS MOSTRADAS: extremo distal del fémur, el extremo proximal de la tibia y el peroné. la rotula de perfil. Articulación de la rodilla. Demuestra lesiones que de frente y perfil no se alcanzan a ver.
  • 152.
  • 153.
  • 154.
    RADIOGRAFIAS DE RODILLA RODILLA DE PERFIL•RODILLA A-P
  • 155.
    PROYECCIONES PA DELA ROTULA  EL PACIENTE: en la posición de cubito ventral, con las piernas extendidas. Con una rotación interna de 5º.  LA PELICULA: 18 x 24.  EL CHASIS: longitudinal  Colocar protección gonadal.  EL RAYO: perpendicular al área media de la rotula.  ESTRUCTURAS MOSTRADAS: la rodilla y la rótula con optima definición.
  • 156.
    PROYECCIONES PA DELA ROTULA Colocación del paciente: Posición prona, y con las piernas extendidas; colocar una almohadilla para evitar presión directa sobre rótula. Rayo Director: Perpendicular al receptor de imagen; dirigido al área media de la rótula (en hueco poplíteo). Recomendaciones: No se moverá al momento del disparo; DFP 1 mts; película a utilizar 18 x 24 cm.; diafragmar zona en estudio; marcar lado derecho. de frente
  • 157.
  • 158.
    RODILLA: PROYECCIÓN MEDIOLATERAL DERÓTULA  Colocación del Paciente: Obtener la RX, en decúbito lateral, con el lado afectado hacia abajo.  Rayo Director: Perpendicular al receptor de imágenes; dirigir a la mitad de la articulación femororrotuliana.  Recomendaciones: No se moverá al momento del disparo; DFP 1 mts; película a utilizar 18 x 24 cm.; diafragmar zona en estudio; marcar el lado derecho.
  • 159.
    PROYECCION LATERAL- MEDIO LATERAL:ROTULA  EL PACIENTE: en la posición de cubito lateral, con el lado afectado hacia abajo, con la otra rodilla detrás.  LA PELICULA: 18 x 24.  EL CHASIS: longitudinal  Colocar protección gonadal.  EL RAYO: perpendicular al área media de la articulación femoro-rotuliana.  ESTRUCTURAS MOSTRADAS: imagen de perfil de la rotula, articulación femoro-rotuliana y la articulación tibio-femoral.
  • 160.
  • 161.
  • 162.
  • 163.
  • 164.
  • 165.
  • 166.
    PROYECCIONES TANGENCIALES DE ROTULA.Fémoro patelar  EL PACIENTE: en la posición supina, con la rodilla flexionadas 40º en el extremo de la mesa, sobre un soporte.  Es importante que el paciente este cómodo para que los músculos cuadriceps femorales estén totalmente relajados.  LA PELICULA: 24 x 30.  EL CHASIS: transversal  Colocar protección gonadal.  EL RAYO: en dirección caudal a 30º de la horizontal, dirigido a un punto medio entre ambas rotulas.  ESTRUCTURAS MOSTRADAS: escotadura intercondilea (garganta troclear) y la rotula de ambos fémures, con el espacio de la articulación femoro rotuliana abierta.
  • 167.
    RODILLA: PROYECCIÓN TANGENCIAL DERÓTULA  Colocación del Paciente: Obtener la RX, en posición supina, con las rodillas flexionadas a 40º, en el extremo de a mesa.  Rayo Director: En dirección caudal, a 30º de la horizontal (con respecto a los fémures); dirigido a un punto medio entre las rótulas.  Recomendaciones: No se moverá al momento del disparo; DFP 1 mts; película a utilizar 24 x 30 cm.; diafragmar zona de estudio; marcar el lado derecho. Método de Merchant
  • 168.
     Soporte parapiernas y películas de tipo ajustable.
  • 169.
  • 170.
  • 171.
  • 172.
  • 173.
    PROYECCIONES TANGENCIALES PRYECCION INFEROSUPERIOR Posición supina, pierna juntas, rodillas flexionadas de 40º a 45º CHASIS: de canto apoyado en la parte media de los muslos en inclinado para que este perpendicular al rayo central. RAYO: en dirección ínfero superior de 10º a 15º, tangencial a la articulación femoro-rotuliana. Ingresa en el espacio articular Infra rotuliano.
  • 174.
  • 175.
    RODILLA: PROYECCIONES ESPECIALES DERÓTULA HAROSCHY 60 90 120 El rayo perpendicular Con más angulacion que el eje de la pierna
  • 176.
    PROYECCIONES TANGENCIALES METODO DEHUGHSTON  POSICION : prono, chasis debajo de la rodilla flexionada a 45º, el paciente sostiene el pie con una cinta de gasa.  RAYO: de 15º a 20º con el eje longitudinal de la pierna, ingresa en la parte media de la articulación fémoro – rotuliana.
  • 177.
    PROYECCIONES TANGENCIALES METODO DESETTEGAST  POSICION: prona con el chasis debajo de la rodilla flexionadas con un mínimo de 90º, el paciente sostiene la pierna con una cinta de gasa.  RAYO: de 15º a 20º con la pierna tangencial al espacio articular femoro- rotuliana.
  • 178.
  • 179.
  • 180.
  • 181.
  • 182.
  • 183.
  • 185.
    LIGAMENTOS La estabilidad dela articulación de la rodilla se halla bajo la dependencia de los ligamentos cruzados y los ligamentos laterales.  Ligamentos laterales: Refuerzan la cápsula articular por sus lados interno y externo. Ligamento lateral interno: Se extiende desde la cara cutánea del cóndilo interno hasta el extremo superior de la tibia. Ligamento lateral externo: Se extiende desde la cara cutánea del cóndilo externo hasta la cabeza del peroné.  Ligamentos cruzados: Son dos, el ligamento cruzado anterior interno, y el ligamento cruzado posterior interno. Ligamento cruzado anterior: Se inserta inferiormente en le área intercondilea anterior de la tibia entre el tubérculo intercondileo medial posterior, la inserción anterior del menisco lateral lateroposteriormente y la inserción anterior del menisco medial anteriormente. Se fija en una zona de inserción vertical sobre la mitad posterior de la cara intercondilea del cóndilo lateral del fémur. Ligamento cruzado posterior: Nace del área intercondilea posterior de la tibia, posteriormente a las inserciones de los meniscos lateral y medial.
  • 186.
    Técnica de Bostezo Permitela apertura anormal de la cara lateral de la articulación de la rodilla por la angulación, interna o externa, forzada de la misma. Se utiliza para diagnosticar ruptura, desprendimiento o laxitud de ligamentos laterales.
  • 187.
    Colocación del paciente Seencuentra en decúbito dorsal, con el miembro inferior en estudio totalmente estirado y coincidente con la línea media de la mesa. El médico será el encargado de realizar las maniobras laterales sobre la articulación para demostrar una posible ruptura de ligamentos.
  • 188.
  • 190.
    Rayo director incide unoo dos centímetros debajo del vértice de la rótula, paralelo a las cavidades glenoideas. Cuando el espesor de zona es entre 19-24 cm. (muslo y nalgas promedio) no se requiere angulación del rayo. En el caso de que el espesor de zona sea menor a 19 cm. (muslos y nalgas delgadas) el rayo se angula en forma caudal 5º grados; y si es mayor a 24 cm. (muslos y nalgas voluminosas) se angula en forma cefálica 5º grados. Película Radiográfica 18x24 (longitudinal) Distancia Foco. Película 1metro Recomendaciones El paciente no se moverá en el momento del disparo Diafragmar la zona de estudio Marcar el lado derecho del paciente Visualización Desplazamiento de las estructuras óseas, produciendo aumento del espacio articular, en el caso de que exista una ruptura de alguno de los ligamentos laterales de la rodilla.
  • 191.
    Rodilla Con técnicade estrés (bostezo)
  • 192.
    Técnica de cajón Permitediagnosticar la ruptura, desprendimiento o laxitud de ligamentos cruzados (anterior y posterior), que frena el deslizamiento antero-posterior de los extremos articulares de la articulación.
  • 193.
    Colocación del paciente Seencuentra en decúbito dorsal con el miembro inferior flexionado 120º con respecto al plano de apoyo, y pisando sobre la mesa. Alinear y centrar la articulación de la rodilla (dos centímetros debajo del vértice de la rótula) en la mitad del plano de apoyo. El médico será el encargado de realizar las maniobras de stress, en donde tomará la pierna y ejercerá presión sobre ella y luego la traccionará, demostrando de esa manera una posible lesión ligamentosa. El chasis se colocara al lado de la rodilla y será sostenido por el paciente, o un soporte.
  • 194.
    Cajón anterior El médicotraumatólogo se sienta sobre el pie del paciente para lograr mantener la pierna en un ángulo de 80º grados, trata de forzar la epífisis superior de la tibia hacia delante, con ambas manos. Ratifica la ruptura de ligamento anterior. Cajón posterior el médico traumatólogo se sienta sobre el pie del paciente y trata de forzar la epífisis superior de la tibia hacia atrás, abrazando la pantorrilla con las manos.
  • 195.
    Maniobras- de bostezo externoe interno Test de Lachman o cajón anterior en extensión. El cajón anterior de la tibia en 15º de flexión confirma definitivamente la presencia de una rotura de LCA. Habitualmente bien tolerado por el paciente incluso en traumatismos muy recientes. Resalte en Rotación interna. Destinada a confirmar el diagnóstico siendo esencial para determinar el grado de inestabilidad anterior y decidir el tratamiento.
  • 196.
  • 197.
    Rayo central Perpendicular alpunto de apoyo incidiendo dos centímetros debajo del vértice de la rotula. Película radiográfica 18x24 (longitudinal) Distancia Foco-Película 1 metro Recomendaciones El paciente no se moverá en el momento del disparo Diafragmar la zona de estudio Marcar el lado derecho del paciente Visualización Desplazamiento anterior o posterior de las estructuras óseas en el caso de que exista una ruptura de alguno de los ligamentos cruzados en la rodilla.
  • 198.
    Técnica de CajónRX (lateral)
  • 199.
  • 200.
    Rodilla - Fosaintercondilea  Posición del paciente: * Decúbito ventral, rodilla apoyada sobre el chasis y en ángulo de 120º grados. * Rodillas apoyada sobre el chasis en ángulo de 70º grados con el plano de la mesa. Los pies colgando en el borde de la mesa.  Rayo director: Incide con angulación caudal de 35 a 40 grados en el hueco poplíteo o con angulación hacia el fémur de 5 a 10 grados sobre el hueco poplíteo.
  • 201.
    Fosa Intercondílea axial (PA)(Met. Camp-Coventry) 40
  • 202.
    Posición Axial Pa.( Met. de Camp- Coventry)
  • 203.
    PROYECCION AXIAL AP- IMAGENDEL TUNEL  EL PACIENTE: se obtiene en pronación o con el paciente arrodillado sobre la mesa.  LA PELICULA 18 x 24.  EL CHASIS: longitudinal.  Colocar protección gonadal.  EL RAYO: en pronación es perpendicular a la pierna con angulacion de 40º a 50º en dirección caudal. Y cuando el paciente esta arrodillado es perpendicular dirigido al medio del hueco poplíteo.  ESTRUCTURAS MOSTRADAS: escotadura intercondilea, condilos femorales, mesetas tibiales, y la espina tibial.
  • 204.
  • 205.
  • 206.
  • 207.
    Fosa Intercondílea (Met. de Holmblad)
  • 208.
    Posición Axial AP.( Met. de Bécleré)
  • 209.
    PROYECCION AXIAL APDE RODILLA- ESCOTADURA INTERCONDILEA  EL PACIENTE: en posición supina. Se coloca un soporte debajo de las rodillas que van a estar parcialmente flexionadas  LA PELICULA 18 x 24.  EL CHASIS: transversal  Colocar protección gonadal.  EL RAYO: Con angulacion de 40º a 45º en dirección cefálica.  ESTRUCTURAS MOSTRADAS: escotadura intercondilea, condilos femorales, mesetas tibiales, y la espina tibial.  Sirve para buscar signos de proceso patológicos óseos o cartilaginosos.
  • 210.
    PROYECCION AXIAL APDE RODILLA- ESCOTADURA INTERCONDILEA
  • 211.
  • 212.
  • 213.
    Rodilla en proyecciónantero posterior con carga  Posición del paciente: En bipedestación, con la espalda apoyada, rodillas completamente extendidas, distribuyendo el peso por igual en ambos pies.  Rayo director: Incide horizontal en el punto medio entre las rodillas, a nivel de los vértices de las rotulas.
  • 214.
  • 215.
    POYECCION AP BILATERALDE LA RODILLA CON SOPORTE DEL PESO CORPORAL  EL PACIENTE: en posición de pie, sobre una plataforma a fin de que el paciente este a la altura suficiente para que el tubo este horizontal.  La punta de los pies juntas con una angulacion interna de 20º y el peso corporal distribuido uniformemente.  LA PELICULA 30 x 35 y 35x 43  EL CHASIS: transversal.  Colocar protección gonadal.  EL RAYO: es perpendicular, dirigido a un punto medio entre ambas articulaciones de la rodilla.  ESTRUCTURAS MOSTRADAS: extremo distal del fémur, el extremo proximal de la tibia y el peroné. Y los espacios articulares tibiofemorales bilaterales.
  • 216.
    POYECCION AP BILATERALDE LA RODILLA CON SOPORTE DEL PESO CORPORAL RODILLA CON CARGA
  • 217.
  • 218.
  • 219.
  • 220.
  • 221.
  • 222.
  • 223.
    Fémur de Frente: AP Película: 35x43 Longitudinal Parilla Antidifusora: Si Posición del paciente: Decúbito Dorsal-Supino. Piernas extendidas en ligera rotación interna, el trocánter externo. Pierna contra lateral algo separada. El fémur coincidente con la línea media de la mesa.
  • 224.
  • 226.
    Rayo director: Incideen forma perpendicular al plano de apoyo haz central sobre el centro del chasis. justar el diafragma, identificación de los lados. Realizar el disparo con apnea.
  • 227.
    Visualización: El Fémur etoda su extensión. En la Proyección de frente, se observan las articulaciones de cadera y de rodilla. Si el paciente tiene miembros largos, una articularon tiene que incluirse. El trocánter menor no se visualiza.
  • 228.
    En caso deTraumatismo: Colocar un soporte debajo de la pierna afectada y la rodilla, y mantener el pie y el tobillo en una posición AP. Colocar el chasis de canto contra la parte interna del muslo para incluir la rodilla, con el haz de rayos en dirección horizontal desde la parte lateral.
  • 229.
  • 231.
  • 232.
    Fémur de Perfil: Tamañode Película: 35x43 Longitudinal Parilla antidifusora: Si Posición del paciente: Decúbito lateral. La extremidad a explorar se apoya lateralmente sobre la mesa flexionando cadera Flexionar a rodilla aproximadamente 45º con el paciente sobre el lado afectado y alinear el fémur con la línea media de la mesa. Colocar la pierna no afectada detrás de la pierna lesionada para evitar la sobre superposición.
  • 234.
  • 235.
    Rayo director: Incideen forma perpendicular al plano de apoyo y e el tercio medio del fémur.
  • 236.
    FEMUR DE PERFIL/REGIÓNDISTAL Paciente accidentado
  • 237.
    FEMUR DE PERFIL/REGIÓN PROXIMAL
  • 240.
  • 242.
  • 243.
  • 246.
  • 247.
    Técnica de cuellode fémur Quirúrgica Tamaño de película: 24x30 Longitudinal D.F.P: 1 m Posición del paciente: El paciente se encuentra en decúbito dorsal, supino, el miembro en estudio extendido y rotando internamente. El miembro opuesto tiene que ser sacado de la zona para evitar suma de imágenes. La extremidad sana, levantada, cadera en abducción y flexión de rodilla, la planta del pie apoya sobre la mesa. Verificar que la pelvis no este rotada
  • 248.
    Rayo Director: Incide horizontalmentecentrado en la mitad del fémur, (que esta en posición lateral) entre el trocánter mayor y el pulso femoral. Axiolateral de cadera Método de Lorenz
  • 249.
  • 250.
    Proyección unilateral enpatas de ranas y región proximal del fémur. Tamaño de la película: 24x30 Trasversal D.F.P: 1 m Posición del paciente: Posición supina colocar la cadera afectada para que este alineada con el rayo central y la línea media de la mesa. Para que este alineada con el rayo central, flexionar la rodilla, si es posible colocar el muslo en abducción unos 45º con la vertical, lo que ubica el cuello femoral casi paralelo al rayo incidente. Estudio unilateral.
  • 251.
    Rayo director: Perpendiculardirigido a la parte media del cuello femoral.(unilateral) (Método de Lauenstein)
  • 252.
  • 253.
    Proyección axiolateral modificada: FémurProximal Tamaño de película: 24x30 Transversal D.F.P: 1 mPosición del paciente: Posición supina colocar el lado afectado cerca del borde de la mesa, con ambas piernas en extensión completa. Colocar una almohada debajo de la cabeza y los brazos flexionados sobre del tórax. Mantener las piernas en posición neutra abajo colocar el chasis sobre una bandeja bucky a unos 5 cm mas debajo de la mesa, inclinar el chasis 15º y alinearlo para que la parte anterior este perpendicular al rayo central del chasis con el rayo central proyectado.
  • 254.
    Rayo Director: Angulomedio lateral perpendicular al cuello femoral y centrado con el. Debe tener un ángulo posterior de 15º a 20 º con respecto a la horizontal Método de C. y Nakayama
  • 255.
    Visualización: Imágenes oblicualateral del acetábulo y la cabeza y el cuello femoral y el área trocantérica.
  • 256.
    Proyección Oblicua AP. TamañoDe Película: 35x43 Trasversal D.F.P: 1 m Posición del paciente: Paciente en decúbito supino, ajusta los hombros para que queden en el mismo plano horizontal, flexiona los codos y apoye las manos en la parte superior del tórax . El paciente flexiona la rodillas y caderas y aproxime los pies al tronco lo mas posible. Separe los muslos por igual y haga que el paciente gire los pies hacia adentro para que las plantas queden enfrentadas entre si apoyándose una a la otra.
  • 257.
    Rayo director: Perpendicularl plano sagital medio del paciente, a unos 2,5 cm por enzima de la sínfisis púbica.
  • 258.
    Visualización: Deben serclaramente visibles: el acetábulo, la cabeza femoral, el cuello del fémur lateral.
  • 259.
    RADIOLOGÍA PEDIÁTRICA  MiembroInferior  Pie Plano: frente y perfil con carga.  Ortoradiografía de Farrill: frente de las 3 articulaciones con regla de N° plomados.  Método de Helgenmark: todo el miembro de frente.  Pie equino varo o pie bot: frente y perfil.
  • 260.
  • 261.
  • 262.
    Colocación del paciente El paciente se encuentra en decúbito dorsal.  El plano medio sagital perpendicular al plano de apoyo. Coincidente con línea media.  Una regla con números de plomo desde la pelvis hasta los pies.  Los miembros con rotación interna.
  • 263.
  • 264.
  • 265.
    Incidencias del rayodirector  1- Sobre las caderas.  2- Sobre las rodillas.  3- Sobre los tobillos.  Con cada incidencia se traslada el chasis. El chasis se los divide en tras partes, colocado en forma vertical.
  • 266.
  • 267.
    Técnicas de Mediciónde Longitudes  Exposición única  Exposición focalizada  Escanografía
  • 268.
    Chasis Telemétrico Medida: 30X 90 Contiene dos pantallas intensificadoras rápidas que desde el punto medio hacia arriba poseen mayor intensificación y desde el punto medio hacia abajo menor intensificación. Chasis denominados Mas- Menos
  • 270.
  • 271.