Higiene Bucal
¿Que es la higiene bucal ?
Es el conjunto de cuidados que se realizan
Para mantener limpios y sanos nuestros
dientes , encías, lengua y la boca en general.
Es de suma importancia, nos permite mantener
evitar enfermedades.
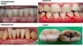
ENFERMEDADES
SARRO
PERIODONTITIS CARIES
Como realizar una limpieza
Higiene Bucal en pacientes hospitalizados
Primero se debe explicar al paciente cuáles son los objetivos de realizar esta limpieza
caso que el paciente necesita ayuda, debe ser asistido por una enfermera/o .Para realizar la
limpieza se necesitará:
• Vaso con agua.
• Cepillo de dientes.
• Antiséptico oral.
• Vaselina.
• Gasas.
• Pinza o Kocher para hacer torundas.
• Depresor lingual.
• Batea.
• Toalla y empapadera.
• Guantes.
• Sonda de aspiración conectada al aspirador.
• Jeringa de 10ml y de 20ml.
Paciente autónomo: Si está encamado
colocarlo en posición adecuada
(decúbito supino y medio incorporado) o
posición de fowler siempre que fuese
posible colocarle una toalla en el tórax y
en la almohada para protegerlo de
salpicaduras de agua.
•Higiene de manos del paciente.
•Proveer el material necesario al
paciente (cepillo, dentífrico, vaso con
agua o enjuague bucal, recipiente para
desechos) para la realización de su
propia limpieza bucal.
• Evitar maniobras que
puedan provocar náusea al paciente.
Paciente dependiente consciente
• Cepillar los dientes desde la encía hasta la
corona realizando barrido para eliminar residuos.
• Limpiar la cara externa, interna, superior e
inferior de los dientes y muelas en ambas mandíbulas
así como la lengua.
• Facilitar un vaso con agua o antiséptico
bucal para el aclarado de la boca.
• Aplicar vaselina en los labios para que
queden protegidos e hidratados.
• Retirar el material empleado en los
contenedores indicados.
• Retirar los guantes.
• Higiene de manos.
paciente dependiente inconsciente
Inclinar la cabeza del paciente hacia un lado, si está
indicado.
• Mojar torunda en la solución antiséptica y lavar
paladar, lengua, cara interna de los carrillos, encías y
dientes.
• Si existen secreciones secas y pegadas untar
de vaselina líquida ya que es difícil de despegar sin
ocasionar ulceraciones en las mucosas.
• Cambiar de torunda tantas veces como sea
necesario.
• Mantener la boca abierta mediante depresor
lingual, introducir agua con una jeringa de 10ml,
aspirando al mismo tiempo con una sonda corta y de
bordes redondeados. Repetir esta operación con una
solución antiséptica oral.
• Lavar los labios y zona peribucal con gasas
húmedas.
• Secar bien los labios y aplicar vaselina.
• Colocar al paciente en posición cómoda.
• Retirar el material empleado en los
contenedores indicados.
• Retirar los guantes.
PRÓTESIS DENTAL ¿QUE ES?
Es un elemento artificial que sirve para restaurar la anatomía de uno o varios
dientes.
Su objetivo es de funcionalidad y autonomía para el paciente.
Higiene de la prótesis es importante para una correcta limpieza y lavado ya que
en ella también se adhieren bacterias formando placas bacterianas, pudiendo
generan irritación e infección en las encías.
Elementos de desinfección: jabón de glicerina neutro, cepillo, agua, vaso
Elementos de desinfección
Tipos de prótesis
Limpieza de prótesis dental extraíble
• Lavar utilizando un cepillo adecuado.
• Desinfectar, sumergiéndolas durante 10-15 minutos en una solución de clorhexidina acuosa (si el
paciente utiliza en su domicilio productos preparados específicos para las dentaduras, los utilizaremos siempre
que nos los proporcione el propio paciente o familiar).
• Aclarar con agua antes de su colocación.
• Si no se le coloca al paciente, secar y guardar en el contenedor de prótesis dental.
• Retirar el material empleado en los contenedores indicados.
• Retirar los guantes.
• Higiene de manos.
Consideraciones especiales
En pacientes intubados, el procedimiento será el mismo que para el paciente inconsciente.
Valorar la existencia de ulceración provocada por herida o por roce de tubo oro traqueal si lo hubiere, heridas
traumáticas, quirúrgicas, etc.
En pacientes con ulceraciones y/o heridas quirúrgicas, valorar la técnica indicada a realizar En pacientes con
sobre-dentadura, utilizar hilo dental, si es posible.
Registro
• Anotar en el registro correspondiente
• Procedimiento realizado.
• Firma, fecha y hora de realización.
• Incidencias ocurridas durante el procedimiento.
• Respuesta del paciente al procedimiento realizado.
Pediculosis
¿Qué es la pediculosis?
Es una infestacion de la piel por piojos o liendres que causan irritación cutánea.
Se caracteriza por un picor muy intenso que afecta el cuero cabelludo y la región púbica
Modos de contagios: por contacto cercano con una persona infestada, usar peine , cepillos ,gorras ,
ropa, sábanas, contacto sexual en caso de piojos pubicos.
Sintomas : Picazón, sensación de querer rascarse constantemente, comezón, esto puede generar
infecciones secundarias.
Tratamientos: shampoo, cremas, que contengan PIRETRINAS, LINDANE. Medicamentos que combaten
piojos y liendres . No usar accesorios para la cabeza de otras personas. Peines especiales para
eliminarlos. En el caso de piojos púbicos se recomienda PERMETRINA para su eliminación.
PEDICULOSIS IMAGENES EJEMPLOS
LAVADO DE CABEZA
¿Que es ?
Son maniobras que se realizan para lavar el cabello y cuero cabelludo.
OBJETIVOS: Construir al buen aspecto personal o en nuestros pacientes ,
manteniendo el cabello limpio ,seco y libres de agentes. Lograr mejor circulación.
IMPORTANCIA DEL LAVADO: se trata de propiciar la mejor higiene y prevenir
procesos infecciosos como la pediculosis. Crear un mejor estado físico y psíquico
de la persona elevando su autoestima y bienestar.
PASOS DEL LAVADO
CONOCER EL TIPO DE CABELLO: si es graso, seco,normal.
CEPILLAR: desenredar el cabello antes de lavarlo, mejora la circulación sanguínea.
AGUA A TEMPERATURA CORRECTA: lo ideal es tibia , ya que caliente estimula la
producción de grasa y fría no elimina bien las impurezas. Mojar completo hasta la raíz.
COLAR SHAMPOO: color pequeña parte de shampoo, realizar masajes y dejar actuar
. Enjuagar.
SECADO: finalmente secar con paño suavemente, y luego de manera natural.
LAVADO DE CABEZA DE PACIENTE EN CAMA
1) Lavarse las manos.
2) Prepar el equipo y llevarlo a la unidad del paciente.
3) Identificar al paciente.
4) Dar preparación psicológica.
5) Dar preparación física.
6) Aislar al paciente.
7) Posición de cubito dorsal
8) Acercar al paciente a la orilla de la cama
9) Retirar almohada.
10) Colocar en la cabecera de la cama la bolsa de plástico sobre la toalla.
11) Colocar el cojín kelly debajo de la cabeza del paciente dejando el extremo dentro de la
cubeta.
LAVADO DE CABEZA EN PACIENTE EN CAMA
12) cubrir los ojos del paciente con gasas y los oídos con torundas.
13) verter el agua en el lavamanos
14) mojar cabello, aplicar jabón, shampoo, lavar dando masajes al cuero cabelludo.
15) enjuagar el cabello.
16) retirar gasas, torundas.
17) retirar cojín y colocarlo en la cubeta
18) colocar el cabello entendido sobre la toalla.
19) secar el cabello con otra toalla.
20)retirar toallas y bolsas.
LAVADO DE CABEZA DE PACIENTE EN CAMA.
21) peinar al paciente
22) dejar cómodo al paciente.
23) retirar el equipo y dar los cuidados posteriores a su uso.
24) hacer anotaciones en la nota de enfermeria.
Higiene bucal.pptx
Higiene bucal.pptx
Higiene bucal.pptx

Higiene bucal.pptx

  • 1.
    Higiene Bucal ¿Que esla higiene bucal ? Es el conjunto de cuidados que se realizan Para mantener limpios y sanos nuestros dientes , encías, lengua y la boca en general. Es de suma importancia, nos permite mantener evitar enfermedades.
  • 2.
  • 3.
  • 4.
    Higiene Bucal enpacientes hospitalizados Primero se debe explicar al paciente cuáles son los objetivos de realizar esta limpieza caso que el paciente necesita ayuda, debe ser asistido por una enfermera/o .Para realizar la limpieza se necesitará: • Vaso con agua. • Cepillo de dientes. • Antiséptico oral. • Vaselina. • Gasas. • Pinza o Kocher para hacer torundas. • Depresor lingual. • Batea. • Toalla y empapadera. • Guantes. • Sonda de aspiración conectada al aspirador. • Jeringa de 10ml y de 20ml.
  • 5.
    Paciente autónomo: Siestá encamado colocarlo en posición adecuada (decúbito supino y medio incorporado) o posición de fowler siempre que fuese posible colocarle una toalla en el tórax y en la almohada para protegerlo de salpicaduras de agua. •Higiene de manos del paciente. •Proveer el material necesario al paciente (cepillo, dentífrico, vaso con agua o enjuague bucal, recipiente para desechos) para la realización de su propia limpieza bucal. • Evitar maniobras que puedan provocar náusea al paciente. Paciente dependiente consciente • Cepillar los dientes desde la encía hasta la corona realizando barrido para eliminar residuos. • Limpiar la cara externa, interna, superior e inferior de los dientes y muelas en ambas mandíbulas así como la lengua. • Facilitar un vaso con agua o antiséptico bucal para el aclarado de la boca. • Aplicar vaselina en los labios para que queden protegidos e hidratados. • Retirar el material empleado en los contenedores indicados. • Retirar los guantes. • Higiene de manos.
  • 6.
    paciente dependiente inconsciente Inclinarla cabeza del paciente hacia un lado, si está indicado. • Mojar torunda en la solución antiséptica y lavar paladar, lengua, cara interna de los carrillos, encías y dientes. • Si existen secreciones secas y pegadas untar de vaselina líquida ya que es difícil de despegar sin ocasionar ulceraciones en las mucosas. • Cambiar de torunda tantas veces como sea necesario. • Mantener la boca abierta mediante depresor lingual, introducir agua con una jeringa de 10ml, aspirando al mismo tiempo con una sonda corta y de bordes redondeados. Repetir esta operación con una solución antiséptica oral. • Lavar los labios y zona peribucal con gasas húmedas. • Secar bien los labios y aplicar vaselina. • Colocar al paciente en posición cómoda. • Retirar el material empleado en los contenedores indicados. • Retirar los guantes.
  • 7.
    PRÓTESIS DENTAL ¿QUEES? Es un elemento artificial que sirve para restaurar la anatomía de uno o varios dientes. Su objetivo es de funcionalidad y autonomía para el paciente. Higiene de la prótesis es importante para una correcta limpieza y lavado ya que en ella también se adhieren bacterias formando placas bacterianas, pudiendo generan irritación e infección en las encías. Elementos de desinfección: jabón de glicerina neutro, cepillo, agua, vaso
  • 8.
  • 9.
  • 12.
    Limpieza de prótesisdental extraíble • Lavar utilizando un cepillo adecuado. • Desinfectar, sumergiéndolas durante 10-15 minutos en una solución de clorhexidina acuosa (si el paciente utiliza en su domicilio productos preparados específicos para las dentaduras, los utilizaremos siempre que nos los proporcione el propio paciente o familiar). • Aclarar con agua antes de su colocación. • Si no se le coloca al paciente, secar y guardar en el contenedor de prótesis dental. • Retirar el material empleado en los contenedores indicados. • Retirar los guantes. • Higiene de manos. Consideraciones especiales En pacientes intubados, el procedimiento será el mismo que para el paciente inconsciente. Valorar la existencia de ulceración provocada por herida o por roce de tubo oro traqueal si lo hubiere, heridas traumáticas, quirúrgicas, etc. En pacientes con ulceraciones y/o heridas quirúrgicas, valorar la técnica indicada a realizar En pacientes con sobre-dentadura, utilizar hilo dental, si es posible. Registro • Anotar en el registro correspondiente • Procedimiento realizado. • Firma, fecha y hora de realización. • Incidencias ocurridas durante el procedimiento. • Respuesta del paciente al procedimiento realizado.
  • 14.
    Pediculosis ¿Qué es lapediculosis? Es una infestacion de la piel por piojos o liendres que causan irritación cutánea. Se caracteriza por un picor muy intenso que afecta el cuero cabelludo y la región púbica Modos de contagios: por contacto cercano con una persona infestada, usar peine , cepillos ,gorras , ropa, sábanas, contacto sexual en caso de piojos pubicos. Sintomas : Picazón, sensación de querer rascarse constantemente, comezón, esto puede generar infecciones secundarias. Tratamientos: shampoo, cremas, que contengan PIRETRINAS, LINDANE. Medicamentos que combaten piojos y liendres . No usar accesorios para la cabeza de otras personas. Peines especiales para eliminarlos. En el caso de piojos púbicos se recomienda PERMETRINA para su eliminación.
  • 15.
  • 17.
    LAVADO DE CABEZA ¿Quees ? Son maniobras que se realizan para lavar el cabello y cuero cabelludo. OBJETIVOS: Construir al buen aspecto personal o en nuestros pacientes , manteniendo el cabello limpio ,seco y libres de agentes. Lograr mejor circulación. IMPORTANCIA DEL LAVADO: se trata de propiciar la mejor higiene y prevenir procesos infecciosos como la pediculosis. Crear un mejor estado físico y psíquico de la persona elevando su autoestima y bienestar.
  • 18.
    PASOS DEL LAVADO CONOCEREL TIPO DE CABELLO: si es graso, seco,normal. CEPILLAR: desenredar el cabello antes de lavarlo, mejora la circulación sanguínea. AGUA A TEMPERATURA CORRECTA: lo ideal es tibia , ya que caliente estimula la producción de grasa y fría no elimina bien las impurezas. Mojar completo hasta la raíz. COLAR SHAMPOO: color pequeña parte de shampoo, realizar masajes y dejar actuar . Enjuagar. SECADO: finalmente secar con paño suavemente, y luego de manera natural.
  • 19.
    LAVADO DE CABEZADE PACIENTE EN CAMA 1) Lavarse las manos. 2) Prepar el equipo y llevarlo a la unidad del paciente. 3) Identificar al paciente. 4) Dar preparación psicológica. 5) Dar preparación física. 6) Aislar al paciente. 7) Posición de cubito dorsal 8) Acercar al paciente a la orilla de la cama 9) Retirar almohada. 10) Colocar en la cabecera de la cama la bolsa de plástico sobre la toalla. 11) Colocar el cojín kelly debajo de la cabeza del paciente dejando el extremo dentro de la cubeta.
  • 20.
    LAVADO DE CABEZAEN PACIENTE EN CAMA 12) cubrir los ojos del paciente con gasas y los oídos con torundas. 13) verter el agua en el lavamanos 14) mojar cabello, aplicar jabón, shampoo, lavar dando masajes al cuero cabelludo. 15) enjuagar el cabello. 16) retirar gasas, torundas. 17) retirar cojín y colocarlo en la cubeta 18) colocar el cabello entendido sobre la toalla. 19) secar el cabello con otra toalla. 20)retirar toallas y bolsas.
  • 21.
    LAVADO DE CABEZADE PACIENTE EN CAMA. 21) peinar al paciente 22) dejar cómodo al paciente. 23) retirar el equipo y dar los cuidados posteriores a su uso. 24) hacer anotaciones en la nota de enfermeria.