Biología I
Lectura 4
Temas principales
 La química de la vida
 La célula
 Genética y evolución
 Ecología
2. La célula
1. Tipos de células
2. Orgnelos
3. Origen de la célula
Por que las células son pequeñas?
 Son seres vivos, necesitan intercambiar sustancias
 Célula pequeña  intercambio rápido
 Distancia corta
 Superficie de la célula grande a comparación con el volúmen
Tipos de microscopios
 Microscopio óptico
 Microscopio electrónico de barrido (SEM)
 Microscopio electronico de transmisión (TEM)
SEM
SEM
TEM
.
1. Tipos de células
 Célula procariota
 Célula eucariota vegetal
 Célula eucariota animal
Célula procariota
 Los arquea y los bacterias
 No tiene nucleo
 Muy pequeñas
 Casi sin organelos:
 Pero si tiene ribosomas
Microscopio óptico
Microscopio electronico (SEM)
TEM
Célula eucariota
 Tiene nucleo
 Más grandes que las células procariotas
 Muchos más organelos
 Dos tipos de célula eucariota muy diferentes:
 Célula animal
 Célula vegetal
Célula eurariota
(vegetal)
 Tiene pared célular
 Tiene:
 vacuola,
 cloroplastos
 No tiene:
 Lisosoma
 Centriola
Célula eucariota (animal)
 No tiene
 Pared cellular
 Vacuola
 Tiene
 Lisosomas
 Centriolas
Microscopio óptica
Microscopio electrico (TEM)
2. Organelos (orgánulos)
 Con membrana o sin la membrana
 La mayoría tiene membrana
 Simple o doble
 Membranas de los organelos crean espacios separados  condiciones distintos
y proteínas especiales aislados del resto de citoplasma  Hace posible
reacciones diferentes
 Hace posible células con funciones más complejas
 Organelos de transporte:
 Facilitan el intercambio de sustancias  hace posible células mas grandes
Nucleo
 En célula eucariota
vegetal y animal
Estructura de núcleo
 Envoltura nuclear
Doble membrana!
 Poros nucleares:
 Perforan la envoltura nuclear
 Controlan el movimiento de sustancias
Estructura de nucleo
 Cromosomas
 Contruido de cromatina (ADN y proteinas)
 Información genética
 Normalmente fibras delgadas
 Nucléolo:
 Sintetiza el ARN ribosómico y produce las subunidades
de ribosomas
Funciones de núcleo
 Sintetiza ARN mensajero (mARN)
 Dirige la síntesis de proteinas
Sintetiza ARN ribosómico (rARN)
Arma los subunidades de ribósomas
rARN + proteinas (importadas desde
citoplasma)
Ribosomas
 En todas las células
(procariotas, vegetales y
animales)
 No tiene membrana
Estructura de ribosomas
 Subunidad grande
 Subunidad pequeña
 Las subunidades se unen solo cuando se fijan a una mARN
Función de ribosomas
 Síntesis de proteinas
 Ribosomas libres:
 Síntesis de proteinas con funciones en citoplasma
Ribosomas unidos:
 Pegados a la cara exterior del retículo endoplasmático
 Síntesis de proteínas que quedan dentro de reticulo
endoplasmático
Los ribosomas unidos vs libres
 Tienen la estructura igual
 Pueden alternar entre ambos puestos
Sistema de endomembranas:
1. Membrana plasmática
2. Envoltura nuclear
3. Retículo endoplasmático
4. Aparato de Golgi
5. Lisosomas
6. Vacuolas
1. Membrana plasmática
 Estructura fluida
 Doble capa lipidos (fosfolipidos
principalmente) con un
mosaico de proteínas
Membrana plasmática
 Membrana semipermeable  controla el movimiento de sustancias!
 Las sustancias pueden pasar la membrana mediante:
 Difusión
 Osmosis
 Difusión facilitada (acuaporinas ect. proteínas)
 Transporte activo (Proteínas
Transporte pasivo = no requiere energía
Transporte activo = requiere energía
Permeabilidad de la membrana
 Moleculas no polares (hidrófobas)
 Oxígeno, dioxido de carbono
 Pueden atravezar la doble capa de lípidos con facilidad
 Sustancias polares (hidrofilas)
 Ionos, glucosa
 Pueden atravezar solo muy lentamente
 Moléculas mas grandes atraviezan la membrana con mas
dificultad
Proteínas de transporte
 En transporte activo y passivo!
 Facilitan el transporte de sustancias
 Hacen mas rapido el transporte de moléculas polares e ionos =
transporte pasivo (no requiere energía)
 Transporte de sustancias contra su gradiente de concentración =
transporte activo (requiere energía)
Transporte pasivo
 No requiere energía
 Difusión:
 Movimiento de las moléculas hacia la concentración mas baja (por
movimiento térmico)
 Puede ser facilitada por proteínas de transporte (por ejemplo
acuaporinas facilitan el transporte pasivo de agua)
 Ósmosis:
 El movimiento de agua a través de una membrana selectivamente
permeable (de menor concentración de solutos hacia mayor
concentración de solutos).
Difusión facilitada
 Con la ayuda de proteínas de transporte: proteínas
transportadoras o canales proteicos
 No requiere energía = transporte pasivo
 Por ejemplo:
 Acuaporinas
 Canales iónicos
 Un estímulo puede determinar cuando estos canales se abren
Canales ionicos
 Canal iónico que se abre solo en
presencia de ligando
 Un ligando sirve como molécula de
señal:
 Liberación de moléculas de señal en un
lado de célula (o en otras células) 
molécula de señal llega a canal iónico 
señal se une al canal  canal se abre
Acuaporinas
Transporte activo
 Se necesita energía
 Transporte de sustancias contra su gradiente de
concentración con la ayuda de proteínas de transporte
 Por ejemplo la bomba de sodio y potasio
Bomba de sodio y potasio
2. Envoltura núclear
 Doble membrane
 Está conectado al retículo
endoplasmático (RE)
 Pero no hay conección directo
entre el interior del núcleo y
el interior de RE (observa el
imagen de diapositiva 45!)
Poro núclear
 Controlan el movimiento
de sustancias que entran y
salen de núcleo
3. Reticulo endoplasmático rugoso/liso
 Membranas que forman cisternas
Retículo endoplasmático rugoso:
 Modificación y transporte de
proteínas
 Superficie llena de ribosomas
Retículo endoplasmático liso:
 Superficie sin ribosomas
 Por ejemplo síntesis de lípidos
4. Aparato de Golgi (Dictiosoma)
 Modificación de ciertas
proteínas
 Centro de
transportación
 Cara cis
 Llegada de vesículas
de transporte
 Cara trans
 Salida de vesículas
5. Lisosomas
 Digestión celular
 En células animales
Funciones de lisosomas
 Fagositosis
 Autofagia
 Reciclaje de sustancias dentro de la célula
 Por ejemplo a un mitocondria dañado es digerido mediante
autofagia
 Apoptosis
 Muerte celular programado
 En desarrollo de organismos multicelulares
 Por ejemplo en desarrollo de los dedos
6. Vacuolas
 En células vegetales y en siertas células animales
 Vacuolas alimentarias
 Vacuolas contráctiles
 Vacuola central (célula vegetal)
Vacuola central
 Rodeado por una membrana selectiva
 Tonoplasto
 Jugo o savia celular
 Se forma cuando vacuolas mas pequeñas se unen
 Vacuolas derivadas de RE rugoso y aparato de Golgi
Funciones de la vacuola central
 Reserva de:
 Compuestos organicos (por ejemplo proteinas en semillas)
 Ionos inorgánicos (potasio y cloruro)
 Pigmentos (pétalos)
 Productos metabólicos daninos
 Compuestos venenosos o de mal sabor
 Crecimiento de la célula vegetal
Vacuola
Sistema de endomembranas
 Los organelos de sistema de endomembranas intercambian
sustancias (y membranas) mediante vesículas.
 Por ejemplo el camino de una proteína de secreción:
1. Proteína es sintetizado en ribosomas adheridos al superficie de retículo
endoplasmático rugoso y la proteína queda dentro del RER
2. Modificación de la proteína dentro de RER
3. Transportación de la proteína dentro de una vesícula que sale de RER y
llega al aparato de Golgi
4. Modificación de la proteína en aparato de Golgi
5. Transportación de la proteína dentro de una vesícula a la membrana
plasmática
6. Fusión de la vesícula a la membrana plasmática y liberación de la
proteína al exterior
Piensa:
¿Por qué le decimos sistema de endomembranas?
Mitocondrias
 En células animales y vegetales
 Organelos móviles
 Se reproducen dividiendose
 Sitio de respiración celular
Estructura de mitocondria
 Doble membrana
 Membrana interior tiene crestas
 Entre las membranas queda el
espacio intermembrana
 Dentro de la membrana interior
queda la matriz mitocondrial
 Pequeña cantidad de ADN
 Ribosomas
Mitocondria
Imagen de microscopio electrónico de
transmisión
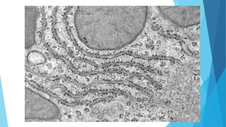
Cloroplastos
 En células vegetales
 Organelos móviles
 Se reproducen dividiendose
 Sitios de fotosíntesis
Estructura de cloroplasto
 Doble membrana
 Entre las membranas queda el espacio
intermembrana
 Dentro de la membrana interior queda
otro sistema de membranas: Tilacoides
 Sacos aplanados interconectados
 Granum
 Fuera de los tilacoides estroma
 ADN
 Ribosomas
Imagen de microscopio
electrónico de
transmisión
Otros plástidos
 Amiloplastos
 Almacenan almidón
 Cromoplastos
 Dan color rojo/tomate a las flores/frutos
 Y otros mas...
Peroxisomas
 En células animales y vegetales
 Membrana simple pero no forma
parte del sistema de
endomembranas
Funciones de peroxisomas
 Decradación de ácidos grasos a moléculas suficiente
pequeñas para usar como combustible en las mitocondrias
 Detoxificación de alcohol y otras sustancias
Citoesqueleto
 Proteínas que brindan soporte para la célula
 Pueden ser desarmados y rearmados según las necesidades
de la célula.
 En células animales y vegetales
 Un citoesqueleto muy diferente en procariotas
 Mucho tiempo se pensó que no existe
Estructura del citoesqueleto
 Microtúbulos
 Polimeros de proteína
tubulina
 Filamentos intermedios
 Diferentes proteínas de la
familia de las queratinas
 Microfilamentos
 Filamentos de proteína actina
Microtúbulos
 Polimeros de tubulina
 Tubulina es proteína globular
 α tubulina
 β tubulina
 Cilindros huecos
 Los componentes mas gruesos del citoesqueleto
Funciones de los mirotúbulos
 Mantenimiento de la forma de la célula
 Motilidad de la célula (cilios o flagelos)
 Movimiento de las cromosomas durante la división
 Movimientos de los organelos
 Con proteínas motoras (por ejemplo dineína)
Cilios
 Por ejemplo en tráquea
Flagelos
 Por ejemplo los
espermatozoides
o en ciertas
bacterias
Centrosomas y centríolos
 Centrosoma
 En célula animal y vegetal
 Centro organizador de microtúbulos
 Centríolos
 Conjunto de microtubulos
 Localizado en centrosoma
 En célula animal
 El centriolo se divide antes de la divición celular
 Colaboran en la organización de los microtúbulos
Microfilamentos
 Dos fibras de actina entrelazadas
 Forma redes tridimencionales
Funciones de los microfilamentos
 Mantenimiento de la forma de la célula
 Por ejemplo los microvilli del intestino
 Cambio en la forma de la célula
 Por ejemplo movimiento de ameba
 Contracción muscular
 Con miosina
Filamentos intermedios
 Proteínas fibrosas formando
”cables”
 Proteínas de la família de
las queratinas
 Diferentes células tienen
filamentos intermedios
construidos de diferente
proteína
Funciones de filamentos intermedios
 Mantenimiento de la forma de la célula
 Anclaje del núcleo y de otros organelos
 Mas permanentes que los microtúbulos y microfilamentos
 Hasta suelen persistir despues de la muerte de la célula (por
ejemplo queratina en las células de piel)
Origen de la célula
 Origen de la célula es origen de la vida
 Todo ser que se le considera vivo se
forma de célula/células
Origen de la célula eucariota: teoría
endosimbiotica
Ejercicio:
Escribe un ensayo informativo sobre el origen de la célula eucariota. El texto
tiene que incluir lo siguiente:
¿Qué es la teoría endosimbiotica?
¿Cómo la estructura de nucleo, retículo endoplasmático, mitocondria y
cloroplasto apoya la teoría endosimbiótica de la origen de la célula eucariota?
A parte de las respuestas a las preguntas anteriores debe demostrar:
 Pensamiento maduro y crítico
 Comprensión profundo del tema
 Uso adecuado (Normas APA) de fuentes de confianza (libros/artículos científicos)
 Buena ética científica
 El trabajo será calificado (1-10)

Biología 4

  • 1.
  • 2.
    Temas principales  Laquímica de la vida  La célula  Genética y evolución  Ecología
  • 3.
    2. La célula 1.Tipos de células 2. Orgnelos 3. Origen de la célula
  • 4.
    Por que lascélulas son pequeñas?  Son seres vivos, necesitan intercambiar sustancias  Célula pequeña  intercambio rápido  Distancia corta  Superficie de la célula grande a comparación con el volúmen
  • 5.
    Tipos de microscopios Microscopio óptico  Microscopio electrónico de barrido (SEM)  Microscopio electronico de transmisión (TEM)
  • 6.
  • 7.
  • 8.
  • 9.
  • 10.
    1. Tipos decélulas  Célula procariota  Célula eucariota vegetal  Célula eucariota animal
  • 11.
    Célula procariota  Losarquea y los bacterias  No tiene nucleo  Muy pequeñas  Casi sin organelos:  Pero si tiene ribosomas
  • 12.
  • 13.
  • 14.
  • 15.
    Célula eucariota  Tienenucleo  Más grandes que las células procariotas  Muchos más organelos  Dos tipos de célula eucariota muy diferentes:  Célula animal  Célula vegetal
  • 16.
    Célula eurariota (vegetal)  Tienepared célular  Tiene:  vacuola,  cloroplastos  No tiene:  Lisosoma  Centriola
  • 19.
    Célula eucariota (animal) No tiene  Pared cellular  Vacuola  Tiene  Lisosomas  Centriolas
  • 20.
  • 21.
  • 22.
    2. Organelos (orgánulos) Con membrana o sin la membrana  La mayoría tiene membrana  Simple o doble  Membranas de los organelos crean espacios separados  condiciones distintos y proteínas especiales aislados del resto de citoplasma  Hace posible reacciones diferentes  Hace posible células con funciones más complejas  Organelos de transporte:  Facilitan el intercambio de sustancias  hace posible células mas grandes
  • 23.
    Nucleo  En célulaeucariota vegetal y animal
  • 24.
    Estructura de núcleo Envoltura nuclear Doble membrana!  Poros nucleares:  Perforan la envoltura nuclear  Controlan el movimiento de sustancias
  • 25.
    Estructura de nucleo Cromosomas  Contruido de cromatina (ADN y proteinas)  Información genética  Normalmente fibras delgadas  Nucléolo:  Sintetiza el ARN ribosómico y produce las subunidades de ribosomas
  • 26.
    Funciones de núcleo Sintetiza ARN mensajero (mARN)  Dirige la síntesis de proteinas Sintetiza ARN ribosómico (rARN) Arma los subunidades de ribósomas rARN + proteinas (importadas desde citoplasma)
  • 27.
    Ribosomas  En todaslas células (procariotas, vegetales y animales)  No tiene membrana
  • 28.
    Estructura de ribosomas Subunidad grande  Subunidad pequeña  Las subunidades se unen solo cuando se fijan a una mARN
  • 30.
    Función de ribosomas Síntesis de proteinas  Ribosomas libres:  Síntesis de proteinas con funciones en citoplasma Ribosomas unidos:  Pegados a la cara exterior del retículo endoplasmático  Síntesis de proteínas que quedan dentro de reticulo endoplasmático
  • 31.
    Los ribosomas unidosvs libres  Tienen la estructura igual  Pueden alternar entre ambos puestos
  • 32.
    Sistema de endomembranas: 1.Membrana plasmática 2. Envoltura nuclear 3. Retículo endoplasmático 4. Aparato de Golgi 5. Lisosomas 6. Vacuolas
  • 34.
    1. Membrana plasmática Estructura fluida  Doble capa lipidos (fosfolipidos principalmente) con un mosaico de proteínas
  • 35.
    Membrana plasmática  Membranasemipermeable  controla el movimiento de sustancias!  Las sustancias pueden pasar la membrana mediante:  Difusión  Osmosis  Difusión facilitada (acuaporinas ect. proteínas)  Transporte activo (Proteínas Transporte pasivo = no requiere energía Transporte activo = requiere energía
  • 36.
    Permeabilidad de lamembrana  Moleculas no polares (hidrófobas)  Oxígeno, dioxido de carbono  Pueden atravezar la doble capa de lípidos con facilidad  Sustancias polares (hidrofilas)  Ionos, glucosa  Pueden atravezar solo muy lentamente  Moléculas mas grandes atraviezan la membrana con mas dificultad
  • 37.
    Proteínas de transporte En transporte activo y passivo!  Facilitan el transporte de sustancias  Hacen mas rapido el transporte de moléculas polares e ionos = transporte pasivo (no requiere energía)  Transporte de sustancias contra su gradiente de concentración = transporte activo (requiere energía)
  • 38.
    Transporte pasivo  Norequiere energía  Difusión:  Movimiento de las moléculas hacia la concentración mas baja (por movimiento térmico)  Puede ser facilitada por proteínas de transporte (por ejemplo acuaporinas facilitan el transporte pasivo de agua)  Ósmosis:  El movimiento de agua a través de una membrana selectivamente permeable (de menor concentración de solutos hacia mayor concentración de solutos).
  • 39.
    Difusión facilitada  Conla ayuda de proteínas de transporte: proteínas transportadoras o canales proteicos  No requiere energía = transporte pasivo  Por ejemplo:  Acuaporinas  Canales iónicos  Un estímulo puede determinar cuando estos canales se abren
  • 40.
    Canales ionicos  Canaliónico que se abre solo en presencia de ligando  Un ligando sirve como molécula de señal:  Liberación de moléculas de señal en un lado de célula (o en otras células)  molécula de señal llega a canal iónico  señal se une al canal  canal se abre
  • 41.
  • 42.
    Transporte activo  Senecesita energía  Transporte de sustancias contra su gradiente de concentración con la ayuda de proteínas de transporte  Por ejemplo la bomba de sodio y potasio
  • 43.
    Bomba de sodioy potasio
  • 44.
    2. Envoltura núclear Doble membrane  Está conectado al retículo endoplasmático (RE)  Pero no hay conección directo entre el interior del núcleo y el interior de RE (observa el imagen de diapositiva 45!)
  • 45.
    Poro núclear  Controlanel movimiento de sustancias que entran y salen de núcleo
  • 46.
    3. Reticulo endoplasmáticorugoso/liso  Membranas que forman cisternas Retículo endoplasmático rugoso:  Modificación y transporte de proteínas  Superficie llena de ribosomas Retículo endoplasmático liso:  Superficie sin ribosomas  Por ejemplo síntesis de lípidos
  • 48.
    4. Aparato deGolgi (Dictiosoma)  Modificación de ciertas proteínas  Centro de transportación  Cara cis  Llegada de vesículas de transporte  Cara trans  Salida de vesículas
  • 49.
    5. Lisosomas  Digestióncelular  En células animales
  • 50.
    Funciones de lisosomas Fagositosis  Autofagia  Reciclaje de sustancias dentro de la célula  Por ejemplo a un mitocondria dañado es digerido mediante autofagia  Apoptosis  Muerte celular programado  En desarrollo de organismos multicelulares  Por ejemplo en desarrollo de los dedos
  • 51.
    6. Vacuolas  Encélulas vegetales y en siertas células animales  Vacuolas alimentarias  Vacuolas contráctiles  Vacuola central (célula vegetal)
  • 52.
    Vacuola central  Rodeadopor una membrana selectiva  Tonoplasto  Jugo o savia celular  Se forma cuando vacuolas mas pequeñas se unen  Vacuolas derivadas de RE rugoso y aparato de Golgi
  • 53.
    Funciones de lavacuola central  Reserva de:  Compuestos organicos (por ejemplo proteinas en semillas)  Ionos inorgánicos (potasio y cloruro)  Pigmentos (pétalos)  Productos metabólicos daninos  Compuestos venenosos o de mal sabor  Crecimiento de la célula vegetal
  • 54.
  • 55.
    Sistema de endomembranas Los organelos de sistema de endomembranas intercambian sustancias (y membranas) mediante vesículas.  Por ejemplo el camino de una proteína de secreción: 1. Proteína es sintetizado en ribosomas adheridos al superficie de retículo endoplasmático rugoso y la proteína queda dentro del RER 2. Modificación de la proteína dentro de RER 3. Transportación de la proteína dentro de una vesícula que sale de RER y llega al aparato de Golgi 4. Modificación de la proteína en aparato de Golgi 5. Transportación de la proteína dentro de una vesícula a la membrana plasmática 6. Fusión de la vesícula a la membrana plasmática y liberación de la proteína al exterior
  • 57.
    Piensa: ¿Por qué ledecimos sistema de endomembranas?
  • 58.
    Mitocondrias  En célulasanimales y vegetales  Organelos móviles  Se reproducen dividiendose  Sitio de respiración celular
  • 59.
    Estructura de mitocondria Doble membrana  Membrana interior tiene crestas  Entre las membranas queda el espacio intermembrana  Dentro de la membrana interior queda la matriz mitocondrial  Pequeña cantidad de ADN  Ribosomas
  • 60.
    Mitocondria Imagen de microscopioelectrónico de transmisión
  • 61.
    Cloroplastos  En célulasvegetales  Organelos móviles  Se reproducen dividiendose  Sitios de fotosíntesis
  • 62.
    Estructura de cloroplasto Doble membrana  Entre las membranas queda el espacio intermembrana  Dentro de la membrana interior queda otro sistema de membranas: Tilacoides  Sacos aplanados interconectados  Granum  Fuera de los tilacoides estroma  ADN  Ribosomas
  • 63.
  • 64.
    Otros plástidos  Amiloplastos Almacenan almidón  Cromoplastos  Dan color rojo/tomate a las flores/frutos  Y otros mas...
  • 65.
    Peroxisomas  En célulasanimales y vegetales  Membrana simple pero no forma parte del sistema de endomembranas
  • 66.
    Funciones de peroxisomas Decradación de ácidos grasos a moléculas suficiente pequeñas para usar como combustible en las mitocondrias  Detoxificación de alcohol y otras sustancias
  • 67.
    Citoesqueleto  Proteínas quebrindan soporte para la célula  Pueden ser desarmados y rearmados según las necesidades de la célula.  En células animales y vegetales  Un citoesqueleto muy diferente en procariotas  Mucho tiempo se pensó que no existe
  • 68.
    Estructura del citoesqueleto Microtúbulos  Polimeros de proteína tubulina  Filamentos intermedios  Diferentes proteínas de la familia de las queratinas  Microfilamentos  Filamentos de proteína actina
  • 69.
    Microtúbulos  Polimeros detubulina  Tubulina es proteína globular  α tubulina  β tubulina  Cilindros huecos  Los componentes mas gruesos del citoesqueleto
  • 70.
    Funciones de losmirotúbulos  Mantenimiento de la forma de la célula  Motilidad de la célula (cilios o flagelos)  Movimiento de las cromosomas durante la división  Movimientos de los organelos  Con proteínas motoras (por ejemplo dineína)
  • 71.
  • 72.
    Flagelos  Por ejemplolos espermatozoides o en ciertas bacterias
  • 73.
    Centrosomas y centríolos Centrosoma  En célula animal y vegetal  Centro organizador de microtúbulos  Centríolos  Conjunto de microtubulos  Localizado en centrosoma  En célula animal  El centriolo se divide antes de la divición celular  Colaboran en la organización de los microtúbulos
  • 74.
    Microfilamentos  Dos fibrasde actina entrelazadas  Forma redes tridimencionales
  • 75.
    Funciones de losmicrofilamentos  Mantenimiento de la forma de la célula  Por ejemplo los microvilli del intestino  Cambio en la forma de la célula  Por ejemplo movimiento de ameba  Contracción muscular  Con miosina
  • 77.
    Filamentos intermedios  Proteínasfibrosas formando ”cables”  Proteínas de la família de las queratinas  Diferentes células tienen filamentos intermedios construidos de diferente proteína
  • 78.
    Funciones de filamentosintermedios  Mantenimiento de la forma de la célula  Anclaje del núcleo y de otros organelos  Mas permanentes que los microtúbulos y microfilamentos  Hasta suelen persistir despues de la muerte de la célula (por ejemplo queratina en las células de piel)
  • 79.
    Origen de lacélula  Origen de la célula es origen de la vida  Todo ser que se le considera vivo se forma de célula/células
  • 80.
    Origen de lacélula eucariota: teoría endosimbiotica
  • 81.
    Ejercicio: Escribe un ensayoinformativo sobre el origen de la célula eucariota. El texto tiene que incluir lo siguiente: ¿Qué es la teoría endosimbiotica? ¿Cómo la estructura de nucleo, retículo endoplasmático, mitocondria y cloroplasto apoya la teoría endosimbiótica de la origen de la célula eucariota? A parte de las respuestas a las preguntas anteriores debe demostrar:  Pensamiento maduro y crítico  Comprensión profundo del tema  Uso adecuado (Normas APA) de fuentes de confianza (libros/artículos científicos)  Buena ética científica  El trabajo será calificado (1-10)