• Tejido especializado que tiene la propiedad o capacidad de
contraerse
• La función primaria del tejido muscular es mover el cuerpo, o
partes de el, para lo cual requiere energía
• A las células del tejido muscular se les llama FIBRAS
musculares por su forma alargada
• Las fibras musculares corresponden a las células del tejido
muscular que han desarrollado al máximo su función de
contracción, al transformar energía química en trabajo mecánico.
• Pueden ser estimuladas eléctrica y químicamente , de manera
similar a las células nerviosas.
Se reconocen dos tipos principales de músculo:
• Músculo liso, en el cual las células no exhiben estriaciones
transversales.
•Músculo estriado, en el cual las células exhiben estriaciones
transversales visibles con el microscopio electrónico
~SEGÚN SU UBICACIÓN PUEDE SUBCLASIFICARSE
Musculo Esquelético
Musculo Estriado Visceral
Musculo Cardiaco
QUIEN ES EL
• Está compuesto por células muy
largas y cilíndricas ,cada una de las
cuales posee gran cantidad de
núcleos ubicados periféricamente
• Las fibras musculares son
acidófilas debido a la presencia de
mioglobina (proteina fijadora de
oxigeno).
• Todos los músculos del esqueleto están formados por músculo estriado
y es el responsable del movimiento del esqueleto y ciertos órganos
(ojo y lengua).
• Está presente en aparato locomotor, rostro, cuello, ojos,
faringe,laringe, tercio superior del esófago, suelo de la pelvis.
• Las células o fibras musculares presentan un estriado característico,
por lo que también se denomina músculo estriado.
• Otra denominación es músculo
voluntario a consecuencia de la
innervación por el sistema nervioso
voluntario.
• Su contracción es controlada por
grandes nervios motores, de los que
salen finas ramas nerviosas individuales,
que se introducen en el músculo para
inervar grupos de células musculares, lo
que en conjunto se denomina unidad
motora.
• La vitalidad de las fibras musculares esqueléticas depende del
mantenimiento de su inervación que, si se altera, provoca atrofia de
las fibras musculares.
• La Integración entre tejido muscular y tejido
conectivo permite:
• La nutrición del musculo
• Transmisión del estímulo para su
contracción ya que contiene los vasos
sanguíneos y las fibras nerviosas.
• Las fibras musculares se reúnen en haces o
fascículos que a su vez forman los musculos.
•
• Un músculo está rodeado por una capa de tejido conectivo colagenoso denso
llamado Epimisio.
• El tejido conectivo del epimisio se introduce al interior del músculo y rodea a
los fascículos denominándose Perimisio
• El tejido conectivo de fibras reticulares que forma una delgada vaina alrededor
de cada fibra muscular se conoce como Endomisio.
• El tamaño de los fascículos está en relación a la función de cada músculo. Las
fibras musculares se anclan en el tejido de sostén para que sus fuerzas de
contracción puedan transmitirse, mediante los tendones que distribuyen y
dirigen adecuadamente las fuerzas motrices del músculo al hueso, piel,etc.
• Son características de las fibras
musculares esqueléticas las estriaciones
transversales .
• Las estriaciones están formadas por
estrías claras las bandas I y estrías
oscuras que corresponden las bandas A
• Estas estrías se asocian a la presencia de
miofibrillas , que son elementos
contráctiles del músculo y van
ordenadas en forma paralela dentro de
la fibra muscular.
•En cada Miofibrilla se
establecen periodos ordenados
que se repiten a lo largo de
ellas ,generado por
organización ordenada de sus
proteínas contráctiles: actina y
miosina.
• La banda I está formada principalmente por los miofilamentos
delgados de actina,( no existe superposición con los miofilamentos
gruesos).
• La banda A esta formada principalmente por los miofilamentos gruesos
de miosina (existe superposición con parte de miofilamentos delgados)
• Al centro de la banda I se encuentra la linea Z o disco intermediario o
telofragma , que es el lugar donde se unen los filamentos de actina .
• Al medio de la banda A existe una línea clara llamada banda o zona H
(de Hensen).(no existe superposicion de miofilamentos)
• La Zona H es recorrida por una fina estría , llamada estría o banda M
(mesofragma),que es la unión de los filamentos de miosina
• El segmento limitado por 2 líneas Z se denomina Sarcomera
• El sarcómero es la unidad estructural y funcional de la miofribrilla
• La longitud del sarcomero varía con el estado de contracción del
músculo y alcanza una extensión máxima de 3µm, pero disminuye
hasta unos 1,5 µm con la contracción.
• La longitud de la banda A es constante, mientras que la de la banda I
se acorta durante la contracción
• La longitud de los filamentos gruesos y finos permanece constante
• La teoría del deslizamiento de los filamentos, propone que bajo la
influencia de la energía liberada a partir del ATP, los filamentos
gruesos se deslizan unos sobre otros, causando el acortamiento de la
sarcómera.
• En el sarcoplasma (citoplasma) de la fibra muscular esquelética, se encuentran
mitocondrias ubicadas cercanas a los núcleos y entre las míofibrillas, gránulos de
glicógeno y retículo endoplásmico liso (REL).
• Las mitocondrias y los numerosos gránulos de glicógeno constituyen una rica fuente
de energía en el escaso citoplasma existente entre las miofibrillas. No tiene RER, sólo
tiene retículo endoplásmico liso que interviene en la activación del mecanismo de la
contracción.
• El REL se ordena periódicamente en relación al orden de los
miofilamentos, formando una red de tubulos anastomosados
rodeando a las miofibrillas formando el sistema L .
• El sistema L se dilata en el limite de las banda A e I ,formando las
cisternas terminales
• Cada fibra está rodeada por una delgada membrana plasmática
denominada Sarcolema que se invagina hacia el citoplasma o
Sarcoplasma formando el tubulo T, en el limite de las banda A e I,
constituyéndose una red de túbulos, el sistema T.
• El túbulo T se ubica entre 2 cisternas terminales, denominándose a estas 3
estructuras Triada.
• Mediante el túbulo T un potencial de acción (onda depolarizante) se propaga
rápidamente desde la superficie de la fibra hasta el interior, donde favorece la
liberación de iones calcio desde el retículo hacia el sarcoplasma, lo que causara la
contracción .
• Estimulación de la α motoneurona,
provoca liberación de Acetilcolina
(neurotransmisor) desde la terminación
axoniana a la brecha sináptica
• Acetilcolina se une a receptores del
sarcolema, provocando abertura de los
canales de sodio (Na), lo que genera onda
de despolarización por el sarcolema
• El potencial de acción generado ,difunde
por el sistema de tubulos T, hasta las
cisternas terminales del REL y se libera Ca
almacenado, hacia el Sarcoplasma
• El Ca liberado desde las cisternas
terminales se une a la Troponina,
actuando sobre sist,. Troponina-
tropomiosina dejando libre los
receptores de unión para la
miosina II
(sitio de unión de la actina para
la miosina)
• Se produce una hidrólisis de ATP (ADP+P)
producto de la interacción entre los
miofilamentos.
• La energía liberada produce movimiento
de péndulo de las cabezas de miosina II
sobre las moléculas de actina y provoca la
tracción de ellas hacia el centro del
sarcómero (contracción).
• Utilizando nueva molécula de ATP, la
miosinaII se separa de la molécula de
actina (relajacion) y el ciclo se repite.
• Tras la muerte y sin ATP disponible, los miofilamentos no se pueden
separar y se establece el estado de rigor mortis.
• Una vez que cesa la despolarización el REL transporta activamente el
calcio hacia las cisternas terminales y la contracción termina.
• Así, se logran contracciones relativamente potentes, de corta duración
y sometido a un control voluntario fino, propio de la musculatura
estriada esquelética.
• En la vida post natal, cuando sufren daños las células musculares maduras,
pueden regenerar gracias a la proliferación de células precursoras, llamadas
células satélites
• Ellas se observan en la periferia de la fibra muscular.
• Estas entran en mitosis y varias de ellas se unen entre si para formar fibras
musculares diferenciadas.
• Las fibras musculares regeneradas tienen el núcleo en el centro en lugar de la
periferia.
• Las células satelites también se pueden unir a las fibras ya existentes.
• Si la lesión es muy extensa la reparación se realiza a expensas del tejido
conectivo.
IRRIGACIÓN DEL MÚSCULO ESQUELÉTICO:IRRIGACIÓN DEL MÚSCULO ESQUELÉTICO:
• Los vasos sanguíneos de mayor calibre atraviesan el epimisio
para ramificarse en el perimisio, y luego salen ramas finas
que cruzan entre las fibras musculares en sentido transversal
al eje mayor.
• Estas dan origen a numerosos capilares que siguen trayectos
longitudinales por el endomisio, formando una red.
Fibra Muscular Esqueletica
Estriaciones
Nucleos
CORTES LONGITUDINALES-COLORACION TRICROMICO DE GOMORI
1 - BANDAS OSCURAS – ANISOTRÓPICAS
2 - ZONAS CLARAS - ISOTRÓPICAS, CON LINEA Z CENTRAL
3 - NÚCLEOS PERIFÉRICOS
1 - Fibras Musculares Estriadas Esqueléticas - Corte Longitudinal
2 - Núcleos periféricos
CORTE TRANSVERSAL DE MÚSCULO ESTRIADO ESQUELÉTICO CON NÚCLEOS PERIFÉRICOS. COLORACION:
TRICROMICO DE GOMORI
1 - FIBRAS MUSCULARES ESTRIADAS ESQUELÉTICAS – NÚCLEOS PERIFÉRICOS
2 - TEJIDO CONJUNTIVO
3 - FIBRAS MUSCULARES ESTRIADAS ESQUELÉTICAS - CORTES LONGITUDINALES
• Especializado en contracciones contínuas, de fuerza relativamente
escasa, con movimientos difusos que se traducen en contracciones
de la totalidad de la masa muscular.
• La contractilidad es una propiedad inherente al músculo liso y
ocurre independiente de la inervación nerviosa.
• Además está influenciado por el sistema nerviosos autónomo, las
hormonas y los metabolitos locales que modulan la contracción
para adaptarse a las demandas funcionales cambiantes.
• Las células son relativamente pequeñas y sólo tienen un núcleo.
• Las fibras se mantienen unidas formando fascículos ramificados
irregulares, cuya organización varía según el órgano y necesidades
funcionales.
UBICACIÓN
• Gran parte del músculo liso se encuentra en las paredes de vísceras
huecas, donde se dispone en láminas, con sus células alineadas
circunferencial o longitudinalmente, por lo que la contracción supone
la disminución del diámetro de la luz del órgano.
• Vísceras huecas: tubo digestivo, vías urinarias, conductos
reproductores, vesícula biliar, paredes de vasos sanguíneos, vías
respiratorias.
• Ojo: iris, músculo constrictor y dilatador de la pupila.
• Dermis: músculo erector del pelo
• Túnica dartos del escroto
• Células mioepiteliales de glándulas exocrinas
• Las fibras del músculo liso son células alargadas y fusiformes, con
extremos afilados que, en ocasiones se bifurcan.
• Poseen un solo núcleo alargado en el centro del citoplasma y los bordes
celulares son poco evidentes.
• Las fibras musculares se mantienen unidas en fascículos irregulares y
ramificados, y son estos fascículos las unidades contráctiles. En el
fascículo, las fibras musculares se disponen más o menos paralelas.
• Las proteínas contráctiles no se organizan en miofibrillas, por lo que
no tienen estriaciones transversales
• Entre las fibras musculares y entre fascículos hay colágeno de
sostén, equivalente al endomisio y perimisio.
• Las proteínas contráctiles (actina, miosina) se disponen en haces
entrelazados diseminados en el interior de la célula, no presentan la
ordenación observable en el musculo estriado y se insertan en puntos
de anclaje (o densidades focales) existentes en el citoplasma y la
membrana celular.
• La tensión generada por la contracción se transmite por las densidades
de anclaje hacia la lámina externa que la rodea. Así, una masa de
células musculares lisas actúa como una sóla unidad.
COMPONENTES DE LA FIBRA MÚSCULAR LISACOMPONENTES DE LA FIBRA MÚSCULAR LISA
La célula posee también abundantes filamentos intermedios de desmina
del músculo liso que se insertan en las densidades focales.
La contracción provoca el acortamiento de la célula, que adopta forma
globulosa, en contraste a la forma alargada que posee en reposo.
Además el núcleo toma forma de sacacorcho característico
• EL MECANISMO DE LA CONTRACCIÓN DEL MÚSCULO LISO ES EL SGTE:
-Los finos filamentos de actina están asociados a tropomiosina
(proteína).
-Los filamentos gruesos formados de miosina sólo se unen a la actina
cuando una cadena se fosforila.
-Los iones calcio del citosol de las células musculares lisas provocan su
contracción.
En reposo, el Ca++ libre está en el retículo sarcoplásmico, cuando se
excita la membrana, pasa al citoplasma y se une a la proteína
calmodulina.(similar a la troponina del musculo esqueletico)
• Este complejo calcio-calmodulina activa a una enzima cinasa de la
cadena ligera de la miosina, que fosforila la miosina, permitiendo que
se una a la actina.
• Luego actina y miosina interactúan mediante deslizamiento de los
filamentos para producir la contracción.
• La contracción del músculo liso es lenta, sostenida y con menor
consumo de energía que el músculo estriado.
• La regeneración del músculo Liso puede ocurrir a partir de células
Mesenquimaticas (células mioepiteliales) que se ubican alrededor
de los capilares.
• Sin embargo esta regeneración es limitada.
COLORACION HEMATOXILINA-EOSINA-CORTE TRANSVERSAL DE ARTERIA, MOSTRANDO
VÁRIAS CAPAS MUSCULARES CONCENTRICAS.
1 - FIBRAS MUSCULARES LISAS
2 - ENDOTÉLIO DA ARTÉRIA
3 - LUZ DA ARTÉRIA
1 - FIBRAS MUSCULARES LISAS
2 - ENDOTÉLIO DA ARTÉRIA
DETALLE A MAYOR AUMENTO DE LAS FIBRAS MUSCULARES LISAS EN CORTE LONGITUDINAL
• Características estructurales y funcionales intermedias entre las del
músculo esquelético y el visceral liso.
• Contracciones potentes que utilizan gran cantidad de energía,
produce contracciones contínuas y desencadenadas por mecanismos
inherentes (propios del corazón), aunque modulados por estímulos
externos autónomos y hormonales.
• Las células son acidòfilas, cortas, cilíndricas y ramificadas con uno o
dos núcleos, localizados en el centro de la célula.
• Tambien presentan estriaciones transversales.
• Los extremos de las fibras se dividen longitudinalmente en un
pequeño número de ramas que entran en contacto con ramas
similares de las fibras adyacentes, lo que confiere al músculo el
aspecto de una red citoplásmica tridimensional continua.
(ramificaciones anastomosantes).
• Entre las fibras musculares existe un delicado tejido de sostén
equivalente al endomisio, que conduce la densa red capilar.
• La organización de las proteínas contráctiles es similar a la del
músculo esquelético, por lo que también presentan estriaciones
transversales.
• Esto ultimo equivale a que también estén presentes los
sarcomeros, como unidad contráctil.
• Al igual que musculo esquelético, posee sistema de túbulos T y retículo
sarcoplásmico, pero aquí forma pequeñas expansiones aisladas, en los
extremos de la red tubular, formandose Diadas EN LUGAR DE Triadas.
• El transporte de calcio debe hacerse activamente desde el liquido
extracelular, ya que la capacidad de las células para almacenar iones
calcio dentro de los retículos sarcoplasmicos lisos es mucho menor que
en las fibras esqueléticas .
• La concentración de calcio suficiente dentro de la célula generará la
contracción.
DISCOS INTERCALARES
• Entre los extremos de las células musculares cardíacas adyacentes
existen uniones intercelulares especializadas: los discos intercalares
(uniones interdigitadas con tres tipos de contacto: fascia adherens,
desmosomas y uniones de hendidura).
• Son punto de anclaje de las miofibrillas y permiten la propagación
muy rápida del estímulo contráctil de una célula a otra.
• Así, las células adyacentes se contraen de manera casi simultánea,
actuando como un sincitio funcional.
• Existe también un sistema de células musculares cardíacas
modificadas (células de Purkinje) que constituyen las regiones
marcapasos del corazón y se ramifican por todo el órgano en la red de
Purkinje, coordinando la contracción en conjunto del miocardio en
cada ciclo cardíaco.
Tejido muscular
Tejido muscular
Tejido muscular
Tejido muscular
Tejido muscular
Tejido muscular
Tejido muscular

Tejido muscular

  • 2.
    • Tejido especializadoque tiene la propiedad o capacidad de contraerse • La función primaria del tejido muscular es mover el cuerpo, o partes de el, para lo cual requiere energía • A las células del tejido muscular se les llama FIBRAS musculares por su forma alargada • Las fibras musculares corresponden a las células del tejido muscular que han desarrollado al máximo su función de contracción, al transformar energía química en trabajo mecánico. • Pueden ser estimuladas eléctrica y químicamente , de manera similar a las células nerviosas.
  • 3.
    Se reconocen dostipos principales de músculo: • Músculo liso, en el cual las células no exhiben estriaciones transversales. •Músculo estriado, en el cual las células exhiben estriaciones transversales visibles con el microscopio electrónico ~SEGÚN SU UBICACIÓN PUEDE SUBCLASIFICARSE Musculo Esquelético Musculo Estriado Visceral Musculo Cardiaco
  • 5.
  • 6.
    • Está compuestopor células muy largas y cilíndricas ,cada una de las cuales posee gran cantidad de núcleos ubicados periféricamente • Las fibras musculares son acidófilas debido a la presencia de mioglobina (proteina fijadora de oxigeno).
  • 7.
    • Todos losmúsculos del esqueleto están formados por músculo estriado y es el responsable del movimiento del esqueleto y ciertos órganos (ojo y lengua). • Está presente en aparato locomotor, rostro, cuello, ojos, faringe,laringe, tercio superior del esófago, suelo de la pelvis. • Las células o fibras musculares presentan un estriado característico, por lo que también se denomina músculo estriado.
  • 9.
    • Otra denominaciónes músculo voluntario a consecuencia de la innervación por el sistema nervioso voluntario. • Su contracción es controlada por grandes nervios motores, de los que salen finas ramas nerviosas individuales, que se introducen en el músculo para inervar grupos de células musculares, lo que en conjunto se denomina unidad motora.
  • 10.
    • La vitalidadde las fibras musculares esqueléticas depende del mantenimiento de su inervación que, si se altera, provoca atrofia de las fibras musculares.
  • 12.
    • La Integraciónentre tejido muscular y tejido conectivo permite: • La nutrición del musculo • Transmisión del estímulo para su contracción ya que contiene los vasos sanguíneos y las fibras nerviosas. • Las fibras musculares se reúnen en haces o fascículos que a su vez forman los musculos. •
  • 14.
    • Un músculoestá rodeado por una capa de tejido conectivo colagenoso denso llamado Epimisio. • El tejido conectivo del epimisio se introduce al interior del músculo y rodea a los fascículos denominándose Perimisio • El tejido conectivo de fibras reticulares que forma una delgada vaina alrededor de cada fibra muscular se conoce como Endomisio. • El tamaño de los fascículos está en relación a la función de cada músculo. Las fibras musculares se anclan en el tejido de sostén para que sus fuerzas de contracción puedan transmitirse, mediante los tendones que distribuyen y dirigen adecuadamente las fuerzas motrices del músculo al hueso, piel,etc.
  • 15.
    • Son característicasde las fibras musculares esqueléticas las estriaciones transversales . • Las estriaciones están formadas por estrías claras las bandas I y estrías oscuras que corresponden las bandas A • Estas estrías se asocian a la presencia de miofibrillas , que son elementos contráctiles del músculo y van ordenadas en forma paralela dentro de la fibra muscular.
  • 16.
    •En cada Miofibrillase establecen periodos ordenados que se repiten a lo largo de ellas ,generado por organización ordenada de sus proteínas contráctiles: actina y miosina.
  • 17.
    • La bandaI está formada principalmente por los miofilamentos delgados de actina,( no existe superposición con los miofilamentos gruesos).
  • 18.
    • La bandaA esta formada principalmente por los miofilamentos gruesos de miosina (existe superposición con parte de miofilamentos delgados)
  • 19.
    • Al centrode la banda I se encuentra la linea Z o disco intermediario o telofragma , que es el lugar donde se unen los filamentos de actina . • Al medio de la banda A existe una línea clara llamada banda o zona H (de Hensen).(no existe superposicion de miofilamentos)
  • 20.
    • La ZonaH es recorrida por una fina estría , llamada estría o banda M (mesofragma),que es la unión de los filamentos de miosina • El segmento limitado por 2 líneas Z se denomina Sarcomera
  • 22.
    • El sarcómeroes la unidad estructural y funcional de la miofribrilla • La longitud del sarcomero varía con el estado de contracción del músculo y alcanza una extensión máxima de 3µm, pero disminuye hasta unos 1,5 µm con la contracción. • La longitud de la banda A es constante, mientras que la de la banda I se acorta durante la contracción • La longitud de los filamentos gruesos y finos permanece constante • La teoría del deslizamiento de los filamentos, propone que bajo la influencia de la energía liberada a partir del ATP, los filamentos gruesos se deslizan unos sobre otros, causando el acortamiento de la sarcómera.
  • 23.
    • En elsarcoplasma (citoplasma) de la fibra muscular esquelética, se encuentran mitocondrias ubicadas cercanas a los núcleos y entre las míofibrillas, gránulos de glicógeno y retículo endoplásmico liso (REL). • Las mitocondrias y los numerosos gránulos de glicógeno constituyen una rica fuente de energía en el escaso citoplasma existente entre las miofibrillas. No tiene RER, sólo tiene retículo endoplásmico liso que interviene en la activación del mecanismo de la contracción.
  • 24.
    • El RELse ordena periódicamente en relación al orden de los miofilamentos, formando una red de tubulos anastomosados rodeando a las miofibrillas formando el sistema L . • El sistema L se dilata en el limite de las banda A e I ,formando las cisternas terminales
  • 25.
    • Cada fibraestá rodeada por una delgada membrana plasmática denominada Sarcolema que se invagina hacia el citoplasma o Sarcoplasma formando el tubulo T, en el limite de las banda A e I, constituyéndose una red de túbulos, el sistema T.
  • 26.
    • El túbuloT se ubica entre 2 cisternas terminales, denominándose a estas 3 estructuras Triada. • Mediante el túbulo T un potencial de acción (onda depolarizante) se propaga rápidamente desde la superficie de la fibra hasta el interior, donde favorece la liberación de iones calcio desde el retículo hacia el sarcoplasma, lo que causara la contracción .
  • 28.
    • Estimulación dela α motoneurona, provoca liberación de Acetilcolina (neurotransmisor) desde la terminación axoniana a la brecha sináptica • Acetilcolina se une a receptores del sarcolema, provocando abertura de los canales de sodio (Na), lo que genera onda de despolarización por el sarcolema • El potencial de acción generado ,difunde por el sistema de tubulos T, hasta las cisternas terminales del REL y se libera Ca almacenado, hacia el Sarcoplasma
  • 30.
    • El Caliberado desde las cisternas terminales se une a la Troponina, actuando sobre sist,. Troponina- tropomiosina dejando libre los receptores de unión para la miosina II (sitio de unión de la actina para la miosina)
  • 31.
    • Se produceuna hidrólisis de ATP (ADP+P) producto de la interacción entre los miofilamentos. • La energía liberada produce movimiento de péndulo de las cabezas de miosina II sobre las moléculas de actina y provoca la tracción de ellas hacia el centro del sarcómero (contracción). • Utilizando nueva molécula de ATP, la miosinaII se separa de la molécula de actina (relajacion) y el ciclo se repite.
  • 32.
    • Tras lamuerte y sin ATP disponible, los miofilamentos no se pueden separar y se establece el estado de rigor mortis. • Una vez que cesa la despolarización el REL transporta activamente el calcio hacia las cisternas terminales y la contracción termina. • Así, se logran contracciones relativamente potentes, de corta duración y sometido a un control voluntario fino, propio de la musculatura estriada esquelética.
  • 33.
    • En lavida post natal, cuando sufren daños las células musculares maduras, pueden regenerar gracias a la proliferación de células precursoras, llamadas células satélites • Ellas se observan en la periferia de la fibra muscular. • Estas entran en mitosis y varias de ellas se unen entre si para formar fibras musculares diferenciadas. • Las fibras musculares regeneradas tienen el núcleo en el centro en lugar de la periferia. • Las células satelites también se pueden unir a las fibras ya existentes. • Si la lesión es muy extensa la reparación se realiza a expensas del tejido conectivo.
  • 34.
    IRRIGACIÓN DEL MÚSCULOESQUELÉTICO:IRRIGACIÓN DEL MÚSCULO ESQUELÉTICO: • Los vasos sanguíneos de mayor calibre atraviesan el epimisio para ramificarse en el perimisio, y luego salen ramas finas que cruzan entre las fibras musculares en sentido transversal al eje mayor. • Estas dan origen a numerosos capilares que siguen trayectos longitudinales por el endomisio, formando una red.
  • 37.
  • 42.
    CORTES LONGITUDINALES-COLORACION TRICROMICODE GOMORI 1 - BANDAS OSCURAS – ANISOTRÓPICAS 2 - ZONAS CLARAS - ISOTRÓPICAS, CON LINEA Z CENTRAL 3 - NÚCLEOS PERIFÉRICOS
  • 43.
    1 - FibrasMusculares Estriadas Esqueléticas - Corte Longitudinal 2 - Núcleos periféricos
  • 44.
    CORTE TRANSVERSAL DEMÚSCULO ESTRIADO ESQUELÉTICO CON NÚCLEOS PERIFÉRICOS. COLORACION: TRICROMICO DE GOMORI 1 - FIBRAS MUSCULARES ESTRIADAS ESQUELÉTICAS – NÚCLEOS PERIFÉRICOS 2 - TEJIDO CONJUNTIVO 3 - FIBRAS MUSCULARES ESTRIADAS ESQUELÉTICAS - CORTES LONGITUDINALES
  • 45.
    • Especializado encontracciones contínuas, de fuerza relativamente escasa, con movimientos difusos que se traducen en contracciones de la totalidad de la masa muscular. • La contractilidad es una propiedad inherente al músculo liso y ocurre independiente de la inervación nerviosa. • Además está influenciado por el sistema nerviosos autónomo, las hormonas y los metabolitos locales que modulan la contracción para adaptarse a las demandas funcionales cambiantes.
  • 46.
    • Las célulasson relativamente pequeñas y sólo tienen un núcleo. • Las fibras se mantienen unidas formando fascículos ramificados irregulares, cuya organización varía según el órgano y necesidades funcionales.
  • 47.
    UBICACIÓN • Gran partedel músculo liso se encuentra en las paredes de vísceras huecas, donde se dispone en láminas, con sus células alineadas circunferencial o longitudinalmente, por lo que la contracción supone la disminución del diámetro de la luz del órgano. • Vísceras huecas: tubo digestivo, vías urinarias, conductos reproductores, vesícula biliar, paredes de vasos sanguíneos, vías respiratorias. • Ojo: iris, músculo constrictor y dilatador de la pupila. • Dermis: músculo erector del pelo • Túnica dartos del escroto • Células mioepiteliales de glándulas exocrinas
  • 48.
    • Las fibrasdel músculo liso son células alargadas y fusiformes, con extremos afilados que, en ocasiones se bifurcan. • Poseen un solo núcleo alargado en el centro del citoplasma y los bordes celulares son poco evidentes. • Las fibras musculares se mantienen unidas en fascículos irregulares y ramificados, y son estos fascículos las unidades contráctiles. En el fascículo, las fibras musculares se disponen más o menos paralelas.
  • 49.
    • Las proteínascontráctiles no se organizan en miofibrillas, por lo que no tienen estriaciones transversales • Entre las fibras musculares y entre fascículos hay colágeno de sostén, equivalente al endomisio y perimisio.
  • 50.
    • Las proteínascontráctiles (actina, miosina) se disponen en haces entrelazados diseminados en el interior de la célula, no presentan la ordenación observable en el musculo estriado y se insertan en puntos de anclaje (o densidades focales) existentes en el citoplasma y la membrana celular. • La tensión generada por la contracción se transmite por las densidades de anclaje hacia la lámina externa que la rodea. Así, una masa de células musculares lisas actúa como una sóla unidad. COMPONENTES DE LA FIBRA MÚSCULAR LISACOMPONENTES DE LA FIBRA MÚSCULAR LISA
  • 51.
    La célula poseetambién abundantes filamentos intermedios de desmina del músculo liso que se insertan en las densidades focales. La contracción provoca el acortamiento de la célula, que adopta forma globulosa, en contraste a la forma alargada que posee en reposo. Además el núcleo toma forma de sacacorcho característico
  • 53.
    • EL MECANISMODE LA CONTRACCIÓN DEL MÚSCULO LISO ES EL SGTE: -Los finos filamentos de actina están asociados a tropomiosina (proteína). -Los filamentos gruesos formados de miosina sólo se unen a la actina cuando una cadena se fosforila. -Los iones calcio del citosol de las células musculares lisas provocan su contracción. En reposo, el Ca++ libre está en el retículo sarcoplásmico, cuando se excita la membrana, pasa al citoplasma y se une a la proteína calmodulina.(similar a la troponina del musculo esqueletico)
  • 54.
    • Este complejocalcio-calmodulina activa a una enzima cinasa de la cadena ligera de la miosina, que fosforila la miosina, permitiendo que se una a la actina. • Luego actina y miosina interactúan mediante deslizamiento de los filamentos para producir la contracción. • La contracción del músculo liso es lenta, sostenida y con menor consumo de energía que el músculo estriado.
  • 55.
    • La regeneracióndel músculo Liso puede ocurrir a partir de células Mesenquimaticas (células mioepiteliales) que se ubican alrededor de los capilares. • Sin embargo esta regeneración es limitada.
  • 60.
    COLORACION HEMATOXILINA-EOSINA-CORTE TRANSVERSALDE ARTERIA, MOSTRANDO VÁRIAS CAPAS MUSCULARES CONCENTRICAS. 1 - FIBRAS MUSCULARES LISAS 2 - ENDOTÉLIO DA ARTÉRIA 3 - LUZ DA ARTÉRIA
  • 61.
    1 - FIBRASMUSCULARES LISAS 2 - ENDOTÉLIO DA ARTÉRIA DETALLE A MAYOR AUMENTO DE LAS FIBRAS MUSCULARES LISAS EN CORTE LONGITUDINAL
  • 63.
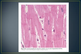
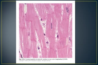
    • Características estructuralesy funcionales intermedias entre las del músculo esquelético y el visceral liso. • Contracciones potentes que utilizan gran cantidad de energía, produce contracciones contínuas y desencadenadas por mecanismos inherentes (propios del corazón), aunque modulados por estímulos externos autónomos y hormonales.
  • 64.
    • Las célulasson acidòfilas, cortas, cilíndricas y ramificadas con uno o dos núcleos, localizados en el centro de la célula. • Tambien presentan estriaciones transversales. • Los extremos de las fibras se dividen longitudinalmente en un pequeño número de ramas que entran en contacto con ramas similares de las fibras adyacentes, lo que confiere al músculo el aspecto de una red citoplásmica tridimensional continua. (ramificaciones anastomosantes).
  • 66.
    • Entre lasfibras musculares existe un delicado tejido de sostén equivalente al endomisio, que conduce la densa red capilar. • La organización de las proteínas contráctiles es similar a la del músculo esquelético, por lo que también presentan estriaciones transversales. • Esto ultimo equivale a que también estén presentes los sarcomeros, como unidad contráctil.
  • 67.
    • Al igualque musculo esquelético, posee sistema de túbulos T y retículo sarcoplásmico, pero aquí forma pequeñas expansiones aisladas, en los extremos de la red tubular, formandose Diadas EN LUGAR DE Triadas. • El transporte de calcio debe hacerse activamente desde el liquido extracelular, ya que la capacidad de las células para almacenar iones calcio dentro de los retículos sarcoplasmicos lisos es mucho menor que en las fibras esqueléticas . • La concentración de calcio suficiente dentro de la célula generará la contracción.
  • 68.
    DISCOS INTERCALARES • Entrelos extremos de las células musculares cardíacas adyacentes existen uniones intercelulares especializadas: los discos intercalares (uniones interdigitadas con tres tipos de contacto: fascia adherens, desmosomas y uniones de hendidura). • Son punto de anclaje de las miofibrillas y permiten la propagación muy rápida del estímulo contráctil de una célula a otra. • Así, las células adyacentes se contraen de manera casi simultánea, actuando como un sincitio funcional.
  • 69.
    • Existe tambiénun sistema de células musculares cardíacas modificadas (células de Purkinje) que constituyen las regiones marcapasos del corazón y se ramifican por todo el órgano en la red de Purkinje, coordinando la contracción en conjunto del miocardio en cada ciclo cardíaco.