Departamento de Histología
Facultad de Medicina y Hospital Universitario
«Dr. José Eleuterio González», UANL

19 de Octubre de 2013
1.

Las que no se hacen.

2.

Las que se hacen 2 veces porque
no escuchaste la respuesta.


Epitelial,



Conectivo,



Muscular,



Nervioso.


Protección,



Transporte,



Secreción,



Absorción,



Membrana,



Sensibilidad.
•Alveolos,
•Riñon (asa de henle, cápsula de
Bowman),

•Vasos sanguineos,
•Cavidad pleural, peritoneal.
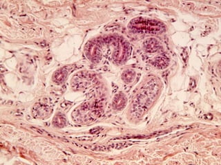
•Conductos de glándulas,
•Riñon (túbulos),

•Recubrimiento de ovario,
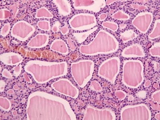
•Tiroides.
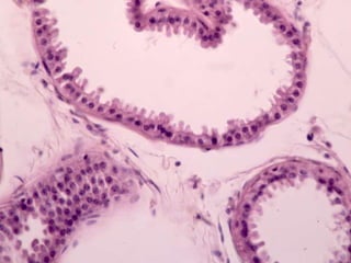
•Oviductos,
•Testiculos (conductos eferentes),
•Útero,
•Bronquiolos,

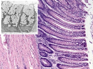
•Tubo digestivo,
•Vesícula biliar,
•Vias respiratorias,
•Epidídimo,

•Conductos deferentes,
•Uretra masculina,
•Etc.
•Boca,

•Conducto de glandulas

•Esofago,

sudoríparas,

•Vagina,

•Etc.

•Piel,
Localización:

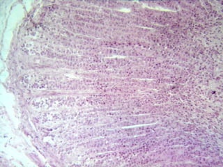
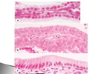
Vias Urinarias
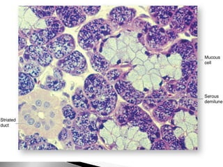
Glándulas
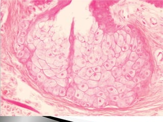
Células caliciformes, se observa la mucina en color magenta, histoquímica PAS.
Epitelio cilíndrico simple mucosecretor de la mucosa gástrica, se observa la mucina en
color magenta, histoquímica PAS y van Gieson.
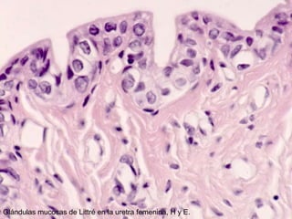
Glándulas mucosas de Littré en la uretra femenina, H y E.
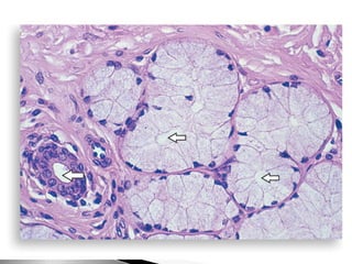
Glándulas alveolares de la próstata, tinción de van Gieson.
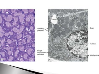
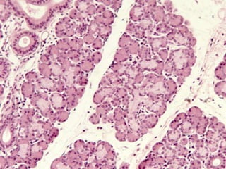
Acinos serosos del páncreas, gránulos en color rojo, tricrómico de Liisberg.
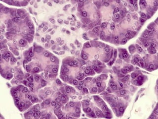
Células endócrinas de la adenohipófisis, histoquímica PAS y Orange G.
Johann Wolfgang Goethe.
GFP

Histología - Tejido Epitelial