HELMINTOS
Subreino Metazoa Phylum Platyhelminthes Reino Animal Phylum Nematoda Phylum Acantocephala Clase Digenea Clase  Cestoda
NEMATODOS Helmintos cilíndricos Alargados  Sin segmentación Agudos en los extremos (boca y ano) Sistema digestivo,  nervioso y excretor Sexos separados Simetría bilateral Gran variedad de tamaños
Boca Estilete Metacuerpo Esófago Cutícula Intestino Ovario Vulva Espícula Testículo Ano Bursa
PHYLUM NEMATODA Orden Rhabditida ( Strongyloides ) Orden Strongylida ( Necator, Ancylostoma ) Orden Ascaridida ( Ascaris, Toxocara ) Orden Spirurida ( Filarias ) Orden Enoplida ( Trichuris, Trichinela )
ASCARIASIS
DEFINICIÓN Lumbricus teres: lombriz de tierra Geohelmintiasis causada por el  Ascaris lumbricoides  Amplia distribución en el mundo Localización: intestino delgado Asintomático Cuadros  Desnutrición  digestivos  y otras inespecíficos complicaciones
BIOLOGÍA Nematodo intestinal de mayor tamaño Lombriz intestinal Color rosado o blanco amarillento Hembra :  20-30 cm x 3-6 mm  Macho: 15-20 cm x 2-4 mm Dos espículas Vida promedio: 1 año
 
Boca de A.lumbricoides
Boca de A.lumbricoides
HUEVO  Hembras fecundadas Forma oval o redondeada 60   m de diámetro Tres membranas: Externa o mamelonada y dos internas lisas Color café Interior : material granuloso Presencia de hembras y machos en intestino Fértil
FERTIL
FERTIL
HUEVO   Hembras no fecundadas Irregulares Alargados Presencia de Ascaris hembras Infértil
CICLO DE VIDA
Acción tóxica Acción mecánica Acción expoliativa PATOGÉNESIS
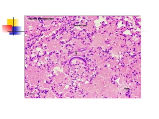
PULMON Migración larvaria Ruptura de alvéolos Hemorragia Exudado inflamatorio Moco Reacción granulomatosa PATOLOGÍA
 
Larva de A.lumbricoides en pulmón
SINTOMATOLOGÍA PULMONAR RESPIRATORIAS Y ALÉRGICAS Primeras manifestaciones clínicas Leves: catarro Tos Expectoración Fiebre Eosinofilia Manifestación alérgica: asma Síndrome de Loeffler
INTESTINO Inflamación de la mucosa Aplanamiento de vellosidades Desnutrición: Anorexia Disminución del tiempo de transito intestinal Anormalidad de la mucosa Utilización de proteínas y carbohidratos PATOLOGÍA
 
Dolor abdominal difuso En ocasiones: diarrea, nauseas, vómito,  meteorismo Infecciones intensas:  Síndrome de obstrucción intestinal SINTOMATOLOGÍA INTESTINAL
Síndrome de obstrucción intestinal
COMPLICACIONES OBSTRUCCIÓN INTESTINAL MIGRACIONES LARVARIAS FORMACIÓN DE GRANULOMAS
Niños menores de 10 años Dolor abdominal en retortijón Vómito Estreñimiento Eliminación de gusanos por boca y nariz Movimientos del abdomen Masa abdominal palpable SINDROME DE OBSTRUCCIÓN INTESTINAL
CAUSAS Fiebre Enfriamiento Drogas Alcohol Infección por un solo sexo MIGRACIONES
 
MIGRACIONES VIAS BILIARES Invasión de colédoco y obstrucción biliar HÍGADO Formación de granulomas OTRAS Peritoneal Apéndice Páncreas Vías respiratorias Fosas nasales Ojos
Granulomas: ojo, sistema nervioso, vísceras Localización cerebral: síntomas neurológicos variados GRANULOMAS
Dx Parasitológico Coprológico: huevos de  Ascaris Recuento de huevos por gramo de materia fecal (h.p.g.) Leve: < 5.000 h.p.g. Moderada: 5.000-50.000 h.p.g. Intensa: > 50.000 h.p.g. No de parásitos adultos en intestino: h.p.g./2000 DIAGNÓSTICO
Dx Radiológico Rx de abdomen Dx epidemiológico Niños Delgados Estomago distendido ojos hundidos Rinorrea purulenta  abundante Episodios de gripa  recurrentes Adultos Cólicos abdominales Constipación DIAGNÓSTICO
Cosmopolita, más frecuente en  zonas : cálidas y húmedas grupos : preeescolares y escolares  Forma infectante : huevo larvado  Mec. de transmisión : contaminación fecal  Período de incubación : el ciclo vital requiere 4 - 8 semanas para completarse  Período de transmisibilidad : mientras vivan  Ascaris  adultas fecundadas  Los gusanos pueden vivir hasta 24 meses  y cada hembra poner  hasta 200.000 huevos al día  EPIDEMIOLOGÍA
Agua  potable Lavado  Verduras alimentos Adecuada Eliminación excretas CONTROL Higiene personal Artrópodos Vectores mecánicos
TRATAMIENTO BENZIMIDAZOLES PAMOATO DE PIRANTEL PIPERAZINA IVERMECTINA ALBENDAZOL MEBENDAZOL FLUBENDAZOL DU 10 mg/Kg PARÁLISIS DEL PARASITO DU 200 ug/Kg BLOQUEO ACETIL  COLINA PARÁLISIS
 

HELMINTOLOGÍA

  • 1.
  • 2.
    Subreino Metazoa PhylumPlatyhelminthes Reino Animal Phylum Nematoda Phylum Acantocephala Clase Digenea Clase Cestoda
  • 3.
    NEMATODOS Helmintos cilíndricosAlargados Sin segmentación Agudos en los extremos (boca y ano) Sistema digestivo, nervioso y excretor Sexos separados Simetría bilateral Gran variedad de tamaños
  • 4.
    Boca Estilete MetacuerpoEsófago Cutícula Intestino Ovario Vulva Espícula Testículo Ano Bursa
  • 5.
    PHYLUM NEMATODA OrdenRhabditida ( Strongyloides ) Orden Strongylida ( Necator, Ancylostoma ) Orden Ascaridida ( Ascaris, Toxocara ) Orden Spirurida ( Filarias ) Orden Enoplida ( Trichuris, Trichinela )
  • 6.
  • 7.
    DEFINICIÓN Lumbricus teres:lombriz de tierra Geohelmintiasis causada por el Ascaris lumbricoides Amplia distribución en el mundo Localización: intestino delgado Asintomático Cuadros Desnutrición digestivos y otras inespecíficos complicaciones
  • 8.
    BIOLOGÍA Nematodo intestinalde mayor tamaño Lombriz intestinal Color rosado o blanco amarillento Hembra : 20-30 cm x 3-6 mm Macho: 15-20 cm x 2-4 mm Dos espículas Vida promedio: 1 año
  • 9.
  • 10.
  • 11.
  • 12.
    HUEVO Hembrasfecundadas Forma oval o redondeada 60  m de diámetro Tres membranas: Externa o mamelonada y dos internas lisas Color café Interior : material granuloso Presencia de hembras y machos en intestino Fértil
  • 13.
  • 14.
  • 15.
    HUEVO Hembras no fecundadas Irregulares Alargados Presencia de Ascaris hembras Infértil
  • 16.
  • 17.
    Acción tóxica Acciónmecánica Acción expoliativa PATOGÉNESIS
  • 18.
    PULMON Migración larvariaRuptura de alvéolos Hemorragia Exudado inflamatorio Moco Reacción granulomatosa PATOLOGÍA
  • 19.
  • 20.
  • 21.
    SINTOMATOLOGÍA PULMONAR RESPIRATORIASY ALÉRGICAS Primeras manifestaciones clínicas Leves: catarro Tos Expectoración Fiebre Eosinofilia Manifestación alérgica: asma Síndrome de Loeffler
  • 22.
    INTESTINO Inflamación dela mucosa Aplanamiento de vellosidades Desnutrición: Anorexia Disminución del tiempo de transito intestinal Anormalidad de la mucosa Utilización de proteínas y carbohidratos PATOLOGÍA
  • 23.
  • 24.
    Dolor abdominal difusoEn ocasiones: diarrea, nauseas, vómito, meteorismo Infecciones intensas: Síndrome de obstrucción intestinal SINTOMATOLOGÍA INTESTINAL
  • 25.
  • 26.
    COMPLICACIONES OBSTRUCCIÓN INTESTINALMIGRACIONES LARVARIAS FORMACIÓN DE GRANULOMAS
  • 27.
    Niños menores de10 años Dolor abdominal en retortijón Vómito Estreñimiento Eliminación de gusanos por boca y nariz Movimientos del abdomen Masa abdominal palpable SINDROME DE OBSTRUCCIÓN INTESTINAL
  • 28.
    CAUSAS Fiebre EnfriamientoDrogas Alcohol Infección por un solo sexo MIGRACIONES
  • 29.
  • 30.
    MIGRACIONES VIAS BILIARESInvasión de colédoco y obstrucción biliar HÍGADO Formación de granulomas OTRAS Peritoneal Apéndice Páncreas Vías respiratorias Fosas nasales Ojos
  • 31.
    Granulomas: ojo, sistemanervioso, vísceras Localización cerebral: síntomas neurológicos variados GRANULOMAS
  • 32.
    Dx Parasitológico Coprológico:huevos de Ascaris Recuento de huevos por gramo de materia fecal (h.p.g.) Leve: < 5.000 h.p.g. Moderada: 5.000-50.000 h.p.g. Intensa: > 50.000 h.p.g. No de parásitos adultos en intestino: h.p.g./2000 DIAGNÓSTICO
  • 33.
    Dx Radiológico Rxde abdomen Dx epidemiológico Niños Delgados Estomago distendido ojos hundidos Rinorrea purulenta abundante Episodios de gripa recurrentes Adultos Cólicos abdominales Constipación DIAGNÓSTICO
  • 34.
    Cosmopolita, más frecuenteen zonas : cálidas y húmedas grupos : preeescolares y escolares Forma infectante : huevo larvado Mec. de transmisión : contaminación fecal Período de incubación : el ciclo vital requiere 4 - 8 semanas para completarse Período de transmisibilidad : mientras vivan Ascaris adultas fecundadas Los gusanos pueden vivir hasta 24 meses y cada hembra poner hasta 200.000 huevos al día EPIDEMIOLOGÍA
  • 35.
    Agua potableLavado Verduras alimentos Adecuada Eliminación excretas CONTROL Higiene personal Artrópodos Vectores mecánicos
  • 36.
    TRATAMIENTO BENZIMIDAZOLES PAMOATODE PIRANTEL PIPERAZINA IVERMECTINA ALBENDAZOL MEBENDAZOL FLUBENDAZOL DU 10 mg/Kg PARÁLISIS DEL PARASITO DU 200 ug/Kg BLOQUEO ACETIL COLINA PARÁLISIS
  • 37.