   Es un método de estudio no invasivo que ayuda a
    los médicos a diagnosticar y a trata
    enfermedades, se realiza con técnica helicoidal y
    es necesario utilizar medio de contraste


 Indicaciones
Evaluación de patología vasculares
Estenosis
Patologías inflamatoria
Tumores
  Preparación
Ayuna mínimo de 6 horas.
Información sobre antecedentes alérgicos.
Valoración previa de la función renal.
Consentimiento informado especifico del estudio
firmado por el paciente o representante.
  Fundamentos técnicos
Paciente decúbito supino, cabeza hacia el gantry
híper-extendido total, el cuello sin ninguna
rotación




Línea axial: a nivel del hueso hioides

Línea sagital: línea media del cuello

Línea coronal: estructuras adyacentes al cuello
  Escanigrama
Inicia desde la fosa posterior hasta los ápices
pulmonares.
Adquisición de cortes
Imágenes de 5mm cada 5mm y luego en recon
hasta de 0,625mm.
El Smart prep: diseñado para exámenes de tc
espiral con inyección IV y MC asegura que la
exploración se produciría cuando el órgano o
Bazo de interés presente la intensificación
optima del MC.
se utiliza la optimización del MC en angiografía
lo fijamos en callado aórtico.
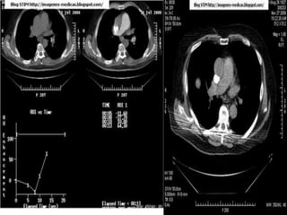
Tiempo de retardo 5 seg Smart prep.
Catéter : # 18
   Smart Prep Previo a la inyección se coloca un ROI
    en el vaso de interés por ej aorta desc. . (100-110)
    La inyección y la fase de monitoreo comienzan
    en simultáneo: se toman imágenes secuenciales
    al mismo nivel. El barrido se inicia cuando la
    densidad de la luz aórtica supera el umbral. ROI
    .o en el (callado aortico).
Roy
Su función es optimizar el contraste y obtener
la fase necesaria para la exploración
Esto depende de que se localice bien el Roy en
el sitio o parte indicada para que el equipo
Pueda medir la escala de hounsfield indica
cuando manda el estudio
 Registro fotográfico
Reconstrucción en 3D, coronal y axiales.
Angiotc de cuello
Angiotc de cuello

Angiotc de cuello

  • 2.
    Es un método de estudio no invasivo que ayuda a los médicos a diagnosticar y a trata enfermedades, se realiza con técnica helicoidal y es necesario utilizar medio de contraste  Indicaciones Evaluación de patología vasculares Estenosis Patologías inflamatoria Tumores
  • 3.
     Preparación Ayunamínimo de 6 horas. Información sobre antecedentes alérgicos. Valoración previa de la función renal. Consentimiento informado especifico del estudio firmado por el paciente o representante.
  • 4.
     Fundamentostécnicos Paciente decúbito supino, cabeza hacia el gantry híper-extendido total, el cuello sin ninguna rotación Línea axial: a nivel del hueso hioides Línea sagital: línea media del cuello Línea coronal: estructuras adyacentes al cuello
  • 5.
     Escanigrama Iniciadesde la fosa posterior hasta los ápices pulmonares. Adquisición de cortes Imágenes de 5mm cada 5mm y luego en recon hasta de 0,625mm.
  • 6.
    El Smart prep:diseñado para exámenes de tc espiral con inyección IV y MC asegura que la exploración se produciría cuando el órgano o Bazo de interés presente la intensificación optima del MC. se utiliza la optimización del MC en angiografía lo fijamos en callado aórtico. Tiempo de retardo 5 seg Smart prep. Catéter : # 18
  • 7.
    Smart Prep Previo a la inyección se coloca un ROI en el vaso de interés por ej aorta desc. . (100-110) La inyección y la fase de monitoreo comienzan en simultáneo: se toman imágenes secuenciales al mismo nivel. El barrido se inicia cuando la densidad de la luz aórtica supera el umbral. ROI .o en el (callado aortico).
  • 8.
    Roy Su función esoptimizar el contraste y obtener la fase necesaria para la exploración Esto depende de que se localice bien el Roy en el sitio o parte indicada para que el equipo Pueda medir la escala de hounsfield indica cuando manda el estudio
  • 9.