Histología de la Piel
Juliana Zapata
M.V, MSc
La Piel
Es un órgano complejo, integrado, dinámico
Estructura es similar en todos los mamíferos
Diferencias en el grosor de la piel en varias regiones del
organismo
Protección, secreción, absorción y almacenamiento
Componentes
• EPIDERMIS
• DERMIS
• HIPODERMIS DERMIS
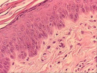
EPIDERMIS
HIPODERMIS
EPIDERMIS
Es un epitelio plano estratificado queratinizado
Las células de la epidermis se clasifican en dos
grandes grupos: queratinocitos y no
queratinocitos
NO QUERATINOCITOS
•Melanocitos (5%)
•Células de langerhans (2%)
•Células de merkel (<0,1%)
QUERATINOCITOS
(90%)
CÉLULAS
DE LA
EPIDERMIS
Las líneas de la epidermis pueden ser clasificadas
desde la membrana basal hacia la superficie
externa así:
– Estrato basal
– Estrato espinoso
– Estrato granuloso
– Estrato lúcido
– Estrato córneo
EPIDERMIS
Capas de
la
epidermis
Queratinocitos
Varían en tamaño y forma y se diferencian a
medida que migran a la superficie del epitelio.
Desmosomas
No queratinocitos
Melanocitos: Poseen en el citoplasma múltiples
gránulos con pigmento.
Células epiteliodes táctiles (células de Merkel)
Macrofagos intraepidermales (células de
langerhans)
MELANOCITOS:Los precursores de los melanocitos provienen de la cresta neural,que migran a la dermis
y luego a la epidermis, ubicándose entre las células basales de la epidermis a razón de 1 melanocito cada
5 a 40 queratinocitos
NO TIENEN UNIONES POR DESMOSOMAS
Unidad
melánica
epidérmica
Es el conjunto que forman
UN MELANOCITO CON 30-
40 QUERATINOCITOS con
los cuales está vinculado
funcionalmente mediante
sus prolongaciones
dendríticas.
CÉLULAS DE LANGERHANS
Células
dendríticas
epidérmicas
=
células de
Langerhans
Se las ha localizado entre las
células del estrato espinoso .
Son reconocedoras de
antígenos .
CÉLULAS DE MERKEL
• Comparten la lamina basal con las células
del estrato basal.
• Son muy abundantes en lo sitios de
percepción sensorial aguda (p. ej. En la
punta de los dedos);
• Están íntimamente asociadas con fibras
nerviosas no encapsuladas.
• Esta combinación entre fibra nerviosa y
célula epidérmica recibe el nombre de
corpúsculo de Merkel
DERMIS
Es un tejido conectivo denso irregular con fibras
elásticas, de colágeno y reticulares. Las células
predominantes son los fibrocitos, macrófagos y
mastocitos. Pueden ser encontradas células
plasmáticas, otros leucocitos y células grasas
Se encuentran glándulas sebáceas, sudoríparas y
folículos pilosos
Dermis
Apéndices de la piel
• Pelo y folículo piloso
• Glándulas sebáceas
• Glándulas sudoríparas
• Glándulas circumanales
• Glándulas supracaudales
• Glándula mamaria
Vaina de tejido
conectivo dermico
Vaina radicular
interna
Vaina radicular
externa
Folículo
piloso
=
invaginación
de la
epidermis
Pelos están
fijados en el
folículo piloso
INFUNDÍBULO:
Comprende la parte que va
desde la superficie de la
epidermis al punto donde
desembocan las glándulas
sebáceas.
BULBO
ISTMO: desde la
desembocadura de las
glándulas sebáceas hasta la
inserción del músculo erector
del pelo.
BULBO: desde la inserción
del músculo erector del pelo
hasta la papila dérmica.
Vaina radicular
externa
Vaina radicular
interna
Foliculo
piloso
Vaina tejido
conectivo
dermico
Capa de Huxley
Capa de Henle
Cutícula de la
vaina radicular
interna
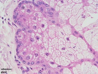
GLÁNDULAS
CUTÁNEAS
Glándulas
sebáceas
UNIDAD PILOSEBACEA
1. Folículo piloso+pelo
2. Glándulas sebáceas.
3. Glándulas sudoríparas
apocrinas
Pelo
Foliculo piloso
Conducto
excretor
Porción
secretora
Células
basales
sebaceous
gland
Glándulas
sudoríparas
Apocrinas
Glándulas sudoríparas Apocrinas
Glandulas Apocrinas
Célula mioepitelial
Células secretoras
El diametro del lumen tubular de las glandulas sudoriparas apocrinas es mas grande
que el de las glandulas ecrinas y el epitelio es mas alto
Glándulas sudoríparas ecrinas
Glándulas
sudoríparas
ecrinas
1. Tienen una porción epidérmica (la unidad epidérmica del
conducto de la glándula: acrosiringio)
2. El conducto dérmico que conduce el sudor a la superficie,una
porción más profunda del conducto que está envuelto en el
proceso secretorio y
3. Un túbulo secretorio en espiral en donde se origina el sudor.
Ubicadas en porción más inferior de dermis limitando con TCS
Hipodermis
• Es un línea de tejido conectivo laxo,
sobrepuesta al músculo o hueso
• Posee fibras elásticas, colágenas y tejido
adiposo formando grandes agregados
(panículo adiposo)
Dermis e
hipodermis

Histología de la piel