Aparato Reproductor masculino, próstata y testículos Integrantes : Alejandro Lizama Juan Carlos Morgado Felipe Bravo Sammy Herrera Juan Tobar
Compuesto por : Dos testículos. Sistema de conductos intratesticulares y extratesticulares. Glándulas relacionadas. Aparato de copulación : Pene.
Glándulas   relacionadas . Dos vesículas seminales. Glándula próstata. Dos glándulas bulbouretrales (De Cowper)
 
Testículos Localizados en Escroto. Productor de espermatozoos  y testosterona. Durante embriogénesis, se forman retroperitonealmente al abdomen. Conforme descienden al escroto llevándose consigo parte peritoneal, esto se llama Túnica vaginal.
Cada testículo está rodeado por una cápsula de tejido conectivo  denso irregular, colagenoso, llamado túnica albugínea. Mas profundo a esta se encuentra capa de tejido conectivo laxo  muy vascularizado, llamado túnica vascular. Hacia posterior de la túnica albugínea, esta engruesa, formando así el mediastino testicular
 
 
 
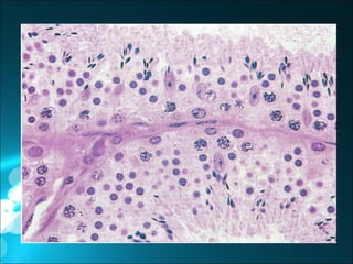
Celulas de certoli Apoyan, protegen y nutren las células espermatógenas Morfologicamente cilindricas y altas Nucleo oval, claro, localizado en la parte basal, con un nucleolo grande, situado en el centro.
Funciones : Apoyo fisico y nutricional Fagocitosis Barrera hematotesticular Sintesis y liberacion de ABP Sintesis y liberacion de hormona antimülleriana Sintesis y secrecion de inhibina Secrecion de un medio rico en fructosa Sintesis y secrecion de transferrina testicular
Células espermatógenas El proceso de espermatogénesis, por el cual la espermatogonia da lugar a los espermatozoos, se divide en tres fases : Espermatocitogénesis Meiosis Espermiogénesis
 
Procesos de maduración Espermatocitogénesis : Diferenciación de la espermatogonia con espermatocitos primarios Meiosis : División reduccional en que los espermatocitos primarios diploides reducen su complemento cromosómico y forman espermátides haploides Espermiogénesis : transformación de espermátides en espermatozoos
Diferenciación  de la espermatogonia Espermatogonias oscuras de tipo A Espermatogonias claras de tipo A Espermatogonias de tipo B
 
 
División meiotica de los espermatocitos Profase I : Leptoteno Cigoteno Paquiteno Diacinesis Metafase I Anafase I Telofase I Profase II Metafase II Anafase II Telofase II
 
Transformación de espermátides (Espermiogénesis) Fase de Golgi Fase de cubierta Fase acrosómica Fase de maduración
Fase de Golgi Formación de enzimas hidrolíticas en el R.E.R Se modifican en el A.G y la red de Golgi trans Se forman los gránulos preacrosómicos Centriólos se alejan del nucleo y forman el axonema flagelar
Fase de cubierta Vesicula acrosómica aumenta de tamaño Su membrana rodea al nucleo de forma parcial Conforme esta vesicula crece a su tamaño final : Acrosóma
Fase Acrosómica El núcleo se condensa, la célula se alarga y mitocondrias cambian de sitio Microtúbulos se ensamblan para formar : Manguito El manguito se desensambla de microtubulos, donde su sitio es ocupado por el anillo Se forma una vaina mitocondrial alrededor del axonema Nueve columnas de fibras densas externas se forman alrededor del axonema
Fase de maduración Caracterizado por la eliminacion de citoplasma Los espermatozoos sueltos se liberan a la luz del tubo seminífero : Espermiación Espermatozoos recién formados son inmoviles, sin poder fecundar a un oocito Su movilidad es gracias al epididimo
 
Estructura de los espermatozoos Cabeza del espermatozoo : Mide alrededor de 5  μ m de largo Rodeado de plasmanema Contiene 23 cromosomas Contiene ademas : neuroaminidasa, hialuronidasa, fosfata acida, aril sulfatasa y acrosina
Cola del espermatozoo : Se subdivide en : Cuello, pieza intermedia, pieza principal, pieza terminal Su cuello pieza conectora que se encuentran los centriolos Pieza intermedia se caracteriza por tener su vaina mitocondrial Pieza principal se encuentra la vaina fibrosa Pieza terminal se compone del axonema central rodeado por plasmalema
Ciclo epitelio seminífero
 
 
Histofisiología de los testículos
 
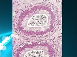
Conductos genitales Intratesticulares : Tubulos rectos Red testicular Conductillos eferentes Extratesticulares : Epidídimo Conducto deferentes (vas deferens) Conducto eyaculador
 
Síntesis de testosterona
Control hormonal de espermatogénesis
 
Glándulas genitales accesorias Vesicula seminal Próstata Glandulas bulbouretrales
 
Pene Compuesto por : Cuerpo cavernoso Cuerpo esponjoso Cuerpo cavernoso uretral Glande
 
Gracias…

Trabajo histo full

  • 1.
    Aparato Reproductor masculino,próstata y testículos Integrantes : Alejandro Lizama Juan Carlos Morgado Felipe Bravo Sammy Herrera Juan Tobar
  • 2.
    Compuesto por :Dos testículos. Sistema de conductos intratesticulares y extratesticulares. Glándulas relacionadas. Aparato de copulación : Pene.
  • 3.
    Glándulas relacionadas . Dos vesículas seminales. Glándula próstata. Dos glándulas bulbouretrales (De Cowper)
  • 4.
  • 5.
    Testículos Localizados enEscroto. Productor de espermatozoos y testosterona. Durante embriogénesis, se forman retroperitonealmente al abdomen. Conforme descienden al escroto llevándose consigo parte peritoneal, esto se llama Túnica vaginal.
  • 6.
    Cada testículo estárodeado por una cápsula de tejido conectivo denso irregular, colagenoso, llamado túnica albugínea. Mas profundo a esta se encuentra capa de tejido conectivo laxo muy vascularizado, llamado túnica vascular. Hacia posterior de la túnica albugínea, esta engruesa, formando así el mediastino testicular
  • 7.
  • 8.
  • 9.
  • 10.
    Celulas de certoliApoyan, protegen y nutren las células espermatógenas Morfologicamente cilindricas y altas Nucleo oval, claro, localizado en la parte basal, con un nucleolo grande, situado en el centro.
  • 11.
    Funciones : Apoyofisico y nutricional Fagocitosis Barrera hematotesticular Sintesis y liberacion de ABP Sintesis y liberacion de hormona antimülleriana Sintesis y secrecion de inhibina Secrecion de un medio rico en fructosa Sintesis y secrecion de transferrina testicular
  • 12.
    Células espermatógenas Elproceso de espermatogénesis, por el cual la espermatogonia da lugar a los espermatozoos, se divide en tres fases : Espermatocitogénesis Meiosis Espermiogénesis
  • 13.
  • 14.
    Procesos de maduraciónEspermatocitogénesis : Diferenciación de la espermatogonia con espermatocitos primarios Meiosis : División reduccional en que los espermatocitos primarios diploides reducen su complemento cromosómico y forman espermátides haploides Espermiogénesis : transformación de espermátides en espermatozoos
  • 15.
    Diferenciación dela espermatogonia Espermatogonias oscuras de tipo A Espermatogonias claras de tipo A Espermatogonias de tipo B
  • 16.
  • 17.
  • 18.
    División meiotica delos espermatocitos Profase I : Leptoteno Cigoteno Paquiteno Diacinesis Metafase I Anafase I Telofase I Profase II Metafase II Anafase II Telofase II
  • 19.
  • 20.
    Transformación de espermátides(Espermiogénesis) Fase de Golgi Fase de cubierta Fase acrosómica Fase de maduración
  • 21.
    Fase de GolgiFormación de enzimas hidrolíticas en el R.E.R Se modifican en el A.G y la red de Golgi trans Se forman los gránulos preacrosómicos Centriólos se alejan del nucleo y forman el axonema flagelar
  • 22.
    Fase de cubiertaVesicula acrosómica aumenta de tamaño Su membrana rodea al nucleo de forma parcial Conforme esta vesicula crece a su tamaño final : Acrosóma
  • 23.
    Fase Acrosómica Elnúcleo se condensa, la célula se alarga y mitocondrias cambian de sitio Microtúbulos se ensamblan para formar : Manguito El manguito se desensambla de microtubulos, donde su sitio es ocupado por el anillo Se forma una vaina mitocondrial alrededor del axonema Nueve columnas de fibras densas externas se forman alrededor del axonema
  • 24.
    Fase de maduraciónCaracterizado por la eliminacion de citoplasma Los espermatozoos sueltos se liberan a la luz del tubo seminífero : Espermiación Espermatozoos recién formados son inmoviles, sin poder fecundar a un oocito Su movilidad es gracias al epididimo
  • 25.
  • 26.
    Estructura de losespermatozoos Cabeza del espermatozoo : Mide alrededor de 5 μ m de largo Rodeado de plasmanema Contiene 23 cromosomas Contiene ademas : neuroaminidasa, hialuronidasa, fosfata acida, aril sulfatasa y acrosina
  • 27.
    Cola del espermatozoo: Se subdivide en : Cuello, pieza intermedia, pieza principal, pieza terminal Su cuello pieza conectora que se encuentran los centriolos Pieza intermedia se caracteriza por tener su vaina mitocondrial Pieza principal se encuentra la vaina fibrosa Pieza terminal se compone del axonema central rodeado por plasmalema
  • 28.
  • 29.
  • 30.
  • 31.
  • 32.
  • 33.
    Conductos genitales Intratesticulares: Tubulos rectos Red testicular Conductillos eferentes Extratesticulares : Epidídimo Conducto deferentes (vas deferens) Conducto eyaculador
  • 34.
  • 35.
  • 36.
    Control hormonal deespermatogénesis
  • 37.
  • 38.
    Glándulas genitales accesoriasVesicula seminal Próstata Glandulas bulbouretrales
  • 39.
  • 40.
    Pene Compuesto por: Cuerpo cavernoso Cuerpo esponjoso Cuerpo cavernoso uretral Glande
  • 41.
  • 42.