Incrustar presentación
Descargado 115 veces



























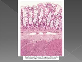
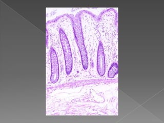
La mucosa del colon no presenta pliegues ni vellosidades como el intestino delgado. Está compuesta por células caliciformes y cilíndricas en la lámina propia, con criptas de Lieberkühn más largas. La submucosa contiene tejido conectivo denso y fibras elásticas, mientras que la capa muscular presenta músculo liso circular interno, longitudinal externo y tenias responsables de las haustras. La serosa es una cubierta continua de células mesoteliales con apé

























