R1 Neumologia Carlos I. Gonzalez Andrade
Modulo Neumologia
BRONQUIECTASIAS
• CONCEPTO. Son dilataciones anormales e irreversibles de los
bronquios proximales de mediano calibre (mayores de 2 mm de diámetro)
debidas a la destrucción de los componentes elástico y muscular de la pared,
relacionada a inflamación.
• En el pasado, eran a menudo consecuencia del sarampión y la tos ferina, pero
en la actualidad, los principales causantes son los adenovirus y el virus de la
gripe.
• La incidencia ha disminuido en los ulimos anos debido a las campanas de
vacunacion y tratamiento pecoz de infecciones respiratorias.
• La prevalencia es desconocida.
• Las bronquiectasias son el resultado común y final de un importante número de
diferentes enfermedades. No siempre conseguimos determinar su causa
(idiopáticas 50% de los casos).
• Anatomía patológica.
- La inflamación de las paredes bronquiales conduce a la destrucción de los
componentes elástico y muscular, que son reemplazados por tejido fibroso.
- El tejido pulmonar circundante ejerce una tracción que ocasiona la distensión
bronquial crónica, provocando una contracción del tejido muscular que los
rodea, que se hipertrofia e hiperplasia.
- Conduce a un deterioro del aclaramiento mucociliar. Además, la inflamación
causa una hipervascularización de la pared bronquial por lo tanto anastomosis
entre arterias bronquiales y pulmonares.
• La clasificación anatómica más
o
utilizada es la de Reid:
Bronquiectasias cilindricas
fusiformes:
La dilatación es uniforme hasta que la
luz adquiere el calibre normal de forma
brusca y transversal, como
consecuencia
secreciones
del taponamiento por
de los bronquiolos y
bronquios de menor tamaño.
Bronquiectasias varicosas:
La dilatación es irregular, como un
rosario.
Bronquiectasias saculares o quísticas:
La dilatación se acentúa distalmente, terminando en un fondo
• PATOGENIA.
• La teoría más aceptada es la de la inflamación que sigue a la colonización
bacteriana.
• Los microorganismos producen sustancias, como proteasas y otras toxinas, que
ocasionan una lesión tisular que altera el aclaramiento mucociliar con la
consiguiente retención de secreciones y colonización bacteriana secundaria.
• La infección persistente causa una inflamación crónica con migración de
neutrófilos que liberan enzimas proteolíticas, como la elastasa y citocinas.
• Se produce así un círculo vicioso,
• Etiología.
• Bronquiectasias localizadas.
• Infecciones.
Virus: adenovirus, influenza, sarampión y rubéola.
Bacterias: Estafilococos, Klebsiella y gérmenes anaerobios.
Tuberculosis también es una causa frecuente de bronquiectasias, en este caso,
de predominio en lóbulos superiores.
• Obstrucción endobronquial.
Adultos: Carcinoma pulmonar
Niños: la causa más frecuente es la aspiración de cuerpos extraños.
Compresión bronquial extrínseca por adenopatías
se han asociado al síndrome de Pulmón
• Las bronquiectasias también
hipertransparente, Swyer-James o síndrome de McLeod, que
se
caracteriza por hiperclaridad unipulmonar, hipovascularización y atrapamiento
aéreo debido a una bronquiolitis obliterante secundaria a un proceso
infeccioso durante los primeros 8 años de vida.
• Otras causas de bronquiectasias localizadas.
Secuestro pulmonar,
Atelectasias posoperatorias.
• Bronquiectasias difusas.
• De origen pulmonar.
Sustancias tóxicas (amoníaco, la aspiración de contenido gástrico o la heroína
(incluso por vía intravenosa).
Infecciones bacterianas necrosantes
La asociación de asma y bronquiectasias es conocida
• De origen extrapulmonar.
-Aspergilosis broncopulmonar alérgica (ABPA). Se debe pensar en ella si
aparecen bronquiectasias centrales en un asmático refractario al tratamiento.
- Inmunodeficiencias congénitas o adquiridas: Las más comúnmente
asociadas son la inmunodeficiencia variable común, el déficit selectivo de
subclases de IgG y la panhipogammaglobulinemia.
- Infección por V I H: Multifactorial
- La fibrosis quística: enfermedad hereditaria más frecuente y letal en la raza
caucásica, en la que las vías aéreas pueden estar colonizadas de forma
persistente por P. aeruginosa mucoide, S. aureus, H. influenzae y E. coli. La
colonización por Burkholderia cepacia implica mal pronóstico.
-Discinesia ciliar primaria. Agrupa una serie de entidades en las que se produce
una alteración en la estructura y función de los cilios, por lo que se altera la
eliminación bacteriana. Los pacientes suelen tener sinusitis, bronquiectasias e
incluso otitis. Los varones suelen ser estériles. La mitad de los pacientes
presentan situs inversus, denominándose síndrome de Kartagener.
- El síndrome de Young: infecciones sinopulmonares recurrentes, pero sin
alteraciones en la estructura ciliar ni en el test del sudor. Los varones son
estériles debido a azoospermia obstructiva con espermatogénesis normal.
- El déficit de alfa1-antitripsina: se asocia con bronquiectasias, aunque no está
aclarado su origen.
- Síndrome de uñas amarillas: (uñas amarillas, linfedema, derrame pleural y
bronquiectasias).
- Defectos del cartílago (síndrome de Williams-Campbell y síndrome de Mounier-
Kühn o traqueobroncomegalia).
• Bronquiectasias por enfermedades congénitas
- Síndrome de Williams-Campbell (ausencia o défi cit de cartílago bronquial)
- La traqueobroncomegalia congénita o síndrome de Mounier-Kuhn (atrofia de
los componentes elásticos y musculares de la pared bronquial)
- El síndrome de Marfan
- Síndrome de Ehlers-Danlos
- Secuestro pulmonar intralobular
- Todas estas enfermedades originan retención de secreciones bronquiales,
facilitando la colonización bronquial y las infecciones de repetición.
- Las bronquiectasias de causa no conocida, también mal llamadas
idiopáticas, representan el 20% a 50% de los casos, según las series de la
literatura.
CUADRO CLINICO.
• La característica clínica por excelencia es la tos productiva crónica o la
broncorrea purulenta.
• Algunos pacientes expectoran más de 200 ml/día (la secreción bronquial normal
es < 100 ml/día).
• La tos es intermitente durante todo el día y empeora al levantarse por la
mañana. A veces, la tos no es productiva, generalmente por bronquiectasias
“secas” en lóbulos superiores.
• La hemoptisis, que suele ser leve por aparece en más del 50% de los pacientes
y predomina en los que tienen bronquiectasias "secas“ (sin tos productiva).
• Las complicaciones más frecuentes son la neumonía recurrente, empiema,
neumotorax y absceso de pulmón.
• Si la enfermedad produce hipoxemia severa puede provocar Cor-pulmonale
Exploración física
• Suele mostrar estertores crepitantes de predominio inspiratorio en las zonas
afectas, y roncus y sibilancias cuando existe obstrucción al flujo aéreo.
• La presencia de acropaquias acompaña a las bronquiectasias difusas e indica un
trastorno importante de ventilación/perfusion.
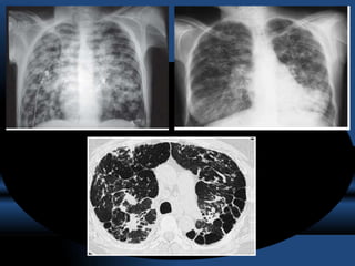
• DIAGNÓSTICO
- Las bronquiectasias deben ser sospechadas en los pacientes con tos y
persistentes, infecciones respiratorias recurrentes, hemoptisis
infiltrados pulmonares crónicos o una radiografía de tórax
expectoración
recidivantes,
sugestiva.
- El diagnóstico se confirma mediante la tomografía computarizada de alta
resolución (TACAR) torácica, que es la exploración con mayor sensibilidad
(96%) y especificidad (93%) en la detección de bronquiectasias y en la
valoración de su evolución.
RADIOGRAFIA.
• La sensibilidad de la radiografía de tórax varia de un 45 a un 70% en relación
al diagnóstico de las bronquiectasias.
• Las bronquiectasias producen engrosamiento de la pared bronquial originando
el signo “ en raíles de tren” (tram lines).
• Acúmulo de secreciones a nivel bronquial ,“signos del dedo de guante”
• Imágenes quísticas, a veces incluso con nivel hidroaéreo y opacidades
anulares.
• El apelotonamiento de bronquiectasias quísticas en una zona pueden dar una
imagen similar a la del pulmón en panal.
• Atelectasias por obstrucción por tapones mucosos
TOMOGRAFIA COMPUTARIZADA DE ALTA RESOLUCION
= GOLD STANDARD
- El pronóstico de las bronquiectasias depende de la enfermedad subyacente, de
la extensión de las lesiones y de la repercusión en la función respiratoria.
- La infección bronquial crónica por Pseudomonas, las exarcebaciones agudas
graves y la inflamación sistémica favorecen la evolución de la enfermedad y el
declive de la función pulmonar.
- La presencia de una insuficiencia respiratoria crónica, una hipertensión pulmonar
y un cor pulmonale son factores de mal pronóstico.
- La administración de antibióticos y los tratamientos sustitutivos, en los casos en
que esto sea posible, pueden retrasar la progresión de la enfermedad y mejorar
la supervivencia
TRATAMIENTO.
• Se basa en 3 pilares.
1) Eliminar la obstrucción bronquial.
2)Mejorar la eliminación de las secreciones, que se consigue con una
adecuada hidratación, con fisioterapia respiratoria y drenaje postural
mantenidos.
3)Controlar las infecciones con el uso de antibióticos en las
agudizaciones durante 10-15 días.
• Además, se establece un tratamiento específico para la etiologia de las
bronquiectasias.
• Antibióticos
- El objetivo del tratamiento antibiótico es tratar la agudización y la infección
bronquial.
- Se recomienda elegir antibióticos con alto grado de penetración en las
secreciones respiratorias y utilizar dosis elevadas.
• Tratamiento de la agudización:
- El tratamiento inicial es empírico y debe modificarse en función de los resultados
del cultivo de esputo.
- Si existe una colonización o una infección bronquial previa conocida, el
antibiótico ha de administrarse de acuerdo a los microorganismos previamente
aislados en espera del cultivo.
- Debe tenerse en cuenta el riesgo de colonización por P. aeruginosa
- El tratamiento debe administrarse hasta que el esputo deje de ser purulento,
con un mínimo de 10 días, excepto en el caso de aislamiento de Pseudomonas
que debe prolongarse de 14 a 21 días.
- En las agudizaciones moderadas o graves por Pseudomonas se aconseja la
utilización de dos antibióticos por vía intravenosa (un aminoglucósido y un
beta-lactámico).
• Tratamiento de la infección bronquial crónica:
- Se basa en la administración prolongada de un antibiótico para romper el
círculo vicioso infección-inflamación.
- El objetivo es reducir la carga bacteriana y la respuesta inflamatoria, y con ello
el volumen y la purulencia del esputo, el número y la gravedad de las
agudizaciones y el deterioro de la función pulmonar.
- La elección del antibiótico depende del microorganismo causante de la infección
y de su antibiograma.
- La pauta y el tiempo de administración dependen del control de la infección, que
se monitoriza a través del esputo, que debe ser lo más mucoso posible, y la
disminución de las agudizaciones.
- La vía de administración puede ser la oral o la inhalatoria.
- La vía inhalatoria se recomienda en los casos en los que no haya una respuesta
clínica, cuando hay efectos secundarios con el antibiótico oral, en la infección
por Pseudomonas o en la infección por microorganismos resistentes a los
antibióticos por vía oral.
• Rehabilitación respiratoria:
- El objetivo es facilitar la eliminación de las secreciones y mejorar la calidad de
vida de los pacientes.
- Es aconsejable realizar de una a tres sesiones de 15 a 30 minutos al día.
• Mucolíticos:
- La fluidificación de las secreciones puede facilitarse mediante la hidratación
adecuada del paciente o nebulizando suero salino hipertónico.
- Mucolíticos como la desoxirribonucleasa (DNasa) sólo están indicados en
algunos pacientes con fibrosis quística.
hay manifestaciones clínicas de hiperreactividad
• Broncodilatadores:
- Están indicados cuando
bronquial.
• Antiinflamatorios:
- Los macrólidos tienen una probable acción moduladora de la respuesta
inflamatoria y capacidad de interferir en la formación de biopelículas, un
mecanismo de defensa de las bacterias que causa infección bronquial crónica.
- Se recomienda la azitromicina oral durante 3 días por semana en los pacientes
con una infección bronquial crónica por Pseudomonas o por otros
microorganismos de difícil control clínico a pesar de seguir un tratamiento
adecuado.
- Los corticoesteroides inhalados están indicados en los pacientes con
manifestaciones clínicas de hiperreactividad bronquial. También pueden ser
eficaces en los enfermos con mayor volumen de esputo, aunque no están
recomendados de forma rutinaria si no se objetiva un beneficio individual
claro.
• Vacunas:
- Es aconsejable la vacunación antigripal y la antineumocócica en todos los casos.
• Cirugía:
- Está indicada en casos muy concretos, como son la extirpación de un tumor o la
extracción de un cuerpo extraño.
- T
ambién en las bronquiectasias localizadas con infecciones recurrentes
frecuentes que no responden al tratamiento médico
- Asímismo, si hay áreas de bronquiectasias responsables de hemoptisis graves,
o zonas de bronquiectasias sospechosas de albergar microorganismos
resistentes, como Mycobacterium avium o M. tuberculosis multirresistente.
- En caso de gran afectación y destrucción pulmonar, puede recurrirse al
trasplante
- Cuando el FEV1 es menor del 30% o hay una pérdida rápida de la función
pulmonar en pacientes con una afectación grave (insuficiencia respiratoria
crónica, hipercapnia, hipertensión pulmonar y agudizaciones o complicaciones
graves frecuentes).
HEALTHY LUNGS ARE THE PRETTIEST ONES
1.Baker AF. Clinical manifestations a 1. nd diagnosis of bronchiectasis. www.uptodate.com. 2007.
2. Baker AF. Treatment of bronchiectasis. www.uptodate.com. 2007.
3.Bradley JM, Moran FM, Elborn JS. Evidence for physical therapies (airway clearence and physical
training) in cystic
fi brosis: an overview of fi ve Cochrane systematic reviews. Respir Med 2006;100:191-201.
4.Chang AB, Bilton D. Exacerbations in cystic fibrosis: non-cystic fibrosis bronchiectasis. Thorax
2008;63:269-76.
5.De Gracia J, Máiz L, Prados C, Vendrell M, Baranda F, Escribano A et al. Antibióticos nebulizados en
pacientes con fi brosis quística. Med Clin (Barc) 2001;117:233-7.
6.Evans DJ, Bara AI, Greenstone M. Prolonged antibiotics for purulent bronchiectasis in children and
adults. Cochrane Database Syst Rev 2:CD001392,2007.
7.Olveira G, Padilla A, Olveira C. Soporte nutricional en el paciente con patología pulmonar,
enfermedad pulmonar
obstructiva crónica y fi brosis quística. En: Bellido D, De Luis D, eds. Manual de metabolismo y
nutrición. Madrid: Díaz de Santos SA. 2006;455-70.
8.Vendrell M, De Gracia J, Olveira C, Mártinez MA, Girón R, Máiz L et al. Diagnóstico y tratamiento de
las bronquiectasias. Arch Bronconeumol 2008:44:629-40.

bronquiectasias-141211215307-conversion-gate01.pptx

  • 1.
    R1 Neumologia CarlosI. Gonzalez Andrade Modulo Neumologia BRONQUIECTASIAS
  • 2.
    • CONCEPTO. Sondilataciones anormales e irreversibles de los bronquios proximales de mediano calibre (mayores de 2 mm de diámetro) debidas a la destrucción de los componentes elástico y muscular de la pared, relacionada a inflamación. • En el pasado, eran a menudo consecuencia del sarampión y la tos ferina, pero en la actualidad, los principales causantes son los adenovirus y el virus de la gripe. • La incidencia ha disminuido en los ulimos anos debido a las campanas de vacunacion y tratamiento pecoz de infecciones respiratorias. • La prevalencia es desconocida.
  • 4.
    • Las bronquiectasiasson el resultado común y final de un importante número de diferentes enfermedades. No siempre conseguimos determinar su causa (idiopáticas 50% de los casos). • Anatomía patológica. - La inflamación de las paredes bronquiales conduce a la destrucción de los componentes elástico y muscular, que son reemplazados por tejido fibroso. - El tejido pulmonar circundante ejerce una tracción que ocasiona la distensión bronquial crónica, provocando una contracción del tejido muscular que los rodea, que se hipertrofia e hiperplasia. - Conduce a un deterioro del aclaramiento mucociliar. Además, la inflamación causa una hipervascularización de la pared bronquial por lo tanto anastomosis entre arterias bronquiales y pulmonares.
  • 5.
    • La clasificaciónanatómica más o utilizada es la de Reid: Bronquiectasias cilindricas fusiformes: La dilatación es uniforme hasta que la luz adquiere el calibre normal de forma brusca y transversal, como consecuencia secreciones del taponamiento por de los bronquiolos y bronquios de menor tamaño. Bronquiectasias varicosas: La dilatación es irregular, como un rosario. Bronquiectasias saculares o quísticas: La dilatación se acentúa distalmente, terminando en un fondo
  • 6.
    • PATOGENIA. • Lateoría más aceptada es la de la inflamación que sigue a la colonización bacteriana. • Los microorganismos producen sustancias, como proteasas y otras toxinas, que ocasionan una lesión tisular que altera el aclaramiento mucociliar con la consiguiente retención de secreciones y colonización bacteriana secundaria. • La infección persistente causa una inflamación crónica con migración de neutrófilos que liberan enzimas proteolíticas, como la elastasa y citocinas. • Se produce así un círculo vicioso,
  • 7.
    • Etiología. • Bronquiectasiaslocalizadas. • Infecciones. Virus: adenovirus, influenza, sarampión y rubéola. Bacterias: Estafilococos, Klebsiella y gérmenes anaerobios. Tuberculosis también es una causa frecuente de bronquiectasias, en este caso, de predominio en lóbulos superiores. • Obstrucción endobronquial. Adultos: Carcinoma pulmonar Niños: la causa más frecuente es la aspiración de cuerpos extraños. Compresión bronquial extrínseca por adenopatías
  • 9.
    se han asociadoal síndrome de Pulmón • Las bronquiectasias también hipertransparente, Swyer-James o síndrome de McLeod, que se caracteriza por hiperclaridad unipulmonar, hipovascularización y atrapamiento aéreo debido a una bronquiolitis obliterante secundaria a un proceso infeccioso durante los primeros 8 años de vida.
  • 10.
    • Otras causasde bronquiectasias localizadas. Secuestro pulmonar, Atelectasias posoperatorias. • Bronquiectasias difusas. • De origen pulmonar. Sustancias tóxicas (amoníaco, la aspiración de contenido gástrico o la heroína (incluso por vía intravenosa). Infecciones bacterianas necrosantes La asociación de asma y bronquiectasias es conocida
  • 11.
    • De origenextrapulmonar. -Aspergilosis broncopulmonar alérgica (ABPA). Se debe pensar en ella si aparecen bronquiectasias centrales en un asmático refractario al tratamiento. - Inmunodeficiencias congénitas o adquiridas: Las más comúnmente asociadas son la inmunodeficiencia variable común, el déficit selectivo de subclases de IgG y la panhipogammaglobulinemia. - Infección por V I H: Multifactorial - La fibrosis quística: enfermedad hereditaria más frecuente y letal en la raza caucásica, en la que las vías aéreas pueden estar colonizadas de forma persistente por P. aeruginosa mucoide, S. aureus, H. influenzae y E. coli. La colonización por Burkholderia cepacia implica mal pronóstico. -Discinesia ciliar primaria. Agrupa una serie de entidades en las que se produce una alteración en la estructura y función de los cilios, por lo que se altera la eliminación bacteriana. Los pacientes suelen tener sinusitis, bronquiectasias e incluso otitis. Los varones suelen ser estériles. La mitad de los pacientes presentan situs inversus, denominándose síndrome de Kartagener.
  • 12.
    - El síndromede Young: infecciones sinopulmonares recurrentes, pero sin alteraciones en la estructura ciliar ni en el test del sudor. Los varones son estériles debido a azoospermia obstructiva con espermatogénesis normal. - El déficit de alfa1-antitripsina: se asocia con bronquiectasias, aunque no está aclarado su origen. - Síndrome de uñas amarillas: (uñas amarillas, linfedema, derrame pleural y bronquiectasias). - Defectos del cartílago (síndrome de Williams-Campbell y síndrome de Mounier- Kühn o traqueobroncomegalia).
  • 15.
    • Bronquiectasias porenfermedades congénitas - Síndrome de Williams-Campbell (ausencia o défi cit de cartílago bronquial) - La traqueobroncomegalia congénita o síndrome de Mounier-Kuhn (atrofia de los componentes elásticos y musculares de la pared bronquial) - El síndrome de Marfan - Síndrome de Ehlers-Danlos - Secuestro pulmonar intralobular - Todas estas enfermedades originan retención de secreciones bronquiales, facilitando la colonización bronquial y las infecciones de repetición. - Las bronquiectasias de causa no conocida, también mal llamadas idiopáticas, representan el 20% a 50% de los casos, según las series de la literatura.
  • 16.
    CUADRO CLINICO. • Lacaracterística clínica por excelencia es la tos productiva crónica o la broncorrea purulenta. • Algunos pacientes expectoran más de 200 ml/día (la secreción bronquial normal es < 100 ml/día). • La tos es intermitente durante todo el día y empeora al levantarse por la mañana. A veces, la tos no es productiva, generalmente por bronquiectasias “secas” en lóbulos superiores. • La hemoptisis, que suele ser leve por aparece en más del 50% de los pacientes y predomina en los que tienen bronquiectasias "secas“ (sin tos productiva).
  • 17.
    • Las complicacionesmás frecuentes son la neumonía recurrente, empiema, neumotorax y absceso de pulmón. • Si la enfermedad produce hipoxemia severa puede provocar Cor-pulmonale Exploración física • Suele mostrar estertores crepitantes de predominio inspiratorio en las zonas afectas, y roncus y sibilancias cuando existe obstrucción al flujo aéreo. • La presencia de acropaquias acompaña a las bronquiectasias difusas e indica un trastorno importante de ventilación/perfusion.
  • 18.
    • DIAGNÓSTICO - Lasbronquiectasias deben ser sospechadas en los pacientes con tos y persistentes, infecciones respiratorias recurrentes, hemoptisis infiltrados pulmonares crónicos o una radiografía de tórax expectoración recidivantes, sugestiva. - El diagnóstico se confirma mediante la tomografía computarizada de alta resolución (TACAR) torácica, que es la exploración con mayor sensibilidad (96%) y especificidad (93%) en la detección de bronquiectasias y en la valoración de su evolución.
  • 19.
    RADIOGRAFIA. • La sensibilidadde la radiografía de tórax varia de un 45 a un 70% en relación al diagnóstico de las bronquiectasias. • Las bronquiectasias producen engrosamiento de la pared bronquial originando el signo “ en raíles de tren” (tram lines). • Acúmulo de secreciones a nivel bronquial ,“signos del dedo de guante” • Imágenes quísticas, a veces incluso con nivel hidroaéreo y opacidades anulares. • El apelotonamiento de bronquiectasias quísticas en una zona pueden dar una imagen similar a la del pulmón en panal. • Atelectasias por obstrucción por tapones mucosos
  • 22.
    TOMOGRAFIA COMPUTARIZADA DEALTA RESOLUCION = GOLD STANDARD
  • 26.
    - El pronósticode las bronquiectasias depende de la enfermedad subyacente, de la extensión de las lesiones y de la repercusión en la función respiratoria. - La infección bronquial crónica por Pseudomonas, las exarcebaciones agudas graves y la inflamación sistémica favorecen la evolución de la enfermedad y el declive de la función pulmonar. - La presencia de una insuficiencia respiratoria crónica, una hipertensión pulmonar y un cor pulmonale son factores de mal pronóstico. - La administración de antibióticos y los tratamientos sustitutivos, en los casos en que esto sea posible, pueden retrasar la progresión de la enfermedad y mejorar la supervivencia
  • 27.
    TRATAMIENTO. • Se basaen 3 pilares. 1) Eliminar la obstrucción bronquial. 2)Mejorar la eliminación de las secreciones, que se consigue con una adecuada hidratación, con fisioterapia respiratoria y drenaje postural mantenidos. 3)Controlar las infecciones con el uso de antibióticos en las agudizaciones durante 10-15 días. • Además, se establece un tratamiento específico para la etiologia de las bronquiectasias.
  • 28.
    • Antibióticos - Elobjetivo del tratamiento antibiótico es tratar la agudización y la infección bronquial. - Se recomienda elegir antibióticos con alto grado de penetración en las secreciones respiratorias y utilizar dosis elevadas. • Tratamiento de la agudización: - El tratamiento inicial es empírico y debe modificarse en función de los resultados del cultivo de esputo. - Si existe una colonización o una infección bronquial previa conocida, el antibiótico ha de administrarse de acuerdo a los microorganismos previamente aislados en espera del cultivo. - Debe tenerse en cuenta el riesgo de colonización por P. aeruginosa
  • 29.
    - El tratamientodebe administrarse hasta que el esputo deje de ser purulento, con un mínimo de 10 días, excepto en el caso de aislamiento de Pseudomonas que debe prolongarse de 14 a 21 días. - En las agudizaciones moderadas o graves por Pseudomonas se aconseja la utilización de dos antibióticos por vía intravenosa (un aminoglucósido y un beta-lactámico). • Tratamiento de la infección bronquial crónica: - Se basa en la administración prolongada de un antibiótico para romper el círculo vicioso infección-inflamación. - El objetivo es reducir la carga bacteriana y la respuesta inflamatoria, y con ello el volumen y la purulencia del esputo, el número y la gravedad de las agudizaciones y el deterioro de la función pulmonar.
  • 30.
    - La eleccióndel antibiótico depende del microorganismo causante de la infección y de su antibiograma. - La pauta y el tiempo de administración dependen del control de la infección, que se monitoriza a través del esputo, que debe ser lo más mucoso posible, y la disminución de las agudizaciones. - La vía de administración puede ser la oral o la inhalatoria. - La vía inhalatoria se recomienda en los casos en los que no haya una respuesta clínica, cuando hay efectos secundarios con el antibiótico oral, en la infección por Pseudomonas o en la infección por microorganismos resistentes a los antibióticos por vía oral.
  • 33.
    • Rehabilitación respiratoria: -El objetivo es facilitar la eliminación de las secreciones y mejorar la calidad de vida de los pacientes. - Es aconsejable realizar de una a tres sesiones de 15 a 30 minutos al día. • Mucolíticos: - La fluidificación de las secreciones puede facilitarse mediante la hidratación adecuada del paciente o nebulizando suero salino hipertónico. - Mucolíticos como la desoxirribonucleasa (DNasa) sólo están indicados en algunos pacientes con fibrosis quística. hay manifestaciones clínicas de hiperreactividad • Broncodilatadores: - Están indicados cuando bronquial.
  • 34.
    • Antiinflamatorios: - Losmacrólidos tienen una probable acción moduladora de la respuesta inflamatoria y capacidad de interferir en la formación de biopelículas, un mecanismo de defensa de las bacterias que causa infección bronquial crónica. - Se recomienda la azitromicina oral durante 3 días por semana en los pacientes con una infección bronquial crónica por Pseudomonas o por otros microorganismos de difícil control clínico a pesar de seguir un tratamiento adecuado. - Los corticoesteroides inhalados están indicados en los pacientes con manifestaciones clínicas de hiperreactividad bronquial. También pueden ser eficaces en los enfermos con mayor volumen de esputo, aunque no están recomendados de forma rutinaria si no se objetiva un beneficio individual claro. • Vacunas: - Es aconsejable la vacunación antigripal y la antineumocócica en todos los casos.
  • 35.
    • Cirugía: - Estáindicada en casos muy concretos, como son la extirpación de un tumor o la extracción de un cuerpo extraño. - T ambién en las bronquiectasias localizadas con infecciones recurrentes frecuentes que no responden al tratamiento médico - Asímismo, si hay áreas de bronquiectasias responsables de hemoptisis graves, o zonas de bronquiectasias sospechosas de albergar microorganismos resistentes, como Mycobacterium avium o M. tuberculosis multirresistente.
  • 36.
    - En casode gran afectación y destrucción pulmonar, puede recurrirse al trasplante - Cuando el FEV1 es menor del 30% o hay una pérdida rápida de la función pulmonar en pacientes con una afectación grave (insuficiencia respiratoria crónica, hipercapnia, hipertensión pulmonar y agudizaciones o complicaciones graves frecuentes).
  • 37.
    HEALTHY LUNGS ARETHE PRETTIEST ONES
  • 38.
    1.Baker AF. Clinicalmanifestations a 1. nd diagnosis of bronchiectasis. www.uptodate.com. 2007. 2. Baker AF. Treatment of bronchiectasis. www.uptodate.com. 2007. 3.Bradley JM, Moran FM, Elborn JS. Evidence for physical therapies (airway clearence and physical training) in cystic fi brosis: an overview of fi ve Cochrane systematic reviews. Respir Med 2006;100:191-201. 4.Chang AB, Bilton D. Exacerbations in cystic fibrosis: non-cystic fibrosis bronchiectasis. Thorax 2008;63:269-76. 5.De Gracia J, Máiz L, Prados C, Vendrell M, Baranda F, Escribano A et al. Antibióticos nebulizados en pacientes con fi brosis quística. Med Clin (Barc) 2001;117:233-7. 6.Evans DJ, Bara AI, Greenstone M. Prolonged antibiotics for purulent bronchiectasis in children and adults. Cochrane Database Syst Rev 2:CD001392,2007. 7.Olveira G, Padilla A, Olveira C. Soporte nutricional en el paciente con patología pulmonar, enfermedad pulmonar obstructiva crónica y fi brosis quística. En: Bellido D, De Luis D, eds. Manual de metabolismo y nutrición. Madrid: Díaz de Santos SA. 2006;455-70. 8.Vendrell M, De Gracia J, Olveira C, Mártinez MA, Girón R, Máiz L et al. Diagnóstico y tratamiento de las bronquiectasias. Arch Bronconeumol 2008:44:629-40.