DIABETES MELLITUS
            Yael Sobarzo
DEFINICIÓN

 “Desorden endocrino genético complejo multifactorial.
 Representa una anormalidad en el metabolismo de la glucosa
 debido a una deficiencia de insulina o fallas en el metabolismo
 de esta”.1

 Enfermedad crónica, constituye un conjunto de trastornos
 metabólicos, en que la utilización de la glucosa esta alterada y
 se produce hiperglicemia. También es muy frecuente el
 metabolismo graso y proteico.
ETIOLOGÍA
                                                         Otros tipo
                                      Diabetes
     DM I             DM II                            específicos de
                                     Gestacional
                                                          diabetes
• Daño en la     • Resistencia      • Grado de        • defectos
  célula β         a la insulina      intolerancia      genéticos en
  pancreática    • Déficit real o     a la              la función de
• Falla la         relativo de        glucosa, diag     la célula β
  secreción de     insulina           nosticada         con falla
  insulina       • Su etiología       durante el        secretoria
• Tendencia a      especifica es      embarazo
  la cetosis       desconocida
PATOFISIOLOGÍA DMI
    Nivel de                Deshidratación
     h. de      Poliuria        intra y
    carbono                  extracelular




     No hay    Riñón hay      Estimula
    insulina   glicosuria       sed




       >         Supera
     Glucos     umbral
      a en      renal de     Polidipsia
     sangre     glucosa
Los > en
 Nivel ác.     Se obtiene     sangre
  grasos      ATP de ellos
                              •arteriosclerosis




              > Mecanismo
 >cuerpos                      Estimula al
              transporte de
 cetonicos                       hígado
                carnitina




Se acumulan                       < Ph
              Cetoacidosis
 en sangre                      sanguíneo




                              Llegar a coma
                Muerte          diabético
Nivel de
               Polifagia
Proteínas


Disminuye
              Disminuye
su síntesis
                 peso
en tejidos


               Altera el
Favorece la
              metabolismo
proteólisis
                lipidico
PATOFISIOLOGÍA DM II



    Dos defectos a nivel pato fisiológico, que precipitan el
                desarrollo de esta enfermedad:
    1. Déficit en la secreción de insulina por el páncreas.
    2. Resistencia a la acción de la insulina en los tejidos
                            periféricos.
EPIDEMIOLOGÍA
En la última encuesta nacional 2009-2010, se muestra una prevalencia de
9,4% a nivel nacional (glicemia de ayuno >=126 mg/dl ó
autorreporte de diagnóstico médico de diabetes)
Em ambos sexos hay un aumento significativo de prevalencia al
aumentar la edad. Se observa uma prevalencia mayor em mujeres
PREVENCIÓN Y TRATAMIENTO
 Lo que se puede prevenir es el desarrollo de la diabetes mellitus II, ya que la I es
 autoinmune, y no existen medidas para prevenirlas. La prevención consiste en:
 • Dieta saludable
 • Realizar ejercicios 3 veces a la semana.
 • Pacientes con sobrepeso, controlar su peso
 • Dejar de fumar

 Dentro del tratamiento tenemos 4 objetivos:
 1. Normalizar los niveles de glucosa en la sangre;
 2. Para evitar las complicaciones agudas y eliminar los síntomas;
 3. Para mantener el peso corporal ideal;
 4. Para prevenir o minimizar las complicaciones crónicas.

 Tratamiento no farmacológico: indicaciones de dieta para disminuir el peso y
     controlar la glicemia en valores normales. Además sumar el ejercicio para
     disminuir la glicemia, así como una reducción en los niveles de insulina, lo que
     aumenta la sensibilidad a esta misma.
PREVENCIÓN Y TRATAMIENTO
Tratamiento Farmacológico: En el caso de la diabetes mellitus I se utiliza
la insulina. También se administra a los pacientes con diabetes mellitus
II que presentan insulinopenia y en quienes ya la dieta o los fármacos
por vía oral no son suficientes para obtener el control glicémico deseado.

Dentro de los fármacos orales tenemos:

                                    NOMBRES GENÉRICOS DE
           CLASE DE DROGA                                    MECANISMO DE ACCIÓN
                                        LAS DROGAS

                                        Clorpropamida
                                           Glipizide
              Sulfonilureas                                Estimula la secreción de insulina
                                          Glyburide
                                         Glimepiride

               Meglitinides              Repaglinide       Estimula la secreción de insulina


                                                             Disminuye la glucogenólisis y
               Biguanides                 Metformin
                                                            producción de glucosa hepática



          Inhibidores de la Alfa-          Acarbose         Disminuye la absorción gástro-
               Glucosidasa                 Miglitol          intestinal de carbohidratos


                                         Rosiglitazone      Aumenta la sensibilidad de los
           Thiazolidinadiones
                                         Pioglitazone           tejidos a la insulina
PRONOSTICO

Un mejor control de los niveles de azúcar en la sangre, el colesterol y
la presión arterial en personas con diabetes ayuda a reducir el riesgo
de nefropatía, enfermedad ocular, neuropatía, ataque cardíaco y
accidente cerebro vascular. Por lo tanto, controlando los niveles de
azúcar se aumenta considerablemente el pronostico de los pacientes
diabéticos.

En el pronóstico de la diabetes además influyen múltiples factores
como el grado de avance de la enfermedad, control metabólico del
paciente y factores que agravan la enfermedad (sobrepeso, consumo
de alcohol y tabaco, etc.), por lo tanto el pronóstico es totalmente
individual y dinámico, ya que este puede variar en el tiempo.
MANIFESTACIONES EN LA SALUD
 BUCAL
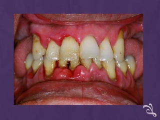
Enfermedad periodontal

  • Afecta a la progresión y severidad, y a su vez la enfermedad periodontal puede alterar las vías metabolicas
    sistemicas, agravando la diabetes e incrementando el riesgo de disfunción renal y cardiovascular.
  • Un cuadro hiperglicemico prolongado mantiene la infección anaerobia de los tejids peridontales en un ambiente
    de inmunidad innata exacerbado, lo que favorece la mayor destrucción periodontal
Caries
  • Se relaciona con los niveles de glocosa en saliva y fluido crevicular. Un mal contrl de la enfermedad aumenta el
    riesgo desarrollar caries y la perdidad temprana de dientes. Como hay asosiación con obesidad, el alto consumo
    de carbohidratos y altos en calorías, osea, alimentos cariogenicos se puede esperar un mayor desarrollo de
    caries

Disfunción salival

  • Se ha reportado xerostomía, que consiste en la sensación subjetiva de boca seca. El flujo salival podría verse
    afectado por condiciones como el uso de medicamentos, la edad y el grado de neuropatía.

Alteraciones en el gusto

  • Es un sintoma complejo que puede estar relacionado con la disminución del flujo salival y los cambios en la
    ingesta de alimentos asociados al manejo de la enfermedad

Enfermedades de la mucosa oral y otras infecciones orales

  • Se ha reportado lesiones liquen plano y estomatitis aftosa recurrente. La candidiasis oral a sido un hallazgo
    mas consistente, pues es un estado de inmunosupresión y la reducción del flujo salival es un factor de riesgo
    para la aparicion de esta.
MEDIDAS EN LA ATENCIÓN DENTAL
 Historia médica

 • Debemos realizar una buena historia clínica y evaluar el control glicémico en la primera cita. Para estar
   mas seguros pedir un examen de hemoglobina glicosilada. Conocer los medicamentos, las dosis y el
   tiempo de medicación

 Horario de consulta

 • Citas en la mañana ya que los niveles de cortisol son mas altos.

 Dieta

 • asegurarnos que el paciente haya comido y tomado sus medicamentos normalmente, pues si no tomo su
   desayudo pero si su medicamentos hay riesgos de cursar por un shock hipoglicemico.

 Durante el tratamiento

 • La complicación mas común es un episodio de hipoglicemia, en donde los sintomas y signos incluyen:
   cambio de humor, hambre, sed, debilidad; seguidos por sudores, incoherencia, taquicardia. Y sin no se
   tratan llegar a producirse inconciencia, hipotensión, hipotermia, coma y muerte. inmediatamente debe
   cancelarse el tratamiento, y aplicar la regla "15-15": administar 15gr de carbohidratos por vía oral cada
   15 minutos hasta llegar a los niveles normales de ázucar.

 Después del tratamiento

 • En pacientes pobremente controlados estan en riego desarrollar infecciones y de retrazar la cicatrización
   de los tejidos, por lo cual será necesario un tratamiento con antibioticos, para las infecciones bucales
   abiertas y en porcedimeitnos quirurgicos extensos
BIBLIOGRAFÍA
  1. Prof. Dr. Romo F; Prof. Dr. Diaz W; Prof. Dr. Schulz R;
     Prof. Dra. Torres M. Tópicos de Odontología Integral.
  2. http://ktokarev.wikispaces.com/1.+Diabetes+Mellitus.
  3. Dra. Gloria López Stewart; Nueva clasificación y criterios
     diagnósticos de la diabetes mellitus; Rev. méd.
     Chile v.126 n.7 Santiago jul. 1998
  4. B. Lamster et al. The Relationship Between Oral Health
     and Diabetes Mellitus. J Am Dent Assoc, 2008 Vol 139, No
     suppl_5, 19S-24S.
  5. CONSIDERACIONES A TOMAR EN CUENTA EN EL
     MANEJO ODONTOLÓGICO DEL PACIENTE CON
     DIABETES MELLITUS.
     http://www.actaodontologica.com/ediciones/2003/1/manejo_
     odontologico_paciente_diabetes_mellitus.asp
  6. Ministerio de Salud. Encuesta Nacional de Salud 2009-
     2010

Diabetes mellitus

  • 1.
    DIABETES MELLITUS Yael Sobarzo
  • 2.
    DEFINICIÓN “Desorden endocrinogenético complejo multifactorial. Representa una anormalidad en el metabolismo de la glucosa debido a una deficiencia de insulina o fallas en el metabolismo de esta”.1 Enfermedad crónica, constituye un conjunto de trastornos metabólicos, en que la utilización de la glucosa esta alterada y se produce hiperglicemia. También es muy frecuente el metabolismo graso y proteico.
  • 3.
    ETIOLOGÍA Otros tipo Diabetes DM I DM II específicos de Gestacional diabetes • Daño en la • Resistencia • Grado de • defectos célula β a la insulina intolerancia genéticos en pancreática • Déficit real o a la la función de • Falla la relativo de glucosa, diag la célula β secreción de insulina nosticada con falla insulina • Su etiología durante el secretoria • Tendencia a especifica es embarazo la cetosis desconocida
  • 4.
    PATOFISIOLOGÍA DMI Nivel de Deshidratación h. de Poliuria intra y carbono extracelular No hay Riñón hay Estimula insulina glicosuria sed > Supera Glucos umbral a en renal de Polidipsia sangre glucosa
  • 5.
    Los > en Nivel ác. Se obtiene sangre grasos ATP de ellos •arteriosclerosis > Mecanismo >cuerpos Estimula al transporte de cetonicos hígado carnitina Se acumulan < Ph Cetoacidosis en sangre sanguíneo Llegar a coma Muerte diabético
  • 6.
    Nivel de Polifagia Proteínas Disminuye Disminuye su síntesis peso en tejidos Altera el Favorece la metabolismo proteólisis lipidico
  • 7.
    PATOFISIOLOGÍA DM II Dos defectos a nivel pato fisiológico, que precipitan el desarrollo de esta enfermedad: 1. Déficit en la secreción de insulina por el páncreas. 2. Resistencia a la acción de la insulina en los tejidos periféricos.
  • 8.
    EPIDEMIOLOGÍA En la últimaencuesta nacional 2009-2010, se muestra una prevalencia de 9,4% a nivel nacional (glicemia de ayuno >=126 mg/dl ó autorreporte de diagnóstico médico de diabetes) Em ambos sexos hay un aumento significativo de prevalencia al aumentar la edad. Se observa uma prevalencia mayor em mujeres
  • 9.
    PREVENCIÓN Y TRATAMIENTO Lo que se puede prevenir es el desarrollo de la diabetes mellitus II, ya que la I es autoinmune, y no existen medidas para prevenirlas. La prevención consiste en: • Dieta saludable • Realizar ejercicios 3 veces a la semana. • Pacientes con sobrepeso, controlar su peso • Dejar de fumar Dentro del tratamiento tenemos 4 objetivos: 1. Normalizar los niveles de glucosa en la sangre; 2. Para evitar las complicaciones agudas y eliminar los síntomas; 3. Para mantener el peso corporal ideal; 4. Para prevenir o minimizar las complicaciones crónicas. Tratamiento no farmacológico: indicaciones de dieta para disminuir el peso y controlar la glicemia en valores normales. Además sumar el ejercicio para disminuir la glicemia, así como una reducción en los niveles de insulina, lo que aumenta la sensibilidad a esta misma.
  • 10.
    PREVENCIÓN Y TRATAMIENTO TratamientoFarmacológico: En el caso de la diabetes mellitus I se utiliza la insulina. También se administra a los pacientes con diabetes mellitus II que presentan insulinopenia y en quienes ya la dieta o los fármacos por vía oral no son suficientes para obtener el control glicémico deseado. Dentro de los fármacos orales tenemos: NOMBRES GENÉRICOS DE CLASE DE DROGA MECANISMO DE ACCIÓN LAS DROGAS Clorpropamida Glipizide Sulfonilureas Estimula la secreción de insulina Glyburide Glimepiride Meglitinides Repaglinide Estimula la secreción de insulina Disminuye la glucogenólisis y Biguanides Metformin producción de glucosa hepática Inhibidores de la Alfa- Acarbose Disminuye la absorción gástro- Glucosidasa Miglitol intestinal de carbohidratos Rosiglitazone Aumenta la sensibilidad de los Thiazolidinadiones Pioglitazone tejidos a la insulina
  • 11.
    PRONOSTICO Un mejor controlde los niveles de azúcar en la sangre, el colesterol y la presión arterial en personas con diabetes ayuda a reducir el riesgo de nefropatía, enfermedad ocular, neuropatía, ataque cardíaco y accidente cerebro vascular. Por lo tanto, controlando los niveles de azúcar se aumenta considerablemente el pronostico de los pacientes diabéticos. En el pronóstico de la diabetes además influyen múltiples factores como el grado de avance de la enfermedad, control metabólico del paciente y factores que agravan la enfermedad (sobrepeso, consumo de alcohol y tabaco, etc.), por lo tanto el pronóstico es totalmente individual y dinámico, ya que este puede variar en el tiempo.
  • 12.
    MANIFESTACIONES EN LASALUD BUCAL Enfermedad periodontal • Afecta a la progresión y severidad, y a su vez la enfermedad periodontal puede alterar las vías metabolicas sistemicas, agravando la diabetes e incrementando el riesgo de disfunción renal y cardiovascular. • Un cuadro hiperglicemico prolongado mantiene la infección anaerobia de los tejids peridontales en un ambiente de inmunidad innata exacerbado, lo que favorece la mayor destrucción periodontal Caries • Se relaciona con los niveles de glocosa en saliva y fluido crevicular. Un mal contrl de la enfermedad aumenta el riesgo desarrollar caries y la perdidad temprana de dientes. Como hay asosiación con obesidad, el alto consumo de carbohidratos y altos en calorías, osea, alimentos cariogenicos se puede esperar un mayor desarrollo de caries Disfunción salival • Se ha reportado xerostomía, que consiste en la sensación subjetiva de boca seca. El flujo salival podría verse afectado por condiciones como el uso de medicamentos, la edad y el grado de neuropatía. Alteraciones en el gusto • Es un sintoma complejo que puede estar relacionado con la disminución del flujo salival y los cambios en la ingesta de alimentos asociados al manejo de la enfermedad Enfermedades de la mucosa oral y otras infecciones orales • Se ha reportado lesiones liquen plano y estomatitis aftosa recurrente. La candidiasis oral a sido un hallazgo mas consistente, pues es un estado de inmunosupresión y la reducción del flujo salival es un factor de riesgo para la aparicion de esta.
  • 14.
    MEDIDAS EN LAATENCIÓN DENTAL Historia médica • Debemos realizar una buena historia clínica y evaluar el control glicémico en la primera cita. Para estar mas seguros pedir un examen de hemoglobina glicosilada. Conocer los medicamentos, las dosis y el tiempo de medicación Horario de consulta • Citas en la mañana ya que los niveles de cortisol son mas altos. Dieta • asegurarnos que el paciente haya comido y tomado sus medicamentos normalmente, pues si no tomo su desayudo pero si su medicamentos hay riesgos de cursar por un shock hipoglicemico. Durante el tratamiento • La complicación mas común es un episodio de hipoglicemia, en donde los sintomas y signos incluyen: cambio de humor, hambre, sed, debilidad; seguidos por sudores, incoherencia, taquicardia. Y sin no se tratan llegar a producirse inconciencia, hipotensión, hipotermia, coma y muerte. inmediatamente debe cancelarse el tratamiento, y aplicar la regla "15-15": administar 15gr de carbohidratos por vía oral cada 15 minutos hasta llegar a los niveles normales de ázucar. Después del tratamiento • En pacientes pobremente controlados estan en riego desarrollar infecciones y de retrazar la cicatrización de los tejidos, por lo cual será necesario un tratamiento con antibioticos, para las infecciones bucales abiertas y en porcedimeitnos quirurgicos extensos
  • 15.
    BIBLIOGRAFÍA 1.Prof. Dr. Romo F; Prof. Dr. Diaz W; Prof. Dr. Schulz R; Prof. Dra. Torres M. Tópicos de Odontología Integral. 2. http://ktokarev.wikispaces.com/1.+Diabetes+Mellitus. 3. Dra. Gloria López Stewart; Nueva clasificación y criterios diagnósticos de la diabetes mellitus; Rev. méd. Chile v.126 n.7 Santiago jul. 1998 4. B. Lamster et al. The Relationship Between Oral Health and Diabetes Mellitus. J Am Dent Assoc, 2008 Vol 139, No suppl_5, 19S-24S. 5. CONSIDERACIONES A TOMAR EN CUENTA EN EL MANEJO ODONTOLÓGICO DEL PACIENTE CON DIABETES MELLITUS. http://www.actaodontologica.com/ediciones/2003/1/manejo_ odontologico_paciente_diabetes_mellitus.asp 6. Ministerio de Salud. Encuesta Nacional de Salud 2009- 2010