El Timo
Xavier Chavarría−Bayot
Anatomía
Generalidades
• Órgano del sistema linfático, sistema
inmunológico y sistema endócrino.
• Embriológicamente se origina en la
tercera bolsa branquial o faríngea.
• Origen en el endodermo.
• Formación completa en el tercer mes de
gestación (12 – 15 g).
• En la pubertad crece hasta los
30 a 40 g.
Generalidades
• Desde que nacemos entra en una
continua atrofia.
• Involuciona hasta llegar a los 10 a 15 g en
adultos y 5 g a los 70 años.
• Tejido tímico es reemplazado −en su gran
mayoría− por tejido adiposo y areolar (que
proviene del mesénquima, mesodermo y
es un conjunto de fibras débilmente
entrelazadas y areolas).
Generalidades
• Si en vez de considerar peso absoluto
consideramos peso relativo tenemos que;
• Niño; 3 Kg y 15 g de timo = 5 gr/Kg
• Adolescente; 60 kg y 40 g de timo= 0,66
gr/Kg
• Adulto; 70 kg y 15 g de timo
= 0,13gr/kg
Anatomía
• Se localiza en la parte superior del tórax,
justo por debajo del esternón y por
delante de la tráquea; en el mediastino
superior.
• Al nacer mide 5 cm de largo, 4 cm de
ancho, y unos 6 mm de espesor.
Función endócrina
Vascularización e inervación
• Dos arterias tímicas superiores: llegan al timo
por su extremidad superior, provenientes de la
arteria tiroidea inferior.
• Dos arterias tímicas laterales: originadas en la
arteria torácica interna, llegan a los lóbulos del
timo.
• Una arteria tímica posterior: la arteria tímicas
central Procede del tronco braquiocefálico en la
proximidad de su origen en el arco de la aorta o
directamente de este.
Venas
•Emergen de la superficie del órgano, desde
donde van a terminar en las venas torácicas
internas, pericardiofrenicas, tiroidea inferior,
o en la vena braquiocefálica izquierda.
Vascularización e inervación
Linfáticos
•Los eferentes se originan bajo la capsula y
son:
•· Superiores, tributarios de los ganglios
cervicales profundos inferiores.
•· Anteriores, terminan en los ganglios
paraesternales.
•· Posteriores, que alcanzan los ganglios
prepericardicos
Vascularización e inervación
Nervios
•Provienen del simpáticos cervical, así
como del nervio vago.
•Nervio laríngeo recurrente izquierdo.
•Plexo pulmonar.
•Nervios frénicos.
•Plexo cardíaco.
Vascularización e inervación
Músculos
•Músculos infrahioideos (cara anterior).
Vascularización e inervación
Morfología general
Morfología Macroscópica
• Formado por dos lóbulos.
• Cada lóbulo está delimitado por una
cápsula fibrosa externa (Armazón
conjuntivo) de la que salen tabiques
(trabéculas) hacia el interior y los dividen
en lobulillos.
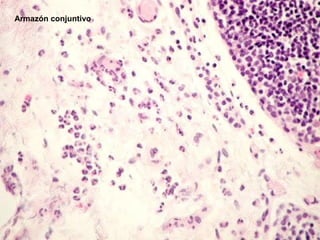
Morfología microscópica
• Se dividen en dos zonas: la cortical (o
córtex) y la medular (o médula).
• Células epiteliales, dispuestas
concéntricamente: Corpúsculos de
Hassal
• Barrera Hematotímica: los vasos
sanguíneos que circulan por el timo
poseen un endotelio con una lamina
basal prolongada.
Armazón conjuntivo
Córtex
(Abundancia de
linfocitos)
Cápsula
Fibrosa
(Armazón
Conjuntivo)
Médula
Presencia baja de
linfocitos, abundante
vascularización.
Corpúsculos de
Hassal
Revestimiento fibroso
(trabécula)
Médula
Corpúsculo de
Hassal
Función linfática e inmune
• Cómo parte del sistema linfático influye en
la maduración de los Linfocitos T, que
forman parte de los leucocitos (efectores
celulares de la respuesta inmunitaria).
Función linfática e inmune
Función Endócrina
• Secreta 3 hormonas:
• Timolina.
• Timopoyetina.
• Timosina.
• Timolina:
-Reduce el dolor de una inflamación.
-juega un papel en las interacciones
inmunológicas y neuro-endocrinas.
Función Endócrina
Función Endócrina
• Timopoyetina:
-Involucrada en la inducción del CD90 en
el timo, (ayuda en el crecimiento de neuritas
(cualquier prolongación de la neurona), la
regeneración del nervio, la apoptosis (muerte
celular programada), la metástasis, la
inflamación y la fibrosis ( formación o
desarrollo en exceso de tejido conectivo
fibroso en un órgano)).
-Regula la arquitectura nuclear.
• Timosina:
-Intervienen en el desarrollo de las células
del sistema inmune.
Función Endócrina
Patologías
• Miastenia gravis: Por la falta de leucocitos
T se produce debilidad de los músculos
esqueléticos.
• Hiperplasia tímica: Aparición de folículos
en el timo. Se encuentra con frecuencia
en la miastenia gravis.
• Timoma: neoplasias del timo que no
presentan atipia (afección de la forma).
Cuando presenta atipia es carcinoma
tímico. Se desconoce la etiología de
estos tumores.
El timo se puede observar directamente por
radiografía o mediastinoscopia, y en forma
simultánea se puede extraer material para
biopsia.
Resección de Timo
Esternotomía
Referencias.
• http://timouaa.blogspot.com/2009/04/timo_28.html
• http://es.wikipedia.org/wiki/Miastenia_gravis
• http://es.france-sante.org/informacion-
las+enfermedades+del+timo+el+timo+el+timo+neoplasia+timoma+hiperplas
ia+del+timo+aplasia+o+hipoplasia+con+inmunodeficiencia+el+trasplante+d
e+timo+absceso+del+timo+los+linfocitos+t+de+la+celula+inmune-E32-
salud.php
• http://www.geocities.ws/rdhenriquez/miasteniagravisped.html
• http://es.wikipedia.org/wiki/Timo
• http://eusalud.uninet.edu/misapuntes/index.php/Enfermedades_del_timo
• http://es.wikipedia.org/wiki/Atipia_celular
• http://en.wikipedia.org/wiki/Thymus
• http://histologiainmunitarioporjmunoz.blogspot.com/2008/04/el-timo.html
• http://www.wesapiens.org/es/class/2800002/file/0/Estructura+general+del+ti
mo

El Timo - Generalidades, Anatomía, Histología, Embriología, Relaciones, Irrigación, Inervación

  • 1.
  • 2.
    Generalidades • Órgano delsistema linfático, sistema inmunológico y sistema endócrino. • Embriológicamente se origina en la tercera bolsa branquial o faríngea. • Origen en el endodermo. • Formación completa en el tercer mes de gestación (12 – 15 g). • En la pubertad crece hasta los 30 a 40 g.
  • 4.
    Generalidades • Desde quenacemos entra en una continua atrofia. • Involuciona hasta llegar a los 10 a 15 g en adultos y 5 g a los 70 años. • Tejido tímico es reemplazado −en su gran mayoría− por tejido adiposo y areolar (que proviene del mesénquima, mesodermo y es un conjunto de fibras débilmente entrelazadas y areolas).
  • 5.
    Generalidades • Si envez de considerar peso absoluto consideramos peso relativo tenemos que; • Niño; 3 Kg y 15 g de timo = 5 gr/Kg • Adolescente; 60 kg y 40 g de timo= 0,66 gr/Kg • Adulto; 70 kg y 15 g de timo = 0,13gr/kg
  • 6.
    Anatomía • Se localizaen la parte superior del tórax, justo por debajo del esternón y por delante de la tráquea; en el mediastino superior. • Al nacer mide 5 cm de largo, 4 cm de ancho, y unos 6 mm de espesor.
  • 8.
  • 10.
    Vascularización e inervación •Dos arterias tímicas superiores: llegan al timo por su extremidad superior, provenientes de la arteria tiroidea inferior. • Dos arterias tímicas laterales: originadas en la arteria torácica interna, llegan a los lóbulos del timo. • Una arteria tímica posterior: la arteria tímicas central Procede del tronco braquiocefálico en la proximidad de su origen en el arco de la aorta o directamente de este.
  • 11.
    Venas •Emergen de lasuperficie del órgano, desde donde van a terminar en las venas torácicas internas, pericardiofrenicas, tiroidea inferior, o en la vena braquiocefálica izquierda. Vascularización e inervación
  • 12.
    Linfáticos •Los eferentes seoriginan bajo la capsula y son: •· Superiores, tributarios de los ganglios cervicales profundos inferiores. •· Anteriores, terminan en los ganglios paraesternales. •· Posteriores, que alcanzan los ganglios prepericardicos Vascularización e inervación
  • 13.
    Nervios •Provienen del simpáticoscervical, así como del nervio vago. •Nervio laríngeo recurrente izquierdo. •Plexo pulmonar. •Nervios frénicos. •Plexo cardíaco. Vascularización e inervación
  • 14.
    Músculos •Músculos infrahioideos (caraanterior). Vascularización e inervación
  • 15.
  • 16.
    Morfología Macroscópica • Formadopor dos lóbulos. • Cada lóbulo está delimitado por una cápsula fibrosa externa (Armazón conjuntivo) de la que salen tabiques (trabéculas) hacia el interior y los dividen en lobulillos.
  • 17.
    Morfología microscópica • Sedividen en dos zonas: la cortical (o córtex) y la medular (o médula). • Células epiteliales, dispuestas concéntricamente: Corpúsculos de Hassal • Barrera Hematotímica: los vasos sanguíneos que circulan por el timo poseen un endotelio con una lamina basal prolongada.
  • 19.
  • 20.
  • 21.
    Médula Presencia baja de linfocitos,abundante vascularización.
  • 22.
  • 23.
  • 24.
    Función linfática einmune • Cómo parte del sistema linfático influye en la maduración de los Linfocitos T, que forman parte de los leucocitos (efectores celulares de la respuesta inmunitaria).
  • 25.
  • 26.
    Función Endócrina • Secreta3 hormonas: • Timolina. • Timopoyetina. • Timosina.
  • 27.
    • Timolina: -Reduce eldolor de una inflamación. -juega un papel en las interacciones inmunológicas y neuro-endocrinas. Función Endócrina
  • 28.
    Función Endócrina • Timopoyetina: -Involucradaen la inducción del CD90 en el timo, (ayuda en el crecimiento de neuritas (cualquier prolongación de la neurona), la regeneración del nervio, la apoptosis (muerte celular programada), la metástasis, la inflamación y la fibrosis ( formación o desarrollo en exceso de tejido conectivo fibroso en un órgano)). -Regula la arquitectura nuclear.
  • 29.
    • Timosina: -Intervienen enel desarrollo de las células del sistema inmune. Función Endócrina
  • 30.
    Patologías • Miastenia gravis:Por la falta de leucocitos T se produce debilidad de los músculos esqueléticos. • Hiperplasia tímica: Aparición de folículos en el timo. Se encuentra con frecuencia en la miastenia gravis. • Timoma: neoplasias del timo que no presentan atipia (afección de la forma). Cuando presenta atipia es carcinoma tímico. Se desconoce la etiología de estos tumores.
  • 31.
    El timo sepuede observar directamente por radiografía o mediastinoscopia, y en forma simultánea se puede extraer material para biopsia.
  • 32.
  • 33.
  • 35.
    Referencias. • http://timouaa.blogspot.com/2009/04/timo_28.html • http://es.wikipedia.org/wiki/Miastenia_gravis •http://es.france-sante.org/informacion- las+enfermedades+del+timo+el+timo+el+timo+neoplasia+timoma+hiperplas ia+del+timo+aplasia+o+hipoplasia+con+inmunodeficiencia+el+trasplante+d e+timo+absceso+del+timo+los+linfocitos+t+de+la+celula+inmune-E32- salud.php • http://www.geocities.ws/rdhenriquez/miasteniagravisped.html • http://es.wikipedia.org/wiki/Timo • http://eusalud.uninet.edu/misapuntes/index.php/Enfermedades_del_timo • http://es.wikipedia.org/wiki/Atipia_celular • http://en.wikipedia.org/wiki/Thymus • http://histologiainmunitarioporjmunoz.blogspot.com/2008/04/el-timo.html • http://www.wesapiens.org/es/class/2800002/file/0/Estructura+general+del+ti mo