Clase 9
Clase 9
Tejido Sanguíneo (Sangre)
Tejido Sanguíneo (Sangre)
y Tejido Linfático
y Tejido Linfático
Eduardo Tobar Lagos
Cátedra Colegiada de
Histología General
Objetivos de aprendizaje:
-Clasificar y describir los componentes de la sangre, sus
poblaciones celulares y función.
-Conocer los componentes del sistema linfatico.
-Describir la organización morfofuncional del sistema
linfatico.

Contenidos:
Sangre y Sistema linfático . Sistema vascular sanguíneo:
Ganglios linfáticos. Origen, organización y desarrollo.
Estructuras, funcionalidad. Órganos Linfoides:
Amígdalas, Bazo y Timo
Sociedades Histológicas

EPITELIAL

MUSCULAR

NERVIOSO

CONECTIVO
Cuerpo Humano
Relación
• Aparato
Locomotor
– Sistema óseo
– Sistema
muscular
– Aparato
articular

• Sistema
tegumentario
• Órganos sentidos

Coordinación y
Control
• Sistema
Nervioso
• Sistema
Endocrino
• Sistema
Inmune

Homeostasis
• Aparato
circulatorio
• Aparato
Digestivo
• Aparato
Respiratorio
• Aparato
Urogenital
– Aparato
urinario
– Aparato
genital
Sangre (Tejido Sanguíneo)
Definición:
Tejido
líquido
de
origen
mesodérmico, constit
uído por elementos
formes
celulares, suspendidos
por
el
plasma
sanguíneo, y que debe
estar
circulando
dentro del sistema
vascular
Origen embrionario:
18 al 21 día de gestación:
Formación de vasos
sanguíneos y sangre
Periodo durante el cual se forman
vasos sanguíneos, tanto del
mesoderma intrembrionario
como del extraembrionario.
•

Proceso: células mesenquimaticas
se unen formando estructuras
cilíndricas, las células que se
encuentran en el exterior formaran
células endoteliales y las internas
glóbulos rojos.

•

En el mesodermo algunas células
mesenquimaticas secretan VGFa y
otro grupo de células expresan
receptores de VGFa, esto determina
que el segundo grupo celular
diferencie a
endoteliecitos, creciendo y
ramificándose, y a un tercer grupo
de célula que diferenciara a células
musculares lisas de estos vasos.
7
Formación de Sangre

Día 21 de la gestación: ya es
posible observar, vasos
umbilicales, vasos de las
vellosidades, vasos
embrionarios, futuro
corazón, vasos del saco
vitelinio, etc.

8
Descripción general
• Considerada por muchos autores como el 5
tejido.
• El tejido sanguíneo se deriva del mesodermo.
Por lo que lo consideraremos tejido conectivo
especializado.
• Este tejido posee 2 variedades: Sangre
Periférica y Tejido Hemopoyético.
FUNCIONES DE LA SANGRE
• Llevar oxígeno a los tejidos del cuerpo desde
los pulmones y CO2 desde los tejidos hasta los
pulmones.
• Llevar sustancias digestivas desde el tracto
digestivo hacia los tejidos.
• Llevar sustancias de desecho desde los tejidos
hasta los riñones e hígado.
• Transportar sustancias hormonales desde el
órgano que la liberó hasta el órgano diana
Generalidades De La Sangre.
• La sangre es un tejido fluido que circula
por capilares, venas y arterias de todos
los vertebrados e invertebrados. Su
color rojo característico es debido a la
presencia del pigmento
hemoglobínico contenido en
los eritrocitos.

• La sangre es un tejido conjuntivo liquido
que circula a través del aparato
cardiovascular, la sangre es impulsada
por la acción de bomba del corazón para
que llegue a todos los tejidos del
organismo
• El volumen total de sangre en un adulto
Transporte de sustancias
normal es de alrededor de las litros, lo cual
nutritivas y oxigeno hacia 6
células en forma directa o
indirecta.
equivale al 7 a 8% del peso corporal total.
Transporte de celulas y
agentes humorales del sistema
inmunitario que protege al
organismo de agentes
patogenos

Mantenimiento de la
homeostasis para actuar como
amortiguador y participa en la
coagulación y la
termorregulación.

Transporte de desechos y
dióxido de carbono desde las
células

Distribución de hormonas y
otras sustancias reguladoras
en las células y los tejidos.
Sangre periférica.
• La sangre es un líquido ligeramente
alcalino (pH 7.4) viscoso de color
rojo brillante (escarlata) que
constituye aproximadamente el 7%
del peso corporal, 5L.

• Como todo tejido está formado por
células y sustancia intercelular. Las
células en este caso corresponde
los elementos formes de la sangre
y la matriz extracelular corresponde
al liquido donde viajan estas células
que se denomina plasma
Sangre (Tejido Sanguíneo):
Elementos:
• Células
• Matriz Fibrilar (Potencial)
Plasma
• Matriz No Fibrilar

Suero
Plasma

• Es el material extracelular
liquido que le imparte a la
sangre su fluidez. El volumen
relativo de células y plasma es
de alrededor de 45% y 55%
respectivamente.
• El volumen de los eritrocitos
compactos en una muestra de
sangre recibe el nombre de
hematocrito.
• Los leucocitos y las plaquetas
constituyen el 1% del volumen
sanguíneo.
Plasma
• Es la matriz extracelular en las que viajan
las células compuesto por H2O (90%)
proteínas como el fibrinógeno, albumina y
globulinas 9% y otros compuestos
inorgánicos como gases compuestos
nitrogenados sales y nutrientes 1%
• Si se coagula la sangre el fibrinógeno y
otros compuestos del plasma forman parte
del coagulo, entonces al líquido restante se
le denomina suero.
• Los solutos del plasma contribuyen a
mantener la homeostasis, un estado de
equilibrio que proporciona una osmolaridad y
un pH óptimos para el metabolismo celular.

•
-

Las proteínas plasmáticas son principalmente:
Albumina
Globulinas
Fibrinógeno
Albumina

Globulinas

• Es el principal componente proteico del plasma, se sintetiza en el
hígado, la albumina es responsable de ejercer el gradiente de
concentración entre la sangre y el liquido histico extracelular.

• Comprenden las inmunoglobulinas que son el mayor componente
de la fracción globulinica y las globulinas no inmunes.
• Las inmunoglobulinas son anticuerpos, una clase de moléculas
funcionales del sistema inmunitario secretada por los plasmocitos

• Es la proteína mas grande se sintetiza en el higado

Fibrinógeno
Células
• Eritrocitos
• Leucocitos
• Plaquetas
Eritrocitos, Glóbulos rojos o
hematíes
• Son células sumamente
especializadas que
carecen de núcleo y
cualquier otro organelo.
• Son las células más
abundantes de la
sangre, hay
aproximadamente entre 4
a 5 millones por mm³
• Su función es transportar
O2 unido a la
hemoglobina de los
pulmones a los órganos.
• Vida media: 120 días
• Son células bicóncavas con
lo que aumentan su
superficie. Poseen un
citoesqueleto el cual les
permite deformarse para
pasar por los capilares que
son más pequeños que
ellos.
• color verde amarillento
pero en conjunto gracias a
la hemoglobina le dan la
coloración roja escarlata de
la sangre.
• 7,7 um diámetro
La membrana celular del eritrocito esta
compuesta por una capa lipidica típica que
contiene dos grupos de proteínas importantes
desde el punto de vista funcional:
Proteínas
integrales de
membrana
Proteínas
periféricas de la
membrana

• Que son la mayoría de las proteínas en la
bicapa lipidica y que se agrupan en dos
familias principales: glucoforinas y proteína
banda 3.

• Que se encuentran en la superficie interna
de la membrana celular y se organizan en
una red bidimensional de modelo
hexagonal que forma una lamina sobre la
superficie citoplasmática de la hojuela
interna de la membrana.
La estructura de las cadenas poli péptidas varia y según
los poli péptidos particulares que haya en la
macromolécula pueden distinguirse varios tipos de
hemoglobina:

• Tiene gran prevalencia
en adultos(alrededor del
96% de la hemoglobina
total). Contiene dos
cadenas α y dos cadenas
β.

Hemoglobina
A(HbA)

Hemoglobina
A2(HbA2)
• Que constituye de 1.5 al
3% de la hemoglobina
total en los adultos.
Contiene dos cadenas α
y dos cadenas δ

• Que totaliza menos del
1% de la hemoglobina
en los adultos. Contiene
dos cadenas γ y es la
forma hemoglobínica
principal del feto.

Hemoglobina
F(HbF)
plaquetas
plaquetas o trombocitos
• En realidad no son células
como si, sino que son
fragmentos celulares
pequeños con forma de
disco y sin núcleo derivados
de megacariocito de la
médula ósea
• Forman parte vital en el
proceso de detención de
un sangrado (hemostasia)
formando un tapón
temporal.(trombo)
• Desde el punto de
vista estructural de los
trombocitos, estos se
pueden dividir en
cuatro zonas según su
organización y función:
–
–
–
–

Zona Periférica
Zona Estructural
Zona de Orgánulos
Zona Membranosa
Leucocito.
• Los leucocitos se subclasifican en dos grupos
generales. El fundamento de la división es la
presencia o la ausencia de gránulos específicos
prominentes en el citoplasma.
• Las células que contienen gránulos específicos se
clasifican como
granulocitos(neutrofilo, eosinofilo, y basofilo.)
mientras las que carecen de estos gránulos se
incluyen en el grupo de los agranulocitos(
linfocitos y monocitos)
• No obstante tanto los granulocitos como los
agranulocitos poseen pequeños gránulos
inespecíficos azurofilos que corresponden a
lisosomas.
leucocitos
• Granulocitos /
Polimorfonucleares
– Neutrófilos
– Basófilos
– Eosinófilos

• Agranulocitos /
Monomorfonucleares
– Monocitos
– Linfocitos
Leucocitos o Glóbulos blancos
• Son las células del
sistema
inmunitario, están
encargadas de proteger al
organismo contra
sustancias o seres
nocivos. Hay
aproximadamente entre
5000 y 10000 mm³
• Son inactivos en el
torrente sanguíneo
• Las vamos a clasificar en
granulocitos y
agranulocitos
dependiendo si poseen o
no gránulos en su
citoplasma.
Neutrófilos.
• Son los más abundantes (55 a
60%)
• Son fagocitos ávidos y destruyen
bacterias que invaden el tejido
conectivo.
• Poseen núcleos con 3 o 5
lobulaciones.
• Participan en la inflamación
aguda.
• son células móviles; abandonan
la circulación y migran hacia su
sitio de acción en el tejido
conjuntivo
Los neutrofilos contienen tres tipos de
gránulos:
• Gránulos secundarios ;son los gránulos mas pequeños y por lo menos
dos veces mas abundantes que los gránulos azurofilos. Contienen
diversas enzimas colagenasa IV, fosfolipasa así como activadores del
Los Gránulos
complemento
Específicos.
• Gránulos primarios; son mas grandes y menos abundantes que los
gránulos específicos. Surgen de la granulopoyesis y aparecen en todos
los granulocitos, lo mismo que en los monocitos y los linfocitos
Los Gránulos
contiene mieloperoxidasa
Azurofilos.

• En los neutrofilos son de dos tipos: un tipo contiene fosfatasa mientras
el otro contiene metaloproteinasas que según se cree facilitan la
Los Gránulos
migración del neutrofilo a través del tejido conjuntivo.
Terciarios.
• Los neutrofilos son fagocitos activos en los
sitios de inflamación.
• La mayoría de los neutrofilos mueren en este
proceso; la acumulación de bacterias
destruidas y neutrofilos muertos constituye el
espeso exudado amarillento llamado pus.
Neutrófilos: cantidad de lóbulos
Fórmula de Arneth:
- 1 lóbulo:
5%
- 2 lóbulos:
35%
- 3 lóbulos:
41%
- 4 lóbulos:
17%
- 5 lóbulos:
2%

% neutrófilos
45
40
35
30
25
20
15
10
5
0

% neutrófilos
Eosinófilos.
• Los eosinófilos fagocitan
complejos antígeno-anticuerpo y
destruyen invasores parásitos.
• Forman entre el 1 a 3% de los
leucocitos
• Tambien pueden tener núcleo
bilobulado.
• Se asocian con reacciones
alérgicas, infestaciones parasitarias
e inflamación crónica.
• Cristales Charcot-Leyden
Citoplasma

Gránulos Específicos

Contienen: MBP,ECP, EPO,EDN;
histaminasa,colagenasa y catepsina

Gránulos Azurófilos

Son Lisosomas
Basófilos
• La función de los basófilos es
similar a la de las células
cebadas aunque poseen
diferentes orígenes.
• Los basófilos se caracterizan
por sus gránulos grandes y su
fuerte tinción.
• Específicos(
heparina, histamina, Heparan
sulfato y leucotrienos)
• Inespecificos
• 0 a 7% de los leucocitos
totales
Comparación entre Mastocitos y Basófilos
Características

Mastocitos

Basófilos

Origen

Célula madre
hemopoyetica

Célula madre
hemopoyetica

Sitio de diferenciación

Tejido conjuntivo

Medula ósea

Mitosis

Si(a veces)

No

Longevidad

Semanas a meses

Días

Tamaño

20-30ụm

7-10ụm

Forma del núcleo

Redondeado

Segmentada

Gránulos

Muchos y grandes

Pocos y pequeños

Marcador de actividad
celular

Triptasa

Todavía no descubierto
Linfocitos
• Son agranulocitos y forman
la segunda población más
grande de glóbulos blancos
25 a 33%.
• Existen 2 tipos de linfocitos B
y T que son imposible de
distinguir a simple vista.
• Los linfocitos poseen un
núcleo grande y poco
citoplasma
• Principales células
funcionales del sistema
inmunitario.
• Son los agranulocitos mas
comunes.
• Contienen grandes
cantidades de
mitocondrias y pequeñas
cisternas de RER.
Linfocitos

Linfocitos T

Citotóxicos

Linfocitos B

Coadyuvantes

Supresores

Linfocitos NK
Monocitos
• Son los macrófagos de la
sangre.
• Se encuentran inactivos al
viajar al tejido conectivo se
activan y se denominan
macrófagos.
• Son las células circulantes
más grandes posen una
indentacion en el núcleo que
le da forma de riñón
• Forman de un 3 a un 7% de
los leucocitos.
Hematopoyesis
Fase del
Saco
Vitelino

Fase
Medular
ósea

Fase
Hepática
eritropoyetina
•

La leucemia es un
cáncer de los glóbulos
blancos. Los glóbulos
blancos ayudan a su
organismo a combatir
las infecciones. Las
células sanguíneas se
forman en la médula
ósea. Sin embargo, en
la leucemia la médula
ósea produce glóbulos
blancos anormales.
Estas células
reemplazan a las
células sanguíneas
sanas y dificultan que
la sangre cumpla su
función.
Linfa
• Líquido proveniente del
transudado de vasos
sanguíneos, conformad
o por plasma y algunos
leucocitos, que circula
desde la periferia hacia
la sangre por los vasos
linfáticos, pasando por
los linfonodos
Vasos linfáticos

Células linfoides

•Balance de fluídos
Sistema
Linfático

•Absorción de
macromoléculas
•Defensa

•Linfocitos
•Macrófagos
•Céls. Dendríticas
•Céls. reticulares

Órganos linfoides
•Encapsulados
•Tejido linfático difuso
Inmunidad adquirida
• Cèlulas presentadoras
de antìgenos
– Macròfagos

• Cèlulas antigenoespecificas

– Linfocitos T4, T8, B y
plasmocitos

• Celulas efectoras

– Granulocitos, linfocito
NK, mastocito, macròfa
gos
Linfocitos
• T
• T CD 4 colaboradores
• T CD 8 citotòxicos
• B
• Productores de
Inmunoglobulinas

• NK ò Linfocitos
granulares grandes
1 Interior del capilar. 2. Célula y núcleo. 3. Espacio intersticial. 4. Célula endotelial del capilar
linfático. 5. Abertura en el endotelio. 6. Filamento de anclaje
Tejido linfoide
• Difuso
– Linfocitos T

• Folìculos linfoideos
– Integrales de linfonodos o bazo
– Aislados en mucosas
– Acùmulos en tonsilas, placas de Peyer y apèndice
– Linfocitos B
Órganos Linfoides
(linfáticos)
• Centrales:
– Timo
– Médula ósea

• Periféricos
–
–
–
–

Linfonodos
Bazo
Tejido linfático asociado a piel
Tejido linfático asociado a
mucosas
– Tonsilas

• Sistema Reticuloendotelial
I. Médula Ósea
• Comienzo del sistema
linfático
• presencia de cèlulas
madre de todas las
lìneas celulares
sanguìneas
II. Timo
• cápsula fibrosa tabiques
• lóbulos de 0,5 a 2 cm. de
diámetro.
• central o medular de
coloración clara,
• cortical de coloración más
oscura.
• cápsula tímica:arterias
capsulares
• Ramas por espesor de la
trabécula hasta el límite
córtico-medular
• El timo está rodeado de una delgada
cápsula de tejido conectivo que se
proyecta hacia el interior como
septos dividiendo al órgano en
lobulillos.
• En cada lobulillo se aprecia una
corteza de linfocitos densamente
agrupados y una médula más clara.
• El timo carece de nódulos linfoides y
está sostenido por células reticulares
epiteliales. Los corpúsculos de
Hassall son exclusivos del timo y se
localizan en la médula. Son
estructuras redondeadas y acidófilas
constituidas por células reticulares
aplanadas dispuestas en forma
concéntrica, que pueden sufrir
queratinización y calcificación en la
zona central.
• Zona cortical, la forman
abundantes linfocitos entre
células estrelladas epitelio
reticulares
• En el limite
corticomedular, las arterias
traveculares se dividen en
arteriolas que penetran
hacia la cortical y hacia la
medular dando capilares. El
retorno venoso es paralelo
• Zona medular, formada por
celulas epiteliales y
corpusculos de Hassall
cortical
•

•

Los linfocitos de la cortical del timo
presentan una cierta variación y
distribución dentro de la corteza, así: los
linfocitos de la cortical externa son de
gran tamaño, los de la parte interna de la
cortical son linfocitos de pequeño tamaño
y entre ambas capas, ex-tema e
interna, se encuentran los linfocitos en
mitosis.
Las células epitelioreticulares , tienen
forma de araña, contactan entre sí por
medio de desmosomas en los extremos
de sus prolongaciones, y forman un
citoretículo en cuyos intersticios se
encuentran vasos sanguíneos con su
gruesa lámina basal, linfocitos, algún
mastocito y plasmocito
medular
• Los corpúsculos de Hassall se
forman por células epiteliales
planas concéntrica y apretada.
Las células centrales con el
tiempo se hinchan, se
queratinizan y terminan por
necrosarse y calcificarse
• Las células epiteliales son células
grandes de aspecto poligonal. El
citoplasma es abundante y en él
se encuentran paquetes de
tonofilamentos que forman un
retículo y pequeños cuerpos de
inclusión. La membrana celular es
muy rica en desmosomas.
III Linfonodos
• Localización
• Función
Linfonodos
• Corteza
• Médula
• El linfocentro está cubierto
por una cápsula de tejido
conectivo que emite
trabéculas hacia el interior.
En la zona cortical se
observan los folículos
linfoides.
Corteza
• En la zona cortical se
observan los folículos
linfoides. La corteza
profunda (zona
paracortical) está
formada por linfocitos T.
Médula
• La zona medular se
compone de cordones
medulares formados
por tejido linfoide
difuso y senos
medulares por donde
fluye la linfa. Los senos
son regiones menos
celulares que el
parénquima
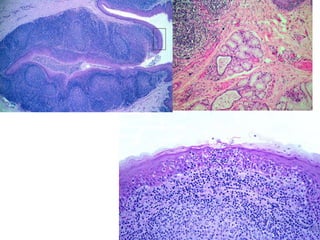
IV Tonsilas
• agregados de nódulos
linfoides y de tejido linfoide
difuso
• tonsilas con criptas y sin
criptas.
• epitelio estratificado plano
queratinizado.
• glándulas asociadas
mucosas excepto en los
carnívoros donde son
mixtas.
V Bazo
• órgano semiesférico de
unos 10 cm. de diámetro y
150 gramos de peso
• En el centro de su parte
plana se advierte el hilio por
donde penetran y salen las
arterias y venas esplénicas.
• Pulpa blanca
• Pulpa roja
HISTOLOGIA
HISTOLOGIA
HISTOLOGIA
HISTOLOGIA
Al corte, el bazo muestra
sobre un fondo rojo
oscuro, pulpa roja
(abundante sangre) un
punteado blanquecino
difuso que se denomina
pulpa blanca
(abundantes foliculos
linfáticos). El bazo posee
una cápsula fibrosa, con
alguna fibra muscular
lisa, de cubierta
• Estos folículos
suelen tener de
modo excéntrico
un pequeño centro
germinativo claro
o folículo
secundario
rodeado de
linfocitos que
forman la zona del
manto.
Cordones de bilroth
• Los capilares sinusoides
se convierten en venas
de la pulpa con un
calibre mayor y más
regular, apareciendo
una lámina basal
contínua por dentro de
la cual se encuentra un
endotelio plano, y por
fuera se pueden
advertir células
musculares (marron) y
fibroblastos (verde).
Bazo 2
• cápsula del bazo es rica en
músculo liso y fibras elásticas, y
emite trabéculas hacia el interior.
El parénquima del bazo está
formado por la pulpa esplénica
blanca y la pulpa esplénica roja.
La pulpa blanca está formada por
las vainas linfoides periarteriales
(linfocitos T) y los folículos
linfoides (linfocitos B). En
cualquier caso siempre se
identifica la arteria (arteriola)
central. La pulpa roja está
formada por los sinusoides
esplénicos.
VI Placas de Peyer
•
•
•
•
•
•

M.A.L.T.
(Tejido Linfático Asociado a Mucosas)
cúmulos de tejido linfático (folículos
linfoides) :
intestino delgado,el colon, el
recto, apéndice vermicular
íleon terminal
linfocitos B, inmunoglobulinas
A, (exclusión
inmunológica), opsonizando agentes
patógenos que atraviesen estas
paredes para que estos últimos
puedan ser procesados por las
células presentadoras de antígenos
(CPA) y presentados a los linfocitos
T, desencadenando una respuesta
inmune.
Placas de Peyer
•
•
•
•
•
•

M.A.L.T.
(Tejido Linfático Asociado a
Mucosas)
cúmulos de tejido linfático
(folículos linfoides) :
intestino delgado,el colon, el
recto, apéndice vermicular
íleon terminal
linfocitos B, inmunoglobulinas
A, (exclusión
inmunológica), opsonizando
agentes patógenos que atraviesen
estas paredes para que estos
últimos puedan ser procesados
por las células presentadoras de
antígenos (CPA) y presentados a
los linfocitos T, desencadenando
una respuesta inmune.
• agregados de nódulos
linfoides situados en la
lámina propia y submucosa
de intestino
delgado, particularmente
íleon. Se pueden apreciar
en ocasiones los centros
germinativos. El tejido
linfoide difuso entre dichos
folículos linfoides está
formado por linfocitos T.
Sistema de Células presentadoras de
antígenos
Monocítico-Macrofágico
(Reticuloendotelial)
• Macrófagos
• Céls. de Kupffer (hígado)
• células reticulares (pulmón)
• células reticulares (médula
ósea)
• células reticulares
(linfonodos)
• células reticulares (bazo):
Cordones de Billroth
• células dendríticas de
Langerhans (piel)
• osteoclastos
• eliminación de cuerpos
extraños
Clase 9 sangre y linfático

Clase 9 sangre y linfático

  • 1.
    Clase 9 Clase 9 TejidoSanguíneo (Sangre) Tejido Sanguíneo (Sangre) y Tejido Linfático y Tejido Linfático Eduardo Tobar Lagos Cátedra Colegiada de Histología General
  • 3.
    Objetivos de aprendizaje: -Clasificary describir los componentes de la sangre, sus poblaciones celulares y función. -Conocer los componentes del sistema linfatico. -Describir la organización morfofuncional del sistema linfatico. Contenidos: Sangre y Sistema linfático . Sistema vascular sanguíneo: Ganglios linfáticos. Origen, organización y desarrollo. Estructuras, funcionalidad. Órganos Linfoides: Amígdalas, Bazo y Timo
  • 4.
  • 5.
    Cuerpo Humano Relación • Aparato Locomotor –Sistema óseo – Sistema muscular – Aparato articular • Sistema tegumentario • Órganos sentidos Coordinación y Control • Sistema Nervioso • Sistema Endocrino • Sistema Inmune Homeostasis • Aparato circulatorio • Aparato Digestivo • Aparato Respiratorio • Aparato Urogenital – Aparato urinario – Aparato genital
  • 6.
    Sangre (Tejido Sanguíneo) Definición: Tejido líquido de origen mesodérmico,constit uído por elementos formes celulares, suspendidos por el plasma sanguíneo, y que debe estar circulando dentro del sistema vascular
  • 7.
    Origen embrionario: 18 al21 día de gestación: Formación de vasos sanguíneos y sangre Periodo durante el cual se forman vasos sanguíneos, tanto del mesoderma intrembrionario como del extraembrionario. • Proceso: células mesenquimaticas se unen formando estructuras cilíndricas, las células que se encuentran en el exterior formaran células endoteliales y las internas glóbulos rojos. • En el mesodermo algunas células mesenquimaticas secretan VGFa y otro grupo de células expresan receptores de VGFa, esto determina que el segundo grupo celular diferencie a endoteliecitos, creciendo y ramificándose, y a un tercer grupo de célula que diferenciara a células musculares lisas de estos vasos. 7
  • 8.
    Formación de Sangre Día21 de la gestación: ya es posible observar, vasos umbilicales, vasos de las vellosidades, vasos embrionarios, futuro corazón, vasos del saco vitelinio, etc. 8
  • 9.
    Descripción general • Consideradapor muchos autores como el 5 tejido. • El tejido sanguíneo se deriva del mesodermo. Por lo que lo consideraremos tejido conectivo especializado. • Este tejido posee 2 variedades: Sangre Periférica y Tejido Hemopoyético.
  • 10.
    FUNCIONES DE LASANGRE • Llevar oxígeno a los tejidos del cuerpo desde los pulmones y CO2 desde los tejidos hasta los pulmones. • Llevar sustancias digestivas desde el tracto digestivo hacia los tejidos. • Llevar sustancias de desecho desde los tejidos hasta los riñones e hígado. • Transportar sustancias hormonales desde el órgano que la liberó hasta el órgano diana
  • 11.
    Generalidades De LaSangre. • La sangre es un tejido fluido que circula por capilares, venas y arterias de todos los vertebrados e invertebrados. Su color rojo característico es debido a la presencia del pigmento hemoglobínico contenido en los eritrocitos. • La sangre es un tejido conjuntivo liquido que circula a través del aparato cardiovascular, la sangre es impulsada por la acción de bomba del corazón para que llegue a todos los tejidos del organismo
  • 12.
    • El volumentotal de sangre en un adulto Transporte de sustancias normal es de alrededor de las litros, lo cual nutritivas y oxigeno hacia 6 células en forma directa o indirecta. equivale al 7 a 8% del peso corporal total. Transporte de celulas y agentes humorales del sistema inmunitario que protege al organismo de agentes patogenos Mantenimiento de la homeostasis para actuar como amortiguador y participa en la coagulación y la termorregulación. Transporte de desechos y dióxido de carbono desde las células Distribución de hormonas y otras sustancias reguladoras en las células y los tejidos.
  • 13.
    Sangre periférica. • Lasangre es un líquido ligeramente alcalino (pH 7.4) viscoso de color rojo brillante (escarlata) que constituye aproximadamente el 7% del peso corporal, 5L. • Como todo tejido está formado por células y sustancia intercelular. Las células en este caso corresponde los elementos formes de la sangre y la matriz extracelular corresponde al liquido donde viajan estas células que se denomina plasma
  • 14.
    Sangre (Tejido Sanguíneo): Elementos: •Células • Matriz Fibrilar (Potencial) Plasma • Matriz No Fibrilar Suero
  • 15.
    Plasma • Es elmaterial extracelular liquido que le imparte a la sangre su fluidez. El volumen relativo de células y plasma es de alrededor de 45% y 55% respectivamente. • El volumen de los eritrocitos compactos en una muestra de sangre recibe el nombre de hematocrito. • Los leucocitos y las plaquetas constituyen el 1% del volumen sanguíneo.
  • 16.
    Plasma • Es lamatriz extracelular en las que viajan las células compuesto por H2O (90%) proteínas como el fibrinógeno, albumina y globulinas 9% y otros compuestos inorgánicos como gases compuestos nitrogenados sales y nutrientes 1% • Si se coagula la sangre el fibrinógeno y otros compuestos del plasma forman parte del coagulo, entonces al líquido restante se le denomina suero.
  • 17.
    • Los solutosdel plasma contribuyen a mantener la homeostasis, un estado de equilibrio que proporciona una osmolaridad y un pH óptimos para el metabolismo celular. • - Las proteínas plasmáticas son principalmente: Albumina Globulinas Fibrinógeno
  • 18.
    Albumina Globulinas • Es elprincipal componente proteico del plasma, se sintetiza en el hígado, la albumina es responsable de ejercer el gradiente de concentración entre la sangre y el liquido histico extracelular. • Comprenden las inmunoglobulinas que son el mayor componente de la fracción globulinica y las globulinas no inmunes. • Las inmunoglobulinas son anticuerpos, una clase de moléculas funcionales del sistema inmunitario secretada por los plasmocitos • Es la proteína mas grande se sintetiza en el higado Fibrinógeno
  • 19.
  • 20.
    Eritrocitos, Glóbulos rojoso hematíes • Son células sumamente especializadas que carecen de núcleo y cualquier otro organelo. • Son las células más abundantes de la sangre, hay aproximadamente entre 4 a 5 millones por mm³ • Su función es transportar O2 unido a la hemoglobina de los pulmones a los órganos. • Vida media: 120 días
  • 21.
    • Son célulasbicóncavas con lo que aumentan su superficie. Poseen un citoesqueleto el cual les permite deformarse para pasar por los capilares que son más pequeños que ellos. • color verde amarillento pero en conjunto gracias a la hemoglobina le dan la coloración roja escarlata de la sangre. • 7,7 um diámetro
  • 22.
    La membrana celulardel eritrocito esta compuesta por una capa lipidica típica que contiene dos grupos de proteínas importantes desde el punto de vista funcional: Proteínas integrales de membrana Proteínas periféricas de la membrana • Que son la mayoría de las proteínas en la bicapa lipidica y que se agrupan en dos familias principales: glucoforinas y proteína banda 3. • Que se encuentran en la superficie interna de la membrana celular y se organizan en una red bidimensional de modelo hexagonal que forma una lamina sobre la superficie citoplasmática de la hojuela interna de la membrana.
  • 23.
    La estructura delas cadenas poli péptidas varia y según los poli péptidos particulares que haya en la macromolécula pueden distinguirse varios tipos de hemoglobina: • Tiene gran prevalencia en adultos(alrededor del 96% de la hemoglobina total). Contiene dos cadenas α y dos cadenas β. Hemoglobina A(HbA) Hemoglobina A2(HbA2) • Que constituye de 1.5 al 3% de la hemoglobina total en los adultos. Contiene dos cadenas α y dos cadenas δ • Que totaliza menos del 1% de la hemoglobina en los adultos. Contiene dos cadenas γ y es la forma hemoglobínica principal del feto. Hemoglobina F(HbF)
  • 24.
  • 25.
    plaquetas o trombocitos •En realidad no son células como si, sino que son fragmentos celulares pequeños con forma de disco y sin núcleo derivados de megacariocito de la médula ósea • Forman parte vital en el proceso de detención de un sangrado (hemostasia) formando un tapón temporal.(trombo)
  • 26.
    • Desde elpunto de vista estructural de los trombocitos, estos se pueden dividir en cuatro zonas según su organización y función: – – – – Zona Periférica Zona Estructural Zona de Orgánulos Zona Membranosa
  • 27.
    Leucocito. • Los leucocitosse subclasifican en dos grupos generales. El fundamento de la división es la presencia o la ausencia de gránulos específicos prominentes en el citoplasma. • Las células que contienen gránulos específicos se clasifican como granulocitos(neutrofilo, eosinofilo, y basofilo.) mientras las que carecen de estos gránulos se incluyen en el grupo de los agranulocitos( linfocitos y monocitos) • No obstante tanto los granulocitos como los agranulocitos poseen pequeños gránulos inespecíficos azurofilos que corresponden a lisosomas.
  • 28.
    leucocitos • Granulocitos / Polimorfonucleares –Neutrófilos – Basófilos – Eosinófilos • Agranulocitos / Monomorfonucleares – Monocitos – Linfocitos
  • 29.
    Leucocitos o Glóbulosblancos • Son las células del sistema inmunitario, están encargadas de proteger al organismo contra sustancias o seres nocivos. Hay aproximadamente entre 5000 y 10000 mm³ • Son inactivos en el torrente sanguíneo • Las vamos a clasificar en granulocitos y agranulocitos dependiendo si poseen o no gránulos en su citoplasma.
  • 30.
    Neutrófilos. • Son losmás abundantes (55 a 60%) • Son fagocitos ávidos y destruyen bacterias que invaden el tejido conectivo. • Poseen núcleos con 3 o 5 lobulaciones. • Participan en la inflamación aguda. • son células móviles; abandonan la circulación y migran hacia su sitio de acción en el tejido conjuntivo
  • 31.
    Los neutrofilos contienentres tipos de gránulos: • Gránulos secundarios ;son los gránulos mas pequeños y por lo menos dos veces mas abundantes que los gránulos azurofilos. Contienen diversas enzimas colagenasa IV, fosfolipasa así como activadores del Los Gránulos complemento Específicos. • Gránulos primarios; son mas grandes y menos abundantes que los gránulos específicos. Surgen de la granulopoyesis y aparecen en todos los granulocitos, lo mismo que en los monocitos y los linfocitos Los Gránulos contiene mieloperoxidasa Azurofilos. • En los neutrofilos son de dos tipos: un tipo contiene fosfatasa mientras el otro contiene metaloproteinasas que según se cree facilitan la Los Gránulos migración del neutrofilo a través del tejido conjuntivo. Terciarios.
  • 32.
    • Los neutrofilosson fagocitos activos en los sitios de inflamación. • La mayoría de los neutrofilos mueren en este proceso; la acumulación de bacterias destruidas y neutrofilos muertos constituye el espeso exudado amarillento llamado pus.
  • 33.
    Neutrófilos: cantidad delóbulos Fórmula de Arneth: - 1 lóbulo: 5% - 2 lóbulos: 35% - 3 lóbulos: 41% - 4 lóbulos: 17% - 5 lóbulos: 2% % neutrófilos 45 40 35 30 25 20 15 10 5 0 % neutrófilos
  • 34.
    Eosinófilos. • Los eosinófilosfagocitan complejos antígeno-anticuerpo y destruyen invasores parásitos. • Forman entre el 1 a 3% de los leucocitos • Tambien pueden tener núcleo bilobulado. • Se asocian con reacciones alérgicas, infestaciones parasitarias e inflamación crónica. • Cristales Charcot-Leyden
  • 35.
    Citoplasma Gránulos Específicos Contienen: MBP,ECP,EPO,EDN; histaminasa,colagenasa y catepsina Gránulos Azurófilos Son Lisosomas
  • 36.
    Basófilos • La funciónde los basófilos es similar a la de las células cebadas aunque poseen diferentes orígenes. • Los basófilos se caracterizan por sus gránulos grandes y su fuerte tinción. • Específicos( heparina, histamina, Heparan sulfato y leucotrienos) • Inespecificos • 0 a 7% de los leucocitos totales
  • 37.
    Comparación entre Mastocitosy Basófilos Características Mastocitos Basófilos Origen Célula madre hemopoyetica Célula madre hemopoyetica Sitio de diferenciación Tejido conjuntivo Medula ósea Mitosis Si(a veces) No Longevidad Semanas a meses Días Tamaño 20-30ụm 7-10ụm Forma del núcleo Redondeado Segmentada Gránulos Muchos y grandes Pocos y pequeños Marcador de actividad celular Triptasa Todavía no descubierto
  • 38.
    Linfocitos • Son agranulocitosy forman la segunda población más grande de glóbulos blancos 25 a 33%. • Existen 2 tipos de linfocitos B y T que son imposible de distinguir a simple vista. • Los linfocitos poseen un núcleo grande y poco citoplasma
  • 39.
    • Principales células funcionalesdel sistema inmunitario. • Son los agranulocitos mas comunes. • Contienen grandes cantidades de mitocondrias y pequeñas cisternas de RER.
  • 40.
  • 41.
    Monocitos • Son losmacrófagos de la sangre. • Se encuentran inactivos al viajar al tejido conectivo se activan y se denominan macrófagos. • Son las células circulantes más grandes posen una indentacion en el núcleo que le da forma de riñón • Forman de un 3 a un 7% de los leucocitos.
  • 42.
  • 44.
  • 48.
    • La leucemia esun cáncer de los glóbulos blancos. Los glóbulos blancos ayudan a su organismo a combatir las infecciones. Las células sanguíneas se forman en la médula ósea. Sin embargo, en la leucemia la médula ósea produce glóbulos blancos anormales. Estas células reemplazan a las células sanguíneas sanas y dificultan que la sangre cumpla su función.
  • 50.
    Linfa • Líquido provenientedel transudado de vasos sanguíneos, conformad o por plasma y algunos leucocitos, que circula desde la periferia hacia la sangre por los vasos linfáticos, pasando por los linfonodos
  • 51.
    Vasos linfáticos Células linfoides •Balancede fluídos Sistema Linfático •Absorción de macromoléculas •Defensa •Linfocitos •Macrófagos •Céls. Dendríticas •Céls. reticulares Órganos linfoides •Encapsulados •Tejido linfático difuso
  • 53.
    Inmunidad adquirida • Cèlulaspresentadoras de antìgenos – Macròfagos • Cèlulas antigenoespecificas – Linfocitos T4, T8, B y plasmocitos • Celulas efectoras – Granulocitos, linfocito NK, mastocito, macròfa gos
  • 54.
    Linfocitos • T • TCD 4 colaboradores • T CD 8 citotòxicos • B • Productores de Inmunoglobulinas • NK ò Linfocitos granulares grandes
  • 56.
    1 Interior delcapilar. 2. Célula y núcleo. 3. Espacio intersticial. 4. Célula endotelial del capilar linfático. 5. Abertura en el endotelio. 6. Filamento de anclaje
  • 57.
    Tejido linfoide • Difuso –Linfocitos T • Folìculos linfoideos – Integrales de linfonodos o bazo – Aislados en mucosas – Acùmulos en tonsilas, placas de Peyer y apèndice – Linfocitos B
  • 58.
    Órganos Linfoides (linfáticos) • Centrales: –Timo – Médula ósea • Periféricos – – – – Linfonodos Bazo Tejido linfático asociado a piel Tejido linfático asociado a mucosas – Tonsilas • Sistema Reticuloendotelial
  • 59.
    I. Médula Ósea •Comienzo del sistema linfático • presencia de cèlulas madre de todas las lìneas celulares sanguìneas
  • 60.
    II. Timo • cápsulafibrosa tabiques • lóbulos de 0,5 a 2 cm. de diámetro. • central o medular de coloración clara, • cortical de coloración más oscura. • cápsula tímica:arterias capsulares • Ramas por espesor de la trabécula hasta el límite córtico-medular
  • 61.
    • El timoestá rodeado de una delgada cápsula de tejido conectivo que se proyecta hacia el interior como septos dividiendo al órgano en lobulillos. • En cada lobulillo se aprecia una corteza de linfocitos densamente agrupados y una médula más clara. • El timo carece de nódulos linfoides y está sostenido por células reticulares epiteliales. Los corpúsculos de Hassall son exclusivos del timo y se localizan en la médula. Son estructuras redondeadas y acidófilas constituidas por células reticulares aplanadas dispuestas en forma concéntrica, que pueden sufrir queratinización y calcificación en la zona central.
  • 62.
    • Zona cortical,la forman abundantes linfocitos entre células estrelladas epitelio reticulares • En el limite corticomedular, las arterias traveculares se dividen en arteriolas que penetran hacia la cortical y hacia la medular dando capilares. El retorno venoso es paralelo • Zona medular, formada por celulas epiteliales y corpusculos de Hassall
  • 63.
    cortical • • Los linfocitos dela cortical del timo presentan una cierta variación y distribución dentro de la corteza, así: los linfocitos de la cortical externa son de gran tamaño, los de la parte interna de la cortical son linfocitos de pequeño tamaño y entre ambas capas, ex-tema e interna, se encuentran los linfocitos en mitosis. Las células epitelioreticulares , tienen forma de araña, contactan entre sí por medio de desmosomas en los extremos de sus prolongaciones, y forman un citoretículo en cuyos intersticios se encuentran vasos sanguíneos con su gruesa lámina basal, linfocitos, algún mastocito y plasmocito
  • 64.
    medular • Los corpúsculosde Hassall se forman por células epiteliales planas concéntrica y apretada. Las células centrales con el tiempo se hinchan, se queratinizan y terminan por necrosarse y calcificarse • Las células epiteliales son células grandes de aspecto poligonal. El citoplasma es abundante y en él se encuentran paquetes de tonofilamentos que forman un retículo y pequeños cuerpos de inclusión. La membrana celular es muy rica en desmosomas.
  • 65.
  • 66.
    Linfonodos • Corteza • Médula •El linfocentro está cubierto por una cápsula de tejido conectivo que emite trabéculas hacia el interior. En la zona cortical se observan los folículos linfoides.
  • 67.
    Corteza • En lazona cortical se observan los folículos linfoides. La corteza profunda (zona paracortical) está formada por linfocitos T.
  • 68.
    Médula • La zonamedular se compone de cordones medulares formados por tejido linfoide difuso y senos medulares por donde fluye la linfa. Los senos son regiones menos celulares que el parénquima
  • 69.
    IV Tonsilas • agregadosde nódulos linfoides y de tejido linfoide difuso • tonsilas con criptas y sin criptas. • epitelio estratificado plano queratinizado. • glándulas asociadas mucosas excepto en los carnívoros donde son mixtas.
  • 71.
    V Bazo • órganosemiesférico de unos 10 cm. de diámetro y 150 gramos de peso • En el centro de su parte plana se advierte el hilio por donde penetran y salen las arterias y venas esplénicas. • Pulpa blanca • Pulpa roja
  • 72.
  • 73.
  • 74.
  • 75.
  • 76.
    Al corte, elbazo muestra sobre un fondo rojo oscuro, pulpa roja (abundante sangre) un punteado blanquecino difuso que se denomina pulpa blanca (abundantes foliculos linfáticos). El bazo posee una cápsula fibrosa, con alguna fibra muscular lisa, de cubierta
  • 77.
    • Estos folículos suelentener de modo excéntrico un pequeño centro germinativo claro o folículo secundario rodeado de linfocitos que forman la zona del manto.
  • 78.
    Cordones de bilroth •Los capilares sinusoides se convierten en venas de la pulpa con un calibre mayor y más regular, apareciendo una lámina basal contínua por dentro de la cual se encuentra un endotelio plano, y por fuera se pueden advertir células musculares (marron) y fibroblastos (verde).
  • 79.
    Bazo 2 • cápsuladel bazo es rica en músculo liso y fibras elásticas, y emite trabéculas hacia el interior. El parénquima del bazo está formado por la pulpa esplénica blanca y la pulpa esplénica roja. La pulpa blanca está formada por las vainas linfoides periarteriales (linfocitos T) y los folículos linfoides (linfocitos B). En cualquier caso siempre se identifica la arteria (arteriola) central. La pulpa roja está formada por los sinusoides esplénicos.
  • 81.
    VI Placas dePeyer • • • • • • M.A.L.T. (Tejido Linfático Asociado a Mucosas) cúmulos de tejido linfático (folículos linfoides) : intestino delgado,el colon, el recto, apéndice vermicular íleon terminal linfocitos B, inmunoglobulinas A, (exclusión inmunológica), opsonizando agentes patógenos que atraviesen estas paredes para que estos últimos puedan ser procesados por las células presentadoras de antígenos (CPA) y presentados a los linfocitos T, desencadenando una respuesta inmune.
  • 82.
    Placas de Peyer • • • • • • M.A.L.T. (TejidoLinfático Asociado a Mucosas) cúmulos de tejido linfático (folículos linfoides) : intestino delgado,el colon, el recto, apéndice vermicular íleon terminal linfocitos B, inmunoglobulinas A, (exclusión inmunológica), opsonizando agentes patógenos que atraviesen estas paredes para que estos últimos puedan ser procesados por las células presentadoras de antígenos (CPA) y presentados a los linfocitos T, desencadenando una respuesta inmune.
  • 84.
    • agregados denódulos linfoides situados en la lámina propia y submucosa de intestino delgado, particularmente íleon. Se pueden apreciar en ocasiones los centros germinativos. El tejido linfoide difuso entre dichos folículos linfoides está formado por linfocitos T.
  • 85.
    Sistema de Célulaspresentadoras de antígenos Monocítico-Macrofágico (Reticuloendotelial) • Macrófagos • Céls. de Kupffer (hígado) • células reticulares (pulmón) • células reticulares (médula ósea) • células reticulares (linfonodos) • células reticulares (bazo): Cordones de Billroth • células dendríticas de Langerhans (piel) • osteoclastos • eliminación de cuerpos extraños