¿Qué es la médula ósea? La médula ósea es un tejido graso y suave que se encuentra dentro de los huesos y es parte parte del sistema sanguíneo. Se localiza dentro del  (tejido esponjoso y blando), estos huesos son: esternón, humero, fémur, vértebras, y huesos de la pelvis principalmente . Es la encargada de formar todas las células de la sangre a partir de células conocidas como células madre o progenitoras, las cuales tienen la capacidad genética de formar todos los diferentes tipos de células sanguíneas (por esto se conocen también como células pluripotenciales.
¿Dónde se fabrican las células sanguíneas? Las células sanguíneas se fabrican en la médula ósea  (produce aproximadamente el 95 por ciento de las células sanguíneas del cuerpo).  Existen otros órganos y sistemas en nuestro cuerpo que ayudan a regular las células sanguíneas, como:  Los nódulos linfáticos, el bazo y el hígado ayudan a regular la producción, destrucción y diferenciación de las células (desarrollando una función específica). La producción y desarrollo de nuevas células es un proceso denominado  hematopoyesis.
Las células sanguíneas formadas en la médula ósea empiezan como células madre. La "célula madre" (o célula hematopoyética ) es la fase inicial de todas las células sanguíneas. A medida que la célula madre madura, se desarrollan varias células distintas, como los glóbulos rojos, los glóbulos blancos y las plaquetas. Las células sanguíneas inmaduras se llaman también blastos.
Componentes celulares
Qué es la sangre? La sangre es un tejido que recorre el organismo transportando células   y todos los elementos necesarios para la vida (respirar, alimentarse, eliminar sustancias de desecho y, defenderse de agresiones). El corazón  ,  Las arterias. Las venas. Los capilares sanguíneos   Funciones de la sangre. Sus  principales funciones son el transporte de: Gases respiratorios.-O2 transportado por la hemoglobina en los eritrocitos,  y transporte de nutrientes. Retorna deshechos y dióxido de carbono. Productos de la digestión.-  Glucosa, aminoácidos, vitaminas. Sales.- Electrolitos ( Ca, I, Fe, Cl etc.)  Productos excretores.-  Como la Urea. Hormonas. Anticuerpos.
Sistema hematopoyético El sistema hematopoyético (Hema = sangre, poyesis = producción, fabricación) es el sistema encargado de la formación de la sangre. La sangre es un tejido líquido, compuesto de 1.- Un 22 % de elementos sólidos y un 78 % de  agua y sustancias orgánicas e inorgánicas (sales minerales) disueltas, que forman el plasma sanguíneo. 2 .-Sustancias químicas , incluyendo las siguientes: Hidratos de carbono.  Proteínas.  Hormonas. Vitaminas 3.-Gases,  incluyendo los siguientes: Oxígeno.  Dióxido de carbono.  Nitrógeno
4.- Tres tipos de elementos formes o células sanguíneas: glóbulos rojos, glóbulos blancos y plaquetas. Una gota de sangre contiene aproximadamente unos 5 millones de glóbulos rojos, de 5.000 a 10.000 glóbulos blancos y alrededor de 250.000 plaquetas. Una persona adulta tiene un promedio de cinco litros de sangre,( 7 % del peso total del cuerpo) con una temperatura cercana a los 37 grados Celcius
Elementos de la Sangre 46% 54% granulocitos 92%
El Plasma   El plasma es una solución compleja de electrolitos, proteínas (7-8%) y agua (90%). La proteína más importante es la albúmina, pero también están presentes otras proteínas como los anticuerpos, las hormonas, los lípidos, los carbohidratos y proteínas complejas y varios factores que componen el sistema de coagulación. Si el plasma se separa de la sangre y se deja sin tratamiento especial, se convertirá en gelatina, es decir se coagulará. El fluido que mana de esta gelatina durante esa etapa se llama suero. Es salado, de color amarillento, también lleva los alimentos y las sustancias de desecho recogidas de las células
Células sanguíneas
¿Cuáles son las funciones de las células sanguíneas? Glóbulos rojos:  Se conocen con el nombre de  eritrocitos y hematíes, y se encargan de transportar el dióxido de carbono y  el oxígeno desde los pulmones al resto del organismo. Tienen forma de disco bicóncavo  sin núcleo y son tan pequeños que en cada milímetro cúbico hay cuatro a cinco millones, midiendo unas siete micras de diámetro.  Como su nombre lo indica, son células de color rojo por su contenido de hemoglobina (pigmento rojo encargado del transporte de oxígeno desde los pulmones a las células). Se fabrican en la médula roja de algunos huesos largos y una insuficiente fabricación de hemoglobina o de glóbulos rojos por parte del organismo, da lugar a una anemia, de etiología variable
Glóbulos blancos, o leucocitos   Cumplen la función de defender al cuerpo de los microorganismos infecciosos mediante mecanismos de limpieza (Fagocitos) y de defensa (linfocitos).  Son mayores en tamaño que los glóbulos rojos, pero menos numerosos (unos siete mil por milímetro cúbico). Son células vivas que se trasladan, se salen de los capilares y se dedican a destruir los microbios y las células muertas, restos de tejidos y glóbulos rojos viejos  que encuentran por el organismo   Nos protegen de los cuerpos extraños que entran en la corriente sanguínea, como los alergenos.  Participan en la protección contra las células mutadas, como el cáncer.
Glóbulos blancos (leucocitos)  Los tipos de glóbulos blancos incluyen los siguientes: AGRANOLOCITOS Linfocitos.  Monocitos.  Eosinófilos. GRANULOCITOS Basofilos.  Neutrofilos (granulositos). Los Monocitos  ingieren las células muertas o dañadas y eliminan agentes infecciosos, proporcionando así las defensas inmunológicas necesarias al organismo.  Son las de mayor tamaño, núcleo excéntrico en forma de U o arriñonada (macrófagos, histiocitos)
Neutrófilos: Son parte de las células encargadas de defender el cuerpo humano principalmente de las infecciones que son causadas por bacterias, pero también entran en alerta cuando hay un trauma grave (accidente), quemaduras o pancreatitis.  Se dividen en varias clases diferentes de acuerdo con la función que desempeñan. Tienen núcleo multilobulado ( 3 a 5 lobulaciones) y gránulos azurofilos.
Linfocitos:  En vista que los neutrofilos son la primera línea de defensa en el cuerpo, los linfocitos tienen una función un poco más especializada. Se encargan de producir los anticuerpos que son moléculas encargadas de pegarse a la pared de los microorganismos para facilitar su destrucción por células como los neutrofilos y macrófagos. Otra función de los linfocitos es la de tener  memoria inmunológica , que consiste en recordar y reconocer cuando el cuerpo humano ha sido atacado previamente por alguna bacteria, virus u hongo, y así es capaz de montar una respuesta de defensa más rápida, efectiva y además específica para el germen que esta causando la infección. Células pequeñas y un gran núcleo circular oscuro.
Plaquetas:   También llamadas trombocitos, son los corpúsculos más pequeños de los componentes de la sangre), Las plaquetas son parte del sistema de coagulación de la sangre y su función consiste en agruparse para formar un coágulo o un tapón sobre la zona de sangrado.  Eosinofilos: Estas células son las encargadas de responder ante estímulos generadores de reacciones alérgicas en personas susceptibles (polvo, frío, medicamentos especialmente antibióticos, y diferentes tipos de comidas como fresas y mariscos. Núcleo bilobulado con granulaciones acido filas.
Basófilo   BASOFILO Obsérvense los gránulos obscuros dentro del líquido intracelular (citoplasma) de este basófilo. Estas células conforman solamente un pequeño porcentaje del número total de células blancas, pero son una parte importante de la respuesta inmunitaria del cuerpo, pues liberan histamina y otras sustancias químicas que actúan sobre los vasos sanguíneos cuando la respuesta inmunitaria es activada.  Tienen núcleo bilobulado y grandes gránulos esféricos meta cromáticos.
 
Figura 15.  Neutrófilos, glóbulos rojos y una banda.
Figura 16.  Basófilo.
Figura 17.  Basófilo con degranulación parcial.  
Figura 18.  Eosinófilo
Figura 20.  Basófilo.
Figura21. 1.linfocito. 2.Neutrófilo.  3.Banda.  4. Monocito.
Figura 24.  Linfocito.
figura 25.  Neutrófilos y plaquetas en la porción superior.
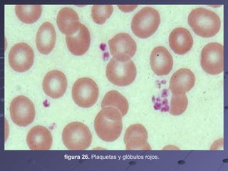
figura 26.  Plaquetas y glóbulos rojos.
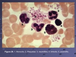
Figura 28.  1. Monocito; 2. Plaquetas: 3. neutrófilos; 4. linfocito; 5. eosinófilo.
Figura 29.  linfocito.
QUÉ ES EL GRUPO SANGUÍNEO? Grupo sanguíneo es cada uno de los diversos tipos en que se ha clasificado la sangre de las personas en relación con la compatibilidad de los hematíes y suero de un individuo donador de sangre con los hematíes y suero de otro individuo que la recibe. Estos grupos son cuatro, según la clasificación que hizo Landsteiner, clasificación hoy universal y se denominan: 0, A, B, AB.
¿QUÉ ES EL FACTOR Rh? El Factor Rh es un aglutinógeno encontrado en 1940 por Landsteiner y Weiner, en los glóbulos rojos en uno primates ( Macacus rhesus)  y que también existe normalmente en el 85% de los humanos, que por esta causa se denomina Rh positivos. La sangre de estos transfundida a los Rh negativos (15%), provoca en el suero de éstos últimos la formación de anticuerpos, que en sucesivas transfusiones pueden destruir los glóbulos rojos del donante Rh +, invalidando así la transfusión y creando efectos adversos.  También en el embarazo un feto Rh + puede provocar en la madre Rh - la producción de aglutininas que podrán ser la causa de la enfermedad hemolítica de los recién nacidos.
 
GRUPO SANGUINEO   Grupo A Alrededor del 46% de la población presenta este grupo sanguíneo, el antígeno que tiene el glóbulo rojo es A y el anticuerpo es anti- B Puede recibir sangre del grupo A o O Grupo B Se presenta en el 7% de la población, el antígeno es B y el anticuerpo es anti- A. Sólo puede recibir B o O Grupo AB Se encuentra en el 3% de la población general, sus glóbulos rojos tienen antígeno A y B no presentan anticuerpos anti A ni anti B. Son receptores universales Grupo O Se presentan en el 44% de la población general, sus glóbulos rojos no tienen antígenos ni A ni B, pero tienen anticuerpos anti-A y anti B
¿Por qué es importante conocer el grupo sanguíneo? Es fundamental conocer el grupo sanguíneo y el factor Rh en todos los casos de transfusiones y transplantes de órganos. El grupo sanguíneo y el factor Rh se transmite de padres a hijos siguiendo las leyes genéticas clásicas. Por qué es importante conocer el factor Rh? Este factor de la sangre es independiente del grupo sanguíneo del sistema AB0.  Es importantísimo conocerlo porque una transfusión de sangre con un factor equivocado puede desencadenar serios accidentes transfusionales o en el caso de una mujer embarazada una respuesta inmunológica que trae una enfermedad durante el embarazo llamada incompatibilidad Rh materno-fetal conocida también como enfermedad Rh.
¿Cuál será el grupo sanguíneo de mi hijo? Siempre es dominante el antígeno A y B. Cuando son ambos del grupo 0 el hijo será también del mismo grupo 0. En este cuadro te damos todas las posibilidades en base al grupo sanguíneo del padre y de la madre.  Madre Padre Hijo Grupo 0 Grupo 0 Grupo 0 Grupo A Grupo 0  o  A Grupo B Grupo 0  o  B Grupo AB Grupo A  o  B Grupo A Grupo 0 Grupo 0  o  A Grupo A Grupo A  o  0 Grupo B Grupo A, B, AB  o  0 Grupo AB Grupo A, B  o  AB Grupo B Grupo 0 Grupo 0  o  B Grupo A Grupo 0, A, B  o  AB Grupo B Grupo B  o  0 Grupo AB Grupo A, B  o  AB Grupo AB Grupo 0 Grupo A  o  B Grupo A Grupo A, B  o  AB Grupo B Grupo B  o  AB Grupo AB Grupo A, B  o  AB
COMPATIBILIDADES SANGUÍNEAS Esquematización de los grupos sanguíneos y posibilidades de transfusiones entre ellos. POSIBLE NO POSIBLE 0 0, A, B, AB AB A, B, 0 A A, AB A B, 0 B B, AB B A, 0 AB AB
Esquematización del factor Rh y posibilidades de transfusiones entre ellos. POSIBLE NO POSIBLE Rh (-) Rh (+) Rh (+) Rh  (-) Rh (-) Rh (-)   Rh (+) Rh (+)
Anemia Definición  Es la disminución del número de glóbulos rojos (eritrocitos) en la sangre por debajo de lo normal. Usualmente se miden por la reducción en la cantidad de hemoglobina, el pigmento rojo de los glóbulos rojos lo que hace  que no  transporten el adecuado oxígeno a los tejidos. Existen muchos tipos y causas potenciales de anemia.  Leve Moderada Severa Hemoglobina gr%  9-11 7-9 <7 Hematocrito %  33-27 26-21 <20
INMUNIDAD Definición Es la forma en que el cuerpo reconoce y se defiende a sí mismo contra los microorganismos, virus y sustancias reconocidas como extrañas y que son potencialmente perjudiciales para el organismo   Estructuras del sistema inmune
Fagocitosis   . El proceso mediante el cual estos glóbulos blancos rodean, engullen y destruyen sustancias extrañas es llamado fagocitosis, y las células en su conjunto son llamadas Fagocitos. Los Fagocitos eventualmente mueren. Se forma pus por la acumulación de tejido muerto, bacterias muertas y Fagocitos, vivos y muertos
EL SISTEMA INMUNOLÓGICO Protege al organismo de sustancias potencialmente nocivas al reconocer y responder a los así llamados antígenos, los cuales son moléculas grandes (usualmente proteínas) que se encuentran en la superficie de las células, virus, hongos o bacterias. Algunas sustancias muertas como toxinas, sustancias químicas, drogas y partículas extrañas (como una astilla) pueden ser antígenos. Las sustancias que contienen estos antígenos son reconocidas y destruidas por el sistema inmunológico, incluso si las propias células corporales contienen proteínas que son antígenos (estos incluyen un grupo de antígenos llamados antígenos HLA.
INMUNIDAD INNATA E INFLAMACIÓN La inmunidad innata de una persona son las barreras que no permiten la entrada de materiales nocivos al cuerpo, formando así la primera línea de defensa de la respuesta inmune.  Algunas de estas barreras son la piel, el ácido estomacal, la mucosa (atrapa microorganismos y partículas pequeñas), el reflejo de la tos y enzimas en las lágrimas y las grasas de la piel. Si un antígeno traspasa las barreras externas, es atacado y destruido por otras partes del sistema inmunológico.  La inmunidad innata también incluye aquellas cosas que hacen resistentes a los humanos a muchas de las enfermedades de los animales.
INMUNIDAD ADQUIRIDA Comparada con la inmunidad innata, la inmunidad adquirida (de adaptación) se desarrolla cuando el cuerpo está expuesto a varios antígenos y construye una defensa que es específica para dicho antígeno.  Los linfocitos, un tipo especial de glóbulos blancos, contienen subgrupos de linfocitos B y T que son actores claves en las respuestas inmunes adquiridas.
INMUNIDAD PASIVA Involucra anticuerpos que se producen en el cuerpo de otra persona, como en el caso de los lactantes que poseen inmunidad pasiva, dado que ellos nacen con los anticuerpos que les transfiere la madre a través de la placenta. Dichos anticuerpos desaparecen entre los 6 y 12 meses de edad. Otra forma de obtener la inmunidad pasiva es con la gammaglobulina, la cual es suministrada por un médico y cuya protección es también temporal
 
¿Qué es la hemostasia? La hemostasia es la capacidad que tiene el organismo de hacer permanecer la sangre dentro de los vasos sanguíneos como   respuesta a las lesiones de los vasos sanguíneos y a la hemorragia. Es un esfuerzo coordinado entre las plaquetas y numerosas proteínas de la coagulación sanguínea (o factores), dando como resultado la formación del coágulo de la sangre. Algunas personas nacen con problemas hemorrágicos (congénitos) que disminuyen su capacidad de  hemostasia.  Un ejemplo es la hemofilia.
PROCESOS DE LA HEMOSTASIA Hemostasia primaria   Es la respuesta inicial a la ruptura de un vaso. Comprende los procesos de contracción vascular (o vaso espasmo), adhesión, activación y agregación plaquetarias.  Estos tres procesos dan lugar a la formación del &quot;tapón plaquetario&quot;. &quot;. Cuando se altera la hemostasia primaria aparecen hemorragias inmediatas y más duraderas de lo normal ante un traumatismo o a veces de manera espontánea. Estas suelen verse en las mucosas de la nariz y la boca o como un punteado de color rojo en la piel que se denomina equimosis.
Hemostasia secundaria   Es lo que se suele llamar coagulación. Consiste en la formación de un conglomerado de una proteína llamada fibrina que estabiliza el tapón plaqueta rió.  Cuando se altera suelen aparecer hemorragias tardías, muchas veces en forma de hematomas (colecciones de sangre) en músculos o articulaciones.  Ante una lesión vascular, se producen sucesivamente tres fases: Fase vascular  Fase plaqueta ría  Fase de la coagulación plasmática
Fase vascular Producida la solución de continuidad en la pared de un vaso, se inicia rápidamente (en décimas de segundo) una respuesta vasoconstrictora, debida en parte a reflejos nerviosos locales (axónicos) y espinales, y también a la acción de ciertas aminas vaso activas liberadas por la acción traumática, entre ellas la serotonina y la adrenalina. Esta respuesta vasoconstrictora cumple dos finalidades en la hemostasia: por una parte disminuye la pérdida de sangre, gracias al cierre del vaso lesionado y por otra inicia la segunda fase, plaquetaria, facilitando la adhesión de las plaquetas.
Fase plaqueta ría Las plaquetas se aglutinan y adhieren con la zona lesionada formando el coágulo blando o tapón plaqueta rió el cual detiene temporalmente la hemorragia, al mismo tiempo tiene lugar la concentración de una gran cantidad de factores necesarios para la tercera fase de la coagulación plasmática. Fase de la coagulación plasmática En este estadio del proceso de la hemostasia se distinguen, a su vez, dos periodos: primero, la formación del coágulo y después su lisis.
 

11 junio 11 la sangre y sus componentes

  • 1.
    ¿Qué es lamédula ósea? La médula ósea es un tejido graso y suave que se encuentra dentro de los huesos y es parte parte del sistema sanguíneo. Se localiza dentro del (tejido esponjoso y blando), estos huesos son: esternón, humero, fémur, vértebras, y huesos de la pelvis principalmente . Es la encargada de formar todas las células de la sangre a partir de células conocidas como células madre o progenitoras, las cuales tienen la capacidad genética de formar todos los diferentes tipos de células sanguíneas (por esto se conocen también como células pluripotenciales.
  • 2.
    ¿Dónde se fabricanlas células sanguíneas? Las células sanguíneas se fabrican en la médula ósea (produce aproximadamente el 95 por ciento de las células sanguíneas del cuerpo). Existen otros órganos y sistemas en nuestro cuerpo que ayudan a regular las células sanguíneas, como: Los nódulos linfáticos, el bazo y el hígado ayudan a regular la producción, destrucción y diferenciación de las células (desarrollando una función específica). La producción y desarrollo de nuevas células es un proceso denominado hematopoyesis.
  • 3.
    Las células sanguíneasformadas en la médula ósea empiezan como células madre. La &quot;célula madre&quot; (o célula hematopoyética ) es la fase inicial de todas las células sanguíneas. A medida que la célula madre madura, se desarrollan varias células distintas, como los glóbulos rojos, los glóbulos blancos y las plaquetas. Las células sanguíneas inmaduras se llaman también blastos.
  • 4.
  • 5.
    Qué es lasangre? La sangre es un tejido que recorre el organismo transportando células y todos los elementos necesarios para la vida (respirar, alimentarse, eliminar sustancias de desecho y, defenderse de agresiones). El corazón , Las arterias. Las venas. Los capilares sanguíneos Funciones de la sangre. Sus principales funciones son el transporte de: Gases respiratorios.-O2 transportado por la hemoglobina en los eritrocitos, y transporte de nutrientes. Retorna deshechos y dióxido de carbono. Productos de la digestión.- Glucosa, aminoácidos, vitaminas. Sales.- Electrolitos ( Ca, I, Fe, Cl etc.) Productos excretores.- Como la Urea. Hormonas. Anticuerpos.
  • 6.
    Sistema hematopoyético Elsistema hematopoyético (Hema = sangre, poyesis = producción, fabricación) es el sistema encargado de la formación de la sangre. La sangre es un tejido líquido, compuesto de 1.- Un 22 % de elementos sólidos y un 78 % de agua y sustancias orgánicas e inorgánicas (sales minerales) disueltas, que forman el plasma sanguíneo. 2 .-Sustancias químicas , incluyendo las siguientes: Hidratos de carbono. Proteínas. Hormonas. Vitaminas 3.-Gases, incluyendo los siguientes: Oxígeno. Dióxido de carbono. Nitrógeno
  • 7.
    4.- Tres tiposde elementos formes o células sanguíneas: glóbulos rojos, glóbulos blancos y plaquetas. Una gota de sangre contiene aproximadamente unos 5 millones de glóbulos rojos, de 5.000 a 10.000 glóbulos blancos y alrededor de 250.000 plaquetas. Una persona adulta tiene un promedio de cinco litros de sangre,( 7 % del peso total del cuerpo) con una temperatura cercana a los 37 grados Celcius
  • 8.
    Elementos de laSangre 46% 54% granulocitos 92%
  • 9.
    El Plasma El plasma es una solución compleja de electrolitos, proteínas (7-8%) y agua (90%). La proteína más importante es la albúmina, pero también están presentes otras proteínas como los anticuerpos, las hormonas, los lípidos, los carbohidratos y proteínas complejas y varios factores que componen el sistema de coagulación. Si el plasma se separa de la sangre y se deja sin tratamiento especial, se convertirá en gelatina, es decir se coagulará. El fluido que mana de esta gelatina durante esa etapa se llama suero. Es salado, de color amarillento, también lleva los alimentos y las sustancias de desecho recogidas de las células
  • 10.
  • 11.
    ¿Cuáles son lasfunciones de las células sanguíneas? Glóbulos rojos: Se conocen con el nombre de eritrocitos y hematíes, y se encargan de transportar el dióxido de carbono y el oxígeno desde los pulmones al resto del organismo. Tienen forma de disco bicóncavo sin núcleo y son tan pequeños que en cada milímetro cúbico hay cuatro a cinco millones, midiendo unas siete micras de diámetro. Como su nombre lo indica, son células de color rojo por su contenido de hemoglobina (pigmento rojo encargado del transporte de oxígeno desde los pulmones a las células). Se fabrican en la médula roja de algunos huesos largos y una insuficiente fabricación de hemoglobina o de glóbulos rojos por parte del organismo, da lugar a una anemia, de etiología variable
  • 12.
    Glóbulos blancos, oleucocitos Cumplen la función de defender al cuerpo de los microorganismos infecciosos mediante mecanismos de limpieza (Fagocitos) y de defensa (linfocitos). Son mayores en tamaño que los glóbulos rojos, pero menos numerosos (unos siete mil por milímetro cúbico). Son células vivas que se trasladan, se salen de los capilares y se dedican a destruir los microbios y las células muertas, restos de tejidos y glóbulos rojos viejos que encuentran por el organismo Nos protegen de los cuerpos extraños que entran en la corriente sanguínea, como los alergenos. Participan en la protección contra las células mutadas, como el cáncer.
  • 13.
    Glóbulos blancos (leucocitos) Los tipos de glóbulos blancos incluyen los siguientes: AGRANOLOCITOS Linfocitos. Monocitos. Eosinófilos. GRANULOCITOS Basofilos. Neutrofilos (granulositos). Los Monocitos ingieren las células muertas o dañadas y eliminan agentes infecciosos, proporcionando así las defensas inmunológicas necesarias al organismo. Son las de mayor tamaño, núcleo excéntrico en forma de U o arriñonada (macrófagos, histiocitos)
  • 14.
    Neutrófilos: Son partede las células encargadas de defender el cuerpo humano principalmente de las infecciones que son causadas por bacterias, pero también entran en alerta cuando hay un trauma grave (accidente), quemaduras o pancreatitis. Se dividen en varias clases diferentes de acuerdo con la función que desempeñan. Tienen núcleo multilobulado ( 3 a 5 lobulaciones) y gránulos azurofilos.
  • 15.
    Linfocitos: Envista que los neutrofilos son la primera línea de defensa en el cuerpo, los linfocitos tienen una función un poco más especializada. Se encargan de producir los anticuerpos que son moléculas encargadas de pegarse a la pared de los microorganismos para facilitar su destrucción por células como los neutrofilos y macrófagos. Otra función de los linfocitos es la de tener memoria inmunológica , que consiste en recordar y reconocer cuando el cuerpo humano ha sido atacado previamente por alguna bacteria, virus u hongo, y así es capaz de montar una respuesta de defensa más rápida, efectiva y además específica para el germen que esta causando la infección. Células pequeñas y un gran núcleo circular oscuro.
  • 16.
    Plaquetas: También llamadas trombocitos, son los corpúsculos más pequeños de los componentes de la sangre), Las plaquetas son parte del sistema de coagulación de la sangre y su función consiste en agruparse para formar un coágulo o un tapón sobre la zona de sangrado. Eosinofilos: Estas células son las encargadas de responder ante estímulos generadores de reacciones alérgicas en personas susceptibles (polvo, frío, medicamentos especialmente antibióticos, y diferentes tipos de comidas como fresas y mariscos. Núcleo bilobulado con granulaciones acido filas.
  • 17.
    Basófilo BASOFILO Obsérvense los gránulos obscuros dentro del líquido intracelular (citoplasma) de este basófilo. Estas células conforman solamente un pequeño porcentaje del número total de células blancas, pero son una parte importante de la respuesta inmunitaria del cuerpo, pues liberan histamina y otras sustancias químicas que actúan sobre los vasos sanguíneos cuando la respuesta inmunitaria es activada. Tienen núcleo bilobulado y grandes gránulos esféricos meta cromáticos.
  • 18.
  • 19.
    Figura 15. Neutrófilos, glóbulos rojos y una banda.
  • 20.
    Figura 16. Basófilo.
  • 21.
    Figura 17. Basófilo con degranulación parcial.  
  • 22.
    Figura 18. Eosinófilo
  • 23.
    Figura 20. Basófilo.
  • 24.
  • 25.
    Figura 24. Linfocito.
  • 26.
    figura 25. Neutrófilos y plaquetas en la porción superior.
  • 27.
    figura 26. Plaquetas y glóbulos rojos.
  • 28.
    Figura 28. 1. Monocito; 2. Plaquetas: 3. neutrófilos; 4. linfocito; 5. eosinófilo.
  • 29.
    Figura 29. linfocito.
  • 30.
    QUÉ ES ELGRUPO SANGUÍNEO? Grupo sanguíneo es cada uno de los diversos tipos en que se ha clasificado la sangre de las personas en relación con la compatibilidad de los hematíes y suero de un individuo donador de sangre con los hematíes y suero de otro individuo que la recibe. Estos grupos son cuatro, según la clasificación que hizo Landsteiner, clasificación hoy universal y se denominan: 0, A, B, AB.
  • 31.
    ¿QUÉ ES ELFACTOR Rh? El Factor Rh es un aglutinógeno encontrado en 1940 por Landsteiner y Weiner, en los glóbulos rojos en uno primates ( Macacus rhesus) y que también existe normalmente en el 85% de los humanos, que por esta causa se denomina Rh positivos. La sangre de estos transfundida a los Rh negativos (15%), provoca en el suero de éstos últimos la formación de anticuerpos, que en sucesivas transfusiones pueden destruir los glóbulos rojos del donante Rh +, invalidando así la transfusión y creando efectos adversos. También en el embarazo un feto Rh + puede provocar en la madre Rh - la producción de aglutininas que podrán ser la causa de la enfermedad hemolítica de los recién nacidos.
  • 32.
  • 33.
    GRUPO SANGUINEO Grupo A Alrededor del 46% de la población presenta este grupo sanguíneo, el antígeno que tiene el glóbulo rojo es A y el anticuerpo es anti- B Puede recibir sangre del grupo A o O Grupo B Se presenta en el 7% de la población, el antígeno es B y el anticuerpo es anti- A. Sólo puede recibir B o O Grupo AB Se encuentra en el 3% de la población general, sus glóbulos rojos tienen antígeno A y B no presentan anticuerpos anti A ni anti B. Son receptores universales Grupo O Se presentan en el 44% de la población general, sus glóbulos rojos no tienen antígenos ni A ni B, pero tienen anticuerpos anti-A y anti B
  • 34.
    ¿Por qué esimportante conocer el grupo sanguíneo? Es fundamental conocer el grupo sanguíneo y el factor Rh en todos los casos de transfusiones y transplantes de órganos. El grupo sanguíneo y el factor Rh se transmite de padres a hijos siguiendo las leyes genéticas clásicas. Por qué es importante conocer el factor Rh? Este factor de la sangre es independiente del grupo sanguíneo del sistema AB0. Es importantísimo conocerlo porque una transfusión de sangre con un factor equivocado puede desencadenar serios accidentes transfusionales o en el caso de una mujer embarazada una respuesta inmunológica que trae una enfermedad durante el embarazo llamada incompatibilidad Rh materno-fetal conocida también como enfermedad Rh.
  • 35.
    ¿Cuál será elgrupo sanguíneo de mi hijo? Siempre es dominante el antígeno A y B. Cuando son ambos del grupo 0 el hijo será también del mismo grupo 0. En este cuadro te damos todas las posibilidades en base al grupo sanguíneo del padre y de la madre. Madre Padre Hijo Grupo 0 Grupo 0 Grupo 0 Grupo A Grupo 0 o A Grupo B Grupo 0 o B Grupo AB Grupo A o B Grupo A Grupo 0 Grupo 0 o A Grupo A Grupo A o 0 Grupo B Grupo A, B, AB o 0 Grupo AB Grupo A, B o AB Grupo B Grupo 0 Grupo 0 o B Grupo A Grupo 0, A, B o AB Grupo B Grupo B o 0 Grupo AB Grupo A, B o AB Grupo AB Grupo 0 Grupo A o B Grupo A Grupo A, B o AB Grupo B Grupo B o AB Grupo AB Grupo A, B o AB
  • 36.
    COMPATIBILIDADES SANGUÍNEAS Esquematizaciónde los grupos sanguíneos y posibilidades de transfusiones entre ellos. POSIBLE NO POSIBLE 0 0, A, B, AB AB A, B, 0 A A, AB A B, 0 B B, AB B A, 0 AB AB
  • 37.
    Esquematización del factorRh y posibilidades de transfusiones entre ellos. POSIBLE NO POSIBLE Rh (-) Rh (+) Rh (+) Rh (-) Rh (-) Rh (-)   Rh (+) Rh (+)
  • 38.
    Anemia Definición  Esla disminución del número de glóbulos rojos (eritrocitos) en la sangre por debajo de lo normal. Usualmente se miden por la reducción en la cantidad de hemoglobina, el pigmento rojo de los glóbulos rojos lo que hace que no transporten el adecuado oxígeno a los tejidos. Existen muchos tipos y causas potenciales de anemia. Leve Moderada Severa Hemoglobina gr% 9-11 7-9 <7 Hematocrito % 33-27 26-21 <20
  • 39.
    INMUNIDAD Definición Esla forma en que el cuerpo reconoce y se defiende a sí mismo contra los microorganismos, virus y sustancias reconocidas como extrañas y que son potencialmente perjudiciales para el organismo Estructuras del sistema inmune
  • 40.
    Fagocitosis . El proceso mediante el cual estos glóbulos blancos rodean, engullen y destruyen sustancias extrañas es llamado fagocitosis, y las células en su conjunto son llamadas Fagocitos. Los Fagocitos eventualmente mueren. Se forma pus por la acumulación de tejido muerto, bacterias muertas y Fagocitos, vivos y muertos
  • 41.
    EL SISTEMA INMUNOLÓGICOProtege al organismo de sustancias potencialmente nocivas al reconocer y responder a los así llamados antígenos, los cuales son moléculas grandes (usualmente proteínas) que se encuentran en la superficie de las células, virus, hongos o bacterias. Algunas sustancias muertas como toxinas, sustancias químicas, drogas y partículas extrañas (como una astilla) pueden ser antígenos. Las sustancias que contienen estos antígenos son reconocidas y destruidas por el sistema inmunológico, incluso si las propias células corporales contienen proteínas que son antígenos (estos incluyen un grupo de antígenos llamados antígenos HLA.
  • 42.
    INMUNIDAD INNATA EINFLAMACIÓN La inmunidad innata de una persona son las barreras que no permiten la entrada de materiales nocivos al cuerpo, formando así la primera línea de defensa de la respuesta inmune. Algunas de estas barreras son la piel, el ácido estomacal, la mucosa (atrapa microorganismos y partículas pequeñas), el reflejo de la tos y enzimas en las lágrimas y las grasas de la piel. Si un antígeno traspasa las barreras externas, es atacado y destruido por otras partes del sistema inmunológico. La inmunidad innata también incluye aquellas cosas que hacen resistentes a los humanos a muchas de las enfermedades de los animales.
  • 43.
    INMUNIDAD ADQUIRIDA Comparadacon la inmunidad innata, la inmunidad adquirida (de adaptación) se desarrolla cuando el cuerpo está expuesto a varios antígenos y construye una defensa que es específica para dicho antígeno. Los linfocitos, un tipo especial de glóbulos blancos, contienen subgrupos de linfocitos B y T que son actores claves en las respuestas inmunes adquiridas.
  • 44.
    INMUNIDAD PASIVA Involucraanticuerpos que se producen en el cuerpo de otra persona, como en el caso de los lactantes que poseen inmunidad pasiva, dado que ellos nacen con los anticuerpos que les transfiere la madre a través de la placenta. Dichos anticuerpos desaparecen entre los 6 y 12 meses de edad. Otra forma de obtener la inmunidad pasiva es con la gammaglobulina, la cual es suministrada por un médico y cuya protección es también temporal
  • 45.
  • 46.
    ¿Qué es lahemostasia? La hemostasia es la capacidad que tiene el organismo de hacer permanecer la sangre dentro de los vasos sanguíneos como respuesta a las lesiones de los vasos sanguíneos y a la hemorragia. Es un esfuerzo coordinado entre las plaquetas y numerosas proteínas de la coagulación sanguínea (o factores), dando como resultado la formación del coágulo de la sangre. Algunas personas nacen con problemas hemorrágicos (congénitos) que disminuyen su capacidad de hemostasia.  Un ejemplo es la hemofilia.
  • 47.
    PROCESOS DE LAHEMOSTASIA Hemostasia primaria Es la respuesta inicial a la ruptura de un vaso. Comprende los procesos de contracción vascular (o vaso espasmo), adhesión, activación y agregación plaquetarias. Estos tres procesos dan lugar a la formación del &quot;tapón plaquetario&quot;. &quot;. Cuando se altera la hemostasia primaria aparecen hemorragias inmediatas y más duraderas de lo normal ante un traumatismo o a veces de manera espontánea. Estas suelen verse en las mucosas de la nariz y la boca o como un punteado de color rojo en la piel que se denomina equimosis.
  • 48.
    Hemostasia secundaria Es lo que se suele llamar coagulación. Consiste en la formación de un conglomerado de una proteína llamada fibrina que estabiliza el tapón plaqueta rió. Cuando se altera suelen aparecer hemorragias tardías, muchas veces en forma de hematomas (colecciones de sangre) en músculos o articulaciones. Ante una lesión vascular, se producen sucesivamente tres fases: Fase vascular Fase plaqueta ría Fase de la coagulación plasmática
  • 49.
    Fase vascular Producidala solución de continuidad en la pared de un vaso, se inicia rápidamente (en décimas de segundo) una respuesta vasoconstrictora, debida en parte a reflejos nerviosos locales (axónicos) y espinales, y también a la acción de ciertas aminas vaso activas liberadas por la acción traumática, entre ellas la serotonina y la adrenalina. Esta respuesta vasoconstrictora cumple dos finalidades en la hemostasia: por una parte disminuye la pérdida de sangre, gracias al cierre del vaso lesionado y por otra inicia la segunda fase, plaquetaria, facilitando la adhesión de las plaquetas.
  • 50.
    Fase plaqueta ríaLas plaquetas se aglutinan y adhieren con la zona lesionada formando el coágulo blando o tapón plaqueta rió el cual detiene temporalmente la hemorragia, al mismo tiempo tiene lugar la concentración de una gran cantidad de factores necesarios para la tercera fase de la coagulación plasmática. Fase de la coagulación plasmática En este estadio del proceso de la hemostasia se distinguen, a su vez, dos periodos: primero, la formación del coágulo y después su lisis.
  • 51.