Tratamiento
Complicaciones
Art. de Chopart
Epidemiología
Clasificación
Cuadro clínico
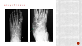
Diagnóstico
Tratamiento
Complicaciones
Cuboides
Anatomía
Epidemiología
Mec. de producción
Cuadro clínico
Diagnóstico
Tratamiento
Complicaciones
Art. de Lisfranc
Anatomía
Epidemiología
Mec. de producción
Clasificación
Cuadro clínico
Diagnóstico
Tratamiento
Complicaciones
Pie
Astrágalo
Anatomía
Epidemiología
Mec. de producción
Clasificación
Cuadro clínico
Diagnóstico
Tratamiento
Complicaciones
Calcáneo
Anatomía
Epidemiología
Mec. de producción
Clasificación
Cuadro clínico
Diagnóstico
Tratamiento
Complicaciones
Escafoides
Anatomía
Epidemiología
Mec. de producción
Clasificación
Cuadro clínico
Diagnóstico
Metatarsianos
Anatomía
Epidemiología
Mec. de producción
Clasificación
Cuadro clínico
Diagnóstico
Tratamiento
Complicaciones
Art. metatarsofalángicas
Anatomía
Epidemiología
Mec. de producción
Cuadro clínico
Diagnóstico
Tratamiento
Complicaciones
Falanges y art. Interfalángicas
Anatomía
Epidemiología
Mec. de producción
Clasificación
Cuadro clínico
Diagnóstico
Tratamiento
Complicaciones
a n a t o m í a
a n a t o m í a
E P I D E M I O L O G Í A
¬ Segundas fracturas
más frecuentes del
tarso, poco frecuentes
1-2%
¬ Predominante en
adultos jóvenes del
sexo masculino
¬ Su incidencia
aumentó mucho
cuando se comenzaron
a usar los vehículos a
M e c a n i s m o d e p r o d u c c i ó n
Accidentes laborales y deportivos
Mecanismo indirecto
¬ Flexión dorsal y cizallamiento –
Cuello y cuerpo
¬ Inversión – Fracturas sagitales
¬ Abducción – Apófisis externa
c l a s i f i c a c i ó n
a) Cabeza
b) Cuello
c) Cuerpo
d) Apófisis lateral
e) Apófisis posterior
Anatómica
c l a s i f i c a c i ó n
Tipo I: Fx no desplazada
Tipo II: Fx desplazada con luxación
subastragalina
Tipo III: Fx desplazada con luxación del
cuerpo astragalino
Tipo IV: Fx desplazada con luxación de cabeza
y extrusión del cuerpo
De Hawkins
c l a s i f i c a c i ó n
a) Trazo sagital/longitudinal
b) Trazo frontal
c) Trazo horizontal
De cuerpo
c l a s i f i c a c i ó n
Estadio 1: Área pequeña de compresión
Estadio II: Fragmento parcialmente desprendido
Estadio III: Fragmento completamente
desprendido del hueso pero se mantiene en su
sitio
Estadio IV: Fragmento completamente
desprendido y desplazado
De Berndt y Harty
c l a s i f i c a c i ó n
De la Orthopedic Trauma Association (TAO)
Tipo A Extra-articular
A1 Del cuello
A2 Avulsiones
Tipo B Articular parcial
B1 Mitad lateral del cuerpo
B2 Mitad medial del cuerpo
B3 Coronal
Tipo C Articular
C1 Simple
C2 Multifragmentaria
C u a d r o c l í n i c o
¬ Cuello
Suelen pasar desapercibidas
porque no se desplazan tan
frecuentemente
Puede confundirse con un
esguince de tobillo
C u a d r o c l í n i c o
¬ Dolor extremo al apoyar el
peso en la extremidad y a la
palpación
¬ Tumefacción del retropié,
puede existir prominencia,
acompañada de acortamiento del
pie
¬ Movilización dolorosa para
abducción y aducción
¬ Crepitación
d i a g n ó s t i c o
¬ Clínico
¬ Radiológico
- AP de tobillo
- Lateral de tobillo
- De mortaja
- AP de pie
- Lateral de pie
- Oblicua de pie
- Proyección de Canale
- TAC
- Gammagrafía ósea con tecnecio 99
- RM
d i a g n ó s t i c o
d i a g n ó s t i c o
d i a g n ó s t i c o
t r a t a m i e n t o
¬ Cuello
- Tipo I Hawkins: Conservador con
aparato largo durante 8 a 12 semanas
en apoyo sin carga
- Tipo II Hawkins:
~ Conservador: Reducción cerrada y
tratamiento para tipo I
~ Quirúrgico:
a) Reducción abierta por abordaje
anteromedial
b) Reducción abierta por abordaje
posterolateral
t r a t a m i e n t o
t r a t a m i e n t o
c) Reducción abierta por abordaje
anterolateral
d) Reducción abierta por abordaje
combinado anteromedial y lateral
¬ Cuerpo
- Conservador con aparato largo de 8
a 12 semanas en apoyo sin carga
t r a t a m i e n t o
¬ Osteocondrales
- Quirúrgico por artroscopia
Reposición del cartílago
Se pueden utilizar tornillos de
Kirschner perpendiculares al trazo de
fractura
Se coloca un yeso corto de 8 a 12
semanas en el posoperatorio; en
apoyo sin carga
C o m p l i c a c i o n e s
¬ Necrosis avascular:
- Hawkins I: 0 a 13%
- Hawkins II: 20 a 50%
- Hawkins III: 20 a 100 %
- Hawkins IV: 50 a 100%
¬ Artrosis por incongruencia articular
o lesión condral que pasa
desapercibida
¬ Síndrome compartimental
a n a t o m í a
a n a t o m í a
E P I D E M I O L O G Í A
¬ Es el hueso del tarso que se fractura
con mayor frecuencia
¬ Tiene un importante impacto
socioeconómico debido al tiempo
laboral que los afectados suelen
perder
¬ Frecuente
en adultos
jóvenes
M e c a n i s m o d e p r o d u c c i ó n
¬ Carga axial : Caídas de altura, el astrágalo es
empujado sobre el calcáneo
Cuando en accidentes de auto el pedal impacta
sobre la cara plantar del pie
¬ Fuerzas de torsión: Debido a avulsiones
causadas por el tríceps sural, se trata
principalmente de fracturas de las apófisis
anteriores
M e c a n i s m o d e p r o d u c c i ó n
¬ Por cizallamieto
¬ Por arrancamiento
¬ Por aplastamiento
c l a s i f i c a c i ó n
¬ Pretalámicas
¬ Talámicas
¬ Yuxtatalámicas
Intra-articulares
c l a s i f i c a c i ó n
¬ Línea de fractura primaria
¬ Línea de fractura secundaria
- En lengua
De Essex-Lopresti de las fracturas intra-articulares
c l a s i f i c a c i ó n
1er grado: Fracturas intraarticulares
no desplazadas
2do grado: Líneas de fractura
secundarias que generan al menos
tres fragmentos
3er grado: Conminución importante
De Souer y Remy
c l a s i f i c a c i ó n
De la Orthopedic Trauma Association (TAO)
Tipo A Extra-articular
A1 Avulsiones
Tipo B Aislada del cuerpo
B1 Sin desplazamiento
B2 Desplazada
B3 Desplazada con fractura asociada de articulación
calcaneocuboidea
Tipo C Articular
C1 Dos partes
C2 Tres partes
C3 Multifragmentaria
C u a d r o c l í n i c o
¬ Dolor moderado a
intenso en el talón
¬ Tumefacción,
ensanchamiento y
acortamiento del talón
¬ Equimosis alrededor
del foco de fractura
d i a g n ó s t i c o
¬ Clínico
¬ Radiográfico
- AP de pie
- Lateral de pie
- Axial de Harris
- De Broden
- Transversa
- TAC
d i a g n ó s t i c o
d i a g n ó s t i c o
t r a t a m i e n t o
¬ Conservador: Maniobra de Essex-
Lopresti
t r a t a m i e n t o
¬ Reparación de ángulos calcáneos
¬ Reparación de articulación
subastragalina
¬ Reconstrucción de calcáneo;
reducción de ensanchamiento y
reconstrucción de altura
t r a t a m i e n t o
¬ Quirúrgico: Reducción abierta y
fijación interna
- Las carillas se reducen y estabiliza
con tornillos de bloqueo dentro del
sustentáculo del astrágalo
- Se utiliza una placa fina
lateral en H o Y
como refuerzo
C o m p l i c a c i o n e s
¬ Pie plano doloroso traumático/ Pie
en mecedora
¬ Aumento de la anchura del talón
a n a t o m í a
a n a t o m í a
¬ Longitudinal medial: Calcáneo, astrágalo,
navicular, cuneiformes y 3 metatarsos mediales
¬ Longitudinal lateral: Calcáneo, cuboides y
metatarsos 4 y 5
¬ Transverso: Cuboides, cuneiformes y bases
metatarsianas
M e c a n i s m o d e p r o d u c c i ó n
¬ Directo
- Por traumatismo sobre la cara
dorsomedial del pie
¬ Indirecto
- Por compresión a lo largo de la cara
medial del pie
c l a s i f i c a c i ó n
- Del cuerpo
- Del tubérculo
c l a s i f i c a c i ó n
Tipo I: Fracturas de cortical dorsal
Tipo II: Fractura prolongada del cuerpo
navicular
Tipo III: Fractura que atraviesa las dos
corticales
De Saxena
C u a d r o c l í n i c o
¬ Dolor localizado a lo largo del arco
medial
¬ Cambios de coloración
¬ Tumefacción dorsomedial
d i a g n ó s t i c o
¬ Clínico
¬ Radiológico
- AP de pie
- Lateral
- Oblicua
- TAC
- RM
d i a g n ó s t i c o
t r a t a m i e n t o
¬ Quirúrgico
Reducción abierta y fijación interna
con agujas de Kirschner o un tornillo
de bloqueo seguido de un yeso corto
para apoyo sin carga durante 4
semanas y apoyo parcial por 6
semanas más
t r a t a m i e n t o
a n a t o m í a
E P I D E M I O L O G Í A
¬ Las lesiones de ésta articulación son
relativamente infrecuentes y se deben
a traumatismos de alta energía como
accidentes de tránsito o de baja
energía como torsiones durante
prácticas deportivas
¬ Se presenta principalmente en
adultos jóvenes
M e c a n i s m o d e p r o d u c c i ó n
¬ Lesiones de alta energía
- Por impacto directo en accidentes de
auto
- Por torsión y carga durante caídas
¬ Lesiones de baja energía
- Por torsión durante una actividad
deportiva
- Cuando la punta del pie se atora y el
peso total del cuerpo impacta sobre
éste punto
c l a s i f i c a c i ó n
¬ Por sobrecarga medial
¬ Por sobrecarga longitudinal
¬ Por sobrecarga lateral
¬ Por sobrecarga plantar
C u a d r o c l í n i c o
¬ Tumefacción en dorso del sobrepié
¬ Dolor localizado
¬ Equimosis localizada
¬ Incapacidad para deambulación
d i a g n ó s t i c o
¬ Clínico
¬ Radiológico
- AP
- Lateral
- Oblicuas
- Comparativas con pie no lesionado
t r a t a m i e n t o
¬ Conservador
- Vendaje elástico durante 4 a 6
semanas
- Bota corta de yeso en apoyo sin
carga durante 6 semanas
¬ Quirúrgico
- Reducción abierta y fijación interna
con agujas de Kirschner
- Restitución de superficies óseas
- Bota corta por 4 a 6 semanas
a n a t o m í a
M e c a n i s m o d e p r o d u c c i ó n
¬ Torsión: abducción forzada de los
metatarsianos sobre el tarso que
provoca una fractura de la base del
segundo metatarsiano y una fractura
del cuboides por aplastamiento
¬ Fuerza axial sobre pie fijo: cuando
un objeto pesado golpea el pie en
equino abordando desde el talón
c l a s i f i c a c i ó n
a) Homolateral
b) Aislada
c) Divergente
De Ouenu y Kuss
c l a s i f i c a c i ó n
C u a d r o c l í n i c o
¬ Dolor en dorso del pie
¬ Tumefacción localizada
¬ Deformidad variable del pie
¬ Incapacidad funcional
d i a g n ó s t i c o
¬ Clínico
¬ Radiográfico
- AP
- Lateral
- Oblicua
d i a g n ó s t i c o
t r a t a m i e n t o
¬ Conservador: Férula, reposo en
cama y elevación de extremidad
Aparato de yeso por 6 semanas
¬ Quirúrgico: Reducción abierta y
fijación interna
t r a t a m i e n t o
C o m p l i c a c i o n e s
¬ Rigidez de los dedos
¬ Pie doloroso
M e c a n i s m o d e p r o d u c c i ó n
¬ Directo: Caída de objeto sobre el pie
¬ Indirecto: Inversión o eversión del
pie
c l a s i f i c a c i ó n
a) Primer metatarsiano
b) Segundo, tercer y cuarto
metatarsianos
c) Quinto metatarsiano
Anatómica
c l a s i f i c a c i ó n
a) Mecanismo de lesión por inversión
aguda con flexión plantar del pie y
avulsión causada por el peroneo corto
b) Metafisiarias y a menudo no
desplazadas
Pseudo-Jones
c l a s i f i c a c i ó n
a) Diafisis proximal del quinto
metatarsiano en la unión de la
metáfisis y la diáfisis
b) Mecanismo de lesión por sobrecarga e
inversión del pie
Jones
C u a d r o c l í n i c o
¬ Dolor localizado sobre la zona de
fractura
¬ Tumefacción localizada
¬ Cambios de coloración
d i a g n ó s t i c o
¬ Clínico
¬ Radiológico
- AP
- Lateral
- Oblicua
d i a g n ó s t i c o
t r a t a m i e n t o
¬ Conservador: Yeso corto durante 2 a
4 semanas
¬ Quirúrgico:
- Primero y quinto metatarsianos:
Reducción abierta y fijación interna
crucial
t r a t a m i e n t o
M e c a n i s m o d e p r o d u c c i ó n
¬ Tropiezos en los que se transmite
una fuerza axial a través de la punta
de la falange distal
¬ Traumatismo directo por caída de
objetos pesados
c l a s i f i c a c i ó n
¬ Localización
¬ Desplazamiento
¬ Conminución
¬ Afectación intra-articular
¬ Presencia de luxación
Descriptiva
d i a g n ó s t i c o
¬ Clínico
¬ Radiológico
- AP
- Lateral
t r a t a m i e n t o
¬ Conservador: Férulas sindactilia por
3 o 4 semanas

Fracturas de pie

  • 2.
    Tratamiento Complicaciones Art. de Chopart Epidemiología Clasificación Cuadroclínico Diagnóstico Tratamiento Complicaciones Cuboides Anatomía Epidemiología Mec. de producción Cuadro clínico Diagnóstico Tratamiento Complicaciones Art. de Lisfranc Anatomía Epidemiología Mec. de producción Clasificación Cuadro clínico Diagnóstico Tratamiento Complicaciones Pie Astrágalo Anatomía Epidemiología Mec. de producción Clasificación Cuadro clínico Diagnóstico Tratamiento Complicaciones Calcáneo Anatomía Epidemiología Mec. de producción Clasificación Cuadro clínico Diagnóstico Tratamiento Complicaciones Escafoides Anatomía Epidemiología Mec. de producción Clasificación Cuadro clínico Diagnóstico Metatarsianos Anatomía Epidemiología Mec. de producción Clasificación Cuadro clínico Diagnóstico Tratamiento Complicaciones Art. metatarsofalángicas Anatomía Epidemiología Mec. de producción Cuadro clínico Diagnóstico Tratamiento Complicaciones Falanges y art. Interfalángicas Anatomía Epidemiología Mec. de producción Clasificación Cuadro clínico Diagnóstico Tratamiento Complicaciones
  • 4.
    a n at o m í a
  • 5.
    a n at o m í a
  • 6.
    E P ID E M I O L O G Í A ¬ Segundas fracturas más frecuentes del tarso, poco frecuentes 1-2% ¬ Predominante en adultos jóvenes del sexo masculino ¬ Su incidencia aumentó mucho cuando se comenzaron a usar los vehículos a
  • 7.
    M e ca n i s m o d e p r o d u c c i ó n Accidentes laborales y deportivos Mecanismo indirecto ¬ Flexión dorsal y cizallamiento – Cuello y cuerpo ¬ Inversión – Fracturas sagitales ¬ Abducción – Apófisis externa
  • 8.
    c l as i f i c a c i ó n a) Cabeza b) Cuello c) Cuerpo d) Apófisis lateral e) Apófisis posterior Anatómica
  • 9.
    c l as i f i c a c i ó n Tipo I: Fx no desplazada Tipo II: Fx desplazada con luxación subastragalina Tipo III: Fx desplazada con luxación del cuerpo astragalino Tipo IV: Fx desplazada con luxación de cabeza y extrusión del cuerpo De Hawkins
  • 10.
    c l as i f i c a c i ó n a) Trazo sagital/longitudinal b) Trazo frontal c) Trazo horizontal De cuerpo
  • 11.
    c l as i f i c a c i ó n Estadio 1: Área pequeña de compresión Estadio II: Fragmento parcialmente desprendido Estadio III: Fragmento completamente desprendido del hueso pero se mantiene en su sitio Estadio IV: Fragmento completamente desprendido y desplazado De Berndt y Harty
  • 12.
    c l as i f i c a c i ó n De la Orthopedic Trauma Association (TAO) Tipo A Extra-articular A1 Del cuello A2 Avulsiones Tipo B Articular parcial B1 Mitad lateral del cuerpo B2 Mitad medial del cuerpo B3 Coronal Tipo C Articular C1 Simple C2 Multifragmentaria
  • 13.
    C u ad r o c l í n i c o ¬ Cuello Suelen pasar desapercibidas porque no se desplazan tan frecuentemente Puede confundirse con un esguince de tobillo
  • 14.
    C u ad r o c l í n i c o ¬ Dolor extremo al apoyar el peso en la extremidad y a la palpación ¬ Tumefacción del retropié, puede existir prominencia, acompañada de acortamiento del pie ¬ Movilización dolorosa para abducción y aducción ¬ Crepitación
  • 15.
    d i ag n ó s t i c o ¬ Clínico ¬ Radiológico - AP de tobillo - Lateral de tobillo - De mortaja - AP de pie - Lateral de pie - Oblicua de pie - Proyección de Canale - TAC - Gammagrafía ósea con tecnecio 99 - RM
  • 16.
    d i ag n ó s t i c o
  • 17.
    d i ag n ó s t i c o
  • 18.
    d i ag n ó s t i c o
  • 19.
    t r at a m i e n t o ¬ Cuello - Tipo I Hawkins: Conservador con aparato largo durante 8 a 12 semanas en apoyo sin carga - Tipo II Hawkins: ~ Conservador: Reducción cerrada y tratamiento para tipo I ~ Quirúrgico: a) Reducción abierta por abordaje anteromedial b) Reducción abierta por abordaje posterolateral
  • 20.
    t r at a m i e n t o
  • 21.
    t r at a m i e n t o c) Reducción abierta por abordaje anterolateral d) Reducción abierta por abordaje combinado anteromedial y lateral ¬ Cuerpo - Conservador con aparato largo de 8 a 12 semanas en apoyo sin carga
  • 22.
    t r at a m i e n t o ¬ Osteocondrales - Quirúrgico por artroscopia Reposición del cartílago Se pueden utilizar tornillos de Kirschner perpendiculares al trazo de fractura Se coloca un yeso corto de 8 a 12 semanas en el posoperatorio; en apoyo sin carga
  • 23.
    C o mp l i c a c i o n e s ¬ Necrosis avascular: - Hawkins I: 0 a 13% - Hawkins II: 20 a 50% - Hawkins III: 20 a 100 % - Hawkins IV: 50 a 100% ¬ Artrosis por incongruencia articular o lesión condral que pasa desapercibida ¬ Síndrome compartimental
  • 25.
    a n at o m í a
  • 26.
    a n at o m í a
  • 27.
    E P ID E M I O L O G Í A ¬ Es el hueso del tarso que se fractura con mayor frecuencia ¬ Tiene un importante impacto socioeconómico debido al tiempo laboral que los afectados suelen perder ¬ Frecuente en adultos jóvenes
  • 28.
    M e ca n i s m o d e p r o d u c c i ó n ¬ Carga axial : Caídas de altura, el astrágalo es empujado sobre el calcáneo Cuando en accidentes de auto el pedal impacta sobre la cara plantar del pie ¬ Fuerzas de torsión: Debido a avulsiones causadas por el tríceps sural, se trata principalmente de fracturas de las apófisis anteriores
  • 29.
    M e ca n i s m o d e p r o d u c c i ó n ¬ Por cizallamieto ¬ Por arrancamiento ¬ Por aplastamiento
  • 30.
    c l as i f i c a c i ó n ¬ Pretalámicas ¬ Talámicas ¬ Yuxtatalámicas Intra-articulares
  • 31.
    c l as i f i c a c i ó n ¬ Línea de fractura primaria ¬ Línea de fractura secundaria - En lengua De Essex-Lopresti de las fracturas intra-articulares
  • 32.
    c l as i f i c a c i ó n 1er grado: Fracturas intraarticulares no desplazadas 2do grado: Líneas de fractura secundarias que generan al menos tres fragmentos 3er grado: Conminución importante De Souer y Remy
  • 33.
    c l as i f i c a c i ó n De la Orthopedic Trauma Association (TAO) Tipo A Extra-articular A1 Avulsiones Tipo B Aislada del cuerpo B1 Sin desplazamiento B2 Desplazada B3 Desplazada con fractura asociada de articulación calcaneocuboidea Tipo C Articular C1 Dos partes C2 Tres partes C3 Multifragmentaria
  • 34.
    C u ad r o c l í n i c o ¬ Dolor moderado a intenso en el talón ¬ Tumefacción, ensanchamiento y acortamiento del talón ¬ Equimosis alrededor del foco de fractura
  • 35.
    d i ag n ó s t i c o ¬ Clínico ¬ Radiográfico - AP de pie - Lateral de pie - Axial de Harris - De Broden - Transversa - TAC
  • 36.
    d i ag n ó s t i c o
  • 37.
    d i ag n ó s t i c o
  • 38.
    t r at a m i e n t o ¬ Conservador: Maniobra de Essex- Lopresti
  • 39.
    t r at a m i e n t o ¬ Reparación de ángulos calcáneos ¬ Reparación de articulación subastragalina ¬ Reconstrucción de calcáneo; reducción de ensanchamiento y reconstrucción de altura
  • 40.
    t r at a m i e n t o ¬ Quirúrgico: Reducción abierta y fijación interna - Las carillas se reducen y estabiliza con tornillos de bloqueo dentro del sustentáculo del astrágalo - Se utiliza una placa fina lateral en H o Y como refuerzo
  • 41.
    C o mp l i c a c i o n e s ¬ Pie plano doloroso traumático/ Pie en mecedora ¬ Aumento de la anchura del talón
  • 43.
    a n at o m í a
  • 44.
    a n at o m í a ¬ Longitudinal medial: Calcáneo, astrágalo, navicular, cuneiformes y 3 metatarsos mediales ¬ Longitudinal lateral: Calcáneo, cuboides y metatarsos 4 y 5 ¬ Transverso: Cuboides, cuneiformes y bases metatarsianas
  • 45.
    M e ca n i s m o d e p r o d u c c i ó n ¬ Directo - Por traumatismo sobre la cara dorsomedial del pie ¬ Indirecto - Por compresión a lo largo de la cara medial del pie
  • 46.
    c l as i f i c a c i ó n - Del cuerpo - Del tubérculo
  • 47.
    c l as i f i c a c i ó n Tipo I: Fracturas de cortical dorsal Tipo II: Fractura prolongada del cuerpo navicular Tipo III: Fractura que atraviesa las dos corticales De Saxena
  • 48.
    C u ad r o c l í n i c o ¬ Dolor localizado a lo largo del arco medial ¬ Cambios de coloración ¬ Tumefacción dorsomedial
  • 49.
    d i ag n ó s t i c o ¬ Clínico ¬ Radiológico - AP de pie - Lateral - Oblicua - TAC - RM
  • 50.
    d i ag n ó s t i c o
  • 51.
    t r at a m i e n t o ¬ Quirúrgico Reducción abierta y fijación interna con agujas de Kirschner o un tornillo de bloqueo seguido de un yeso corto para apoyo sin carga durante 4 semanas y apoyo parcial por 6 semanas más
  • 52.
    t r at a m i e n t o
  • 54.
    a n at o m í a
  • 55.
    E P ID E M I O L O G Í A ¬ Las lesiones de ésta articulación son relativamente infrecuentes y se deben a traumatismos de alta energía como accidentes de tránsito o de baja energía como torsiones durante prácticas deportivas ¬ Se presenta principalmente en adultos jóvenes
  • 56.
    M e ca n i s m o d e p r o d u c c i ó n ¬ Lesiones de alta energía - Por impacto directo en accidentes de auto - Por torsión y carga durante caídas ¬ Lesiones de baja energía - Por torsión durante una actividad deportiva - Cuando la punta del pie se atora y el peso total del cuerpo impacta sobre éste punto
  • 57.
    c l as i f i c a c i ó n ¬ Por sobrecarga medial ¬ Por sobrecarga longitudinal ¬ Por sobrecarga lateral ¬ Por sobrecarga plantar
  • 58.
    C u ad r o c l í n i c o ¬ Tumefacción en dorso del sobrepié ¬ Dolor localizado ¬ Equimosis localizada ¬ Incapacidad para deambulación
  • 59.
    d i ag n ó s t i c o ¬ Clínico ¬ Radiológico - AP - Lateral - Oblicuas - Comparativas con pie no lesionado
  • 60.
    t r at a m i e n t o ¬ Conservador - Vendaje elástico durante 4 a 6 semanas - Bota corta de yeso en apoyo sin carga durante 6 semanas ¬ Quirúrgico - Reducción abierta y fijación interna con agujas de Kirschner - Restitución de superficies óseas - Bota corta por 4 a 6 semanas
  • 62.
    a n at o m í a
  • 63.
    M e ca n i s m o d e p r o d u c c i ó n ¬ Torsión: abducción forzada de los metatarsianos sobre el tarso que provoca una fractura de la base del segundo metatarsiano y una fractura del cuboides por aplastamiento ¬ Fuerza axial sobre pie fijo: cuando un objeto pesado golpea el pie en equino abordando desde el talón
  • 64.
    c l as i f i c a c i ó n a) Homolateral b) Aislada c) Divergente De Ouenu y Kuss
  • 65.
    c l as i f i c a c i ó n
  • 66.
    C u ad r o c l í n i c o ¬ Dolor en dorso del pie ¬ Tumefacción localizada ¬ Deformidad variable del pie ¬ Incapacidad funcional
  • 67.
    d i ag n ó s t i c o ¬ Clínico ¬ Radiográfico - AP - Lateral - Oblicua
  • 68.
    d i ag n ó s t i c o
  • 69.
    t r at a m i e n t o ¬ Conservador: Férula, reposo en cama y elevación de extremidad Aparato de yeso por 6 semanas ¬ Quirúrgico: Reducción abierta y fijación interna
  • 70.
    t r at a m i e n t o
  • 71.
    C o mp l i c a c i o n e s ¬ Rigidez de los dedos ¬ Pie doloroso
  • 73.
    M e ca n i s m o d e p r o d u c c i ó n ¬ Directo: Caída de objeto sobre el pie ¬ Indirecto: Inversión o eversión del pie
  • 74.
    c l as i f i c a c i ó n a) Primer metatarsiano b) Segundo, tercer y cuarto metatarsianos c) Quinto metatarsiano Anatómica
  • 75.
    c l as i f i c a c i ó n a) Mecanismo de lesión por inversión aguda con flexión plantar del pie y avulsión causada por el peroneo corto b) Metafisiarias y a menudo no desplazadas Pseudo-Jones
  • 76.
    c l as i f i c a c i ó n a) Diafisis proximal del quinto metatarsiano en la unión de la metáfisis y la diáfisis b) Mecanismo de lesión por sobrecarga e inversión del pie Jones
  • 77.
    C u ad r o c l í n i c o ¬ Dolor localizado sobre la zona de fractura ¬ Tumefacción localizada ¬ Cambios de coloración
  • 78.
    d i ag n ó s t i c o ¬ Clínico ¬ Radiológico - AP - Lateral - Oblicua
  • 79.
    d i ag n ó s t i c o
  • 80.
    t r at a m i e n t o ¬ Conservador: Yeso corto durante 2 a 4 semanas ¬ Quirúrgico: - Primero y quinto metatarsianos: Reducción abierta y fijación interna crucial
  • 81.
    t r at a m i e n t o
  • 83.
    M e ca n i s m o d e p r o d u c c i ó n ¬ Tropiezos en los que se transmite una fuerza axial a través de la punta de la falange distal ¬ Traumatismo directo por caída de objetos pesados
  • 84.
    c l as i f i c a c i ó n ¬ Localización ¬ Desplazamiento ¬ Conminución ¬ Afectación intra-articular ¬ Presencia de luxación Descriptiva
  • 85.
    d i ag n ó s t i c o ¬ Clínico ¬ Radiológico - AP - Lateral
  • 86.
    t r at a m i e n t o ¬ Conservador: Férulas sindactilia por 3 o 4 semanas