CLASIFICACIONES ARCO PARCIALMENTE EDENTULO UNIVERSIDAD SANTO TOMAS CATEDRA PROTESIS PARCIAL REMOVIBLE
Requisitos de un método de clasificación aceptable   Permitir la visualización inmediata del tipo de arco parcialmente desdentado que se está considerando. Permitir la inmediata diferenciación entre prótesis parciales removibles dentosoportadas y mucodentosoportadas. ser universalmente aceptables.
Filosofía S.E.R . Soporte:  derivado de los dientes pilares por la utilización de apoyos, rebordes residuales y paladar Estabilidad:  cualidad de una prótesis para mantenerse firme, no estar sujeta a cambio de posición cuando se le aplique una fuerza Retención:  cualidad de la prótesis para resistir las fuerzas de desplazamiento o desalojo.
Clasificaciones Clasificación por el Dr. Edward Kennedy Clasificación de Bailyn Clasificación de Skinner McCracken Prótesis parcial removible 8ª. 1989 Edición Editorial Medica panamericana pag.31
Métodos de clasificación de Kennedy, de Bailyn y de Skinner McCracken Prótesis parcial removible 8ª. 1989 Edición Editorial Medica panamericana pag.31
Ventajas del método de Kennedy Permite la visualización inmediata del arco parcialmente desdentado. Permite un abordaje lógico de los problemas de diseño  Hace posible la aplicación de principios sanos de diseño de prótesis parcial. Representa un método lógico de clasificación
CLASIFICACION BIOMECANICA  DE LOS ARCOS  PARCIALMENTE EDENTULOS Clasificación establecida por  el doctor  Edward Kennedy (1925)  Dr. Alfredo Quintero Ramírez ANALISIS Y DISEÑO BIOMECANICO DE LA RESTAURACION PARCIAL REMOVIBLE, ED. MONSERRATE LTDA. 1ra. Ed. Año 2000
Consideraciones a tomar en cuenta Sistema de numeración dental de la F.D.I. FEDERACION DENTAL INTERNACIONAL Termino Limitación: utilizado para identificar el diente pilar adyacente a una zona edéntula
SE DEBE CONOCER LAS CARACTERISTICAS CLINICAS DE LOS DIEFERENTES TEJIDOS DE SOPORTE
HABLAR DE SOPORTE PARA UNA RESTAURACION PARCIAL REMOVIBLE DETERMINA  DOS TIPOS DIFERENTES DE TEJIDO   SOPORTE DENTAL: BRINDADOS POR LOS DIENTES PILARES A EXPENSAS DE SUPERFICIES HORIZONTALES QUE CONTROLEN FUERZAS DE DIRECCION VERTICAL. SOPORTE MUCOSO: BRINDADO POR LA CRESTA DEL REBORDE RESIDUAL Y EL PALADAR. LA RESILENCIA DEL TEJIDO MUCOSO PERMITE LA GENERACION DE MOVIMIENTO PARA LA BASE PROTESICA QUE SE SOPORTA SOBRE ELLA .
Restauración dento-muco soportada:   presencia de un mayor número de dientes naturales los cuales pueden ser dientes pilares, reduce la extensión de los rebordes residuales   Restauración muco-dento soportada:   presencia de un menor numero de dientes naturales teniendo mayor participación el tejido mucoso
CLASE I AREAS EDENTULAS BILATERALES UBICADAS POSTERIORMENTE A LOS DIENTES  NATURALES REMANENTES SITUACION DE EDENTICION PARCIAL QUE CON MAS FRECUENCIA SE PRESENTA
CLASE I DE KENNEDY  RESTAURACION DENTO MUCO-SOPORTADA LIMITACION 15 – 26 PRESENCIA DE MAYOR NUMERO DE DIENTES PILARES. REDUCE LA EXTENSION DE LOS REBORDES RESIDUALES
CLASE I DE KENNEDY RESTAURACION DENTO-MUCOSOPORTADA LIMITACION 36-44 La disminución del soporte mucoso, hace que los dientes pilares asuman un papel protagónico en las funciones de S.E.R.
CLASE I RESTAURACION MUCO-DENTO SOPORTADA LIMITACION 13-23 RESTAURACION  MUCO- DENTO SOPORTADA
CLASE I LIMITACION 33-43 RESTAURACION   MUCO- DENTO SOPORTADA
CLASE II: ZONA EDENTULA UNILATERAL, LOCALIZADA POSTERIOR A LOS DIENTES NATURALES REMANENTES EL TERMINO UNILATERAL HACE REFERENCIA A UNA SOLA BASE QUE OCUPA UN SOLO CUADRANTE DEL ARCO DENTAL LA ZONA EDENTULA DEBE LIMITAR HACIENDO REFERNCIA AL DIENTE PILAR ADYACENTE. EL TERMINO UNILATERAL A BILATERAL  IMPLICA SIMPLEMENTE QUE SE ESTA RESALTANDO LA REAL SITUACION DE EXTENSION QUE PRESENTA EL REBORDE RESIDUAL.
CLASE II UNILATERAL   LIMITACION 13 RESTAURACION  DENTO-MUCO  SOPORTADA
CLASE II UNILATERAL  LIMITACION 44 RESTAURACION  DENTO MUCO- SOPORTADA
EL CAMBIO DE UNILATERAL  A BILATERAL UNILATERAL LIMITACION 13 RESTAURACION  DENTO MUCO- SOPORTADA BILATERAL LIMITACION 13 RESTAURACION  MUCO- DENTO SOPORTADA
CLASE II UNILATERAL , para indicar que la extensión de la zona edéntula abarca un solo cuadrante del arco dental implicado. BILATERAL , cuando la zona edéntula atraviese la línea media abarcando parte del otro cuadrante del arco.
CLASE II BILATERAL LIMITACION 23 RESTAURACION  MUCO DENTO - SOPORTADA
CLASE II BILATERAL LIMITACION 34 RESTAURACION  MUCO DENTO - SOPORTADA
CLASE III ZONA EDENTULA CON DIENTES REMANENTES ANTERIOR Y POSTERIOR ES LA SITUACION QUE PRESENTA UN MEJOR PRONOSTICO PARA EL SOPORTE, ESTABILIDAD Y RETENCION DE LA RPR. NO PUEDE GENERAR MOVIMIENTO ROTACIONAL ANTEROPOSTERIOR POR ESTAR LIMITADA POR DIENTES PILARES EN CADA UNO DE SUS EXTREMOS. LA EXTENSION DE LA ZONA EDENTULA ES UNA VARIABLE MUY IMPORTANTE AL MOMENTO DE DETERMINAR EL TIPO DE TRATAMIENTO QUE SE LE VA A OFRECER AL PACIENTE.
CLASE III LIMITACION 17-15
CLASE III LIMITACION 31-47
CLASE IV ZONA EDENTULA UNICA BILATERAL ANTERIOR A LOS DIENTES  NATURALES REMANENTES EN ESTA SITUACION DE EDENTICION PARCIAL LA EXTENSION DEL REBORDE RESIDUAL TAMBIEN INFLUYE EN EL ESTUDIO BIOMECANICO QUE SE DEBE ESTABLECER ANTES DE REALIZAR EL DISEÑO DE LA RPR
CLASE IV LIMITA CION 13-23
CLASE IV LIMITACION 16-23
CLASE IV LIMITACION 16-26
CLASE IV LIMITACION 34-46
REGLAS DE APPLEGATE Dr. Oliver Applegate (1960).
REGLAS DE APPLEGATE REGLA 1 LA CLASIFICACION DEBE SER DESPUES DE, Y NO ANTES DE, REALIZAR EXTRACCIONES DENTALES QUE PUEDAN ALTERAR LA CLASIFICACION ORIGINAL. REGLA 2 SE FALTA UN TERCER MOLAR Y NO VA A SER REEMPLAZADO, NO SE LO CONSIDERA PARA LA CLASIFICACION. REGLA 3 SI SE HALLA PRESENTE EL TERCER MOLAR Y SE VA A UTILIZAR COMO DIENTE PILAR, SE LO CONSIDERA EN LA CLASIFICACION.
REGLA 4 SI FALTA UN SEGUNDO MOLAR Y NO VA A SER REEMPLAZADO, NO SE LO CONSIDERA PARA LA CLASIFICACION ( POR EJEMPLO, SI TAMBIEN FALTA EL SEGUNDO MOLAR ANTAGONISTA, EL CUAL TAMPOCO SERA REEMPLAZADO) REGLA 5 EL AREA ( O AREAS ) DESDENTADA ( S ) MAS POSTERIOR SIEMPRE ES LA QUE DETERMINA LA CLASIFIACAION. REGLA 6 LAS AREAS DESDENTADAS DISTINTAS DE AQUELLA QUE DETERMINA LA CLASIFICACION SE DENOMINAN MODIFICACIONES IDENTIFICANDOSE POR SU NUMERO.
REGLA 7 LA EXTENSION DE LA MODIFICACION NO SE CONSIDERA, SINO TAN SOLO LA CANTIDAD DE ZONAS DESDENTADAS ADICONALES. REGLA 8 NO PUEDE HABER AREAS DE MODIFICACION EN ARCOS DE CLASE IV. SI EXISTIESE OTRA ZONA DESDENTADA POSTERIOR AL ¨  AREA DESDENTADA UNICA PERO BILATERAL POR ATRAVESAR LA LINEA MEDIA ¨, ESTA DETERMINARIA EL CAMBIO DE CLASE, DE ACUERDO CON LA REGLA 5.
INTERPRETACION BIOMECANICA DE LAS REGLAS DE APPLEGATE PRESENTACION DE LAS REGLAS CON LA SECUENCIA MANEJADA SEGÚN EL DOCTOR ALFREDO QUINTERO RAMIREZ .
REGLA 2 CLASE II UNILATERAL LIMITACION 13 LA APLICACION DE ESTA REGLA EN EL SEGUNDO CUADRANTE DESCARTA LA POSIBILIDAD DE TOMARSE COMO UNA CLASE I LIMITACION 13-27
REGLA 2 CLASE IV LIMITACION 34-46 LA APLICACIÓN DE ESTA  REGLA EN AMBOS CUADRANTES DESCARTA LA POSIBILIDAD DE LA SIGUIENTE CLASIFICACION  CLASE I LIMITACION 37-47   MODIFICACION I LIMITACION 34-46   REGLAS 5 Y 6 .
REGLA 5 y 6 Clase I  Limitación 35-43 Modificación 1 Limitación 35-33 Zonas de Modificación:   Identificadas con numeración arábiga  o decimal.  Cada Zona de Clase o Zona de Modificación  debe llevar sus respectivos Límites correspondientes al número del diente pilar adyacente
REGLA 5 y 6 Clase II Unilateral Limitación 24 Modificación 1 Limitación 17-14
REGLA 5 Para ser correctamente aplicada deben existir como mínimo dos zonas edéntulas, siendo una mas posterior.
En situaciones de edentición parcial  Clase III con una o varias modificaciones   La ubicación más posterior del diente pilar limitante será factor determinante al decidir cuál de las áreas edéntulas se debe considerar como  Zona de Clase  y cual como  Zona de Modificación . En igualdad de ubicación del diente pilar posterior en ambos cuadrantes, la decisión por la  zona de clase  recaerá en el cuadrante inferior
Reglas Nº 2, 5 y 6 Clase III  Limitación 17-15 Modificación 1 Limitación 24-27
Reglas Nº 2, 5 y 6 Clase III Limitación 17-15 Modificación 2 Limitación 13-23;23-26
Reglas Nº 2, 5 y 6 Clase III Limitación 47-31 Modificación 1 Limitación 36-34
Regla Nº 7 No siempre la Zona de Clase es la más importante al momento de determinar el análisis y diseño biomecánico de la restauración parcial removible que mejor controle el movimiento rotacional
Clase II unilateral Limitación 24 Modificación 1 Limitación 16-23
Clase III Limitación 37-35 Modificación 1 Limitación 34-45
Regla Nº 7 Se presenta la situación de los arcos dentales donde se observa  gresión de uno o varios dientes remanentes ocasionando pequeñas áreas edéntulas Si el espacio es pequeño no se le considera en la clasificación Si es extenso como para poder ubicar un póntico se puede considerar como Zona de Clase III o Zona de Modificación
Clase III  Limitación 37-35 Modificación 2 Limitación 33-43;43-46 El espacio entre el 35 y 34 causado Por distogresión del 35, no se considera  Como Zona de Modificación
B. Clase III Limitación 17-16 Modificación 2 Limitación  16-23;2327 A. Clase III Limitación 27-23 Modificación 1 Limitación 16-23 No se toman en consideración las zonas edéntulas posteriores ni el espacio creado por la mesogresión del 16 Se aplica la regla 2 y se considera el espacio  creado por la mesogresión como zona de clase al permitir la colocación de  un póntico
Clase I  Limitación 35-45 Modificación 2 Limitación 33-44;44-45 La distogresión del 45 permite Considerar al espacio creado como  Zona de Modificación, ya que se  Puede colocar póntico
Regla III Diente pilar limitante :   es decir diente pilar adyacente a la zona edéntula que se quiere incluir a la clasificación, sea zona de clase o de modificación, como requisito indispensable para que el tercer molar entre a formar parte de dicha clasificación .
Clase IV Limitación 13-28
Clase III Limitación 18-15 Modificación 2 Limitación 13-23;23-27
Regla Nº 4 Considera que si en el arco dental se encontraba el primer molar, hasta ese diente se podía estimar que el paciente tendría un patrón de oclusión estable, no siendo necesario ubicar una base a extensión distal para colocar un segundo molar
Clase III Limitación 16-13 Modificación 2 Limitación 13-23;23-26
Clase II unilateral Limitación 43
Alerón estabilizador:   se le denomina a la base protética a extensión distal sin póntico. Necesita soportarse sobre una base firme Sobre un reborde residual distal que permita una cobertura mínima de un centímetro
Alerón estabilizador La utilización de un reborde residual distal por medio de un alerón estabilizador le otorga a esa área edéntula características de zona de clase Clase I  Limitación 13-26
Clase I Limitación 24-26
Regla Nº 8 Se establece gracias a la aplicación de las reglas 2 y 4 descartando zonas edéntulas posteriores del arco dental que se está estudiando.
Clase IV Limitación 16-23 Regla Nº 2 Clase IV Limitación 34-47 Regla Nº 4 y 2
Regla Nº 1 La clasificación original se puede afectar de acuerdo con el tipo de rehabilitación que se escoja para determinado sector del arco dental. Se pueden suprimir Zonas de Modificación o Zonas de Clase III por medio de restauración parcial fija o de implantes de óseo integración
Clase III Limitación 16-13 Modificación 2 Limitación 13-23;23-26 Reglas Nº 4,5 y 6 Planifica puente fijo de 6 unidades, 13 a 23
QUE SE ENTIENDE POR EFECTO DE ARCO CRUZADO ES EL EFECTO QUE SE CONSIGUE PARA LA RPR CUANDO LOS COMPONENTES DE LA MISMA UBICADOS EN UN LADO DEL  ARCO DENTAL AYUDAN A LOS COMPONENTES DEL LADO OPUESTO BUSCANDO UN MEJOR SOPORTE, ESTABILIDAD Y RETENCION. CUANDO LOS DOS LADOS DE UNA RPR SE UNEN A TRAVES DE LA LINEA MEDIA POR UN CONECTOR RIGIDO,  TODOS LOS DIENTES PILARES INVOLUCRADOS EN SU DISEÑO RECIBEN EL EFECTO DE ARCO CRUZADO. AL ENCONTRAR EN EL ARCO DENTAL DOS DIFERENTES SUPERFICIES QUE PUEDEN COLABORAR CON LAS FUNCIONES DE SOPORTE, ESTABILIDAD Y RETENCION  DE LA R.P.R. SE DEBE HABLAR DE  ARCO CRUZADO DENTAL Y MUCOSO  PARA ACLARAR A QUE FUNCION SE ESTA HACIENDO REFERENCIA
EFECTO DE ARCO CRUZADO DENTAL UNILATERAL LIMITACION 44 RESTAURACION  DENTO MUCO- SOPORTADA Hace referencia a las tres funciones, ya que los dientes pilares pueden colaborar positivamente en cada una de ellas
EFECTO DE ARCO  CRUZADO MUCOSO ESTE SE LIMITA UNICAMENTE A LA POSIBILIDAD QUE PUEDEN BRINDAR EL PALADAR Y LOS REBORDES RESIDUALES ( ARCO MAXILAR )  Y  ( ARCO MANDIBULAR ) DE COLABORAR EN LAS FUNCIONES DE SOPORTE Y ESTABILIDAD, YA QUE LA FUNCION DE RETENCION EVITANDO EL DESALOJO DE LA RESTAURACION PARCIAL REMOVIBLE ES UNA FUNCION  BASICA   DE LOS DIENTES PILARES.
CLASE I LIMITACION 14-24   DOBLE EFECTO DE ARCO CRUZADO REBORDES RESIDUALES Y PALADAR EFECTO DE ARCO CRUZADO MUCOSO CLASE I LIMITACION 34-44 DOBLE EFECTO DE ARCO  CRUZADO REBORDES RESIDUALES
Z. BEN-UR, A. SHIFMAN, I. AVIV & C. GORFIL   Further aspects of design for distal extension removable partial dentures based on the Kennedy classification.  Journal of Oral Rehabilitation  1999 26; 165–169
Los factores que afectan el diseño de la dentadura con referencia a la posición de los dientes pilares, la simetría de la extension distal edentula, la forma del arco y el corte transversal de los rebordes residuales.
Ejes de rotación ©   Componentes horizontales sometidos a cargas verticales
Diseños de montaje de ganchos que funcionan con efecto de liberación de torque  El gancho de RPI con una Y/o barra distal colocada, el gancho RPL y el gancho de acción posterior se sugieren en estas situaciones
Forma seccionada transversalmente del reborde edentulo Cambios seccionados transversalmente de la forma del arco después de la pérdida del diente se han clasificado como sigue (Cawood y Howell, 1988; Penhalt y otros., 1985) Clase I—Dentada Clase II- Inmediatamente posterior a la extraccion Clase III— De forma redondeada  Clase IV de filo de cuchillo  Clase V- Forma concava Clase VI—Depresivo
Clase III Clase IV Clase V Clase VI
Evolución  Una clasificación de dentaduras parciales debe más que sugerir el problema principal implicado en el caso particular. Por esta razón ninguna clasificación es ideal, y quizás la más útil es la mencionada por Beckett (1953), Craddock (1956) y Osborne y Lammie (1974)
Clasificación Clase I: Dentadura soportada por mucosa y hueso subyacente Clase II: Dentadura soportada por los dientes Clase III: Dentadura soportada por una combinación de mucosa y de dientes pilares. Consideramos que esta clasificación se debe ahora ampliar para incluir otro tipo, a saber: Clase IV: Dentadura soportada por implantes
Wills y Manderson (1977) y Picton y Wills (1978) Clarificaron algunas ideas falsas sobre el desplazamiento y deformacion de la mucosa oral con su investigación sobre primates.   Se determinaron que los efectos de presionar la mucosa sobre un período largo era comprimirla hasta en un 45% de su grosor original y, además, que su recuperación viscoelástica se daba por naturaleza.
Las prótesis mucosoportadas, harán inevitable dos cosas: Desplazamiento de la mucosa Da lugar a pérdida adicional de hueso alveolar (esto es quizás lo de mayor importancia).
Dentaduras de la clase II (de soporte dental) Las prótesis Dento-soportadas ganan su ayuda de los dientes cualitativa y cuantitativamente por un agente de soporte: la membrana periodontal.  La presión bajo el eje largo del diente imparte la tensión en la membrana periodontal que alternadamente ayuda a mantener el hueso alveolar.
Tipos de descanso
Dentaduras de la clase III (combinación de soporte de mucosa y dientes) Simposio 1983 sobre la restauración de la boca parcialmente Dentada, refutó con eficacia el concepto de stress-oclusal, y la filosofía de ganchos en este tipo de prótesis es más biológico. Otro factor de complicación a considerar, en los agentes de soporte, es la necesidad de considerar los dispositivos antirotación
Dentaduras de la clase IV (soportadas por implantes) Las prótesis Implanto-soportadas presentado en muchos libros de textos, la etapa siguiente del proceso del diseño es considerar cómo la prótesis será conservada.
Conectores en implantes
Dusan V. Kuzmanovic,  Alan G. T. Payne  and David G. Purton, Distal implants to modify the Kennedy classification of a removable partial denture: A clinical report   J Prosthet DentJ Prosthet Dent
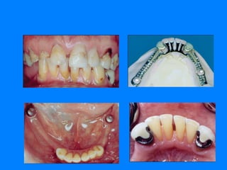
Reporte del caso Este informe describe la fabricación de una restauración parcial removible mandibular en cromo-cobalto  con una combinación de solo implantes molares bilaterales y  coronas metal-cerámica usando los principios del sistema canal-hombro-perno . El arco maxilar fue restaurado con las coronas  de metal y una RPD convencional con retenedores de precisión  extracoronales
 
 
GRACIAS
 
 
 
 
 
 
 
 
 
 
 
 
 
 
 
 
 
 
 
 
 
 
 
 
 
 
 
 
 
 
 
 
 
 
 
 
 
 
 
 
 
 
 
 
 
 
 
 

Clasificación Arcos Parcialmente Edéntulos

  • 1.
    CLASIFICACIONES ARCO PARCIALMENTEEDENTULO UNIVERSIDAD SANTO TOMAS CATEDRA PROTESIS PARCIAL REMOVIBLE
  • 2.
    Requisitos de unmétodo de clasificación aceptable Permitir la visualización inmediata del tipo de arco parcialmente desdentado que se está considerando. Permitir la inmediata diferenciación entre prótesis parciales removibles dentosoportadas y mucodentosoportadas. ser universalmente aceptables.
  • 3.
    Filosofía S.E.R .Soporte: derivado de los dientes pilares por la utilización de apoyos, rebordes residuales y paladar Estabilidad: cualidad de una prótesis para mantenerse firme, no estar sujeta a cambio de posición cuando se le aplique una fuerza Retención: cualidad de la prótesis para resistir las fuerzas de desplazamiento o desalojo.
  • 4.
    Clasificaciones Clasificación porel Dr. Edward Kennedy Clasificación de Bailyn Clasificación de Skinner McCracken Prótesis parcial removible 8ª. 1989 Edición Editorial Medica panamericana pag.31
  • 5.
    Métodos de clasificaciónde Kennedy, de Bailyn y de Skinner McCracken Prótesis parcial removible 8ª. 1989 Edición Editorial Medica panamericana pag.31
  • 6.
    Ventajas del métodode Kennedy Permite la visualización inmediata del arco parcialmente desdentado. Permite un abordaje lógico de los problemas de diseño Hace posible la aplicación de principios sanos de diseño de prótesis parcial. Representa un método lógico de clasificación
  • 7.
    CLASIFICACION BIOMECANICA DE LOS ARCOS PARCIALMENTE EDENTULOS Clasificación establecida por el doctor Edward Kennedy (1925) Dr. Alfredo Quintero Ramírez ANALISIS Y DISEÑO BIOMECANICO DE LA RESTAURACION PARCIAL REMOVIBLE, ED. MONSERRATE LTDA. 1ra. Ed. Año 2000
  • 8.
    Consideraciones a tomaren cuenta Sistema de numeración dental de la F.D.I. FEDERACION DENTAL INTERNACIONAL Termino Limitación: utilizado para identificar el diente pilar adyacente a una zona edéntula
  • 9.
    SE DEBE CONOCERLAS CARACTERISTICAS CLINICAS DE LOS DIEFERENTES TEJIDOS DE SOPORTE
  • 10.
    HABLAR DE SOPORTEPARA UNA RESTAURACION PARCIAL REMOVIBLE DETERMINA DOS TIPOS DIFERENTES DE TEJIDO SOPORTE DENTAL: BRINDADOS POR LOS DIENTES PILARES A EXPENSAS DE SUPERFICIES HORIZONTALES QUE CONTROLEN FUERZAS DE DIRECCION VERTICAL. SOPORTE MUCOSO: BRINDADO POR LA CRESTA DEL REBORDE RESIDUAL Y EL PALADAR. LA RESILENCIA DEL TEJIDO MUCOSO PERMITE LA GENERACION DE MOVIMIENTO PARA LA BASE PROTESICA QUE SE SOPORTA SOBRE ELLA .
  • 11.
    Restauración dento-muco soportada: presencia de un mayor número de dientes naturales los cuales pueden ser dientes pilares, reduce la extensión de los rebordes residuales Restauración muco-dento soportada: presencia de un menor numero de dientes naturales teniendo mayor participación el tejido mucoso
  • 12.
    CLASE I AREASEDENTULAS BILATERALES UBICADAS POSTERIORMENTE A LOS DIENTES NATURALES REMANENTES SITUACION DE EDENTICION PARCIAL QUE CON MAS FRECUENCIA SE PRESENTA
  • 13.
    CLASE I DEKENNEDY RESTAURACION DENTO MUCO-SOPORTADA LIMITACION 15 – 26 PRESENCIA DE MAYOR NUMERO DE DIENTES PILARES. REDUCE LA EXTENSION DE LOS REBORDES RESIDUALES
  • 14.
    CLASE I DEKENNEDY RESTAURACION DENTO-MUCOSOPORTADA LIMITACION 36-44 La disminución del soporte mucoso, hace que los dientes pilares asuman un papel protagónico en las funciones de S.E.R.
  • 15.
    CLASE I RESTAURACIONMUCO-DENTO SOPORTADA LIMITACION 13-23 RESTAURACION MUCO- DENTO SOPORTADA
  • 16.
    CLASE I LIMITACION33-43 RESTAURACION MUCO- DENTO SOPORTADA
  • 17.
    CLASE II: ZONAEDENTULA UNILATERAL, LOCALIZADA POSTERIOR A LOS DIENTES NATURALES REMANENTES EL TERMINO UNILATERAL HACE REFERENCIA A UNA SOLA BASE QUE OCUPA UN SOLO CUADRANTE DEL ARCO DENTAL LA ZONA EDENTULA DEBE LIMITAR HACIENDO REFERNCIA AL DIENTE PILAR ADYACENTE. EL TERMINO UNILATERAL A BILATERAL IMPLICA SIMPLEMENTE QUE SE ESTA RESALTANDO LA REAL SITUACION DE EXTENSION QUE PRESENTA EL REBORDE RESIDUAL.
  • 18.
    CLASE II UNILATERAL LIMITACION 13 RESTAURACION DENTO-MUCO SOPORTADA
  • 19.
    CLASE II UNILATERAL LIMITACION 44 RESTAURACION DENTO MUCO- SOPORTADA
  • 20.
    EL CAMBIO DEUNILATERAL A BILATERAL UNILATERAL LIMITACION 13 RESTAURACION DENTO MUCO- SOPORTADA BILATERAL LIMITACION 13 RESTAURACION MUCO- DENTO SOPORTADA
  • 21.
    CLASE II UNILATERAL, para indicar que la extensión de la zona edéntula abarca un solo cuadrante del arco dental implicado. BILATERAL , cuando la zona edéntula atraviese la línea media abarcando parte del otro cuadrante del arco.
  • 22.
    CLASE II BILATERALLIMITACION 23 RESTAURACION MUCO DENTO - SOPORTADA
  • 23.
    CLASE II BILATERALLIMITACION 34 RESTAURACION MUCO DENTO - SOPORTADA
  • 24.
    CLASE III ZONAEDENTULA CON DIENTES REMANENTES ANTERIOR Y POSTERIOR ES LA SITUACION QUE PRESENTA UN MEJOR PRONOSTICO PARA EL SOPORTE, ESTABILIDAD Y RETENCION DE LA RPR. NO PUEDE GENERAR MOVIMIENTO ROTACIONAL ANTEROPOSTERIOR POR ESTAR LIMITADA POR DIENTES PILARES EN CADA UNO DE SUS EXTREMOS. LA EXTENSION DE LA ZONA EDENTULA ES UNA VARIABLE MUY IMPORTANTE AL MOMENTO DE DETERMINAR EL TIPO DE TRATAMIENTO QUE SE LE VA A OFRECER AL PACIENTE.
  • 25.
  • 26.
  • 27.
    CLASE IV ZONAEDENTULA UNICA BILATERAL ANTERIOR A LOS DIENTES NATURALES REMANENTES EN ESTA SITUACION DE EDENTICION PARCIAL LA EXTENSION DEL REBORDE RESIDUAL TAMBIEN INFLUYE EN EL ESTUDIO BIOMECANICO QUE SE DEBE ESTABLECER ANTES DE REALIZAR EL DISEÑO DE LA RPR
  • 28.
    CLASE IV LIMITACION 13-23
  • 29.
  • 30.
  • 31.
  • 32.
    REGLAS DE APPLEGATEDr. Oliver Applegate (1960).
  • 33.
    REGLAS DE APPLEGATEREGLA 1 LA CLASIFICACION DEBE SER DESPUES DE, Y NO ANTES DE, REALIZAR EXTRACCIONES DENTALES QUE PUEDAN ALTERAR LA CLASIFICACION ORIGINAL. REGLA 2 SE FALTA UN TERCER MOLAR Y NO VA A SER REEMPLAZADO, NO SE LO CONSIDERA PARA LA CLASIFICACION. REGLA 3 SI SE HALLA PRESENTE EL TERCER MOLAR Y SE VA A UTILIZAR COMO DIENTE PILAR, SE LO CONSIDERA EN LA CLASIFICACION.
  • 34.
    REGLA 4 SIFALTA UN SEGUNDO MOLAR Y NO VA A SER REEMPLAZADO, NO SE LO CONSIDERA PARA LA CLASIFICACION ( POR EJEMPLO, SI TAMBIEN FALTA EL SEGUNDO MOLAR ANTAGONISTA, EL CUAL TAMPOCO SERA REEMPLAZADO) REGLA 5 EL AREA ( O AREAS ) DESDENTADA ( S ) MAS POSTERIOR SIEMPRE ES LA QUE DETERMINA LA CLASIFIACAION. REGLA 6 LAS AREAS DESDENTADAS DISTINTAS DE AQUELLA QUE DETERMINA LA CLASIFICACION SE DENOMINAN MODIFICACIONES IDENTIFICANDOSE POR SU NUMERO.
  • 35.
    REGLA 7 LAEXTENSION DE LA MODIFICACION NO SE CONSIDERA, SINO TAN SOLO LA CANTIDAD DE ZONAS DESDENTADAS ADICONALES. REGLA 8 NO PUEDE HABER AREAS DE MODIFICACION EN ARCOS DE CLASE IV. SI EXISTIESE OTRA ZONA DESDENTADA POSTERIOR AL ¨ AREA DESDENTADA UNICA PERO BILATERAL POR ATRAVESAR LA LINEA MEDIA ¨, ESTA DETERMINARIA EL CAMBIO DE CLASE, DE ACUERDO CON LA REGLA 5.
  • 36.
    INTERPRETACION BIOMECANICA DELAS REGLAS DE APPLEGATE PRESENTACION DE LAS REGLAS CON LA SECUENCIA MANEJADA SEGÚN EL DOCTOR ALFREDO QUINTERO RAMIREZ .
  • 37.
    REGLA 2 CLASEII UNILATERAL LIMITACION 13 LA APLICACION DE ESTA REGLA EN EL SEGUNDO CUADRANTE DESCARTA LA POSIBILIDAD DE TOMARSE COMO UNA CLASE I LIMITACION 13-27
  • 38.
    REGLA 2 CLASEIV LIMITACION 34-46 LA APLICACIÓN DE ESTA REGLA EN AMBOS CUADRANTES DESCARTA LA POSIBILIDAD DE LA SIGUIENTE CLASIFICACION CLASE I LIMITACION 37-47 MODIFICACION I LIMITACION 34-46 REGLAS 5 Y 6 .
  • 39.
    REGLA 5 y6 Clase I Limitación 35-43 Modificación 1 Limitación 35-33 Zonas de Modificación: Identificadas con numeración arábiga o decimal. Cada Zona de Clase o Zona de Modificación debe llevar sus respectivos Límites correspondientes al número del diente pilar adyacente
  • 40.
    REGLA 5 y6 Clase II Unilateral Limitación 24 Modificación 1 Limitación 17-14
  • 41.
    REGLA 5 Paraser correctamente aplicada deben existir como mínimo dos zonas edéntulas, siendo una mas posterior.
  • 42.
    En situaciones deedentición parcial Clase III con una o varias modificaciones La ubicación más posterior del diente pilar limitante será factor determinante al decidir cuál de las áreas edéntulas se debe considerar como Zona de Clase y cual como Zona de Modificación . En igualdad de ubicación del diente pilar posterior en ambos cuadrantes, la decisión por la zona de clase recaerá en el cuadrante inferior
  • 43.
    Reglas Nº 2,5 y 6 Clase III Limitación 17-15 Modificación 1 Limitación 24-27
  • 44.
    Reglas Nº 2,5 y 6 Clase III Limitación 17-15 Modificación 2 Limitación 13-23;23-26
  • 45.
    Reglas Nº 2,5 y 6 Clase III Limitación 47-31 Modificación 1 Limitación 36-34
  • 46.
    Regla Nº 7No siempre la Zona de Clase es la más importante al momento de determinar el análisis y diseño biomecánico de la restauración parcial removible que mejor controle el movimiento rotacional
  • 47.
    Clase II unilateralLimitación 24 Modificación 1 Limitación 16-23
  • 48.
    Clase III Limitación37-35 Modificación 1 Limitación 34-45
  • 49.
    Regla Nº 7Se presenta la situación de los arcos dentales donde se observa gresión de uno o varios dientes remanentes ocasionando pequeñas áreas edéntulas Si el espacio es pequeño no se le considera en la clasificación Si es extenso como para poder ubicar un póntico se puede considerar como Zona de Clase III o Zona de Modificación
  • 50.
    Clase III Limitación 37-35 Modificación 2 Limitación 33-43;43-46 El espacio entre el 35 y 34 causado Por distogresión del 35, no se considera Como Zona de Modificación
  • 51.
    B. Clase IIILimitación 17-16 Modificación 2 Limitación 16-23;2327 A. Clase III Limitación 27-23 Modificación 1 Limitación 16-23 No se toman en consideración las zonas edéntulas posteriores ni el espacio creado por la mesogresión del 16 Se aplica la regla 2 y se considera el espacio creado por la mesogresión como zona de clase al permitir la colocación de un póntico
  • 52.
    Clase I Limitación 35-45 Modificación 2 Limitación 33-44;44-45 La distogresión del 45 permite Considerar al espacio creado como Zona de Modificación, ya que se Puede colocar póntico
  • 53.
    Regla III Dientepilar limitante : es decir diente pilar adyacente a la zona edéntula que se quiere incluir a la clasificación, sea zona de clase o de modificación, como requisito indispensable para que el tercer molar entre a formar parte de dicha clasificación .
  • 54.
  • 55.
    Clase III Limitación18-15 Modificación 2 Limitación 13-23;23-27
  • 56.
    Regla Nº 4Considera que si en el arco dental se encontraba el primer molar, hasta ese diente se podía estimar que el paciente tendría un patrón de oclusión estable, no siendo necesario ubicar una base a extensión distal para colocar un segundo molar
  • 57.
    Clase III Limitación16-13 Modificación 2 Limitación 13-23;23-26
  • 58.
    Clase II unilateralLimitación 43
  • 59.
    Alerón estabilizador: se le denomina a la base protética a extensión distal sin póntico. Necesita soportarse sobre una base firme Sobre un reborde residual distal que permita una cobertura mínima de un centímetro
  • 60.
    Alerón estabilizador Lautilización de un reborde residual distal por medio de un alerón estabilizador le otorga a esa área edéntula características de zona de clase Clase I Limitación 13-26
  • 61.
  • 62.
    Regla Nº 8Se establece gracias a la aplicación de las reglas 2 y 4 descartando zonas edéntulas posteriores del arco dental que se está estudiando.
  • 63.
    Clase IV Limitación16-23 Regla Nº 2 Clase IV Limitación 34-47 Regla Nº 4 y 2
  • 64.
    Regla Nº 1La clasificación original se puede afectar de acuerdo con el tipo de rehabilitación que se escoja para determinado sector del arco dental. Se pueden suprimir Zonas de Modificación o Zonas de Clase III por medio de restauración parcial fija o de implantes de óseo integración
  • 65.
    Clase III Limitación16-13 Modificación 2 Limitación 13-23;23-26 Reglas Nº 4,5 y 6 Planifica puente fijo de 6 unidades, 13 a 23
  • 66.
    QUE SE ENTIENDEPOR EFECTO DE ARCO CRUZADO ES EL EFECTO QUE SE CONSIGUE PARA LA RPR CUANDO LOS COMPONENTES DE LA MISMA UBICADOS EN UN LADO DEL ARCO DENTAL AYUDAN A LOS COMPONENTES DEL LADO OPUESTO BUSCANDO UN MEJOR SOPORTE, ESTABILIDAD Y RETENCION. CUANDO LOS DOS LADOS DE UNA RPR SE UNEN A TRAVES DE LA LINEA MEDIA POR UN CONECTOR RIGIDO, TODOS LOS DIENTES PILARES INVOLUCRADOS EN SU DISEÑO RECIBEN EL EFECTO DE ARCO CRUZADO. AL ENCONTRAR EN EL ARCO DENTAL DOS DIFERENTES SUPERFICIES QUE PUEDEN COLABORAR CON LAS FUNCIONES DE SOPORTE, ESTABILIDAD Y RETENCION DE LA R.P.R. SE DEBE HABLAR DE ARCO CRUZADO DENTAL Y MUCOSO PARA ACLARAR A QUE FUNCION SE ESTA HACIENDO REFERENCIA
  • 67.
    EFECTO DE ARCOCRUZADO DENTAL UNILATERAL LIMITACION 44 RESTAURACION DENTO MUCO- SOPORTADA Hace referencia a las tres funciones, ya que los dientes pilares pueden colaborar positivamente en cada una de ellas
  • 68.
    EFECTO DE ARCO CRUZADO MUCOSO ESTE SE LIMITA UNICAMENTE A LA POSIBILIDAD QUE PUEDEN BRINDAR EL PALADAR Y LOS REBORDES RESIDUALES ( ARCO MAXILAR ) Y ( ARCO MANDIBULAR ) DE COLABORAR EN LAS FUNCIONES DE SOPORTE Y ESTABILIDAD, YA QUE LA FUNCION DE RETENCION EVITANDO EL DESALOJO DE LA RESTAURACION PARCIAL REMOVIBLE ES UNA FUNCION BASICA DE LOS DIENTES PILARES.
  • 69.
    CLASE I LIMITACION14-24 DOBLE EFECTO DE ARCO CRUZADO REBORDES RESIDUALES Y PALADAR EFECTO DE ARCO CRUZADO MUCOSO CLASE I LIMITACION 34-44 DOBLE EFECTO DE ARCO CRUZADO REBORDES RESIDUALES
  • 70.
    Z. BEN-UR, A.SHIFMAN, I. AVIV & C. GORFIL Further aspects of design for distal extension removable partial dentures based on the Kennedy classification. Journal of Oral Rehabilitation 1999 26; 165–169
  • 71.
    Los factores queafectan el diseño de la dentadura con referencia a la posición de los dientes pilares, la simetría de la extension distal edentula, la forma del arco y el corte transversal de los rebordes residuales.
  • 72.
    Ejes de rotación© Componentes horizontales sometidos a cargas verticales
  • 73.
    Diseños de montajede ganchos que funcionan con efecto de liberación de torque El gancho de RPI con una Y/o barra distal colocada, el gancho RPL y el gancho de acción posterior se sugieren en estas situaciones
  • 74.
    Forma seccionada transversalmentedel reborde edentulo Cambios seccionados transversalmente de la forma del arco después de la pérdida del diente se han clasificado como sigue (Cawood y Howell, 1988; Penhalt y otros., 1985) Clase I—Dentada Clase II- Inmediatamente posterior a la extraccion Clase III— De forma redondeada Clase IV de filo de cuchillo Clase V- Forma concava Clase VI—Depresivo
  • 75.
    Clase III ClaseIV Clase V Clase VI
  • 76.
    Evolución Unaclasificación de dentaduras parciales debe más que sugerir el problema principal implicado en el caso particular. Por esta razón ninguna clasificación es ideal, y quizás la más útil es la mencionada por Beckett (1953), Craddock (1956) y Osborne y Lammie (1974)
  • 77.
    Clasificación Clase I:Dentadura soportada por mucosa y hueso subyacente Clase II: Dentadura soportada por los dientes Clase III: Dentadura soportada por una combinación de mucosa y de dientes pilares. Consideramos que esta clasificación se debe ahora ampliar para incluir otro tipo, a saber: Clase IV: Dentadura soportada por implantes
  • 78.
    Wills y Manderson(1977) y Picton y Wills (1978) Clarificaron algunas ideas falsas sobre el desplazamiento y deformacion de la mucosa oral con su investigación sobre primates. Se determinaron que los efectos de presionar la mucosa sobre un período largo era comprimirla hasta en un 45% de su grosor original y, además, que su recuperación viscoelástica se daba por naturaleza.
  • 79.
    Las prótesis mucosoportadas,harán inevitable dos cosas: Desplazamiento de la mucosa Da lugar a pérdida adicional de hueso alveolar (esto es quizás lo de mayor importancia).
  • 80.
    Dentaduras de laclase II (de soporte dental) Las prótesis Dento-soportadas ganan su ayuda de los dientes cualitativa y cuantitativamente por un agente de soporte: la membrana periodontal. La presión bajo el eje largo del diente imparte la tensión en la membrana periodontal que alternadamente ayuda a mantener el hueso alveolar.
  • 81.
  • 82.
    Dentaduras de laclase III (combinación de soporte de mucosa y dientes) Simposio 1983 sobre la restauración de la boca parcialmente Dentada, refutó con eficacia el concepto de stress-oclusal, y la filosofía de ganchos en este tipo de prótesis es más biológico. Otro factor de complicación a considerar, en los agentes de soporte, es la necesidad de considerar los dispositivos antirotación
  • 83.
    Dentaduras de laclase IV (soportadas por implantes) Las prótesis Implanto-soportadas presentado en muchos libros de textos, la etapa siguiente del proceso del diseño es considerar cómo la prótesis será conservada.
  • 84.
  • 85.
    Dusan V. Kuzmanovic, Alan G. T. Payne and David G. Purton, Distal implants to modify the Kennedy classification of a removable partial denture: A clinical report J Prosthet DentJ Prosthet Dent
  • 86.
    Reporte del casoEste informe describe la fabricación de una restauración parcial removible mandibular en cromo-cobalto con una combinación de solo implantes molares bilaterales y coronas metal-cerámica usando los principios del sistema canal-hombro-perno . El arco maxilar fue restaurado con las coronas de metal y una RPD convencional con retenedores de precisión extracoronales
  • 87.
  • 88.
  • 89.
  • 90.
  • 91.
  • 92.
  • 93.
  • 94.
  • 95.
  • 96.
  • 97.
  • 98.
  • 99.
  • 100.
  • 101.
  • 102.
  • 103.
  • 104.
  • 105.
  • 106.
  • 107.
  • 108.
  • 109.
  • 110.
  • 111.
  • 112.
  • 113.
  • 114.
  • 115.
  • 116.
  • 117.
  • 118.
  • 119.
  • 120.
  • 121.
  • 122.
  • 123.
  • 124.
  • 125.
  • 126.
  • 127.
  • 128.
  • 129.
  • 130.
  • 131.
  • 132.
  • 133.
  • 134.
  • 135.
  • 136.
  • 137.