INTRODUCCIÓN LA SANGRE LOS VASOS SANGUÍNEOS EL CORAZON LA LINFA Y EL SISTEMA LINFÁTICO ENFERMEDADES QUE AFECTAN AL APARATO CIRCULATORIO LA NUTRICIÓN (APARATO CIRCULATORIO)
NUTRICIÓN CELULAR Y MEDIO INTERNO PLASMA INTERSTICIAL (MEDIO INTERNO) : medio líquido que se encuentra en los espacios entre las células. Su contenido se renueva gracias a la sangre. APARATO CIRCULATORIO = VASOS SANGUINEOS  +  SANGRE +  CORAZON
LA SANGRE Y SUS FUNCIONES
SANGRE LÍQUIDO VISCOSO DE SABOR SALADO VOLUMEN 5,5L PESO 8% PLASMA  SANGUÍNEO COMPONENTES CELULARES
PLASMA SANGUINEO
El  plasma sanguíneo  es la porción líquida de la sangre en la que están inmersos los elementos que la forman.  Es  salado  y de  color amarillento  Además de transportar las células de la sangre, también lleva los alimentos y las sustancias de desecho recogidas de las células.  Esta compuesto principalmente por  agua , en aproximadamente un 90%. El 10% restante lo forman  sales minerales, proteínas  (albúminas, globulinas y fibrinógeno),  lípidos  y  glucosa .
 
Entre las sustancias de importancia que transporta el plasma están las siguientes:  - La Albúmina : Es una proteína que ayuda a mantener el agua del plasma en una proporción equilibrada.  - Las Globulinas : Son los anticuerpos encargados de la defensa de nuestro organismo frente a las infecciones. Su disminución acarreará una bajada de defensas.  - Factores de Coagulación : Son imprescindibles para evitar las hemorragias. La ausencia de algún factor de coagulación puede ocasionar trastornos hemorrágicos ya que se dificulta la formación del coágulo.
Si pones en un tubo de ensayo un poco de sangre, después de 10 o 15 minutos se espesa hasta formar una masa pastosa y homogénea, el  coágulo . Posteriormente, el coágulo se contrae y se separa de un líquido amarillento y transparente, el  suero sanguíneo . El  suero  se diferencia del  plasma  en que no contiene  fibrinógeno . Esta es una proteína del plasma que, durante el proceso de coagulación, se transforma en fibrina gracias a la acción conjunta de la protrombina, una sustancia fabricada en el hígado, y de la tromboplastina, presente en las plaquetas. El coágulo es, por tanto, una red de fibrina en la cual quedan aprisionados los glóbulos de la sangre y que actúa a modo de tapón en las heridas.
 
COMPONENTES CELULARES
 
 
 
GLOBULOS ROJOS
 
GLOBULOS BLANCOS
GLOBULOS BLANCOS Granulocitos: presenta gránulos en su citoplasma, con núcleo redondeado y lobulado (generalmente en tres segmentos)  NEUTRÓFILO EOSINOFILO BASÓFILOS Sus nombres derivan de las características coloraciones que adoptan por la sustancia que se utiliza para colorear los orgánulos de la célula; por ejemplo, el granulocito más abundante es el neutrófilo, cuyos orgánulos se colorean con  tintes neutros  o casi no adquieren el colorante. Los eosinófilos muestran una importante  coloración rojiza  (eosinofilia) mientras que los basófilos muestran afinidad por colorantes básicos adquiriendo una  coloración azulina .
GLOBULOS BLANCOS Agranulocitos: No presenta gránulos en su citoplasma MONOCITO (MACRÓFAGO) LINFOCITO
NÚCLEO GRANOS NEUTROFILO Su núcleo está segmentado en 3 a 5 lóbulos  Numerosos granos  EOSINOFILO Su núcleo está segmentado en  2  lóbulos Numerosos  granos nunca se disponen por encima del núcleo  BASOFILO Su núcleo está segmentado en 2 a 3 lóbulos  Numerosos  granos que se disponen encima del núcleo  MONOCITO El núcleo, situado en posición central, es voluminoso y adopta formas abigarradas en herradura o doblado  Sin granos LINFOCITO Núcleo redondo  ocupa casi todo el citoplasma Sin granos
neutrófilo
Neutrófilo en un frotis sanguíneo, rodeado de glóbulos rojos
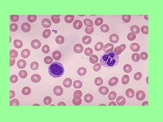
a: Glóbulos Rojos b: Glóbulo blanco: Neutrófilo c: Glóbulo blanco: Eosinófilo d: Glóbulo blanco: Linfocito
 
Linfocito. Tomado de un microscopio electrónico
PLAQUETAS
 
 
FUNCIONES DE LA SANGRE
Transporta nutrientes y oxígeno hasta las células. Recoge los productos de desecho formados en el metabolismo celular ( CO 2 , ácido úrico, urea). Interviene en la defensa del  organismo frente a las infecciones. Transporta hormonas. Participa en la regulación de la temperatura corporal.
LOS VASOS SANGUÍNEOS
Los vasos sanguíneos forman una red de tubos que parten del corazón, se ramifican para alcanzar todos los órganos del cuerpo y regresan al corazón.  Los vasos sanguíneos se distinguen por su calibre y si salen del corazón o retornan a él.
ARTERIAS Conducen la sangre procedente del corazón. Son gruesas y elásticas ya que deben soportar la elevada presión sanguínea.  ARTERIOLAS Ramificaciones de las arterias CAPILARES Ramificaciones de las arteriolas. Rodean a todos los tejidos.  Intercambio de sustancias.  VENULAS Se originan a partir de los capilares. VENAS Se originan a partir de las vénulas. Llevan la sangre al corazón. Son más finas y menos elásticas ya que deben soportar una menor presión sanguínea.
 
 
EL CORAZÓN
El corazón se localiza en el centro de la cavidad torácica, entre los pulmones.
EL CORAZÓN ES UN ÓRGANO MUSCULOSO HUECO DEL TAMAÑO DE UN PUÑO
EL CORAZÓN SE ENCUENTRA ENCERRADO EN UN SACO DE DOBLE PARED DENOMINADO PERICARDIO
EL CORAZÓN ESTÁ FORMADO POR UN TEJIDO MUSCULAR CONTRÁCTIL DENOMINADO MIOCARDIO. SUS CONTRACCIONES PROPULSAN LA SANGRE HACIA EL CUERPO A TRAVÉS DE LAS ARTERIAS.
 
ANATOMÍA DEL CORAZÓN Cayado aórtico Válvulas  semilunares El conjunto de pequeñas arterias y venas que llevan la sangre a los tejidos del propio corazón es el SISTEMA CORONARIO
 
CIRCUITOS SANGUINEOS CIRCULACION MAYOR  O GENERAL La parte izquierda del  corazón bombea la sangre del circuito general CIRCULACION MENOR O PULMONAR La parte derecha del  corazón bombea la sangre del circuito pulmonar El corazón funciona como si se tratara de bombas independientes
LOS MOVIMIENTOS DEL CORAZON CONTRACCIÓN  VENTRÍCULOS RELAJACIÓN VENTRÍCULOS CONTRACCIÓN  AURICULAS RELAJACIÓN AURICULAS
 
FRECUENCIA CARDIACA  NÚMERO DE LATIDOS DEL CORAZON POR UNIDAD DE TIEMPO CADA LATIDO CONSTA DE UN MOVIMIENTO DE SÍSTOLE Y OTRO DE DIÁSTOLE GASTO CARDIACO VOLUMEN DE SANGRE QUE EL CORAZON IMPULSA EN UN MINUTO GASTO CARDIACO = (VOLUMEN LATIDO)  X  (FRECUENCIA CARDIACA)
EL SISTEMA LINFÁTICO
EL LIQUIDO INTERTICIAL El líquido intersticial es un filtrado del plasma proveniente de los  capilares . Su contenido es casi igual al plasma, pero difiere de él en una concentración más baja de  proteínas , debido a que éstas no logran atravesar los capilares con facilidad. El líquido intersticial consiste en un solvente acuoso que contiene  aminoácidos ,  azúcares ,  ácidos grasos ,  coenzimas ,  hormonas ,  neurotransmisores ,  sales minerales  y productos de desecho de las células. La composición de este fluido depende de los intercambios entre las células en el tejido y la sangre. Esto significa que el liquido intersticial tiene una diferente composisición en diferentes tejidos y en diferentes partes del cuerpo. La  linfa  es considerada como parte del líquido intersticial. El  sistema linfático  regresa las proteínas y el exceso de líquido intersticial a la  circulación .
La linfa está compuesta por un líquido claro pobre en  proteínas  y rico en  lípidos , parecido a la sangre, pero con la diferencia de que las únicas células que contiene son los  glóbulos blancos  que, o migran de los  capilares  o proceden de los  ganglios linfáticos , sin contener  hematíes . La linfa es más abundante que la  sangre   Las tres funciones que realiza la linfa son: 1.Recoger y devolver el líquido intersticial al sistema circulatorio. 2.Defender el cuerpo contra los organismos patógenos (ganglios) 3.Absorber parte de los nutrientes del aparato digestivo (lípidos) y posteriormente transportarlos al sistema circulatorio.
VASOS LINFÁTICOS   Son tubos cerrados por un extremos, con numerosas válvulas que impiden el retroceso de la linfa  GÁNGLIOS LINFÁTICOS   Se intercalan en el trayecto de la linfa COLECTORES TERMINALES   T0dos los vasos linfáticos convergen en  dos puntos donde la linfa retorna al sistema venoso. Son el CONDUCTO TORÁCICO y el CONDUCTO LINFÁTICO DERECHO VENAS SANGUÍNEAS CONDUCTO LINFÁTICO DERECHO CONDUCTO TORÁCICO
 
LAS ENFERMEDADES MÁS FRECUENTES DEL SISTEMA CIRCULATORIO
ARTERIOSCLEROSIS Se refiere a un endurecimiento de las arterias de mediano y gran calibre. La arteriosclerosis por lo general causa estrechamiento de las arterias que puede progresar hasta la oclusión del vaso impidiendo el flujo de sangre por la arteria así afectada. Ictus o infarto cerebral Infarto de miocardio
 
ENFERMEDAD SISTEMA LINFÁTICO
FILARIASIS FILARIASIS
 
FACTORES DE RIESGO RELACIONADOS CON LAS ENFERMEDADES CARDIOVASCULARES
ALIMENTACIÓN RICA EN ALIMENTOS CON GRASAS EL ABUSO DE SAL. EL HÁBITO DE FUMAR. ENFERMEDAD COMO LA DIABETES  LA OBESIDAD.
PREVENCIÓN
Disminuir el consumo de grasas. Disminuir el consumo de sal. Evitar el consumo de tabaco. No tener sobrepeso. Hacer ejercicio con regularidad. Controlar la hipertensión.

Tema 4 2 Aparato Circulatorio

  • 1.
    INTRODUCCIÓN LA SANGRELOS VASOS SANGUÍNEOS EL CORAZON LA LINFA Y EL SISTEMA LINFÁTICO ENFERMEDADES QUE AFECTAN AL APARATO CIRCULATORIO LA NUTRICIÓN (APARATO CIRCULATORIO)
  • 2.
    NUTRICIÓN CELULAR YMEDIO INTERNO PLASMA INTERSTICIAL (MEDIO INTERNO) : medio líquido que se encuentra en los espacios entre las células. Su contenido se renueva gracias a la sangre. APARATO CIRCULATORIO = VASOS SANGUINEOS + SANGRE + CORAZON
  • 3.
    LA SANGRE YSUS FUNCIONES
  • 4.
    SANGRE LÍQUIDO VISCOSODE SABOR SALADO VOLUMEN 5,5L PESO 8% PLASMA SANGUÍNEO COMPONENTES CELULARES
  • 5.
  • 6.
    El plasmasanguíneo es la porción líquida de la sangre en la que están inmersos los elementos que la forman. Es salado y de color amarillento Además de transportar las células de la sangre, también lleva los alimentos y las sustancias de desecho recogidas de las células. Esta compuesto principalmente por agua , en aproximadamente un 90%. El 10% restante lo forman sales minerales, proteínas (albúminas, globulinas y fibrinógeno), lípidos y glucosa .
  • 7.
  • 8.
    Entre las sustanciasde importancia que transporta el plasma están las siguientes: - La Albúmina : Es una proteína que ayuda a mantener el agua del plasma en una proporción equilibrada. - Las Globulinas : Son los anticuerpos encargados de la defensa de nuestro organismo frente a las infecciones. Su disminución acarreará una bajada de defensas. - Factores de Coagulación : Son imprescindibles para evitar las hemorragias. La ausencia de algún factor de coagulación puede ocasionar trastornos hemorrágicos ya que se dificulta la formación del coágulo.
  • 9.
    Si pones enun tubo de ensayo un poco de sangre, después de 10 o 15 minutos se espesa hasta formar una masa pastosa y homogénea, el coágulo . Posteriormente, el coágulo se contrae y se separa de un líquido amarillento y transparente, el suero sanguíneo . El suero se diferencia del plasma en que no contiene fibrinógeno . Esta es una proteína del plasma que, durante el proceso de coagulación, se transforma en fibrina gracias a la acción conjunta de la protrombina, una sustancia fabricada en el hígado, y de la tromboplastina, presente en las plaquetas. El coágulo es, por tanto, una red de fibrina en la cual quedan aprisionados los glóbulos de la sangre y que actúa a modo de tapón en las heridas.
  • 10.
  • 11.
  • 12.
  • 13.
  • 14.
  • 15.
  • 16.
  • 17.
  • 18.
    GLOBULOS BLANCOS Granulocitos:presenta gránulos en su citoplasma, con núcleo redondeado y lobulado (generalmente en tres segmentos) NEUTRÓFILO EOSINOFILO BASÓFILOS Sus nombres derivan de las características coloraciones que adoptan por la sustancia que se utiliza para colorear los orgánulos de la célula; por ejemplo, el granulocito más abundante es el neutrófilo, cuyos orgánulos se colorean con tintes neutros o casi no adquieren el colorante. Los eosinófilos muestran una importante coloración rojiza (eosinofilia) mientras que los basófilos muestran afinidad por colorantes básicos adquiriendo una coloración azulina .
  • 19.
    GLOBULOS BLANCOS Agranulocitos:No presenta gránulos en su citoplasma MONOCITO (MACRÓFAGO) LINFOCITO
  • 20.
    NÚCLEO GRANOS NEUTROFILOSu núcleo está segmentado en 3 a 5 lóbulos Numerosos granos EOSINOFILO Su núcleo está segmentado en 2 lóbulos Numerosos granos nunca se disponen por encima del núcleo BASOFILO Su núcleo está segmentado en 2 a 3 lóbulos Numerosos granos que se disponen encima del núcleo MONOCITO El núcleo, situado en posición central, es voluminoso y adopta formas abigarradas en herradura o doblado Sin granos LINFOCITO Núcleo redondo ocupa casi todo el citoplasma Sin granos
  • 21.
  • 22.
    Neutrófilo en unfrotis sanguíneo, rodeado de glóbulos rojos
  • 23.
    a: Glóbulos Rojosb: Glóbulo blanco: Neutrófilo c: Glóbulo blanco: Eosinófilo d: Glóbulo blanco: Linfocito
  • 24.
  • 25.
    Linfocito. Tomado deun microscopio electrónico
  • 26.
  • 27.
  • 28.
  • 29.
  • 30.
    Transporta nutrientes yoxígeno hasta las células. Recoge los productos de desecho formados en el metabolismo celular ( CO 2 , ácido úrico, urea). Interviene en la defensa del organismo frente a las infecciones. Transporta hormonas. Participa en la regulación de la temperatura corporal.
  • 31.
  • 32.
    Los vasos sanguíneosforman una red de tubos que parten del corazón, se ramifican para alcanzar todos los órganos del cuerpo y regresan al corazón. Los vasos sanguíneos se distinguen por su calibre y si salen del corazón o retornan a él.
  • 33.
    ARTERIAS Conducen lasangre procedente del corazón. Son gruesas y elásticas ya que deben soportar la elevada presión sanguínea. ARTERIOLAS Ramificaciones de las arterias CAPILARES Ramificaciones de las arteriolas. Rodean a todos los tejidos. Intercambio de sustancias. VENULAS Se originan a partir de los capilares. VENAS Se originan a partir de las vénulas. Llevan la sangre al corazón. Son más finas y menos elásticas ya que deben soportar una menor presión sanguínea.
  • 34.
  • 35.
  • 36.
  • 37.
    El corazón selocaliza en el centro de la cavidad torácica, entre los pulmones.
  • 38.
    EL CORAZÓN ESUN ÓRGANO MUSCULOSO HUECO DEL TAMAÑO DE UN PUÑO
  • 39.
    EL CORAZÓN SEENCUENTRA ENCERRADO EN UN SACO DE DOBLE PARED DENOMINADO PERICARDIO
  • 40.
    EL CORAZÓN ESTÁFORMADO POR UN TEJIDO MUSCULAR CONTRÁCTIL DENOMINADO MIOCARDIO. SUS CONTRACCIONES PROPULSAN LA SANGRE HACIA EL CUERPO A TRAVÉS DE LAS ARTERIAS.
  • 41.
  • 42.
    ANATOMÍA DEL CORAZÓNCayado aórtico Válvulas semilunares El conjunto de pequeñas arterias y venas que llevan la sangre a los tejidos del propio corazón es el SISTEMA CORONARIO
  • 43.
  • 44.
    CIRCUITOS SANGUINEOS CIRCULACIONMAYOR O GENERAL La parte izquierda del corazón bombea la sangre del circuito general CIRCULACION MENOR O PULMONAR La parte derecha del corazón bombea la sangre del circuito pulmonar El corazón funciona como si se tratara de bombas independientes
  • 45.
    LOS MOVIMIENTOS DELCORAZON CONTRACCIÓN VENTRÍCULOS RELAJACIÓN VENTRÍCULOS CONTRACCIÓN AURICULAS RELAJACIÓN AURICULAS
  • 46.
  • 47.
    FRECUENCIA CARDIACA NÚMERO DE LATIDOS DEL CORAZON POR UNIDAD DE TIEMPO CADA LATIDO CONSTA DE UN MOVIMIENTO DE SÍSTOLE Y OTRO DE DIÁSTOLE GASTO CARDIACO VOLUMEN DE SANGRE QUE EL CORAZON IMPULSA EN UN MINUTO GASTO CARDIACO = (VOLUMEN LATIDO) X (FRECUENCIA CARDIACA)
  • 48.
  • 49.
    EL LIQUIDO INTERTICIALEl líquido intersticial es un filtrado del plasma proveniente de los capilares . Su contenido es casi igual al plasma, pero difiere de él en una concentración más baja de proteínas , debido a que éstas no logran atravesar los capilares con facilidad. El líquido intersticial consiste en un solvente acuoso que contiene aminoácidos , azúcares , ácidos grasos , coenzimas , hormonas , neurotransmisores , sales minerales y productos de desecho de las células. La composición de este fluido depende de los intercambios entre las células en el tejido y la sangre. Esto significa que el liquido intersticial tiene una diferente composisición en diferentes tejidos y en diferentes partes del cuerpo. La linfa es considerada como parte del líquido intersticial. El sistema linfático regresa las proteínas y el exceso de líquido intersticial a la circulación .
  • 50.
    La linfa estácompuesta por un líquido claro pobre en proteínas y rico en lípidos , parecido a la sangre, pero con la diferencia de que las únicas células que contiene son los glóbulos blancos que, o migran de los capilares o proceden de los ganglios linfáticos , sin contener hematíes . La linfa es más abundante que la sangre Las tres funciones que realiza la linfa son: 1.Recoger y devolver el líquido intersticial al sistema circulatorio. 2.Defender el cuerpo contra los organismos patógenos (ganglios) 3.Absorber parte de los nutrientes del aparato digestivo (lípidos) y posteriormente transportarlos al sistema circulatorio.
  • 51.
    VASOS LINFÁTICOS Son tubos cerrados por un extremos, con numerosas válvulas que impiden el retroceso de la linfa GÁNGLIOS LINFÁTICOS Se intercalan en el trayecto de la linfa COLECTORES TERMINALES T0dos los vasos linfáticos convergen en dos puntos donde la linfa retorna al sistema venoso. Son el CONDUCTO TORÁCICO y el CONDUCTO LINFÁTICO DERECHO VENAS SANGUÍNEAS CONDUCTO LINFÁTICO DERECHO CONDUCTO TORÁCICO
  • 52.
  • 53.
    LAS ENFERMEDADES MÁSFRECUENTES DEL SISTEMA CIRCULATORIO
  • 54.
    ARTERIOSCLEROSIS Se refierea un endurecimiento de las arterias de mediano y gran calibre. La arteriosclerosis por lo general causa estrechamiento de las arterias que puede progresar hasta la oclusión del vaso impidiendo el flujo de sangre por la arteria así afectada. Ictus o infarto cerebral Infarto de miocardio
  • 55.
  • 56.
  • 57.
  • 58.
  • 59.
    FACTORES DE RIESGORELACIONADOS CON LAS ENFERMEDADES CARDIOVASCULARES
  • 60.
    ALIMENTACIÓN RICA ENALIMENTOS CON GRASAS EL ABUSO DE SAL. EL HÁBITO DE FUMAR. ENFERMEDAD COMO LA DIABETES LA OBESIDAD.
  • 61.
  • 62.
    Disminuir el consumode grasas. Disminuir el consumo de sal. Evitar el consumo de tabaco. No tener sobrepeso. Hacer ejercicio con regularidad. Controlar la hipertensión.