 En la mayor parte de los órganos y tejidos de
un animal maduro suele conservarse un
equilibrio entre la renovación y la muerte de
las células.
 Los diversos tipos de células maduras tienen
un tiempo de vida media determinado;
conforme mueren estas células se generan
nuevas gracias a la proliferación y
diferenciación de diversos tipos de células
progenitoras.
 Bajo condiciones normales, la producción de
nuevas células se regula para que el número
de cualquier tipo de estas se conserve
constante.
 Las células cancerosas pueden
considerarse como células propias
alteradas que han escapado a los
mecanismos de regulación normal del
crecimiento
 Estás células dan lugar a clonas que pueden
alcanzar un tamaño considerable con
producción de un tumor o neoplasia
Apoptosis
 Tumor benigno. No es capaz de crecer por
tiempo indefinido y no invade los tejidos
circundantes
 Tumor maligno. Crece por tiempo indefinido
e invade tejido de forma progresiva
 El término cáncer se refiere de manera
específica a un tumor maligno
 Los tumores malignos o cánceres se
clasifican de acuerdo al origen del tejido
embrionario del que deriva:
 Carcinoma. Tumoración que se origina en
tejidos endodérmicos o ectodérmicos, como
la piel o el revestimiento epitelial de los
órganos y glándulas internas. La mayor parte
de los cánceres de colón, mama, próstata y
pulmón corresponden a este tipo.
 Las leucemias y los linfomas son tumores
malignos de las células hematopoyéticas de
la médula ósea.
Las leucemias proliferan como células
independientes, en tanto que los linfomas
tienden a crecer como masas tumorales.
 Los sarcomas. Son malformaciones menos
frecuentes, derivan de tejidos conjuntivos
mesodérmicos, como hueso, grasa y
cartílago
Invasión y Metástasis
 El cáncer es capaz de diseminarse a través de
todo el cuerpo mediante dos mecanismos:
invasión y metástasis.
 La invasión se refiere a la migración y
penetración directas de las células cancerosas
en los tejidos vecinos.
 La metástasis se refiere a la habilidad de las
células cancerosas para penetrar dentro de los
vasos linfáticos y sanguíneos, circular a través
del torrente sanguíneo y después invadir los
tejidos normales en otras partes del cuerpo.
 El cáncer muchas veces se percibe como una
enfermedad que ataca sin razón alguna.
Aunque los científicos aún no conocen todas las
razones de ello, muchas de las causas del
cáncer ya han sido identificadas. Además de los
factores intrínsicos, tales como la herencia, dieta
y hormonas, los estudios científicos señalan
hacia la existencia de factores extrínsecos clave
que contribuyen al desarrollo del cáncer: las
substancias químicas (por ejemplo, el fumar), la
radiación y virus o bacterias
 En realidad, sólo unos cuantos virus que
infectan a las células humanas causan
cáncer.
Célula Th
Célula NK
Actualmente se sabe que el sistema inmune es
capaz de reconocer determinados antígenos
tumorales y a veces responde frente a ellos
Mecanismos de evasión
 Baja inmunogenicidad
 Modulación antigénica
 Por demora inmune
 Por supresión de la respuesta inmune
inducida por el tumor
Inmunoterapia Tumoral
 Macrófagos. Los adyuvantes microbianos,
como el bacilo BCG o el LPS, han sido
utilizados como activadores inespecíficos de los
macrófagos, que sintetizarían más TNF-α e IFN-
α, y fagocitarían y presentarían mejor los
antígenos tumorales a los linfocitos.
 Citocinas. La administración de citocinas in vivo
ha tenido cierto éxito en algunos tumores, como
la leucemia de células pilosas o la mieloide
crónica (IFN- α), ciertos carcinomas ováricos
(IFN-γ ).
Melanomas e hipernefronas (IL-2) y ascitis
maligna (TNF- α). En algunos casos se ha
utilizado G-CSF más para recuperar la
inmunidad pérdida como consecuencia de otros
tratamientos convencionales, que para atacar al
tumor.
 Linfocitos Tc y NK. Se ha ensayado con éxito
la extracción de linfocitos periféricos o
infiltrantes (TIL), su proliferación y activación in
vitro con IL-2 o PHA, y la reinfusión al paciente
de lo que suele llamarse células citolíticas
activadas por linfocinas, en su mayoría linfocitos
Tc y NK.
 Anticuerpos. Empleando anticuerpos
monoclonales (mAb) dirigidos contra
antígenos especificos de tumores (CD20 en
linfomas).
Los mAb presentan tres limitaciones básicas:
1) Pobre accesibilidad a tumores sólidos
2) Escape tumoral
3) Incompatibilidad interespecífica
 Al último problema se le han dado varias
soluciones. Por un lado se han humanizado,
generando quimeras con la porción Fc humana,
lo cual facilita su tolerancia y función in vivo,
pero garantizando su especificidad.
 Se han acoplado a otros mAb (biespecíficos),
que atraen y activan específicamente sobre le
tumor a células CD3+,CD2+ o CD16.
 También se acopla a los mAb a toxinas
celulares modificadas (toxina diftérica o ricina),
a isótopos radioactivos o a enzimas para
ayudar a la destrucción de las células
tumorales.
 Inmunización con células tumorales o
antígenos purificados
La identificación de antígenos tumorales
compartidos por muchos tumores ha
proporcionado otros medios para originar
respuestas antitumorales, sin embargo, no tiene
la eficacia necesaria o no es evidente.
Se evalúan nuevos vectores inmunogénicos. En
el cáncer de mama con péptidos de mucina y en
el melanoma con péptido MAGE se inmuniza
utilizando un adyuvante.
 Vacunas. Otra manera de lograr que el tumor
sea rechazado es potenciar su
inmunogenicidad.
Se puede seguir estrategias de inmunización
activa, como en el caso de las vacunas contra
patógenos, utilizando estrategias simples como
identificar y purificar antígenos tumorales, por
ejemplo el propio BCR en ciertos linfomas, y
utilizarlos como vacunas.
 Recientemente se sintetizó una proteína de
fusión, en la que el gen que codifica la proteína
tumoral se funde en la estructura de una
citocina (IL-2 o GM-CSF), con lo que se logra
una vacuna protectora y terapéutica.
 Otra estrategia consiste en activar células
dendríticas in vitro con antígenos tumorales o
incluso extractos crudos de tumores y reinyectar
estas células en el paciente.
NORMA OFICIAL MEXICANA NOM 041-SSA2-
2002
PARA:
LA PREVENCION, DIAGNOSTICO,
TRATAMIENTO,
CONTROL Y VIGILANCIA EPIDEMIOLOGICA
DEL CANCER DE MAMA.
NOM-041
 Esta Norma Oficial Mexicana tiene por
objeto establecer los criterios de operación
para la prevención, diagnóstico,
tratamiento, control y vigilancia
epidemiológica del cáncer de mama.
NOM 041-SSA2-2002
Definiciones:
Biopsia:
Cáncer:
La extracción de tejido de un organismo vivo para examen microscópico
con fines diagnósticos.
Tumor maligno en general, que se caracteriza por pérdida en el control de
crecimiento, desarrollo y multiplicación celular, con capacidad de producir
metástasis.
Carcinoma:
Término que se refiere a una neoplasia epitelial maligna.
Carcinoma In Situ de la mama:
Tumor maligno confinado al epitelio que recubre un conducto o un
lobulillo sin rebasar la membrana basal.
NOM 041-SSA2-2002
Definiciones:
Ciclo Mamario Completo:
Técnica de tratamiento con radiaciones ionizantes, el cual comprende la
región mamaria afectada (con o sin glándula) y las zonas linfoportadoras.
Comunicación Educativa:
Proceso basado en el desarrollo de esquemas novedosos y creativos de
comunicación que se sustenta en técnicas de mercadotecnia social, que
permite la producción y difusión
de mensajes de alto impacto, con el fin de reforzar los conocimientos en
salud y promover conductas saludables en la población.
Consejería:
Proceso de comunicación interpersonal, entre el prestador del servicio de
salud y usuarias, mediante el cual se proporcionan elementos para apoyar
su decisión voluntaria, consciente e informada acerca de las actividades de
detección, diagnóstico y tratamiento según sea el caso.
NOM 041-SSA2-2002
Factores de Riesgo:
Conjunto de condiciones particulares que incrementan la probabilidad de
desarrollar una patología.
Gray:
Dosis absorbida que resulta de la aplicación de 1 Joule/Kg de peso,
necesaria para elevar la temperatura del agua en 2.4 por 10 calorías por
gramo equivale a 100 rads. Es decir, 1 rad = 10 Gy = 1cGy.
El Gray (GY) es la unidad en Sistema Internacional de la dosis absorbida.
Hiperplasia Simple:
La proliferación de más de dos células por encima de la membrana basal
en el conducto o el lobulillo sin alteraciones citológicas ni estructurales.
Definiciones:
NOM 041-SSA2-2002
Prevención Primaria:
Todas aquellas actividades o acciones de promoción, educación o fomento de la
salud, así como las de protección específica para la prevención de las
enfermedades.
Prevención Secundaria:
Todas aquellas actividades o acciones que están encaminadas a lograr el
diagnóstico y tratamiento temprano con el fin de limitar los daños a la salud.
PrevenciónTerciaria:
Todas aquellas actividades que se dirigen a la rehabilitación reconstructiva,
estética y psicológica de la paciente, o a evitar complicaciones.
Definiciones:
NOM 041-SSA2-2002
Número de nuevos casos ocurridos en una población determinada en un
período específico.
Influenciada por exposición a factores etiológicos, suceptibilidad
individual, afectada por pruebas de tamizaje, acceso a sistemas de salud.
Incidencia:
Mortalidad:
Número de muertes atribuibles a una causa en particular en una
población determinada en un período específico.
Influenciada por la incidencia, factores biológicos individuales,
características del tumor, estadío y respuesta al tratamiento disponible.
Prevalencia:
Representa el número de casos de una enfermedad en una población en
un período específico.
Está relacionada a la supervivencia, a la agresividad del tumor, a la mayor
o menor curabilidad.
Farin Kamangar. Patterns of Cancer Incidence, Mortality, and PrevalenceAcross Five Continents: Defining Priorities to Reduce Cancer
Disparities in Different Geographic Regions of theWorld. Journal of ClinicalOncology. 24:2137-2150. 2006
PREVENCION Y DETECCION DE CANCER
Introducción
Proceso de transición epidemiológica
 Sustitución de las enfermedades infecciosas
 Desplazamiento de la carga de morbimortalidad
 Nuevo perfil de la morbilidad y mortalidad
 Alteraciones de la estructura poblacional
 Repercusión en la calidad de vida
Identificación y conocimiento del problema
Elección de prioridades
Definición de metas - Prevención y control
CARGA GLOBAL DE CANCER
 Número de casos (millones)
1995* 2000** 2020*
Incidencia 10 10.1 20
Mortalidad 6 6.2 12
Viven con cáncer* 22 >30
*Parkin D.M. Et al Ca. A Cancer J Clin , 1999,19 (1)
**ParkinD.Maxwell Lancet Oncology, 2001,2: 533-43
Prevención:1/3 Detectar:1/3
ESTIMADO DE TASAS DE INCIDENCIA Y
MORTALIDAD ESTANDARIZADA POR
EDADx100000
Incidencia Mortalidad
hombres mujeres hombres mujeres
Todas las áreas* 201.9 157.8 134.4 88.3
Países Desarrollados* 300.9 218.3 173.9 103.0
Países en desarrollo* 113.8 127.9 112.8 77.5
RCLM 136.9 162.5 73.6 74.1
Trujillo 131.7 204.0 81.1 123.0
Trujillo (1991-95) 184 232.4 89.3 103.7
*globocan2000.Cancer incidencia, Mortalidad, Prevalencia.V1.0
RIESGO ACUMULADO DE DESARROLLAR ALGUN
TIPO DE CANCER RCLM,1990-1993
0
5
10
15
20
25
30
35
10 20 30 40 50 60 70 80 85
masculino
femenino
1/3
1/159
1/3
1/138
1/547
1/709
1/42
1/20
1/7
1/6
NM INEN 1997-2001(38740 casos)
Distribución por género
C.uterino: 24.9
Mama: 19.2
Estómago: 5.8
Tiroides: 3.9
Otros piel: 3.8
Ovario: 3.3
Estómago: 12.1
Prótata: 9.9
Pulmón: 6.8
Otros piel: 5.8
Testículo: 4.8
Leucemia: 4.6
Países mas Desarrollados:
Europa, Australia, Nueva Zelanda, Norte
América y Japón.
Países menos Desarrollados:
Africa, Centro América, Sur América, Asia
(excepto Japón), el Caribe, Melanesia, Micronesia y
Polinesia.
Farin Kamangar. Patterns of Cancer Incidence, Mortality, and PrevalenceAcross Five Continents: Defining Priorities to Reduce Cancer
Disparities in Different Geographic Regions of theWorld. Journal of ClinicalOncology. 24:2137-2150. 2006
Farin Kamangar. Patterns of Cancer Incidence, Mortality, and PrevalenceAcross Five Continents: Defining Priorities to Reduce Cancer
Disparities in Different Geographic Regions of theWorld. Journal of ClinicalOncology. 24:2137-2150. 2006
Incidencia en % de Cáncer a
nivel mundial. Año 2002
Farin Kamangar. Patterns of Cancer Incidence, Mortality, and PrevalenceAcross Five Continents: Defining Priorities to Reduce Cancer
Disparities in Different Geographic Regions of theWorld. Journal of ClinicalOncology. 24:2137-2150. 2006
- En 2002 se diagnosticaron 10. 864.499 casos de cáncer a
nivel mundial (excluyendo cáncer de piel no melanoma).
- El Cáncer de Pulmón fue el mas frecuente a nivel mundial
con 1.352.321 casos.
- Muertes por Cáncer de Pulmón: 1.179.074.
- El Cáncer de Mama es el cáncer mas frecuente en mujeres
a nivel mundial con 1.152.161.
Muertes por Cáncer de Mama: 411.093 .
Farin Kamangar. Patterns of Cancer Incidence, Mortality, and PrevalenceAcross Five Continents: Defining Priorities to Reduce Cancer
Disparities in Different Geographic Regions of theWorld. Journal of ClinicalOncology. 24:2137-2150. 2006
- La incidencia se mantuvo en ascenso entre 1973 y
1997 en todas las regiones del mundo.
- Japón y Costa Rica mantuvieron los aumentos
menos significativos en la incidencia.
- Los mayores aumentos en la incidencia se
registraron en los países mas desarrollados (3
veces mas que en los países menos desarrollados) .
- La mortalidad fue casi 2 veces menor en los
países mas desarrollados comparado con los
países menos desarrollados.
Michelle D Althuis.Global trends in breast cancer incidence and mortality 1973–1997. International Journal of Epidemiology 2005;34:405–412
Farin Kamangar. Patterns of Cancer Incidence, Mortality, and PrevalenceAcross Five Continents: Defining Priorities to Reduce Cancer
Disparities in Different Geographic Regions of theWorld. Journal of ClinicalOncology. 24:2137-2150. 2006
CÁNCER DE MAMA:
EPIDEMIOLOGÍA DE EEUU.
Ahmedin jemal. Annual Report to the Nation on the status of Cancer 1975 – 2001 with a Special Feature Regarding Survival.CA a Cancer
Journal for Clinicians. 2008; 58: 71-96
1
Primeras 15 causas de muerte en EEUU 2005
Ahmedin jemal. Annual Report to the Nation on the status of Cancer 1975 – 2001 with a Special Feature Regarding Survival.CA a Cancer
Journal for Clinicians. 2008; 58: 71-96
HombresAfroaméricanos en relación con Hombres blancos:
Cáncer en General: 19% mayor incidencia
37% mayor Mortalidad
Mujeres Afroaméricanas en relación con Mujeres blancas:
Cáncer en General: 6% menor incidencia
(y cáncer de mama) 17% mayor mortalidad
Consideraciones en cuanto a Raza.
Ahmedin jemal. Annual Report to the Nation on the status of Cancer 1975 – 2001 with a Special Feature Regarding Survival.CA a Cancer
Journal for Clinicians. 2008; 58: 71-96
Ahmedin jemal. Annual Report to the Nation on the status of Cancer 1975 – 2001 with a Special Feature Regarding Survival.Cancer july 1,
2004 Vol 101 Number 1
Supervivencia a 5 años y distribución por
Estadíos.
CÁNCER DE MAMA:
EPIDEMIOLOGÍA DE MÉXICO.
Casos totales: 110094
Masculinos: 38193
Femeninos: 71091
Población Aprox: 1021140 00
Incidencia: 0.11%
RHNM 2003
Tumores Primarios por sitio
anatómico en general 2003
Sitio
Anatómico
N° %
CaCu In Situ 14867 13.50
Piel 14317 13.00
Mama 12488 11.34
Cuello uterino 9227 8.38
Linfomas 6911 6.2
Próstata 6536 5.94
Estómago 3584 3.26
Leucemias 3045 2.76
Ovario 2907 2.64
Colon 2381 2.16
Vejiga Urinaria 2272 2.06
Tiroides 1986 1.80
Pulmón 1870 1.70
Tejidos blandos 1804 1.64
Riñón 1588 1.44
Cuerpo Uterino 1552 1.41
Encéfalo 1503 1.37
Testículo 1287 1.17
Recto 1245 1.13
Mieloma 1121 1.01
Sitio
Anatómico
N° %
CaCu In Situ 14867 20.68
Mama 12433 17.29
Cuello uterino 9227 12.83
Piel
7722
(7158)
10.74
Linfomas 3231 4.54
Ovario 2907 4.04
Estómago 1591 (1792) 2.21
Tiroides 1566 2.18
Cuerpo Uterino 1552 2.16
Leucemias 1383 (1522) 1.92
Colon 1202 (1190) 1.67
Tejidos blandos 911 (902) 1.27
Riñón 714 (794) 0.99
Encéfalo 691 (751) 0.96
Bronquios y
Pulmón
682 0.95
Vejiga Urinaria 642 0.89
Recto 611 (622) 0.85
Mieloma 528 (560) 0.73
Próstata - -
Testículo - -
Tumores Primarios por sitio
anatómico en Fem 2003
Sitio Anatómico N° %
Piel 6595 17.27
Próstata 6536 17.11
Linfomas 3680 9.6
Estómago 1993 5.22
Leucemias 1662 4.30
Vejiga Urinaria 1630 4.27
Testículo 1287 3.37
Bronquios y
Pulmón
1188 3.11
Colon 1179 3.09
Tejidos blandos 893 2.34
Riñón 874 2.29
Encéfalo 812 2.13
Recto 634 1.66
Mieloma 593 1.55
Tiroides 420 1.10
Mama 55 0.14
CaCu In Situ - -
Cuello uterino - -
Ovario - -
Cuerpo Uterino - -
Tumores Primarios por sitio
anatómico en Masc 2003
Total: 38193
Total: 71901 Total: 110094
RHNM 2003
Sitio Anatómico N° %
Pulmón 6754 11.25
Estómago 5201 8.66
Hígado 4764 7.93
Próstata 4602 7.66
Cuello Uterino 4326 7.20
Mama 3933 6.55
leucemias 3588 5.97
Páncreas 2984 4.97
Colon 2436 4.06
linfomas 2178 3.63
Encéfalo 1582 2.63
Riñon 1475 2.46
Ovario 1403 2.34
Esófago 899 1.5
Vesícula 837 1.39
Laringe 814 1.36
Piel 768 1.28
mieloma 701 1.17
Vejiga 668 1.11
Sitio
Anatómico
N° %
CaCu In Situ 14867 13.50
Piel 14317 13.00
Mama 12488 11.34
Cuello uterino 9227 8.38
Linfomas 6911 6.2
Próstata 6536 5.94
Estómago 3584 3.26
Leucemias 3045 2.76
Ovario 2907 2.64
Colon 2381 2.16
Vejiga Urinaria 2272 2.06
Tiroides 1986 1.80
Pulmón 1870 1.70
Tejidos blandos 1804 1.64
Riñón 1588 1.44
Cuerpo Uterino 1552 1.41
Encéfalo 1503 1.37
Testículo 1287 1.17
Recto 1245 1.13
Mieloma 1121 1.01
INCIDENCIAGENERAL MORTALIDAD GENERAL
Total: 110094 Total: 60046 RHNM 2003
Sitio
Anatómico
N° %
CaCu In Situ 14867 20.68
Mama 12433 17.29
Cuello uterino 9227 12.83
Piel 7722 10.74
Linfomas 3231 4.54
Ovario 2907 4.04
Estómago 1591 2.21
Tiroides 1566 2.18
Cuerpo Uterino 1552 2.16
Leucemias 1383 1.92
Colon 1202 1.67
Tejidos blandos 911 1.27
Riñón 714 0.99
Encéfalo 691 0.96
Bronquios y
Pulmón
682 0.95
Vejiga Urinaria 642 0.89
Recto 611 0.85
Mieloma 528 0.73
Sitio
Anatómico
N° %
Cuello Uterino 4326 14.15
Mama 3889 12.72
Hígado 2531 8.28
Estómago 2411 7.89
Pulmón 2141 7
Leucemia 1630 5.32
Páncreas 1573 5.14
Ovario 1403 4.59
Colon 1282 4.19
Encéfalo 665 2.18
Vesícula 627 2.05
Riñon 557 1.82
Útero no
especif.
356 1.16
Piel 345 1.13
Mieloma 329 1.08
Otras vias
biliares
642 2.10
Sitios no
especif.
869 2.84
linfomas 1006 3.29
Leucemias 1630 5.33
INCIDENCIA MUJERES MORTALIDAD MUJERES
Total: 30574
Total: 71901
RHNM 2003
RHNM 2003
Incidencia por Entidad Federal
(%).
RHNM 2003
Distribución de tumor de mama
según grupo de edad y sexo.
La edad de aparición del Cáncer de Mama está disminuyendo ??
RHNM 2003
Mortalidad Cáncer de Mama.
RHNM 2003
INCan:
2005
2006
 Ca de Mama Invasor 570 624
 Ca de Mama In Situ 21 09
Archivo Clinico
Consejería:
Debe ir dirijida a:
 Mayor de 25 años.
 Con factores de riesgo.
 En consulta prenatal.
 Candidata a cirugía mamaria o,
 En tratamiento con quimioterapia,
radioterapia y/o hormonoterapia.
NOM 041-SSA2-2002
Prevención Primaria:
Encaminada a dar a conocer estos factores de riesgo:
 Mujer mayor de 40 años,
 Historia personal o familiar de cáncer de mama,
 Nuligesta,
 Primer embarazo a término después de los 30 años de
edad,
 Antecedentes de patología mamaria benigna (proceso
proliferativo, hiperplasia atípica),
 Vida menstrual de más de 40 años (menarca antes de
los 12 años y menopausia después de los 52 años), y
 Obesidad.
NOM 041-SSA2-2002
Prevención Secundaria:
AUTOEXPLORACIÓN. EXAMEN CLÍNICO Y MASTOGRAFÍA
 Autoexploración: Se recomendará en forma mensual a partir de la
menarca; entre el 7o. y 10 mo. día del ciclo. En la menopáusica en un día
fijo elegible por ella. Historia personal o familiar de cáncer de mama.
 Examen Clínico: Debe ser realizado por médico o enfermera
capacitados, en forma anual, a todas las mujeres mayores de 25 años que
asisten a las unidades de salud, previa autorización de la usuaria.
 Mastografía:
Anualmente o cada dos años, a las mujeres de 40 a 49 años con dos o
más factores de riesgo y en forma anual a toda mujer de 50 años o más.
A toda mujer que haya tenido un familiar (madre o hermana) con cáncer
de mama antes de los 40 años; se le debe realizar un primer estudio de
mastografía diez años antes de la edad en que se presentó el cáncer en
el familiar y posteriormente de acuerdo a los hallazgos clínicos, el
especialista determinará
el seguimiento.
NOM 041-SSA2-2002
Sospecha
Patología Mamaria
Historia Clínica
Factores de
Riesgo
Examen Físico
Imágenes
Masto, Ultra
Confirmación
histológica:
BAAF
Aguja de Corte
Incisional
Escisional
Con Marcaje
NOM 041-SSA2-2002
Atención Especializada
Fecha
Sitio primario del tumor.
Descripción macroscópica:
Tamaño
Márgenes quirúrgicos
Descripción histopatológica:
-Grado nuclear, índice mitótico,
formación de túbulos.
-Tipo histológico del tumor (ductal,
lobulillar, otro; in situ o infiltrante),
-Grado de diferenciación, y PVL
Multicentricidad.
Presencia o ausencia de metástasis
ganglionares, número de ganglios
afectados,
Presencia o ausencia de invasión
extracapsular, y
RE; RP;
Reporte Histopatológico:
NOM 041-SSA2-2002
Clasificación Histológica OMS.
In Situ Invasor Otros
Ductal
Lobulillar
Ductal
Lobulillar
Tubular
Medular
Mucinoso
Secretor
Papilar
Adenoideo
Quístico
Metaplásico
Apócrino
Enfermedad de
Paget
En caso de observarse histologías combinadas se debe especificar el porcentaje
de cada una de ellas.
NOM 041-SSA2-2002
Imágenes: Mastografía
 CC y MLO
 Indicaciones mastografía Diagnóstica
 Mujer con síntomas de patología mamaria a partir de los 35 años,
 Mujer joven con sospecha de cáncer mamario independiente de la
edad,
 Búsqueda de tumor primario desconocido, o
 Antecedente personal de cáncer mamario.
 Si existe densidad asimétrica; masa o tumor;
microcalcificaciones; distorsión de la arquitectura, o ectasia
ductal asimétrica, es necesaria la toma de proyecciones
adicionales y/o ultrasonido complementario.
 Mastografía de Seguimiento:
 La primera mastografía se deberá realizar a los seis meses
de iniciado el tratamiento quirúrgico conservador.
 La segunda mastografía se deberá realizar en forma anual
posterior al tratamiento quirúrgico.
NOM 041-SSA2-2002
Imágenes: Ultrasonido.
Indicaciones
 Mujer menor de 35 años con sintomatología mamaria,
 Mama densa,
 Caracterización de un nódulo,
 Densidad asimétrica,
 Implantes mamarios,
 Mastitis o abscesos,
 Embarazo con sintomatología mamaria,
 Guía de procedimientos intervencionistas, o
 Tumor quístico o sólido.
 El estudio de ultrasonido NO se debe indicar en:
 Detección del cáncer mamario, Mama grasa, y
Microcalcificaciones.
NOM 041-SSA2-2002
Nomenclatura:
Debe hacerse según la clasificación BIRADS:
 BIRADS O: Estudio insuficiente o técnicamente deficiente.
 BIRADS 1: Mama normal.
 BIRADS 2: Hallazgos benignos.
 BIRADS 3: Hallazgos probablemente benignos (es conveniente el
seguimiento radiológico cada 6 meses durante 2 años o biopsia con
aguja de corte).
 BIRADS 4 a, b, c: Hallazgos probablemente malignos .
 BIRADS 5: Hallazgo maligno (se sugiere biopsia).
 BIRADS 6: Confirmado histológicamente.
NOM 041-SSA2-2002
Diagnóstico
Hacia el futuro
 Desde que se introdujeron las primeras vacunas
contra las enfermedades infecciosas, los
médicos han soñado con la posibilidad de
emplear vacunas contra el cáncer.
 Una gran cantidad de antígenos asociados a
tumores han sido identificados, algunos han
sido utilizados para generar vacunas, las cuales
se han empleado para realizar pruebas clínicas.
 Los datos muestran la inmunidad en
pacientes con tumores espontáneos y la
inducida por vacunación, así como la
correlación entre la infiltración de células T
tumorales y el incremento en la
sobrevivencia de los pacientes.
 A pesar de los resultados tan prósperos,
muchos pacientes vacunados no mostraron
aumento en la respuesta antitumoral, en
algunos casos se presento de forma lenta y
no relacionada con la progresión del tumor.
Inmunidad Innata Antitumoral.
 Los receptores Toll (TLRs) están involucrados
en la activación de la inmunidad innata.
 Varias vacunas tienen adyuvantes como el CpG
e imiquimod, los cuales activan a los TLRs.
 El estudio de las señales mediadas por TLR
puede facilitar el desarrollo de adyuvantes màs
efectivos.
E Pure , J P Allison and R D Schreiber.
Breaking down the barriers to cancer immunotherapy.
Nature Immunology 2005;12(6):1207- 1210.
 Se ha visto estos antígenos son más efectivos
para producir inmunidad tumoral.
 La vacunación con antígenos específicos del
tumor puede ser crítica para la supervivencia de
otras células, ya que pueden presentar estos
antígenos.
 Las vacunas contra el cáncer muestran un
efecto limitado, esto debido a las barreras que
bloquean la respuesta antitumoral.
 La inmunoterapia adaptativa tiene más éxito,
aunque las bases moleculares y celulares que
intervienen son poco conocidas.
 Si los resultados obtenidos se deben a la
reactividad de las células tumorales o a la
presencia de poblaciones celulares inhibitorias,
por ejemplo, se puede tener mucha
esperanza en la vacunación antitumoral.
E Pure , J P Allison and R D Schreiber.
Breaking down the barriers to cancer immunotherapy.
Nature Immunology 2005;12(6):1207- 1210.
PREVENCION Y
DETECCION DE
CANCER
Prevención/eficacia de la intervención
esporádico
hereditario
Inestabilidad
genómica
mutaciones
Tamizaje/detección temprana
Expansión
clonal
Heterogeneidad celular
progresión
Bases biológicas para la detección temprana (Fong etal,1999)
F.ambiental
Agentes infcciosos
Dieta
Radiación
químicos
Tumor
Primario
sintomático
Preneoplasia/
preclinico
Prevención
Genética
molecular
PRINCIPALES CAUSAS CONOCIDAS
DE CANCER
N° Casos
Incidencia total (10 millones)
 TABACO 3
 DIETA 3
 INFECCION 1.5
Sikora C., Cancer Estrategy 1999, 1,2-4.
CONTROL DE CANCER
PREVENCION
DETECCION INVESTIGACION
DIAGNOSTICO EDUCACION
REHABILITACION
PREVENCION PRIMARIA
 “Se refiere a los esfuerzos para reducir o eliminar la exposición a
agentes carcinógenos: prevenir la iniciación o la promoción del
proceso carcinogénico fundamental”
 “Gran potencial público y en el control de cáncer costo
efectivo de larga duración”
Estrategias:
Eliminar factor causal,
Modulación
Actividades:
Investigación,Legislación,
educación,
TABAQUISMO Y CANCER
 Representa la mayor causa de muerte, 1982
 87 % de las muertes por cáncer se debe a FUMAR
 El consumo de tabaco es la causa mejor
identificada de cáncer y evitable
 Relacionado con una variedad de tipos y
localizaciones de cáncer
 Efecto nocivo de las personas alrededor del
humo
Ingredientes en el humo del tabaco: > 4000,
(43 carcinógenos), riesgo permanente
Beneficios del dejar de fumar
 Viven mas las personas que las que continúan
fumando
 Si dejan de fumar a los 35 años evitan el 90% de
riesgo atribuído al tabaco
 Si dejan de fumar antes de los 50 tienen la mitad de
los riesgos de morir en los próximos 15 años
 significativamente el riesgo de cáncer de
pulmón y otros cánceres
 el riesgo de contraer otras enfermedades
La única medida efectiva de
prevención
No fumar
DIETA Y CANCER
 Todo el mundo come, la exposición a los factores
dietéticos es 100%.
 La dieta es compleja y difícil de estudiar: hay
factores que aumentan y disminuyen el riesgo de
cáncer
 Factores culturales - económicos: cambio de
dieta
Alimentación sana:
reducción del riesgo de cáncer
AGENTES INFECCIOSOS Y CANCER
 FR para varios tipos de cáncer
 9% países desarrollados y 23 % en desarrollo
 Cáncer de cérvix, estómago y hígado
representan el 90% de todos los cánceres
asociados con agentes infecciosos (países en
desarrollo)
Clave en la prevención:
Desarrollo de vacunas
ACTIVIDAD FISICA Y CANCER
ACS, Cancer,95(5),2002
 Reducción de la incidencia del cáncer
de colon en 40-50% comparado con
personas sedentarias
 Reducción de la incidencia de cáncer
de mama en 30-40% (3-4 hs/s/reg)
 Cáncer de pulmón y próstata: <consistencia
 Peso corporal, distribución de la grasa, aumento de
peso en el adulto, interrelacionados con la actividad
física)
Los beneficios para la salud:
asociados con la actividad física
PREVENCION SECUNDARIA
“Incluye programas organizados de tamizaje,
detección temprana, identificando casos
tempranos, con chance de cura”
Estrategia: detección precoz
Actividades:
tamizaje, mét.dx, tto, educación
TAMIZAJE (SCREENING)
 Es una intervención, para identificar una
enfermedad, mediante la aplicación de una prueba
o examen, en personas aparentemente sanas y
detectar en un grupo de ellas, la probabilidad de
tener una enfermedad particular que en el resto de
la población
 La prueba de tamizaje no es diagnóstica
TAMIZAJE DE CANCER – CRITERIOS
DE EVALUACION
 Historia natural conocida
 Estadío latente o precoz identificable
 Técnica o prueba efectiva: detección temprana del
cáncer
 Tratamiento eficaz: resultado del tamizaje, éxito
mejorado
REVISION PERIODICA EN BUSCA DE
CANCER
 Aplicación en personas asintomáticas
 Para cada localización de cáncer, edad y
sexo
 Poblaciones de alto riesgo
 Guía para el paciente y para el médico
 Decisión de políticas de salud
DETECCION PRECOZ DE CANCER
RECOMENDACIONES(SAC,2004)
mamas Mujer 20+ AEM
ECM
Mamografía
20, benef.,limit
Cada 3 años,20-
30 años
Anual, inicio 40
Anual, inicio 40
colon recto Hombres y
mujeres 50+
PSOH
Sigmoidoscopía
PSOH + S
Colonoscopía
Anual, inicio 50
Cada 5,inicio 50
Cada 5,inicio 50
Cada 10,inicio50
DETECCION PRECOZ DE CANCER
RECOMENDACIONES(SAC,2004)
próstata Hombres, 50+ TR y PSA Anual, 50
(con espectativa
de vida, 10 años)
cérvix Mujeres, 18+ Pap 3 años post RS
Cada año/ Pap,
cada 2, cit líq,
30/cada 2 a 3 años
(3 pap–)
70+/ HT: elección
DETECCION PRECOZ DE CANCER
RECOMENDACIONES (SAC,2004)
Son estrategias basadas en evidencia, para
reducir la morbilidad y mortalidad del cáncer
 Tamizaje de cáncer
 Hallazgo de casos
 Potencial para consejos de salud acerca del
tabaco, exposición al sol, dieta y nutrición,
factores de riesgo, prácticas sexuales y
exposición ambiental, ocupacional: beneficio,
limitaciones
PRACTICAS DE PREVENCION
Médico
. Educación - entrenamiento
– habilidades
. Efectividad de la prevención
. Percepciones personales
. Creencias y hábitos de salud
. Olvido
. Pérdida del tiempo
Paciente
. Conocimiento y actitudes
. Educación
. Factor económico
. Organización en la práctica
de la medicina
DESAFIO DE LA PREVENCION: identificar la
conducta, el comportamiento, la tecnología y
la implementación apropiada
PERU 2000-2050.
CANCER GLOBOCAN 2000. IARC
año Tasa cruda Población Nº casos
2000 m: 142.724
h: 103.386
12935295
12726371
18462
13157
2020 m: 200.155
h: 143.523
17036717
16719953
34100
13157
2035 m: 262.604
h: 196.991
19574725
19166179
51404
37756
2050 m: 316.873
h: 257.488
21384411
20907089
67761
53833
Ejemplos de Tumores
Paso a Paso
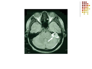
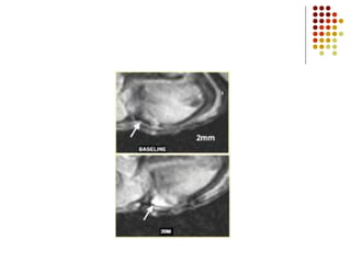
Ocular
Cerebral
Pulmonar
Mamario
El Futuro
Paso a Paso
Tratamiento...
 Quirúrgico.
 Quimioterapia.
 Radioterapia.
 Hormonoterapia.
NOM 041-SSA2-2002
Seguimiento:
Procedimiento Frecuencia
INFORMACION A LA PCTE SOBRE SIGNOS Y
SINTOMAS DE RECURRENCIA
AL TERMINO DEL TRATAMIENTO
EXAMEN FISICO
CADA 3 MESES EL 1er. Y 2o. AÑO
CADA 6 MESES EL 3o. Y 4o. AÑO
ANUAL A PARTIR DEL 5o. AÑO
AUTOEXAMEN MAMARIO MENSUAL
MASTOGRAFIA
A LOS 6 MESES DESPUES DEL TTO QX Y/O
ANUAL, SEGUN SEA EL CASO
TELE DE TORAX ANUAL
ULTRASONIDO HEPATICO ANUAL
GAMAGRAMA O SERIE OSEA SOLO SI HAY SINTOMATOLOGIA
MARCADORES TUMORALES OPCIONALES
NOM 041-SSA2-2002
El futuro para la cura del
cáncer: la inmunología
 Un grupo de científicos españoles han descubierto el proceso de
activación de una cierta proteína y aseguran que por esta
activación producida por las células cancerosas (bautizada como
“IRAK-M”) es lo que permite que el cáncer se desarrolle al lograr
que el sistema inmune no las ataque.
 Tras publicar las conclusiones de su estudio en el Journal of
inmunology, dieron a conocer un descubrimiento que podría llegar
a ser básico en la lucha contra el cáncer.
 Esta investigación ha demostrado que la activación de la proteína
bautizada como IRAK-M- supone la desctivación del sistema
inmune que, de repente, pasa a mostrarse “tolerante” con la
célula tumoral a la que un instante antes estaba combatiendo.
 Hace pocos meses otro investigador español llamado Antonio Brú
descubrió que el mecanismo de crecimiento tumoral es idéntico en
todos los tipos de cáncer y señalando a los neutrófilos (uno de los
cinco tipos de leucocitos) como la respuesta biológica más
adecuada al tumor
Terapia
Paso a Paso
Quimioterapia
 La quimioterapia consiste en el uso de
medicamentos (o drogas) para tratar el
cáncer. Algunas veces, a este tipo de
tratamiento se le llama sólo "quimio".
Mientras que la cirugía y la radioterapia,
remueven, destruyen o dañan las células
cancerosas en un área específica, la
quimioterapia funciona en todo el cuerpo.
Los medicamentos quimioterapéuticos
pueden destruir las células cancerosas que
han hecho metástasis o se han propagado a
otras partes del cuerpo alejadas del tumor
primario (original).

Con mayor frecuencia, la quimioterapia se
utiliza además de la cirugía, la radioterapia o
con ambos tratamientos. Estas son las
razones para ello:
 La quimioterapia puede utilizarse para
reducir el tamaño de un tumor antes de la
cirugía o de la radioterapia.
 Puede utilizarse después de la cirugía o la
radioterapia para ayudar a destruir las
células cancerosas remanentes.
 Puede utilizarse con otros tratamientos en
caso de que el cáncer vuelva a aparecer.
 Objetivos:
 Curar su cáncer.
 Evitar que el cáncer se propague.
 Retardar el crecimiento del cáncer.
 Destruir las células cancerosas que
pudieran haberse propagado a otras
partes del cuerpo desde el tumor
original.
 Aliviar los síntomas causados por el
cáncer.
 Efectos secundarios:
 Fatiga
 Náuseas y vómitos
 Pérdida del cabello
 Dolor
 Anemia
 Infecciones
 Problemas coagulatorios
 ...
Radioterapia
 La radioterapia utiliza partículas similares a las de los rayos X, pero de mayor energía, capaces de
penetrar en el cuerpo. Esta técnica para el tratamiento del cáncer actúa sobre el tumor,
destruyendo las células malignas e impidiendo que crezcan y se reproduzcan, pero también
destruye los tejidos normales de manera temporal, por lo que la radioterapia tiene efectos
secundarios. La ventaja es que las células sanas tienen mayor capacidad de regeneración que las
cancerosas, de manera que el cuerpo se recupera de los daños causados una vez que se ha
conseguido eliminar el tumor y se termina el tratamiento. La radioterapia puede administrarse bien
como tratamiento único o como complemento de la cirugía o la quimioterapia. Cuando se
radia previamente la zona afectada por el tumor, se reduce su tamaño facilitando la posterior
intervención del cirujano. En el caso de que las radiaciones se reciban después de pasar por el
quirófano, el objetivo es acabar con las células que hayan podido quedar tras la extirpación.
 La radioterapia también es el mejor abordaje en el caso de lesiones malignas que no son accesibles
mediante cirugía, bien porque el tumor está situado en una región del organismo de difícil
acceso, o por ser de gran tamaño, lo que imposibilita su extirpación. El tratamiento conjunto con
radioterapia y quimioterapia se utiliza también con frecuencia para aumentar la eficacia de ambos
tratamientos.
 Cesio, cobalto, fósforo, oro, iridio o el platino son algunas de las sustancias comúnmente
empleadas en estas terapias.
 La radioterapia se indica sobre todo para los casos de tumores malignos de cabeza y cuello,
cáncer de próstata, tumores ginecológicos, de partes blandas y tumores del sistema nervioso
central.
 Es especialmente eficaz en el caso del cáncer de mama ya que evita en muchos casos que tenga
que realizarse una mastectomía, o extirpación del pecho. Sucede lo mismo en el caso del cáncer de
vejiga.
 También se utiliza en aquellos casos en los que la enfermedad está ya en una fase demasiado
avanzada. En estas ocasiones el objetivo no es curar el cáncer, ni siquiera reducirlo, sino ayudar a
calmar el dolor, reducir la masa tumoral y evitar fracturas óseas. Es lo que se conoce como
radioterapia paliativa
 Efectos secundarios: Fatiga, cambios sanguíneos y epidérmicos, edemas, náuseas, perdida de
apetito.
Aparato de radioactividad
cancer.ppt

cancer.ppt

  • 2.
     En lamayor parte de los órganos y tejidos de un animal maduro suele conservarse un equilibrio entre la renovación y la muerte de las células.  Los diversos tipos de células maduras tienen un tiempo de vida media determinado; conforme mueren estas células se generan nuevas gracias a la proliferación y diferenciación de diversos tipos de células progenitoras.
  • 3.
     Bajo condicionesnormales, la producción de nuevas células se regula para que el número de cualquier tipo de estas se conserve constante.  Las células cancerosas pueden considerarse como células propias alteradas que han escapado a los mecanismos de regulación normal del crecimiento  Estás células dan lugar a clonas que pueden alcanzar un tamaño considerable con producción de un tumor o neoplasia
  • 4.
  • 5.
     Tumor benigno.No es capaz de crecer por tiempo indefinido y no invade los tejidos circundantes  Tumor maligno. Crece por tiempo indefinido e invade tejido de forma progresiva  El término cáncer se refiere de manera específica a un tumor maligno
  • 6.
     Los tumoresmalignos o cánceres se clasifican de acuerdo al origen del tejido embrionario del que deriva:  Carcinoma. Tumoración que se origina en tejidos endodérmicos o ectodérmicos, como la piel o el revestimiento epitelial de los órganos y glándulas internas. La mayor parte de los cánceres de colón, mama, próstata y pulmón corresponden a este tipo.
  • 7.
     Las leucemiasy los linfomas son tumores malignos de las células hematopoyéticas de la médula ósea. Las leucemias proliferan como células independientes, en tanto que los linfomas tienden a crecer como masas tumorales.  Los sarcomas. Son malformaciones menos frecuentes, derivan de tejidos conjuntivos mesodérmicos, como hueso, grasa y cartílago
  • 9.
    Invasión y Metástasis El cáncer es capaz de diseminarse a través de todo el cuerpo mediante dos mecanismos: invasión y metástasis.  La invasión se refiere a la migración y penetración directas de las células cancerosas en los tejidos vecinos.  La metástasis se refiere a la habilidad de las células cancerosas para penetrar dentro de los vasos linfáticos y sanguíneos, circular a través del torrente sanguíneo y después invadir los tejidos normales en otras partes del cuerpo.
  • 12.
     El cáncermuchas veces se percibe como una enfermedad que ataca sin razón alguna. Aunque los científicos aún no conocen todas las razones de ello, muchas de las causas del cáncer ya han sido identificadas. Además de los factores intrínsicos, tales como la herencia, dieta y hormonas, los estudios científicos señalan hacia la existencia de factores extrínsecos clave que contribuyen al desarrollo del cáncer: las substancias químicas (por ejemplo, el fumar), la radiación y virus o bacterias
  • 15.
     En realidad,sólo unos cuantos virus que infectan a las células humanas causan cáncer.
  • 16.
  • 17.
    Actualmente se sabeque el sistema inmune es capaz de reconocer determinados antígenos tumorales y a veces responde frente a ellos
  • 18.
    Mecanismos de evasión Baja inmunogenicidad  Modulación antigénica  Por demora inmune  Por supresión de la respuesta inmune inducida por el tumor
  • 20.
    Inmunoterapia Tumoral  Macrófagos.Los adyuvantes microbianos, como el bacilo BCG o el LPS, han sido utilizados como activadores inespecíficos de los macrófagos, que sintetizarían más TNF-α e IFN- α, y fagocitarían y presentarían mejor los antígenos tumorales a los linfocitos.  Citocinas. La administración de citocinas in vivo ha tenido cierto éxito en algunos tumores, como la leucemia de células pilosas o la mieloide crónica (IFN- α), ciertos carcinomas ováricos (IFN-γ ).
  • 21.
    Melanomas e hipernefronas(IL-2) y ascitis maligna (TNF- α). En algunos casos se ha utilizado G-CSF más para recuperar la inmunidad pérdida como consecuencia de otros tratamientos convencionales, que para atacar al tumor.  Linfocitos Tc y NK. Se ha ensayado con éxito la extracción de linfocitos periféricos o infiltrantes (TIL), su proliferación y activación in vitro con IL-2 o PHA, y la reinfusión al paciente de lo que suele llamarse células citolíticas activadas por linfocinas, en su mayoría linfocitos Tc y NK.
  • 22.
     Anticuerpos. Empleandoanticuerpos monoclonales (mAb) dirigidos contra antígenos especificos de tumores (CD20 en linfomas). Los mAb presentan tres limitaciones básicas: 1) Pobre accesibilidad a tumores sólidos 2) Escape tumoral 3) Incompatibilidad interespecífica
  • 23.
     Al últimoproblema se le han dado varias soluciones. Por un lado se han humanizado, generando quimeras con la porción Fc humana, lo cual facilita su tolerancia y función in vivo, pero garantizando su especificidad.  Se han acoplado a otros mAb (biespecíficos), que atraen y activan específicamente sobre le tumor a células CD3+,CD2+ o CD16.  También se acopla a los mAb a toxinas celulares modificadas (toxina diftérica o ricina), a isótopos radioactivos o a enzimas para ayudar a la destrucción de las células tumorales.
  • 25.
     Inmunización concélulas tumorales o antígenos purificados La identificación de antígenos tumorales compartidos por muchos tumores ha proporcionado otros medios para originar respuestas antitumorales, sin embargo, no tiene la eficacia necesaria o no es evidente. Se evalúan nuevos vectores inmunogénicos. En el cáncer de mama con péptidos de mucina y en el melanoma con péptido MAGE se inmuniza utilizando un adyuvante.
  • 26.
     Vacunas. Otramanera de lograr que el tumor sea rechazado es potenciar su inmunogenicidad. Se puede seguir estrategias de inmunización activa, como en el caso de las vacunas contra patógenos, utilizando estrategias simples como identificar y purificar antígenos tumorales, por ejemplo el propio BCR en ciertos linfomas, y utilizarlos como vacunas.
  • 27.
     Recientemente sesintetizó una proteína de fusión, en la que el gen que codifica la proteína tumoral se funde en la estructura de una citocina (IL-2 o GM-CSF), con lo que se logra una vacuna protectora y terapéutica.  Otra estrategia consiste en activar células dendríticas in vitro con antígenos tumorales o incluso extractos crudos de tumores y reinyectar estas células en el paciente.
  • 29.
    NORMA OFICIAL MEXICANANOM 041-SSA2- 2002 PARA: LA PREVENCION, DIAGNOSTICO, TRATAMIENTO, CONTROL Y VIGILANCIA EPIDEMIOLOGICA DEL CANCER DE MAMA.
  • 30.
    NOM-041  Esta NormaOficial Mexicana tiene por objeto establecer los criterios de operación para la prevención, diagnóstico, tratamiento, control y vigilancia epidemiológica del cáncer de mama. NOM 041-SSA2-2002
  • 31.
    Definiciones: Biopsia: Cáncer: La extracción detejido de un organismo vivo para examen microscópico con fines diagnósticos. Tumor maligno en general, que se caracteriza por pérdida en el control de crecimiento, desarrollo y multiplicación celular, con capacidad de producir metástasis. Carcinoma: Término que se refiere a una neoplasia epitelial maligna. Carcinoma In Situ de la mama: Tumor maligno confinado al epitelio que recubre un conducto o un lobulillo sin rebasar la membrana basal. NOM 041-SSA2-2002
  • 32.
    Definiciones: Ciclo Mamario Completo: Técnicade tratamiento con radiaciones ionizantes, el cual comprende la región mamaria afectada (con o sin glándula) y las zonas linfoportadoras. Comunicación Educativa: Proceso basado en el desarrollo de esquemas novedosos y creativos de comunicación que se sustenta en técnicas de mercadotecnia social, que permite la producción y difusión de mensajes de alto impacto, con el fin de reforzar los conocimientos en salud y promover conductas saludables en la población. Consejería: Proceso de comunicación interpersonal, entre el prestador del servicio de salud y usuarias, mediante el cual se proporcionan elementos para apoyar su decisión voluntaria, consciente e informada acerca de las actividades de detección, diagnóstico y tratamiento según sea el caso. NOM 041-SSA2-2002
  • 33.
    Factores de Riesgo: Conjuntode condiciones particulares que incrementan la probabilidad de desarrollar una patología. Gray: Dosis absorbida que resulta de la aplicación de 1 Joule/Kg de peso, necesaria para elevar la temperatura del agua en 2.4 por 10 calorías por gramo equivale a 100 rads. Es decir, 1 rad = 10 Gy = 1cGy. El Gray (GY) es la unidad en Sistema Internacional de la dosis absorbida. Hiperplasia Simple: La proliferación de más de dos células por encima de la membrana basal en el conducto o el lobulillo sin alteraciones citológicas ni estructurales. Definiciones: NOM 041-SSA2-2002
  • 34.
    Prevención Primaria: Todas aquellasactividades o acciones de promoción, educación o fomento de la salud, así como las de protección específica para la prevención de las enfermedades. Prevención Secundaria: Todas aquellas actividades o acciones que están encaminadas a lograr el diagnóstico y tratamiento temprano con el fin de limitar los daños a la salud. PrevenciónTerciaria: Todas aquellas actividades que se dirigen a la rehabilitación reconstructiva, estética y psicológica de la paciente, o a evitar complicaciones. Definiciones: NOM 041-SSA2-2002
  • 35.
    Número de nuevoscasos ocurridos en una población determinada en un período específico. Influenciada por exposición a factores etiológicos, suceptibilidad individual, afectada por pruebas de tamizaje, acceso a sistemas de salud. Incidencia: Mortalidad: Número de muertes atribuibles a una causa en particular en una población determinada en un período específico. Influenciada por la incidencia, factores biológicos individuales, características del tumor, estadío y respuesta al tratamiento disponible. Prevalencia: Representa el número de casos de una enfermedad en una población en un período específico. Está relacionada a la supervivencia, a la agresividad del tumor, a la mayor o menor curabilidad. Farin Kamangar. Patterns of Cancer Incidence, Mortality, and PrevalenceAcross Five Continents: Defining Priorities to Reduce Cancer Disparities in Different Geographic Regions of theWorld. Journal of ClinicalOncology. 24:2137-2150. 2006
  • 36.
    PREVENCION Y DETECCIONDE CANCER Introducción Proceso de transición epidemiológica  Sustitución de las enfermedades infecciosas  Desplazamiento de la carga de morbimortalidad  Nuevo perfil de la morbilidad y mortalidad  Alteraciones de la estructura poblacional  Repercusión en la calidad de vida Identificación y conocimiento del problema Elección de prioridades Definición de metas - Prevención y control
  • 37.
    CARGA GLOBAL DECANCER  Número de casos (millones) 1995* 2000** 2020* Incidencia 10 10.1 20 Mortalidad 6 6.2 12 Viven con cáncer* 22 >30 *Parkin D.M. Et al Ca. A Cancer J Clin , 1999,19 (1) **ParkinD.Maxwell Lancet Oncology, 2001,2: 533-43 Prevención:1/3 Detectar:1/3
  • 38.
    ESTIMADO DE TASASDE INCIDENCIA Y MORTALIDAD ESTANDARIZADA POR EDADx100000 Incidencia Mortalidad hombres mujeres hombres mujeres Todas las áreas* 201.9 157.8 134.4 88.3 Países Desarrollados* 300.9 218.3 173.9 103.0 Países en desarrollo* 113.8 127.9 112.8 77.5 RCLM 136.9 162.5 73.6 74.1 Trujillo 131.7 204.0 81.1 123.0 Trujillo (1991-95) 184 232.4 89.3 103.7 *globocan2000.Cancer incidencia, Mortalidad, Prevalencia.V1.0
  • 39.
    RIESGO ACUMULADO DEDESARROLLAR ALGUN TIPO DE CANCER RCLM,1990-1993 0 5 10 15 20 25 30 35 10 20 30 40 50 60 70 80 85 masculino femenino 1/3 1/159 1/3 1/138 1/547 1/709 1/42 1/20 1/7 1/6
  • 40.
    NM INEN 1997-2001(38740casos) Distribución por género C.uterino: 24.9 Mama: 19.2 Estómago: 5.8 Tiroides: 3.9 Otros piel: 3.8 Ovario: 3.3 Estómago: 12.1 Prótata: 9.9 Pulmón: 6.8 Otros piel: 5.8 Testículo: 4.8 Leucemia: 4.6
  • 41.
    Países mas Desarrollados: Europa,Australia, Nueva Zelanda, Norte América y Japón. Países menos Desarrollados: Africa, Centro América, Sur América, Asia (excepto Japón), el Caribe, Melanesia, Micronesia y Polinesia. Farin Kamangar. Patterns of Cancer Incidence, Mortality, and PrevalenceAcross Five Continents: Defining Priorities to Reduce Cancer Disparities in Different Geographic Regions of theWorld. Journal of ClinicalOncology. 24:2137-2150. 2006
  • 42.
    Farin Kamangar. Patternsof Cancer Incidence, Mortality, and PrevalenceAcross Five Continents: Defining Priorities to Reduce Cancer Disparities in Different Geographic Regions of theWorld. Journal of ClinicalOncology. 24:2137-2150. 2006 Incidencia en % de Cáncer a nivel mundial. Año 2002
  • 43.
    Farin Kamangar. Patternsof Cancer Incidence, Mortality, and PrevalenceAcross Five Continents: Defining Priorities to Reduce Cancer Disparities in Different Geographic Regions of theWorld. Journal of ClinicalOncology. 24:2137-2150. 2006
  • 44.
    - En 2002se diagnosticaron 10. 864.499 casos de cáncer a nivel mundial (excluyendo cáncer de piel no melanoma). - El Cáncer de Pulmón fue el mas frecuente a nivel mundial con 1.352.321 casos. - Muertes por Cáncer de Pulmón: 1.179.074. - El Cáncer de Mama es el cáncer mas frecuente en mujeres a nivel mundial con 1.152.161. Muertes por Cáncer de Mama: 411.093 . Farin Kamangar. Patterns of Cancer Incidence, Mortality, and PrevalenceAcross Five Continents: Defining Priorities to Reduce Cancer Disparities in Different Geographic Regions of theWorld. Journal of ClinicalOncology. 24:2137-2150. 2006
  • 45.
    - La incidenciase mantuvo en ascenso entre 1973 y 1997 en todas las regiones del mundo. - Japón y Costa Rica mantuvieron los aumentos menos significativos en la incidencia. - Los mayores aumentos en la incidencia se registraron en los países mas desarrollados (3 veces mas que en los países menos desarrollados) . - La mortalidad fue casi 2 veces menor en los países mas desarrollados comparado con los países menos desarrollados. Michelle D Althuis.Global trends in breast cancer incidence and mortality 1973–1997. International Journal of Epidemiology 2005;34:405–412 Farin Kamangar. Patterns of Cancer Incidence, Mortality, and PrevalenceAcross Five Continents: Defining Priorities to Reduce Cancer Disparities in Different Geographic Regions of theWorld. Journal of ClinicalOncology. 24:2137-2150. 2006
  • 46.
  • 47.
    Ahmedin jemal. AnnualReport to the Nation on the status of Cancer 1975 – 2001 with a Special Feature Regarding Survival.CA a Cancer Journal for Clinicians. 2008; 58: 71-96 1 Primeras 15 causas de muerte en EEUU 2005
  • 48.
    Ahmedin jemal. AnnualReport to the Nation on the status of Cancer 1975 – 2001 with a Special Feature Regarding Survival.CA a Cancer Journal for Clinicians. 2008; 58: 71-96
  • 49.
    HombresAfroaméricanos en relacióncon Hombres blancos: Cáncer en General: 19% mayor incidencia 37% mayor Mortalidad Mujeres Afroaméricanas en relación con Mujeres blancas: Cáncer en General: 6% menor incidencia (y cáncer de mama) 17% mayor mortalidad Consideraciones en cuanto a Raza. Ahmedin jemal. Annual Report to the Nation on the status of Cancer 1975 – 2001 with a Special Feature Regarding Survival.CA a Cancer Journal for Clinicians. 2008; 58: 71-96
  • 50.
    Ahmedin jemal. AnnualReport to the Nation on the status of Cancer 1975 – 2001 with a Special Feature Regarding Survival.Cancer july 1, 2004 Vol 101 Number 1 Supervivencia a 5 años y distribución por Estadíos.
  • 51.
  • 52.
    Casos totales: 110094 Masculinos:38193 Femeninos: 71091 Población Aprox: 1021140 00 Incidencia: 0.11% RHNM 2003
  • 53.
    Tumores Primarios porsitio anatómico en general 2003 Sitio Anatómico N° % CaCu In Situ 14867 13.50 Piel 14317 13.00 Mama 12488 11.34 Cuello uterino 9227 8.38 Linfomas 6911 6.2 Próstata 6536 5.94 Estómago 3584 3.26 Leucemias 3045 2.76 Ovario 2907 2.64 Colon 2381 2.16 Vejiga Urinaria 2272 2.06 Tiroides 1986 1.80 Pulmón 1870 1.70 Tejidos blandos 1804 1.64 Riñón 1588 1.44 Cuerpo Uterino 1552 1.41 Encéfalo 1503 1.37 Testículo 1287 1.17 Recto 1245 1.13 Mieloma 1121 1.01 Sitio Anatómico N° % CaCu In Situ 14867 20.68 Mama 12433 17.29 Cuello uterino 9227 12.83 Piel 7722 (7158) 10.74 Linfomas 3231 4.54 Ovario 2907 4.04 Estómago 1591 (1792) 2.21 Tiroides 1566 2.18 Cuerpo Uterino 1552 2.16 Leucemias 1383 (1522) 1.92 Colon 1202 (1190) 1.67 Tejidos blandos 911 (902) 1.27 Riñón 714 (794) 0.99 Encéfalo 691 (751) 0.96 Bronquios y Pulmón 682 0.95 Vejiga Urinaria 642 0.89 Recto 611 (622) 0.85 Mieloma 528 (560) 0.73 Próstata - - Testículo - - Tumores Primarios por sitio anatómico en Fem 2003 Sitio Anatómico N° % Piel 6595 17.27 Próstata 6536 17.11 Linfomas 3680 9.6 Estómago 1993 5.22 Leucemias 1662 4.30 Vejiga Urinaria 1630 4.27 Testículo 1287 3.37 Bronquios y Pulmón 1188 3.11 Colon 1179 3.09 Tejidos blandos 893 2.34 Riñón 874 2.29 Encéfalo 812 2.13 Recto 634 1.66 Mieloma 593 1.55 Tiroides 420 1.10 Mama 55 0.14 CaCu In Situ - - Cuello uterino - - Ovario - - Cuerpo Uterino - - Tumores Primarios por sitio anatómico en Masc 2003 Total: 38193 Total: 71901 Total: 110094 RHNM 2003
  • 54.
    Sitio Anatómico N°% Pulmón 6754 11.25 Estómago 5201 8.66 Hígado 4764 7.93 Próstata 4602 7.66 Cuello Uterino 4326 7.20 Mama 3933 6.55 leucemias 3588 5.97 Páncreas 2984 4.97 Colon 2436 4.06 linfomas 2178 3.63 Encéfalo 1582 2.63 Riñon 1475 2.46 Ovario 1403 2.34 Esófago 899 1.5 Vesícula 837 1.39 Laringe 814 1.36 Piel 768 1.28 mieloma 701 1.17 Vejiga 668 1.11 Sitio Anatómico N° % CaCu In Situ 14867 13.50 Piel 14317 13.00 Mama 12488 11.34 Cuello uterino 9227 8.38 Linfomas 6911 6.2 Próstata 6536 5.94 Estómago 3584 3.26 Leucemias 3045 2.76 Ovario 2907 2.64 Colon 2381 2.16 Vejiga Urinaria 2272 2.06 Tiroides 1986 1.80 Pulmón 1870 1.70 Tejidos blandos 1804 1.64 Riñón 1588 1.44 Cuerpo Uterino 1552 1.41 Encéfalo 1503 1.37 Testículo 1287 1.17 Recto 1245 1.13 Mieloma 1121 1.01 INCIDENCIAGENERAL MORTALIDAD GENERAL Total: 110094 Total: 60046 RHNM 2003
  • 55.
    Sitio Anatómico N° % CaCu InSitu 14867 20.68 Mama 12433 17.29 Cuello uterino 9227 12.83 Piel 7722 10.74 Linfomas 3231 4.54 Ovario 2907 4.04 Estómago 1591 2.21 Tiroides 1566 2.18 Cuerpo Uterino 1552 2.16 Leucemias 1383 1.92 Colon 1202 1.67 Tejidos blandos 911 1.27 Riñón 714 0.99 Encéfalo 691 0.96 Bronquios y Pulmón 682 0.95 Vejiga Urinaria 642 0.89 Recto 611 0.85 Mieloma 528 0.73 Sitio Anatómico N° % Cuello Uterino 4326 14.15 Mama 3889 12.72 Hígado 2531 8.28 Estómago 2411 7.89 Pulmón 2141 7 Leucemia 1630 5.32 Páncreas 1573 5.14 Ovario 1403 4.59 Colon 1282 4.19 Encéfalo 665 2.18 Vesícula 627 2.05 Riñon 557 1.82 Útero no especif. 356 1.16 Piel 345 1.13 Mieloma 329 1.08 Otras vias biliares 642 2.10 Sitios no especif. 869 2.84 linfomas 1006 3.29 Leucemias 1630 5.33 INCIDENCIA MUJERES MORTALIDAD MUJERES Total: 30574 Total: 71901 RHNM 2003
  • 56.
  • 57.
    Incidencia por EntidadFederal (%). RHNM 2003
  • 58.
    Distribución de tumorde mama según grupo de edad y sexo. La edad de aparición del Cáncer de Mama está disminuyendo ?? RHNM 2003
  • 59.
    Mortalidad Cáncer deMama. RHNM 2003
  • 60.
    INCan: 2005 2006  Ca deMama Invasor 570 624  Ca de Mama In Situ 21 09 Archivo Clinico
  • 61.
    Consejería: Debe ir dirijidaa:  Mayor de 25 años.  Con factores de riesgo.  En consulta prenatal.  Candidata a cirugía mamaria o,  En tratamiento con quimioterapia, radioterapia y/o hormonoterapia. NOM 041-SSA2-2002
  • 62.
    Prevención Primaria: Encaminada adar a conocer estos factores de riesgo:  Mujer mayor de 40 años,  Historia personal o familiar de cáncer de mama,  Nuligesta,  Primer embarazo a término después de los 30 años de edad,  Antecedentes de patología mamaria benigna (proceso proliferativo, hiperplasia atípica),  Vida menstrual de más de 40 años (menarca antes de los 12 años y menopausia después de los 52 años), y  Obesidad. NOM 041-SSA2-2002
  • 63.
    Prevención Secundaria: AUTOEXPLORACIÓN. EXAMENCLÍNICO Y MASTOGRAFÍA  Autoexploración: Se recomendará en forma mensual a partir de la menarca; entre el 7o. y 10 mo. día del ciclo. En la menopáusica en un día fijo elegible por ella. Historia personal o familiar de cáncer de mama.  Examen Clínico: Debe ser realizado por médico o enfermera capacitados, en forma anual, a todas las mujeres mayores de 25 años que asisten a las unidades de salud, previa autorización de la usuaria.  Mastografía: Anualmente o cada dos años, a las mujeres de 40 a 49 años con dos o más factores de riesgo y en forma anual a toda mujer de 50 años o más. A toda mujer que haya tenido un familiar (madre o hermana) con cáncer de mama antes de los 40 años; se le debe realizar un primer estudio de mastografía diez años antes de la edad en que se presentó el cáncer en el familiar y posteriormente de acuerdo a los hallazgos clínicos, el especialista determinará el seguimiento. NOM 041-SSA2-2002
  • 64.
    Sospecha Patología Mamaria Historia Clínica Factoresde Riesgo Examen Físico Imágenes Masto, Ultra Confirmación histológica: BAAF Aguja de Corte Incisional Escisional Con Marcaje NOM 041-SSA2-2002 Atención Especializada
  • 65.
    Fecha Sitio primario deltumor. Descripción macroscópica: Tamaño Márgenes quirúrgicos Descripción histopatológica: -Grado nuclear, índice mitótico, formación de túbulos. -Tipo histológico del tumor (ductal, lobulillar, otro; in situ o infiltrante), -Grado de diferenciación, y PVL Multicentricidad. Presencia o ausencia de metástasis ganglionares, número de ganglios afectados, Presencia o ausencia de invasión extracapsular, y RE; RP; Reporte Histopatológico: NOM 041-SSA2-2002
  • 66.
    Clasificación Histológica OMS. InSitu Invasor Otros Ductal Lobulillar Ductal Lobulillar Tubular Medular Mucinoso Secretor Papilar Adenoideo Quístico Metaplásico Apócrino Enfermedad de Paget En caso de observarse histologías combinadas se debe especificar el porcentaje de cada una de ellas. NOM 041-SSA2-2002
  • 67.
    Imágenes: Mastografía  CCy MLO  Indicaciones mastografía Diagnóstica  Mujer con síntomas de patología mamaria a partir de los 35 años,  Mujer joven con sospecha de cáncer mamario independiente de la edad,  Búsqueda de tumor primario desconocido, o  Antecedente personal de cáncer mamario.  Si existe densidad asimétrica; masa o tumor; microcalcificaciones; distorsión de la arquitectura, o ectasia ductal asimétrica, es necesaria la toma de proyecciones adicionales y/o ultrasonido complementario.  Mastografía de Seguimiento:  La primera mastografía se deberá realizar a los seis meses de iniciado el tratamiento quirúrgico conservador.  La segunda mastografía se deberá realizar en forma anual posterior al tratamiento quirúrgico. NOM 041-SSA2-2002
  • 68.
    Imágenes: Ultrasonido. Indicaciones  Mujermenor de 35 años con sintomatología mamaria,  Mama densa,  Caracterización de un nódulo,  Densidad asimétrica,  Implantes mamarios,  Mastitis o abscesos,  Embarazo con sintomatología mamaria,  Guía de procedimientos intervencionistas, o  Tumor quístico o sólido.  El estudio de ultrasonido NO se debe indicar en:  Detección del cáncer mamario, Mama grasa, y Microcalcificaciones. NOM 041-SSA2-2002
  • 69.
    Nomenclatura: Debe hacerse segúnla clasificación BIRADS:  BIRADS O: Estudio insuficiente o técnicamente deficiente.  BIRADS 1: Mama normal.  BIRADS 2: Hallazgos benignos.  BIRADS 3: Hallazgos probablemente benignos (es conveniente el seguimiento radiológico cada 6 meses durante 2 años o biopsia con aguja de corte).  BIRADS 4 a, b, c: Hallazgos probablemente malignos .  BIRADS 5: Hallazgo maligno (se sugiere biopsia).  BIRADS 6: Confirmado histológicamente. NOM 041-SSA2-2002
  • 70.
  • 72.
    Hacia el futuro Desde que se introdujeron las primeras vacunas contra las enfermedades infecciosas, los médicos han soñado con la posibilidad de emplear vacunas contra el cáncer.  Una gran cantidad de antígenos asociados a tumores han sido identificados, algunos han sido utilizados para generar vacunas, las cuales se han empleado para realizar pruebas clínicas.
  • 73.
     Los datosmuestran la inmunidad en pacientes con tumores espontáneos y la inducida por vacunación, así como la correlación entre la infiltración de células T tumorales y el incremento en la sobrevivencia de los pacientes.  A pesar de los resultados tan prósperos, muchos pacientes vacunados no mostraron aumento en la respuesta antitumoral, en algunos casos se presento de forma lenta y no relacionada con la progresión del tumor.
  • 74.
    Inmunidad Innata Antitumoral. Los receptores Toll (TLRs) están involucrados en la activación de la inmunidad innata.  Varias vacunas tienen adyuvantes como el CpG e imiquimod, los cuales activan a los TLRs.  El estudio de las señales mediadas por TLR puede facilitar el desarrollo de adyuvantes màs efectivos.
  • 75.
    E Pure ,J P Allison and R D Schreiber. Breaking down the barriers to cancer immunotherapy. Nature Immunology 2005;12(6):1207- 1210.
  • 76.
     Se havisto estos antígenos son más efectivos para producir inmunidad tumoral.  La vacunación con antígenos específicos del tumor puede ser crítica para la supervivencia de otras células, ya que pueden presentar estos antígenos.  Las vacunas contra el cáncer muestran un efecto limitado, esto debido a las barreras que bloquean la respuesta antitumoral.
  • 77.
     La inmunoterapiaadaptativa tiene más éxito, aunque las bases moleculares y celulares que intervienen son poco conocidas.  Si los resultados obtenidos se deben a la reactividad de las células tumorales o a la presencia de poblaciones celulares inhibitorias, por ejemplo, se puede tener mucha esperanza en la vacunación antitumoral.
  • 78.
    E Pure ,J P Allison and R D Schreiber. Breaking down the barriers to cancer immunotherapy. Nature Immunology 2005;12(6):1207- 1210.
  • 79.
  • 80.
    Prevención/eficacia de laintervención esporádico hereditario Inestabilidad genómica mutaciones Tamizaje/detección temprana Expansión clonal Heterogeneidad celular progresión Bases biológicas para la detección temprana (Fong etal,1999) F.ambiental Agentes infcciosos Dieta Radiación químicos Tumor Primario sintomático Preneoplasia/ preclinico Prevención Genética molecular
  • 81.
    PRINCIPALES CAUSAS CONOCIDAS DECANCER N° Casos Incidencia total (10 millones)  TABACO 3  DIETA 3  INFECCION 1.5 Sikora C., Cancer Estrategy 1999, 1,2-4.
  • 82.
    CONTROL DE CANCER PREVENCION DETECCIONINVESTIGACION DIAGNOSTICO EDUCACION REHABILITACION
  • 83.
    PREVENCION PRIMARIA  “Serefiere a los esfuerzos para reducir o eliminar la exposición a agentes carcinógenos: prevenir la iniciación o la promoción del proceso carcinogénico fundamental”  “Gran potencial público y en el control de cáncer costo efectivo de larga duración” Estrategias: Eliminar factor causal, Modulación Actividades: Investigación,Legislación, educación,
  • 84.
    TABAQUISMO Y CANCER Representa la mayor causa de muerte, 1982  87 % de las muertes por cáncer se debe a FUMAR  El consumo de tabaco es la causa mejor identificada de cáncer y evitable  Relacionado con una variedad de tipos y localizaciones de cáncer  Efecto nocivo de las personas alrededor del humo Ingredientes en el humo del tabaco: > 4000, (43 carcinógenos), riesgo permanente
  • 85.
    Beneficios del dejarde fumar  Viven mas las personas que las que continúan fumando  Si dejan de fumar a los 35 años evitan el 90% de riesgo atribuído al tabaco  Si dejan de fumar antes de los 50 tienen la mitad de los riesgos de morir en los próximos 15 años  significativamente el riesgo de cáncer de pulmón y otros cánceres  el riesgo de contraer otras enfermedades
  • 86.
    La única medidaefectiva de prevención No fumar
  • 87.
    DIETA Y CANCER Todo el mundo come, la exposición a los factores dietéticos es 100%.  La dieta es compleja y difícil de estudiar: hay factores que aumentan y disminuyen el riesgo de cáncer  Factores culturales - económicos: cambio de dieta Alimentación sana: reducción del riesgo de cáncer
  • 88.
    AGENTES INFECCIOSOS YCANCER  FR para varios tipos de cáncer  9% países desarrollados y 23 % en desarrollo  Cáncer de cérvix, estómago y hígado representan el 90% de todos los cánceres asociados con agentes infecciosos (países en desarrollo) Clave en la prevención: Desarrollo de vacunas
  • 89.
    ACTIVIDAD FISICA YCANCER ACS, Cancer,95(5),2002  Reducción de la incidencia del cáncer de colon en 40-50% comparado con personas sedentarias  Reducción de la incidencia de cáncer de mama en 30-40% (3-4 hs/s/reg)  Cáncer de pulmón y próstata: <consistencia  Peso corporal, distribución de la grasa, aumento de peso en el adulto, interrelacionados con la actividad física) Los beneficios para la salud: asociados con la actividad física
  • 90.
    PREVENCION SECUNDARIA “Incluye programasorganizados de tamizaje, detección temprana, identificando casos tempranos, con chance de cura” Estrategia: detección precoz Actividades: tamizaje, mét.dx, tto, educación
  • 91.
    TAMIZAJE (SCREENING)  Esuna intervención, para identificar una enfermedad, mediante la aplicación de una prueba o examen, en personas aparentemente sanas y detectar en un grupo de ellas, la probabilidad de tener una enfermedad particular que en el resto de la población  La prueba de tamizaje no es diagnóstica
  • 92.
    TAMIZAJE DE CANCER– CRITERIOS DE EVALUACION  Historia natural conocida  Estadío latente o precoz identificable  Técnica o prueba efectiva: detección temprana del cáncer  Tratamiento eficaz: resultado del tamizaje, éxito mejorado
  • 93.
    REVISION PERIODICA ENBUSCA DE CANCER  Aplicación en personas asintomáticas  Para cada localización de cáncer, edad y sexo  Poblaciones de alto riesgo  Guía para el paciente y para el médico  Decisión de políticas de salud
  • 94.
    DETECCION PRECOZ DECANCER RECOMENDACIONES(SAC,2004) mamas Mujer 20+ AEM ECM Mamografía 20, benef.,limit Cada 3 años,20- 30 años Anual, inicio 40 Anual, inicio 40 colon recto Hombres y mujeres 50+ PSOH Sigmoidoscopía PSOH + S Colonoscopía Anual, inicio 50 Cada 5,inicio 50 Cada 5,inicio 50 Cada 10,inicio50
  • 95.
    DETECCION PRECOZ DECANCER RECOMENDACIONES(SAC,2004) próstata Hombres, 50+ TR y PSA Anual, 50 (con espectativa de vida, 10 años) cérvix Mujeres, 18+ Pap 3 años post RS Cada año/ Pap, cada 2, cit líq, 30/cada 2 a 3 años (3 pap–) 70+/ HT: elección
  • 96.
    DETECCION PRECOZ DECANCER RECOMENDACIONES (SAC,2004) Son estrategias basadas en evidencia, para reducir la morbilidad y mortalidad del cáncer  Tamizaje de cáncer  Hallazgo de casos  Potencial para consejos de salud acerca del tabaco, exposición al sol, dieta y nutrición, factores de riesgo, prácticas sexuales y exposición ambiental, ocupacional: beneficio, limitaciones
  • 103.
    PRACTICAS DE PREVENCION Médico .Educación - entrenamiento – habilidades . Efectividad de la prevención . Percepciones personales . Creencias y hábitos de salud . Olvido . Pérdida del tiempo Paciente . Conocimiento y actitudes . Educación . Factor económico . Organización en la práctica de la medicina DESAFIO DE LA PREVENCION: identificar la conducta, el comportamiento, la tecnología y la implementación apropiada
  • 104.
    PERU 2000-2050. CANCER GLOBOCAN2000. IARC año Tasa cruda Población Nº casos 2000 m: 142.724 h: 103.386 12935295 12726371 18462 13157 2020 m: 200.155 h: 143.523 17036717 16719953 34100 13157 2035 m: 262.604 h: 196.991 19574725 19166179 51404 37756 2050 m: 316.873 h: 257.488 21384411 20907089 67761 53833
  • 105.
  • 106.
  • 109.
  • 112.
  • 113.
  • 114.
  • 115.
    Tratamiento...  Quirúrgico.  Quimioterapia. Radioterapia.  Hormonoterapia. NOM 041-SSA2-2002
  • 116.
    Seguimiento: Procedimiento Frecuencia INFORMACION ALA PCTE SOBRE SIGNOS Y SINTOMAS DE RECURRENCIA AL TERMINO DEL TRATAMIENTO EXAMEN FISICO CADA 3 MESES EL 1er. Y 2o. AÑO CADA 6 MESES EL 3o. Y 4o. AÑO ANUAL A PARTIR DEL 5o. AÑO AUTOEXAMEN MAMARIO MENSUAL MASTOGRAFIA A LOS 6 MESES DESPUES DEL TTO QX Y/O ANUAL, SEGUN SEA EL CASO TELE DE TORAX ANUAL ULTRASONIDO HEPATICO ANUAL GAMAGRAMA O SERIE OSEA SOLO SI HAY SINTOMATOLOGIA MARCADORES TUMORALES OPCIONALES NOM 041-SSA2-2002
  • 117.
    El futuro parala cura del cáncer: la inmunología  Un grupo de científicos españoles han descubierto el proceso de activación de una cierta proteína y aseguran que por esta activación producida por las células cancerosas (bautizada como “IRAK-M”) es lo que permite que el cáncer se desarrolle al lograr que el sistema inmune no las ataque.  Tras publicar las conclusiones de su estudio en el Journal of inmunology, dieron a conocer un descubrimiento que podría llegar a ser básico en la lucha contra el cáncer.  Esta investigación ha demostrado que la activación de la proteína bautizada como IRAK-M- supone la desctivación del sistema inmune que, de repente, pasa a mostrarse “tolerante” con la célula tumoral a la que un instante antes estaba combatiendo.  Hace pocos meses otro investigador español llamado Antonio Brú descubrió que el mecanismo de crecimiento tumoral es idéntico en todos los tipos de cáncer y señalando a los neutrófilos (uno de los cinco tipos de leucocitos) como la respuesta biológica más adecuada al tumor
  • 118.
  • 119.
    Quimioterapia  La quimioterapiaconsiste en el uso de medicamentos (o drogas) para tratar el cáncer. Algunas veces, a este tipo de tratamiento se le llama sólo "quimio". Mientras que la cirugía y la radioterapia, remueven, destruyen o dañan las células cancerosas en un área específica, la quimioterapia funciona en todo el cuerpo. Los medicamentos quimioterapéuticos pueden destruir las células cancerosas que han hecho metástasis o se han propagado a otras partes del cuerpo alejadas del tumor primario (original).  Con mayor frecuencia, la quimioterapia se utiliza además de la cirugía, la radioterapia o con ambos tratamientos. Estas son las razones para ello:  La quimioterapia puede utilizarse para reducir el tamaño de un tumor antes de la cirugía o de la radioterapia.  Puede utilizarse después de la cirugía o la radioterapia para ayudar a destruir las células cancerosas remanentes.  Puede utilizarse con otros tratamientos en caso de que el cáncer vuelva a aparecer.  Objetivos:  Curar su cáncer.  Evitar que el cáncer se propague.  Retardar el crecimiento del cáncer.  Destruir las células cancerosas que pudieran haberse propagado a otras partes del cuerpo desde el tumor original.  Aliviar los síntomas causados por el cáncer.  Efectos secundarios:  Fatiga  Náuseas y vómitos  Pérdida del cabello  Dolor  Anemia  Infecciones  Problemas coagulatorios  ...
  • 120.
    Radioterapia  La radioterapiautiliza partículas similares a las de los rayos X, pero de mayor energía, capaces de penetrar en el cuerpo. Esta técnica para el tratamiento del cáncer actúa sobre el tumor, destruyendo las células malignas e impidiendo que crezcan y se reproduzcan, pero también destruye los tejidos normales de manera temporal, por lo que la radioterapia tiene efectos secundarios. La ventaja es que las células sanas tienen mayor capacidad de regeneración que las cancerosas, de manera que el cuerpo se recupera de los daños causados una vez que se ha conseguido eliminar el tumor y se termina el tratamiento. La radioterapia puede administrarse bien como tratamiento único o como complemento de la cirugía o la quimioterapia. Cuando se radia previamente la zona afectada por el tumor, se reduce su tamaño facilitando la posterior intervención del cirujano. En el caso de que las radiaciones se reciban después de pasar por el quirófano, el objetivo es acabar con las células que hayan podido quedar tras la extirpación.  La radioterapia también es el mejor abordaje en el caso de lesiones malignas que no son accesibles mediante cirugía, bien porque el tumor está situado en una región del organismo de difícil acceso, o por ser de gran tamaño, lo que imposibilita su extirpación. El tratamiento conjunto con radioterapia y quimioterapia se utiliza también con frecuencia para aumentar la eficacia de ambos tratamientos.  Cesio, cobalto, fósforo, oro, iridio o el platino son algunas de las sustancias comúnmente empleadas en estas terapias.  La radioterapia se indica sobre todo para los casos de tumores malignos de cabeza y cuello, cáncer de próstata, tumores ginecológicos, de partes blandas y tumores del sistema nervioso central.  Es especialmente eficaz en el caso del cáncer de mama ya que evita en muchos casos que tenga que realizarse una mastectomía, o extirpación del pecho. Sucede lo mismo en el caso del cáncer de vejiga.  También se utiliza en aquellos casos en los que la enfermedad está ya en una fase demasiado avanzada. En estas ocasiones el objetivo no es curar el cáncer, ni siquiera reducirlo, sino ayudar a calmar el dolor, reducir la masa tumoral y evitar fracturas óseas. Es lo que se conoce como radioterapia paliativa  Efectos secundarios: Fatiga, cambios sanguíneos y epidérmicos, edemas, náuseas, perdida de apetito.
  • 121.